Basal Ganglia Involvement in Pediatric Mycoplasma pneumoniae Meningoencephalitis: Two Cases and a Literature Review
Abstract
1. Introduction
2. Materials and Methods
3. Case Presentations
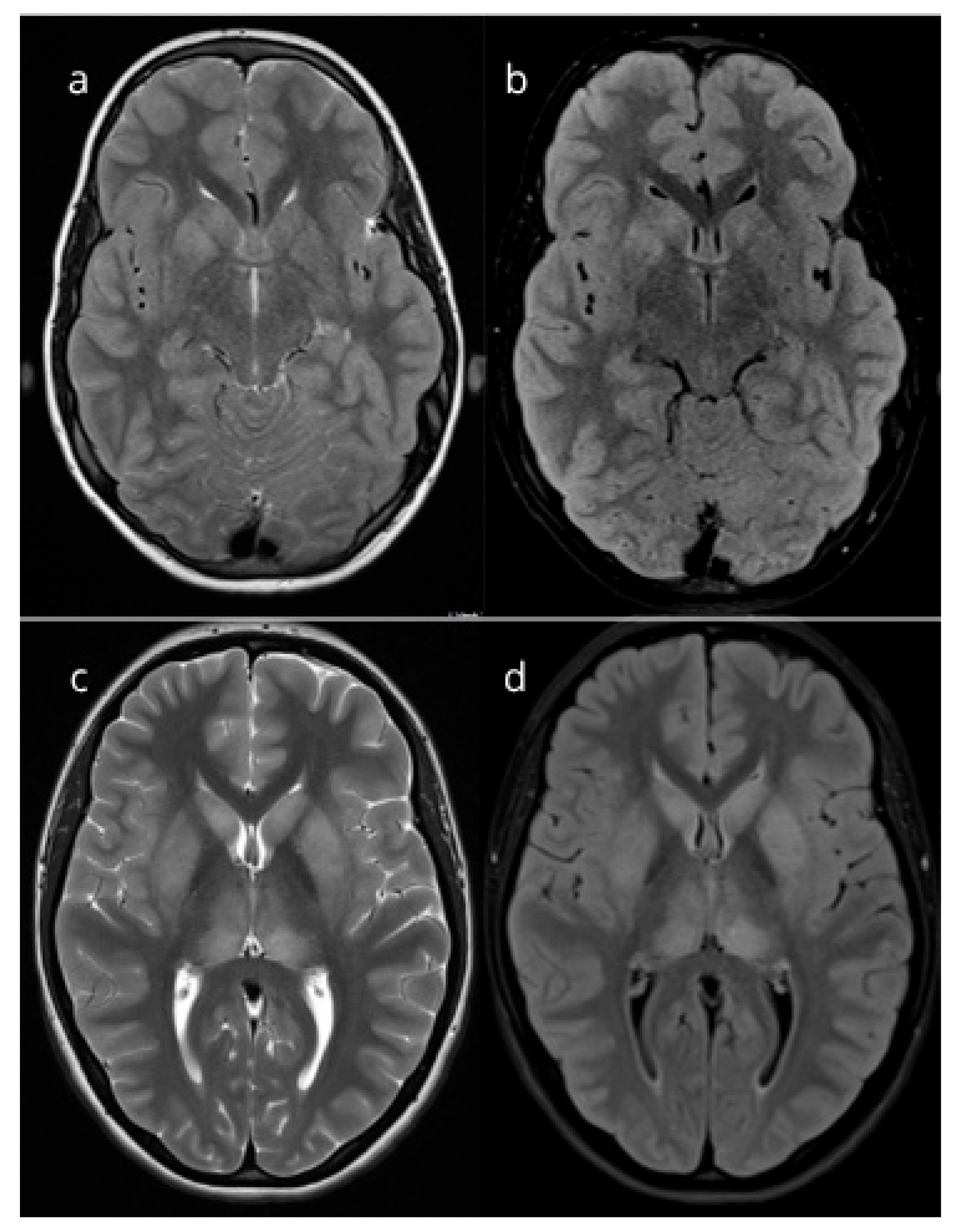
3.1. Patient 1
3.2. Patient 2
4. Discussion and Literature Review
5. Conclusions
Author Contributions
Funding
Informed Consent Statement
Data Availability Statement
Conflicts of Interest
Abbreviations
| ADEM | Acute Disseminated Encephalomyelitis |
| BBB | Blood-Brain Barrier |
| CNS | Central Nervous System |
| CSF | Cerebrospinal Fluid |
| EV | Enterovirus |
| HSV | Herpes-simplex Virus |
| LP | Lumbar Puncture |
| ME | Meningoencephalitis |
| MERS | Encephalitis with a Reversible Splenial Lesions |
| Mp | Mycoplasma pneumoniae |
| MPE | Mycoplasma pneumoniae-associated encephalitis |
| MRI | Magnetic Resonance Imaging |
| PCR | Polymerase Chain Reaction |
| RTIs | Respiratory Tract Infections |
| VZV | Varicella-zoster Virus |
References
- Atkinson, T.P.; Balish, M.F.; Waites, K.B. Epidemiology, clinical manifestations, pathogenesis and laboratory detection of Mycoplasma pneumoniae infections. FEMS Microbiol. Rev. 2008, 32, 956–973. [Google Scholar] [CrossRef]
- Biagi, C.; Cavallo, A.; Rocca, A.; Pierantoni, L.; Antonazzo, D.; Dondi, A.; Gabrielli, L.; Lazzarotto, T.; Lanari, M. Pulmonary and Extrapulmonary Manifestations in Hospitalized Children with Mycoplasma pneumoniae Infection. Microorganisms 2021, 9, 2553. [Google Scholar] [CrossRef] [PubMed]
- Sánchez-Vargas, F.M.; Gómez-Duarte, O.G. Mycoplasma pneumoniae-an emerging extra-pulmonary pathogen. Clin. Microbiol. Infect. 2008, 14, 105–117. [Google Scholar] [CrossRef] [PubMed]
- Shah, S.S. Principles and Practice of Pediatric Infectious Diseases, 6th ed.; Elsevier: Amsterdam, The Netherlands, 2023; pp. 979–984. [Google Scholar]
- Narita, M. Classification of Extrapulmonary Manifestations Due to Mycoplasma pneumoniae Infection on the Basis of Possible Pathogenesis. Front. Microbiol. 2016, 7, 23. [Google Scholar] [CrossRef] [PubMed]
- Tsiodras, S.; Kelesidis, I.; Kelesidis, T.; Stamboulis, E.; Giamarellou, H. Central nervous system manifestations of Mycoplasma pneumoniae infections. J. Infect. 2005, 51, 343–354. [Google Scholar] [CrossRef]
- Al-Zaidy, S.A.; MacGregor, D.; Mahant, S.; Richardson, S.E.; Bitnun, A. Neurological Complications of PCR-proven M. pneumoniae Infections in Children: Prodromal Illness Duration May Reflect Pathogenetic Mechanism. Clin. Infect. Dis. 2015, 61, 1092–1098. [Google Scholar] [CrossRef]
- Bitnun, A.; Ford-Jones, E.L.; Petric, M.; MacGregor, D.; Heurter, H.; Nelson, S.; Johnson, G.; Richardson, S. Acute childhood encephalitis and Mycoplasma pneumoniae. Clin. Infect. Dis. 2001, 32, 1674–1684. [Google Scholar] [CrossRef]
- Bitnun, A.; Ford-Jones, E.; Blaser, S.; Richardson, S. Mycoplasma pneumoniae encephalitis. Semin. Pediatr. Infect. Dis. 2003, 14, 96–107. [Google Scholar] [CrossRef]
- Dung, K.H.S.; Holm, M.; Hartling, U.; Jensen, L.H.; Nielsen, A.B.; Schmidt, L.S.; Toustrup, L.B.; Hansen, L.H.; Dahl, K.W.; Matthesen, K.T.; et al. Mycoplasma pneumoniae incidence, phenotype, and severity in children and adolescents in Denmark before, during, and after the COVID-19 pandemic: A nationwide multicentre population-based cohort study. Lancet Reg. Health Eur. 2024, 47, 101103. [Google Scholar] [CrossRef]
