-
Prescription Patterns of Sacubitril/Valsartan in an Outpatient Population Diagnosed with Heart Failure with Reduced Ejection Fraction After a Recent Hospitalization
-
Navigating Vaccine Misinformation: Assessing Newly Licensed Physicians’ Ability to Distinguish Facts from Fake News
-
Epidemiology, Clinical Data, and Management of Aseptic Abscess Syndrome: Review of Published Cases Outside France
Journal Description
Epidemiologia
Epidemiologia
is an international, peer-reviewed, open access journal on epidemiologic research published quarterly online by MDPI. The Italian Society of Environmental Medicine (SIMA) is affiliated with Epidemiologia, and its members receive discounts on article processing charges.
- Open Access— free for readers, with article processing charges (APC) paid by authors or their institutions.
- High Visibility: indexed within ESCI (Web of Science), Scopus, PMC, PubMed, FSTA, and other databases.
- Rapid Publication: manuscripts are peer-reviewed and a first decision is provided to authors approximately 26.4 days after submission; acceptance to publication is undertaken in 5.8 days (median values for papers published in this journal in the first half of 2025).
- Journal Rank: JCR - Q2 (Public, Environmental and Occupational Health) / CiteScore - Q2 (Medicine (miscellaneous))
- Recognition of Reviewers: APC discount vouchers, optional signed peer review, and reviewer names published annually in the journal.
- Epidemiologia is a companion journal of JCM.
Impact Factor:
2.2 (2024);
5-Year Impact Factor:
1.9 (2024)
Latest Articles
Gaps in Vitamin D Intake and Status in Moroccan Women
Epidemiologia 2025, 6(4), 66; https://doi.org/10.3390/epidemiologia6040066 - 17 Oct 2025
Abstract
►
Show Figures
Background: Vitamin D is essential for women’s health, yet deficiency is widespread among Moroccan premenopausal women. Objectives: This study examined vitamin D intake, dietary sources, determinants, and predictors of serum 25-hydroxyvitamin D [25(OH)D3] in 355 women aged 18–49 years in Meknes,
[...] Read more.
Background: Vitamin D is essential for women’s health, yet deficiency is widespread among Moroccan premenopausal women. Objectives: This study examined vitamin D intake, dietary sources, determinants, and predictors of serum 25-hydroxyvitamin D [25(OH)D3] in 355 women aged 18–49 years in Meknes, Morocco. Methods: Intake and sun exposure were assessed with validated questionnaires, and serum 25(OH)D3 was measured by chemiluminescence immunoassay. Multivariable and penalized regression (LASSO) were applied to deseasonalized values. Results: Median intake was 2.89 µg/day, and fewer than 20% of participants met the 5 µg/day recommendation. Fish (48%), dairy (24.39%), and meat (9.40%) were the main sources. Intake varied by age and residence: women aged 18–25 had significantly lower intakes (p = 0.027), while rural women consumed less than urban women (2.73 vs. 3.18 µg/day, p = 0.014), with inadequacy in 67.70% vs. 32.30% (p = 0.018). In adjusted regression, quartiles Q2–Q4 (1.76–16.60 µg/day) were associated with ~+3 ng/mL higher serum 25(OH)D compared to Q1 (0.20–1.76 µg/day, p < 0.05). Increments plateaued beyond Q2, and deficiency (<20 ng/mL) persisted in all quartiles (>59%, including 64% in Q4), reflecting limited sun exposure and high adiposity. Sun exposure was a strong positive predictor (β = 0.35, p < 0.001), while BMI was inversely associated (β = −0.37, p < 0.001). In LASSO, only sun exposure remained, explaining ~3% of variance. Conclusion: In this population, improving sun exposure (≥20 min/day) should be prioritized, alongside increasing vitamin D intake through richer food sources and fortification, while also addressing obesity, with a focus on women at risk of deficiency.
Full article
Open AccessArticle
A Pooled Sample Study of Opioid Use Disorder Treatment Wait Time Among a Pregnant Population in New York
by
Stanley Nkemjika, Gulshan Begum, Bolaji Yoade, Vaibhav Vyas, Henry Onyeaka, Olubusola Olatunji, Olaniyi Olayinka and Ayana Jordan
Epidemiologia 2025, 6(4), 65; https://doi.org/10.3390/epidemiologia6040065 - 16 Oct 2025
Abstract
Background and Aim: Opioid use disorder (OUD) during pregnancy has become a major public health issue, with its prevalence rising significantly in recent years. The incidence of neonatal abstinence syndrome (NAS) has also surged, from 1.5 cases per 1000 hospital births in 1999
[...] Read more.
Background and Aim: Opioid use disorder (OUD) during pregnancy has become a major public health issue, with its prevalence rising significantly in recent years. The incidence of neonatal abstinence syndrome (NAS) has also surged, from 1.5 cases per 1000 hospital births in 1999 to 6.0 cases per 1000 in 2013. This study aims to identify and analyze the concerns faced by pregnant people in accessing OUD treatment on time, specifically focusing on New York. Methods: The pooled sample of 225,275 individuals represents pregnant patients with OUD who received treatment at substance use disorder (SUD) facilities across New York State between 2016 and 2020, using data from the TEDS-D database. This dataset includes all pregnant individuals diagnosed with OUD, with consistent criteria for treatment eligibility applied. Results: The adjusted odds ratio (AOR) for medication-assisted treatment (MAT) for OUD was 1.41 (95% CI 1.15, 1.72; p = 0.0008) for full-time employees and 1.11 (95% CI 0.91, 1.34; p = 0.32) for part-time employees, compared to unemployed individuals. Regarding marital status, the AOR for treatment access was 1.51 (95% CI 1.34, 1.70; p < 0.0001) for currently married individuals and 1.85 (95% CI 1.67, 2.06; p < 0.0001) for those who are divorced or widowed, compared to individuals who have never married. Discussion: Our study highlights key sociodemographic barriers that affect early access to care for pregnant individuals in New York. OUD continues to be a critical public health issue, particularly among pregnant people, who are exposed to heightened health risks for both themselves and their babies, due to societal perceived stigma related to use during pregnancy.
Full article
Open AccessCase Report
Feminizing Adrenocortical Carcinoma in Men: A Rare Cause of Persistent Gynecomastia and a Contemporary Literature Review
by
Ana Maria Arnautu, Diana Loreta Paun, Corina Neamtu, Costin Gingu, Victor Nimigean, Dana-Mihaela Tilici, Ruxandra Costinescu, Mirona Costea, Adina Onofrei, Beatrice Grecu, Claudia Nacea-Radu and Sorin Paun
Epidemiologia 2025, 6(4), 64; https://doi.org/10.3390/epidemiologia6040064 - 15 Oct 2025
Abstract
►▼
Show Figures
Background: Feminizing adrenocortical tumors (FATs) are an exceedingly rare subset of adrenal neoplasms, typically affecting adult men and characterized by an excess of estrogen, suppressed gonadotropins, and gynecomastia. Most FATs are malignant, with a poor prognosis and a high risk of recurrence. Case
[...] Read more.
Background: Feminizing adrenocortical tumors (FATs) are an exceedingly rare subset of adrenal neoplasms, typically affecting adult men and characterized by an excess of estrogen, suppressed gonadotropins, and gynecomastia. Most FATs are malignant, with a poor prognosis and a high risk of recurrence. Case Presentation: We report the case of a 24-year-old male with bilateral gynecomastia, abdominal mass symptoms, and one year of unexplained infertility. A hormonal evaluation revealed elevated estradiol (90.1 pg/mL) and suppressed ACTH (2.6 pg/mL), with inappropriately normal cortisol levels (12.1 µg/dL). Imaging identified a right adrenal mass. The patient underwent open adrenalectomy, and histopathology confirmed stage II adrenocortical carcinoma (T2NxM0) with autonomous estradiol secretion, negative margins, and a Ki-67 index of 10%. Postoperatively, gonadal function normalized, and infertility resolved at two months. The multidisciplinary tumor board considered but did not initiate adjuvant mitotane, given the completely resected low-stage disease. Conclusions: This case illustrates the rare presentation of feminizing adrenocortical carcinoma with reversible infertility and highlights the importance of early recognition and close surveillance. In addition, our literature review of 12 male cases reported between 2015 and 2025 emphasizes gynecomastia as the hallmark presentation and discusses emerging evidence supporting active surveillance as a potential alternative to adjuvant mitotane in selected low-risk patients.
Full article

