Real-World Weekly Efficacy Analysis of Faricimab in Patients with Age-Related Macular Degeneration
Abstract
1. Introduction
2. Materials and Methods
2.1. Ethics
2.2. Study Design
2.3. Data Collection
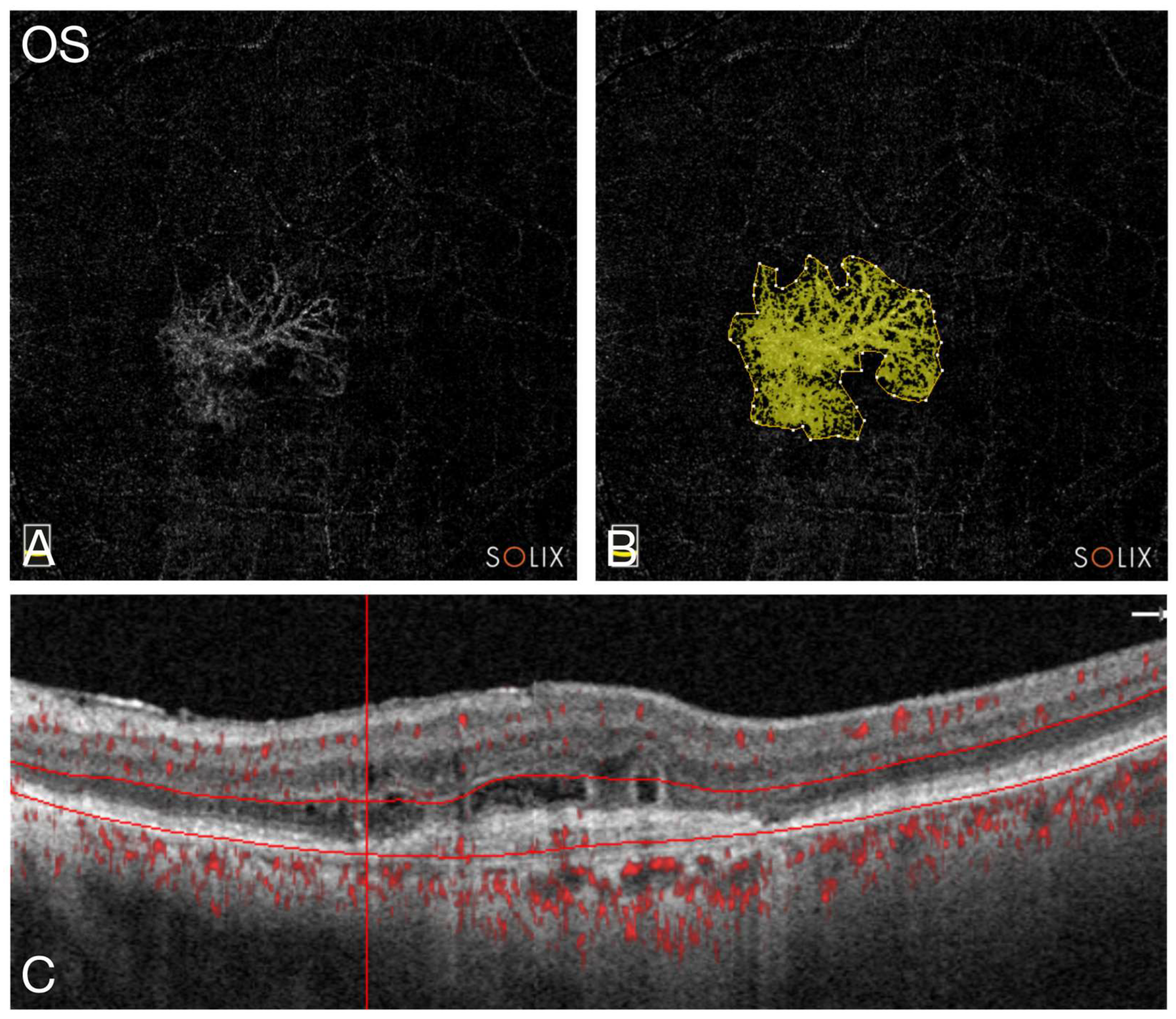
2.4. Image Analysis
2.5. Statistical Analysis
3. Results
3.1. Demographics
3.2. Safety
3.3. Efficacy
4. Discussion
Author Contributions
Funding
Institutional Review Board Statement
Informed Consent Statement
Data Availability Statement
Acknowledgments
Conflicts of Interest
Financial Disclosure (in alphabetic order)
References
- Michaelson, I.C. The mode of development of the vascular system of the retina with some observations on its significance for certain retinal disorders. Trans. Ophthalmol. Soc. UK 1948, 137–180. [Google Scholar]
- Senger, D.R.; Galli, S.J.; Dvorak, A.M.; Perruzzi, C.A.; Harvey, V.S.; Dvorak, H.F. Tumor cells secrete a vascular permeability factor that promotes accumulation of ascites fluid. Science 1983, 219, 983–985. [Google Scholar] [CrossRef] [PubMed]
- Lagrue, G.; Xheneumont, S.; Branellec, A.; Hirbec, G.; Weil, B. A vascular permeability factor elaborated from lymphocytes. I. Demonstration in patients with nephrotic syndrome. Biomedicine 1975, 23, 37–40. [Google Scholar] [PubMed]
- Ribatti, D. The crucial role of vascular permeability factor/vascular endothelial growth factor in angiogenesis: A historical review. Br. J. Haematol. 2005, 128, 303–309. [Google Scholar] [CrossRef] [PubMed]
- Leung, D.W.; Cachianes, G.; Kuang, W.J.; Goeddel, D.V.; Ferrara, N. Vascular endothelial growth factor is a secreted angiogenic mitogen. Science 1989, 246, 1306–1309. [Google Scholar] [CrossRef] [PubMed]
- Keck, P.J.; Hauser, S.D.; Krivi, G.; Sanzo, K.; Warren, T.; Feder, J.; Connolly, D.T. Vascular permeability factor, an endothelial cell mitogen related to PDGF. Science 1989, 246, 1309–1312. [Google Scholar] [CrossRef]
- Ferrara, N. Vascular endothelial growth factor: Basic science and clinical progress. Endocr. Rev. 2004, 25, 581–611. [Google Scholar] [CrossRef] [PubMed]
- Fregene, T.; Kellogg, C.; Pienta, K. Microvessel quantification as a measure of angiogenic activity in benign breast tissues lesions—a marker for precancerous disease. Int. J. Oncol. 1994, 4, 1199–1202. [Google Scholar] [CrossRef]
