Dynamic Focus on Tumor Boundaries: A Lightweight U-Net for MRI Brain Tumor Segmentation
Abstract
1. Introduction
- We propose an innovative model that integrates spatial attention modules into the U-Net [4] architecture, allowing the network to focus on the most critical regions of MRI scans. This approach enables more precise and context-aware segmentation, particularly in delineating tumor boundaries where traditional U-Net [4] models may struggle due to noisy backgrounds or low-contrast regions.
- The spatial attention module selectively emphasizes informative areas within the feature maps, enhancing the model’s capability to capture subtle and complex patterns in tumor regions. This modification enhances the model’s accuracy in identifying fine-grained details essential for clinical diagnosis.
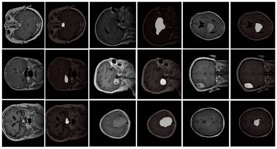
- Our model was evaluated on the Figshare dataset, which includes annotated MRI images of different brain tumor types: meningioma, glioma, and pituitary tumors. We provide a comprehensive comparison against leading segmentation models. Our results demonstrate that the proposed model achieves superior performance across metrics like accuracy, DSC, precision, and recall, confirming its robustness and reliability for clinical application.
- We introduce a preprocessing pipeline that includes normalization, resizing, histogram equalization, and data augmentation techniques. This pipeline, tailored for medical imaging, contributes to improved model generalization and robustness in segmentation performance, addressing common challenges in medical image analysis due to variations in imaging protocols.
2. Related Work
2.1. U-Net and Variants for Medical Image Segmentation
2.2. Attention Mechanisms in Medical Imaging
3. The Methodology
| Algorithm 1. Modified U-Net with spatial attention for brain tumor segmentation |
| initialize U_Net with encoder_decoder_structure integrate spatial_attention_module in specific layers for each batch (Input_Image, Ground_Truth) in Training_Data: Encoder_Features = [] for each layer in Encoder: Feature_Map = apply_convolution(layer, Input_Image) Feature_Map = apply_activation(ReLU, Feature_Map) Feature_Map = max_pooling(Feature_Map) Encoder_Features.append(Feature_Map) Input_Image = Feature_Map Bottleneck_Output = apply_convolution(Bottleneck, Input_Image) Bottleneck_Output = apply_activation(ReLU, Bottleneck_Output) for each Spatial_Attention_Layer in Attention_Module: Attention_Map = compute_attention(Bottleneck_Output) Attention_Map = sigmoid(Attention_Map) Bottleneck_Output = multiply (Bottleneck_Output, Attention_Map) for i in range(len(Decoder)): Up_Sampled_Feature = upsample(Decoder[i], Bottleneck_Output) Skip_Feature = Encoder_Features[−(i + 1)] Concatenated_Features = concatenate (Up_Sampled_Feature, Skip_Feature) Bottleneck_Output = apply_convolution(Decoder[i], Concatenated_Features) Bottleneck_Output = apply activation (ReLU, Bottleneck_Output) Output_Mask = apply convolution (Output_Layer, Bottleneck_Output) Output_Mask = sigmoid(Output_Mask) Loss = compute loss (Binary_Cross_Entropy, Output_Mask, Ground_Truth) back propagate (Loss, Model_Parameters) for each batch (Input_Image, Ground_Truth) in Validation_Data: Predicted_Mask = Model.forward(Input_Image) evaluate_metrics(Predicted_Mask, Ground_Truth) for each Predicted_Mask in Test_Data: Final_Mask = connected_component_analysis(Predicted_Mask) save_results(Final_Mask) |
