Full-Mouth Rehabilitation of a 15-Year-Old Girl Affected by a Rare Hypoparathyroidism (Glial Cell Missing Homolog 2 Mutation): A 3-Year Follow-Up
Abstract
1. Introduction
2. Patient Presentation
2.1. Patient’s Information
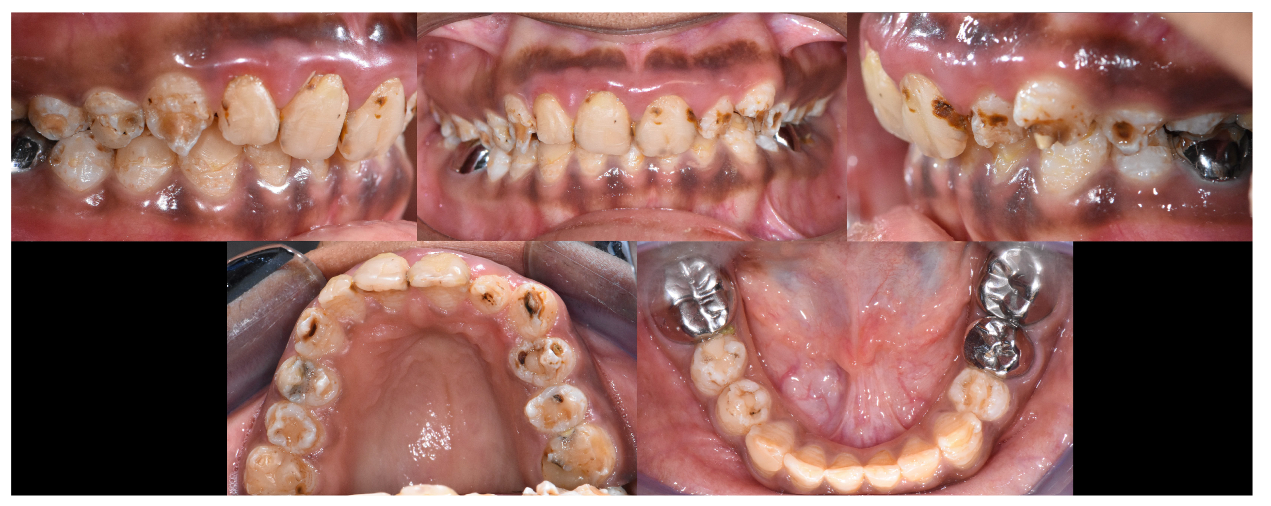
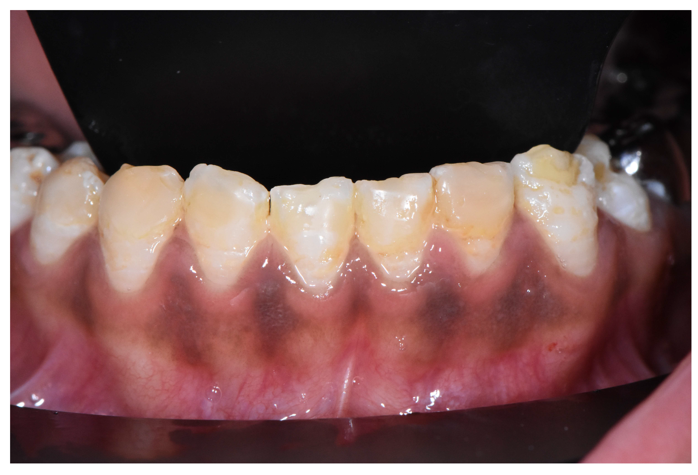
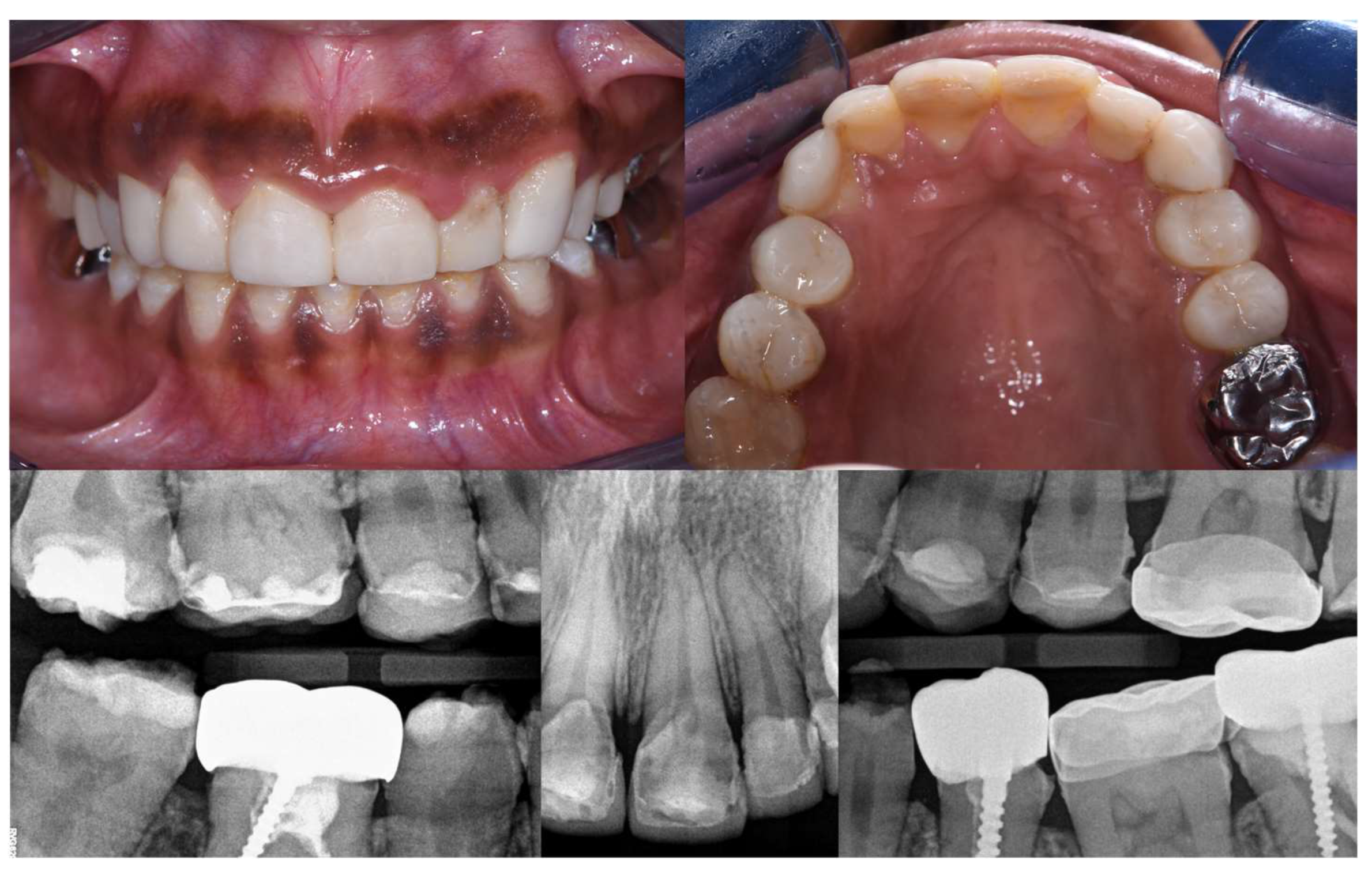
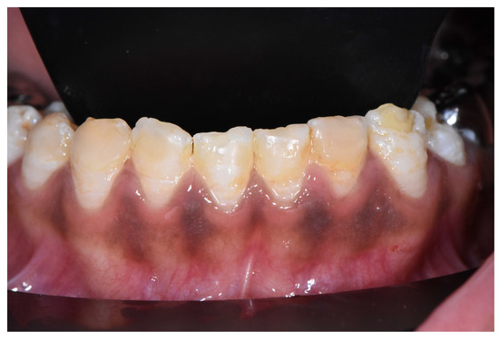
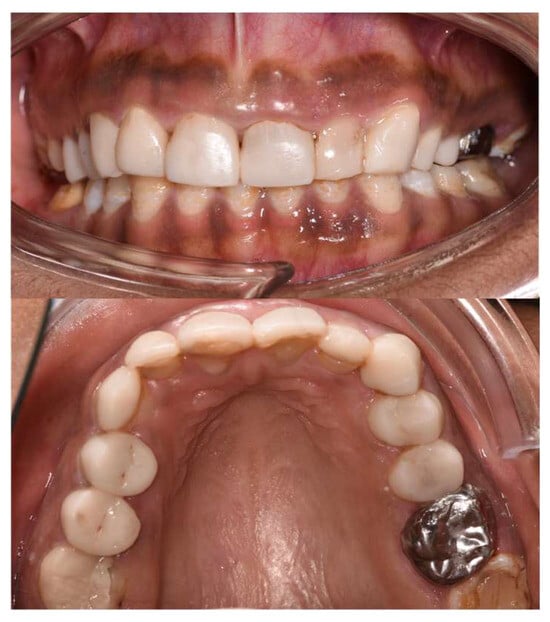
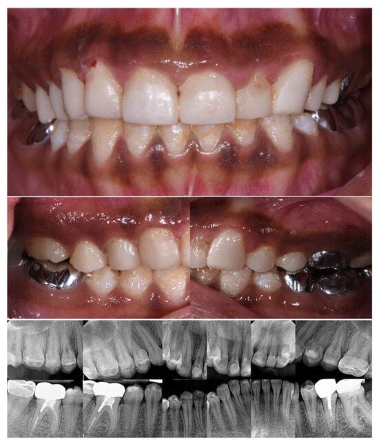
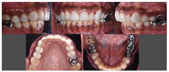
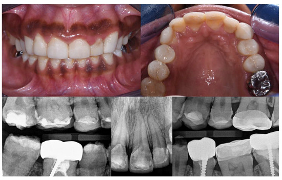
2.2. Clinical Examination
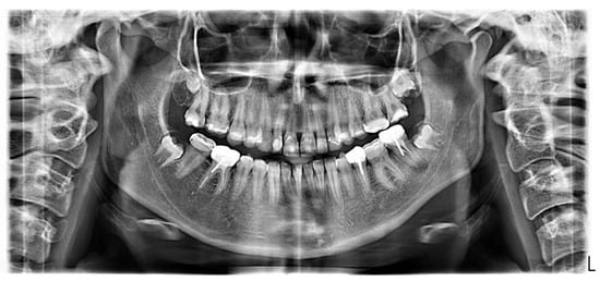
2.3. Radiographic Examinations
2.4. Diagnostic and Therapeutic Proposal
- -
- To stabilize the caries risk, we decided to improve the dental hygiene, and proceed to periodontal therapy;
- -
- For the posterior maxillary and mandibular teeth, we decided not to intervene in the stable and acceptable restorations and to restore the others with direct/indirect resin composite, glass ionomer cement, or SSCs. The possibility of achieving a dry field and the thickness of the residual tissues were the main arguments for the choice of restoration type;
- -
- For the anterior maxillary teeth, we decided to restore them with indirect resin composite overlays or veneers, according to the residual tissues;
- -
- For the anterior mandibular teeth, we decided to treat them with teeth whitening;
- -
- Lastly, to increase the lower third of the face, an increase of 2 mm in the vertical dimension was chosen.