Figure 1
Open AccessArticle
Positive Impact of Vaccinal Status Among Notified Measles Cases in Romania in 2020–2024
by
Valerian-Ionuț Stoian, Iulia Chiscop, Aurora Stănescu, Mariana Daniela Ignat, Raisa Eloise Barbu, Mădălina Nicoleta Matei, Alexia Anastasia Ștefania Baltă, Liliana Baroiu, Iulia Draghiev and Mihaela Debita
Epidemiologia 2025, 6(4), 63; https://doi.org/10.3390/epidemiologia6040063 - 11 Oct 2025
Abstract
►▼
Show Figures
Background and Objectives: Measles is a highly contagious but vaccine-preventable disease with significant morbidity in the European region, including Romania, especially in the post-COVID-19 era with low vaccination rates which no longer provide herd immunity. The current study aims to show how vaccination
[...] Read more.
Background and Objectives: Measles is a highly contagious but vaccine-preventable disease with significant morbidity in the European region, including Romania, especially in the post-COVID-19 era with low vaccination rates which no longer provide herd immunity. The current study aims to show how vaccination reduces the disease burden. Methods: A study using 29,148 cases with measles-compatible features in Romania from the 2020–2024 period was performed, analyzing symptoms, complications, and hospitalization rates comparatively between vaccinated and non-vaccinated groups. Results: Our findings show substantial hospitalization rates reduction among vaccinated cases with an over 12% decrease—depending on the number of MMR doses—as well as reduced severity of clinical features, but no significant effect on disease duration. Conclusions: MMR vaccination provides protection beyond primary disease prevention, as it reduces the disease burden among measles cases by reducing disease-related hospitalizations and improving clinical outcomes.
Full article

Figure 1
Open AccessCase Report
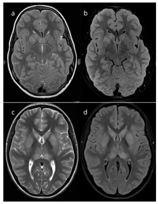
Basal Ganglia Involvement in Pediatric Mycoplasma pneumoniae Meningoencephalitis: Two Cases and a Literature Review
by
Dominik Ljubas, Luka Švitek, Lorna Stemberger Marić, Nina Krajcar, Maja Vrdoljak Pažur, Ana Tripalo Batoš, Srđan Roglić and Goran Tešović
Epidemiologia 2025, 6(4), 62; https://doi.org/10.3390/epidemiologia6040062 - 10 Oct 2025
Abstract
►▼
Show Figures
Background: Mycoplasma pneumoniae is a common cause of respiratory tract infections in children, but neurological complications, including encephalitis, are increasingly recognized. Basal ganglia involvement is rare, and a poorly characterized feature of meningoencephalitis, with clinical consequences being inconclusive. Methods: We report two pediatric
[...] Read more.
Background: Mycoplasma pneumoniae is a common cause of respiratory tract infections in children, but neurological complications, including encephalitis, are increasingly recognized. Basal ganglia involvement is rare, and a poorly characterized feature of meningoencephalitis, with clinical consequences being inconclusive. Methods: We report two pediatric cases of Mycoplasma pneumoniae-related meningoencephalitis with bilateral basal ganglia lesions seen on MRI. A literature review was conducted using PubMed, Scopus, and Web of Science to identify reports of M. pneumoniae-related meningoencephalitis in children, and related MRI findings. Results: Both patients (12-year-old male and 14-year-old female) presented with acute meningoencephalitis syndrome and had marked mononuclear pleocytosis. In both patients M. pneumoniae was confirmed with serological assay from serum sample, while in one patient M. pneumoniae was also confirmed by PCR from pharyngeal swab. Both exhibited bilateral basal ganglia lesions, with complete regression observed during follow-up. Treatment with corticosteroids led to full recovery in both cases. After a literature search, a total of 21 patients had basal ganglia involvement reported. Conclusions: Literature suggests variable MRI findings in pediatric M. pneumoniae encephalitis, with basal ganglia involvement being uncommon and rarely reported, especially among older children. While diagnostic challenges related to extrapulmonary manifestations of the infection persist, basal ganglia involvement could aid in diagnosis, especially in older children presenting with meningoencephalitis along with pronounced pleocytosis when respiratory symptoms are absent or mild.
Full article

