Immediate Implant Therapy with Full-Digital Workflow to Replace a Central Incisor
Abstract
1. Introduction
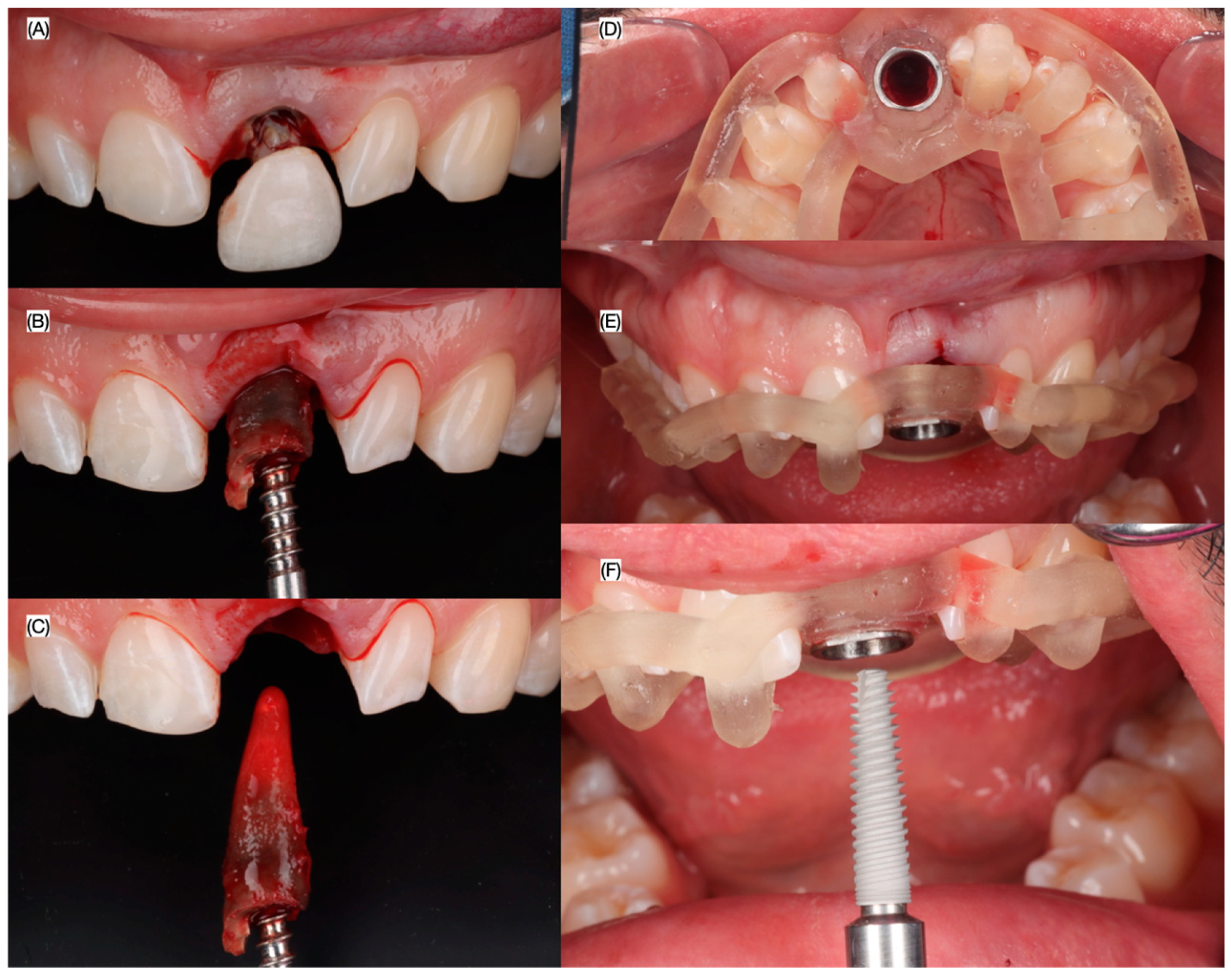
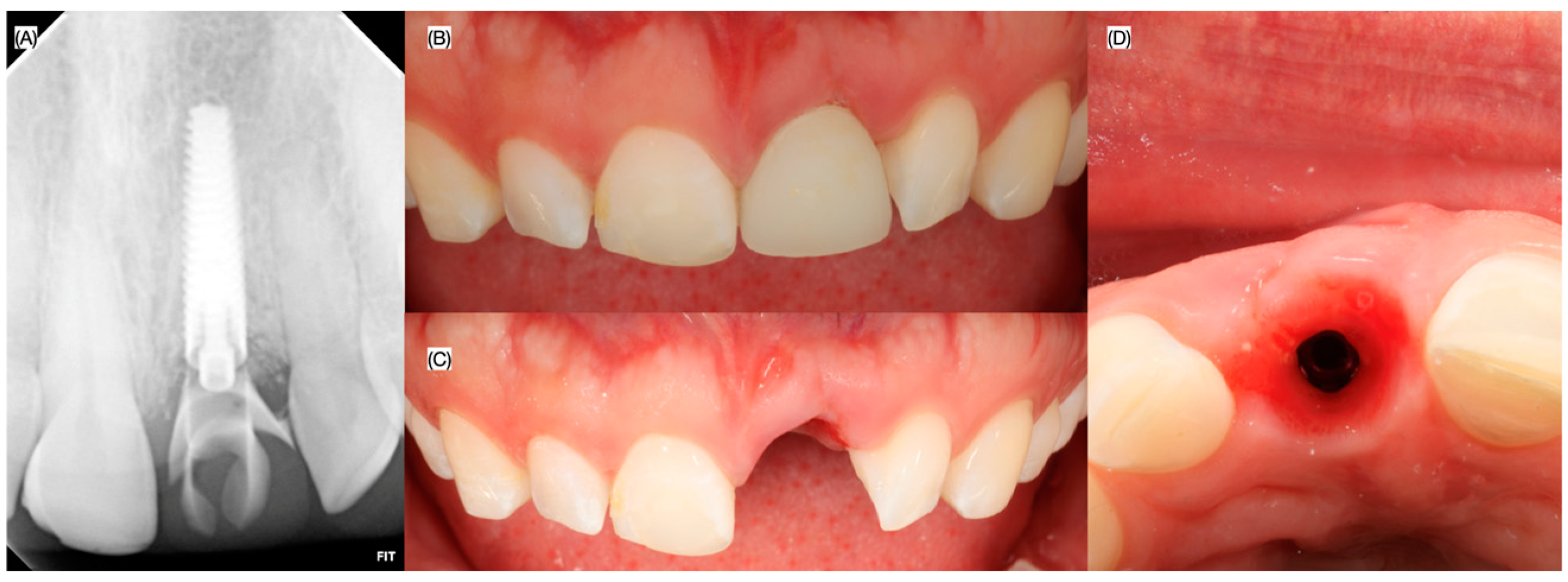
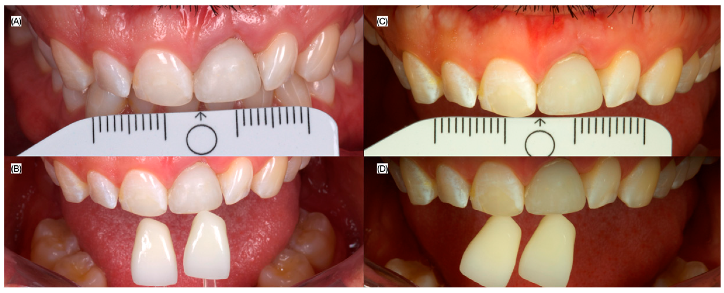
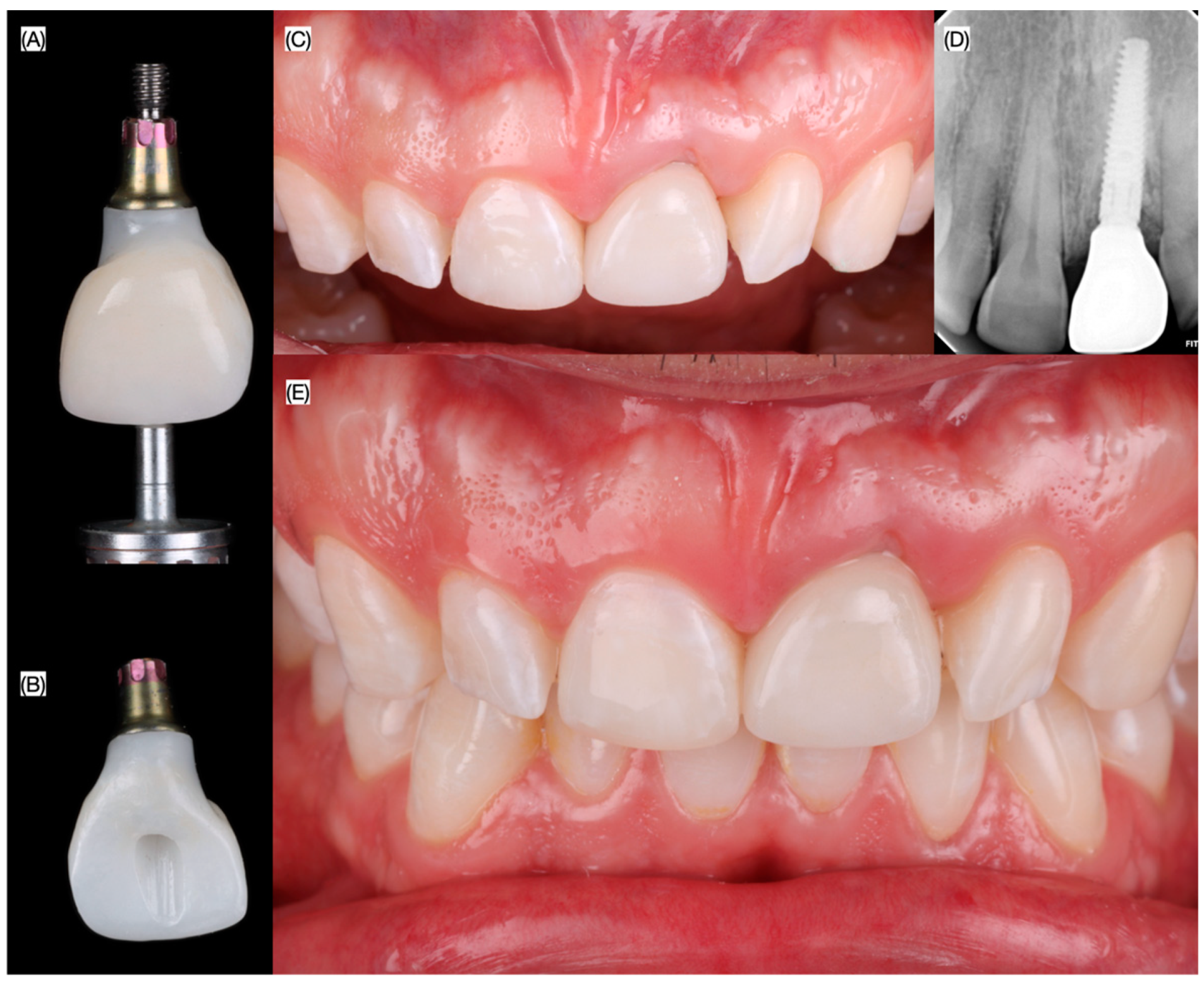
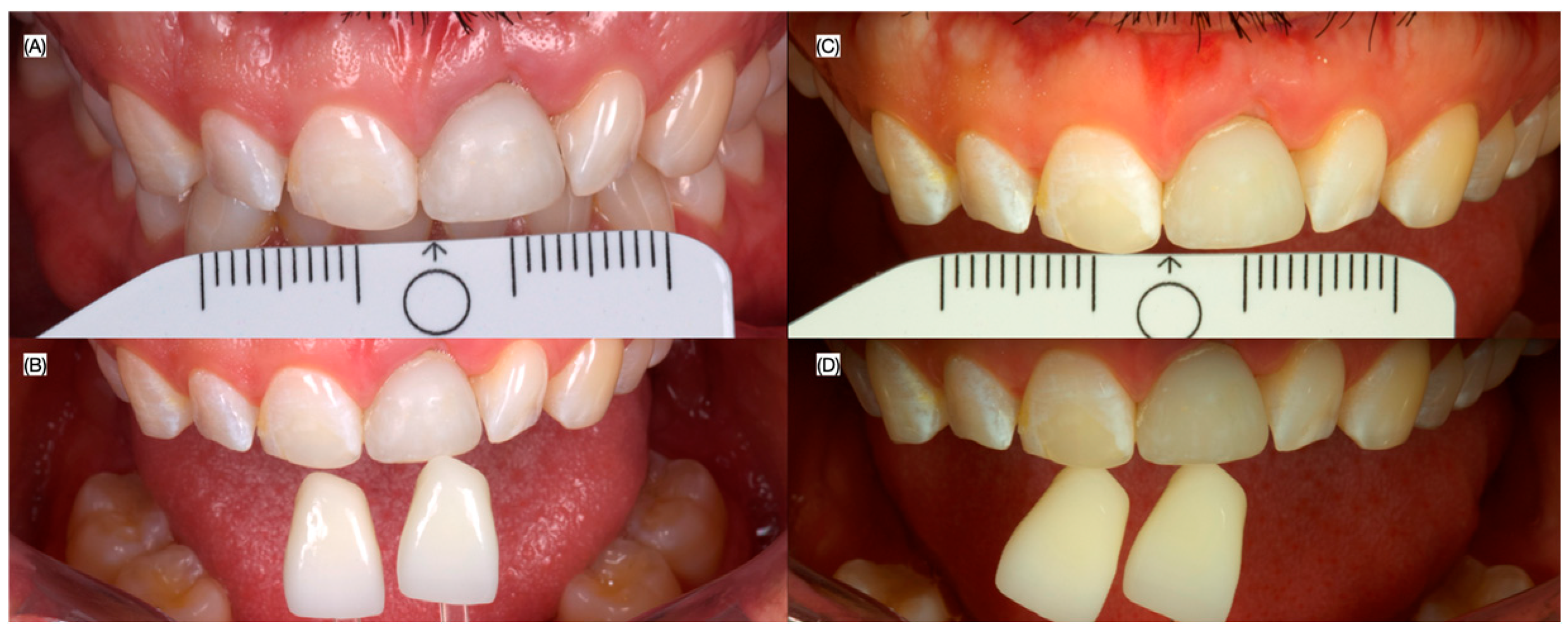
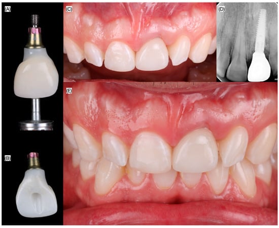
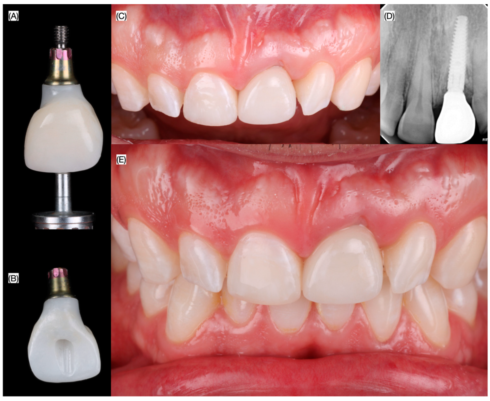
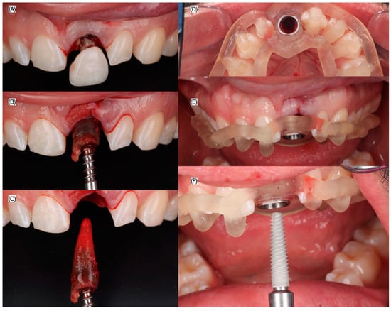
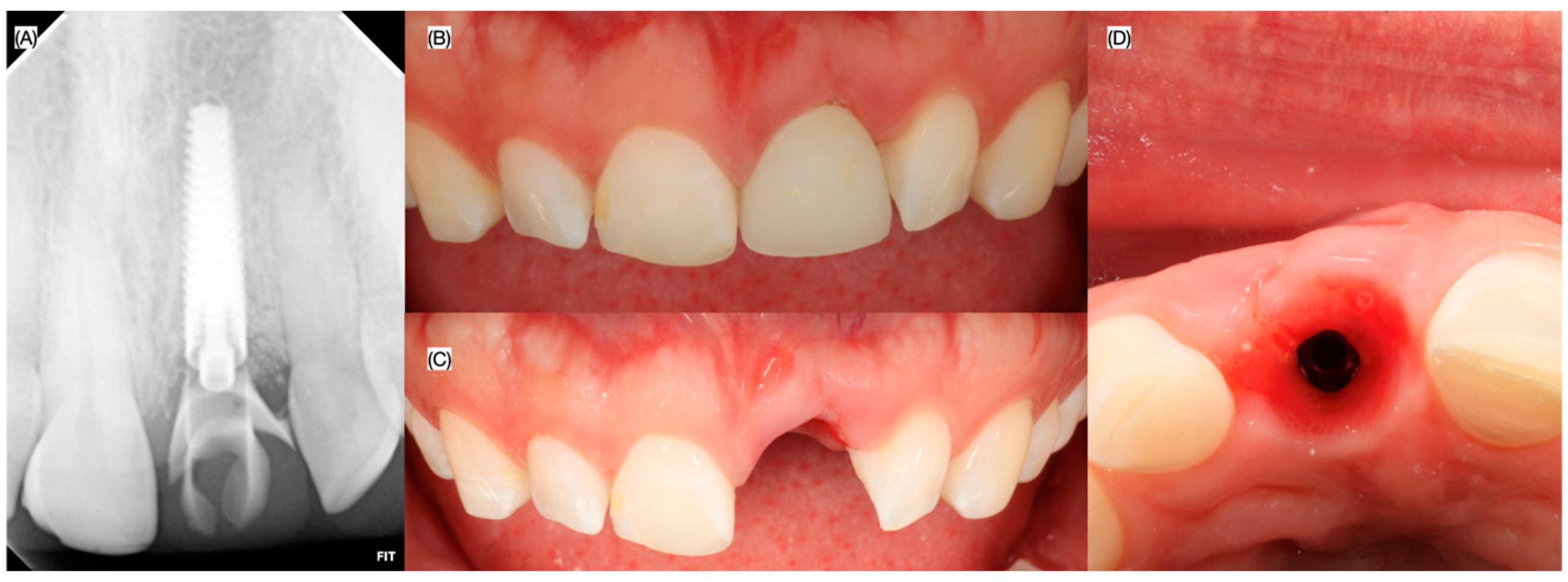
2. Materials and Methods
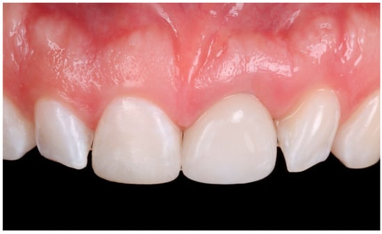
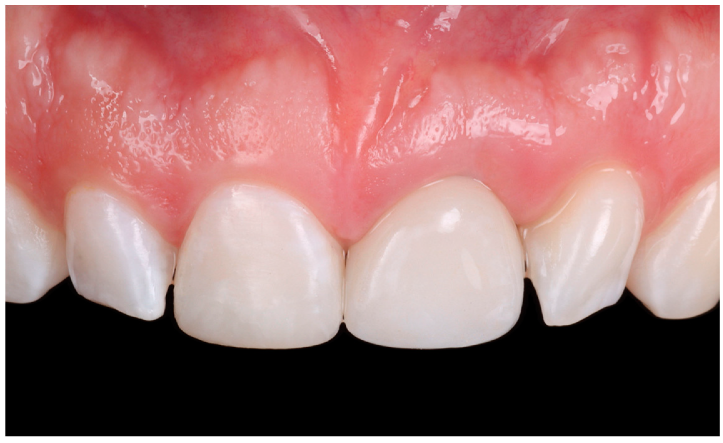
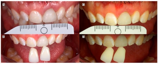
3. Results
4. Discussion
5. Conclusions
Author Contributions
Funding
Institutional Review Board Statement
Informed Consent Statement
Data Availability Statement
Conflicts of Interest
References
- Haagsma, J.A.; Graetz, N.; Bolliger, I.; Naghavi, M.; Higashi, H.; Mullany, E.C.; Abera, S.F.; Abraham, J.P.; Adofo, K.; Alsharif, U.; et al. The global burden of injury: Incidence, mortality, disability-adjusted life years and time trends from the Global Burden of Disease study 2013. Inj. Prev. 2016, 22, 3–18. [Google Scholar] [CrossRef] [PubMed]
- Lam, R. Epidemiology and outcomes of traumatic dental injuries: A review of the literature. Aust. Dent. J. 2016, 61 (Suppl. S1), 4–20. [Google Scholar] [CrossRef] [PubMed]
- Dharmani, C.K.; Pathak, A.; Sidhu, H.S. Prevalence of Traumatic Dental Injuries to Anterior Teeth in 8–12-year-old Schoolchildren of Patiala City, Punjab, India: An Epidemiological Study. Int. J. Clin. Pediatr. Dent. 2019, 12, 25–29. [Google Scholar] [CrossRef] [PubMed] [PubMed Central]
