Lipid-Lowering Effects of Inonotus obliquus Polysaccharide In Vivo and In Vitro
Abstract
:1. Introduction
2. Materials and Methods
2.1. Materials
2.2. IOP Preparation
2.3. Characterization of IOP
2.3.1. UV-Vis Analysis of IOP
2.3.2. Molecular Weight of IOP
2.3.3. Monosaccharide Composition of IOP
2.3.4. FTIR Spectrum Analysis
2.3.5. SEM Analysis
2.4. Cell Culture
2.5. Cell Viability
2.6. Oil Red O Staining for OA-Induced HepG2 Cells
2.7. TC, TG, HDL-C, and LDL-C Contents of OA-Induced HepG2 Cells
2.8. Animals and Treatment
2.9. Determination of Biochemical Indicators of Mice Serum
2.10. Liver H&E Staining
2.11. Determination of mRNA Expression by RT-PCR
2.12. Determination of Protein Expression by Western Blotting
2.13. Statistical Analysis
3. Results
3.1. Preparation of IOP
3.2. IOP Characterization
3.3. Effect of IOP on the Viability of the OA-Induced HepG2 Cell Model
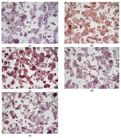
3.4. Oil Red O Staining in OA-Induced HepG2 Cells
3.5. Effect of IOP on TG, TC, HDL-C, and LDL-C Contents of OA-Induced HepG2 Cells
3.6. Effect of IOP on Body Weight of Mice
3.7. Effect of IOP on the Biochemical Indicators of Mice
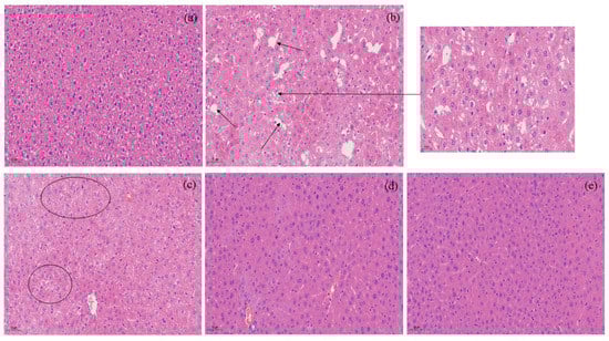
3.8. Liver Histological Images
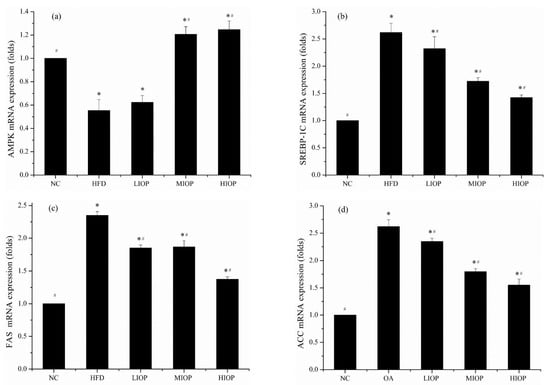
3.9. Effect of IOP on the mRNA Expression of Mice
3.10. Effect of IOP on Protein Expression of Mice
4. Discussion
5. Conclusions
Supplementary Materials
Author Contributions
Funding
Institutional Review Board Statement
Informed Consent Statement
Data Availability Statement
Conflicts of Interest
Abbreviations
| ACC | Acetyl-coenzyme (Co) A carboxylase |
| AMPK | Adenosine 5′-monophosphate (AMP)-activated protein kinase |
| DMEM | Dulbecco’s Modified Eagle’s Medium |
| DMSO | Dimethyl sulfoxide |
| ELISA | Enzyme-linked immunosorbent assay |
| FAS | Fatty acid synthase |
| FBS | Fetal bovine serum |
| GPC | Gel permeation chromatography |
| HDL-C | High density lipid-cholesterol |
| LDL-C | Low density lipid-cholesterol |
| MTT | 3-(4,-Dimethyl-2-thiazolyl)-2,-diphenyl-2-H-tetrazolium bromide |
| OA | Oleic acid |
| PBS | Phosphate-buffered saline |
| SREBP-1C | Sterol regulatory element binding protein-1C |
| TC | Total cholesterol |
| TG | Triglyceride |
References
- Aron-Wisnewsky, J.; Warmbrunn, M.V.; Nieuwdorp, M.; Clément, K. Nonalcoholic Fatty Liver Disease: Modulating Gut Microbiota to Improve Severity? Gastroenterology 2020, 7, 1881–1898. [Google Scholar] [CrossRef] [PubMed]
- Neuschwander-Tetri, B.A. Hepatic Lipotoxicity and the Pathogenesis of Nonalcoholic Steatohepatitis: The Central Role of Nontriglyceride Fatty Acid Metabolites. Hepatology 2010, 52, 774–788. [Google Scholar] [CrossRef] [PubMed]
- Li, J.; Wang, T.; Liu, P.; Yang, F.; Wang, X.; Zheng, W.; Sun, W. Hesperetin ameliorates hepatic oxidative stress and inflammation via the PI3K/AKT-Nrf2-ARE pathway in oleic acid-induced HepG2 cells and a rat model of high-fat diet-induced NAFLD. Food Funct. 2021, 12, 3898–3918. [Google Scholar] [CrossRef]