Figure 1
Open AccessReview
The Impact of ACLS Training in the Management of Cardiac Arrest: A Narrative Review
by
Pasquale Di Fronzo, Giovanni Gaetti, Daniel Marcassa, Valeria Gervasi, Oumaiema Dardour, Andrea Pedretti and Luca Gambolò
Epidemiologia 2025, 6(4), 61; https://doi.org/10.3390/epidemiologia6040061 - 6 Oct 2025
Abstract
Background: Cardiac arrests can occur both in and out of hospital settings. Over the years, several protocols have been developed to standardize the behavior of healthcare professionals called upon to deal with these emergencies. Advanced Cardiac Life Support (ACLS) algorithms enable healthcare professionals
[...] Read more.
Background: Cardiac arrests can occur both in and out of hospital settings. Over the years, several protocols have been developed to standardize the behavior of healthcare professionals called upon to deal with these emergencies. Advanced Cardiac Life Support (ACLS) algorithms enable healthcare professionals to effectively manage cardiac arrest and achieve better patient outcomes, particularly at the time of discharge. Methods: We conducted a narrative review. Three databases (PubMed, Embase, Cochrane) were searched for relevant articles. The articles were screened and analyzed in accordance with the PRISMA guidelines. Results: A total of 1252 articles were initially identified. After screening, 11 papers were included in the review. From the selected studies, it has emerged that ACLS training had several positive effects, including an overall decrease in mortality rates. Adherence to ACLS protocols throughout an event is associated with increased Return of Spontaneous Circulation (ROSC) in the setting of In-Hospital Cardiac Arrest (IHCA). Advanced Life Support (ALS) response interval in out-of-hospital cardiac arrest was associated with decreased survival and a favorable neurological outcome. ALS response ≤ 10 min was associated with improved survival and favorable neurological outcomes. Conclusions: This review underscores the importance of adherence to ALS/ACLS guidelines in the resuscitation of patients who suffer in-hospital and out-of-hospital cardiac arrest.
Full article
(This article belongs to the Special Issue Recent Advances in Acute Diseases and Epidemiological Studies)
►▼
Show Figures

Figure 1
Open AccessArticle
Modeling and Characterizing the Growth of the Texas–New Mexico Measles Outbreak of 2025
by
Gilberto González-Parra, Annika Vestrand and Remy Mujynya
Epidemiologia 2025, 6(4), 60; https://doi.org/10.3390/epidemiologia6040060 - 3 Oct 2025
Abstract
►▼
Show Figures
Background: In late January 2025, a measles outbreak began in Gaines County, Texas, USA, and the outbreak extended to New Mexico. We used a variety of mathematical models to estimate the growth rate of the Texas–New Mexico measles outbreak of 2025. Methods: We
[...] Read more.
Background: In late January 2025, a measles outbreak began in Gaines County, Texas, USA, and the outbreak extended to New Mexico. We used a variety of mathematical models to estimate the growth rate of the Texas–New Mexico measles outbreak of 2025. Methods: We used both empirical and mechanistic models based on differential equations to make the estimations that allow us to characterize this measles outbreak. Regarding empirical models, we used the exponential growth model to compute and estimate the growth rate, basic reproduction number, , and effective reproduction number . With regard to mechanistic models, we use the SIR and SEIR models to estimate the growth rate, basic reproduction number , and effective reproduction number . We used new weekly measles cases and also cumulative cases. Results: Using the exponential growth model, we estimated a basic reproduction number between 32 and 40. For the classical SIR model, we estimated that the basic reproduction number is approximately 30. Conclusion: We found that the current Texas–New Mexico measles outbreak of 2025 has a slightly higher growth rate and effective reproduction number compared to several previous measles outbreaks around the world.
Full article

Figure 1
Open AccessArticle
Proposed NT-ProBNP Threshold for Predicting 2-Year Heart Failure Mortality and Implications for Long-Term Community Follow-Up
by
Ioana Camelia Teleanu, Gabriel Cristian Bejan, Ioana Ruxandra Poiană, Anca Mîrșu-Păun, Silviu Ionel Dumitrescu and Ana Maria Alexandra Stănescu
Epidemiologia 2025, 6(4), 59; https://doi.org/10.3390/epidemiologia6040059 - 2 Oct 2025
Abstract
►▼
Show Figures
Background/Objectives: Pre-discharge NT-proBNP levels may serve as a helpful tool in the algorithm of assessing the long-term risk of mortality after a hospitalization for symptomatic heart failure (HF). The goals were: (a) to identify a cut-off for NT-proBNP concentrations for predicting the two-year
[...] Read more.
Background/Objectives: Pre-discharge NT-proBNP levels may serve as a helpful tool in the algorithm of assessing the long-term risk of mortality after a hospitalization for symptomatic heart failure (HF). The goals were: (a) to identify a cut-off for NT-proBNP concentrations for predicting the two-year all-cause mortality in our sample of patients, and (b) to identify risk factors associated with NT-proBNP concentrations being higher than this cut-off. Methods: The present prospective study included 96 patients diagnosed with symptomatic HF with left ventricular ejection fraction (LVEF) < 50%, who were followed for up to 2 years post-hospital discharge. Results: Levels of pre-discharge NT-proBNP were found to be predictive of all-cause mortality. We determined that an NT-proBNP cut-off score of 8700 pg/mL may predict with 75.8% sensitivity and 70.1% specificity a 4.6-fold increase in mortality risk over a period of two years in our study sample, 95% CI (2–10.8), p = 0.001. Predictors of NT-proBNP concentrations > 8700 pg/mL included: older age, OR 4.73, 95% CI (1.74–12.85), p = 0.002; lack of angiotensin converting enzyme inhibitor (ACE-I) treatment, OR 0.3, 95% CI (0.12–0.74), p = 0.009; low systolic blood pressure (SBP) at admission, OR 3.4, 95% CI (1.36–8.49), p = 0.009; and low serum hemoglobin at admission, OR 3.2, 95% CI (1.38–7.46), p = 0.007. Conclusions: NT-proBNP may serve as a helpful tool for predicting mortality after an episode of HF decompensation, thus allowing the implementation of appropriate long-term monitoring and treatment. Particular attention should be paid to older patients without ACE-I medication, who had SBP < 120 mmHg at admission, and/or low levels of serum hemoglobin—as these patients are more likely to have pre-discharge NT-proBNP concentrations higher than the cut-off. These findings have implications for the long-term community follow-up of patients with HF.
Full article