3.1. U-Net
3.2. Spatial Attention Model
3.3. Rethinking the U-Net
4. Experiments and Results
4.1. The Dataset
4.2. Evaluation Criteria
4.3. Metrics
4.4. Experimental Results
4.5. Comparative Analysis of Segmentation Models
4.6. Real-World Workload Evaluation
5. Discussion
6. Conclusions
Author Contributions
Funding
Institutional Review Board Statement
Informed Consent Statement
Data Availability Statement
Conflicts of Interest
References
- Abdusalomov, A.B.; Mukhiddinov, M.; Whangbo, T.K. Brain tumor detection based on deep learning approaches and magnetic resonance imaging. Cancers 2023, 15, 4172. [Google Scholar] [CrossRef] [PubMed]
- Khan, M.F.; Iftikhar, A.; Anwar, H.; Ramay, S.A. Brain Tumor Segmentation and Classification using Optimized Deep Learning. J. Comput. Biomed. Inform. 2024, 7, 632–640. [Google Scholar]
- Rasheed, Z.; Ma, Y.K.; Ullah, I.; Ghadi, Y.Y.; Khan, M.Z.; Khan, M.A.; Abdusalomov, A.; Alqahtani, F.; Shehata, A.M. Brain tumor classification from MRI using image enhancement and convolutional neural network techniques. Brain Sci. 2023, 13, 1320. [Google Scholar] [CrossRef]
- Ronneberger, O.; Fischer, P.; Brox, T. U-net: Convolutional networks for biomedical image segmentation. In Medical Image Computing and Computer-Assisted Intervention–MICCAI 2015: 18th International Conference, Munich, Germany, 5–9 October 2015, Proceedings, Part III 18; Springer International Publishing: Berlin/Heidelberg, Germany, 2015; pp. 234–241. [Google Scholar]
- Akter, A.; Nosheen, N.; Ahmed, S.; Hossain, M.; Yousuf, M.A.; Almoyad, M.A.A.; Hasan, K.F.; Moni, M.A. Robust clinical applicable CNN and U-Net based algorithm for MRI classification and segmentation for brain tumor. Expert Syst. Appl. 2024, 238, 122347. [Google Scholar] [CrossRef]
- Iriawan, N.; Pravitasari, A.A.; Nuraini, U.S.; Nirmalasari, N.I.; Azmi, T.; Nasrudin, M.; Fandisyah, A.F.; Fithriasari, K.; Purnami, S.W.; Irhamah Ferriastuti, W. YOLO-UNet Architecture for Detecting and Segmenting the Localized MRI Brain Tumor Image. Appl. Comput. Intell. Soft Comput. 2024, 2024, 3819801. [Google Scholar] [CrossRef]
- Abdusalomov, A.; Mirzakhalilov, S.; Dilnoza, Z.; Zohirov, K.; Nasimov, R.; Umirzakova, S.; Cho, Y.I. Lightweight Super-Resolution Techniques in Medical Imaging: Bridging Quality and Computational Efficiency. Bioengineering 2024, 11, 1179. [Google Scholar] [CrossRef]
- Yang, Y.; Wang, P.; Yang, Z.; Zeng, Y.; Chen, F.; Wang, Z.; Rizzo, S. Segmentation method of magnetic resonance imaging brain tumor images based on improved UNet network. Transl. Cancer Res. 2024, 13, 1567. [Google Scholar] [CrossRef] [PubMed]
