Lightweight Super-Resolution Techniques in Medical Imaging: Bridging Quality and Computational Efficiency
Abstract
1. Introduction
- We propose an improved version of the RFLN architecture tailored specifically for medical imaging. The modifications include replacing the residual local feature blocks with standard residual blocks and increasing the model depth to improve feature extraction and resolution quality.
- To further improve the feature refinement process, we integrate an enhanced spatial attention mechanism into the model. This helps focus on the most relevant areas of the input image, enhancing the overall quality of the super-resolved output, which is crucial for medical image interpretation.
- We conduct extensive experiments using specialized medical imaging datasets, demonstrating the efficacy of the proposed model in terms of both quantitative metrics and qualitative results. The proposed model outperforms existing state-of-the-art models, showcasing its potential for real-world medical applications.
- We provide a detailed analysis of the proposed model’s performance compared to other leading SISR models. Our results highlight the advantages of our modifications in handling the unique challenges presented by medical images, such as the preservation of subtle anatomical details and noise reduction.
2. Related Works
3. Methodology
3.1. Residual Local Feature Network
3.2. The Proposed Model
4. Experiments and Results
4.1. The Dataset
4.2. Data Preprocessing
4.3. Metrics
4.4. Experimental Results
4.5. Comparison of the Baseline Models
4.6. Comparison with SOTA Models
5. Discussion
6. Conclusions
Author Contributions
Funding
Institutional Review Board Statement
Informed Consent Statement
Data Availability Statement
Conflicts of Interest
References
- Lambert, B.; Forbes, F.; Doyle, S.; Dehaene, H.; Dojat, M. Trustworthy clinical AI solutions: A unified review of uncertainty quantification in deep learning models for medical image analysis. Artif. Intell. Med. 2024, 150, 102830. [Google Scholar] [CrossRef] [PubMed]
- Bakhtiarnia, A.; Zhang, Q.; Iosifidis, A. Efficient high-resolution deep learning: A survey. ACM Comput. Surv. 2024, 56, 181. [Google Scholar] [CrossRef]
- Dong, C.; Loy, C.C.; He, K.; Tang, X. Image super-resolution using deep convolutional networks. IEEE Trans. Pattern Anal. Mach. Intell. 2015, 38, 295–307. [Google Scholar] [CrossRef]
- El-Shafai, W.; El-Nabi, S.A.; Ali, A.M.; El-Rabaie, E.S.M.; Abd El-Samie, F.E. Traditional and deep-learning-based denoising methods for medical images. Multimed. Tools Appl. 2024, 83, 52061–52088. [Google Scholar] [CrossRef]
- Kong, F.; Li, M.; Liu, S.; Liu, D.; He, J.; Bai, Y.; Chen, F.; Fu, L. Residual local feature network for efficient super-resolution. In Proceedings of the 2022 IEEE/CVF Conference on Computer Vision and Pattern Recognition (CVPR), New Orleans, LA, USA, 18–24 June 2022; pp. 766–776. [Google Scholar]
- Ferdi, A.; Benierbah, S.; Nakib, A. Residual encoder-decoder based architecture for medical image denoising. Multimed. Tools Appl. 2024, 1–18. [Google Scholar] [CrossRef]