- Do, M.H.; Lee, H.B.; Oh, M.J.; Jhun, H.; Choi, S.Y.; Park, H.Y. Polysaccharide fraction from greens of raphanus sativus alleviates high fat diet-induced obesity. Food Chem. 2021, 343, 128395. [Google Scholar] [CrossRef]
- Saravanakumar, K.; Park, S.; Sathiyaseelan, A.; Mariadoss, A.V.A.; Park, S.; Kim, S.J.; Wang, M.H. Isolation of Polysaccharides from Trichoderma harzianum with Antioxidant, Anticancer, and Enzyme Inhibition Properties. Antioxidants 2021, 10, 1372. [Google Scholar] [CrossRef]
- Su, Y.; Li, L. Structural characterization and antioxidant activity of polysaccharide from four auriculariales. Carbohydr. Polym. 2020, 229, 115407. [Google Scholar] [CrossRef]
- Motta, F.; Gershwin, M.E.; Selmi, C. Mushrooms and immunity. J. Autoimmun. 2020, 117, 102576. [Google Scholar] [CrossRef]
- Wang, W.; Liu, H.; Zhang, Y.; Feng, Y.; Jia, L. Antihyperlipidemic and hepatoprotective properties of alkali- and enzyme-extractable polysaccharides by Dictyophora indusiata. Sci. Rep. 2019, 9, 14266. [Google Scholar] [CrossRef] [Green Version]
- Hu, S.; Wang, J.; Li, F.; Hou, P.; Yin, J.; Yang, Z.; Yang, X.; Li, T.; Xia, B.; Zhou, G.; et al. Structural characterisation and cholesterol efflux improving capacity of the novel polysaccharides from Cordyceps militaris. Int. J. Biol. Macromol. 2019, 131, 264–272. [Google Scholar] [CrossRef]
- Zhang, C.; Zhang, L.; Liu, H.; Zhang, J.; Hu, C.; Jia, L. Antioxidation, anti-hyperglycaemia and renoprotective effects of extracellular polysaccharides from Pleurotus eryngii SI-04. Int. J. Biol. Macromol. 2018, 111, 219–228. [Google Scholar] [CrossRef] [PubMed]
- Fang, J.; Gao, S.; Islam, R.; Teramoto, Y.; Maeda, H. Extracts of Phellinus linteus, Bamboo (Sasa senanensis) Leaf and Chaga Mushroom (Inonotus obliquus) Exhibit Antitumor Activity through Activating Innate Immunity. Nutrients 2020, 12, 2279. [Google Scholar] [CrossRef]
- Duru, K.C.; Kovaleva, E.G.; Danilova, I.G.; Van der Bijl, P. The pharmacological potential and possible molecular mechanisms of action of Inonotus obliquus from preclinical studies. Phytother. Res. 2019, 33, 1966–1980. [Google Scholar] [CrossRef] [PubMed]
- Han, Y.; Nan, S.; Fan, J.; Chen, Q.; Zhang, Y. Inonotus obliquus polysaccharides protect against Alzheimer’s disease by regulating Nrf2 signaling and exerting antioxidative and antiapoptotic effects. Int. J. Biol. Macromol. 2019, 131, 769–778. [Google Scholar] [CrossRef]
- Balandaykin, M.E.; Zmitrovich, I.V. Review on Chaga Medicinal Mushroom, Inonotus obliquus (Higher Basidiomycetes): Realm of Medicinal Applications and Approaches on Estimating its Resource Potential. Int. J. Med. Mushrooms 2015, 17, 95–104. [Google Scholar] [CrossRef]
