The Temporomandibular Joint and the Human Body: A New Perspective on Cross Talk
Abstract
1. Introduction
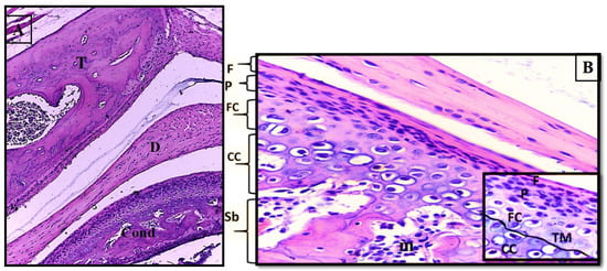
2. Anatomy and Histological Structure of TMJ
3. Temporomandibular Joint Disorders
4. Etiological Factors Involved in TMDs
4.1. Age
4.2. Gender Susceptibility and Estrogen Hormone
4.3. Trauma
4.4. Occlusal Factors
4.5. Parafunctions
4.5.1. Chewing Gums
4.5.2. Bruxism
4.6. Joint Hyperlaxity and Joint Hypermobility
4.7. Posture
4.8. Orthodontic Treatment
4.9. Psychological Factors
4.10. Hereditary and Genetic Factors
5. Cross Talks Between TMJ Disorders and the Human Body
5.1. TMDs and Nervous System Involvement
5.2. TMDs and Spinal Pain
5.3. TMDs Correlated to Otolaryngologic and Ophthalmologic Disorders and Chronic Diseases
5.4. Correlation Between Fibromyalgia and TMDs
5.5. TMDs and Headache
5.5.1. Tension Headache
5.5.2. Migraine
5.6. TMDs and Systemic Lupus Erythematosus
5.7. TMDs and Levels of Salivary and Plasma Pain Markers
5.8. TMDs and Rheumatic Diseases
5.8.1. Rheumatoid Arthritis (RA)
5.8.2. Osteoarthritis (OA)
5.8.3. Juvenile Idiopathic Arthritis (JIA)
5.9. Occlusal Changes Secondary to Temporomandibular Disorders
5.9.1. Anterior Open Bite
5.9.2. Unilateral Posterior Open Bite
6. Clinical Features of TMDs
7. Biomarkers for TMDs
7.1. Cytokines
7.2. Other Inflammatory Mediators
7.3. Proteinases
7.4. Growth Factors
7.5. Proteoglycans
8. Treatment Modalities of Temporomandibular Disorders
8.1. Surgical Treatment
8.1.1. Closed Temporomandibular Joint Procedures
Temporomandibular Joint Arthrocentesis
Temporomandibular Joint Arthroscopy
8.2. Open Joint Surgery
8.2.1. Disc Repositioning
8.2.2. Codylotomy
Eminectomy and Eminplasty
TMJ Total Joint Replacement
8.3. Cytokine-Based Therapy
8.4. Non-Steroidal Anti-Inflammatory Drugs and Corticosteroids
8.5. Autologous Conditioned Serum
8.6. Hyaluronic Acid
8.7. Glucosamine
8.8. Bioactive Compounds
8.9. Delivery System for Therapeutic Agents in TMD Treatment
8.9.1. Orally Delivered Agents
Estrogen
Vitamin B Complex
8.9.2. Intra-Articular-Injection- or Intramuscular-Injection-Delivered Agents
Platelet-Rich Plasma (PRP)
Ozone
Botulinum Toxin
8.9.3. Transdermally Delivered Agent
8.10. Regenerative Medicine
9. Conclusions
Author Contributions
Funding
Conflicts of Interest
References
- Okeson, J.P. Management of Temporomandibular Disorders and Occlusion-E-Book; Elsevier Health Sciences: Philadelphia, PA, USA, 2019. [Google Scholar]
- Sambataro, S.; Cervino, G.; Bocchieri, S.; La Bruna, R.; Cicciù, M. TMJ dysfunctions systemic implications and postural assessments: A review of recent literature. J. Funct. Morphol. Kinesiol. 2019, 4, 58. [Google Scholar] [CrossRef] [PubMed]
- Bender, M.E.; Lipin, R.B.; Goudy, S.L. Development of the pediatric temporomandibular joint. Oral Maxillofac. Surg. Clin. N. Am. 2018, 30, 1–9. [Google Scholar] [CrossRef] [PubMed]
- Nanci, A. Ten Cate’s Oral Histology: Development, Structure, and Function, 9th ed.; Elsevier Health Sciences: Philadelphia, PA, USA, 2017. [Google Scholar]
- Nozawa-Inoue, K.; Amizuka, N.; Ikeda, N.; Suzuki, A.; Kawano, Y.; Maeda, T. Synovial membrane in the temporomandibular joint—Its morphology, function and development. Arch. Histol. Cytol. 2003, 66, 289–306. [Google Scholar] [CrossRef]
- Fanghänel, J.; Gedrange, T. On the development, morphology and function of the temporomandibular joint in the light of the orofacial system. Anat. Anz. 2007, 189, 314–319. [Google Scholar] [CrossRef]
- Şencimen, M.; Yalçin, B.; Doğan, N.; Varol, A.; Okçu, K.; Ozan, H.; Aydintuğ, Y. Anatomical and functional aspects of ligaments between the malleus and the temporomandibular joint. Int. J. Oral Maxillofac. Surg. 2008, 37, 943–947. [Google Scholar] [CrossRef]
- Sato, I.; Shindo, K.; Ezure, H.; Shimada, K. Morphology of the lateral ligament in the human temporomandibular joint. Oral Surg. Oral Med. Oral Pathol. Oral Radiol. Endodontol. 1996, 81, 151–156. [Google Scholar] [CrossRef] [PubMed]
- Bordoni, B.; Varacallo, M. Anatomy, Head and Neck, Temporomandibular Joint; StatPearls: Treasure Island, FL, USA, 2019. [Google Scholar]
- Abdel Moneim, R.A.; Mostafa, A.; Abbass, M.M.S. In treating glucocorticoids induced osteoporosis in temporomandibular joint of albino rats; which are more effective Microvesicles or Mesenchymal stem cells? Egypt. J. Histol. 2020, 43, 849–862. [Google Scholar] [CrossRef]
- Berkovitz, B.; Holland, G.; Moxham, B. Oral Anatomy, Histology Embryology, 4th ed.; Mosby Elsevier: Oxford, UK, 2009; pp. 260–277. [Google Scholar]
- Ohno, S.; Schmid, T.; Tanne, Y.; Kamiya, T.; Honda, K.; Ohno-Nakahara, M.; Swentko, N.; Desai, T.; Tanne, K.; Knudson, C. Expression of superficial zone protein in mandibular condyle cartilage. Osteoarthr. Cartil. 2006, 14, 807–813. [Google Scholar] [CrossRef] [PubMed][Green Version]
- Pritzker, K.P.; Gay, S.; Jimenez, S.; Ostergaard, K.; Pelletier, J.-P.; Revell, P.; Salter, D.; Van den Berg, W. Osteoarthritis cartilage histopathology: Grading and staging. Osteoarthr. Cartil. 2006, 14, 13–29. [Google Scholar] [CrossRef]
- Chen, R.; Chen, S.; Chen, X.; Long, X. Study of the tidemark in human mandibular condylar cartilage. Arch. Oral Biol. 2011, 56, 1390–1397. [Google Scholar] [CrossRef]
- Dijkgraaf, L.C.; De Bont, L.G.; Boering, G.; Liem, R.S. Function, biochemistry, and metabolism of the normal synovial membrane of the temporomandibular joint: A review of the literature. J. Oral Maxillofac. Surg. 1996, 54, 95–100. [Google Scholar] [CrossRef] [PubMed]
- Dijkgraaf, L.C.; de Bont, L.G.; Boering, G.; Liem, R.S. Structure of the normal synovial membrane of the temporomandibular joint. J. Oral Maxillofac. Surg. 1996, 54, 332–338. [Google Scholar] [CrossRef] [PubMed]
- Iwanaga, T.; Shikichi, M.; Kitamura, H.; Yanase, H.; Nozawa-Inoue, K. Morphology and functional roles of synoviocytes in the joint. Arch. Histol. Cytol. 2000, 63, 17–31. [Google Scholar] [CrossRef]
- Makawi, D.M.; Korany, N.S.; Taha, N.S.; Abbass, M.M.S. The Reparative Potential of Botox Combined and Uncombined With Platelets Rich Plasma in Treating Induced Osteoarthritis of Temporomandibular Joint in Albino. Egypt. J. Histol. 2021; articles in press. [Google Scholar] [CrossRef]
- Butts, R.; Dunning, J.; Perreault, T.; Mettille, J.; Escaloni, J. Pathoanatomical characteristics of temporomandibular dysfunction: Where do we stand? (Narrative review part 1). Bodyw. Mov. Ther. 2017, 21, 534–540. [Google Scholar] [CrossRef]
- Karibe, H.; Shimazu, K.; Okamoto, A.; Kawakami, T.; Kato, Y.; Warita-Naoi, S. Prevalence and association of self-reported anxiety, pain, and oral parafunctional habits with temporomandibular disorders in Japanese children and adolescents: A cross-sectional survey. BMC Oral Health 2015, 15, 8. [Google Scholar] [CrossRef] [PubMed]
- Fillingim, R.B.; Ohrbach, R.; Greenspan, J.D.; Knott, C.; Dubner, R.; Bair, E.; Baraian, C.; Slade, G.D.; Maixner, W. Potential psychosocial risk factors for chronic TMD: Descriptive data and empirically identified domains from the OPPERA case-control study. J. Pain 2011, 12, T46–T60. [Google Scholar] [CrossRef]
- Maixner, W.; Diatchenko, L.; Dubner, R.; Fillingim, R.B.; Greenspan, J.D.; Knott, C.; Ohrbach, R.; Weir, B.; Slade, G.D. Orofacial pain prospective evaluation and risk assessment study–the OPPERA study. J. Pain 2011, 12, T4–T11.e12. [Google Scholar] [CrossRef]
- Marpaung, C.; van Selms, M.K.; Lobbezoo, F. Prevalence and risk indicators of pain-related temporomandibular disorders among Indonesian children and adolescents. Community Dent. Oral Epidemiol. 2018, 46, 400–406. [Google Scholar] [CrossRef]
- Michelotti, A.; Cioffi, I.; Festa, P.; Scala, G.; Farella, M. Oral parafunctions as risk factors for diagnostic TMD subgroups. J. Oral Rehabil. 2010, 37, 157–162. [Google Scholar] [CrossRef]
- Leeuw, R. Temporomandibular Disorders. In Orofacial Pain: Guidelines for Assessment, Diagnosis and Management, 4th ed.; American Academy of Orofacial Pain, Quintessence: Chicago, IL, USA, 2008. [Google Scholar]
- Achmad, H. Early Treatment of Malocclusion at the Age of Child Growth; Indonesian Institute of Health Studies (LSKI) Bandung: Bandung, Indonesia, 2012. [Google Scholar]
- Coutinho, E.N.; Dos Santos, K.P.R.; Ferreira, E.H.B. Association between self-reported sleep bruxism and temporomandibular disorder in undergraduate students from Brazil. Cranio 2018, 38, 91–98. [Google Scholar] [CrossRef] [PubMed]
- List, T.; Jensen, R.H. Temporomandibular disorders: Old ideas and new concepts. Cephalalgia 2017, 37, 692–704. [Google Scholar] [CrossRef]
- Schiffman, E.; Ohrbach, R.; Truelove, E.; Look, J.; Anderson, G.; Goulet, J.P.; List, T.; Svensson, P.; Gonzalez, Y.; Lobbezoo, F.; et al. Diagnostic Criteria for Temporomandibular Disorders (DC/TMD) for Clinical and Research Applications: Recommendations of the International RDC/TMD Consortium Network* and Orofacial Pain Special Interest Group†. J. Oral Facial Pain Headache 2014, 28, 6–27. [Google Scholar] [CrossRef] [PubMed]
- Salamon, N.M.; Casselman, J.W. Temporomandibular Joint Disorders: A Pictorial Review. Semin. Musculoskelet. Radiol. 2020, 24, 591–607. [Google Scholar] [CrossRef]
- Tanaka, E.; Detamore, M.; Mercuri, L. Degenerative disorders of the temporomandibular joint: Etiology, diagnosis, and treatment. J. Dent. Res. 2008, 87, 296–307. [Google Scholar] [CrossRef]
- McNeill, C. Management of temporomandibular disorders: Concepts and controversies. J. Prosthet. Dent. 1997, 77, 510–522. [Google Scholar] [CrossRef]