- Hanahan, D.; Folkman, J. Patterns and emerging mechanisms of the angiogenic switch during tumorigenesis. Cell 1996, 86, 353–364. [Google Scholar] [CrossRef]
- Kim, K.J.; Li, B.; Winer, J.; Armanini, M.; Gillett, N.; Phillips, H.S.; Ferrara, N. Inhibition of vascular endothelial growth factor-induced angiogenesis suppresses tumour growth in vivo. Nature 1993, 362, 841–844. [Google Scholar] [CrossRef]
- Ferrara, N. Role of vascular endothelial growth factor in physiologic and pathologic angiogenesis: Therapeutic implications. Semin. Oncol. 2002, 29 (Suppl. 16), 10–14. [Google Scholar] [CrossRef] [PubMed]
- Aiello, L.P.; Avery, R.L.; Arrigg, P.G.; Keyt, B.A.; Jampel, H.D.; Shah, S.T.; Pasquale, L.R.; Thieme, H.; Iwamoto, M.A.; Park, J.E.; et al. Vascular endothelial growth factor in ocular fluid of patients with diabetic retinopathy and other retinal disorders. N. Engl. J. Med. 1994, 331, 1480–1487. [Google Scholar] [CrossRef] [PubMed]
- Kim, L.A.; D’Amore, P.A. A brief history of anti-VEGF for the treatment of ocular angiogenesis. Am. J. Pathol. 2012, 181, 376–379. [Google Scholar] [CrossRef] [PubMed]
- Kvanta, A.; Algvere, P.V.; Berglin, L.; Seregard, S. Subfoveal fibrovascular membranes in age-related macular degeneration express vascular endothelial growth factor. Investig. Ophthalmol. Vis. Sci. 1996, 37, 1929–1934. [Google Scholar] [CrossRef]
- Miller, J.W.; Adamis, A.P.; Shima, D.T.; D’Amore, P.A.; Moulton, R.S.; O’Reilly, M.S.; Folkman, J.; Dvorak, H.F.; Brown, L.F.; Berse, B.; et al. Vascular endothelial growth factor/vascular permeability factor is temporally and spatially correlated with ocular angiogenesis in a primate model. Am. J. Pathol. 1994, 145, 574–584. [Google Scholar] [CrossRef] [PubMed]
- Kvanta, A. Ocular angiogenesis: The role of growth factors. Acta Ophthalmol. Scand. 2006, 84, 282–288. [Google Scholar] [CrossRef] [PubMed]
- Presta, L.G.; Chen, H.; O’Connor, S.J.; Chisholm, V.; Meng, Y.G.; Krummen, L.; Winkler, M.; Ferrara, N. Humanization of an anti-vascular endothelial growth factor monoclonal antibody for the therapy of solid tumors and other disorders. Cancer Res. 1997, 57, 4593–4599. [Google Scholar] [PubMed]
- Fogli, S.; Del Re, M.; Rofi, E.; Posarelli, C.; Figus, M.; Danesi, R. Clinical pharmacology of intravitreal anti-VEGF drugs. Eye 2018, 32, 1010–1020. [Google Scholar] [CrossRef] [PubMed]