2.5. Treatment Procedure
2.6. Initial Therapy and Impressions for Digital Study Models (First Session)
2.6.1. Oral Hygiene and Nutrition Education
2.6.2. Quality of Life Assessment
2.6.3. Intraoral Scanning for Digital Study Models
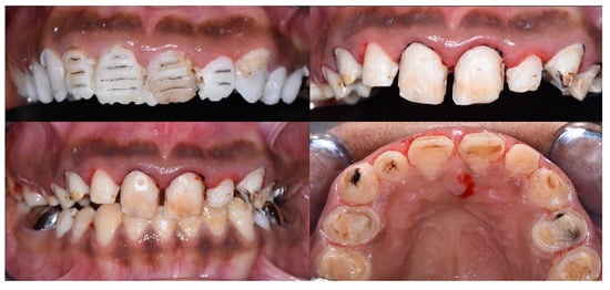
2.7. Management of the Posterior Mandibular Teeth (Second Session)
2.8. Management of the Maxillary Molars (Third and Fourth Sessions)
2.8.1. Third Session
2.8.2. Fourth Session
2.9. Anterior Mandibular Teeth Whitening (Fifth Session)
2.10. Rehabilitation of the Maxillary Second Right Premolars to Maxillary Second Left Premolars
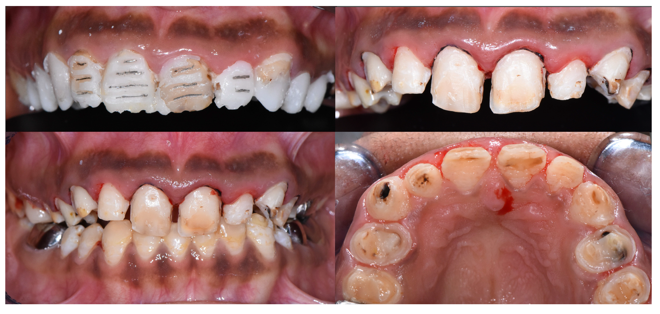
2.10.1. Sixth Session (Mock-Up Session)
2.10.2. Seventh Session (Tooth Preparation)
- -
- For all the premolars (15, 14, 24, 25), we performed overlays with a buccal juxtagingival margin.
- -
- For the right maxillary canine (13), we performed a crown with total peripheral preparation in the juxtagingival margin.
- -
- For the left maxillary canine (23), we performed a vestibular veneer with palatal return.
- -
- For all the incisors (12, 11, 21, 22), we performed vestibular veneers with palatal return.