Figure 1
Open AccessArticle
The Association Between Medroxyprogesterone Acetate Exposure and Cerebral Meningioma Among a Medicaid Population
by
Lindy M. Reynolds, Rebecca Arend and Russell L. Griffin
Epidemiologia 2025, 6(4), 58; https://doi.org/10.3390/epidemiologia6040058 - 29 Sep 2025
Abstract
Background/Objectives: Medroxyprogesterone acetate (MPA) is a synthetic contraceptive that can be used orally or as a once-every-three-month injection (i.e., depot MPA [dMPA]). Prior research has reported an increased association between dMPA and cerebral meningioma but has been limited in generalizability to meningioma cases
[...] Read more.
Background/Objectives: Medroxyprogesterone acetate (MPA) is a synthetic contraceptive that can be used orally or as a once-every-three-month injection (i.e., depot MPA [dMPA]). Prior research has reported an increased association between dMPA and cerebral meningioma but has been limited in generalizability to meningioma cases treated with surgery or cases derived from an administrative database of commercial insurance enrollees. The current study builds upon prior research by examining the association among public insurance enrollees utilizing both a non-active and active comparator. Methods: Utilizing Alabama Medicaid data, cases of cerebral meningioma were matched to up to ten controls based on age and year of Medicaid enrollment. A conditional logistic regression estimated odds ratios (ORs) and 95% confidence intervals (CIs) for the association between MPA and dMPA exposure and cerebral meningioma were compared to both an active and non-active comparator. Results: Among 469 cases and 4690 matched controls, there was no association between oral MPA and cerebral meningioma. Associations for dMPA exposure were similar when using a non-active (OR 1.87, 95% CI 1.16–3.00) or active comparator (OR 1.93, 95% CI 01.01–3.69). These associations were strongest for prolonged exposure compared to a non-active (OR 3.80, 95% CI 1.88–7.68) and active comparator (OR 3.67, 95% CI 1.09–12.29). Conclusion: The current results are consistent with the prior literature that dMPA exposure is associated with an increased likelihood of meningioma for prolonged use. More research is needed to examine whether the association is limited to a certain histology or grade of meningioma. Clinicians should consider discussing with patients these reported associations prior to using dMPA.
Full article
Open AccessArticle
CBRNe Personal Protective Equipment Is Not a Hindrance to Lifesaving Procedures in Prehospital Settings: A Prospective, Repeated-Measures Observational Study
by
Stefano Innocenzi, Fabio Ingravalle, Massimo Maurici, Daniela Di Rienzo, Danilo Casciani, Michelangelo Cesare Rinella, Antonio Vinci, Eliana Giuffré, Nicoletta Trani, Stefania Iannazzo and Narciso Mostarda
Epidemiologia 2025, 6(4), 57; https://doi.org/10.3390/epidemiologia6040057 - 23 Sep 2025
Abstract
Objectives: The primary objective was to compare the usage of Hazardous Materials (HazMat) Protective Personal Equipment (PPE) and ordinary PPE when performing basic and advanced health care support maneuvers in a prehospital setting, evaluating the effectiveness of several procedures, defined as the
[...] Read more.
Objectives: The primary objective was to compare the usage of Hazardous Materials (HazMat) Protective Personal Equipment (PPE) and ordinary PPE when performing basic and advanced health care support maneuvers in a prehospital setting, evaluating the effectiveness of several procedures, defined as the mean success rate of each. The secondary objective was to evaluate the presence of a learning effect, with improvements in the success rate and/or procedure timing. Methods: This was a prospective within-subjects (repeated-measures) study conducted on Emergency Medical Services (EMS) responders within their Chemical-Biological-Radiological-Nuclear-Explosive (CBRNe) training institutional programme. Volunteers performed a trial sequence of eight lifesaving procedures four times. During the first trial sequence, they wore standard clothing; during the three successive trials, they wore full HazMat PPE equipment. The primary outcomes were changes in success rate and time interval across the four trials. Results: A total of 146 EMS responders volunteered for the experiment. Procedure success rates remained high overall, with the most notable initial drop observed for video-assisted intubation (≈−10%). The only statistically significant delay in the first HazMat trial compared with baseline was for intravenous access (median +30 s; p < 0.001). In the two successive HazMat trials, success rates and timings improved, with median values coming close to baseline. However, only 61% of participants completed the entire drill due to tolerance limits of the equipment. Conclusions: HazMat PPE, while physically and ergonomically demanding, has minimal impact on most lifesaving procedures, though it may reduce intubation success and delay intravenous access. Tolerance to prolonged use is a key limitation, but dexterity improves rapidly with brief practice. EMS responders can benefit from continuous training practice, while manufacturers could explore ergonomic and tolerance improvements in their PPE equipment.
Full article
(This article belongs to the Special Issue Local Healthcare Preparedness and Alert Systems—How to Prevent Future Pandemics?)
►▼
Show Figures