- Tay, S.T.; Habsah, M.Y.; Tan, S.C.; Rohani, M.Y. Detection of Mycoplasma pneumoniae from cerebrospinal fluid samples of pediatric patients. Southeast Asian J. Trop. Med. Public Health 2000, 31, 684–687. [Google Scholar]
- El Hafidi, N.; Allouch, B.; Benbrahim, F.; Chellaoui, M.; El Mahraoui, C. Mycoplasma pneumoniae encephalitis associated with basal ganglia necrosis. Rev. Neurol. 2012, 186, 49–52. [Google Scholar] [CrossRef]
- Sakoulas, G. Brainstem and striatal encephalitis complicating Mycoplasma pneumoniae pneumonia: Possible benefit of intravenous immunoglobulin. Pediatr. Infect. Dis. J. 2001, 20, 543–545. [Google Scholar] [CrossRef]
- Larsen, P.D.; Crisp, D. Acute bilateral striatal necrosis associated with Mycoplasma pneumoniae infection. Pediatr. Infect. Dis. J. 1996, 15, 1124–1126. [Google Scholar] [CrossRef] [PubMed]
- Donovan, M.K.; Lenn, N.J. Postinfectious encephalomyelitis with localized basal ganglia involvement. Pediatr. Neurol. 1989, 5, 311–313. [Google Scholar] [CrossRef] [PubMed]
- Ashtekar, C.S.; Jaspan, T.; Thomas, D.; Weston, V.; Gayatri, N.A.; Whitehouse, W.P. Acute bilateral thalamic necrosis in a child with Mycoplasma pneumoniae. Dev. Med. Child Neurol. 2003, 45, 634–637. [Google Scholar] [CrossRef] [PubMed]
- Christie, L.J.; Honarmand, S.; Talkington, D.F.; Gavali, S.S.; Preas, C.; Pan, C.Y.; Yagi, S.; Glaser, C.A. Pediatric encephalitis: What is the role of Mycoplasma pneumoniae? Pediatrics 2007, 120, 305–313. [Google Scholar] [CrossRef]
- Pönkä, A. Central nervous system manifestations associated with serologically verified Mycoplasma pneumoniae infection. Scand. J. Infect. Dis. 1980, 12, 175–184. [Google Scholar] [CrossRef]
- Woo, M.H.; Shin, J.W. Acute brainstem encephalitis associated with Mycoplasma pneumoniae in an adult: A case report. Encephalitis 2021, 1, 120–123. [Google Scholar] [CrossRef]
- Koskiniemi, M. CNS manifestations associated with Mycoplasma pneumoniae infections: Summary of cases at the University of Helsinki and review. Clin. Infect. Dis. 1993, 17 (Suppl. S1), S52–S57. [Google Scholar] [CrossRef]
- Fan, G.; Guo, Y.; Tang, F.; Chen, M.; Liao, S.; Wang, J. Determining the Clinical Characteristics, Treatment Strategies, and Prognostic Factors for Mycoplasma pneumoniae Encephalitis in Children: A Multicenter Study in China. J. Clin. Neurol. 2023, 19, 402–409. [Google Scholar] [CrossRef]
- Erol, I.; Ozale, Y.; Alkan, O.; Alehan, F. Acute disseminated encephalomyelitis in children and adolescents: A single center experience. Pediatr. Neurol. 2013, 49, 266–273. [Google Scholar] [CrossRef]
- Kikuchi, M.; Tagawa, Y.; Iwamoto, H.; Hoshino, H.; Yuki, N. Bickerstaff’s brainstem encephalitis associated with IgG anti-GQ1b antibody subsequent to Mycoplasma pneumoniae infection: Favorable response to immunoadsorption therapy. J. Child Neurol. 1997, 12, 403–405. [Google Scholar] [CrossRef] [PubMed]
- Ueda, N.; Minami, S.; Akimoto, M. Mycoplasma pneumoniae-associated mild encephalitis/encephalopathy with a reversible splenial lesion: Report of two pediatric cases and a comprehensive literature review. BMC Infect. Dis. 2016, 16, 671. [Google Scholar] [CrossRef] [PubMed]
- Pfausler, B.; Engelhardt, K.; Kampfl, A.; Spiss, H.; Taferner, E.; Schmutzhard, E. Post-infectious central and peripheral nervous system diseases complicating Mycoplasma pneumoniae infection. Report of three cases and review of the literature. Eur. J. Neurol. 2002, 9, 93–96. [Google Scholar] [CrossRef] [PubMed]