- Okeson, J. The American Academy of Orofacial Pain: Orofacial Pain Guidelines for Assessment, Diagnosis, and Management; Quintessence Publishing Co. Inc.: Chicago, IL, USA, 1996; pp. 113–184. [Google Scholar]
- Chisnoiu, A.M.; Picos, A.M.; Popa, S.; Chisnoiu, P.D.; Lascu, L.; Picos, A.; Chisnoiu, R. Factors involved in the etiology of temporomandibular disorders—A literature review. Clujul Med. 2015, 88, 473. [Google Scholar] [CrossRef] [PubMed]
- Suh, M.S.; Lee, W.W.; Kim, Y.-K.; Yun, P.-Y.; Kim, S.E. Maximum standardized uptake value of 99mTc hydroxymethylene diphosphonate SPECT/CT for the evaluation of temporomandibular joint disorder. Radiology 2016, 280, 890–896. [Google Scholar] [CrossRef]
- List, T.; Stenstrom, B.; Dworkin, S.F. TMD in patients with primary Sjögren syndrome: A comparison with temporomandibular clinic cases and controls. J. Orofac. Pain 1999, 13, 21. [Google Scholar]
- Schmitter, M.; Rammelsberg, P.; Hassel, A. The prevalence of signs and symptoms of temporomandibular disorders in very old subjects. J. Oral Rehabil. 2005, 32, 467–473. [Google Scholar] [CrossRef]
- Zhao, Y.-p.; Zhang, Z.-y.; Wu, Y.-t.; Zhang, W.-L.; Ma, X.-c. Investigation of the clinical and radiographic features of osteoarthrosis of the temporomandibular joints in adolescents and young adults. Oral Surg. Oral Med. Oral Pathol. Oral Radiol. Endodontol. 2011, 111, e27–e34. [Google Scholar] [CrossRef] [PubMed]
- Poveda Roda, R.; Bagán, J.V.; Díaz Fernández, J.M.; Hernández Bazán, S.; Jiménez Soriano, Y. Review of temporomandibular joint pathology: Part I: Classification, epidemiology and risk factors. Med. Oral Patol. Oral Cir. Bucal 2007, 12, 292–298. [Google Scholar]
- Wang, X.; Zhang, J.; Gan, Y.; Zhou, Y. Current understanding of pathogenesis and treatment of TMJ osteoarthritis. J. Dent. Res. 2015, 94, 666–673. [Google Scholar] [CrossRef]
- Warren, M.P.; Fried, J.L. Temporomandibular disorders and hormones in women. Cells Tissues Organs 2001, 169, 187–192. [Google Scholar] [CrossRef] [PubMed]
- Puri, J.; Hutchins, B.; Bellinger, L.L.; Kramer, P.R. Estrogen and inflammation modulate estrogen receptor alpha expression in specific tissues of the temporomandibular joint. J. Endocrinol. Reprod. 2009, 7, 155. [Google Scholar] [CrossRef]
- Bi, R.-Y.; Meng, Z.; Zhang, P.; Wang, X.-D.; Ding, Y.; Gan, Y.-H. Estradiol upregulates voltage-gated sodium channel 1.7 in trigeminal ganglion contributing to hyperalgesia of inflamed TMJ. PLoS ONE 2017, 12, e0178589. [Google Scholar] [CrossRef] [PubMed]
- LeResche, L.; Saunders, K.; Von Korff, M.R.; Barlow, W.; Dworkin, S.F. Use of exogenous hormones and risk of temporomandibular disorder pain. Pain 1997, 69, 153–160. [Google Scholar] [CrossRef]
- Kostrzewa-Janicka, J.; Pietrzak, B.; Jurkowski, P.; Wielgos, M.; Binkowska, M.; Mierzwinska-Nastalska, E. Effects of oral contraceptives on the treatment for internal derangements in temporomandibular joints in women. Neuroendocrinol. Lett. 2013, 34, 566–572. [Google Scholar] [PubMed]
- Wang, W.; Hayami, T.; Kapila, S. Estrogen and relaxin induce while progesterone represses MMP expression in TMJ fibrochondrocytes. J. Dent. Res. 2007, 86. [Google Scholar]
- Chen, J.; Kamiya, Y.; Polur, I.; Xu, M.; Choi, T.; Kalajzic, Z.; Drissi, H.; Wadhwa, S. Estrogen via estrogen receptor beta partially inhibits mandibular condylar cartilage growth. Osteoarthr. Cartil. 2014, 22, 1861–1868. [Google Scholar] [CrossRef]
- Schmidt, M.; Hartung, R.; Capellino, S.; Cutolo, M.; Pfeifer-Leeg, A.; Straub, R.H. Estrone/17β-estradiol conversion to, and tumor necrosis factor inhibition by, estrogen metabolites in synovial cells of patients with rheumatoid arthritis and patients with osteoarthritis. Arthritis Rheumatol. 2009, 60, 2913–2922. [Google Scholar] [CrossRef] [PubMed]
- Wang, X.; Kou, X.; Meng, Z.; Bi, R.; Liu, Y.; Zhang, J.; Zhou, Y.; Gan, Y. Estrogen aggravates iodoacetate-induced temporomandibular joint osteoarthritis. J. Dent. Res. 2013, 92, 918–924. [Google Scholar] [CrossRef] [PubMed]
- Cheng, P.; Ma, X.; Li, S. Histologic study of the temporomandibular joints after ovariectomy in rats. Chin. J. Stomatol. 2000, 35, 458–461. [Google Scholar]
- Yasuoka, T.; Nakashima, M.; Okuda, T.; Tatematsu, N. Effect of estrogen replacement on temporomandibular joint remodeling in ovariectomized rats. J. Oral Maxillofac. Surg. 2000, 58, 189–196. [Google Scholar] [CrossRef] [PubMed]
- Ogle, O.E.; Hertz, M.B. Myofascial pain. Oral Maxillofac. Surg. Clin. N. Am. 2000, 12, 217–231. [Google Scholar] [CrossRef]
- Fischer, D.J.; Mueller, B.A.; Critchlow, C.W.; LeResche, L. The association of temporomandibular disorder pain with history of head and neck injury in adolescents. J. Orofac. Pain 2006, 20, 191–198. [Google Scholar]
- Güven, O. A clinical study on temporomandibular joint ankylosis in children. J. Craniofac. Surg. 2008, 19, 1263–1269. [Google Scholar] [CrossRef]
- Posnick, J.C.; Wells, M.; Pron, G.E. Pediatric facial farctures: Evolving patterns of treatment. J. Oral Maxillofac. Surg. 1993, 51, 836–844. [Google Scholar] [CrossRef]
- Klobas, L.; Tegelberg, A.; Axelsson, S. Symptoms and signs of temporomandibular disorders in individuals with chronic whiplash-associated disorders. Swed. Dent. J. 2004, 28, 29–36. [Google Scholar]
- Packard, R.C. The relationship of neck injury and post-traumatic headache. Curr. Pain Headache Rep. 2002, 6, 301–307. [Google Scholar] [CrossRef]
- Davis, C.G. Mechanisms of chronic pain from whiplash injury. J. Forensic Leg. Med. 2013, 20, 74–85. [Google Scholar] [CrossRef] [PubMed]
- De Boever, J.; Keersmaekers, K. Trauma in patients with temporomandibular disorders: Frequency and treatment outcome. J. Oral Rehabil. 1996, 23, 91–96. [Google Scholar] [CrossRef] [PubMed]
- Probert, T.C.; Wiesenfeld, D.; Reade, P.C. Temporomandibular pain dysfunction disorder resulting from road traffic accidents—An Australian study. Int. J. Oral Maxillofac. Surg. 1994, 23, 338–341. [Google Scholar] [CrossRef] [PubMed]
- Almăşan, O.C.; Băciuţ, M.; Almăşan, H.A.; Bran, S.; Lascu, L.; Iancu, M.; Băciuţ, G. Skeletal pattern in subjects with temporomandibular joint disorders. Arch. Med. Sci. 2013, 9, 118. [Google Scholar] [CrossRef]
- McNeill, C. Craniomandibular Disorders: Guidelines for Evaluation, Diagnosis, and Management; Quintessence Publishing Company: Berlin, Germany, 1990. [Google Scholar]
- Almăşan, O.C.; Băciuţ, M.; Băciuţ, G. Influenţa Disfuncţiei Temporomandibulare Asupra Tiparului Scheletic la Subiecţi cu Anomalie de Clasa a III-A Scheletică [The influence of temporomandibular dysfunction on the skeletal pattern in patients with class 3 skeletal abnormality]. Clujul Med. 2012, 85, 47–50. [Google Scholar]
- Pullinger, A.G.; Seligman, D.A. Quantification and validation of predictive values of occlusal variables in temporomandibular disorders using a multifactorial analysis. J. Prosthet. Dent. 2000, 83, 66–75. [Google Scholar] [CrossRef]
- De Boever, J.; Carlsson, G.; Klineberg, I. Need for occlusal therapy and prosthodontic treatment in the management of temporomandibular disorders. Part I. Occlusal interferences and occlusal adjustment. J. Oral Rehabil. 2000, 27, 367–379. [Google Scholar] [CrossRef]
- Taşkaya-Yilmaz, N.; Öğütcen-Toller, M.; Saraç, Y. Relationship between the TMJ disc and condyle position on MRI and occlusal contacts on lateral excursions in TMD patients. J. Oral Rehabil. 2004, 31, 754–758. [Google Scholar] [CrossRef]
- Rammelsberg, P. Untersuchungen über Ätiologie, Diagnose und Therapie von Diskopathien des Kiefergelenkes; Quintessenz: Berlin, Germany, 1998. [Google Scholar]
- Hirsch, C.; John, M.T.; Drangsholt, M.T.; Mancl, L.A. Relationship between overbite/overjet and clicking or crepitus of the temporomandibular joint. J. Orofac. Pain 2005, 19, 218–225. [Google Scholar]
- Magnusson, T.; Egermark, I.; Carlsson, G.E. A prospective investigation over two decades on signs and symptoms of temporomandibular disorders and associated variables. A final summary. Acta Odontol. Scand. 2005, 63, 99–109. [Google Scholar] [CrossRef]
- Koh, H.; Robinson, P. Occlusal adjustment for treating and preventing temporomandibular joint disorders. J. Oral Rehabil. 2004, 31, 287–292. [Google Scholar] [CrossRef] [PubMed]
- Badel, T.; Marotti, M.; Krolo, I.; Kern, J.; Keros, J. Occlusion in patients with temporomandibular joint anterior disk displacement. Acta Clin. Croat. 2008, 47, 129–136. [Google Scholar]
- Carlsson, G.E. Some dogmas related to prosthodontics, temporomandibular disorders and occlusion. Acta Odontol. Scand. 2010, 68, 313–322. [Google Scholar] [CrossRef]
- Landi, N.; Manfredini, D.; Tognini, F.; Romagnoli, M.; Bosco, M. Quantification of the relative risk of multiple occlusal variables for muscle disorders of the stomatognathic system. J. Prosthet. Dent. 2004, 92, 190–195. [Google Scholar] [CrossRef]
- McNamara, J.A., Jr.; Seligman, D.A.; Okeson, J.P. Occlusion, orthodontic treatment, and temporomandibular disorders: A review. J. Orofac. Pain 1995, 9, 73–90. [Google Scholar] [PubMed]
- Kirveskari, P.; Alanen, P.; Ja, T. Association between craniomandibular disorders and occlusal interferences in children. J. Prosthet. Dent. 1992, 67, 692–696. [Google Scholar] [CrossRef] [PubMed]
- Shiau, Y.Y.; Chang, C. An epidemiological study of temporomandibular disorders in university students of Taiwan. Community Dent. Oral Epidemiol. 1992, 20, 43–47. [Google Scholar] [CrossRef]
- John, M.T.; Frank, H.; Lobbezoo, F.; Drangsholt, M.; Dette, K.-E. No association between incisal tooth wear and temporomandibular disorders. J. Prosthet. Dent. 2002, 87, 197–203. [Google Scholar] [CrossRef]