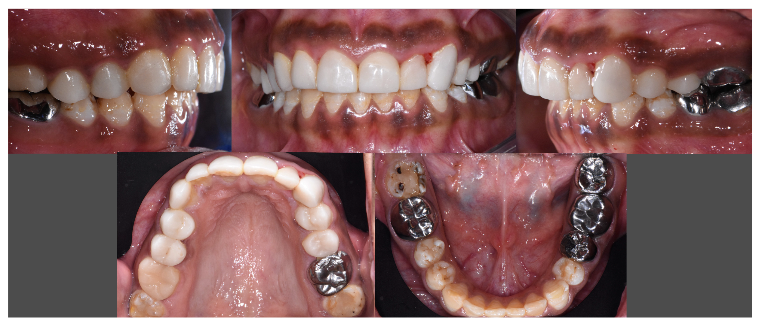
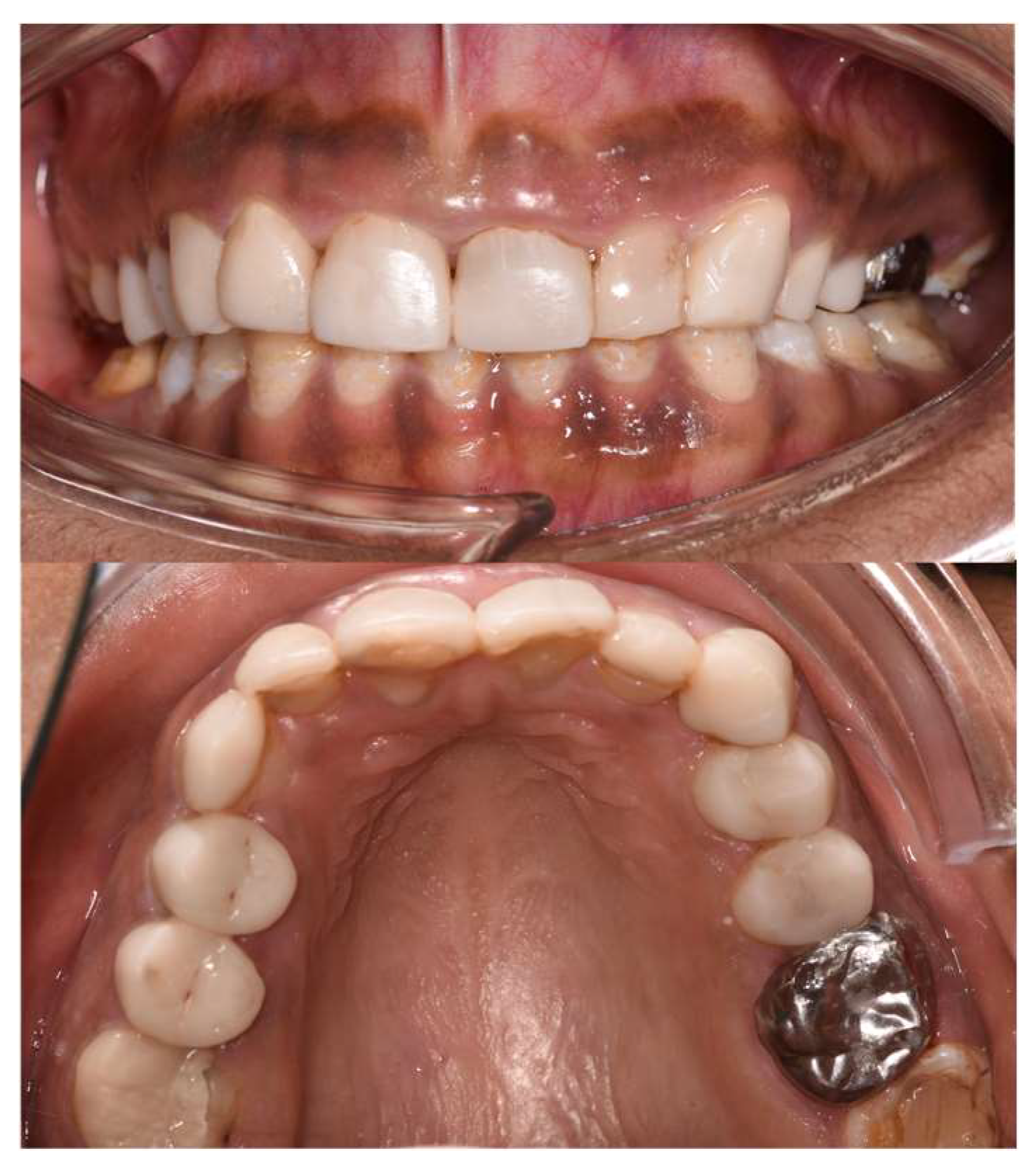
2.10.3. Eighth Session (Bonding)
2.11. Follow-Ups
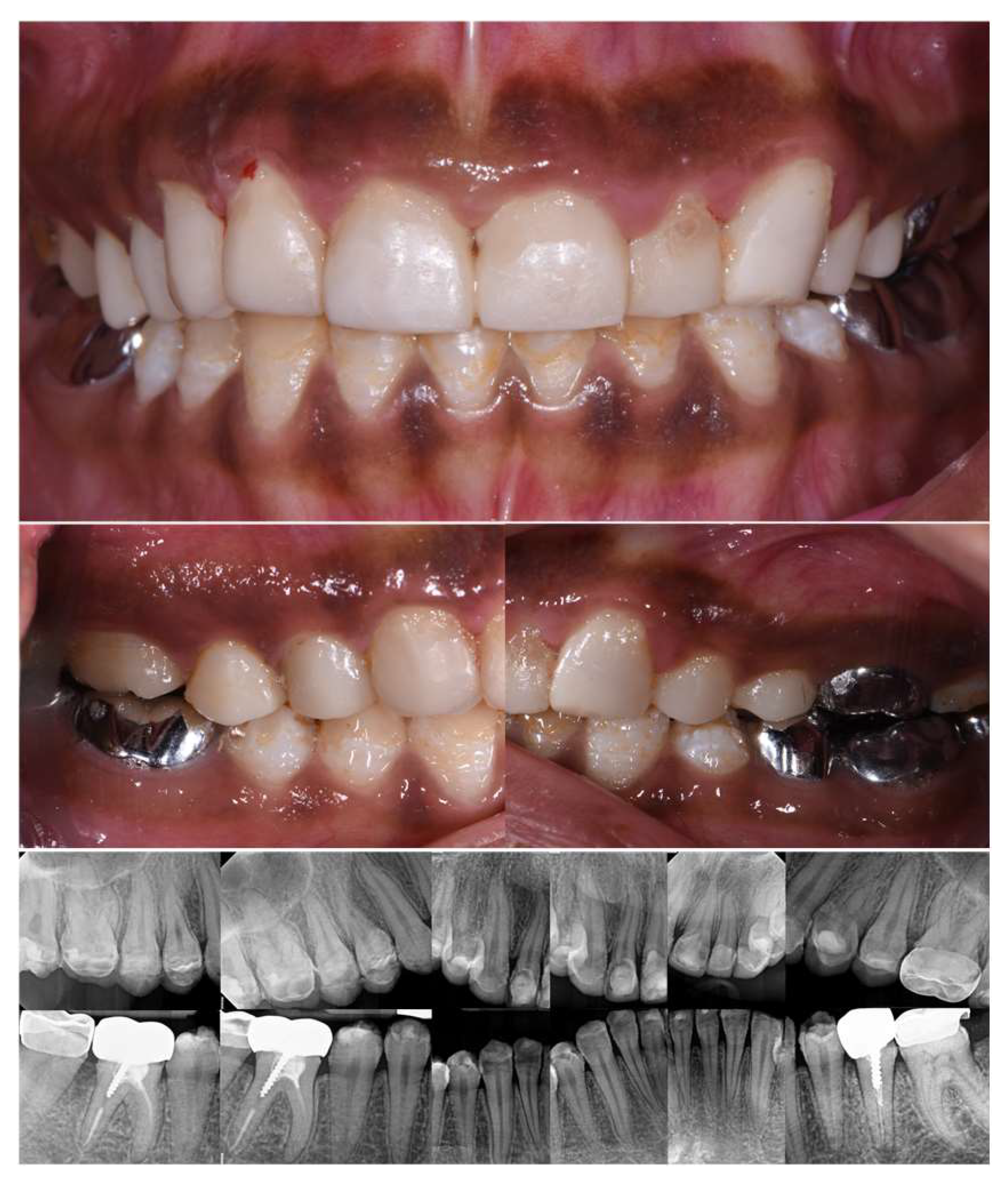
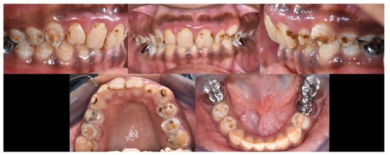
2.11.1. At 15 Days
2.11.2. At 3 Months
2.11.3. At 8 Months
2.11.4. At One and a Half Years
2.11.5. At Three Years
3. Discussion
3.1. Hypoparathyroidism and Dental Repercussions
3.2. Digital Wax-Up and Use of CAD-CAM
3.3. Type of Restorations and Material Selection for the Anterior Teeth
3.4. Bonding
3.5. Caries Risk Management and Treatment Prognosis
3.6. Quality of Life
3.7. Limits
4. Conclusions
Author Contributions
Funding
Institutional Review Board Statement
Informed Consent Statement
Data Availability Statement
Conflicts of Interest
References
- Pasieka, J.L.; Wentworth, K.; Yeo, C.T.; Cremers, S.; Dempster, D.; Fukumoto, S.; Goswami, R.; Houillier, P.; Levine, M.A.; Pasternak, J.D.; et al. Etiology and pathophysiology of hypoparathyroidism: A narrative review. J. Bone Miner. Res. 2022, 37, 2586–2601. [Google Scholar] [CrossRef] [PubMed]
- Hamny, I.; Chanson, P.; Borson-Chazot, F. New directions in the treatment of hypoparathyroidism. Ann. Endocrinol. 2023, 84, 460–465. [Google Scholar] [CrossRef]
- Liu, H.; Liu, L.; Rosen, C.J. PTH and the Regulation of Mesenchymal Cells within the Bone Marrow Niche. Cells 2024, 13, 406. [Google Scholar] [CrossRef]
- Fanget, F.; Demarchi, M.S.; Maillard, L.; El Boukili, I.; Gerard, M.; Decaussin, M.; Borson-Chazot, F.; Lifante, J.C. Hypoparathyroidism: Consequences, economic impact, and perspectives. A case series and systematic review. Ann. Endocrinol. 2021, 82, 572–581. [Google Scholar] [CrossRef]
- Reid, I.R.; Bristow, S.M.; Bolland, M.J. Calcium supplements: Benefits and risks. J. Intern. Med. 2015, 278, 354–368. [Google Scholar] [CrossRef]
- Cooper, M.; Gittoes, N. Diagnosis and management of hypocalcaemia. BMJ 2008, 336, 1298–1302. [Google Scholar] [CrossRef] [PubMed]
- Dawale, K.; Agrawal, A. Parathyroid hormone secretion and related syndromes. Cureus 2022, 14, e30251. [Google Scholar] [CrossRef]
- Giusti, F.; Brandi, M.L. Clinical presentation of hypoparathyroidism. Front. Horm. Res. 2019, 51, 139–146. [Google Scholar]
- Zavatta, G.; Clarke, B.L. Challenges in the management of chronic hypoparathyroidism. Endocr. Connect. 2020, 9, R229–R240. [Google Scholar] [CrossRef]
- Hejlesen, J.; Underbjerg, L.; Gjørup, H.; Bloch-Zupan, A.; Sikjaer, T.; Rejnmark, L.; Haubek, D. Dental findings in patients with non-surgical hypoparathyroidism and pseudohypoparathyroidism: A systematic review. Front. Physiol. 2019, 9, 701. [Google Scholar] [CrossRef]
- Loe, H.; Theilade, E.; Jensen, S.B. Experimental gingivitis in man. J. Periodontol. 1965, 36, 177–187. [Google Scholar] [CrossRef]