- Aamir, M.; Rahman, Z.; Dayo, Z.A.; Abro, W.A.; Uddin, M.I.; Khan, I.; Imran, A.S.; Ali, Z.; Ishfaq, M.; Guan, Y.; et al. A deep learning approach for brain tumor classification using MRI images. Comput. Electr. Eng. 2022, 101, 108105. [Google Scholar] [CrossRef]
- Seetha, J.; Raja, S.S. Brain tumor classification using convolutional neural networks. Biomed. Pharmacol. J. 2018, 11, 1457. [Google Scholar] [CrossRef]
- Panda, B.; Panda, C.S. A review on brain tumor classification methodologies. Int. J. Sci. Res. Sci. Technol. 2019, 6, 346–359. [Google Scholar] [CrossRef]
- Tapasvi, B.; Gnanamanoharan, E.; Kumar, N.U. Brain Tumor Semantic Segmentation using U-Net and Moth Flame Optimization. J. Intell. Syst. Internet Things 2024, 13, 334–346. [Google Scholar]
- Milletari, F.; Navab, N.; Ahmadi, S.A. V-net: Fully convolutional neural networks for volumetric medical image segmentation. In Proceedings of the 2016 Fourth International Conference on 3D Vision (3DV), Stanford, CA, USA, 25–28 October 2016; IEEE: Piscataway, NJ, USA, 2016; pp. 565–571. [Google Scholar]
- Diakogiannis, F.I.; Waldner, F.; Caccetta, P.; Wu, C. ResUNet-a: A deep learning framework for semantic segmentation of remotely sensed data. ISPRS J. Photogramm. Remote Sens. 2020, 162, 94–114. [Google Scholar] [CrossRef]
- Ali, S.; Khurram, R.; Rehman, K.U.; Yasin, A.; Shaukat, Z.; Sakhawat, Z.; Mujtaba, G. An improved 3D U-Net-based deep learning system for brain tumor segmentation using multi-modal MRI. Multimed. Tools Appl. 2024, 83, 85027–85046. [Google Scholar] [CrossRef]
- Esmaeilzadeh Asl, S.; Chehel Amirani, M.; Seyedarabi, H. Brain tumors segmentation using a hybrid filtering with U-Net architecture in multimodal MRI volumes. Int. J. Inf. Technol. 2024, 16, 1033–1042. [Google Scholar] [CrossRef]
- Liu, L.; Xia, K. BTIS-Net: Efficient 3D U-Net for Brain Tumor Image Segmentation. IEEE Access 2024, 12, 133392–133405. [Google Scholar] [CrossRef]
- Hassanin, M.; Anwar, S.; Radwan, I.; Khan, F.S.; Mian, A. Visual attention methods in deep learning: An in-depth survey. Inf. Fusion 2024, 108, 102417. [Google Scholar] [CrossRef]
- Rasheed, Z.; Ma, Y.K.; Ullah, I.; Al-Khasawneh, M.; Almutairi, S.S.; Abohashrh, M. Integrating Convolutional Neural Networks with Attention Mechanisms for Magnetic Resonance Imaging-Based Classification of Brain Tumors. Bioengineering 2024, 11, 701. [Google Scholar] [CrossRef] [PubMed]
- Oktay, O.; Schlemper, J.; Folgoc, L.L.; Lee, M.; Heinrich, M.; Misawa, K.; Mori, K.; McDonagh, S.; Hammerla, N.Y.; Kainz, B.; et al. Attention u-net: Learning where to look for the pancreas. arXiv 2018, arXiv:1804.03999. [Google Scholar]
- Mohanty, B.C.; Subudhi, P.K.; Dash, R.; Mohanty, B. Feature-enhanced deep learning technique with soft attention for MRI-based brain tumor classification. Int. J. Inf. Technol. 2024, 16, 1617–1626. [Google Scholar] [CrossRef]
- Jeong, H.; Lim, H.; Yoon, C.; Won, J.; Lee, G.Y.; de la Rosa, E.; Kirschke, J.S.; Kim, B.; Kim, N.; Kim, C. Robust Ensemble of Two Different Multimodal Approaches to Segment 3D Ischemic Stroke Segmentation Using Brain Tumor Representation Among Multiple Center Datasets. J. Imaging Inform. Med. 2024, 37, 2375–2389. [Google Scholar] [CrossRef] [PubMed]