- Schmitter, M.; Balke, Z.; Hassel, A.; Ohlmann, B.; Rammelsberg, P. The prevalence of myofascial pain and its association with occlusal factors in a threshold country non-patient population. Clin. Oral Investig. 2007, 11, 277–281. [Google Scholar] [CrossRef]
- Almăşan, O.C.; Hedeşiu, M.; Băciuț, G.; Băciuț, M.; Bran, S.; Jacobs, R. Nontraumatic bilateral bifid condyle and intermittent joint lock: A case report and literature review. J. Oral Maxillofac. Surg. 2011, 69, e297–e303. [Google Scholar] [CrossRef][Green Version]
- Almăşan, O.C.; Hedeşiu, M.; Băciuţ, G.; Leucuţa, D.C.; Băciuţ, M. Disk and joint morphology variations on coronal and sagittal MRI in temporomandibular joint disorders. Clin. Oral Investig. 2013, 17, 1243–1250. [Google Scholar] [CrossRef] [PubMed]
- Padala, S.; Padmanabhan, S.; Chithranjan, A.B. Comparative evaluation of condylar position in symptomatic (TMJ dysfunction) and asymptomatic individuals. Indian J. Dent. Res. 2012, 23, 122. [Google Scholar] [PubMed]
- Weffort, S.Y.K.; de Fantini, S.M. Condylar displacement between centric relation and maximum intercuspation in symptomatic and asymptomatic individuals. Angle Orthod. 2010, 80, 835–842. [Google Scholar] [CrossRef] [PubMed]
- Cheifetz, A.T.; Osganian, S.K.; Allred, E.N.; Needleman, H.L. Prevalence of bruxism and associated correlates in children as reported by parents. J. Dent. Child. 2005, 72, 67–73. [Google Scholar]
- Miyake, R.; Ohkubo, R.; Takehara, J.; Morita, M. Oral parafunctions and association with symptoms of temporomandibular disorders in Japanese university students. J. Oral Rehabil. 2004, 31, 518–523. [Google Scholar] [CrossRef]
- Winocur, E.; Gavish, A.; Finkelshtein, T.; Halachmi, M.; Gazit, E. Oral habits among adolescent girls and their association with symptoms of temporomandibular disorders. J. Oral Rehabil. 2001, 28, 624–629. [Google Scholar] [CrossRef]
- Karibe, H.; Goddard, G.; Gear, R. Sex differences in masticatory muscle pain after chewing. J. Dent. Res. 2003, 82, 112–116. [Google Scholar] [CrossRef]
- Arafa, A.F.; Mostafa, N.M.; Moussa, S.A. Assessment Of School children’s Temporomandibular Joint Sounds Associated With Bruxism. J. Dent. Oral Disord. Ther. 2019, 7, 1–6. [Google Scholar] [CrossRef]
- Chauhan, D.; Kaundal, J.; Karol, S.; Chauhan, T. Prevalence of signs and symptoms of temporomandibular disorders in urban and rural children of northern hilly state, Himachal Pradesh, India: A cross sectional survey. Dent. Hypotheses 2013, 4, 21. [Google Scholar] [CrossRef]
- Kurnikasari, E. Various techniques for handling bruxism. Dentino 2013, 2, 38. [Google Scholar]
- Achmad, H.; Wahyuni, S.; Ramadhany, Y.F. A Review the Relationship of Bruxism with Temporomandibular Disorders in Children. Syst. Rev. Pharm. 2020, 11, 136–142. [Google Scholar]
- Huang, G.J.; LeResche, L.; Critchlow, C.; Martin, M.; Drangsholt, M. Risk factors for diagnostic subgroups of painful temporomandibular disorders (TMD). J. Dent. Res. 2002, 81, 284–288. [Google Scholar] [CrossRef] [PubMed]
- Guler, N.; Yatmaz, P.I.; Ataoglu, H.; Emlik, D.; Uçkan, S. Temporomandibular internal derangement: Correlation of MRI findings with clinical symptoms of pain and joint sounds in patients with bruxing behaviour. Dentomaxillofac. Radiol. 2003, 32, 304–310. [Google Scholar] [CrossRef]
- Israel, H.A.; Scrivani, S.J. The interdisciplinary approach to oral, facial and head pain. J. Am. Dent. Assoc. 2000, 131, 919–926. [Google Scholar] [CrossRef]
- Schierz, O.; John, M.T.; Schroeder, E.; Lobbezoo, F. Association between anterior tooth wear and temporomandibular disorder pain in a German population. J. Prosthet. Dent. 2007, 97, 305–309. [Google Scholar] [CrossRef]
- Kavuncu, V.; Sahin, S.; Kamanli, A.; Karan, A.; Aksoy, C. The role of systemic hypermobility and condylar hypermobility in temporomandibular joint dysfunction syndrome. Rheumatol. Int. 2006, 26, 257–260. [Google Scholar] [CrossRef] [PubMed]
- De Coster, P.J.; Martens, L.C.; De Paepe, A. Oral health in prevalent types of Ehlers–Danlos syndromes. J. Oral Pathol. Med. 2005, 34, 298–307. [Google Scholar] [CrossRef]
- Gazit, Y.; Jacob, G.; Grahame, R. Ehlers–Danlos syndrome—Hypermobility type: A much neglected multisystemic disorder. Rambam Maimonides Med. J. 2016, 7, e0034. [Google Scholar] [CrossRef]
- Berger, M.; Szkutnik, J.; Szalewski, L.; Wójcik, D.; Bakalczuk, M.; Ginszt, M. Correlation between generalized joint laxity and symptoms of temporomandibular disorders. Pol. Merkur. Lek. 2016, 40, 248–251. [Google Scholar]
- Perrini, F.; Tallents, R.H.; Katzberg, R.W.; Ribeiro, R.F.; Kyrkanides, S.; Moss, M.E. Generalized joint laxity and temporomandibular disorders. J. Orofac. Pain 1997, 11, 215. [Google Scholar]
- De Coster, P.J.; Van den Berghe, L.I.; Martens, L.C. Generalized joint hypermobility and temporomandibular disorders: Inherited connective tissue disease as a model with maximum expression. J. Orofac. Pain 2005, 19, 47. [Google Scholar]
- Conti, P.C.R.; Miranda, J.E.S.; Araujo, C.R.P. Relationship between systemic joint laxity, TMJ hypertranslation, and intra-articular disorders. Cranio 2000, 18, 192–197. [Google Scholar] [CrossRef] [PubMed]
- Fiorillo, L.; Musumeci, G. TMJ Dysfunction and Systemic Correlation. J. Funct. Morphol. Kinesiol. 2020, 5, 20. [Google Scholar] [CrossRef]
- Cuccia, A.; Caradonna, C. The relationship between the stomatognathic system and body posture. Clinics 2009, 64, 61–66. [Google Scholar] [CrossRef]
- D’Attilio, M.; Epifania, E.; Ciuffolo, F.; Salini, V.; Filippi, M.R.; Dolci, M.; Festa, F.; Tecco, S. Cervical lordosis angle measured on lateral cephalograms; findings in skeletal class II female subjects with and without TMD: A cross sectional study. Cranio 2004, 22, 27–44. [Google Scholar] [CrossRef] [PubMed]
- Higbie, E.J.; Seidel-Cobb, D.; Taylor, L.F.; Cummings, G.S. Effect of head position on vertical mandibular opening. J. Orthop. Sports Phys. Ther. 1999, 29, 127–130. [Google Scholar] [CrossRef]
- Hackney, J.; Bade, D.; Clawson, A. Relationship between forward head posture and diagnosed internal derangement of the temporomandibular joint. J. Orofac. Pain 1993, 7. [Google Scholar]
- Olmos, S.R.; Kritz-Silverstein, D.; Halligan, W.; Silverstein, S.T. The effect of condyle fossa relationships on head posture. Cranio 2005, 23, 48–52. [Google Scholar] [CrossRef] [PubMed]
- Alcantara, J.; Alcantara, J.D.; Alcantara, J. The chiropractic care of infants with breastfeeding difficulties. Explore 2015, 11, 468–474. [Google Scholar] [CrossRef]
- Hölzl, M.; Behrmann, R.; Biesinger, E.; von Heymann, W.; Hülse, R.; Goessler, U.; Arens, C. Selected ENT symptoms in functional disorders of the upper cervical spine and temporomandibular joints. HNO 2019, 67, 1–9. [Google Scholar] [CrossRef]
- Maurer, C.; Heller, S.; Sure, J.-J.; Fuchs, D.; Mickel, C.; Wanke, E.M.; Groneberg, D.A.; Ohlendorf, D. Strength improvements through occlusal splints? The effects of different lower jaw positions on maximal isometric force production and performance in different jumping types. PLoS ONE 2018, 13, e0193540. [Google Scholar] [CrossRef] [PubMed]
- Sorvari, R.; Kiviranta, I. A semiquantitative method of recording experimental tooth erosion and estimating occlusal wear in the rat. Arch. Oral Biol. 1988, 33, 217–220. [Google Scholar] [CrossRef]
- Radaelli, M.T.B.; Idogava, H.T.; Spazzin, A.O.; Noritomi, P.Y.; Boscato, N. Parafunctional loading and occlusal device on stress distribution around implants: A 3D finite element analysis. J. Prosthet. Dent. 2018, 120, 565–572. [Google Scholar] [CrossRef]
- Isaia, B.; Ravarotto, M.; Finotti, P.; Nogara, M.; Piran, G.; Gamberini, J.; Biz, C.; Masiero, S.; Frizziero, A. Analysis of Dental malocclusion and neuromotor control in young healthy subjects through new evaluation tools. J. Funct. Morphol. Kinesiol. 2019, 4, 5. [Google Scholar] [CrossRef]
- Ravi, D.K.; Taylor, W.R.; Singh, N.B.; Poston, B.; Mickel, C.; Coco, M. The “Journal of Functional Morphology and Kinesiology” Journal Club series: Highlights on recent papers in motor control and learning. J. Funct. Morphol. Kinesiol. 2018, 3, 16. [Google Scholar] [CrossRef]
- Sambataro, S.; Bocchieri, S.; Cervino, G.; La Bruna, R.; Cicciù, A.; Innorta, M.; Torrisi, B.; Cicciù, M. Correlations between malocclusion and postural anomalies in children with mixed dentition. J. Funct. Morphol. Kinesiol. 2019, 4, 45. [Google Scholar] [CrossRef]
- Szychlinska, M.A.; Yamakado, K.; Castorina, A.; Ljubisavljevic, M. The “Journal of Functional Morphology and Kinesiology” Journal Club Series: Highlights on Recent Papers in Musculoskeletal Disorders. J. Funct. Morphol. Kinesiol. 2017, 2, 10. [Google Scholar] [CrossRef]
- Van Raalte, J.L.; Brewer, B.W.; Cornelius, A.E.; Keeler, M.; Gudjenov, C. Effects of a Mental Warmup on the Workout Readiness and Stress of College Student Exercisers. J. Funct. Morphol. Kinesiol. 2019, 4, 42. [Google Scholar] [CrossRef]
- Henrikson, T.; Nilner, M.; Kurol, J. Signs of temporomandibular disorders in girls receiving orthodontic treatment. A prospective and longitudinal comparison with untreated Class II malocclusions and normal occlusion subjects. Eur. J. Orthod. 2000, 22, 271–281. [Google Scholar] [CrossRef]
- Sambataro, S.; Cervino, G.; Fiorillo, L.; Cicciù, M. Upper first premolar positioning evaluation for the stability of the dental occlusion: Anatomical considerations. J. Craniofac. Surg. 2018, 29, 1366–1369. [Google Scholar] [CrossRef]
- Kim, M.-R.; Graber, T.M.; Viana, M.A. Orthodontics and temporomandibular disorder: A meta-analysis. Am. J. Orthod. Dentofac. Orthop. 2002, 121, 438–446. [Google Scholar] [CrossRef]