- Shayegan, A.; De Maertelaer, V.; Vanden Abbeele, A. The prevalence of traumatic dental injuries: A 24-month survey. J. Dent. Child. 2007, 74, 194–199. [Google Scholar] [PubMed]
- Machado, A.W. 10 commandments of smile esthetics. Dent. Press J. Orthod. 2014, 19, 136–157. [Google Scholar] [CrossRef] [PubMed] [PubMed Central]
- Jurado, C.A.; Parachuru, V.; Villalobos Tinoco, J.; Guzman-Perez, G.; Tsujimoto, A.; Javvadi, R.; Afrashtehfar, K.I. Diagnostic Mock-Up as a Surgical Reduction Guide for Crown Lengthening: Technique Description and Case Report. Medicina 2022, 58, 1360. [Google Scholar] [CrossRef] [PubMed] [PubMed Central]
- Miranda, M.E.; Olivieri, K.A.; Rigolin, F.J.; de Vasconcellos, A.A. Esthetic Challenges in Rehabilitating the Anterior Maxilla: A Case Report. Oper. Dent. 2016, 41, 2–7. [Google Scholar] [CrossRef] [PubMed]
- Vaidya, S.; Kapoor, C.; Bakshi, Y.; Bhalla, S. Achieving an esthetic smile with fixed and removal prosthesis using extracoronal castable precision attachments. J. Indian. Prosthodont. Soc. 2015, 15, 284–288. [Google Scholar] [CrossRef] [PubMed] [PubMed Central]
- Azpiazu-Flores, F.X.; Lee, D.J.; Jurado, C.A.; Nurrohman, H. 3D-Printed Overlay Template for Diagnosis and Planning Complete Arch Implant Prostheses. Healthcare 2023, 11, 1062. [Google Scholar] [CrossRef] [PubMed] [PubMed Central]
- Esposito, M.; Grusovin, M.G.; Maghaireh, H.; Worthington, H.V. Interventions for replacing missing teeth: Different times for loading dental implants. Cochrane Database Syst. Rev. 2013, 2013, CD003878. [Google Scholar] [CrossRef] [PubMed] [PubMed Central]
- Gapski, R.; Wang, H.L.; Mascarenhas, P.; Lang, N.P. Critical review of immediate implant loading. Clin. Oral Implants Res. 2003, 14, 515–527. [Google Scholar] [CrossRef] [PubMed]