- Ribatti, D. From the discovery of vascular endothelial growth factor to the introduction of avastin in clinical trials—An interview with Napoleone Ferrara by Domenico Ribatti. Int. J. Dev. Biol. 2011, 55, 383–388. [Google Scholar] [CrossRef]
- Ohr, M.; Kaiser, P.K. Aflibercept in wet age-related macular degeneration: A perspective review. Ther. Adv. Chronic Dis. 2012, 3, 153–161. [Google Scholar] [CrossRef]
- Fung, A.T.; Kumar, N.; Vance, S.K.; Slakter, J.S.; Klancnik, J.M.; Spaide, R.S.; Freund, K.B. Pilot study to evaluate the role of high-dose ranibizumab 2.0 mg in the management of neovascular age-related macular degeneration in patients with persistent/recurrent macular fluid < 30 days following treatment with intravitreal anti-VEGF therapy (the LAST Study). Eye 2012, 26, 1181–1187. [Google Scholar] [PubMed]
- Brown, D.M.; Chen, E.; Mariani, A.; Major, J.C., Jr.; SAVE Study Group. Super-dose anti-VEGF (SAVE) trial: 2.0 mg intravitreal ranibizumab for recalcitrant neovascular macular degeneration-primary end point. Ophthalmology 2013, 120, 349–354. [Google Scholar] [CrossRef] [PubMed]
- Wykoff, C.C.; Brown, D.M.; Chen, E.; Major, J.C.; Croft, D.E.; Mariani, A.; Wong, T.P.; Group, S.S. SAVE (Super-dose anti-VEGF) trial: 2.0 mg ranibizumab for recalcitrant neovascular age-related macular degeneration: 1-year results. Ophthalmic Surg. Lasers Imaging Retin. 2013, 44, 121–126. [Google Scholar] [CrossRef] [PubMed]
- Liberski, S.; Wichrowska, M.; Kociecki, J. Aflibercept versus Faricimab in the Treatment of Neovascular Age-Related Macular Degeneration and Diabetic Macular Edema: A Review. Int. J. Mol. Sci. 2022, 23, 9424. [Google Scholar] [CrossRef] [PubMed]
- Baumal, C.R.; Sorensen, T.L.; Karcher, H.; Freitas, R.L.; Becher, A.; Balez, S.; Clemens, A.; Singer, M.; Kodjikian, L. Efficacy and safety of brolucizumab in age-related macular degeneration: A systematic review of real-world studies. Acta Ophthalmol. 2023, 101, 123–139. [Google Scholar] [CrossRef] [PubMed]
- Shirley, M. Faricimab: First Approval. Drugs 2022, 82, 825–830. [Google Scholar] [CrossRef] [PubMed]
- Vabysmo®, Injektionslösung (Faricimabum). Available online: https://www.swissmedic.ch/swissmedic/en/home/humanarzneimittel/authorisations/new-medicines/vabysmo-injektionsloesung-faricimabum.html (accessed on 23 April 2024).
- Vabysmo. Available online: https://www.ema.europa.eu/en/medicines/human/EPAR/vabysmo (accessed on 23 April 2024).