- Mohlin, B.O.; Derweduwen, K.; Pilley, R.; Kingdon, A.; Shaw, W.; Kenealy, P. Malocclusion and temporomandibular disorder: A comparison of adolescents with moderate to severe dysfunction with those without signs and symptoms of temporomandibular disorder and their further development to 30 years of age. Angle Orthod. 2004, 74, 319–327. [Google Scholar] [PubMed]
- Steed, P.A.; Wexler, G.B. Temporomandibular disorders—Traumatic etiology vs. nontraumatic etiology: A clinical and methodological inquiry into symptomatology and treatment outcomes. Cranio 2001, 19, 188–194. [Google Scholar] [CrossRef] [PubMed]
- Yap, A.U.; Dworkin, S.F.; Chua, E.; List, T.; Tan, K.B.; Prosthodont, C.; Tan, H. Prevalence of temporomandibular disorder subtypes, psychologic distress, and psychosocial dysfunction in Asian patients. J. Orofac. Pain 2003, 17, 21. [Google Scholar] [PubMed]
- Yap, A.U.; Tan, K.B.; Prosthodont, C.; Chua, E.K.; Tan, H.H. Depression and somatization in patients with temporomandibular disorders. J. Prosthet. Dent. 2002, 88, 479–484. [Google Scholar] [CrossRef]
- Ferrando, M.; Andreu, Y.; Galdón, M.J.; Durá, E.; Poveda, R.; Bagán, J.V. Psychological variables and temporomandibular disorders: Distress, coping, and personality. Oral Surg. Oral Med. Oral Pathol. Oral Radiol. Endodontol. 2004, 98, 153–160. [Google Scholar] [CrossRef]
- Kothari, S.F.; Baad-Hansen, L.; Svensson, P. Psychosocial Profiles of Temporomandibular Disorder Pain Patients: Proposal of a New Approach to Present Complex Data. J. Oral Facial Pain Headache 2017, 31, 199–209. [Google Scholar] [CrossRef]
- Lei, J.; Fu, J.; Yap, A.U.; Fu, K.-Y. Temporomandibular disorders symptoms in Asian adolescents and their association with sleep quality and psychological distress. Cranio 2016, 34, 242–249. [Google Scholar] [CrossRef]
- Manfredini, D.; Marini, M.; Pavan, C.; Pavan, L.; Guarda-Nardini, L. Psychosocial profiles of painful TMD patients. J. Oral Rehabil. 2009, 36, 193–198. [Google Scholar] [CrossRef]
- Mottaghi, A.; Razavi, S.M.; Pozveh, E.Z.; Jahangirmoghaddam, M. Assessment of the relationship between stress and temporomandibular joint disorder in female students before university entrance exam (Konkour exam). Dent. Res. J. 2011, 8, S76. [Google Scholar]
- Oliveira, L.K.; Almeida, G.d.A.; Lelis, E.R.; Tavares, M.; Fernandes Neto, A.J. Temporomandibular disorder and anxiety, quality of sleep, and quality of life in nursing professionals. Braz. Oral Res. 2015, 29, 1–7. [Google Scholar] [CrossRef] [PubMed]
- Vedolin, G.; Lobato, V.; Conti, P.; Lauris, J. The impact of stress and anxiety on the pressure pain threshold of myofascial pain patients. J. Oral Rehabil. 2009, 36, 313–321. [Google Scholar] [CrossRef] [PubMed]
- Fernandes, G.; Goncalves, D.A.d.G.; Siqueira, J.T.T.d.; Camparis, C.M. Painful temporomandibular disorders, self reported tinnitus, and depression are highly associated. Arq. Neuropsiquiatr. 2013, 71, 943–947. [Google Scholar] [CrossRef] [PubMed]
- Manfredini, D.; Bandettini di Poggio, A.; Cantini, E.; Dell’Osso, L.; Bosco, M. Mood and anxiety psychopathology and temporomandibular disorder: A spectrum approach. J. Oral Rehabil. 2004, 31, 933–940. [Google Scholar] [CrossRef]
- Madani, A.; Mehdizade, F. Investigating the prevalence of TMD risk factors in 100 patients referred to dental faculty of Mashhad University. J. Shahid Beheshti Univ. 2003, 2, 229–237. [Google Scholar]
- Smith, S.B.; Maixner, D.W.; Greenspan, J.D.; Dubner, R.; Fillingim, R.B.; Ohrbach, R.; Knott, C.; Slade, G.D.; Bair, E.; Gibson, D.G. Potential genetic risk factors for chronic TMD: Genetic associations from the OPPERA case control study. J. Pain 2011, 12, T92–T101. [Google Scholar] [CrossRef]
- Michalowicz, B.S.; Pihlstrom, B.; Hodges, J.S.; Bouchard, T., Jr. No heritability of temporomandibular joint signs and symptoms. J. Dent. Res. 2000, 79, 1573–1578. [Google Scholar] [CrossRef]
- Yamaguchi, T.; Nakaoka, H.; Yamamoto, K.; Fujikawa, T.; Kim, Y.I.; Yano, K.; Haga, S.; Katayama, K.; Shibusawa, T.; Park, S. Genome-wide association study of degenerative bony changes of the temporomandibular joint. Oral Dis. 2014, 20, 409–415. [Google Scholar] [CrossRef]
- Rosén, A.; Fredricson, A.; Khodabandehlou, F.; A, N.-A.; Adami, J.; Weiner, C. Correlations between TMJ Disorders and Systemic Diseases—A Questionnaire Based Study. In Proceedings of the 15th World Congress on Pain, IASP, Buenos Aires, Argentina, 6–11 October 2014. [Google Scholar]
- Barkhordarian, A.; Demerjian, G.; Chiappelli, F. Translational research of temporomandibular joint pathology: A preliminary biomarker and fMRI study. J. Transl. Med. 2020, 18, 22. [Google Scholar] [CrossRef]
- Sperry, M.M.; Ita, M.E.; Kartha, S.; Zhang, S.; Yu, Y.-H.; Winkelstein, B. The interface of mechanics and nociception in joint pathophysiology: Insights from the facet and temporomandibular joints. J. Biomech. Eng. 2017, 139, 0210031–02100313. [Google Scholar] [CrossRef]
- Kim, D.; Ko, S.-G.; Lee, E.-K.; Jung, B. The relationship between spinal pain and temporomandibular joint disorders in Korea: A nationwide propensity score-matched study. BMC Musculoskel. Disord. 2019, 20, 631. [Google Scholar] [CrossRef] [PubMed]
- Song, H.-S.; Shin, J.-S.; Lee, J.; Lee, Y.J.; Kim, M.-r.; Cho, J.-H.; Kim, K.-W.; Park, Y.; Song, H.J.; Park, S.-Y. Association between temporomandibular disorders, chronic diseases, and ophthalmologic and otolaryngologic disorders in Korean adults: A cross-sectional study. PLoS ONE 2018, 13, e0191336. [Google Scholar] [CrossRef]
- Assouan, C.; Anzouan, K.; Nguessan, N.D.; Millogo, M.; Horo, K.; Konan, E.; Zwetyenga, N. Tuberculosis of the temporomandibular joint. Rev. Stomatol. Chir. Maxillo-Faciale Chir. Orale 2014, 115, 88–93. [Google Scholar] [CrossRef]
- Ramírez, L.M.; Ballesteros, L.E.; Pablo Sandoval, G. Tensor tympani muscle: Strange chewing muscle. Med. Oral Patol. Oral Cir. Bucal 2007, 12, 96–100. [Google Scholar]
- Salvetti, G.; Manfredini, D.; Barsotti, S.; Bosco, M. Otologic symptoms in temporomandibular disorders patients: Is there evidence of an association-relationship? Minerva Stomatol. 2006, 55, 627–637. [Google Scholar] [PubMed]
- De Stefano, R.; Bruno, A.; Muscatello, M.R.A.; Cedro, C.; Cicciù, A.; Rullo, R.; Gaeta, M.; Fiorillo, L. Oral Health and Fibromyalgia Syndrome: A Systemic Review. J. Funct. Morphol. Kinesiol. 2020, 5, 7. [Google Scholar] [CrossRef]
- Lim, P.F.; Maixner, W.; Khan, A.A. Temporomandibular disorder and comorbid pain conditions. J. Am. Dent. Assoc. 2011, 142, 1365–1367. [Google Scholar] [CrossRef]
- Robinson, L.; Durham, J.; Newton, J. A systematic review of the comorbidity between temporomandibular disorders and chronic fatigue syndrome. J. Oral Rehabil. 2016, 43, 306–316. [Google Scholar] [CrossRef]
- Araújo, H.T.; Leitão, A.K.A.; Feitosa, V.P.; Roberto, P.; Picanço, B.; Fernandes, E.G.; de Paula, D.M. Correlation between Fibromyalgia and Temporomandibular Dysfunctions—A Systematic Review. Oral Health Dent. Manag. 2019, 18, 5. [Google Scholar]
- Tecco, S.; Tetè, S.; D’Attilio, M.; Perillo, L.; Festa, F. Surface electromyographic patterns of masticatory, neck, and trunk muscles in temporomandibular joint dysfunction patients undergoing anterior repositioning splint therapy. Eur. J. Orthod. 2008, 30, 592–597. [Google Scholar] [CrossRef]
- van der Meer, H.A.; Speksnijder, C.M.; Engelbert, R.H.; Lobbezoo, F.; Nijhuis-van der Sanden, M.W.; Visscher, C.M. The association between headaches and temporomandibular disorders is confounded by bruxism and somatic symptoms. Clin. J. Pain 2017, 33, 835–843. [Google Scholar] [CrossRef] [PubMed]
- Costa, Y.M.; Conti, P.C.R.; de Faria, F.A.C.; Bonjardim, L.R. Temporomandibular disorders and painful comorbidities: Clinical association and underlying mechanisms. Oral Surg. Oral Med. Oral Pathol. Oral Radiol. 2017, 123, 288–297. [Google Scholar] [CrossRef] [PubMed]
- Jensen, R.H. Tension-Type Headache—The Normal and Most Prevalent Headache. Headache 2018, 58, 339–345. [Google Scholar] [CrossRef] [PubMed]
- Franco, A.L.; Gonçalves, D.A.; Castanharo, S.M.; Speciali, J.G.; Bigal, M.E.; Camparis, C.M. Migraine is the most prevalent primary headache in individuals with temporomandibular disorders. J. Orofac. Pain 2010, 24, 287–292. [Google Scholar]
- Emshoff, R.; Bertram, F.; Schnabl, D.; Emshoff, I. Association Between Chronic Tension-Type Headache Coexistent with Chronic Temporomandibular Disorder Pain and Limitations in Physical and Emotional Functioning: A Case-Control Study. J. Oral Facial Pain Headache 2017, 31, 55–60. [Google Scholar] [CrossRef]
- Ferreira, M.C.; Bevilaqua-Grossi, D.; Dach, F.É.; Speciali, J.G.; Gonçalves, M.C.; Chaves, T.C. Body posture changes in women with migraine with or without temporomandibular disorders. Braz. J. Phys. Ther. 2014, 18, 19–29. [Google Scholar] [CrossRef]
- Gonçalves, M.C.; Florencio, L.L.; Chaves, T.C.; Speciali, J.G.; Bigal, M.E.; Bevilaqua-Grossi, D. Do women with migraine have higher prevalence of temporomandibular disorders? Braz. J. Phys. Ther. 2013, 17, 64–68. [Google Scholar] [CrossRef]
- Speciali, J.G.; Dach, F. Temporomandibular dysfunction and headache disorder. Headache 2015, 55, 72–83. [Google Scholar] [CrossRef]
- Gonçalves, D.A.; Camparis, C.M.; Speciali, J.G.; Castanharo, S.M.; Ujikawa, L.T.; Lipton, R.B.; Bigal, M.E. Treatment of comorbid migraine and temporomandibular disorders: A factorial, double-blind, randomized, placebo-controlled study. J. Orofac. Pain 2013, 27, 325–335. [Google Scholar] [CrossRef]