- Kammer, J.; Ziesing, S.; Davila, L.A.; Bültmann, E.; Illsinger, S.; Das, A.M.; Haffner, D.; Hartmann, H. Neurological Manifestations of Mycoplasma pneumoniae Infection in Hospitalized Children and Their Long-Term Follow-Up. Neuropediatrics 2016, 47, 308–317. [Google Scholar] [CrossRef]
- Fu, M.; Wong, K.S.; Lam, W.W.; Wong, G.W. Middle cerebral artery occlusion after recent Mycoplasma pneumoniae infection. J. Neurol. Sci. 1998, 157, 113–115. [Google Scholar] [CrossRef]
- Ovetchkine, P.; Brugieres, P.; Seradj, A.; Reinert, P.; Cohen, R. An 8-y-old boy with acute stroke and radiological signs of cerebral vasculitis after recent Mycoplasma pneumoniae infection. Scand. J. Infect. Dis. 2002, 34, 307–309. [Google Scholar] [CrossRef]
- Narita, M.; Itakura, O.; Matsuzono, Y.; Togashi, T. Analysis of mycoplasmal central nervous system involvement by polymerase chain reaction. Pediatr. Infect. Dis. J. 1995, 14, 236–237. [Google Scholar] [CrossRef]
- D’Alonzo, R.; Mencaroni, E.; Di Genova, L.; Laino, D.; Principi, N.; Esposito, S. Pathogenesis and Treatment of Neurologic Diseases Associated with Mycoplasma pneumoniae Infection. Front. Microbiol. 2018, 9, 2751. [Google Scholar] [CrossRef]
- Hu, J.; Ye, Y.; Chen, X.; Xiong, L.; Xie, W.; Liu, P. Insight into the Pathogenic Mechanism of Mycoplasma pneumoniae. Curr. Microbiol. 2022, 80, 14. [Google Scholar] [CrossRef]
- Riordan, A. In children with respiratory symptoms are Mycoplasma pneumoniae PCR and serology clinically significant? Arch. Dis. Child. Educ. Pract. Ed. 2014, 99, 157. [Google Scholar]
- Waites, K.B.; Xiao, L.; Liu, Y.; Balish, M.F.; Atkinson, T.P. Mycoplasma pneumoniae from the Respiratory Tract adn Beyond. Clin. Microbiol. Rev. 2017, 30, 747–809. [Google Scholar] [CrossRef] [PubMed]
- Kawai, Y.; Miyashita, N.; Kato, T.; Okimoto, N.; Narita, M. Extra-pulmonary manifestations associated with Mycoplasma pneumoniae pneumonia in adults. Eur. J. Intern. Med. 2016, 29, e9–e10. [Google Scholar] [CrossRef] [PubMed]
- Spuesens, E.B.; Fraaij, P.L.; Visser, E.G.; Hoogenboezem, T.; Hop, W.C.; van Adrichem, L.N.; Weber, F.; Moll, H.A.; Broekman, B.; Berger, M.Y.; et al. Carriage of Mycoplasma pneumoniae in the upper respiratory tract of symptomatic and asymptomatic children: An observational study. PLoS Med. 2013, 10, e1001444. [Google Scholar] [CrossRef] [PubMed]
- Venkatesan, A.; Tunkel, A.R.; Bloch, K.C.; Lauring, A.S.; Sejvar, J.; Bitnun, A.; Stahl, J.P.; Mailles, A.; Drebot, M.; Rupprecth, C.E. Case Definitions, Diagnostic Algorithms, and Priorities in Encephalitis: Consensus Statement of the International Encephalitis Consortium. Clin. Infect. Dis. 2013, 57, 1114–1128. [Google Scholar] [CrossRef]
- Chen, B.; Gao, L.-y.; Chu, Q.-j.; Zhou, T.-d.; Tong, Y.; Han, N.; Wang, A.-H.; Zhou, Q. The epidemic characteristics of Mycoplasma pneumoniae infection among children in Anhui, China, 2015–2023. Microbiol. Spectr. 2024, 12, e0065124. [Google Scholar] [CrossRef]
- Yuan, L.; Mingyue, D.; Zhou, L. Analysis of the characteristics of mixed infections with Mycoplasma pneumoniae in children. Sci. Rep. 2025, 15, 9414. [Google Scholar] [CrossRef]
- Daxboeck, F.; Blacky, A.; Seidl, R.; Krause, R.; Assadian, O. Diagnosis, treatment, and prognosis of Mycoplasma pneumoniae childhood encephalitis: Systematic review of 58 cases. J. Child Neurol. 2004, 19, 865–871. [Google Scholar] [CrossRef]