- Woods, B.; Schenberg, M.; Chandu, A. A Comparison of Immediate and Delayed Dental Implant Placement in Head and Neck Surgery Patients. J. Oral Maxillofac. Surg. 2019, 77, 1156–1164. [Google Scholar] [CrossRef] [PubMed]
- Wipawin, R.; Amornsettachai, P.; Panyayong, W.; Rokaya, D.; Thiradilok, S.; Pujarern, P.; Suphangul, S. Clinical outcomes of 3-5 years follow-up of immediate implant placement in posterior teeth: A prospective study. BMC Oral Health 2024, 24, 312. [Google Scholar] [CrossRef] [PubMed] [PubMed Central]
- Norton, M.R. The influence of insertion torque on the survival of immediately placed and restored single-tooth implants. Int. J. Oral Maxillofac. Implants 2011, 26, 1333–1343. [Google Scholar] [PubMed]
- Coachman, C.; Sesma, N.; Blatz, M.B. The complete digital workflow in interdisciplinary dentistry. Int. J. Esthet. Dent. 2021, 16, 34–49. [Google Scholar] [PubMed]
- de Oliveira, N.R.C.; Pigozzo, M.N.; Sesma, N.; Laganá, D.C. Clinical efficiency and patient preference of digital and conventional workflow for single implant crowns using immediate and regular digital impression: A meta-analysis. Clin. Oral Implants Res. 2020, 31, 669–686. [Google Scholar] [CrossRef] [PubMed]
- Bell, C.K.; Sahl, E.F.; Kim, Y.J.; Rice, D.D. Accuracy of Implants Placed with Surgical Guides: Thermoplastic Versus 3D Printed. Int. J. Periodontics Restor. Dent. 2018, 38, 113–119. [Google Scholar] [CrossRef] [PubMed]
- Lang, N.P.; Pun, L.; Lau, K.Y.; Li, K.Y.; Wong, M.C. A systematic review on survival and success rates of implants placed immediately into fresh extraction sockets after at least 1 year. Clin. Oral Implants Res. 2012, 23 (Suppl. S5), 39–66. [Google Scholar] [CrossRef] [PubMed]