- Umirzakova, S.; Ahmad, S.; Khan, L.U.; Whangbo, T. Medical image super-resolution for smart healthcare applications: A comprehensive survey. Inf. Fusion 2023, 103, 102075. [Google Scholar] [CrossRef]
- Liu, J.; Gan, Z.; Zhu, X. Directional bicubic interpolation—A new method of image super-resolution. In Proceedings of the 3rd International Conference on Multimedia Technology (ICMT-13), Guangzhou, China, 29 November–1 December 2013; pp. 463–470. [Google Scholar]
- Wang, Y.H.; Qiao, J.; Li, J.B.; Fu, P.; Chu, S.C.; Roddick, J.F. Sparse representation-based MRI super-resolution reconstruction. Measurement 2014, 47, 946–953. [Google Scholar] [CrossRef]
- Liu, D.; Huang, T.S. Single image super-resolution: From sparse coding to deep learning. In Deep Learning Through Sparse and Low-Rank Modeling; Wang, Z., Fu, Y., Huang, T.S., Eds.; Elsevier: Cambridge, MA, USA, 2019; pp. 47–86. [Google Scholar]
- Mishra, D.; Majhi, B.; Sa, P.K.; Dash, R. Development of robust neighbor embedding based super-resolution scheme. Neurocomputing 2016, 202, 49–66. [Google Scholar] [CrossRef]
- Kim, J.; Lee, J.K.; Lee, K.M. Accurate image super-resolution using very deep convolutional networks. In Proceedings of the 2016 IEEE/CVF Conference on Computer Vision and Pattern Recognition (CVPR), Las Vegas, NV, USA, 27–30 June 2016; pp. 1646–1654. [Google Scholar]
- Kim, J.; Lee, J.K.; Lee, K.M. Deeply-recursive convolutional network for image super-resolution. In Proceedings of the 2016 IEEE/CVF Conference on Computer Vision and Pattern Recognition (CVPR), Las Vegas, NV, USA, 27–30 June 2016; pp. 1637–1645. [Google Scholar]
- Tian, C.; Zhang, X.; Lin, J.C.W.; Zuo, W.; Zhang, Y.; Lin, C.W. Generative adversarial networks for image super-resolution: A survey. arXiv 2022, arXiv:2204.13620. [Google Scholar]
- Ledig, C.; Theis, L.; Huszár, F.; Caballero, J.; Cunningham, A.; Acosta, A.; Aitken, A.; Tejani, A.; Totz, J.; Wang, Z.; et al. Photo-realistic single image super-resolution using a generative adversarial network. In Proceedings of the 2017 IEEE/CVF Conference on Computer Vision and Pattern Recognition (CVPR), Honolulu, HI, USA, 21–26 July 2017; pp. 4681–4690. [Google Scholar]
- Abdusalomov, A.B.; Nasimov, R.; Nasimova, N.; Muminov, B.; Whangbo, T.K. Evaluating synthetic medical images using artificial intelligence with the GAN algorithm. Sensors 2023, 23, 3440. [Google Scholar] [CrossRef]
- Rasheed, Z.; Ma, Y.K.; Ullah, I.; Ghadi, Y.Y.; Khan, M.Z.; Khan, M.A.; Abdusalomov, A.; Alqahtani, F.; Shehata, A.M. Brain tumor classification from MRI using image enhancement and convolutional neural network techniques. Brain Sci. 2023, 13, 1320. [Google Scholar] [CrossRef] [PubMed]
- Lim, B.; Son, S.; Kim, H.; Nah, S.; Mu Lee, K. Enhanced deep residual networks for single image super-resolution. In Proceedings of the 2017 IEEE/CVF Conference on Computer Vision and Pattern Recognition (CVPR), Honolulu, HI, USA, 21–26 July 2017; pp. 136–144. [Google Scholar]