- Fan, L.; Xu, N.; Guo, Y.; Li, L. Enhanced insights into the neutrophil-driven immune mechanisms during Mycoplasma pneumoniae infection. Heliyon 2024, 10, e38950. [Google Scholar] [CrossRef]
- Riedel, K.; Kempf, V.A.; Bechtold, A.; Klimmer, M. Acute disseminated encephalomyelitis (ADEM) due to Mycoplasma pneumoniae infection in an adolescent. Infection 2001, 29, 240–242. [Google Scholar] [CrossRef]
- Termine, C.; Uggetti, C.; Veggiotti, P.; Balottin, U.; Rossi, G.; Egitto, M.G.; Lanzi, G. Long-term follow-up of an adolescent who had bilateral striatal necrosis secondary to Mycoplasma pneumoniae infection. Brain Dev. 2005, 27, 62–65. [Google Scholar] [CrossRef] [PubMed]
- Bencina, D.; Dovc, P.; Mueller-Premru, M.; Avsic-Zupanc, T.; Socan, M.; Beovic, B.; Arnez, M.; Narat, M. Intrathecal synthesis of specific antibodies in patients with invasion of the central nervous system by Mycoplasma pneumoniae. Eur. J. Clin. Microbiol. Infect. Dis. 2000, 19, 521–530. [Google Scholar] [CrossRef] [PubMed]
- Thomas, N.H.; Collins, J.E.; Robb, S.A.; Robinson, R.O. Mycoplasma pneumoniae infection and neurological disease. Arch. Dis. Child. 1993, 65, 573–576. [Google Scholar] [CrossRef]
- Brandel, J.P.; Vidailhet, M.; Noseda, G.; Harpey, J.P.; Agid, Y. Mycoplasma pneumoniae postinfectious encephalomyelitis with bilateral striatal necrosis. Mov. Disord. 1996, 11, 333–336. [Google Scholar] [CrossRef] [PubMed]
- Yamamoto, K.; Takayanagi, M.; Yoshihara, Y.; Murata, Y.; Kato, S.; Otake, M.; Nakagawa, H. Acute disseminated encephalomyelitis associated with Mycoplasma pneumoniae infection. Acta Paediatr. Jpn. 1996, 38, 46–51. [Google Scholar] [CrossRef]
- Kolski, H.; Ford-Jones, E.L.; Richardson, S.; Petric, M.; Nelson, S.; Jamieson, F.; Blaser, S.; Gold, R.; Otsubo, H.; Heurter, H.; et al. Etiology of acute childhood encephalitis at The Hospital for Sick Children, Toronto, 1994–1995. Clin. Infect. Dis. 1998, 26, 398–409. [Google Scholar] [CrossRef]
- Ieven, M.; Demey, H.; Ursi, D.; Van Goethem, G.; Cras, P.; Goossens, H. Fatal encephalitis caused by Mycoplasma pneumoniae diagnosed by the polymerase chain reaction. Clin. Infect. Dis. 1998, 27, 1552–1553. [Google Scholar] [CrossRef]
- Smith, R.; Eviatar, L. Neurologic manifestations of Mycoplasma pneumoniae infections: Diverse spectrum of diseases. A report of six cases and review of the literature. Clin. Pediatr. 2000, 39, 195–201. [Google Scholar] [CrossRef]
- Tan, M.J.; Chattophadyay, A.K.; Griffiths, P.D.; Baxter, P.S. Acute central and peripheral demyelination associated with Mycoplasma pneumoniae. Pediatr. Neurol. 2003, 29, 239–241. [Google Scholar] [CrossRef]
- Yiş, U.; Kurul, S.H.; Cakmakçi, H.; Dirik, E. Mycoplasma pneumoniae: Nervous system complications in childhood and review of the literature. Eur. J. Pediatr. 2008, 167, 973–978. [Google Scholar] [CrossRef]
- Fusco, C.; Bonini, E.; Soncini, G.; Frattini, D.; Giovannini, S.; Della Giustina, E. Transient basal ganglia and thalamic involvement following Mycoplasma pneumoniae infection associated with antiganglioside antibodies. J. Child Neurol. 2010, 25, 1029–1033. [Google Scholar] [CrossRef]
- Bae, J.W.; Kim, H.J.; Chang, G.Y.; Kim, E.J. Combined striatum, brain stem, and optic nerve involvement due to Mycoplasma pneumoniae in an ambulatory child. Case Rep. Neurol. 2011, 3, 109–112. [Google Scholar] [CrossRef] [PubMed]