- Gallucci, G.O.; Hamilton, A.; Zhou, W.; Buser, D.; Chen, S. Implant placement and loading protocols in partially edentulous patients: A systematic review. Clin. Oral Implants Res. 2018, 29 (Suppl. S16), 106–134. [Google Scholar] [CrossRef] [PubMed]
- Chen, R.; Xu, J.; Wang, S.; Duan, S.; Wang, Z.; Zhang, X.; Tang, Y. Effectiveness of immediate implant placement into defective sockets in the esthetic zone: A systematic review and meta-analysis. J. Prosthet. Dent. 2024, in press. [Google Scholar] [CrossRef] [PubMed]
- Soegiantho, P.; Suryawinata, P.G.; Tran, W.; Kujan, O.; Koyi, B.; Khzam, N.; Algarves Miranda, L. Survival of Single Immediate Implants and Reasons for Loss: A Systematic Review. Prosthesis 2023, 5, 378–424. [Google Scholar] [CrossRef]
- Jalaluddin, M.; Arora, S.S.; Varghese, T.; Nair, A.; Gaffoor, F.M.A.; Kumari, D. Evaluation of the Clinical Success of Immediate Loading Implant in the Aesthetic Zone: An In Vivo Study. J. Pharm. Bioallied Sci. 2022, 14 (Suppl. S1), S581–S584. [Google Scholar] [CrossRef] [PubMed] [PubMed Central]
- Rondone, E.M.; Leitão-Almeida, B.; Pereira, M.S.; Fernandes, G.V.O.; Borges, T. The Use of Tissue Grafts Associated with Immediate Implant Placement to Achieve Better Peri-Implant Stability and Efficacy: A Systematic Review and Meta-Analysis. J. Clin. Med. 2024, 13, 821. [Google Scholar] [CrossRef] [PubMed] [PubMed Central]
- Zuiderveld, E.G.; Meijer, H.J.A.; Gareb, B.; Vissink, A.; Raghoebar, G.M. Single immediate implant placement in the maxillary aesthetic zone with and without connective tissue grafting: Results of a 5-year randomized controlled trial. J. Clin. Periodontol. 2024, 51, 487–498. [Google Scholar] [CrossRef] [PubMed]