- Xu, H.Y.; Sun, J.E.; Lu, Z.M.; Zhang, X.M.; Dou, W.F.; Xu, Z.H. Beneficial effects of the ethanol extract from the dry matter of a culture broth of Inonotus obliquus in submerged culture on the antioxidant defence system and regeneration of pancreatic β-cells in experimental diabetes in mice. Nat. Prod. Res. 2010, 24, 542–553. [Google Scholar] [CrossRef] [PubMed]
- Zhang, C.J.; Guo, J.Y.; Cheng, H.; Li, L.; Liu, Y.; Shi, Y.; Xu, J.; Yu, H.T. Spatial structure and anti-fatigue of polysaccharide from Inonotus obliquus. Int. J. Biol. Macromol. 2020, 151, 855–860. [Google Scholar] [CrossRef]
- Hardie, D.G.; Ross, F.A.; Hawley, S.A. AMPK: A nutrient and energy sensor that maintains energy homeostasis. Nat. Rev. Mol. Cell Biol. 2012, 13, 251–262. [Google Scholar] [CrossRef] [Green Version]
- Li, Y.; Xu, S.; Mihaylova, M.M. AMPK phosphorylates and inhibits SREBP activity to attenuate hepatic steatosis and atherosclerosis in diet-induced insulin-resistant mice. Cell Metab. 2011, 13, 376–388. [Google Scholar] [CrossRef] [PubMed] [Green Version]
- Ha, J.H.; Jang, J.; Chung, S.I. AMPK and SREBP-1c mediate the anti-adipogenic effect of β-hydroxyiso-valerylshikonin. Int. J. Mol. Med. 2016, 37, 816–824. [Google Scholar] [CrossRef] [Green Version]
- Xu, L.; Sang, R.; Yu, Y.; Li, J.; Ge, B.; Zhang, X. The polysaccharide from Inonotus obliquus protects mice from Toxoplasma gondii-induced liver injury. Int. J. Biol. Macromol. 2019, 125, 1–8. [Google Scholar] [CrossRef] [PubMed]
- Gao, J.; Lin, L.; Sun, B.; Zhao, M. A comparison study on polysaccharides extracted from Laminaria japonica using different methods: Structural characterization and bile acid-binding capacity. Food Funct. 2017, 8, 3043–3052. [Google Scholar] [CrossRef]
- Qin, H.; Huang, L.; Teng, J.; Wei, B.; Ye, Y. Purification, characterization, and bioactivity of liupao tea polysaccharides before and after fermentation. Food Chem. 2021, 353, 129419. [Google Scholar] [CrossRef]
- Xiao, Z.; Zhang, Y.; Chen, X.; Wang, Y.; Chen, W.; Xu, Q.; Ma, F. Extraction, identification, and antioxidant and anticancer tests of seven dihydrochalcones from Malus ‘Red Splendor’ fruit. Food Chem. 2017, 231, 324–331. [Google Scholar] [CrossRef]
- Cheng, J.; Liu, D.; Zhao, J.; Li, X.; Wang, C. Lutein attenuates oxidative stress and inhibits lipid accumulation in free fatty acids-induced hepg2 cells by activating the ampk pathway. J. Funct. Foods 2019, 60, 103445. [Google Scholar] [CrossRef]
- Feng, K.; Zhu, X.; Chen, T.; Peng, B.; Lu, M.; Zheng, H.; Huang, Q.; Ho, C.T.; Chen, Y.; Cao, Y. Prevention of Obesity and Hyperlipidemia by Heptamethoxyflavone in High-fat Diet-induced Rats. J. Agric. Food Chem. 2019, 67, 2476–2489. [Google Scholar] [CrossRef]
- Sun, L.; Tian, W.; Guo, X.; Zhang, Y.; Liu, X.; Li, X.; Tian, Y.; Man, C.; Jiang, Y. Lactobacillus gasseri JM1 with potential probiotic characteristics alleviates inflammatory response by activating the PI3K/Akt signaling pathway In Vitro. J. Dairy Sci. 2020, 103, 7851–7864. [Google Scholar] [CrossRef] [PubMed]