- de Lalibera, I.B.; Silveira, G.A.; Toma, R.K.; Kuo, J.Y.; Troster, E.J. Meningoencephalitis associated with Mycoplasma pneumoniae. Einstein 2012, 10, 100–102. [Google Scholar] [CrossRef] [PubMed][Green Version]
- Yuan, Z.F.; Chen, B.; Mao, S.S.; Shen, J.; Yu, Y.L.; Gao, F.; Xia, Z.Z. Reversible bilateral striatal lesions following Mycoplasma pneumoniae infection associated with elevated levels of interleukins 6 and 8. Brain Dev. 2016, 38, 149–153. [Google Scholar] [CrossRef] [PubMed]
- Smolders, J.; Jacobs, B.C.; Tio-Gillen, A.P.; Nijhuis, F.; Verrips, A. Mycoplasma pneumoniae and Antibodies against Galactocerebroside in a 9-Year-Old Boy with Encephalitis. Neuropediatrics 2019, 50, 54–56. [Google Scholar] [CrossRef]
- Khan, A.; Haq, A.U.; Hamid, H.; Fatima, T.; Adnan, S. Rhombencephalitis Possibly Caused by Mycoplasma pneumoniae. J. Ayub Med. Coll. Abbottabad 2022, 34, 566–568. [Google Scholar] [CrossRef]
- Francis, D.A.; Brown, A.; Miller, D.H.; Wiles, C.M.; Bennett, E.D.; Leigh, N. MRI appearances of the CNS manifestations of Mycoplasma pneumoniae: A report of two cases. J. Neurol. 1988, 235, 441–443. [Google Scholar] [CrossRef]
- Bekiesinska-Figatowska, M.; Mierzewska, H.; Jurkiewicz, E. Basal ganglia lesions in children and adults. Eur. J. Radiol. 2013, 82, 837–849. [Google Scholar] [CrossRef]
- Holla, V.V.; Pal, P.K. Overview of management of infection-related movement disorders with focus on specific-infections. Clin. Park. Relat. Disord. 2024, 10, 100233. [Google Scholar] [CrossRef]
- Wang, X.; Tu, W. Urgent need to address macrolide-resistant Mycoplasma pneumoniae in pediatric populations: Insights from an expert consensus. World J. Pediatr. 2024, 20, 981–982. [Google Scholar] [CrossRef]

| Sex | Age | CSF | MRI Findings | Treatment | Outcome | ||||
|---|---|---|---|---|---|---|---|---|---|
| WBC [n/µL] | PMN [%] | MNC [%] | Proteins [g/L] | ||||||
| Patient 1 | M | 11 years and 9 months | 331 | 44 | 56 | 0.78 | T2-weighted and FLAIR images demonstrate bilaterally asymmetrical high signal intensity in the caudate nuclei, ventral portions of the globus pallidus, and putamina. A linear area of increased signal extends toward the right half of the hypothalamus. A Chiari I malformation is also noted. | Methylprednisolone (doses of 2.5 mg/kg/day for 5 days, followed by taper-off) | Full recovery |
| Patient 2 | F | 14 years and 2 months | 480 | 15 | 85 | 1.21 | T2-weighted and FLAIR images demonstrate bilaterally symmetrical high signal intensity in the thalami (pulvinar nuclei), caudate nuclei, and putamina, findings consistent with encephalitis. | Methylprednisolone (doses of 2.5 mg/kg/day for 5 days, followed by taper-off) | Full recovery |
| Study | No. of Patients/Age | MRI Findings | CSF Findings (WBC Count and Protein Levels) | M. pneumoniae Detection Techniques | Treatment |
|---|---|---|---|---|---|
| Donovan and Lenn, 1989 [15] | 1 pt with MPE/7 yrs | Bilateral lesions of the putamen and basis pontes | WBCs 8/μL, protein levels 0.28 g/L | Positive M. pneumoniae serology (serum, high titer) | Erythromycin |
| Koskiniemi, 1993 [20] | 45 pts/NA (mostly <5 yrs) | 1/3 of pts had MRI/CT scans performed, mostly unremarkable | 60% had normal WBC count and protein levels | Positive M. pneumoniae serology (serum) | N/A |