- Wang, S.; Li, L.; Zhuang, X. AttU-Net: Attention U-Net for brain tumor segmentation. In International MICCAI Brainlesion Workshop; Springer International Publishing: Cham, Switzerland, 2021; pp. 302–311. [Google Scholar]
- Ullah, Z.; Usman, M.; Jeon, M.; Gwak, J. Cascade multiscale residual attention cnns with adaptive roi for automatic brain tumor segmentation. Inf. Sci. 2022, 608, 1541–1556. [Google Scholar] [CrossRef]
- Chen, L.C.; Zhu, Y.; Papandreou, G.; Schroff, F.; Adam, H. Encoder-decoder with atrous separable convolution for semantic image segmentation. In Proceedings of the European Conference on Computer Vision (ECCV), Munich, Germany, 8–14 September 2018; Proceedings, Part XV. Springer: Berlin/Heidelberg, Germany, 2018; pp. 801–818. [Google Scholar]
- Isensee, F.; Jaeger, P.F.; Kohl, S.A.; Petersen, J.; Maier-Hein, K.H. nnU-Net: A self-configuring method for deep learning-based biomedical image segmentation. Nat. Methods 2021, 18, 203–211. [Google Scholar] [CrossRef]
- Liu, Z.; Tong, L.; Chen, L.; Jiang, Z.; Zhou, F.; Zhang, Q.; Zhang, X.; Jin, Y.; Zhou, H. Deep learning based brain tumor segmentation: A survey. Complex Intell. Syst. 2023, 9, 1001–1026. [Google Scholar] [CrossRef]
- Aggarwal, M.; Tiwari, A.K.; Sarathi, M.P.; Bijalwan, A. An early detection and segmentation of Brain Tumor using Deep Neural Network. BMC Med. Inform. Decis. Mak. 2023, 23, 78. [Google Scholar] [CrossRef]




| Study | Methodology | Findings | Strengths | Limitations |
|---|---|---|---|---|
| Attention U-Net [20] | Introduced attention gates to U-Net. | Improved segmentation of target regions by suppressing irrelevant areas. | Effective for high-contrast regions and small lesions. | Limited performance in low-contrast or noisy images. |
| DeepLab V3+ [25] | Used atrous convolutions for multi-scale features. | Achieved high accuracy for diverse tumor morphologies. | Strong boundary delineation with multi-scale representation. | Computationally expensive and sensitive to hyperparameter tuning. |
| nnU-Net [26] | Self-configuring U-Net-based framework. | Demonstrated state-of-the-art performance across medical imaging tasks. | Highly adaptive to dataset characteristics. | Requires extensive computational resources for optimal tuning. |
| ResUNet-a [14] | Integrated residual connections into U-Net. | Enhanced gradient flow and reduced vanishing gradient issues. | Good performance in large-scale and high-resolution images. | Struggles with smaller regions and overlapping tumors. |
| Proposed Model | Modified U-Net with spatial attention. | Achieved superior boundary delineation, particularly in low-contrast and overlapping regions. | Lightweight design, robust boundary accuracy. | Sensitive to extreme noise; requires preprocessing consistency. |
| (down sampling) |
|---|
| ResBlock_1 |
| Conv2d [3 × 3, f_in = 3, f_out = 16] |
| ReLU(max(0,x)) |
| Conv2d [3 × 3, f_in = 16, f_out = 16] |
| ReLU(max(0,x)) |
| Conv2d [3 × 3, f_in = 16, f_out = 16] |
| Spatial Attention Block_1 |
| Concat(AvgPooling, MaxPooling) |