- Heier, J.S.; Khanani, A.M.; Quezada Ruiz, C.; Basu, K.; Ferrone, P.J.; Brittain, C.; Figueroa, M.S.; Lin, H.; Holz, F.G.; Patel, V.; et al. Efficacy, durability, and safety of intravitreal faricimab up to every 16 weeks for neovascular age-related macular degeneration (TENAYA and LUCERNE): Two randomised, double-masked, phase 3, non-inferiority trials. Lancet 2022, 399, 729–740. [Google Scholar] [CrossRef] [PubMed]
- Jabs, D.A.; Nussenblatt, R.B.; Rosenbaum, J.T. Standardization of Uveitis Nomenclature Working G: Standardization of uveitis nomenclature for reporting clinical data. Results of the First International Workshop. Am. J. Ophthalmol. 2005, 140, 509–516. [Google Scholar] [PubMed]
- Early Treatment Diabetic Retinopathy Study Research Group. Grading diabetic retinopathy from stereoscopic color fundus photographs—an extension of the modified Airlie House classification. ETDRS report number 10. Early Treatment Diabetic Retinopathy Study Research Group. Ophthalmology 1991, 98 Suppl. 786–806, 5. [Google Scholar]
- Spaide, R.F.; Jaffe, G.J.; Sarraf, D.; Freund, K.B.; Sadda, S.R.; Staurenghi, G.; Waheed, N.K.; Chakravarthy, U.; Rosenfeld, P.J.; Holz, F.G.; et al. Consensus Nomenclature for Reporting Neovascular Age-Related Macular Degeneration Data: Consensus on Neovascular Age-Related Macular Degeneration Nomenclature Study Group. Ophthalmology 2020, 127, 616–636. [Google Scholar] [CrossRef]
- Muth, D.R.; Toro, M.D.; Bajka, A.; Jonak, K.; Rieder, R.; Kohler, M.M.; Gunzinger, J.M.; Souied, E.H.; Engelbert, M.; Freund, K.B.; et al. Correlation between Macular Neovascularization (MNV) Type and Druse Type in Neovascular Age-Related Macular Degeneration (AMD) Based on the CONAN Classification. Biomedicines 2022, 10, 2370. [Google Scholar] [CrossRef] [PubMed]
- Chae, B.; Jung, J.J.; Mrejen, S.; Gallego-Pinazo, R.; Yannuzzi, N.A.; Patel, S.N.; Chen, C.Y.; Marsiglia, M.; Boddu, S.; Freund, K.B. Baseline Predictors for Good versus Poor Visual Outcomes in the Treatment of Neovascular Age-Related Macular Degeneration with Intravitreal Anti-VEGF Therapy. Investig. Ophthalmol. Vis. Sci. 2015, 56, 5040–5047. [Google Scholar] [CrossRef]
- Mrejen, S.; Jung, J.J.; Chen, C.; Patel, S.N.; Gallego-Pinazo, R.; Yannuzzi, N.; Xu, L.; Marsiglia, M.; Boddu, S.; Freund, K.B. Long-Term Visual Outcomes for a Treat and Extend Anti-Vascular Endothelial Growth Factor Regimen in Eyes with Neovascular Age-Related Macular Degeneration. J. Clin. Med. 2015, 4, 1380–1402. [Google Scholar] [CrossRef] [PubMed]
- Freund, K.B.; Staurenghi, G.; Jung, J.J.; Zweifel, S.A.; Cozzi, M.; Hill, L.; Blotner, S.; Tsuboi, M.; Gune, S. Macular neovascularization lesion type and vision outcomes in neovascular age-related macular degeneration: Post hoc analysis of HARBOR. Graefes Arch. Clin. Exp. Ophthalmol. 2022, 260, 2437–2447. [Google Scholar] [CrossRef] [PubMed]
- Mathis, T.; Holz, F.G.; Sivaprasad, S.; Yoon, Y.H.; Eter, N.; Chen, L.J.; Koh, A.; Cunha de Souza, E.; Staurenghi, G. Characterisation of macular neovascularisation subtypes in age-related macular degeneration to optimise treatment outcomes. Eye 2023, 37, 1758–1765. [Google Scholar] [CrossRef] [PubMed]
- Schmidt-Erfurth, U.; Waldstein, S.M. A paradigm shift in imaging biomarkers in neovascular age-related macular degeneration. Prog. Retin. Eye Res. 2016, 50, 1–24. [Google Scholar] [CrossRef] [PubMed]
- Leung, E.H.; Oh, D.J.; Alderson, S.E.; Bracy, J.; McLeod, M.; Perez, L.I.; Bottini, A.; Chin Yee, D.; Mukkamala, K. Initial Real-World Experience with Faricimab in Treatment-Resistant Neovascular Age-Related Macular Degeneration. Clin. Ophthalmol. 2023, 17, 1287–1293. [Google Scholar] [CrossRef] [PubMed]
- Khanani, A.M.; Aziz, A.A.; Khan, H.; Gupta, A.; Mojumder, O.; Saulebayeva, A.; Abbey, A.M.; Almeida, D.R.P.; Avery, R.L.; Banda, H.K.; et al. The real-world efficacy and safety of faricimab in neovascular age-related macular degeneration: The TRUCKEE study—6 month results. Eye 2023, 37, 3574–3581. [Google Scholar] [CrossRef]
- Ng, B.; Kolli, H.; Ajith Kumar, N.; Azzopardi, M.; Logeswaran, A.; Buensalido, J.; Mushtaq, B.; Chavan, R.; Chong, Y.J. Real-World Data on Faricimab Switching in Treatment-Refractory Neovascular Age-Related Macular Degeneration. Life 2024, 14, 193. [Google Scholar] [CrossRef]
- Csaky KGea: Ang-2/VEGF Biology and Intraocular Suppression Following Intravitreal Administration of Faricimab. In Proceedings of the Angiogenesis, Exudation, and Degeneration 2023 Virtual Edition, Virtual, 11 February 2023.