| Thomas et al., 1993 [46] | 12 pts with MPE/between 2–15 yrs | 6 pts had MRI scans, of which 2 had altered signal of the deep white matter | WBCs ranged from 0–110/μL, protein levels ranged from 0.11–1.5 g/L | Positive M. pneumoniae serology (serum—fourfold rise in antibody titer) | 8 pts received erythromycin; 2 pts received corticosteroids |
| Brandel et al., 1996 [47] | 1 pt with postinfectious MPE/5 yrs | Bilateral lesions of striata and external pallidum | WBCs 20/μL, protein levels normal | Serum—positive IgG (1:640) serology for M. pneumoniae | Erythromycin |
| Larsen and Crisp, 1996 [13] | 1 pt with MPE/7 yrs | Marked hypodense lesions of the striatum | Normal WBC and protein levels | Changes in IgM and IgG (serum) M. pneumoniae titers | Recovered without specific treatment |
| Yamamoto et al., 1996 [48] | 1 pt with ADEM triggered by M. pneumoniae/8 yrs | Findings consistent with ADEM—bilateral basal ganglia, thalami, white matter | WBCs 76/μL, protein levels normal | Positive M. pneumoniae serology (changes in IgM and IgG titers) | Corticosteroids |
| Kikuchi et al., 1997 [24] | 1 pt with Bickerstaff’s brainstem encephalitis triggered by M. pneumoniae/7 yrs | Periaqueductal lesions | WBCs 8/μL, protein levels normal | Positive M. pneumoniae serology, along with high IgG anti-GQ1b titer (1:12,800) | Minocycline with plasmapheresis |
| Kolski et al., 1998 [49] | 9 pts with MPE/1–17 yrs (mostly >5 yrs) | 2 pts had diffuse edema with temporal, occipital or hippocampal involvement, 2 pts had multifocal edema or infarction, 5 pts had unremarkable scans | 6 had pleocytosis (0–110 WBCs/μL), 4 had elevated protein levels (0.46–0.53 g/L) | Positive M. pneumoniae serology (serum) in all pts, 1 pt had PCR + from throat swab | N/A |
| Ieven et al., 1998 [50] | 1 pt with MPE/17 yrs | Normal | WBCs 34/μL, protein levels 0.52 g/L | M. pneumoniae PCR + from CSF and respiratory tract | Erythromycin |
| Smith et al., 2000 [51] | 4 pts with MPE/5–11 yrs | Bilaterally increased signals of caudate nucleus, globus pallidum, internal capsule; increased signals of the left cerebellar hemisphere and the right occipital lobe | WBCs ranged 0–45/μL, CSF protein levels ranged 0.23–0.3 g/L | Positive M. pneumoniae serology (serum) | 3 and 2 pts received corticosteroids and macrolides, respectively |
| Bitnun et al., 2001 [7] | 20 pts with MPE | 6 pts had MRI: 3 had focal edema or ischemia, 1 had edema of the basal ganglia, 1 had focal enhancing lesion, 1 had lesions consistent with ADEM | 11 pts had pleocytosis (WBCs 6–110/μL), 8 had elevated CSF protein levels (0.1–1.19 g/L) | 6 pts had PCR+ in CSF, 6 pts had PCR + from throat swabs, 14 pts had IgM + in acute-phase sera | Corticosteroids, macrolides, doxycycline |
| Riedel et al., 2001 [43] | 1 pt with ADEM triggered with M. pneumoniae/17 yrs | Hyperintense lesions of the right parietal lobe and corpus callosum, perifocal edema of white matter, lesions of posterior crus of internal capsule and dorsal hippocampus, lesions of the right cerebellar hemisphere | WBCs 2900/μL, protein levels normal | Positive M. pneumoniae antibodies detected in both serum and CSF, M. pneumoniae PCR + in CSF | Erythromycin + IVIg |
| Sakoulas, 2001 [12] | 1 pt with MPE (brainstem encephalitis)/6 yrs | High signal lesions of pontine-medullary junction of the brainstem, along with bilateral caudate and putamen lesions | Normal WBC and protein levels | Positive serology (serum); M. pneumoniae PCR + from throat swab | Azithromycin, IVIg |
