Abstract
Microorganisms from various taxonomic groups play a crucial role in environmental cleanup, specifically in the bioremediation of contaminated soils and aquatic ecosystems by decomposing toxic pollutants or transforming them into less toxic substrates that can be easily recycled. Over 150 cultures were examined for their capability to utilize these substances as the only source of growth in a mineral medium, with phenol concentrations in the medium varying from 0.1 g/L to 2.5 g/L, oil at 1–2%, pinoxaden and toluene up to 0.5%, and carbon tetrachloride up to 10%. It was found that the isolated bacteria belonged to the genera Rhodococcus, Pseudomonas, Peribacillus, Microbacterium, and Bacillus. As a result, strains that can efficiently eliminate various pollutants were isolated and characterized.
1. Introduction
Biological treatment methods, including microbial biodegradation, have significant potential and advantages due to their environmental friendliness and low costs. Many bacteria are capable to degradate toxic substances, including gram-negative bacteria (such as Sphingomonas, Burkholderia, Alcaligenes, Acinetobacter, Flavobacterium) and gram-positive bacteria (bacteria of the genera Arthrobacter, Nocardia, Rhodococcus, and Bacillus) [1]. However, for some genera of microorganisms, such as Peribacillus, Microbacterium, Rhodococcus, Pseudomonas, and Bacillus, data revealing the bioconversion of compounds such as phenol, petroleum hydrocarbons, toluene, carbon tetrachloride, and pinoxaden are still very limited, including for bacterial isolates, living in both contaminated and, especially, unpolluted soils.
The ability of bacteria to destroy toxic compounds under conditions of high salinity, at low and high temperatures, as well as over a wide pH range has been less studied [2,3]. Nevertheless, these factors influence the efficiency of degradation of widespread natural and synthetic pollutants, such as oil and its derivatives, pesticides, and biopolymers.
There are a lot of publications about the influences and risks of the pollution of pesticides and its negative consequences on human health and the environment [4,5]. An excessive use of pesticides leads to the disruption of the functioning of microbiocenoses, accumulation of pesticide residues and their derivatives in surface and groundwater, and deterioration in the quality of agricultural products. A group of researchers from the University of Sydney (Australia) assessed the risk levels of environmental pollution from pesticides in 168 countries. The study [6], published in Nature Geoscience, looked at 92 active ingredients (used in 59 herbicides, 21 insecticides, and 19 fungicides) in different areas of the planet. It has been determined that 64% of the world’s agricultural land (about 24.5 million km2) is at risk of pesticide contamination due to more than one active substance, and 31% is at high risk. Of these, 34% are located in regions with high biodiversity, 5% in water-stressed areas, and 19% in low- and middle-income countries. Regional analysis showed that 61.7% (2.3 million km2) of European agricultural land is at high risk of pesticide contamination. That is why cleaning the environment from the influence of pesticides is an urgent task for researchers.
Much effort has been made to reduce the impact of man-made pollutants on the ecosystem, but the atmosphere, soil, and water continue to suffer from toxic compounds. All this makes it urgent to search for new natural strains of bacteria that could later become the basis for biological products for bioremediation. The main purpose of this study was to characterize soil isolates for their potential application in biotechnologies for environmental remediation.
2. Materials and Methods
2.1. Bacterial Strain and Cultivation Conditions
Using the enrichment cultivation method, more than 150 microorganisms were isolated from contaminated and uncontaminated soils (soils that do not contain traces of anthropogenic load), as well as from oil sludge samples from Russia, Indonesia, Kazakhstan, Algeria, Azerbaijan, and Bulgaria. The samples were thoroughly mixed and an average sample was taken. Next, 1 g of oil sludge (soil) from the average sample was transferred into Erlenmeyer flasks with 99 mL of a pre-prepared sterile mineral medium with the following composition, g/L: Na2HPO4—0.7; KH2PO4—0.5; NH4NO3—0.75; MgSO4 x 7H2O—0.2; MnSO4—0.001; FeSO4—0.02.
Phenol and crude oil were used as the only source of carbon and energy in the first stage of the study. Then, the flasks were transferred to shakers (180 rpm) for subsequent cultivation at 28 °C for 7 days.
After cultivation, the cells were transferred to mineral medium as on the first stage with 2% agar after dilution to 103–107. Individual colonies that were not similar in morphological characteristics were transferred to rich medium (composition g/L: pancreatic casein hydrolyzate of fish meal—12; enzymatic peptone—1; sodium chloride—6) in pre-prepared shoals for further storage.