Figure 1
Open AccessSystematic Review
Social Determinants of Health in Pediatric Asthma and Allergic Diseases: A Systematic Review
by
Despoina Koumpagioti, Dafni Moriki, Barbara Boutopoulou, Pantelis Perdikaris and Konstantinos Douros
Epidemiologia 2025, 6(3), 56; https://doi.org/10.3390/epidemiologia6030056 - 11 Sep 2025
Abstract
►▼
Show Figures
Objectives: This study aimed to synthesize evidence of the influence of multilevel social determinants of health (SDOHs) on asthma and allergic disease outcomes and healthcare utilization in children and adolescents, with a specific focus on how these determinants generate or widen health inequities,
[...] Read more.
Objectives: This study aimed to synthesize evidence of the influence of multilevel social determinants of health (SDOHs) on asthma and allergic disease outcomes and healthcare utilization in children and adolescents, with a specific focus on how these determinants generate or widen health inequities, through a systematic review of the current literature and evidence. Methods: A literature search was performed in the PubMed, EBSCO, and Scopus databases. The search period for all databases was from 1 January 2020 to 15 January 2025. Studies published in English that evaluated the association between at least one SDOH, as a primary exposure or effect modifier, and asthma and/or allergic disease outcomes and healthcare utilization in children and adolescents aged ≤ 18 years were included. A narrative synthesis was conducted to systematically explore and compare findings across studies, grouped by SDOH domains and disease outcomes. The grouping of SDOH domains was based on the framework established by the Healthy People 2030 Initiative. The selected studies underwent a quality assessment. Results: After the eligibility assessment, 44 studies were included in this review. Regarding study design, twenty-one studies were cohort, followed by eighteen cross-sectional, three ecological, and two case-crossover studies. Disease outcomes covered incidence, severity/exacerbations, lung function, and healthcare use in asthma, and analogous measures also reported for atopic dermatitis, allergic rhinitis, and food allergy. The most frequently studied domain of SDOHs was Neighborhood and Built Environment (n = 26), followed by Economic Stability (n = 24), Social and Community Context (n = 21), Healthcare Access and Quality (n = 12), and Education Access and Stability (n = 10). The vast majority of studies (n = 31) found positive associations between the examined SDOH factors and asthma and/or allergic disease outcomes and healthcare utilization. The most frequently evaluated SDOH with positive associations were neighborhood and residential conditions (n = 10), discrimination (n = 8), parental education (n = 7), housing quality (n = 6), air pollution (n = 6), and household income (n = 5). Risk-of-bias appraisal showed that the evidence base was largely at low risk, with most cohort, cross-sectional, ecological and case-crossover studies rated good quality, and only a few cohort studies classified as fair because of limitations in exposure assessment and residual confounding control. Conclusions: These findings highlight the urgent need for coordinated interventions and policies addressing social, environmental, and economic factors to reduce health disparities and improve outcomes for vulnerable children, while stressing the importance of interventional studies to provide stronger evidence.
Full article

Figure 1
Open AccessArticle
Prescription Patterns of Sacubitril/Valsartan in an Outpatient Population Diagnosed with Heart Failure with Reduced Ejection Fraction After a Recent Hospitalization
by
Dimitri Roustan, Hugo Bothorel and Omar Kherad
Epidemiologia 2025, 6(3), 55; https://doi.org/10.3390/epidemiologia6030055 - 5 Sep 2025
Abstract
►▼
Show Figures
Background: Sacubitril/Valsartan is a first-line treatment for heart failure with reduced ejection fraction (HFrEF) according to international guidelines. However, achieving the target doses of guideline-directed medical therapy (GDMT) remains a challenge in clinical practice and its efficacy at suboptimal dose (<200 mg/day)
[...] Read more.
Background: Sacubitril/Valsartan is a first-line treatment for heart failure with reduced ejection fraction (HFrEF) according to international guidelines. However, achieving the target doses of guideline-directed medical therapy (GDMT) remains a challenge in clinical practice and its efficacy at suboptimal dose (<200 mg/day) versus angiotensin-converting enzyme (ACE) inhibitors remains debated. Our objective was to evaluate the titration of Sacubitril/Valsartan within 3 months of hospital discharge in patients with HFrEF. Methods: A cross-sectional study was conducted in a secondary care hospital in Geneva, Switzerland. Patients hospitalized between 2020 and 2022 with HFrEF, discharged with Sacubitril/Valsartan, were included. Physicians managing patients discharged with a Sacubitril/Valsartan dose of less than 200 mg/day were contacted and asked to complete a structured 7-item questionnaire regarding dose adjustments within the first 3 months following hospital discharge. The primary outcome was the proportion of patients who did not achieve GDMT doses of Sacubitril/Valsartan, along with reasons for inadequate titration. Results: Overall, 30 patients out of 79 (38%, 95% confidence interval [27–49%]) had not been titrated to an effective dose of Sacubitril/Valsartan 3 months after hospitalization. Of these thirty patients, the primary reason for not titrating cited by their practitioners (n = 27) was that titration was perceived to be within the cardiologist’s scope of responsibility (15/27, 56%). While most physicians (66%) knew the target doses for Sacubitril/Valsartan, 83% of them were unaware that the clinical benefit of sacubitril/valsartan at doses below 50% of the target compared to ACE inhibitors remains uncertain and is not well supported by current evidence. Conclusions: In this cohort, more than a third of patients with HFrEF were not titrated to guideline-recommended target doses of sacubitril/valsartan within 3 months of hospital discharge. This finding raises questions about the clinical and economic value of initiating sacubitril/valsartan without subsequent dose optimization, especially given the uncertainty surrounding the efficacy of suboptimal dosing compared to ACE inhibitors.
Full article