| AMD Switched | AMD Treatment-Naïve | |
|---|---|---|
| Number of eyes [n] (patients) | 57 (48) | 6 (5) |
| Age [years] median [Q1–Q3] | 80 [74–86] | 81 (78–89) [80–81] |
| Gender ratio of patients (female/male) | 24 (50%):24 (50%) | 2 (40%):3 (60%) |
| Eye ratio (OD:OS) | 29 (51%):28 (49%) | 3 (50%):3 (50%) |
| SE at baseline [dioptres] mean ± SD [95%CI] | −0.46 ± 1.40 [−0.83; −0.09] | 1.06 ± 1.75 [−0.78; 2.90] |
| MNV type at baseline according to CONAN classification | MNV 1: 35 (61%) MNV 2 and mixed 1/2: 15 (25%) MNV 3 and any type 3 combination: 6 (11%) Not identifiable: 1 (2%) | MNV 1: 1 (17%) MNV 2 and mixed 1/2: 0 MNV 3 and any type 3 combination: 4 (67%) MNV mixed (1/2 or 1/3): 0 Not identifiable: 1 (17%) |
| Previous number of IVTs (median [Q1–Q3]) | 33 [14–53] | N/A |
| Previous IVT drugs (in alphabetical order) | aflibercept, bevacizumab, ranibizumab | N/A |
| Previous IVT interval (median [Q1–Q3]) | 4 [4–5] | N/A |
| BL | FU 1wk | FU 2wk | FU 3wk | FU 4wk | T BL vs. FU 4wk | |
|---|---|---|---|---|---|---|
| AMD switched | ||||||
| IOP [mmHg] mean [95%CI] | 13 ± 2.8 [12; 14] | 12 ± 3.1 [11; 13] | 12 ± 2.5 [11; 13] | 13 ± 2.8 [12; 14] | 13 ± 2.9 [12; 14] | * p < 0.0001 |
| AC cells [no. of cells within 1 mm × 1 mm slit beam field] | 0 | 0 | 1+ (1 eye) | 0.5+ (1 eye) | 0 | N/A |
| AC flare | 0 | 0 | 0 | 0 | 0 | N/A |
| Vitreous cells [no. of cells within 1 mm × 1 mm slit beam field] | 0 | 0 | 0 | 0 | 0 | N/A |
| Retinal vessel status | OK | OK | OK | OK | OK | N/A |
| AMD treatment-naïve | ||||||
| IOP [mmHg] at baseline mean [95%CI] | 13 ± 1.3 [12; 15] | 14 # | 12 ± 2.3 # | 12 ± 1.4 # | 13 ± 1.3 [12; 14] | p = # |
| AC cells [no. of cells within 1 mm × 1 mm slit beam field] | 0 | 0 | 0 | 0 | 0 | N/A |
| AC flare | 0 | 0 | 0 | 0 | 0 | N/A |
| Vitreous cells [no. of cells within 1 mm x 1 mm slit beam field] | 0 | 0 | 0 | 0 | 0 | N/A |
| Retinal vessel status | 0 | 0 | 0 | 0 | 0 | N/A |
| AMD Switched | BL (n = 57) | FU 1wk (n = 27) | FU 2wk (n = 26) | FU 3wk (n = 25) | FU 4wk (n = 57) | BL vs. FU 4wk |
|---|---|---|---|---|---|---|