- Zhang, Y.; Li, K.; Li, K.; Wang, L.; Zhong, B.; Fu, Y. Image super-resolution using very deep residual channel attention networks. In Proceedings of the European Conference on Computer Vision (ECCV), Munich, Germany, 8–14 September 2018; pp. 286–301. [Google Scholar]
- Liu, Y.; Yang, D.; Zhang, F.; Xie, Q.; Zhang, C. Deep recurrent residual channel attention network for single image super-resolution. Vis. Comput. 2024, 40, 3441–3456. [Google Scholar] [CrossRef]
- Abdusalomov, A.; Umirzakova, S.; Safarov, F.; Mirzakhalilov, S.; Egamberdiev, N.; Cho, Y.I. A Multi-Scale Approach to Early Fire Detection in Smart Homes. Electronics 2024, 13, 4354. [Google Scholar] [CrossRef]
- Yu, M.; Shi, J.; Xue, C.; Hao, X.; Yan, G. A review of single image super-resolution reconstruction based on deep learning. Multimed. Tools Appl. 2024, 83, 55921–55962. [Google Scholar] [CrossRef]
- El-Shafai, W.; Ali, A.M.; El-Nabi, S.A.; El-Rabaie, E.S.M.; Abd El-Samie, F.E. Single image super-resolution approaches in medical images based-deep learning: A survey. Multimed. Tools Appl. 2024, 83, 30467–30503. [Google Scholar] [CrossRef]
- Liu, H.; Li, Z.; Shang, F.; Liu, Y.; Wan, L.; Feng, W.; Timofte, R. Arbitrary-scale super-resolution via deep learning: A comprehensive survey. Inf. Fusion 2024, 102, 102015. [Google Scholar] [CrossRef]
- Feng, C.M.; Yan, Y.; Yu, K.; Xu, Y.; Fu, H.; Yang, J.; Shao, L. Exploring separable attention for multi-contrast MR image super-resolution. IEEE Trans. Neural Netw. Learn. Syst. 2024, 35, 12251–12262. [Google Scholar] [CrossRef]
- Ayaz, A.; Boonstoppel, R.; Lorenz, C.; Weese, J.; Pluim, J.; Breeuwer, M. Effective deep-learning brain MRI super resolution using simulated training data. Comput. Biol. Med. 2024, 183, 109301. [Google Scholar] [CrossRef]
- You, C.; Dai, W.; Liu, F.; Min, Y.; Dvornek, N.C.; Li, X.; Clifton, D.A.; Staib, L.; Duncan, J.S. Mine your own anatomy: Revisiting medical image segmentation with extremely limited labels. IEEE Trans. Pattern Anal. Mach. Intell. 2024, 46, 11136–11151. [Google Scholar] [CrossRef]
- Wang, C.; Lv, X.; Shao, M.; Qian, Y.; Zhang, Y. A novel fuzzy hierarchical fusion attention convolution neural network for medical image super-resolution reconstruction. Inf. Sci. 2023, 622, 424–436. [Google Scholar] [CrossRef]
- Georgescu, M.I.; Ionescu, R.T.; Miron, A.I.; Savencu, O.; Ristea, N.C.; Verga, N.; Khan, F.S. Multimodal multi-head convolutional attention with various kernel sizes for medical image super-resolution. In Proceedings of the 2023 IEEE/CVF Winter Conference on Applications of Computer Vision (WACV), Waikoloa, HI, USA, 2–7 January 2023; pp. 2195–2205. [Google Scholar]
- He, C.; Li, K.; Xu, G.; Yan, J.; Tang, L.; Zhang, Y.; Wang, Y.; Li, X. Hqg-net: Unpaired medical image enhancement with high-quality guidance. IEEE Trans. Neural Netw. Learn. Syst. 2023; early access. [Google Scholar]
- Umirzakova, S.; Mardieva, S.; Muksimova, S.; Ahmad, S.; Whangbo, T. Enhancing the Super-Resolution of Medical Images: Introducing the Deep Residual Feature Distillation Channel Attention Network for Optimized Performance and Efficiency. Bioengineering 2023, 10, 1332. [Google Scholar] [CrossRef] [PubMed]