The cultures obtained by the method described above were first of all retested for their ability to use phenol (200 mg/L) as a growth substrate.
At the next stage of the study, all isolated cultures were tested for their ability to use pinoxaden as the single source of carbon and energy. Pinoxaden was used in the studies because this synthetic compound is the active ingredient of a widely used selective post-emergence herbicide and there is no information about its potential for biodegradation.
If the culture demonstrated the ability to grow on this herbicide after 3 passages, it was transferred to a liquid mineral medium with a pinoxaden concentration of 0.5%. After introducing the cells into a flask with a nutrient medium, a so-called “zero sample” was taken, against which the optical density was subsequently measured at λ = 590 nm. Optical density was measured using a UNICO 2100 spectrophotometer (United Products & Instruments, Inc., Wichita, KS, USA). Bacteria capable of growing on toluene and carbon tetrachloride were selected in a similar manner.
2.2. Phenol Loss
After centrifugation in an Eppendorf centrifuge for 2 min at 12,000 rpm, the spectrum of the culture liquid was taken in the range from 200 to 340 nm to check the presence/absence of phenol. Sampling was carried out every 24 h. The amount of phenol was estimated using a calibration graph reflecting the dependence of phenol concentration on absorption at 270 nm, the maximum absorption of a phenol solution. In this way, the phenol concentration can be estimated to 1 g/L.
2.3. Microscopy of Samples
At each stage of the experiment, light microscopy was used to control the growth and purity of the culture. Microscopic studies of strains were carried out using Nikon Eclipse Ci microscopes with a Progres SpeedXT camera, as well as using Altami 3.4 microscopes and Altami BIO 1.
2.4. Temperature, pH, and Determination of Halotolerance
To determine the ability of the studied bacteria to grow in conditions of increased salinity of the cultivation environment, a concentrate of a rich nutrient medium (GRM broth—nutritious broth for cultivation of microorganisms, composition g/L: pancreatic casein hydrolyzate of fish meal—12; enzymatic peptone—1; sodium chloride—6) was prepared. The following sodium chloride concentrations were used: 2%; 5%; 7.5% and 10%; and 14% in the nutrient medium. In addition, one flask was supplied as a control (without adding sodium chloride).
2.5. Identification of Isolates by 16S rRNA Gene
Genomic DNA was extracted using the Zymo Reseacher Quick-DNA Fungal/Bacterial Miniprep Kit (Zymo Reseach, Irvine, CA, USA) according to the manufacturer’s recommendation. The 16S rRNA gene was amplified by PCR using primers universal for prokaryotic 16S rRNA: 27f (5′-AGAGTTTGATCCTGGCTCAG-3′) and 1525r (5′-AAGGAGGTGATCCAGCC-3′) (Weisburg, 1991). PCR was carried out on My-Cycler, Tetrad 2 devices (Bio-Rad Laboratories, Hercules, CA, USA).
2.6. Antagonistic Activity
The strain cultures were cultivated in test tubes up to a concentration of 3 × 106 CFU/mL with a sterile nutrient medium GRM broth (pancreatic hydrolyzate of fish meal—12 g/L, enzymatic peptone—12 g/L, sodium chloride—6 g/L) for 24 h. Suspensions of test cultures of pathogenic bacteria were applied to dishes in a volume of 0.1 mL and thoroughly ground with a spatula. Next, sterile filter paper disks were placed on the dishes seeded with test cultures and 10 μL of a cell suspension of the studied strains was applied to each disk. The dishes were incubated in a thermostat at a temperature of 30–37 °C. The results were recorded on days 2–4 by measuring the inhibition zone of test cultures.