| CVA [correctly read ETDRS letters] mean [95% CI] | 63.2 ± 18.5 [58.3; 68.1] MNV1: 64.9 ± 16.8 [59.2; 70.7] MNV2 and 1/2: 60.3 ± 23.8 [47.1; 73.4] MNV3 and any type 3: 65.8 ± 10.6 [54.7; 77.0] | 66.4 ± 17.0 [60.2; 72.5] MNV1: 64.8 ± 19.4 [55.9; 73.6] MNV2 and 1/2: 71.9 ± 11.1 [62.6; 81.1] MNV3 and any type 3: 63.0 ± 11.5 [34.4; 91.6] | 67.8 ± 18.1 [60.5; 75.1] MNV1: 64.1 ± 21.5 [52.6; 75.5] MNV2 and 1/2: 77.6 ± 3.4 [74.4; 80.7] MNV3 and any type 3: 65.0 ± 12.0 [35.2; 94.8] | 68.1 ± 16.5 [61.3; 74.9] MNV1: 66.2 ± 19.1 [56.0; 62.6] MNV2 and 1/2: 75.3 ± 5.2 [69.8; 80.8] MNV3 and any type 3: 64.0 ± 15.9 [24.6; 103.4] | 63.3 ± 19.7 [58.1; 68.5] MNV1: 65.4 ± 18.0 [59.2; 71.6] MNV2 and 1/2: 59.3 ± 24.7 [45.7; 73.0] MNV3 and any type 3: 66.0 ± 12.5 [52.9; 79.1] | ∆ +0.1 W: p = 0.86970 |
| CST [µm] mean [95% CI] | 317.0 ± 78.6 [296.2; 337.8] MNV1: 315.9 ± 80.8 [288.1; 343.6] MNV2 and 1/2: 346.9 ± 69.9 [308.2; 385.7] MNV3 and any type 3: 268.5 ± 47.7 [218.5; 318.5] | 286.4 ± 63.8 [263.4; 309.4] MNV1: 280.9 ± 54.7 [256.0; 305.8] MNV2 and 1/2: 318.8 ± 84.5 [248.1; 389.4] MNV3 and any type 3: 238.3 ± 8.3 [217.6; 259.0] | 259.1 ± 47.4 [240.0; 278.3] MNV1: 259.5 ± 43.5 [236.3; 282.7] MNV2 and 1/2: 271.4 ± 62.6 [213.5; 329.3] MNV3 and any type 3: 228.3 ± 11.5 [199.8; 256.9] | 255.7 ± 52.2 [234.2; 277.2] MNV1: 249.6 ± 29.4 [234.0; 265.3] MNV2 and 1/2: 286.8 ± 92.6 [189.7; 384.0] MNV3 and any type 3: 225.7 ±13.4 [192.3; 259.0] | 289.0 ± 89.0 [265.4; 312.6] MNV1: 285.7 ± 89.0 [255.1; 316.3] MNV2 and 1/2: 325.3 ± 94.3 [273.1; 377.5] MNV3 and any type 3: 234.5 ±18.5 [215.1; 253.9] | ∆ −27.9 W: * p = 0.00383 |
| CSV [mm3] mean [95% CI] | 0.249 ± 0.061 [0.233; 0.265] MNV1: 0.248 ± 0.062 [0.227; 0.269] MNV2 and 1/2: 0.273 ± 0.055 [0.243; 0.304] MNV3 and any type 3: 0.212 ± 0.038 [0.172; 0.252] | 0.217 ± 0.047 [0.199; 0.236] MNV1: 0.206 ± 0.029 [0.191; 0.222] MNV2 and 1/2: 0.251 ± 0.065 [0.197; 0.306] MNV3 and any type 3: 0.187 ± 0.006 [0.172; 0.201] | 0.202 ± 0.038 [0.186; 0.218] MNV1: 0.203 ± 0.035 [0.183; 0.222] MNV2 and 1/2: 0.210 ± 0.050 [0.164; 0.256] MNV3 and any type 3: 0.180 ± 0.010 [0.155; 0.205] | 0.198 ± 0.037 [0.182; 0.214] MNV1: 0.196 ± 0.024 [0.183; 0.208] MNV2 and 1/2: 0.218 ± 0.070 [0.131; 0.305] MNV3 and any type 3: 0.177 ± 0.012 [0.148; 0.205] | 0.228 ± 0.072; [0.209; 0.247] MNV1: 0.226 ± 0.074 [0.201; 0.252] MNV2 and 1/2: 0.255 ± 0.073 [0.215; 0.296] MNV3 and any type 3: 0.185 ± 0.014 [0.171; 0.199] | ∆ −0.021 W: * p = 0.00702 |
