Advancing Orthodontic Aesthetics: Exploring the Potential of Injectable Composite Resin Techniques for Enhanced Smile Transformations
Abstract
1. Introduction
2. Case Presentation
2.1. Case 1
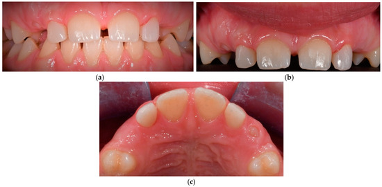
2.1.1. Patient Presentation
2.1.2. Clinical Findings
2.1.3. Diagnosis and Assessment
2.1.4. Intervention Types Considered
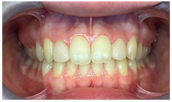
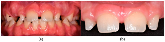
2.1.5. Therapeutic Intervention
2.2. Case 2
2.2.1. Patient Presentation
2.2.2. Clinical Findings
2.2.3. Diagnosis and Assessment
2.2.4. Intervention Types Considered
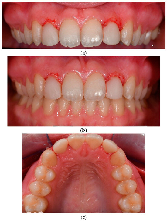
2.2.5. Therapeutic Intervention
3. Discussion
4. Conclusions
- The IMT represents an optimal conservative treatment approach when an additive strategy can benefit the patient.
- Meticulous technique application, detailed pre-treatment planning, prudent case selection, and adherence to precise procedural and polishing protocols can achieve consistent and predictable outcomes.
- The IMT has demonstrated its utility in pediatric patients at the beginning and completion of orthodontic treatment.
- This technique is a valuable tool for orthodontists, facilitating the finalisation of treatment, addressing Bolton index discrepancies, and correcting tooth shape irregularities.
- Functional and aesthetic enhancements are achievable through the IMT, resulting in improved orthodontic outcomes and a more pleasing smile for patients.
- The integration of digital workflows enables clinicians to streamline clinical sessions by delivering thermo-printed retainers or aligners during the same appointment as the IMT, providing economic and organisational benefits.
- Further clinical studies are warranted to establish the long-term effectiveness of the technique.
Author Contributions
Funding
Institutional Review Board Statement
Informed Consent Statement
Data Availability Statement
Acknowledgments
Conflicts of Interest
References
- Tin-Oo, M.M.; Saddki, N.; Hassan, N. Factors influencing patient satisfaction with dental appearance and treatments they desire to improve aesthetics. BMC Oral Health 2011, 11, 6. [Google Scholar] [CrossRef]
- de Couto Nascimento, V.; de Castro Ferreira Conti, A.C.; de Almeida Cardoso, M.; Valarelli, D.P.; de Almeida-Pedrin, R.R. Impact of orthodontic treatment on self-esteem and quality of life of adult patients requiring oral rehabilitation. Angle Orthod. 2016, 86, 839–845. [Google Scholar] [CrossRef] [PubMed]
- Calamia, J.R.; Calamia, C.S. Porcelain laminate veneers: Reasons for 25 years of success. Dent. Clin. N. Am. 2007, 51, 399–417. [Google Scholar] [CrossRef] [PubMed]
- Turgut, S.; Bagis, B. Colour stability of laminate veneers: An in vitro study. J. Dent. 2011, 39, e57–e64. [Google Scholar] [CrossRef] [PubMed]
- Beier, U.S.; Dumfahrt, H. Longevity of silicate ceramic restorations. Quintessence Int. 2014, 45, 637–644. [Google Scholar]
- Demarco, F.F.; Collares, K.; Correa, M.B.; Cenci, M.S.; Moraes, R.R.D.; Opdam, N.J. Should my composite restorations last forever? Why are they failing? Braz. Oral Res. 2017, 31, e56. [Google Scholar] [CrossRef] [PubMed]
- Terry, D.; Powers, J. Using injectable resin composite: Part two. Int. Dent. Afr. 2014, 5, 64–72. [Google Scholar]
- Terry, D.A. Restoring with flowables. Stomatol. EDU J. 2017, 4, 74. [Google Scholar] [CrossRef]
- Terry, D.A.; Powers, J.M.; Blatz, M.B. The inverse injection layering technique. J. Cosmet. Dent. 2018, 34, 48. [Google Scholar]
- Geštakovski, D. The injectable composite resin technique: Minimally invasive reconstruction of esthetics and function. Quintessence Int. 2019, 50, 712–720. [Google Scholar]
- Gia, N.R.Y.; Sampaio, C.S.; Higashi, C.; Sakamoto, A.S., Jr.; Hirata, R. The injectable resin composite restorative technique: A case report. J. Esthet. Restor. Dent. 2021, 33, 404–414. [Google Scholar]
