Do Pentraxins Bind to Fungi in Invasive Human Gastrointestinal Candidiasis?
Abstract
1. Introduction
2. Methods
2.1. Staining Human Tissue
2.2. Immunohistochemistry
2.3. Clinical Information
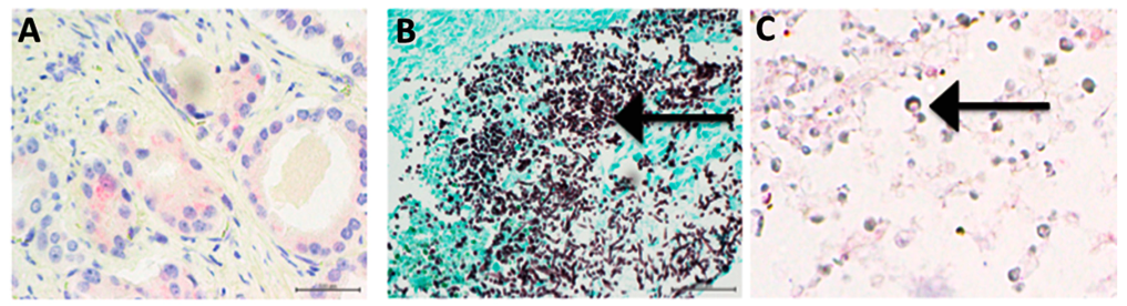
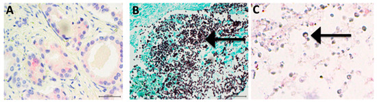
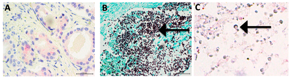
3. Results
4. Discussion
5. Conclusions
Author Contributions
Funding
Acknowledgments
Conflicts of Interest
References
- Du Clos, T.W. Pentraxins: Structure, functions, and role in inflammation. ISRN Inflamm. 2013. [Google Scholar] [CrossRef] [PubMed]
- Agrawal, A.; Singh, P.P.; Bottazzi, B.; Garlanda, C.; Mantovani, A. Pattern recognition by pentraxins. Adv. Exp. Med. Biol. 2009, 653, 98–116. [Google Scholar] [PubMed]
- Alsteen, D.; Garcia, M.C.; Lipke, P.N.; Dufrene, Y. Force-induced formation and propagation of adhesion nanodomains in living cells. Proc. Natl. Acad. Sci. USA 2010, 107, 20744–20749. [Google Scholar] [CrossRef] [PubMed]
- Gilchrist, K.B.; Garcia, M.C.; Sobonya, R.; Lipke, P.N.; Klotz, S.A. New features of invasive candidiasis in humans: Amyloid formation by fungi and deposition of serum amyloid P component by the host. J. Infect. Dis. 2012, 1473–1478. [Google Scholar] [CrossRef] [PubMed]
- Garcia-Sherman, M.C.; Lysak, N.; Filonenko, A.; Richards, H.; Sobonya, R.E.; Klotz, S.A.; Lipke, P.N. Peptide detection of fungal functional amyloids in infected tissue. PLoS ONE 2014, 9, e86067. [Google Scholar] [CrossRef] [PubMed]
- Garcia-Sherman, M.C.; Lundberg, T.; Sobonya, R.E.; Lipke, P.N.; Klotz SAGarcia-Sherman, M.C.; Lundberg, T.; Sobonya, R.E.; Lipke, P.N.; Klotz, S.A. A unique biofilm in human deep mycoses: Fungal amyloid is bound by host serum amyloid P component. NPJ Biofilms Microbiomes 2015, 1, 15009. [Google Scholar] [CrossRef] [PubMed]
- Thorn, J.L.; Gilchrist, K.B.; Sobonya, R.E.; Gaur, N.K.; Lipke, P.N.; Klotz, S.A. Postmortem candidemia. A reliable marker of disseminated candidiasis. J. Clin. Pathol. 2010, 63, 337–340. [Google Scholar] [CrossRef] [PubMed]
- Cox, N.; Pilling, D.; Gomer, R. Serum amyloid P: A systemic regulator of the innate immune response. J. Leukoc. Biol. 2014, 96, 739–743. [Google Scholar] [CrossRef] [PubMed]
- Pepys, M.B. C-reactive protein fifty years on. Lancet 1981, 317, 653–657. [Google Scholar] [CrossRef]
- Thompson, D.; Pepys, M.B.; Wood, S.P. The physiological structure of human C-reactive protein and its complex with phosphocholine. Structure 1999, 7, 169–177. [Google Scholar] [CrossRef]
- Garlanda, C. Non-redundant role of the long pentraxin PTX3 in anti-fungal innate immune response. Nature 2002, 420, 182–186. [Google Scholar] [CrossRef] [PubMed]
- Garcia, M.; Lipke, P.; Klotz, S. Pathogenic microbial amyloids: Their function and host response. OA Microbiol. 2013, 1, 2. [Google Scholar] [PubMed]