- Huang, W.; Liao, X.; Chen, H.; Hu, Y.; Jia, W.; Wang, Q. Deep local-to-global feature learning for medical image super-resolution. Comput. Med. Imaging Graph. 2024, 115, 102374. [Google Scholar] [CrossRef] [PubMed]
- He, J.; Ma, H.; Guo, M.; Wang, J.; Wang, Z.; Fan, G. Research into super-resolution in medical imaging from 2000 to 2023: Bibliometric analysis and visualization. Quant. Imaging Med. Surg. 2024, 14, 5109. [Google Scholar] [CrossRef] [PubMed]
- Baranwal, N.; Singh, K.N.; Singh, A.K. YOLO-based ROI selection for joint encryption and compression of medical images with reconstruction through super-resolution network. Future Gener. Comput. Syst. 2024, 150, 1–9. [Google Scholar]
- Hui, Z.; Gao, X.; Yang, Y.; Wang, X. Lightweight image super-resolution with information multi-distillation network. In Proceedings of the 27th acm International Conference on Multimedia, Nice, France, 21–25 October 2019; pp. 2024–2032. [Google Scholar]
- Liu, J.; Tang, J.; Wu, G. Residual feature distillation network for lightweight image super-resolution. In Proceedings of the 2010 Edition of the European Conference on Computer Vision, Glasgow, UK, 23–28 August 2020; pp. 41–55. [Google Scholar]
- Ahn, N.; Kang, B.; Sohn, K.A. Fast, accurate, and lightweight super-resolution with cascading residual network. In Proceedings of the European Conference on Computer Vision (ECCV), Munich, Germany, 8–14 September 2018; pp. 252–268. [Google Scholar]
- Lai, W.S.; Huang, J.B.; Ahuja, N.; Yang, M.H. Deep laplacian pyramid networks for fast and accurate super-resolution. In Proceedings of the 2017 IEEE Conference on Computer Vision and Pattern Recognition (CVPR), Honolulu, HI, USA, 21–26 July 2017; pp. 624–632. [Google Scholar]







| Dataset | Number of Images | Image Resolution | Modality | Description |
|---|---|---|---|---|
| Figshare | 500 | 512 × 512 | CT and MRI | A diverse set of medical images annotated for super-resolution tasks, covering multiple anatomical regions. |
| Kidney Stone | 300 | 256 × 256 | Ultrasound | A specialized dataset focusing on kidney stone images, annotated for improved clarity in super-resolution tasks. |
| Scale | Model | Params [K] | Runtime [ms] | Dataset1 PSNR/SSIM | Dataset2 PSNR/SSIM |
|---|---|---|---|---|---|
| SRCNN [3] | 24 | 6.92 | 31.28/0.9012 | 33.55/0.9312 | |
| VDSR [12] | 666 | 35.37 | 31.79/0.9056 | 33.78/0.9421 | |
| IMDN [35] | 694 | 77.34 | 32.41/0.9123 | 34.12/0.9512 | |
| 2× | RFDN [36] | 534 | 74.51 | 32.68/0.9154 | 34.45/0.9535 |
| CARN [37] | 1592 | 159.10 | 32.57/0.9134 | 34.01/0.9486 | |
| LapSRN [38] | 251 | 53.98 | 31.64/0.9142 | 33.78/0.9356 | |
| Baseline | 527 | 16.41 | 32.83/0.9175 | 33.86/0.9369 | |
| Ours | 452 | 13.23 | 32.91/0.9188 | 34.07/0.9387 | |
| SRCNN | 57 | 1.90 | 27.78/0.7120 | 28.45/0.7276 | |
| VDSR [12] | 666 | 8.95 | 27.89/0.7165 | 28.61/0.7287 | |
| IMDN [35] | 715 | 20.56 | 27.95/0.7810 | 28.98/0.7301 | |
| RFDN [36] | 550 | 20.40 | 28.12/0.8023 | 29.23/0.7453 | |
| 4× | CARN [37] | 1592 | 39.96 | 27.86/0.7712 | 28.52/0.7282 |
| LapSRN [38] | 502 | 66.81 | 27.15/0.6813 | 28.34/0.7145 | |