| Conv2d [1 × 1, f_in = 32, f_out = 32] |
| Sigmoid() |
| Conv2d [1 × 1, f_in = 16, f_out = 32] |
| MaxPooling |
| Multiplication |
| ResBlock_2 |
| Conv2d [3 × 3, f_in = 32, f_out = 32] |
| ReLU(max(0,x)) |
| Conv2d [3 × 3, f_in = 32, f_out = 32] |
| ReLU(max(0,x)) |
| Conv2d [3 × 3, f_in = 32, f_out = 32] |
| MaxPooling |
| ResBlock_3 |
| Conv2d [3 × 3, f_in = 32, f_out = 64] |
| ReLU(max(0,x)) |
| Conv2d [3 × 3, f_in = 64, f_out = 64] |
| ReLU(max(0,x)) |
| Conv2d [3 × 3, f_in = 64, f_out = 64] |
| Spatial Attention Block_2 |
| Concat(AvgPooling, MaxPooling) |
| Conv2d [1 × 1, f_in = 64, f_out = 128] |
| Sigmoid() |
| Conv2d [1 × 1, f_in = 64, f_out = 128] |
| MaxPooling |
| Multiplication |
| ResBlock_4 |
| Conv2d [3 × 3, f_in = 128, f_out = 128] |
| ReLU(max(0,x)) |
| Conv2d [3 × 3, f_in = 128, f_out = 128] |
| ReLU(max(0,x)) |
| Conv2d [3 × 3, f_in = 128, f_out = 128] |
| MaxPooling |
| ResBlock_5 |
| Conv2d [3 × 3, f_in = 128, f_out = 256] |
| ReLU(max(0,x)) |
| Conv2d [3 × 3, f_in = 256, f_out = 256] |
| ReLU(max(0,x)) |
| Conv2d [3 × 3, f_in = 256, f_out = 256] |
| (up sampling) |
|---|
| ResBlock_6 |
| Upsample(Concat), 2) |
| Conv2d [3 × 3, f_in = 256, f_out = 128] |
| REL(max(0,x)) |
| Conv2d [3 × 3, f_in = 128, f_out = 128] |
| ReLU(max(0,x)) |
| Conv2d [3 × 3, f_in = 128, f_out = 128] |
| ResBlock_7 |
| Upsample(Concat),4) |
| Conv2d [3 × 3, f_in = 128, f_out = 64] |
| ReLU(max(0,x)) |
| Conv2d [3 × 3, f_in = 64, f_out = 64] |
| ReLU(max(0,x)) |
| Conv2d [3 × 3, f_in = 64, f_out = 64] |
| ResBlock_8 |
| Upsample(Concat),2) |
| Conv2d [3 × 3, f_in = 64, f_out = 32] |
| ReLU(max(0,x)) |
| Conv2d [3 × 3, f_in = 32, f_out = 32] |
| ReLU(max(0,x)) |
| Conv2d [3 × 3, f_in = 32, f_out = 32] |
| ResBlock_9 |
| Upsample(Concat),4) |
| Conv2d [3 × 3, f_in = 32, f_out = 16] |
| ReLU(max(0,x)) |
| Conv2d [3 × 3, f_in = 16, f_out = 16] |
| ReLU(max(0,x)) |
| Conv2d [3 × 3, f_in = 16, f_out = 16] |
| Conv2d [3 × 3, f_in = 16, f_out = 3] |
| Model | Architecture | Accuracy (%) | Precision (%) | F1-Score (%) | AUC | DSC (%) | Recall (%) |
|---|---|---|---|---|---|---|---|
| V-Net [13] | Volumetric U-Net | 81.0 ± 1.6 | 84.0 ± 1.5 | 82.76 ± 1.6 | 0.86 ± 1.4 | 88.0 ± 1.4 | 90.0 ± 1.5 |
| DeepLab V3+ [25] | Atrous convolutions | 83.0 ± 1.4 | 86.0 ± 1.2 | 84.87 ± 1.4 | 0.88 ± 1.2 | 91.0 ± 1.4 | 94.0 ± 1.4 |
| ResUNet-a [14] | U-Net with residual connections | 85.0 ± 1.8 | 87.0 ± 1.6 | 83.29 ± 1.6 | 0.89 ± 1.6 | 90.0 ± 1.5 | 92.0 ± 1.6 |
| nnU-Net [26] | Self-adapting framework based on U-Net | 87.0 ± 1.0 | 89.0 ± 1.0 | 85.32 ± 1.2 | 0.91 ± 1.2 | 92.0 ± 1.0 | 93.0 ± 1.2 |
| Baseline [4] | Standard U-Net | 85.0 ± 1.2 | 86.0 ± 1.0 | 84.69 ± 1.1 | 0.88 ± 1.1 | 90.0 ± 1.2 | 92.0 ± 1.2 |
| Proposed Model | Modified U-Net with spatial attention | 89.0 ± 0.8 | 91.0 ± 0.5 | 88.67 ± 0.4 | 0.94 ± 0.4 | 93.0 ± 0.5 | 95.0 ± 0.4 |
| Model | DSC | Precision | Recall | AUC | Hausdorff Distance (95%) |
|---|---|---|---|---|---|
| V-Net [13] | 0.88 | 0.84 | 0.90 | 0.86 | 9.12 |
| DeepLab V3+ [25] | 0.91 | 0.86 | 0.94 | 0.88 | 7.89 |
| ResUNet-a [14] | 0.90 | 0.87 | 0.92 | 0.89 | 8.45 |