- Feng, Y.N.; Zhang, X.F. Polysaccharide extracted from Huperzia serrata using response surface methodology and its biological activity. Int. J. Biol. Macromol. 2020, 157, 267–275. [Google Scholar] [CrossRef]
- Chen, J.; Li, L.; Zhang, X.; Wan, L.; Chen, Z. Structural characterization of polysaccharide from centipeda minima and its hypoglycemic activity through alleviating insulin resistance of hepatic hepg2 cells. J. Funct. Foods 2021, 82, 104478. [Google Scholar] [CrossRef]
- Huang, S.Q.; Ding, S.; Fan, L. Antioxidant activities of five polysaccharides from inonotus obliquus. Int. J. Biol. Macromol. 2012, 50, 1183–1187. [Google Scholar] [CrossRef]
- Du, X.J.; Mu, H.M.; Zhou, S.; Zhang, Y.; Zhu, X.L. Chemical analysis and antioxidant activity of polysaccharides extracted from Inonotus obliquus sclerotia. Int. J. Biol. Macromol. 2013, 62, 691–696. [Google Scholar] [CrossRef] [PubMed]
- Wang, C.; Chen, Z.; Pan, Y.; Gao, X.; Chen, H. Anti-diabetic effects of Inonotus obliquus polysaccharides-chromium (iii) complex in type 2 diabetic mice and its sub-acute toxicity evaluation in normal mice. Food Chem. Toxicol. 2017, 108, 498–509. [Google Scholar] [CrossRef]
- Ma, L.; Chen, H.; Zhang, Y.; Zhang, N.; Fu, L. Chemical modification and antioxidant activities of polysaccharide from mushroom Inonotus obliquus. Carbohydr. Polym. 2012, 89, 371–378. [Google Scholar] [CrossRef] [PubMed]
- Li, Y.; Sheng, Y.; Lu, X.; Guo, X.; Xu, G.; Han, X.; An, L.; Du, P. Isolation and purification of acidic polysaccharides from Agaricus blazei Murill and evaluation of their lipid-lowering mechanism. Int. J. Biol. Macromol. 2020, 157, 276–287. [Google Scholar] [CrossRef]
- Bin-Jumah, M.N. Monolluma quadrangula Protects against Oxidative Stress and Modulates LDL Receptor and Fatty Acid Synthase Gene Expression in Hypercholesterolemic Rats. Oxid. Med. Cell. Longev. 2018, 2018, 3914384. [Google Scholar] [CrossRef] [Green Version]
- Wang, Z.; Xie, J.; Yang, Y.; Zhang, F.; Wang, S.; Wu, T.; Shen, M.; Xie, M. Sulfated Cyclocarya paliurus polysaccharides markedly attenuates inflammation and oxidative damage in lipopolysaccharide-treated macrophage cells and mice. Sci. Rep. 2017, 7, 40402. [Google Scholar] [CrossRef] [PubMed] [Green Version]
- Dong, Y.; Zhang, J.; Gao, Z.; Zhao, H.; Sun, G.; Wang, X.; Jia, L. Characterization and anti-hyperlipidemia effects of enzymatic residue polysaccharides from Pleurotus ostreatus. Int. J. Biol. Macromol. 2019, 129, 316–325. [Google Scholar] [CrossRef] [PubMed]
- Luo, T.; Snyder, S.M.; Zhao, B.; Sullivan, D.K.; Hamilton-Reeves, J.; Guthrie, G.; Ricketts, M.L.; Shiverick, K.T.; Shay, N. Gene Expression Patterns Are Altered in Athymic Mice and Metabolic Syndrome Factors Are Reduced in C57BL/6J Mice Fed High-Fat Diets Supplemented with Soy Isoflavones. J. Agric. Food Chem. 2016, 64, 7492–7501. [Google Scholar] [CrossRef]