- Angle, E.H. Some Basic Principles in Orthodontia. Int. Dent. J. 1903, 24, 729–768. [Google Scholar]
- Velázquez-Olmedo, L.; Ortíz-Barrios, L.; Cervantes-Velazquez, A.; Cárdenas-Bahena, A.; García-Peña, C.; Sánchez-García, S. Quality of life related to oral health in older people. Evaluation instruments. Rev. Med. Inst. Mex. Seguro Soc. 2014, 52, 448–456. [Google Scholar] [PubMed]
- Arai, T.; Kinoshita, S. A comparison of plaque removal by different toothbrushes and toothbrushing methods. Bull. Tokyo Med. Dent. Univ. 1977, 24, 177–188. [Google Scholar] [PubMed]
- Hendy, G.N.; Cole, D.E.; Bastepe, M. Hypoparathyroidism and Pseudohypoparathyroidism. In Endotext; Feingold, K.R., Anawalt, B., Blackman, M.R., Boyce, A., Chrousos, G., Corpas, E., de Herder, W.W., Dhatariya, K., Dungan, K., Hofland, J., et al., Eds.; MDText.com, Inc.: South Dartmouth, MA, USA, 2017. Available online: https://www.ncbi.nlm.nih.gov/books/NBK279165/ (accessed on 7 January 2024).
- Arnaud, C.; Maijer, R.; Reade, T.; Scriver, C.R.; Whelan, D.T. Vitamin D dependency: An inherited postnatal syndrome with secondary hyperparathyroidism. Pediatrics 1970, 46, 871–880. [Google Scholar] [CrossRef] [PubMed]
- Stimmler, L.; Snodgrass, G.J.A.I.; Jaffe, E. Dental defects associated with neonatal symptomatic hypocalcaemia. Arch. Dis. Child. 1973, 48, 217–220. [Google Scholar] [CrossRef] [PubMed]
- Levine, R.S.; Keen, J.H. Neonatal enamel hypoplasia in association with symptomatic neonatal hypocalcaemia. Br. Dent. J. 1974, 137, 429–433. [Google Scholar] [CrossRef]
- Norén, J. Microscopic study of enamel defects in deciduous teeth of infants of diabetic mothers. Acta Odontol. Scand. 1984, 42, 153–156. [Google Scholar] [CrossRef]
- Ranggård, L.; Östlund, J.; Nelson, N.; Norén, J. Clinical and histologic appearance in enamel of primary teeth from children with neonatal hypocalcemia induced by blood exchange transfusion. Acta Odontol. Scand. 1995, 53, 123–128. [Google Scholar] [CrossRef]
- Ranggård, L. Dental enamel in relation to ionized calcium and parathyroid hormone. Studies of human primary teeth and rat maxillary incisors. Swed. Dent. J. Suppl. 1994, 101, 1–50. [Google Scholar]
- Klingberg, G.; Dietz, W.; Óskarsdóttir, S.; Odelius, H.; Gelander, L.; Norén, J. Morphological appearance and chemical composition of enamel in primary teeth from patients with 22q11 deletion syndrome. Eur. J. Oral Sci. 2005, 113, 303–311. [Google Scholar] [CrossRef] [PubMed]
- Kelly, A.; Pomarico, L.; de Souza, I. Cessation of dental development in a child with idiopathic hypoparathyroidism: A 5-year follow-up. Oral Surg. Oral Med. Oral Pathol. Oral Radiol. Endod. 2009, 107, 673–677. [Google Scholar] [CrossRef] [PubMed]