| MNV flow area [mm2] mean [95% CI] | 3.07 ± 2.61 [2.09; 4.04] MNV1: 3.66 ± 2.81 [2.34; 4.97] MNV2 and 1/2: 2.36 ± 1.91 [0.59; 4.12] MNV3 and any type 3: 0.79 ± 0.27 [0.11; 1.47] | 2.84 ± 2.62 [1.39; 4.29] MNV1: 2.98 ± 3.02 [0.81; 5.14] MNV2 and 1/2: 3.16 ± 1.44 [0.88; 5.45] MNV3 and any type 3: 0.16 ± # | 2.62 ± 2.18 [1.46; 3.78] MNV1: 2.81 ± 2.57 [0.97; 4.65] MNV2 and 1/2: 2.30 ± 1.47 [0.75; 3.84] MNV3 and any type 3: # | 2.62 ± 2.26 [1.36; 3.87] MNV1: 2.78 ± 2.62 [0.91; 4.66] MNV2 and 1/2: 2.28 ± 1.50 [0.43; 4.14] MNV3 and any type 3: # | 2.83 ± 2.45 [1.64; 4.01] MNV1: 3.07 ± 2.86 [1.35; 4.80] MNV2 and 1/2: 2.29 ± 1.25 [0.98; 3.60] MNV3 and any type 3: # | ∆ −0.24 W: p = 0.62916 |
| No. eyes IRF No. eyes SRF No. eyes IRF + SRF No. eyes dry (dryness rate) | 34/57 (60%) 19/57 (33%) 4/57 (7%) 0/57 (0%) | 9/27 (33%) 7/27 (26%) 0 (0%) 11/27 (41%) | 9/26 (35%) 2/26 (8%) 1/26 (4%) 14/26 (54%) | 9/25 (36%) 2/25 (8%) 1/25 (4%) 13/25 (52%) | 22/57 (39%) 9/57 (16%) 3/57 (5%) 23/57 (40%) | N/A |
| AMD treatment-naïve | BL (n = 6) | FU 1wk (n = 2) | FU 2wk (n = 2) | FU 3wk (n = 2) | FU 4wk (n = 4) | BL vs. FU 4wk |
| CVA [correctly read ETDRS letters] mean [95% CI] | 69.2 ± 10.5 [58.2; 80.1] MNV1: 56.0 ± # MNV2 and 1/2: # MNV3 and any type 3: 73.3 ± 9.9 [57.4; 89.1] | 83.0 ± # MNV1: # MNV2 and 1/2: # MNV3 and any type 3: 83.0 ± # | 78.5 ± 7.8 [8.6; 148.4] MNV1: # MNV2 and 1/2: # MNV3 and any type 3: 78.5 ± 7.8 [8.6; 78.3] | 79.0 ± 8.5 [2.8; 155.2] MNV1: # MNV2 and 1/2: # MNV3 and any type 3: 79.0 ± 8.5 | 67.3 ± 11.4 [55.4; 79.3] MNV1: 65.0 ± # MNV2 and 1/2: # MNV3 and any type 3: 66.5 ± 14.2 [43.8; 89.2] | ∆ −1.9 W: # |
| CST [µm] mean [95% CI] | 401.8 ± 121.3 [274.6; 529.1] MNV1: 509 # MNV2 and 1/2: # MNV3 and any type 3: 339.5 ± 93.6 [190.5; 488.5] | 293.0 ± # MNV1: # MNV2 and 1/2: # MNV3 and any type 3: 293.0 ± # | 329.5 ± 53.0 [−147.0; 806.0] MNV1: # MNV2 and 1/2: # MNV3 and any type 3: 329.5 ± 53.0 | 342.0 ± 79.2 [−369.6; 1053.6] MNV1: # MNV2 and 1/2: # MNV3 and any type 3: 342.0 ± 79.2 [−369.5; 1053.5] | 303.0 ± 97.9 [200.3; 405.7] MNV1: 239.0 ± # MNV2 and 1/2: # MNV3 and any type 3: 323.5 ± 118.0 [135.7; 511.3] | ∆ −98.8 W: # |
| CSV [mm3] mean [95% CI] | 0.317 ± 0.095 [0.217; 0.416] MNV1: 0.400 # MNV2 and 1/2: # MNV3 and any type 3: 0.268 ± 0.072 | 0.230 ± # MNV1: # MNV2 and 1/2: # MNV3 and any type 3: 0.230 ± # | 0.260 ± 0.042 [−0.121; 0.641] MNV1: # MNV2 and 1/2: # MNV3 and any type 3: 0.260 ± 0.042 | 0.265 ± 0.064 [−0.307; 0.837] MNV1: # MNV2 and 1/2: # MNV3 and any type 3: 0.265 ± 0.064 [−0.307; 0.837] | 0.260 ± 0.088 [0.121; 0.399] MNV1: 3 MNV2 and 1/2: # MNV3 and any type 3: 0.273 ± 0.102 [0.020; 0.527] | ∆ −0.057 W: # |