- Wang, G.; Jiao, T.; Xu, Y.; Li, D.; Si, Q.; Hao, J.; Zhao, J.; Zhang, H.; Chen, W. Bifidobacterium adolescentis and Lactobacillus rhamnosus alleviate non-alcoholic fatty liver disease induced by a high-fat, high-cholesterol diet through modulation of different gut microbiota-dependent pathways. Food Funct. 2020, 11, 6115–6127. [Google Scholar] [CrossRef] [PubMed]
- Estes, C.; Razavi, H.; Loomba, R.; Younossi, Z.; Sanyal, A.J. Modeling the epidemic of nonalcoholic fatty liver disease demonstrates an exponential increase in burden of disease. Hepatology 2018, 67, 123–133. [Google Scholar] [CrossRef]
- Zeng, L.; Tang, W.; Yin, J.; Feng, L.; Li, Y.; Yao, X.; Zhou, B. Alisol A 24-Acetate Prevents Hepatic Steatosis and Metabolic Disorders in HepG2 Cells. Cell. Physiol. Biochem. 2016, 40, 453–464. [Google Scholar] [CrossRef]
- Li, X.; Shen, Y.; Wu, G.; Qi, X.; Zhang, H.; Wang, L.; Qian, H. Determination of Key Active Components in Different Edible Oils Affecting Lipid Accumulation and Reactive Oxygen Species Production in HepG2 Cells. J. Agric. Food Chem. 2018, 66, 11943–11956. [Google Scholar] [CrossRef] [PubMed]
- Lee, H.; Yun, K.; Seo, K.; Kim, M.; Li, M. Scopoletin prevents alcohol-induced hepatic lipid accumulation by modulating the AMPK–SREBP pathway in diet-induced obese mice. Metabolism 2014, 63, 593–601. [Google Scholar] [CrossRef] [PubMed]
- Jin, D.; Zhao, T.; Feng, W.W.; Mao, G.H.; Zou, Y.; Wang, W.; Li, Q.; Chen, Y.; Wang, X.T.; Yang, L.Q.; et al. Schisandra polysaccharide increased glucose consumption by up-regulating the expression of GLUT-4. Int. J. Biol. Macromol. 2016, 87, 555–562. [Google Scholar] [CrossRef]
- Horton, J.D.; Goldstein, J.L.; Brown, M.S. SREBPs: Activators of the complete program of cholesterol and fatty acid synthesis in the liver. J. Clin. Investig. 2002, 109, 1125–1131. [Google Scholar] [CrossRef] [PubMed]
- Cheng, H.L.; Ji, N.J.; Peng, Y.X.; Shen, X.; Xu, J.H.; Dong, Z.G.; Wu, C.C. Molecular characterization and tissue-specific expression of the acetyl-CoA carboxylase α gene from Grass carp, Ctenopharyngodon idella. Gene 2011, 487, 46–51. [Google Scholar] [CrossRef] [PubMed]
- Loftus, T.M.; Jaworsky, D.E.; Frehywot, G.L.; Townsend, C.A.; Ronnett, G.V.; Lane, M.D.; Kuhajda, F.P. Reduced Food Intake and Body Weight in Mice Treated with Fatty Acid Synthase Inhibitors. Science 2000, 288, 2379–2381. [Google Scholar] [CrossRef] [PubMed]
- Jiao, L.; Li, H.; Li, J.; Bo, L.; Zhang, X.; Wu, W.; Chen, C. Study on structure characterization of pectin from the steamed ginseng and the inhibition activity of lipid accumulation in oleic acid-induced HepG2 cells. Int. J. Biol. Macromol. 2020, 159, 57–65. [Google Scholar] [CrossRef] [PubMed]