- Moussaid, Y.; Griffiths, D.; Richard, B.; Dieux, A.; Lemerrer, M.; Léger, J.; Lacombe, D.; Bailleul-Forestier, I. Oral manifestations of patients with Kenny–Caffey Syndrome. Eur. J. Med. Genet. 2012, 55, 441–445. [Google Scholar] [CrossRef] [PubMed]
- Hejlesen, J.; Underbjerg, L.; Gjørup, H.; Sikjaer, T.; Rejnmark, L.; Haubek, D. Dental anomalies and orthodontic characteristics in patients with pseudohypoparathyroidism. BMC Oral Health 2019, 20, 2. [Google Scholar] [CrossRef] [PubMed]
- Lv, L.; He, W.; Ye, H.; Cheung, K.; Tang, L.; Wang, S.; You, L.; Xun, C.; Zhou, Y. Interdisciplinary 3D digital treatment simulation before complex esthetic rehabilitation of orthodontic, orthognathic and prosthetic treatment: Workflow establishment and primary evaluation. BMC Oral Health 2022, 22, 34. [Google Scholar] [CrossRef] [PubMed]
- Revilla-León, M.; Besné-Torre, A.; Sánchez-Rubio, J.; Fábrega, J.; Özcan, M. Digital tools and 3D printing technologies integrated into the workflow of restorative treatment: A clinical report. J. Prosthet. Dent. 2018, 121, 3–8. [Google Scholar] [CrossRef] [PubMed]
- Gargiulo, A.W.; Wentz, F.M.; Orban, B. Dimensions and relations of the dentogingival junction in humans. J. Periodontol. 1961, 32, 261–267. [Google Scholar] [CrossRef]
- Gottlieb, B. The gingival margin. Proc. R. Soc. Med. 1927, 20, 1671–1674. [Google Scholar] [CrossRef] [PubMed]
- Moshrefi, A. Altered passive eruption. J. West Soc. Periodontol. Periodontal Abstr. 2000, 48, 5–8. [Google Scholar]
- Weinberg, M.A.; Eskow, R.N. An overview of delayed passive eruption. Compend. Contin. Educ. Dent. 2000, 21, 511–514. [Google Scholar]
- Yu, H.; Özcan, M.; Yoshida, K.; Cheng, H.; Sawase, T. Bonding to industrial indirect composite blocks: A systematic review and meta-analysis. Dent. Mater. 2020, 36, 119–134. [Google Scholar] [CrossRef] [PubMed]
- Abdou, A.; Takagaki, T.; Alghamdi, A.; Tichy, A.; Nikaido, T.; Tagami, J. Bonding performance of dispersed filler resin composite CAD/CAM blocks with different surface treatment protocols. Dent. Mater. J. 2021, 40, 209–219. [Google Scholar] [CrossRef] [PubMed]
- Eldafrawy, M.; Greimers, L.; Bekaert, S.; Gailly, P.; Lenaerts, C.; Nguyen, J.F.; Sadoun, M.; Mainjot, A. Silane influence on bonding to CAD-CAM composites: An interfacial fracture toughness study. Dent. Mater. 2019, 35, 1279–1290. [Google Scholar] [CrossRef] [PubMed]
- Eldafrawy, M.; Ebroin, M.G.; Gailly, P.A.; Nguyen, J.F.; Sadoun, M.J.; Mainjot, A. Bonding to CAD-CAM composites: An interfacial fracture toughness approach. J. Dent. Res. 2018, 97, 60–67. [Google Scholar] [CrossRef] [PubMed]
- Strauch, S.; Hahnel, S. Restorative treatment in patients with amelogenesis imperfecta: A review. J. Prosthodont. 2018, 27, 618–623. [Google Scholar] [CrossRef] [PubMed]
- Dursun, E.; Savard, E.; Vargas, C.; Loison-Robert, L.; Cherifi, H.; Bdeoui, F.; Landru, M.M. Management of amelogenesis imperfecta: A 15-year case history of two siblings. Oper. Dent. 2016, 41, 567–577. [Google Scholar] [CrossRef] [PubMed]