- Schmidt, A.; Wöstmann, B.; Schlenz, M.A. Accuracy of digital implant impressions in clinical studies: A systematic review. Clin. Oral Implants Res. 2022, 33, 573–585. [Google Scholar] [CrossRef] [PubMed]
- Marques, V.R.; Çakmak, G.; Yilmaz, H.; Abou-Ayash, S.; Donmez, M.B.; Yilmaz, B. Effect of Scanned Area and Operator on the Accuracy of Dentate Arch Scans with a Single Implant. J. Clin. Med. 2022, 11, 4125. [Google Scholar] [CrossRef] [PubMed] [PubMed Central]
- Cheng, G.L.; Leblebicioglu, B.; Li, J.; Chien, H.H. Soft tissue healing around platform-switching and platform-matching single implants: A randomized clinical trial. J. Periodontol. 2020, 91, 1609–1620. [Google Scholar] [CrossRef] [PubMed]
- Santiago, J.F., Jr.; Batista, V.E.; Verri, F.R.; Honório, H.M.; de Mello, C.C.; Almeida, D.A.; Pellizzer, E.P. Platform-switching implants and bone preservation: A systematic review and meta-analysis. Int. J. Oral Maxillofac. Surg. 2016, 45, 332–345. [Google Scholar] [CrossRef] [PubMed]
- Najeeb, S.; Zafar, M.S.; Khurshid, Z.; Siddiqui, F. Applications of polyetheretherketone (PEEK) in oral implantology and prosthodontics. J. Prosthodont. Res. 2016, 60, 12–19. [Google Scholar] [CrossRef] [PubMed]
- Moharil, S.; Reche, A.; Durge, K. Polyetheretherketone (PEEK) as a Biomaterial: An Overview. Cureus 2023, 15, e44307. [Google Scholar] [CrossRef] [PubMed] [PubMed Central]
- Suphangul, S.; Rokaya, D.; Kanchanasobhana, C.; Rungsiyakull, P.; Chaijareenont, P. PEEK Biomaterial in Long-Term Provisional Implant Restorations: A Review. J. Funct. Biomater. 2022, 13, 33. [Google Scholar] [CrossRef] [PubMed] [PubMed Central]