Figure 1
Open AccessArticle
Sociodemographic Determinants of Telehealth Visits: A Comparison of Mental Health and Substance Use Disorders with Other Services
by
Stanley Nkemjika, Orman Trent Hall, Jeanette Tetrault and Ayana Jordan
Epidemiologia 2025, 6(3), 54; https://doi.org/10.3390/epidemiologia6030054 - 3 Sep 2025
Abstract
Background/Objectives: Discrimination has wide-ranging implications, affecting patients’ trust in healthcare professionals and their intentions to seek care. It can cause barriers that can affect access to care, especially among racial and ethnic minority groups in mental healthcare settings. Hence, we aim to examine
[...] Read more.
Background/Objectives: Discrimination has wide-ranging implications, affecting patients’ trust in healthcare professionals and their intentions to seek care. It can cause barriers that can affect access to care, especially among racial and ethnic minority groups in mental healthcare settings. Hence, we aim to examine the relationship between racial discrimination and reasons for using telehealth services. Method: Using the 2022 Health Information National Trends Survey (HINTS-6), we isolated 6017 participants who reported on discrimination inquiry. The primary dependent variable in this study is self-reported discrimination in healthcare, while the main independent variable is the reason for the most recent telehealth visit, and several socio-demographic variables were included as covariates, including age, sex, education, income, and marital status. Descriptive statistics were generated, and multivariable regression analysis was estimated as well, with a p-value < 0.05. Results: Non-Hispanic Black individuals had significantly higher odds of reporting discrimination compared to non-Hispanic White individuals (crude OR: 11.85, 95% CI: 7.67–18.309). Similarly, Hispanic individuals (crude OR: 4.626, 95% CI: 2.899–7.384) and individuals of other racial backgrounds (crude OR: 6.883, 95% CI: 4.04–11.729) had significantly increased odds of experiencing discrimination. Conclusions: The findings of this study offer critical insights into the determinants of perceived discrimination within telehealth services. Given the sustained integration of telehealth into healthcare delivery, it is imperative to develop and implement targeted strategies that provide education and resources to promote health equity among Non-Hispanic Black patients.
Full article
Open AccessArticle
The Relationship Between Socio-Demographic and Behavioral Characteristics and Adherence to the Mediterranean Diet: The UniFoodWaste Study Among University Students in Italy
by
Antonio Pinto, Daniele Nucci, Flavia Pennisi, Lorenzo Stacchini, Nicola Veronese, Stefania Maggi, Carlo Signorelli, Vincenzo Baldo and Vincenza Gianfredi
Epidemiologia 2025, 6(3), 53; https://doi.org/10.3390/epidemiologia6030053 - 3 Sep 2025
Abstract
►▼
Show Figures
Background: Adherence to the Mediterranean diet (MD) is associated with improved health outcomes, however limited evidence exists on the socio-demographic and behavioral determinants of MD adherence among university students, a population at risk of developing unhealthy habits during a critical life stage. Methods:
[...] Read more.
Background: Adherence to the Mediterranean diet (MD) is associated with improved health outcomes, however limited evidence exists on the socio-demographic and behavioral determinants of MD adherence among university students, a population at risk of developing unhealthy habits during a critical life stage. Methods: A cross-sectional study was conducted among 2697 students (70.6% female) enrolled at a university in Northern Italy. MD adherence was measured using the validated Medi-Lite score. Multivariable logistic and linear regression models were used to identify socio-demographic and behavioral associations with high adherence to the MD (score ≥12). Principal component analysis was performed to explore multivariate patterns across dietary components and participant characteristics. Results: Overall, 25.6% of participants were classified as having high adherence to the MD. Higher adherence was more frequent among women, non-smokers, older students, and those living with their families. Students in health sciences showed greater adherence compared to those in other fields of study. Conversely, frequent users of mobile food ordering applications and smokers were less likely to adhere to the MD. These associations remained consistent after adjusting for age and sex. Conclusions: Adherence to the MD is suboptimal among university students and influenced by socio-demographic and behavioral factors. Targeted interventions should prioritize younger males, smokers, and convenience food users, while promoting sustainability and social support as facilitators of healthier dietary patterns.
Full article

Figure 1
Open AccessArticle
The Prevalence of Various Autoimmune Comorbidities in Patients with Inflammatory Bowel Disease
by
Bipneet Singh, Shivam Kalra, Tejasvini Khanna, Isha Kohli, Vikash Kumar, Aalam Sohal and Divyesh Sejpal
Epidemiologia 2025, 6(3), 52; https://doi.org/10.3390/epidemiologia6030052 - 2 Sep 2025
Abstract
►▼
Show Figures
Introduction: Patients with inflammatory bowel disease (IBD) are at increased risk of developing other autoimmune disorders due to possible shared genetic, environmental, and immunological mechanisms. While autoimmune diseases are frequently observed in patients with IBD, data quantifying their inpatient prevalence and their association
[...] Read more.
Introduction: Patients with inflammatory bowel disease (IBD) are at increased risk of developing other autoimmune disorders due to possible shared genetic, environmental, and immunological mechanisms. While autoimmune diseases are frequently observed in patients with IBD, data quantifying their inpatient prevalence and their association with outcomes such as mortality remain limited. Methods: National Inpatient Sample (NIS) 2016–2020 and International Classification of Diseases 10th Version, Clinical Modification (ICD-10-CM) diagnosis codes were used to identify patients with IBD and autoimmune conditions. A multivariate logistic regression analysis to identify an association between various autoimmune diseases and various IBDs was performed. Results: The study population included 141,478,025 patients. An association was found between 24 autoimmune conditions and IBD. Conclusions: Our study identified autoimmune comorbidities that are more prevalent in IBD patients. We found that polymyositis, AIHA, ITP, and thrombotic microangiopathy are associated with a higher risk of in-hospital mortality. Psoriasis and hypothyroidism are associated with a lower risk of in-hospital mortality. Further studies are needed to explore the mechanisms responsible.
Full article