- Sönmez, I.S.; Aras, S.; Tunç, E.S.; Küçükeşmen, C. Clinical success of deproteinization in hypocalcified amelogenesis imperfecta. Quintessence Int. 2009, 40, 113–118. [Google Scholar]
- Krämer, N.; Bui Khac, N.; Lücker, S.; Stachniss, V.; Frankenberger, R. Bonding strategies for MIH-affected enamel and dentin. Dent. Mater. 2018, 34, 331–340. [Google Scholar] [CrossRef]
- Hardan, L.; Bourgi, R.; Kharouf, N.; Mancino, D.; Zarow, M.; Jakubowicz, N.; Haikel, Y.; Cuevas-Suárez, C.E. Bond strength of universal adhesives to dentin: A systematic review and meta-analysis. Polymers 2021, 13, 814. [Google Scholar] [CrossRef]
- Hong, X.; Huang, Z.; Tong, Z.; Jiang, H.; Su, M. Clinical effects of different etching modes for universal adhesives: A systematic review and meta-analysis. Ann. Palliat. Med. 2021, 10, 5462473–5465473. [Google Scholar] [CrossRef]
- Szesz, A.; Parreiras, S.; Reis, A.; Loguercio, A. Selective enamel etching in cervical lesions for self-etch adhesives: A systematic review and meta-analysis. J. Dent. 2016, 53, 1–11. [Google Scholar] [CrossRef] [PubMed]
- Moores, C.J.; Kelly, S.A.M.; Moynihan, P.J. Systematic review of the effect on caries of sugars intake: Ten-year update. J. Dent. Res. 2022, 101, 1034–1045. [Google Scholar] [CrossRef] [PubMed]
- Ata-Ali, F.; Ata-Ali, J.; Ferrer-Molina, M.; Cobo, T.; De Carlos, F.; Cobo, J. Adverse effects of lingual and buccal orthodontic techniques: A systematic review and meta-analysis. Am. J. Orthod. Dentofacial Orthop. 2016, 149, 820–829. [Google Scholar] [CrossRef] [PubMed]














| Congenital Hypoparathyroidism | Acquired Parathyroid Dysfunction | Transient or Functional Hypoparathyroidism | |
|---|---|---|---|
| Disorders of Parathyroid Development (Parathyroid Gland Embryogenesis) | Disorders of Parathyroid Function | ||
| Di George syndrome | Activating mutations in the calcium sensing receptor (CaSR) | Post-surgery | Neonatal hypoparathyroidism due to maternal hypercalcemia |
| APECED syndrome (Autoimmune Poly Endocrinopathy Candidiasis Ectodermal Dystrophy) | Mutation in the PTH gene | Post-radiotherapy | Dysmagnesemia |
| GCM2 mutation | Mitochondrial diseases (Kearns–Sayre syndrome) | Parathyroid infiltration: hemochromatosis or Wilson disease | Acute alcohol intoxication |
| HDR syndrome (Hypoparathyroidism Deafness Renal dysplasia) | |||
| HRD syndromes (hypoparathyroidism KCS1 or TBCE or FAM111A mutations) | |||
| Retardation Dysmorphism: X-linked due to SOX3 mutation | |||
| Items | May, 2019 | May, 2020 | September, 2021 | July, 2023 |
|---|---|---|---|---|
| Before Treatment | After Treatment | At One and a Half Years | At Three Years | |