2.7. Antibiotic Sensitivity
To determine the antibiotic sensitivity of strains, the disk diffusion method was used. The following antibiotics were used in the studies: Azlocilin, Amoscicillin/clavulanic acid, Amoscicillin, Amphotericin B, Ampicillin, Amikacin, Aztreons, Bacitracin, Vancomycin, Gentamicin, Doxycycline, Bile, Itraconazole, Imipenem, Kanamycin, Carbenicillin, Ketoconazole, Clindamycin, Clotrimazole, Clarithromycin, Levomycytin, Linezolid, Lincomycin, Lomefloxacin, Moxiflocacin, Meropenem, Novobiocin, Neomycin, Nystatin, Norfloxacin, Oxacillin, Oleandomycin, Optokhin, Ofloxacin, Piperacillin, Rifampicin, Polymyxin, Roxithromycin, Sizomycin, Sparfloxacin, Saponin, Streptomycin, Sulfanilamide, Tetracycline, Tylosin, Tobramycin, Trimethoprim/sulfamethoxazole, Furagin, Furadonin, Fluconazole, Pefloxacin, Fosfomycin, Furazolidone, Fusidic acid, Ceftazidime, Cefaclor, Cefazolin, Ciprofloxacin, Cefuroxime, Cefoxitin, Cefepime, Cefoperazone/sulbactam, Cefotaxime, Cephalexin, Cephalothin, Entrofloxacin, Erythromycin, and Ertapenem.
2.8. Measuring the Concentration of Petroleum Products in Soil Samples
Measurement of the concentration of petroleum products in samples of sludge and soil was carried out according to the procedure for measuring the mass fraction of petroleum products in mineral, organogenic, organomineral soils, and bottom sediments using the IR spectrometry method. The method consists of extracting petroleum products from soils and bottom sediments with carbon tetrachloride, the chromatographic separation of petroleum products from accompanying organic compounds of other classes, and the quantitative determination of petroleum products (OP) by absorption intensity in the IR region of the spectrum.
2.9. Statistical Analysis
The results were analyzed using a one-way ANOVA and represented means ± standard deviation (SD) from six independent experiments, each tested in triplicate. Statistical significance was assessed using Student’s t-tests, and results were considered significant at p < 0.05. All experiments were carried out in triplicate, following all standard procedures. In each experiment, a control sample was provided. In experiments to determine degradative activity, abiotic loss was taken into account.
3. Results and Discussion
3.1. Microscopy and Morphology of Isolates
The isolates studied were isolated from various sources, from contaminated and uncontaminated soils of Russia (Belgorod, Yaroslavl, Barnaul, Saratov), as well as from samples of oil sludge and soil from the UAE (Abu Dhabi), Indonesia, Bulgaria, Algeria, and Kazakhstan.
Table 1 presents data on the source of isolation and growth substrates of the most active isolates.
Table 1.
Source of isolation and growth substrates of the most active isolates.
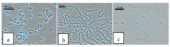
A significant portion of the studied strains were isolated from oil sludge samples. Microscopy of the samples mainly revealed gram-positive and gram-negative rod-shaped bacteria, spore-forming bacilli, gram-positive cocci, and ovoid rods. Figure 1 shows phase contrast microscopy of isolated strains such as Rhodococcus qingshengii 6/4a, Peribacillus frigoritolerans Tol/1B, Microbacterium paraoxydans ch.h./3B.
Figure 1.
Phase contrast microscopy of isolated strains: (a)—Rhodococcus qingshengii 6/4a, (b)—Peribacillus frigoritolerans Tol/1B, (c)—Microbacterium paraoxydans ch.h./3B.
During the study, it was confirmed that effective destructor bacteria belong to different genera and species, and also differ sharply in cultural and morphological characteristics.
3.2. Destruction of Aromatic and Organochlorine Compounds
It was determined that isolates can use phenol as the single source of carbon and energy, at concentrations ranging from 0.1 g/L to 2.5 g/L. Data on the use of phenol as the only source of carbon and energy are presented in Table 2 and Table 3.
Table 2.
Growth of bacteria on phenol (concentration 1.5 g/L).
Table 3.
Phenol loss, g/L (initial concentration 1.5 g/L).
Since representatives of the genus Rhodococcus are characterized by high degradative activity against toxic compounds, this strain was primarily tested for the ability to use phenol as the only source of carbon and energy in a mineral environment [7]. It was determined that the strain Rhodococcus qingshengii 6/4a is capable of growth on phenol at its concentration in the medium up to 2 g/L. The ability of this strain to use pinoxaden and toluene in concentrations of up to 0.5% and carbon tetrachloride as a sole source of carbon and energy was also shown. The Figure 2 shows Rhodococcus qingshengii 6/4a strain biomass growth on pinoxaden as the only source of carbon and energy in a mineral medium.
Figure 2.
Rhodococcus qingshengii 6/4a biomass growth.
At the next stage, the strain was cultivated in a mineral medium with carbon tetrachloride as the only source of energy and carbon. Table 4 shows biomass growth of Rhodococcus qingshengii 6/4a on carbon tetrachloride.