- Crincoli, V.; Piancino, M.G.; Iannone, F.; Errede, M.; Di Comite, M. Temporomandibular disorders and oral features in systemic lupus erythematosus patients: An observational study of symptoms and signs. Int. J. Med. Sci. 2020, 17, 153. [Google Scholar] [CrossRef]
- Jasim, H.; Ghafouri, B.; Gerdle, B.; Hedenberg-Magnusson, B.; Ernberg, M. Altered levels of salivary and plasma pain related markers in temporomandibular disorders. J. Headache Pain 2020, 21, 105. [Google Scholar] [CrossRef] [PubMed]
- Szczeklik, A.; Gajewski, P. Interna Szczeklika, 7th ed.; MP: Kraków, Poland, 2015. [Google Scholar]
- Iordache, C.; Ghiorghe, C.-A.; Ancuța, C. Epidemiology of temporomandibular joint involvement In rheumatic pathology. Rom. J. Oral Rehabil. 2017, 9, 17–24. [Google Scholar]
- Shim, J.S.; Kim, C.; Ryu, J.J.; Choi, S.J. Correlation between TM joint disease and rheumatic diseases detected on bone scintigraphy and clinical factors. Sci. Rep. 2020, 10, 4547. [Google Scholar] [CrossRef] [PubMed]
- Hoyuela, C.; Furtado, R.; Chiari, A.; Natour, J. Oro-facial evaluation of women with rheumatoid arthritis. J. Oral Rehabil. 2015, 42, 370–377. [Google Scholar] [CrossRef] [PubMed]
- Farng, E.; Friedrich, J.B. Laboratory diagnosis of rheumatoid arthritis. J. Hand Surg. Am. 2011, 36, 926–927, quiz 928. [Google Scholar] [CrossRef]
- Nishimura, K.; Sugiyama, D.; Kogata, Y.; Tsuji, G.; Nakazawa, T.; Kawano, S.; Saigo, K.; Morinobu, A.; Koshiba, M.; Kuntz, K.M.; et al. Meta-analysis: Diagnostic accuracy of anti-cyclic citrullinated peptide antibody and rheumatoid factor for rheumatoid arthritis. Ann. Intern. Med. 2007, 146, 797–808. [Google Scholar] [CrossRef]
- Yukawa, N.; Fujii, T.; Kondo-Ishikawa, S.; Yoshifuji, H.; Kawabata, D.; Nojima, T.; Ohmura, K.; Usui, T.; Mimori, T. Correlation of antinuclear antibody and anti-double-stranded DNA antibody with clinical response to infliximab in patients with rheumatoid arthritis: A retrospective clinical study. Arthritis Res. Ther. 2011, 13, R213. [Google Scholar] [CrossRef]
- Scott, D.L.; Wolfe, F.; Huizinga, T. Rheumatoid arthritis. Lancet 2010, 376, 1094–1108. [Google Scholar] [CrossRef]
- Cordeiro, P.C.; Guimaraes, J.P.; de Souza, V.A.; Dias, I.M.; Silva, J.N.; Devito, K.L.; Bonato, L.L. Temporomandibular joint involvement in rheumatoid arthritis patients: Association between clinical and tomographic data. Acta Odontol. Latinoam. 2016, 29, 219–224. [Google Scholar]
- Witulski, S.; Vogl, T.J.; Rehart, S.; Ottl, P. Evaluation of the TMJ by means of clinical TMD examination and MRI diagnostics in patients with rheumatoid arthritis. Biomed. Res. Int. 2014, 2014, 328560. [Google Scholar] [CrossRef]
- Ahmed, N.; Mustafa, H.M.; Catrina, A.I.; Alstergren, P. Impact of temporomandibular joint pain in rheumatoid arthritis. Mediat. Inflamm. 2013, 2013, 597419. [Google Scholar] [CrossRef] [PubMed]
- Sodhi, A.; Naik, S.; Pai, A.; Anuradha, A. Rheumatoid arthritis affecting temporomandibular joint. Contemp. Clin. Dent. 2015, 6, 124. [Google Scholar]
- Hirahara, N.; Kaneda, T.; Muraoka, H.; Fukuda, T.; Ito, K.; Kawashima, Y. Characteristic Magnetic Resonance Imaging Findings in Rheumatoid Arthritis of the Temporomandibular Joint: Focus on Abnormal Bone Marrow Signal of the Mandibular Condyle, Pannus, and Lymph Node Swelling in the Parotid Glands. J. Oral Maxillofac. Surg. 2017, 75, 735–741. [Google Scholar] [CrossRef] [PubMed]
- Kretapirom, K.; Okochi, K.; Nakamura, S.; Tetsumura, A.; Ohbayashi, N.; Yoshino, N.; Kurabayashi, T. MRI characteristics of rheumatoid arthritis in the temporomandibular joint. Dentomaxillofac. Radiol. 2013, 42, 31627230. [Google Scholar] [CrossRef]
- Aceves-Avila, F.J.; Chávez-López, M.; Chavira-González, J.R.; Ramos-Remus, C. Temporomandibular joint dysfunction in various rheumatic diseases. Reumatismo 2013, 65, 126–130. [Google Scholar] [CrossRef]
- Zhu, S.; Xu, W.; Luo, Y.; Zhao, Y.; Liu, Y. Cervical spine involvement risk factors in rheumatoid arthritis: A meta-analysis. Int. J. Rheum. Dis. 2017, 20, 541–549. [Google Scholar] [CrossRef]
- Celiker, R.; Gökçe-Kutsal, Y.; Eryilmaz, M. Temporomandibular joint involvement in rheumatoid arthritis. Relationship with disease activity. Scand. J. Rheumatol. 1995, 24, 22–25. [Google Scholar] [CrossRef] [PubMed]
- Lin, Y.-C.; Hsu, M.-L.; Yang, J.-S.; Liang, T.-H.; Chou, S.-L.; Lin, H.-Y. Temporomandibular joint disorders in patients with rheumatoid arthritis. J. Chin. Med. Assoc. JCMA 2007, 70, 527–534. [Google Scholar] [CrossRef] [PubMed]
- Dias, I.M.; Cordeiro, P.C.d.F.; Devito, K.L.; Tavares, M.L.F.; Leite, I.C.G.; Tesch, R.d.S. Evaluation of temporomandibular joint disc displacement as a risk factor for osteoarthrosis. Int. J. Oral Maxillofac. Surg. 2016, 45, 313–317. [Google Scholar] [CrossRef]
- Kurt, H.; Oztaş, E.; Gençel, B.; Taşan, D.A.; Oztaş, D. An adult case of temporomandibular joint osteoarthritis treated with splint therapy and the subsequent orthodontic occlusal reconstruction. Contemp. Clin. Dent. 2011, 2, 364–367. [Google Scholar] [CrossRef]
- Michelotti, A.; Iodice, G. The role of orthodontics in temporomandibular disorders. J. Oral Rehabil. 2010, 37, 411–429. [Google Scholar] [CrossRef] [PubMed]
- Rodrigues, D.B.; Wolford, L.M.; Malaquias, P.; Campos, P.S.F. Concomitant treatment of mandibular ameloblastoma and bilateral temporomandibular joint osteoarthritis with bone graft and total joint prostheses. J. Oral Maxillofac. Surg. 2015, 73, 63–74. [Google Scholar] [CrossRef] [PubMed]
- Zhang, X.; Chen, F.; Chen, L.; Li, B.; Xu, S.; Cui, D.; Yu, L.; Liu, M.; Shi, X.; Li, Q.; et al. Symptoms and signs of temporomandibular disorders in patients with knee osteoarthritis. Int. Dent. J. 2017, 67, 78–84. [Google Scholar] [CrossRef] [PubMed]
- Cömert Kiliç, S.; Kiliç, N.; Sümbüllü, M.A. Temporomandibular joint osteoarthritis: Cone beam computed tomography findings, clinical features, and correlations. Int. J. Oral Maxillofac. Surg. 2015, 44, 1268–1274. [Google Scholar] [CrossRef] [PubMed]
- Kothari, S.F.; Baad-Hansen, L.; Hansen, L.B.; Bang, N.; Sørensen, L.H.; Eskildsen, H.W.; Svensson, P. Pain profiling of patients with temporomandibular joint arthralgia and osteoarthritis diagnosed with different imaging techniques. J. Headache Pain 2016, 17, 61. [Google Scholar] [CrossRef]
- Zheng, Z.-W.; Yang, C.; Wang, M.-H.; Zhu, X.-H.; Fang, Y.-M. Non-joint effusion is associated with osteoarthritis in temporomandibular joints with disk displacement. J. Craniomaxillofac. Surg. 2016, 44, 1–5. [Google Scholar] [CrossRef]
- Foeldvari, I.; Tzaribachev, N.; Cron, R.Q. Results of a multinational survey regarding the diagnosis and treatment of temporomandibular joint involvement in juvenile idiopathic arthritis. Pediatr. Rheumatol. Online J. 2014, 12, 6. [Google Scholar] [CrossRef][Green Version]
- Koos, B.; Tzaribachev, N.; Bott, S.; Ciesielski, R.; Godt, A. Classification of temporomandibular joint erosion, arthritis, and inflammation in patients with juvenile idiopathic arthritis. J. Orofac. Orthop. 2013, 74, 506–519. [Google Scholar] [CrossRef]
- Kim, K.H.; Kim, D.S. Juvenile idiopathic arthritis: Diagnosis and differential diagnosis. Korean J. Pediatr. 2010, 53, 931–935. [Google Scholar] [CrossRef]
- Meyers, A.B.; Laor, T. Magnetic resonance imaging of the temporomandibular joint in children with juvenile idiopathic arthritis. Pediatr. Radiol. 2013, 43, 1631–1632. [Google Scholar] [CrossRef]
- Kirkhus, E.; Arvidsson, L.Z.; Smith, H.-J.; Flatø, B.; Hetlevik, S.O.; Larheim, T.A. Disk abnormality coexists with any degree of synovial and osseous abnormality in the temporomandibular joints of children with juvenile idiopathic arthritis. Pediatr. Radiol. 2016, 46, 331–341. [Google Scholar] [CrossRef] [PubMed]
- Munir, S.; Patil, K.; Miller, E.; Uleryk, E.; Twilt, M.; Spiegel, L.; Doria, A.S. Juvenile idiopathic arthritis of the axial joints: A systematic review of the diagnostic accuracy and predictive value of conventional MRI. Am. J. Roentgenol. 2014, 202, 199–210. [Google Scholar] [CrossRef] [PubMed]
- Kristensen, K.D.; Stoustrup, P.; Küseler, A.; Pedersen, T.K.; Twilt, M.; Herlin, T. Clinical predictors of temporomandibular joint arthritis in juvenile idiopathic arthritis: A systematic literature review. Semin. Arthritis Rheum. 2016, 45, 717–732. [Google Scholar] [CrossRef] [PubMed]
- Caldas, W.; Conti, A.C.d.C.F.; Janson, G.; Conti, P.C.R. Occlusal changes secondary to temporomandibular joint conditions: A critical review and implications for clinical practice. J. Appl. Oral Sci. 2016, 24, 411–419. [Google Scholar] [CrossRef]
- Tanaka, E.; Yamano, E.; Inubushi, T.; Kuroda, S. Management of acquired open bite associated with temporomandibular joint osteoarthritis using miniscrew anchorage. Korean J. Orthod. 2012, 42, 144–154. [Google Scholar] [CrossRef]
- Müller, L.; Kellenberger, C.J.; Cannizzaro, E.; Ettlin, D.; Schraner, T.; Bolt, I.B.; Peltomäki, T.; Saurenmann, R.K. Early diagnosis of temporomandibular joint involvement in juvenile idiopathic arthritis: A pilot study comparing clinical examination and ultrasound to magnetic resonance imaging. Rheumatology 2009, 48, 680–685. [Google Scholar] [CrossRef]
- Gunson, M.J.; Arnett, G.W.; Milam, S.B. Pathophysiology and pharmacologic control of osseous mandibular condylar resorption. J. Oral Maxillofac. Surg. 2012, 70, 1918–1934. [Google Scholar] [CrossRef]
- Wolford, L.M.; Cardenas, L. Idiopathic condylar resorption: Diagnosis, treatment protocol, and outcomes. Am. J. Orthod. Dentofac. Orthop. 1999, 116, 667–677. [Google Scholar] [CrossRef]