| Baseline | 543 | 16.41 | 28.34/0.8230 | 29.37/0.7478 | |
| Ours | 468 | 13.23 | 28.46/0.8256 | 29.48/0.7513 |
| Model | Params (K) | Runtime (ms) | Dataset1 PSNR/SSIM | Dataset2 PSNR/SSIM |
|---|---|---|---|---|
| MRI Super-Resolution [18] | 1224 | 25.12 | 30.45/0.8921 | 32.78/0.9102 |
| MONA [19] | 1045 | 28.64 | 31.05/0.8998 | 33.22/0.9197 |
| Fuzzy Neural Block [28] | 880 | 22.51 | 30.12/0.8823 | 31.90/0.9051 |
| MMHCA [29] | 1342 | 55.78 | 31.56/0.9045 | 33.64/0.9228 |
| UMIE [30] | 1605 | 68.32 | 31.78/0.9107 | 33.85/0.9285 |
| DRFDCAN [31] | 953 | 26.91 | 32.14/0.9175 | 34.05/0.9322 |
| Ours | 452 | 13.23 | 32.91/0.9188 | 34.07/0.9387 |
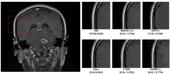
| Model | Params (K) | Runtime (ms) | Dataset1 PSNR/SSIM | Dataset2 PSNR/SSIM |
|---|---|---|---|---|
| MRI Super-Resolution [18] | 1224 | 25.12 | 27.12/0.7521 | 28.95/0.7779 |
| MONA [19] | 1045 | 28.64 | 27.98/0.7689 | 27.78/0.7901 |
| Fuzzy Neural Block [28] | 880 | 22.51 | 26.85/0.7456 | 28.62/0.7654 |
| MMHCA [29] | 1342 | 55.78 | 28.02/0.7756 | 27.86/0.7922 |
| UMIE [30] | 1605 | 68.32 | 28.36/0.7812 | 28.01/0.8027 |
| DRFDCAN [31] | 953 | 26.91 | 28.33/0.7942 | 29.22/0.8115 |
| Ours | 468 | 13.23 | 28.46/0.8256 | 29.48/0.8513 |
Disclaimer/Publisher’s Note: The statements, opinions and data contained in all publications are solely those of the individual author(s) and contributor(s) and not of MDPI and/or the editor(s). MDPI and/or the editor(s) disclaim responsibility for any injury to people or property resulting from any ideas, methods, instructions or products referred to in the content. |
© 2024 by the authors. Licensee MDPI, Basel, Switzerland. This article is an open access article distributed under the terms and conditions of the Creative Commons Attribution (CC BY) license (https://creativecommons.org/licenses/by/4.0/).
Share and Cite
Abdusalomov, A.; Mirzakhalilov, S.; Dilnoza, Z.; Zohirov, K.; Nasimov, R.; Umirzakova, S.; Cho, Y.-I. Lightweight Super-Resolution Techniques in Medical Imaging: Bridging Quality and Computational Efficiency. Bioengineering 2024, 11, 1179. https://doi.org/10.3390/bioengineering11121179
Abdusalomov A, Mirzakhalilov S, Dilnoza Z, Zohirov K, Nasimov R, Umirzakova S, Cho Y-I. Lightweight Super-Resolution Techniques in Medical Imaging: Bridging Quality and Computational Efficiency. Bioengineering. 2024; 11(12):1179. https://doi.org/10.3390/bioengineering11121179
Chicago/Turabian StyleAbdusalomov, Akmalbek, Sanjar Mirzakhalilov, Zaripova Dilnoza, Kudratjon Zohirov, Rashid Nasimov, Sabina Umirzakova, and Young-Im Cho. 2024. "Lightweight Super-Resolution Techniques in Medical Imaging: Bridging Quality and Computational Efficiency" Bioengineering 11, no. 12: 1179. https://doi.org/10.3390/bioengineering11121179
APA StyleAbdusalomov, A., Mirzakhalilov, S., Dilnoza, Z., Zohirov, K., Nasimov, R., Umirzakova, S., & Cho, Y.-I. (2024). Lightweight Super-Resolution Techniques in Medical Imaging: Bridging Quality and Computational Efficiency. Bioengineering, 11(12), 1179. https://doi.org/10.3390/bioengineering11121179