Table 4.
Biomass growth of Rhodococcus qingshengii 6/4a on carbon tetrachloride.
The Pseudomonas putida strain AAMB/1A, isolated from an oil sludge sample, increased its biomass by two times in 7 days when growing on a nutrient medium in which crude oil was the only source of energy and carbon. Hydrocarbon degradation was 64% in 21 days. This strain was also characterized by high viability at elevated temperatures.
Isolate Tol/1B, identified as Peribacillus frigoritolerans, actively used toluene in the mineral environment as the only source of carbon and energy. In addition, this strain was capable of increasing biomass at 7% salinity in the cultivation medium.
For strains Microbacterium paraoxydans h.h./3B and Pseudomonas stutzeri 8/1C, the ability to use carbon tetrachloride and pinoxaden as the only source of carbon and energy in a mineral environment has been described.
3.3. Antimicrobial, Antifungal Activity and Antibiotic Sensitivity
All isolates such as Rhodococcus qingshengii 6/4a, Pseudomonas stutzeri S1, Pseudomonas putida AAMB/1A, Acinetobacter sp. 2/2A, Peribacillus frigoritolerans Tol/1B, Microbacterium paraoxydans ch.h./3B, Bacillus amyloliquefaciens 67, and Bacillus subtilis 68 were tested for their ability to suppress pathogenic and phytopathogenic microorganisms. The most effective strains belonging to the genus Bacillus were selected from the tested group of bacteria. Based on the results obtained during the study, it can be concluded that the strains of Bacillus amyloliquefaciens and Bacillus subtilis have high antagonistic activity against bacteria of the genera Klebsiella, Citrobacter, Aeromonas, Escherichia, Alcaligenes, Bacillus, Micrococcus, Staphylococcus, Bordetella, Pseudomonas, and Serratia and can be used as the basis of biological products for the prevention of infectious diseases caused by bacteria of the above genera. The data obtained allow us to conclude that the studied strains have a high antagonistic activity against phytopathogenic fungi of the genus Rhizoctonia solani, Fusarium avenaceum, Alternaria brassicicola, Phytopythium vexans, Pythium ultimum, and Botrytis cinerea, which are causative agents of diseases of agricultural crops. In addition, these strains have growth-stimulating activity, which makes them promising for the development of biological products for agriculture and livestock. The isolates were sensitive to most of the 80 antibiotics tested. Figure 3 demonstrates antimicrobial, antifungal, and growth-stimulating activity of isolated bacteria of the genera Bacillus.
Figure 3.
Antimicrobial, antifungal, and growth-stimulating activity of isolated bacteria of the genera Bacillus: (a)—growth stimulation of wheat (infected with Fusarium avenaceum) by Bacillus subtilis 68; (b)—growth stimulation of wheat (infected with Fusarium avenaceum) by Bacillus amyloliquefaciens 67; (c)—antimicrobial activity of Bacillus subtilis 68 against Aeromonas veronii; (d)—antimicrobial activity of Bacillus amyloliquefaciens 67 and Bacillus subtilis 68 against Bordetella sp.
4. Conclusions
Microorganisms of various taxonomic groups capable of completely decomposing toxic pollutants or converting them into safe and easily utilized substrates play a key role in environmental cleanup, including bioremediation of contaminated soils. In this regard, the search for new microorganisms from various taxonomic groups, as well as a comprehensive study of decomposer microorganisms, is a promising area of research.
Bacteria capable of decomposing phenol, petroleum hydrocarbons, pesticides, toluene, isoprene, and organochlorine compounds have been isolated from both contaminated and uncontaminated soils. Over 150 cultures were tested for their ability to utilize these substances as the single carbon source in a mineral medium, with phenol concentrations in the medium varying from 0.1 g/L to 2 g/L, oil at 1–2%, pinoxaden and toluene up to 0.5%, and carbon tetrachloride up to 10%. It was found that the isolated bacteria belonged to the genera Rhodococcus, Pseudomonas, Peribacillus, Microbacterium, and Bacillus. Some isolates were found to be able to thrive at temperatures ranging from +3 to +55 °C, at pH levels between 5 and 11, and in salinity levels of up to 14%. On average, the concentration of petroleum products was reduced by 29% and 46% under these circumstances.