- Pullinger, A.G.; Seligman, D.A.; Gornbein, J.A. A multiple logistic regression analysis of the risk and relative odds of temporomandibular disorders as a function of common occlusal features. J. Dent. Res. 1993, 72, 968–979. [Google Scholar] [CrossRef]
- Kaneyama, K.; Segami, N.; Nishimura, M.; Suzuki, T.; Sato, J. Importance of proinflammatory cytokines in synovial fluid from 121 joints with temporomandibular disorders. Br. J. Oral Maxillofac. Surg. 2002, 40, 418–423. [Google Scholar] [CrossRef]
- Cox, K.W. Temporomandibular disorder and new aural symptoms. Arch. Otolaryngol. Head Neck Surg. 2008, 134, 389–393. [Google Scholar] [CrossRef] [PubMed][Green Version]
- Hupp, J.; Ellis, E.; Tucker, M. Contemporary Oral and Maxillofacial Surgery, 5th ed.; Mosby, Elsevier: St. Louis, MO, USA, 2008. [Google Scholar]
- Manfredini, D.; Bucci, M.B.; Nardini, L.G. The diagnostic process for temporomandibular disorders. Stomatologija 2007, 9, 35–39. [Google Scholar]
- Gauer, R.; Semidey, M.J. Diagnosis and treatment of temporomandibular disorders. Am. Fam. Physician 2015, 91, 378–386. [Google Scholar]
- Dworkin, S.F.; LeResche, L. Research diagnostic criteria for temporomandibular disorders: Review, criteria, examinations and specifications, critique. Craniomandib. Disord. 1992, 6, 301–355. [Google Scholar]
- Poluha, R.L.; Grossmann, E. Inflammatory mediators related to arthrogenic temporomandibular dysfunctions. Braz. J. Pain 2018, 1, 60–65. [Google Scholar]
- Gozal, D. Serum, urine, and breath-related biomarkers in the diagnosis of obstructive sleep apnea in children: Is it for real? Curr. Opin. Pulm. Med. 2012, 18, 561–567. [Google Scholar] [CrossRef] [PubMed]
- Mayeux, R. Biomarkers: Potential uses and limitations. NeuroRx 2004, 1, 182–188. [Google Scholar] [CrossRef]
- de Almeida, C.; Amenábar, J.M. Changes in the salivary oxidative status in individuals with temporomandibular disorders and pain. J. Oral Biol. Craniofac. Res. 2016, 6, S1–S4. [Google Scholar] [CrossRef]
- Feghali, C.A.; Wright, T.M. Cytokines in acute and chronic inflammation. Front. Biosci. 1997, 2, d12–d26. [Google Scholar]
- Opal, S.M.; DePalo, V.A. Anti-inflammatory cytokines. Chest 2000, 117, 1162–1172. [Google Scholar] [CrossRef]
- Campos, M.I.G.; Campos, P.S.F.; Line, S.R.P. Inflammatory cytokines activity in temporomandibular joint disorders: A review of literature. Braz. J. Oral Sci. 2006, 5, 1054–1062. [Google Scholar]
- Shafer, D.M. Interleukin 1-β and stromelysin (MMP3) activity of synovial fluid as possible markers of osteoarthritis in the temporomandibular joint. J. Oral Maxillofac. Surg. 1997, 1, 27–28. [Google Scholar] [CrossRef]
- Fu, K.; Xuchen, M.; Zhang, Z.; Chen, W. Tumor necrosis factor in synovial fluid of patients with temporomandibular disorders. J. Oral Maxillofac. Surg. 1995, 53, 424–426. [Google Scholar] [CrossRef] [PubMed]
- Segami, N.; Miyamaru, M.; Nishimura, M.; Suzuki, T.; Kaneyama, K.; Murakami, K.-I. Does joint effusion on T2 magnetic resonance images reflect synovitis? Part 2. Comparison of concentration levels of proinflammatory cytokines and total protein in synovial fluid of the temporomandibular joint with internal derangements and osteoarthrosis. Oral Surg. Oral Med. Oral Pathol. Oral Radiol. Endodontol. 2002, 94, 515–521. [Google Scholar] [CrossRef]
- Nishimura, M.; Segami, N.; Kaneyama, K.; Suzuki, T.; Miyamaru, M. Proinflammatory cytokines and arthroscopic findings of patients withinternal derangement and osteoarthritis of the temporomandibular joint. Br. J. Oral Maxillofac. Surg. 2002, 40, 68–71. [Google Scholar] [CrossRef]
- Udagawa, N.; Takahashi, N.; Katagiri, T.; Tamura, T.; Wada, S.; Findlay, D.M.; Martin, T.J.; Hirota, H.; Taga, T.; Kishimoto, T. Interleukin (IL)-6 induction of osteoclast differentiation depends on IL-6 receptors expressed on osteoblastic cells but not on osteoclast progenitors. J. Exp. Med. 1995, 182, 1461–1468. [Google Scholar] [CrossRef]
- Slade, G.D.; Conrad, M.S.; Diatchenko, L.; Rashid, N.U.; Zhong, S.; Smith, S.; Rhodes, J.; Medvedev, A.; Makarov, S.; Maixner, W. Cytokine biomarkers and chronic pain: Association of genes, transcription, and circulating proteins with temporomandibular disorders and widespread palpation tenderness. Pain 2011, 152, 2802–2812. [Google Scholar] [CrossRef]
- Ogura, N.; Satoh, K.; Akutsu, M.; Tobe, M.; Kuyama, K.; Kuboyama, N.; Sakamaki, H.; Kujiraoka, H.; Kondoh, T. MCP-1 production in temporomandibular joint inflammation. J. Dent. Res. 2010, 89, 1117–1122. [Google Scholar] [CrossRef]
- Li, J.; Long, X.; Ke, J.; Meng, Q.-G.; Lee, W.C.; Doocey, J.M.; Zhu, F. Regulation of HAS expression in human synovial lining cells of TMJ by IL-1β. Arch. Oral Biol. 2008, 53, 60–65. [Google Scholar] [CrossRef]
- Matsumoto, T.; Inayama, M.; Tojyo, I.; Kiga, N.; Fujita, S. Expression of hyaluronan synthase 3 in deformed human temporomandibular joint discs: In vivo and in vitro studies. Eur. J. Histochem. 2010, 54, e50. [Google Scholar] [CrossRef]
- Tanimoto, K.; Suzuki, A.; Ohno, S.; Honda, K.; Tanaka, N.; Doi, T.; Yoneno, K.; Ohno-Nakahara, M.; Nakatani, Y.; Ueki, M. Effects of TGF-β on hyaluronan anabolism in fibroblasts derived from the synovial membrane of the rabbit temporomandibular joint. J. Dent. Res. 2004, 83, 40–44. [Google Scholar] [CrossRef] [PubMed]
- Güven, O.; Tekin, U.; Salmanoğlu, B.; Kaymak, E. Tumor necrosis factor-alpha levels in the synovial fluid of patients with temporomandibular joint internal derangement. J. Craniomaxillofac. Surg. 2015, 43, 102–105. [Google Scholar] [CrossRef] [PubMed]
- Nordahl, S.; Alstergren, P.; Kopp, S. Tumor necrosis factor-alpha in synovial fluid and plasma from patients with chronic connective tissue disease and its relation to temporomandibular joint pain. J. Oral Maxillofac. Surg. 2000, 58, 525–530. [Google Scholar] [CrossRef]
- Fredriksson, L.; Alstergren, P.; Kopp, S. Tumor necrosis factor-α in temporomandibular joint synovial fluid predicts treatment effects on pain by intra-articular glucocorticoid treatment. Mediat. Inflamm. 2006, 2006, 59425. [Google Scholar] [CrossRef]
- Shafer, D.M.; Assael, L.; White, L.B.; Rossomando, E.F. Tumor necrosis factor-α as a biochemical marker of pain and outcome in temporomandibular joints with internal derangements. J. Oral Maxillofac. Surg. 1994, 52, 786–791. [Google Scholar] [CrossRef]
- Sander, W.J.; O’Neill, H.G.; Pohl, C.H. Prostaglandin E2 as a modulator of viral infections. Front. Physiol. 2017, 8, 89. [Google Scholar] [CrossRef] [PubMed]
- Castrogiovanni, P.; Di Rosa, M.; Ravalli, S.; Castorina, A.; Guglielmino, C.; Imbesi, R.; Vecchio, M.; Drago, F.; Szychlinska, M.A.; Musumeci, G. Moderate physical activity as a prevention method for knee osteoarthritis and the role of synoviocytes as biological key. Int. J. Mol. Sci. 2019, 20, 511. [Google Scholar] [CrossRef]
- Vernal, R.; Velasquez, E.; Gamonal, J.; Garcia-Sanz, J.A.; Silva, A.; Sanz, M. Expression of proinflammatory cytokines in osteoarthritis of the temporomandibular joint. Arch. Oral Biol. 2008, 53, 910–915. [Google Scholar] [CrossRef]
- Suzuki, T.; Segami, N.; Nishimura, M.; Sato, J.; Nojima, T. Bradykinin expression in synovial tissues and synovial fluids obtained from patients with internal derangement of the temporomandibular joint. Cranio 2003, 21, 265–270. [Google Scholar] [CrossRef]
- Nishimura, M.; Segami, N.; Kaneyama, K.; Suzuki, T.; Miyamaru, M. Relationships between pain-related mediators and both synovitis and joint pain in patients with internal derangements and osteoarthritis of the temporomandibular joint. Oral Surg. Oral Med. Oral Pathol. Oral Radiol. Endodontol. 2002, 94, 328–332. [Google Scholar] [CrossRef]
- Henry, C.H.; Wolford, L.M. Substance P and mast cells: Preliminary histologic analysis of the human temporomandibular joint. Oral Surg. Oral Med. Oral Pathol. Oral Radiol. Endodontol. 2001, 92, 384–389. [Google Scholar] [CrossRef] [PubMed][Green Version]
- Consolaro, A. Inflamação e reparo: Um sílabo para a compreensão clínica e implicações terapêuticas; Dental Press: Maringá, Brazil, 2009. [Google Scholar]
- Li, W.; Long, X.; Jiang, S.; Li, Y.; Fang, W. Histamine and substance P in synovial fluid of patients with temporomandibular disorders. J. Oral Rehabil. 2015, 42, 363–369. [Google Scholar] [CrossRef] [PubMed]
- Ting, E.; Roveroni, R.C.; Ferrari, L.F.; Lotufo, C.M.; Veiga, M.-C.F.; Parada, C.A.; Tambeli, C.H. Indirect mechanism of histamine-induced nociception in temporomandibular joint of rats. Life Sci. 2007, 81, 765–771. [Google Scholar] [CrossRef]
- Alstergren, P.; Kopp, S. Pain and synovial fluid concentration of serotonin in arthritic temporomandibular joints. Pain 1997, 72, 137–143. [Google Scholar] [CrossRef] [PubMed]
- Oliveira-Fusaro, M.C.G.; Clemente-Napimoga, J.T.; Teixeira, J.M.; Torres-Chávez, K.E.; Parada, C.A.; Tambeli, C.H. 5-HT induces temporomandibular joint nociception in rats through the local release of inflammatory mediators and activation of local β adrenoceptors. Pharmacol. Biochem. Behav. 2012, 102, 458–464. [Google Scholar] [CrossRef]
- Yagiela, J.A.; Neidle, E.A.; Dowd, F.J. Farmacologia e terapêutica para dentistas. In Farmacologia e Terapêutica para Dentistas; Elsevier: Amsterdam, Netherlands, 2000; p. 717. [Google Scholar]
- Alstergren, P.; Kopp, S. Prostaglandin E2 in temporomandibular joint synovial fluid and its relation to pain and inflammatory disorders. J. Oral Maxillofac. Surg. 2000, 58, 180–186. [Google Scholar] [CrossRef]