- Klotz, S.A.; Sobonya, R.E.; Lipke, P.N.; Garcia-Sherman, M.C. Serum amyloid P component and systemic fungal infections. Does it protect the host or is a Trojan horse? Open Forum Infect. Dis. 2016, 3. [Google Scholar] [CrossRef] [PubMed]
- Pepys, M.B. Pathogenesis, diagnosis and treatment of systemic amyloidosis. Philos. Trans. R Soc. Lond. B Biol. Sci. 2001, 356, 203–211. [Google Scholar] [CrossRef] [PubMed]
- Mikolajek, H.; Kolstoe, S.E.; Pye, V.E.; Mangione, P.; Pepys, M.B.; Wood, S.P. Structural basis of ligand specificity in human pentaxins, C-reactive protein and serum amyloid P component. J. Mol. Recognit. 2011, 24, 371–377. [Google Scholar] [CrossRef] [PubMed]
- Ballmann, G.E.; Caffin, W.L. Lipid synthesis during reinitiation of growth from stationary phase cultures of Candida albicans. Mycopathologica 1979, 30, 39–43. [Google Scholar] [CrossRef]
- Christner, R.B.; Mortensen, R.F. Binding of human serum amyloid P-component to phosphocholine. Arch. Biochem. Biophys. 1994, 14, 337–343. [Google Scholar] [CrossRef] [PubMed]
- Orlean, P. Architecture and biosynthesis of the Saccharomyces cerevisiae cell wall. Genetics 2012, 192, 775–818. [Google Scholar] [CrossRef] [PubMed]
- Bottazzi, B.; Doni, A.; Garland, C.; Montovani, A. An integrated view of humoral innate immunity: Pentraxins as a paradigm. Ann. Rev. Immunol. 2010. [Google Scholar] [CrossRef] [PubMed]
- Richardson, M.D.; Gray, C.A.; Shankland, G.S. Opsonic effect of C-reactive protein on phagocytosis and intracellular killing of virulent and attenuated strains of Candida albicans by human neutrophils. FEMS Microbiol. Immunol. 1991, 76, 341–344. [Google Scholar] [CrossRef]
- Caironi, P.; Masson, S.; Mauri, T.; Bottazzi, B.; Leone, R.; Magnoli, M.; Barlera, S.; Mamprin, F.; Fedele, A.; Mantovani, A.; et al. ALBIOS Biomarkers Study Investigators. Pentraxin 3 in patients with severre sepsis or shock: The ALBIOS trial. Eur. J. Clin. Investig. 2017, 47, 73–83. [Google Scholar] [CrossRef] [PubMed]
- Quan, L.; Fujita, M.Q.; Zhu, B.-L.; Ishida, K.; Maeda, H. Immunohistochemical distribution of C-reactive protein in the hepatic tissue in forensic autopsy. Forensic Sci. Int. 2000, 113, 177–182. [Google Scholar] [CrossRef]
- Lgeng’o, J.A.; Cohen, D.L.; Sayi, J.G.; Matuja, W.B.; Chande, H.M.; Kitinya, J.N.; Kimani, J.K.; Friedland, R.P.; Mori, H.; Kalaria, R.N. Cerebral amyloid B protein depositis and other Alzheimer lesions in non-demented elderly East Africans. Brain Pathol. 1996, 6, 101–108. [Google Scholar]
- Savchenko, A.S.; Imamura, M.; Ohashi, R.; Jiang, S.; Kawasaki, T.; Hasegawa, G.; Emura, I.; Iwanari, H.; Sagara, M.; Tanaka, T.; et al. Expression of pentraxin 3 (PTX3) in human atherosclerotic lesions. J. Pathol. 2008, 215, 48–55. [Google Scholar] [CrossRef] [PubMed]