| MNV flow area [mm2] mean [95% CI] | 1.75 ± # MNV1: # MNV2 and 1/2: # MNV3 and any type 3: 1.75 ± # | 2.16 ± 0.66 [−3.77; 8.09] MNV1: # MNV2 and 1/2: # MNV3 and any type 3: 2.16 ± 0.66 [−3.77; 8.09] | 2.80 ± # MNV1: # MNV2 and 1/2: # MNV3 and any type 3: 2.80 ± # | 1.69 ± # MNV1: # MNV2 and 1/2: # MNV3 and any type 3: 1.69 ± # | 0.61 ± # MNV1: # MNV2 and 1/2: # MNV3 and any type 3: 0.61 ± # | ∆ −1.14 W: # |
| No. eyes IRF No. eyes SRF No. eyes IRF + SRF No. eyes dry (dryness rate) | 5/6 (83%) 1/6 (17%) 0/6 (0%) 0/6 (0%) | 1/1 (100%) 0/1 (0%) 0/1 (0%) 0/1 (0%) | 1/2 (50%) 0/2 (0%) 0/2 (0%) 1/2 (50%) | 1/2 (50%) 0/2 (0%) 0/2 (0%) 1/2 (50%) | 1/4 (25%) 0/4 (0%) 0/4 (0%) 3/4 (75%) | N/A |
Disclaimer/Publisher’s Note: The statements, opinions and data contained in all publications are solely those of the individual author(s) and contributor(s) and not of MDPI and/or the editor(s). MDPI and/or the editor(s) disclaim responsibility for any injury to people or property resulting from any ideas, methods, instructions or products referred to in the content. |
© 2024 by the authors. Licensee MDPI, Basel, Switzerland. This article is an open access article distributed under the terms and conditions of the Creative Commons Attribution (CC BY) license (https://creativecommons.org/licenses/by/4.0/).
Share and Cite
Muth, D.R.; Fasler, K.F.; Kvanta, A.; Rejdak, M.; Blaser, F.; Zweifel, S.A. Real-World Weekly Efficacy Analysis of Faricimab in Patients with Age-Related Macular Degeneration. Bioengineering 2024, 11, 478. https://doi.org/10.3390/bioengineering11050478
Muth DR, Fasler KF, Kvanta A, Rejdak M, Blaser F, Zweifel SA. Real-World Weekly Efficacy Analysis of Faricimab in Patients with Age-Related Macular Degeneration. Bioengineering. 2024; 11(5):478. https://doi.org/10.3390/bioengineering11050478
Chicago/Turabian StyleMuth, Daniel R., Katrin F. Fasler, Anders Kvanta, Magdalena Rejdak, Frank Blaser, and Sandrine A. Zweifel. 2024. "Real-World Weekly Efficacy Analysis of Faricimab in Patients with Age-Related Macular Degeneration" Bioengineering 11, no. 5: 478. https://doi.org/10.3390/bioengineering11050478
APA StyleMuth, D. R., Fasler, K. F., Kvanta, A., Rejdak, M., Blaser, F., & Zweifel, S. A. (2024). Real-World Weekly Efficacy Analysis of Faricimab in Patients with Age-Related Macular Degeneration. Bioengineering, 11(5), 478. https://doi.org/10.3390/bioengineering11050478