| Ashtekar et al., 2003 [16] | 1 pt with MPE/5 yrs | Acute bilateral thalamic necrosis | Not performed due to severe clinical form | Positive M. pneumoniae serology (serum) | Erythromycin, pulse doses of methylprednisolone |
| Tan et al., 2003 [52] | 1 pt with MPE and Guillian-Barré syndrome/7 yrs | Extensive multifocal, confluent high signal lesions involving deep and superficial white matter in both hemispheres, along with reduction of brain volume and volume of both cerebellar hemispheres | Normal WBC and protein levels | Positive M. pneumoniae serology (serum); raised anti-ganglioside GM1 titer (1:1090) | Erythromycin + IVIg |
| Termine et al., 2005 [44] | 1 pt with MPE/17 yrs | Cytotoxic edema restricted specifically to both the striata | WBCs 11/μL, normal protein levels | Positive M. pneumoniae serology (IgM and IgG) in serum and CSF | Erythromycin |
| Christie et al., 2007 [17] | 84 pts with MPE/median 11 yrs | 27 pts had normal MRI; 44 pts had abnormal MRI findings, of which 13 had diffuse lobar changes, 9 had white matter lesions, 6 had lesions of thalami, 3 had brainstem changes, 5 had gray matter or single lobe abnormalities | WBCs ranged 0–990/μL, protein levels ranged 0.07–3.6 mg/dL | Positive M. pneumoniae serology (serum); 3 pts had positive CSF serology PCR + from respiratory samples 5 | N/A |
| Yiş et al., 2008 [53] | 2 pts with MPE, one of which had lesions consistent with ADEM/10 yrs (both pts) | One MRI showed lesions consistent with ADEM (brainstem, cortical white matter), the other was normal | Mild pleocytosis (WBCs 10–20/μL), normal protein levels | Positive M. pneumoniae serology (serum) in both patients | Clarithromycin in both pts (+ IVIg in pt with ADEM |
| Fusco et al., 2010 [54] | 1 pt with MPE/2 yrs | T2-hyperintensities in basal ganglia and thalami | WBC normal, protein levels of 0.88 g/L | Positive M. pneumoniae serology (serum), along with positive anti-GM1 antibodies titer (1:300) | Methylprednisolone (pulse doses) + IVIg |
| Bae et al., 2011 [55] | 1 pt with optic neuritis and ‘silent’ brain lesions/7 yrs | “Silent” extensive symmetrical lesions involving striatum, midbrain, pontine tegmentum, and right subcortical cerebellar white matter, along with optic nerve lesions | Normal WBC and protein levels | Positive M. pneumoniae serology (serum) | Corticosteroids |
| de Lalibera et al., 2012 [56] | 1 pt with MPE/5 yrs | Rhombencephalitis (unspecific signal changes in the pons) | WBCs 350/μL, elevated protein levels 0.55 g/L | Positive M. pneumoniae serology (serum) | Clarithromycin, prednisone |
| Erol et al., 2013 [23] | 2 pts with ADEM triggered by M. pneumoniae/0.5 and 8 yrs | Lesions consistent with ADEM, the first pt had thalamic lesions and brainstem involvement, other pt had frontal, temporal, parietal and subcortical lesions | 1 pt had CSF pleocytosis (not specified), protein levels were 0.23 and 0.44 g/L | Positive M. pneumoniae serology (serum) | Clarithromycin, pulse doses of methylprednisolone, IVIg in one pt |
| Yuan et al., 2016 [57] | 1 pt with MPE/8 yrs | Bilateral striatal lesions | Normal CSF WBC and protein levels | Positive M. pneumoniae serology (serum), PCR + from respiratory specimen | Azithromycin, pulse doses of methylprednisolone |