| Candidal Lesion(s) * | Reduced Cellular Immunity | Cause of Death; Associated Problem(s) | Microbiology Cultures ** | Serum Amyloid P (SAP) on Fungi | Pentraxin 3 (PTX 3) on Fungi | C-Reactive Protein (CRP) on Fungi | PMN in Lesion *** | Lymph cells in Lesion *** |
|---|---|---|---|---|---|---|---|---|
| Esophagitis; myocarditis encephalitis | No | Prematurity necrotizing enterocolitis; disseminated candididasis | C. albicans, E. coli in blood | + | − | − | 1+ | 1+ |
| Esophagitis | No | Ischemic heart disease | Group D Streptococcus in blood | + | − | − | 0 | 0 |
| Esophagitis, gastritis | No | Sepsis; non-Hodgkins | C. albicans, Enterococcus in blood | + | − | − | 1+ | 1+ |
| Esophagitis, gastritis | No | Myocardial infarction | Yeast in lung (only yeasts were found in tissue) | - | − | − | 2+ | 2+ |
| Esophagitis | No | Pulmonary embolism | + | − | − | 1+ | 1+ | |
| Gastric ulcer | Yes | Sepsis; exsanguination; treated acute myelomonocytic leukemia | Candida sp., Enterococcus, Xanthomonas maltophilia in blood | + | − | − | 0 | 1+ |
| Esophagitis | Yes | Disseminated aspergillosis; pneumonitis; pancytopenia; acute myeloid leukemia | + | − | − | 2+ | 1+ | |
| Esophagitis | Yes | Hemorrhagic enterocolitis; acute lymphocytic leukemia; graft versus host disease | Disseminated aspergillosis | + | − | − | 0 | 1+ |
| Colitis | No | Sepsis; pseudomembranous colitis | C. krusei, Group D Streptococcus in blood; Aspergillus in tissue | + | − | − | 0 | 1+ |
| Gastric ulcer | No | Gastrointestinal hemorrhage; gastric ulcer | + | − | − | 3+ | 1+ | |
| Esophagitis | No | Ischemic heart disease | + | − | − | 0 | 0 | |
| Duodenal ulcer | No | Exsanguination from peptic ulcer | C. albicans in blood; yeasts in lung | + | − | − | 1+ | 1+ |
| Esophagitis | Yes | Sepsis; neutropenia; post-operative cancer resection of colon | Escherichia coli; viridans Streptococcus in blood; yeasts in lung | + | − | − | 0 | 1+ |
© 2018 by the authors. Licensee MDPI, Basel, Switzerland. This article is an open access article distributed under the terms and conditions of the Creative Commons Attribution (CC BY) license (http://creativecommons.org/licenses/by/4.0/).
Share and Cite
Golconda, U.; Sobonya, R.E.; Klotz, S.A. Do Pentraxins Bind to Fungi in Invasive Human Gastrointestinal Candidiasis? J. Fungi 2018, 4, 111. https://doi.org/10.3390/jof4030111
Golconda U, Sobonya RE, Klotz SA. Do Pentraxins Bind to Fungi in Invasive Human Gastrointestinal Candidiasis? Journal of Fungi. 2018; 4(3):111. https://doi.org/10.3390/jof4030111
Chicago/Turabian StyleGolconda, Umamaheshwari, Richard E. Sobonya, and Stephen A. Klotz. 2018. "Do Pentraxins Bind to Fungi in Invasive Human Gastrointestinal Candidiasis?" Journal of Fungi 4, no. 3: 111. https://doi.org/10.3390/jof4030111
APA StyleGolconda, U., Sobonya, R. E., & Klotz, S. A. (2018). Do Pentraxins Bind to Fungi in Invasive Human Gastrointestinal Candidiasis? Journal of Fungi, 4(3), 111. https://doi.org/10.3390/jof4030111