- Yoshida, K.; Takatsuka, S.; Hatada, E.; Nakamura, H.; Tanaka, A.; Ueki, K.; Nakagawa, K.; Okada, Y.; Yamamoto, E.; Fukuda, R. Expression of matrix metalloproteinases and aggrecanase in the synovial fluids of patients with symptomatic temporomandibular disorders. Oral Surg. Oral Med. Oral Pathol. Oral Radiol. Endodontol. 2006, 102, 22–27. [Google Scholar] [CrossRef]
- Srinivas, R.; Sorsa, T.; Tjäderhane, L.; Niemi, E.; Raustia, A.; Pernu, H.; Teronen, O.; Salo, T. Matrix metalloproteinases in mild and severe temporomandibular joint internal derangement synovial fluid. Oral Surg. Oral Med. Oral Pathol. Oral Radiol. Endodontol. 2001, 91, 517–525. [Google Scholar] [CrossRef]
- Kanyama, M.; Kuboki, T.; Kojima, S.; Fujisawa, T.; Hattori, T.; Takigawa, M. Matrix metalloproteinases and tissue inhibitors of metalloproteinases in synovial fluids of patients with temporomandibular joint osteoarthritis. J. Orofac. Pain 2000, 14, 20–30. [Google Scholar]
- Loreto, C.; Filetti, V.; Almeida, L.E.; La Rosa, G.R.M.; Leonardi, R.; Grippaudo, C.; Giudice, A.L. MMP-7 and MMP-9 are overexpressed in the synovial tissue from severe temporomandibular joint dysfunction. Eur. J. Histochem. 2020, 64, 3113. [Google Scholar] [CrossRef]
- Leonardi, R.; Almeida, L.E.; Loreto, C. Lubricin immunohistochemical expression in human temporomandibular joint disc with internal derangement. J. Oral Pathol. Med. 2011, 40, 587–592. [Google Scholar] [CrossRef] [PubMed]
- Musumeci, G.; Loreto, C.; Giunta, S.; Rapisarda, V.; Szychlinska, M.A.; Imbesi, R.; Castorina, A.; Annese, T.; Castorina, S.; Castrogiovanni, P. Angiogenesis correlates with macrophage and mast cell infiltration in lung tissue of animals exposed to fluoro-edenite fibers. Exp. Cell Res. 2016, 346, 91–98. [Google Scholar] [CrossRef] [PubMed]
- Kubota, T.; Kubota, E.; Matsumoto, A.; Kawai, Y.; Saito, H.; Mikuni-Takagaki, Y.; Sato, S. Identification of matrix metalloproteinases (MMPs) in synovial fluid from patients with temporomandibular disorder. Eur. J. Oral Sci. 1998, 106, 992–998. [Google Scholar] [CrossRef] [PubMed]
- Akamine, Y.; Kakudo, K.; Kondo, M.; Ota, K.; Muroi, Y.; Yoshikawa, H.; Nakata, K. Prolonged matrix metalloproteinase-3 high expression after cyclic compressive load on human synovial cells in three-dimensional cultured tissue. Int. J. Oral Maxillofac. Surg. 2012, 41, 874–881. [Google Scholar] [CrossRef]
- Gu, Z.; Feng, J.; Shibata, T.; Zhang, Z. Type II collagen and aggrecan mRNA expression by in situ hybridization in rabbit temporomandibular joint posterior attachment following disc displacement. Arch. Oral Biol. 2003, 48, 55–62. [Google Scholar] [CrossRef]
- Mapp, P.; Revell, P. Fibronectin production by synovial intimal cells. Rheumatol. Int. 1985, 5, 229–237. [Google Scholar] [CrossRef]
- Roy, S.; Ghadially, F. Synthesis of hyaluronic acid by synovial cells. J. Pathol. Bacteriol. 1967, 93, 555–557. [Google Scholar] [CrossRef]
- Vandenbroucke, R.E.; Libert, C. Is there new hope for therapeutic matrix metalloproteinase inhibition? Nat. Rev. Drug Discov. 2014, 13, 904–927. [Google Scholar] [CrossRef]
- Sato, J.; Segami, N.; Nishimura, M.; Kaneyama, K.; Demura, N.; Yoshimura, H. Relation between the expression of vascular endothelial growth factor in synovial tissues and the extent of joint effusion seen on magnetic resonance imaging in patients with internal derangement of the temporomandibular joint. Br. J. Oral Maxillofac. Surg. 2003, 41, 88–94. [Google Scholar] [CrossRef]
- Tanaka, E.; Aoyama, J.; Miyauchi, M.; Takata, T.; Hanaoka, K.; Iwabe, T.; Tanne, K. Vascular endothelial growth factor plays an important autocrine/paracrine role in the progression of osteoarthritis. Histochem. Cell Biol. 2005, 123, 275–281. [Google Scholar] [CrossRef]
- Wong, M.; Siegrist, M.; Goodwin, K. Cyclic tensile strain and cyclic hydrostatic pressure differentially regulate expression of hypertrophic markers in primary chondrocytes. Bone 2003, 33, 685–693. [Google Scholar] [CrossRef] [PubMed]
- Matsumoto, K.; Honda, K.; Ohshima, M.; Yamaguchi, Y.; Nakajima, I.; Micke, P.; Otsuka, K. Cytokine profile in synovial fluid from patients with internal derangement of the temporomandibular joint: A preliminary study. Dentomaxillofac. Radiol. 2006, 35, 432–441. [Google Scholar] [CrossRef] [PubMed]
- Sato, J.; Segami, N.; Kaneyama, K.; Mashiyama, Y.; Fujimura, K.; Yoshitake, Y. Vascular endothelial growth factor concentrations in synovial fluids of patients with symptomatic internal derangement of the temporomandibular joint. J. Oral Pathol. Med. 2005, 34, 170–177. [Google Scholar] [CrossRef] [PubMed]
- Leonardi, R.; Muzio, L.L.; Bernasconi, G.; Caltabiano, C.; Piacentini, C.; Caltabiano, M. Expression of vascular endothelial growth factor in human dysfunctional temporomandibular joint discs. Arch. Oral Biol. 2003, 48, 185–192. [Google Scholar] [CrossRef]
- Ernberg, M. The role of molecular pain biomarkers in temporomandibular joint internal derangement. J. Oral Rehabil. 2017, 44, 481–491. [Google Scholar] [CrossRef]
- Embree, M.; Ono, M.; Kilts, T.; Walker, D.; Langguth, J.; Mao, J.; Bi, Y.; Barth, J.; Young, M. Role of subchondral bone during early-stage experimental TMJ osteoarthritis. J. Dent. Res. 2011, 90, 1331–1338. [Google Scholar] [CrossRef]
- Paegle, D.; Holmlund, A.; Hjerpe, A. Expression of proteoglycan mRNA in patients with painful clicking and chronic closed lock of the temporomandibular joint. Int. J. Oral Maxillofac. Surg. 2005, 34, 656–658. [Google Scholar] [CrossRef]
- Ok, S.M.; Lee, J.; Kim, Y.I.; Lee, J.Y.; Kim, K.B.; Jeong, S.H. Anterior condylar remodeling observed in stabilization splint therapy for temporomandibular joint osteoarthritis. Oral Surg. Oral Med. Oral Pathol. Oral Radiol. 2014, 118, 363–370. [Google Scholar] [CrossRef]
- Machon, V.; Hirjak, D.; Lukas, J. Therapy of the osteoarthritis of the temporomandibular joint. Craniomaxillofac. Surg. 2011, 39, 127–130. [Google Scholar] [CrossRef]
- Niemelä, K.; Korpela, M.; Raustia, A.; Ylöstalo, P.; Sipilä, K. Efficacy of stabilisation splint treatment on temporomandibular disorders. J. Oral Rehabil. 2012, 39, 799–804. [Google Scholar] [CrossRef]
- Patil, D.J.; Dheer, D.S. Psychological Assessment and Cognitive Behavioral Therapy in Temporomandibular Joint Disorders: A Randomized Controlled Study. J. Indian Acad. Oral Med. Radiol. 2023, 35, 326–330. [Google Scholar] [CrossRef]
- Randhawa, K.; Bohay, R.; Cote, P.; van der Velde, G.; Sutton, D.; Wong, J.J.; Yu, H.; Southerst, D.; Varatharajan, S.; Mior, S. The effectiveness of noninvasive interventions for temporomandibular disorders: A systematic review by the Ontario Protocol for Traffic Injury Management (OPTIMa) Collaboration. Clin. J. Pain 2016, 32, 260–278. [Google Scholar] [CrossRef]
- Radwan, I.; Mehanny, S.; Abbass, M.M. The Effect of Bisphosphonates’ Oncologic dose on the Static and Dynamic Bone Parameters of the Temporomandibular Joint’s Condyle (A Randomized Animal Controlled Trial). J. Chem. Health Risks 2020, 10, 297–313. [Google Scholar] [CrossRef]
- Idle, M.R.; Lowe, D.; Rogers, S.N.; Sidebottom, A.J.; Speculand, B.; Worrall, S.F. UK temporomandibular joint replacement database: Report on baseline data. Br. J. Oral Maxillofac. Surg. 2014, 52, 203–207. [Google Scholar] [CrossRef]
- Wroclawski, C.; Mediratta, J.K.; Fillmore, W.J. Recent Advances in Temporomandibular Joint Surgery. Medicina 2023, 59, 1409. [Google Scholar] [CrossRef]
- Alowaimer, H.A.; Al Shutwi, S.S.; Alsaegh, M.K.; Alruwaili, O.M.; Alrashed, A.R.; AlQahtani, S.H.; Batais, M.S. Comparative Efficacy of Non-Invasive Therapies in Temporomandibular Joint Dysfunction: A Systematic Review. Cureus 2024, 16, e56713. [Google Scholar] [CrossRef] [PubMed]
- Kumar, M.P.S. Surgical Treatment Modalities in the Management of Temporomandibular Joint Disorders. Int. J. Dent. Oral Sci. 2021, 8, 4168–4179. [Google Scholar] [CrossRef]
- Guarda-Nardini, L.; De Almeida, A.M.; Manfredini, D. Arthrocentesis of the Temporomandibular Joint: Systematic Review and Clinical Implications of Research Findings. J. Oral Facial Pain Headache 2021, 35, 17–29. [Google Scholar] [CrossRef]
- Forssell, H.; Kotiranta, U.; Kauko, T.; Suvinen, T. Explanatory Models of Illness and Treatment Goals in Temporomandibular Disorder Pain Patients Reporting Different Levels of Pain-Related Disability. J. Oral Facial Pain Headache 2016, 30, 14–20. [Google Scholar] [CrossRef]
- Henein, P.; Ziccardi, V.B. Temporomandibular Disorders: Surgical Implications and Management. Dent. Clin. N. Am. 2023, 67, 349–365. [Google Scholar] [CrossRef]
- Alpaslan, C.; Bilgihan, A.; Alpaslan, G.H.; Güner, B.; Yis, M.Ö.; Erbaş, D. Effect of arthrocentesis and sodium hyaluronate injection on nitrite, nitrate, and thiobarbituric acid-reactive substance levels in the synovial fluid. Oral Surg. Oral Med. Oral Pathol. Oral Radiol. Endodontol. 2000, 89, 686–690. [Google Scholar] [CrossRef] [PubMed]
- Frost, D.E.; Kendell, B.D. The use of arthrocentesis for treatment of temporomandibular joint disorders. J. Oral Maxillofac. Surg. 1999, 57, 583–587. [Google Scholar] [CrossRef] [PubMed]
- Dolwick, F.M.; Abramowicz, S.; Bagheri, S.C. Chapter 98—Diagnosis and Management of Temporomandibular Joint Pain and Masticatory Dysfunction. In Current Therapy in Oral and Maxillofacial Surgery; Bagheri, S.C., Bell, R.B., Khan, H.A., Eds.; W.B. Saunders: Saint Louis, MO, USA, 2012; pp. 859–868. [Google Scholar] [CrossRef]
- Rosenbrg, I.; Goss, A.N. A Modified Technique of Temporomandibular Joint Arthroscopic Operative Surgery of the Superior and Inferior Joint Spaces. J. Maxillofac. Oral Surg. 2020, 19, 561–570. [Google Scholar] [CrossRef] [PubMed]