| Food limitation | Often (2) | Seldom (4) | Seldom (4) | Seldom (4) |
| Chewing disorder | Often (2) | Never (5) | Sometimes (3) | Sometimes (3) |
| Comfortable swallowing | Always (5) | Always (5) | Always (5) | Always (5) |
| Elocution discomfort | Never (5) | Seldom (4) | Sometimes (3) | Sometimes (3) |
| Alimentation without discomfort | Sometimes (3) | Always (5) | Seldom (2) | Seldom (2) |
| Social limitation | Often (2) | Jamais (5) | Sometimes (3) | Sometimes (3) |
| Dental aspect satisfaction | Never (1) | Always (5) | Sometimes (3) | Sometimes (3) |
| Use of relieve pain medication | Often (2) | Often (2) | Sometimes (3) | Often (2) |
| Worriness about oral situation | Always (1) | Seldom (4) | Rarement (4) | Rarement (4) |
| Nervous about oral situation | Always (1) | Never (5) | Often (2) | Often (2) |
| Discomfort in eating in public | Often (2) | Never (5) | Seldom (4) | Seldom (4) |
| Teeth sensitivity | Always (1) | Often (2) | Always (1) | Always (1) |
| Total score | 28/60 | 51/60 | 37/60 | 36/60 |
Disclaimer/Publisher’s Note: The statements, opinions and data contained in all publications are solely those of the individual author(s) and contributor(s) and not of MDPI and/or the editor(s). MDPI and/or the editor(s) disclaim responsibility for any injury to people or property resulting from any ideas, methods, instructions or products referred to in the content. |
© 2024 by the authors. Licensee MDPI, Basel, Switzerland. This article is an open access article distributed under the terms and conditions of the Creative Commons Attribution (CC BY) license (https://creativecommons.org/licenses/by/4.0/).
Share and Cite
Flottes, Y.; Valleron, E.; Gogly, B.; Wulfman, C.; Dursun, E. Full-Mouth Rehabilitation of a 15-Year-Old Girl Affected by a Rare Hypoparathyroidism (Glial Cell Missing Homolog 2 Mutation): A 3-Year Follow-Up. Dent. J. 2024, 12, 130. https://doi.org/10.3390/dj12050130
Flottes Y, Valleron E, Gogly B, Wulfman C, Dursun E. Full-Mouth Rehabilitation of a 15-Year-Old Girl Affected by a Rare Hypoparathyroidism (Glial Cell Missing Homolog 2 Mutation): A 3-Year Follow-Up. Dentistry Journal. 2024; 12(5):130. https://doi.org/10.3390/dj12050130
Chicago/Turabian StyleFlottes, Yohann, Eléonore Valleron, Bruno Gogly, Claudine Wulfman, and Elisabeth Dursun. 2024. "Full-Mouth Rehabilitation of a 15-Year-Old Girl Affected by a Rare Hypoparathyroidism (Glial Cell Missing Homolog 2 Mutation): A 3-Year Follow-Up" Dentistry Journal 12, no. 5: 130. https://doi.org/10.3390/dj12050130
APA StyleFlottes, Y., Valleron, E., Gogly, B., Wulfman, C., & Dursun, E. (2024). Full-Mouth Rehabilitation of a 15-Year-Old Girl Affected by a Rare Hypoparathyroidism (Glial Cell Missing Homolog 2 Mutation): A 3-Year Follow-Up. Dentistry Journal, 12(5), 130. https://doi.org/10.3390/dj12050130