Figure 1
Open AccessArticle
An Outbreak of Pulmonary Tularemia in Slovenia in Summer 2024
by
Irena Grmek Košnik, Kristina Orožen, Monika Ribnikar, Eva Grilc, Barbara Bitežnik, Miša Korva, Irena Zdovc, Jana Avberšek, Gorazd Vengušt and Maja Sočan
Epidemiologia 2025, 6(3), 51; https://doi.org/10.3390/epidemiologia6030051 - 2 Sep 2025
Abstract
►▼
Show Figures
Background: Tularemia is a rarely identified disease in Slovenia. In summer 2024, we detected a tularemia outbreak in the Kranjsko-Sorško polje, located in North-Western part of Slovenia. Aim: To describe the epidemiological investigations and preventive measures to contain the outbreak. Methods:
[...] Read more.
Background: Tularemia is a rarely identified disease in Slovenia. In summer 2024, we detected a tularemia outbreak in the Kranjsko-Sorško polje, located in North-Western part of Slovenia. Aim: To describe the epidemiological investigations and preventive measures to contain the outbreak. Methods: The patients with confirmed tularemia were interviewed. Serology and PCR was used for microbiological confirmation of tularemia and in some patients by isolation from blood or by RT-PCR. Results: The majority of confirmed tularemia cases in 2024 were infected in the geographically limited area in North-Western part of Slovenia (38/46). Tularemia was confirmed in two patients by isolation Francisella tularensis subsp. holarctica from blood or wound, in one by blood PCR, and in the others by serology. Most cases were associated with mowing or harvesting hay with intensive dusting. Twenty-eight (75.7%) out of 37 cases developed pulmonary tularemia. Sixteen cases were hospitalized. After confirming the outbreak, we alerted medical professionals in the region and the general public using the regional and national media and website of National Institute of Public Health. Conclusions: Endemic tularemia in Slovenia is associated with handling wild life and presents in ulceroglandular form. In the localized outbreak in year 2024 there was an extraordinary upsurge of pulmonary tularemia, with many of the cases initially investigated for lung cancer based on the radiology reports. Due to dry weather condition in summer 2024, excessive dusting associated with mowing the grass and handling hay resulted in inhalation of infective aerosols leading to the infection with F. tularensis.
Full article

Figure 1
Open AccessReview
Supporting Primary Care Communication on Vaccination in Multilingual and Culturally Diverse Settings: Lessons from South Tyrol, Italy
by
Christian J. Wiedermann, Giuliano Piccoliori and Adolf Engl
Epidemiologia 2025, 6(3), 50; https://doi.org/10.3390/epidemiologia6030050 - 2 Sep 2025
Abstract
Background: Vaccine hesitancy is a major threat to public health. As part of efforts to increase vaccine uptake, the focus is on optimizing the quality of communication among healthcare workers. Physician shortages and workloads create time constraints, making communication interventions in primary care
[...] Read more.
Background: Vaccine hesitancy is a major threat to public health. As part of efforts to increase vaccine uptake, the focus is on optimizing the quality of communication among healthcare workers. Physician shortages and workloads create time constraints, making communication interventions in primary care challenging. This study aimed to propose strategies to improve communication between general practitioners and vaccine-hesitant individuals. This narrative review addresses the specific needs of general practitioners for effective communication and proposes strategies to combat vaccine hesitancy in culturally and linguistically diverse regions. Methods: Systematic searches of EMBASE and PubMed were performed using terms related to vaccine hesitancy, communication strategies, primary care, and cultural diversity. Additionally, the websites of major health organizations were searched for relevant reports and guidelines. Selection criteria were based on the relevance and quality of the selected studies. Results: The findings highlight the importance of empathy, transparency, and personalized information in communication strategies. The need for communication training and addressing policy and workload barriers for healthcare providers is significant. The proposed strategy includes regular communication skills and cultural competency workshops, language training, the development of multilingual resources, implementation of telemedicine services, and active community engagement. Conclusions: Policy recommendations advocate for increased primary care resources, support from general practitioner unions, and the integration of digital tools. These strategies are essential to improve vaccine uptake and public health outcomes by enhancing the capacity of general practitioners to effectively engage with vaccine-hesitant patients.
Full article
(This article belongs to the Special Issue Local Healthcare Preparedness and Alert Systems—How to Prevent Future Pandemics?)
►▼
Show Figures