- Koutouzis, T.; Richardson, J.; Lundgren, T. Comparative soft and hard tissue responses to titanium and polymer healing abutments. J. Oral Implantol. 2011, 37, 174–182. [Google Scholar] [CrossRef] [PubMed]
- Hahnel, S.; Wieser, A.; Lang, R.; Rosentritt, M. Biofilm formation on the surface of modern implant abutment materials. Clin. Oral Implants Res. 2015, 26, 1297–1301. [Google Scholar] [CrossRef] [PubMed]












| Authors and Year of Publication | Methodology | Results |
|---|---|---|
| Lang NP, Pun L, Lau KY, Li KY, Wong MC (2012). A systematic review on survival and success rates of implants placed immediately into fresh extraction sockets after at least 1 year [18]. | Electronic search was conducted on research databases independently by the researchers. The inclusion criteria included articles in English published from 1991 to 2010. Only human studies involving endosteal dental implants with follow up times greater than 12 months were included. Implant survival, complications, and soft tissue changes were evaluated. | The annual failure rate of immediate implants was 0.82%, translating into the 2-year survival rate of 98.4%. Lower failure rates were found in groups that were provided with a course of post-operative antibiotics. Soft tissue changes occurred mostly in the first 3 months after the provision of restoration, and then stabilized towards end of the first year. Marginal bone loss predominantly took place in the first year after implant placement, with a magnitude generally less than 1 mm. |