Rhodococcus and Pseudomonas isolates are known for their ability to promote growth in plants like rye and wheat. Isolates from the genera Bacillus have been identified as antagonists of pathogenic microorganisms. For all isolates, both optimal and possible conditions for cultivation and use have been determined, which greatly facilitates their cultivation and, as a consequence, the scaling of the obtained results. Thus, the conducted studies allowed us to successfully identify powerful strains capable of effectively eliminating various pollutants. In addition, during the study, their characteristics were analyzed and potential strains for the production of biopreparations for agriculture and bioremediation were studied. Microorganisms that decompose persistent toxicants are usually easily isolated from contaminated areas. At the same time, in our work we showed that in those soils that are considered clean, there may also be bacteria capable of biodestruction. Perhaps there are not so many of them and the variety of destructors is small, but it is also possible to identify them. Moreover, if such strains are not under constant pressure from a selective factor, in this case a toxicant, but exhibit significant degradative activity, it can be assumed that when using these cultures in biological products, we will not experience a loss of effectiveness.
Author Contributions
Conceptualization, I.S. and L.I.; methodology I.S., V.P., T.A., N.S. and L.I.; formal analysis, L.I.; resources, V.P., T.A., N.S., L.I. and I.S.; data curation, I.S. and L.I.; writing—original draft preparation, L.I.; writing—review and editing, I.S. and V.P. All authors have read and agreed to the published version of the manuscript.
Funding
This research received no external funding.
Institutional Review Board Statement
Not applicable.
Informed Consent Statement
Not applicable.
Data Availability Statement
The data is contained in the article.
Conflicts of Interest
The authors declare no conflicts of interest.
References
- Kotresha, D.; Vidyasagar, G.M. Degradation of phenol by novel strain Pseudomonas aeruginosa MTCC 4997 isolated from petrochemical industrial effluent. Int. J. Microb. Resour. Technol. 2014, 2, 1–15. [Google Scholar]
- Bakalidou, A.; Kämpfer, P.; Berchtold, M.; Kuhnigk, T.; Wenzel, M.; König, H. Cellulosimicrobium variabile sp. nov., a cellulolytic bacterium from the hindgut of the termite Mastotermes darwiniensis. Int. J. Syst. Evol. Microbiol. 2002, 52, 1185–1192. [Google Scholar] [CrossRef] [PubMed]
- Bonfá, M.R.; Grossman, M.J.; Piubeli, F.; Mellado, E.; Durrant, L.R. Phenol degradation by halophilic bacteria isolated from hypersaline environments. Biodegradation 2013, 24, 699–709. [Google Scholar] [CrossRef] [PubMed]
- Rani, L.; Thapa, K.; Kanojia, N.; Sharma, N.; Singh, S.; Grewal, A.S.; Srivastav, A.L.; Kaushal, J. An extensive review on the consequences of chemical pesticides on human health and environment. J. Clean. Prod. 2021, 283, 124657. [Google Scholar] [CrossRef]
- Peng, G.; Xie, J.; Guo, R.; Keyhani, N.O.; Zeng, D.; Yang, P.; Xia, Y. Long-term field evaluation and large-scale application of a Metarhizium anisopliae strain for controlling major rice pests. J. Pest Sci. 2021, 94, 969–980. [Google Scholar] [CrossRef]
- Tang, F.H.; Lenzen, M.; McBratney, A.; Maggi, F. Risk of pesticide pollution on a global scale. Natl. Geosci. 2021, 14, 206–210. [Google Scholar] [CrossRef]
- Solyanikova, I.P.; Emelyanova, E.V.; Shumkova, E.S.; Egorova, D.O.; Korsakova, E.S.; Plotnikova, E.G.; Golovleva, L.A. Peculiarities of the degradation of benzoate and its chloro- and hydroxy-substituted analogs by actinobacteria. Int. Biodeterior. Biodegrad. 2015, 100, 155–164. [Google Scholar] [CrossRef]
Disclaimer/Publisher’s Note: The statements, opinions and data contained in all publications are solely those of the individual author(s) and contributor(s) and not of MDPI and/or the editor(s). MDPI and/or the editor(s) disclaim responsibility for any injury to people or property resulting from any ideas, methods, instructions or products referred to in the content. |
© 2024 by the authors. Licensee MDPI, Basel, Switzerland. This article is an open access article distributed under the terms and conditions of the Creative Commons Attribution (CC BY) license (https://creativecommons.org/licenses/by/4.0/).