- Pontons-Melo, J.C.; Atzeri, G.; Collares, F.M.; Hirata, R. Cosmetic recontouring for achieving anterior esthetics. Int. J. Esthet. Dent. 2019, 14, 134–146. [Google Scholar] [PubMed]
- Pontons-Melo, J.C.; Pizzatto, E.; Furuse, A.Y.; Mondelli, J. A conservative approach for restoring anterior guidance: A case report. J. Esthet. Restor. Dent. 2012, 24, 171–182. [Google Scholar] [CrossRef] [PubMed]
- Coachman, C.; De Arbeloa, L.; Mahn, G.; Sulaiman, T.; Mahn, E. An improved direct injection technique with flowable composites. a digital workflow case report. Oper. Dent. 2020, 45, 235–242. [Google Scholar] [CrossRef] [PubMed]
- Valeri, C.; Quinzi, V.; Di Giandomenico, D.; Fani, E.; Leonardi, R.; Marzo, G. Teledentistry: A bibliometric analysis of the scientific publication’s trend. Digit. Health 2023, 9, 20552076231204747. [Google Scholar] [CrossRef] [PubMed]
- Coachman, C.; Calamita, M. Digital smile design: A tool for treatment planning and communication in esthetic dentistry. Quintessence Dent. Technol. 2012, 35, 103–111. [Google Scholar]
- Canova, F.F.; Oliva, G.; Beretta, M.; Dalessandri, D. Digital (r) evolution: Open-source software for orthodontics. Appl. Sci. 2021, 11, 6033. [Google Scholar] [CrossRef]
- Sampaio, C.S.; Puppin-Rontani, J.; Tonolli, G.; Atria, P.J. Workflow of digitally guided direct composite resin restorations using open source software and 3d printing: A clinical technique. Quintessence Int. 2021, 52, 104–110. [Google Scholar]
- Riley, D.; Barber, M.; Kienle, G.; Aronson, J.; von Schoen-Angerer, T.; Tugwell, P.; Kiene, H.; Helfand, M.; Altman, D.; Sox, H.; et al. Care 2013 explanations and elaborations: Reporting guidelines for case reports. J. Clin. Epidemiol. 2017, 89, 218–235. [Google Scholar] [CrossRef]
- Terry, D.A.; Powers, J.M. A predictable resin composite injection technique, part i. Dent. Today 2014, 33, 96–101. [Google Scholar]
- Patankar, R.C.; More, V.; Jadhav, R.; Sabane, A.; Kadam, P.; Gachake, A. Comparative evaluation of flexural strength of denture base resin materials processed using compression molding technique, injection molding technique, and computer-aided design cam technique: An in vitro study. Dent. Res. J. 2022, 19, 100. [Google Scholar] [CrossRef]
- Boruziniat, A.; Gharaee, S.; Shirazi, A.S.; Majidinia, S.; Vatanpour, M. Evaluation of the efficacy of flowable composite as lining material on microleakage of composite resin restorations: A systematic review and meta-analysis. Quintessence Int. 2016, 47, 93–101. [Google Scholar]
- Szesz, A.; Parreiras, S.; Martini, E.; Reis, A.; Loguercio, A. Effect of flowable composites on the clinical performance of non-carious cervical lesions: A systematic review and meta-analysis. J. Dent. 2017, 65, 11–21. [Google Scholar] [CrossRef]
- Prabhakar, A.; Madan, M.; Raju, O. The marginal seal of a flowable composite, an injectable resin modified glass ionomer and a compomer in primary molars–an in vitro study. J. Indian. Soc. Pedod. Prev. Dent. 2003, 21, 45–48. [Google Scholar]
- Sumino, N.; Tsubota, K.; Takamizawa, T.; Shiratsuchi, K.; Miyazaki, M.; Latta, M.A. Comparison of the wear and flexural characteristics of flowable resin composites for posterior lesions. Acta Odontol. Scand. 2013, 71, 820–827. [Google Scholar] [CrossRef]
- Ujiie, M.; Tsujimoto, A.; Barkmeier, W.W.; Jurado, C.A.; Villalobos-Tinoco, J.; Takamizawa, T.; Latta, M.A.; Miyazaki, M. Comparison of occlusal wear between bulk-fill and conventional flowable resin composites. Am. J. Dent. 2020, 33, 74–78. [Google Scholar]
- Imai, A.; Takamizawa, T.; Sugimura, R.; Tsujimoto, A.; Ishii, R.; Kawazu, M.; Saito, T.; Miyazaki, M. Interrelation among the handling, mechanical, and wear properties of the newly developed flowable resin composites. J. Mech. Behav. Biomed. Mater. 2019, 89, 72–80. [Google Scholar] [CrossRef]
- Maroulakos, G.; Maroulakos, M.P.; Tsoukala, E.; Angelopoulou, M.V. Dental reshaping using the composite resin injection technique after dental trauma and orthodontic treatment. J. Dent. Child. 2021, 88, 144–147. [Google Scholar]