| Gallucci GO, Hamilton A, Zhou W, Buser D, Chen S (2018) Implant placement and loading protocols in partially edentulous patients: A systematic review [19]. | Electronic search on major research databases investigating the outcomes of different placement and loading protocols. The inclusion criteria included human studies involving endosteal implants with diameters between 3 and 6 mm with at least 10 cases and a minimum follow-up time of 12 months. A cumulative survival rate for each type of the implant placement and loading protocols was weighted by the duration of follow-up and number of implants. | Type 1A (immediate placement plus immediate restoration/loading) is a clinically documented protocol, the survival rate was 98% (median 100, range 87–100%). Type 1B (immediate placement plus early loading) is a clinically documented protocol. The survival rate was 98% (median 100, range 93–100%). Type 1C (immediate placement plus conventional loading) is a scientifically and clinically valid protocol. The survival rate was 96% (median 99, range 91–100%) |
| Chen R, Xu J, Wang S, Duan S, Wang Z, Zhang X, Tang Y (2024) Effectiveness of immediate implant placement into defective sockets in the esthetic zone: A systematic review and meta-analysis [20]. | Electronic search was conducted independently by 2 reviewers on major research databases from from January 2000 to March 2022. A single-arm meta-analysis was performed using a statistical software program assessing the survival rates, marginal bone loss and gingival scores of dental implants placed in the esthetic zone. | The implant survival rate was 98.1%. Marginal bone loss at 6, 12, and ≥24 months were 1.03 mm and 1.15 mm. Gingival recession at 12 months was 0.25 mm. The pink esthetic score (PES) was 12.34 at 12 months and 12.58 at ≥24 months. |