| Kammer et al., 2016 [28] | 6 pts with MPE/between 5–13 yrs | 2 pts with normal MRI, 4 patients with findings in supratentorial white matter, infratentorial gray matter, supratentorial cortex, leptomeningeal enhancement, and 1 pt had basal ganglia involvement | 3 pts had pleocytosis—WBC between 9–84/μL; 5 pts with normal CSF protein levels, 1 pt 0.61 g/L | Positive M. pneumoniae serology (serum) | Macrolide in 5 pts, prednisolone in 4 pts, IVIg in 1 pt |
| Ueda et al., 2016 [26] | 2 pts with MPE/mild encephalopathy/14 and 8 yrs | Both patients had hyperintensities of the splenium of CC, one additionally had lesions of the left cerebellar hemisphere | N/A | Positive M. pneumoniae serology (serum) | Minocycline in both pts, dexamethasone in 1 pt |
| Smolders et al., 2019 [58] | 1 pt with MPE/9 yrs | T2/FLAIR hyperintense signals of basal ganglia and cortex | WBCs 166/μL, normal protein levels | Positive M. pneumoniae serology (serum); positive IgM and IgG antiganglioside antibodies | High-dose methylprednisolone |
| Fan et al., 2022 [22] | 87 pts with MPE/median 5 yrs | Lesions in gray matter, corpus callosum, brainstem, thalamus, cerebellum; 6 pts had basal ganglia lesions | Mild pleocytosis (WBC median 182/μL), 55% had elevated protein levels | Positive M. pneumoniae serology (serum) in 70 pts; 25 pts had PCR + from CSF sample; 58 pts had PCR + from throat swab | Azithromycin ± IVIg or steroids (methylprednisolone low and high doses) |
| Khan et al., 2022 [59] | 1 pt with MPE/11 yrs | Rhombencephalitis | WBCs 85/μL, protein level 0.9 g/L | Positive M. pneumoniae serology (serum) | Azithromycin, methylprednisolone |
Disclaimer/Publisher’s Note: The statements, opinions and data contained in all publications are solely those of the individual author(s) and contributor(s) and not of MDPI and/or the editor(s). MDPI and/or the editor(s) disclaim responsibility for any injury to people or property resulting from any ideas, methods, instructions or products referred to in the content. |
© 2025 by the authors. Licensee MDPI, Basel, Switzerland. This article is an open access article distributed under the terms and conditions of the Creative Commons Attribution (CC BY) license (https://creativecommons.org/licenses/by/4.0/).
Share and Cite
Ljubas, D.; Švitek, L.; Stemberger Marić, L.; Krajcar, N.; Vrdoljak Pažur, M.; Tripalo Batoš, A.; Roglić, S.; Tešović, G. Basal Ganglia Involvement in Pediatric Mycoplasma pneumoniae Meningoencephalitis: Two Cases and a Literature Review. Epidemiologia 2025, 6, 62. https://doi.org/10.3390/epidemiologia6040062
Ljubas D, Švitek L, Stemberger Marić L, Krajcar N, Vrdoljak Pažur M, Tripalo Batoš A, Roglić S, Tešović G. Basal Ganglia Involvement in Pediatric Mycoplasma pneumoniae Meningoencephalitis: Two Cases and a Literature Review. Epidemiologia. 2025; 6(4):62. https://doi.org/10.3390/epidemiologia6040062
Chicago/Turabian StyleLjubas, Dominik, Luka Švitek, Lorna Stemberger Marić, Nina Krajcar, Maja Vrdoljak Pažur, Ana Tripalo Batoš, Srđan Roglić, and Goran Tešović. 2025. "Basal Ganglia Involvement in Pediatric Mycoplasma pneumoniae Meningoencephalitis: Two Cases and a Literature Review" Epidemiologia 6, no. 4: 62. https://doi.org/10.3390/epidemiologia6040062
APA StyleLjubas, D., Švitek, L., Stemberger Marić, L., Krajcar, N., Vrdoljak Pažur, M., Tripalo Batoš, A., Roglić, S., & Tešović, G. (2025). Basal Ganglia Involvement in Pediatric Mycoplasma pneumoniae Meningoencephalitis: Two Cases and a Literature Review. Epidemiologia, 6(4), 62. https://doi.org/10.3390/epidemiologia6040062