Figure 1
Open AccessArticle
Mandatory First-Aid Training in the Workplace: An Epidemiological Assessment of the Use of Acetylsalicylic Acid Therapy
by
Elena Maria Ticozzi, Nazzareno Fagoni, Erika Kacerik, Annalisa Bodina, Gabriele Perotti, Massimo Lombardo, Fabrizio Ernesto Pregliasco and Giuseppe Stirparo
Epidemiologia 2025, 6(3), 49; https://doi.org/10.3390/epidemiologia6030049 - 1 Sep 2025
Abstract
Background: In Italy, workplace safety regulations require the training of first-aid officers to manage medical emergencies, including acute coronary syndromes. Although clinical guidelines recommend the early use of acetylsalicylic acid in myocardial infarction, little is known about the implementation of this recommendation
[...] Read more.
Background: In Italy, workplace safety regulations require the training of first-aid officers to manage medical emergencies, including acute coronary syndromes. Although clinical guidelines recommend the early use of acetylsalicylic acid in myocardial infarction, little is known about the implementation of this recommendation in practice. This study aims to assess the use of acetylsalicylic acid for ST-elevation myocardial infarction (STEMI) in workplace and non-workplace settings, with a focus on informing the evaluation and improvement of first-aid training programs and emergency response protocols. Methods: We conducted a retrospective, observational cohort study using 2019 data from the Regional Agency for Emergency Urgency. Cases were identified and stratified by event location (workplace vs non-workplace), to analyze patterns of acetylsalicylic acid administration. A logic model has been developed to program a stepwise plan of action for policies development. Results: A total of 2174 STEMI cases were identified, of which 380 (17.5%) occurred in the workplace. Workplace cases were younger and more likely to be male. Acetylsalicylic acid was administered in only 31 cases overall, with no statistically significant difference between settings. This assessment advocates for the implementation of targeted actions, which may include updates to current legislation and policies. Conclusions: These findings highlight an urgent need to systematically evaluate existing workplace first-aid training and emergency protocols. Integrating modules on acetylsalicylic acid administration into training curricula, along with performance monitoring mechanisms, may significantly enhance early STEMI management and patient outcomes. Updating safety programs to align with evidence-based practices should follow a structured approach.
Full article
Open AccessArticle
Development of Novel Symptom Score to Assist in Screening for Exocrine Pancreatic Insufficiency
by
Dana M. Lewis and Amanda Landers
Epidemiologia 2025, 6(3), 48; https://doi.org/10.3390/epidemiologia6030048 - 12 Aug 2025
Abstract
►▼
Show Figures
Background: Exocrine pancreatic insufficiency (EPI or PEI) often goes undiagnosed or misdiagnosed due to nonspecific symptomatology. Clinicians may focus primarily on symptoms like diarrhea and steatorrhea, potentially overlooking more prevalent symptoms. Methods: Our research describes the development and evaluation of the Exocrine Pancreatic
[...] Read more.
Background: Exocrine pancreatic insufficiency (EPI or PEI) often goes undiagnosed or misdiagnosed due to nonspecific symptomatology. Clinicians may focus primarily on symptoms like diarrhea and steatorrhea, potentially overlooking more prevalent symptoms. Methods: Our research describes the development and evaluation of the Exocrine Pancreatic Insufficiency Symptom Score (EPI/PEI-SS), a novel patient-generated symptom score designed to capture a wide range of EPI-related symptoms and quantify symptoms based on frequency and severity (score ranges 0–225). This preliminary real-world study assessed the efficacy of the EPI/PEI-SS in differentiating between individuals with and without EPI. To examine disparities between participants with and without EPI, average symptom frequency, severity, and overall score relationships were assessed, as well as sub-analyses based on other health co-conditions. Results: In total, 324 participants (155 with EPI and 169 without) completed the EPI/PEI-SS online. Individuals with EPI reported significantly higher EPI/PEI-SS scores (98.11, range 1–213) indicating a greater symptom burden compared with those without EPI (38.86, range 0–163). Conclusions: The EPI/PEI-SS appears to effectively differentiate between EPI and non-EPI participants, including non-EPI participants with other GI conditions. The EPI/PEI-SS demonstrates the potential to identify EPI and distinguish symptoms of EPI from other GI conditions, as evaluated with frequency and severity. Future research could replicate the study alongside fecal elastase testing, to determine whether it can be used additionally or alternatively for EPI diagnosis.
Full article

Graphical abstract
Open AccessSystematic Review
The Prevalence of Helicobacter pylori Infection in the Adult Population of Russia: A Systematic Review and Meta-Analysis
by
Dmitrii N. Andreev, Alsu R. Khurmatullina, Igor V. Maev, Dmitry S. Bordin, Sayar R. Abdulkhakov, Yury A. Kucheryavyy, Petr A. Beliy and Filipp S. Sokolov
Epidemiologia 2025, 6(3), 47; https://doi.org/10.3390/epidemiologia6030047 - 12 Aug 2025
Abstract
►▼
Show Figures
Objective: The objective of this study is to assess the dynamics of Helicobacter pylori infection prevalence among adults in Russia. Methods: A systematic search was conducted in MEDLINE/PubMed, EMBASE, Cochrane, RSCI, and Google Scholar for studies published between 1985 and 27 February 2025,
[...] Read more.
Objective: The objective of this study is to assess the dynamics of Helicobacter pylori infection prevalence among adults in Russia. Methods: A systematic search was conducted in MEDLINE/PubMed, EMBASE, Cochrane, RSCI, and Google Scholar for studies published between 1985 and 27 February 2025, following PRISMA guidelines. The meta-analysis was registered in PROSPERO (CRD420251011643). Results: Twenty studies were included (n = 117,841; weighted mean age: 43.71 ± 16.23 years), all using validated diagnostic methods. The pooled prevalence from 1994 to 2024 was 62.847% (95% CI: 55.101–70.274), including 45.143% (95% CI: 41.390–48.923) by the 13C-urea breath test and 75.806% (95% CI: 64.213–85.742) by serology. Prevalence declined over time: it was 79.334% before 2005, 74.074% in 2006–2011, and 66.319% in 2012–2017, and it has been 42.949% since 2018. Meta-regression confirmed a significant decrease (coefficient: −3.773% per year, p < 0.001). Conclusions: A significant decline in the prevalence of H. pylori has been observed, however, it remains relatively high and requires continued efforts aimed at diagnosis and eradication.
Full article

Figure 1

Journal Menu
► ▼ Journal Menu-
- Epidemiologia Home
- Aims & Scope
- Editorial Board
- Topical Advisory Panel
- Instructions for Authors
- Special Issues
- Topics
- Sections
- Article Processing Charge
- Indexing & Archiving
- Editor’s Choice Articles
- Most Cited & Viewed
- Journal Statistics
- Journal History
- Journal Awards
- Society Collaborations
- Editorial Office
Journal Browser
► ▼ Journal BrowserHighly Accessed Articles
Latest Books
E-Mail Alert
News
Topics
Topic in
Diseases, Epidemiologia, Infectious Disease Reports, Medicina, TropicalMed
Surveillance Systems and Predictive Analytics for Epidemics
Topic Editors: Georgia Kourlaba, Elisavet StavropoulouDeadline: 31 January 2027

Special Issues
Special Issue in
Epidemiologia
Local Healthcare Preparedness and Alert Systems—How to Prevent Future Pandemics?
Guest Editors: Giuseppe Stirparo, Alberto Arnedo-PenaDeadline: 30 November 2025
Special Issue in
Epidemiologia
Recent Advances in Acute Diseases and Epidemiological Studies
Guest Editors: Giuseppe Stirparo, Giuseppe RistagnoDeadline: 30 November 2025
Special Issue in
Epidemiologia
Psychiatric Comorbidities and Substance Use Among Individuals with Physical Health Issues and Chronic Diseases
Guest Editor: Jagdish KhubchandaniDeadline: 30 December 2025
Special Issue in
Epidemiologia
Advances in Environmental Epidemiology, Health and Lifestyle
Guest Editor: Rajendra Prasad ParajuliDeadline: 30 April 2026