Disclaimer/Publisher’s Note: The statements, opinions and data contained in all publications are solely those of the individual author(s) and contributor(s) and not of MDPI and/or the editor(s). MDPI and/or the editor(s) disclaim responsibility for any injury to people or property resulting from any ideas, methods, instructions or products referred to in the content. |
© 2025 by the authors. Licensee MDPI, Basel, Switzerland. This article is an open access article distributed under the terms and conditions of the Creative Commons Attribution (CC BY) license (https://creativecommons.org/licenses/by/4.0/).
Share and Cite
Garcia-Torres, F.; Jurado, C.A.; Rojas-Rueda, S.; Conner, C.; Mohamed, A.A.; Azpiazu-Flores, F.X. Immediate Implant Therapy with Full-Digital Workflow to Replace a Central Incisor. Dent. J. 2025, 13, 73. https://doi.org/10.3390/dj13020073
Garcia-Torres F, Jurado CA, Rojas-Rueda S, Conner C, Mohamed AA, Azpiazu-Flores FX. Immediate Implant Therapy with Full-Digital Workflow to Replace a Central Incisor. Dentistry Journal. 2025; 13(2):73. https://doi.org/10.3390/dj13020073
Chicago/Turabian StyleGarcia-Torres, Francisco, Carlos A. Jurado, Silvia Rojas-Rueda, Clint Conner, Ali Abulkasim Mohamed, and Francisco X. Azpiazu-Flores. 2025. "Immediate Implant Therapy with Full-Digital Workflow to Replace a Central Incisor" Dentistry Journal 13, no. 2: 73. https://doi.org/10.3390/dj13020073
APA StyleGarcia-Torres, F., Jurado, C. A., Rojas-Rueda, S., Conner, C., Mohamed, A. A., & Azpiazu-Flores, F. X. (2025). Immediate Implant Therapy with Full-Digital Workflow to Replace a Central Incisor. Dentistry Journal, 13(2), 73. https://doi.org/10.3390/dj13020073