| nnU-Net [26] | 0.92 | 0.89 | 0.93 | 0.91 | 6.75 |
| Proposed Model | 0.93 | 0.91 | 0.95 | 0.94 | 5.42 |
| Model | DSC | Precision | Recall | Hausdorff Distance (95%) |
|---|---|---|---|---|
| Baseline U-Net | 0.87 | 0.85 | 0.88 | 8.74 |
| nnU-Net | 0.90 | 0.89 | 0.91 | 6.80 |
| Proposed Model | 0.91 | 0.90 | 0.92 | 6.02 |
| Dataset | Metric | Mean | Standard Deviation |
|---|---|---|---|
| Figshare | DSC | 0.93 | ±0.004 |
| Precision | 0.91 | ±0.005 | |
| Recall | 0.95 | ±0.003 | |
| Hausdorff distance (95%) | 5.42 | ±0.12 | |
| BraTS | DSC | 0.91 | ±0.006 |
| Precision | 0.90 | ±0.007 | |
| Recall | 0.92 | ±0.004 | |
| Hausdorff distance (95%) | 6.02 | ±0.15 |
| Bottleneck | Description | Proposed Resolution |
|---|---|---|
| Low-Contrast Tumor Boundaries | The model struggles to delineate tumor edges with low contrast compared to the surrounding tissues. | 1. Enhancing preprocessing with adaptive histogram equalization. 2. Fine-tuning the spatial attention mechanism. |
| Small Tumor Regions | Small tumors are partially detected or overlooked, resulting in fragmented segmentation. | 1. Incorporating multi-scale feature extraction. 2. Using higher-resolution input images. |
| Complex Overlapping Tumors | Overlapping tumors are sometimes merged into a single region, reducing segmentation accuracy. | 1. Adding postprocessing with connected component analysis. 2. Integrating an auxiliary classification head. |
Disclaimer/Publisher’s Note: The statements, opinions and data contained in all publications are solely those of the individual author(s) and contributor(s) and not of MDPI and/or the editor(s). MDPI and/or the editor(s) disclaim responsibility for any injury to people or property resulting from any ideas, methods, instructions or products referred to in the content. |
© 2024 by the authors. Licensee MDPI, Basel, Switzerland. This article is an open access article distributed under the terms and conditions of the Creative Commons Attribution (CC BY) license (https://creativecommons.org/licenses/by/4.0/).
Share and Cite
Avazov, K.; Mirzakhalilov, S.; Umirzakova, S.; Abdusalomov, A.; Cho, Y.I. Dynamic Focus on Tumor Boundaries: A Lightweight U-Net for MRI Brain Tumor Segmentation. Bioengineering 2024, 11, 1302. https://doi.org/10.3390/bioengineering11121302
Avazov K, Mirzakhalilov S, Umirzakova S, Abdusalomov A, Cho YI. Dynamic Focus on Tumor Boundaries: A Lightweight U-Net for MRI Brain Tumor Segmentation. Bioengineering. 2024; 11(12):1302. https://doi.org/10.3390/bioengineering11121302
Chicago/Turabian StyleAvazov, Kuldashboy, Sanjar Mirzakhalilov, Sabina Umirzakova, Akmalbek Abdusalomov, and Young Im Cho. 2024. "Dynamic Focus on Tumor Boundaries: A Lightweight U-Net for MRI Brain Tumor Segmentation" Bioengineering 11, no. 12: 1302. https://doi.org/10.3390/bioengineering11121302
APA StyleAvazov, K., Mirzakhalilov, S., Umirzakova, S., Abdusalomov, A., & Cho, Y. I. (2024). Dynamic Focus on Tumor Boundaries: A Lightweight U-Net for MRI Brain Tumor Segmentation. Bioengineering, 11(12), 1302. https://doi.org/10.3390/bioengineering11121302