- Kim, M.; Lim, S.J.; Lee, H.J.; Kim, S.Y.; Nho, C.W. Gomisin J Inhibits Oleic Acid-Induced Hepatic Lipogenesis by Activation of the AMPK-Dependent Pathway and Inhibition of the Hepatokine Fetuin-A in HepG2 Cells. J. Agric. Food Chem. 2015, 44, 9729–9739. [Google Scholar] [CrossRef]
- Pietrzyk, N.; Zakos-Szyda, M.; Koziokiewicz, M.; Podsdek, A. Viburnum opulus L. fruit phenolic compounds protect against ffa-induced steatosis of hepg2 cells via ampk pathway. J. Funct. Foods 2021, 80, 104437. [Google Scholar] [CrossRef]









| Group | Diet | Treatment |
|---|---|---|
| NC (Normal control) | Normal diet | 0.2 mL PBS per day |
| HFD (High-fat diet) | High-fat diet | 0.2 mL PBS per day |
| LIOP (Low dose of IOP) | High-fat diet | 0.2 mL PBS + 200 mg/kg.bw IOP per day |
| MIOP (Medium dose of IOP) | High-fat diet | 0.2 mL PBS + 400 mg/kg.bw IOP per day |
| HIOP (High dose of IOP) | High-fat diet | 0.2 mL PBS + 600 mg/kg.bw IOP per day |
| Genes | Primer Sequences | |
|---|---|---|
| Forward (5′–3′) | Reverse (5′–3′) | |
| GAPDH | CTCTCTGCTCCTCCTGTTCG | ACGACCAAATCCGTTGACTC |
| FAS | GTACACAGACAAAGCCCATTTT | TTTGGTTTACATCTGCACTTGG |
| AMPK | CAACTATCGATCTTGCCAAAGG | AACAGGAGAAGAGTCAAGTGAG |
| ACC | TACCTTCTTCTACTGGCGGCTGAG | GCCTTCACTGTTCCTTCCACTTCC |
| SREBP-1C | CTGTGTGACCTGCTTCTTGT | CTCATGTAGGAACACCCTCC |
| Group | TC (mmol/L) | TG (mmol/L) | LDL-C (mmol/L) | HDL-C (mmol/L) |
|---|---|---|---|---|
| NC | 2.57 ± 0.17 d | 2.27 ± 0.30 b | 0.93 ± 0.16 c | 2.86 ± 0.40 a |
| HFD | 6.15 ± 0.54 a | 3.15 ± 0.36 a | 1.63 ± 0.23 a | 1.85 ± 0.14 d |
| LIOP | 5.08 ± 0.44 b | 2.35 ± 0.19 b | 1.36 ± 0.27 b | 2.26 ± 0.44 c |
| MIOP | 4.85 ± 0.27 b | 2.30 ± 0.34 b | 1.19 ± 0.34 bc | 2.41 ± 0.38 bc |
| HIOP | 3.69 ± 0.60 c | 2.37 ± 0.20 b | 1.14 ± 0.15 bc | 2.76 ± 0.37 ab |
Publisher’s Note: MDPI stays neutral with regard to jurisdictional claims in published maps and institutional affiliations. |
© 2021 by the authors. Licensee MDPI, Basel, Switzerland. This article is an open access article distributed under the terms and conditions of the Creative Commons Attribution (CC BY) license (https://creativecommons.org/licenses/by/4.0/).
Share and Cite
Yang, M.; Hu, D.; Cui, Z.; Li, H.; Man, C.; Jiang, Y. Lipid-Lowering Effects of Inonotus obliquus Polysaccharide In Vivo and In Vitro. Foods 2021, 10, 3085. https://doi.org/10.3390/foods10123085
Yang M, Hu D, Cui Z, Li H, Man C, Jiang Y. Lipid-Lowering Effects of Inonotus obliquus Polysaccharide In Vivo and In Vitro. Foods. 2021; 10(12):3085. https://doi.org/10.3390/foods10123085
Chicago/Turabian StyleYang, Mo, Dong Hu, Zhengying Cui, Hongxuan Li, Chaoxin Man, and Yujun Jiang. 2021. "Lipid-Lowering Effects of Inonotus obliquus Polysaccharide In Vivo and In Vitro" Foods 10, no. 12: 3085. https://doi.org/10.3390/foods10123085
APA StyleYang, M., Hu, D., Cui, Z., Li, H., Man, C., & Jiang, Y. (2021). Lipid-Lowering Effects of Inonotus obliquus Polysaccharide In Vivo and In Vitro. Foods, 10(12), 3085. https://doi.org/10.3390/foods10123085