- Ammannato, R.; Ferraris, F.; Marchesi, G. The “index technique” in worn dentition: A new and conservative approach. Int. J. Esthet. Dent. 2015, 10, 68–99. [Google Scholar]
- Balagopal, S.; Geethapriya, N.; Anisha, S.; Hemasathya, B.A.; Vandana, J.; Dhatshayani, C. Comparative evaluation of the degree of conversion of four different composites polymerized using ultrafast photopolymerization technique: An in vitro study. J. Conserv. Dent. JCD 2021, 24, 77. [Google Scholar] [CrossRef]
- Demarco, F.F.; Cenci, M.S.; Montagner, A.F.; de Lima, V.P.; Correa, M.B.; Moraes, R.R.; Opdam, N.J. Longevity of composite restorations is definitely not only about materials. Dent. Mater. 2022, 39, 1–12. [Google Scholar] [CrossRef]
- Rodolpho, P.A.D.R.; Rodolfo, B.; Collares, K.; Correa, M.B.; Demarco, F.F.; Opdam, N.J.; Cenci, M.S.; Moraes, R.R. Clinical performance of posterior resin composite restorations after up to 33 years. Dent. Mater. 2022, 38, 680–688. [Google Scholar] [CrossRef]
- Moraes, R.R.; Cenci, M.S.; Moura, J.R.; Demarco, F.F.; Loomans, B.; Opdam, N. Clinical performance of resin composite restorations. Curr. Oral Health Rep. 2022, 9, 22–31. [Google Scholar] [CrossRef]
- Jang, J.; Park, S.; Hwang, I. Polymerization shrinkage and depth of cure of bulk-fill resin composites and highly filled flowable resin. Oper. Dent. 2015, 40, 172–180. [Google Scholar] [CrossRef]
- Kitasako, Y.; Sadr, A.; Burrow, M.; Tagami, J. Thirty-six month clinical evaluation of a highly filled flowable composite for direct posterior restorations. Aust. Dent. J. 2016, 61, 366–373. [Google Scholar] [CrossRef]
- Vulović, S.; Stašić, J.N.; Ilić, J.; Todorović, M.; Jevremović, D.; Milić-Lemić, A. Effect of different finishing and polishing procedures on surface roughness and microbial adhesion on highly-filled composites for injectable mold technique. J. Esthet. Restor. Dent. 2023, 35, 917–926. [Google Scholar] [CrossRef]
- Geštakovski, D. The injectable composite resin technique: Biocopy of a natural tooth-advantages of digital planning. Int. J. Esthet. Dent. 2021, 16, 280–299. [Google Scholar]











Disclaimer/Publisher’s Note: The statements, opinions and data contained in all publications are solely those of the individual author(s) and contributor(s) and not of MDPI and/or the editor(s). MDPI and/or the editor(s) disclaim responsibility for any injury to people or property resulting from any ideas, methods, instructions or products referred to in the content. |
© 2024 by the authors. Licensee MDPI, Basel, Switzerland. This article is an open access article distributed under the terms and conditions of the Creative Commons Attribution (CC BY) license (https://creativecommons.org/licenses/by/4.0/).
Share and Cite
Spadoni, D.; Valeri, C.; Quinzi, V.; Schneider Moser, U.; Marzo, G. Advancing Orthodontic Aesthetics: Exploring the Potential of Injectable Composite Resin Techniques for Enhanced Smile Transformations. Dent. J. 2025, 13, 18. https://doi.org/10.3390/dj13010018
Spadoni D, Valeri C, Quinzi V, Schneider Moser U, Marzo G. Advancing Orthodontic Aesthetics: Exploring the Potential of Injectable Composite Resin Techniques for Enhanced Smile Transformations. Dentistry Journal. 2025; 13(1):18. https://doi.org/10.3390/dj13010018
Chicago/Turabian StyleSpadoni, Davide, Cristina Valeri, Vincenzo Quinzi, Ute Schneider Moser, and Giuseppe Marzo. 2025. "Advancing Orthodontic Aesthetics: Exploring the Potential of Injectable Composite Resin Techniques for Enhanced Smile Transformations" Dentistry Journal 13, no. 1: 18. https://doi.org/10.3390/dj13010018
APA StyleSpadoni, D., Valeri, C., Quinzi, V., Schneider Moser, U., & Marzo, G. (2025). Advancing Orthodontic Aesthetics: Exploring the Potential of Injectable Composite Resin Techniques for Enhanced Smile Transformations. Dentistry Journal, 13(1), 18. https://doi.org/10.3390/dj13010018