- McCain, J.P.; Sanders, B.; Koslin, M.G.; Quinn, J.H.; Peters, P.B.; Indresano, A.T. Temporomandibular joint arthroscopy: A 6-year multicenter retrospective study of 4831 joints. J. Oral Maxillofac. Surg. Off. J. Am. Assoc. Oral Maxillofac. Surg. 1992, 50, 926–930. [Google Scholar] [CrossRef] [PubMed]
- McCain, J.P.; Hossameldin, R.H. Advanced arthroscopy of the temporomandibular joint. Atlas Oral Maxillofac. Surg. Clin. N. Am. 2011, 19, 145–167. [Google Scholar] [CrossRef]
- Dolwick, M.F. Disc preservation surgery for the treatment of internal derangements of the temporomandibular joint. J. Oral Maxillofac. Surg. 2001, 59, 1047–1050. [Google Scholar] [CrossRef]
- Goizueta Adame, C.C.; Muñoz-Guerra, M.F. The posterior double pass suture in repositioning of the temporomandibular disc during arthroscopic surgery: A report of 16 cases. J. Craniomaxillofac. Surg. 2012, 40, 86–91. [Google Scholar] [CrossRef]
- Abramowicz, S.; Dolwick, M.F. 20-year follow-up study of disc repositioning surgery for temporomandibular joint internal derangement. J. Oral Maxillofac. Surg. 2010, 68, 239–242. [Google Scholar] [CrossRef]
- Murakami, K. Rationale of arthroscopic surgery of the temporomandibular joint. J. Oral Biol. Craniofac. Res. 2013, 3, 126–134. [Google Scholar] [CrossRef][Green Version]
- McCain, J.P.; Hossameldin, R.H.; Srouji, S.; Maher, A. Arthroscopic discopexy is effective in managing temporomandibular joint internal derangement in patients with Wilkes stage II and III. J. Oral Maxillofac. Surg. 2015, 73, 391–401. [Google Scholar] [CrossRef]
- Mehra, P.; Wolford, L.M. The Mitek mini anchor for TMJ disc repositioning: Surgical technique and results. Int. J. Oral Maxillofac. Surg. 2001, 30, 497–503. [Google Scholar] [CrossRef] [PubMed]
- Dimitroulis, G. The role of surgery in the management of disorders of the temporomandibular joint: A critical review of the literature. Part 2. Int. J. Oral Maxillofac. Surg. 2005, 34, 231–237. [Google Scholar] [CrossRef] [PubMed]
- McKenna, S.J. Biologic basis for modified condylotomy in the management of temporomandibular joint degenerative diseases. In Management of Temporomandibular Joint Degenerative Diseases: Biologic Basis and Treatment Outcome; Springer: Basel, Switzerland; Birkhäuser: Basel, Switzerland, 1996; pp. 135–147. [Google Scholar]
- Puricelli, E.; Corsetti, A.; Tavares, J.G.; Luchi, G.H. Clinical-surgical treatment of temporomandibular joint disorder in a psoriatic arthritis patient. Head Face Med. 2013, 9, 11. [Google Scholar] [CrossRef] [PubMed]
- Nickerson, J.W. The role of condylotomy for treating internal derangements of the temporomandibular joint. Oral Maxillofac. Surg. Clin. N. Am. 1994, 6, 277. [Google Scholar]
- de Almeida, V.L.; Vitorino Nde, S.; Nascimento, A.L.; da Silva Júnior, D.C.; de Freitas, P.H. Stability of treatments for recurrent temporomandibular joint luxation: A systematic review. Int. J. Oral Maxillofac. Surg. 2016, 45, 304–307. [Google Scholar] [CrossRef]
- Iwanaga, J.; Nakamura, Y.; Kusukawa, J.; Tubbs, R.S. Eminectomy for Habitual Luxation of the Temporomandibular Joint with Sedation and Local Anesthesia: A Case Series. Case Rep. Dent. 2016, 2016, 2505864. [Google Scholar] [CrossRef]
- Martins, W.D.; Ribas Mde, O.; Bisinelli, J.; França, B.H.; Martins, G. Recurrent dislocation of the temporomandibular joint: A literature review and two case reports treated with eminectomy. Cranio 2014, 32, 110–117. [Google Scholar] [CrossRef]
- Tocaciu, S.; McCullough, M.J.; Dimitroulis, G. Surgical management of recurrent dislocation of the temporomandibular joint: A new treatment protocol. Br. J. Oral Maxillofac. Surg. 2018, 56, 936–940. [Google Scholar] [CrossRef]
- Tocaciu, S.; McCullough, M.J.; Dimitroulis, G. Surgical management of recurrent TMJ dislocation—A systematic review. Oral Maxillofac. Surg. 2019, 23, 35–45. [Google Scholar] [CrossRef]
- El Gengehy, M.T.; Ali, S.; Ashraf, M. Eminectomy versus eminoplasty for treatment of recurrent temporomandibular dislocation: Randomized controlled clinical trial. Egypt. Dent. J. 2019, 65, 2095–2102. [Google Scholar] [CrossRef][Green Version]
- Cariati, P.; Garcia Medina, B.; Galvez, P.; Cabello Serrano, A.; Garcia Martin, M.; Valencia Moya, G. Arthroscopic Eminoplasty of Temporomandibular Joint: Surgical Technique. Craniomaxillofac. Trauma Reconstr. 2018, 11, 161–164. [Google Scholar] [CrossRef] [PubMed]
- Zumbrunn Wojczyńska, A.; Steiger, B.; Leiggener, C.S.; Ettlin, D.A.; Gallo, L.M. Quality of life, chronic pain, insomnia, and jaw malfunction in patients after alloplastic temporomandibular joint replacement: A questionnaire-based pilot study. Int. J. Oral Maxillofac. Surg. 2021, 50, 948–955. [Google Scholar] [CrossRef] [PubMed]
- Chęciński, M.; Chęcińska, K.; Bliźniak, F.; Lubecka, K.; Turosz, N.; Rąpalska, I.; Michcik, A.; Chlubek, D.; Sikora, M. Temporomandibular Joint (TMJ) Replacement Affects Quality of Life: A Systematic Review and Synthesis of Clinical Trials. Appl. Sci. 2024, 14, 2912. [Google Scholar] [CrossRef]
- Desai, J. Patient Perception following Alloplastic Total Temporomandibular Joint Replacement. Ann. Maxillofac. Surg. 2018, 8, 83–85. [Google Scholar] [CrossRef]
- Gerbino, G.; Zavattero, E.; Berrone, S.; Ramieri, G. One stage treatment of temporomandibular joint complete bony ankylosis using total joint replacement. J. Craniomaxillofac. Surg. 2016, 44, 487–492. [Google Scholar] [CrossRef]
- Elledge, R.; Mercuri, L.G.; Speculand, B. Extended total temporomandibular joint replacements: A classification system. Br. J. Oral Maxillofac. Surg. 2018, 56, 578–581. [Google Scholar] [CrossRef]
- Ângelo, D.F.; Maffia, F.; Teschke, M.; Sanz, D.; Galrito, M.; Cardoso, H.; Marques, R.; Nabuco, C. Considerations for the Use of Alloplastic Temporomandibular Joint Replacement in Irradiated Patients: Report of an Off-Label Indication. J. Clin. Med. 2023, 12, 6612. [Google Scholar] [CrossRef]
- Peres Lima, F.G.G.; Rios, L.G.C.; Bianchi, J.; Gonçalves, J.R.; Paranhos, L.R.; Vieira, W.A.; Zanetta-Barbosa, D. Complications of total temporomandibular joint replacement: A systematic review and meta-analysis. Int. J. Oral Maxillofac. Surg. 2023, 52, 584–594. [Google Scholar] [CrossRef]
- McQuinn, M.W.; Moreno, S.D.; Perez, L., Jr.; Burkes, J.N. Management of Intraoperative Contamination of the Custom Total Temporomandibular Joint Prosthesis. J. Oral Maxillofac. Surg. 2023, 81, 17–23. [Google Scholar] [CrossRef]
- Entezari, B.; Wolford, L.M.; Gunn, D.C.; Murillo, S.; Ramamoorthy, S. Tranexamic Acid Use Intra-Operatively Decreases the Need for Blood Transfusions and Post-Operative Edema in Temporomandibular Joint Surgeries. Cureus 2022, 14, e31569. [Google Scholar] [CrossRef]
- Urech, D.M.; Feige, U.; Ewert, S.; Schlosser, V.; Ottiger, M.; Polzer, K.; Schett, G.; Lichtlen, P. Anti-inflammatory and cartilage-protecting effects of an intra-articularly injected anti-TNF alpha single-chain Fv antibody (ESBA105) designed for local therapeutic use. Ann. Rheum. Dis. 2010, 69, 443–449. [Google Scholar] [CrossRef] [PubMed]
- Kalpakci, K.N.; Kim, E.J.; Athanasiou, K.A. Assessment of growth factor treatment on fibrochondrocyte and chondrocyte co-cultures for TMJ fibrocartilage engineering. Acta Biomater. 2011, 7, 1710–1718. [Google Scholar] [CrossRef] [PubMed]
- Ying, B.; Chen, K.; Hu, J.; Man, C.; Feng, G.; Zhang, B.; Zhu, S. Effect of different doses of transforming growth factor-β1 on cartilage and subchondral bone in osteoarthritic temporomandibular joints. Br. J. Oral Maxillofac. Surg. 2013, 51, 241–246. [Google Scholar] [CrossRef] [PubMed]
- Su, S.C.; Tanimoto, K.; Tanne, Y.; Kunimatsu, R.; Hirose, N.; Mitsuyoshi, T.; Okamoto, Y.; Tanne, K. Celecoxib exerts protective effects on extracellular matrix metabolism of mandibular condylar chondrocytes under excessive mechanical stress. Osteoarthr. Cartil. 2014, 22, 845–851. [Google Scholar] [CrossRef] [PubMed]
- de Souza, R.F.; Lovato da Silva, C.H.; Nasser, M.; Fedorowicz, Z.; Al-Muharraqi, M.A. Interventions for the management of temporomandibular joint osteoarthritis. Cochrane Database Syst. Rev. 2012, 2012, Cd007261. [Google Scholar] [CrossRef]
- Alvarez-Camino, J.C.; Vázquez-Delgado, E.; Gay-Escoda, C. Use of autologous conditioned serum (Orthokine) for the treatment of the degenerative osteoarthritis of the temporomandibular joint. Review of the literature. Med. Oral Patol. Oral Cir. Bucal 2013, 18, e433–e438. [Google Scholar] [CrossRef]
- Duygu, G.; Güler, N.; Cam, B.; Kürkçü, M. The effects of high molecular weight hyaluronic acid (Hylan G-F 20) on experimentally induced temporomandibular joint osteoartrosis: Part II. Int. J. Oral Maxillofac. Surg. 2011, 40, 1406–1413. [Google Scholar] [CrossRef]
- Guarda-Nardini, L.; Rossi, A.; Ramonda, R.; Punzi, L.; Ferronato, G.; Manfredini, D. Effectiveness of treatment with viscosupplementation in temporomandibular joints with or without effusion. Int. J. Oral Maxillofac. Surg. 2014, 43, 1218–1223. [Google Scholar] [CrossRef]
- Triantaffilidou, K.; Venetis, G.; Bika, O. Efficacy of hyaluronic acid injections in patients with osteoarthritis of the temporomandibular joint. A comparative study. J. Craniofac. Surg. 2013, 24, 2006–2009. [Google Scholar] [CrossRef]
- Li, C.; Long, X.; Deng, M.; Li, J.; Cai, H.; Meng, Q. Osteoarthritic changes after superior and inferior joint space injection of hyaluronic acid for the treatment of temporomandibular joint osteoarthritis with anterior disc displacement without reduction: A cone-beam computed tomographic evaluation. J. Oral Maxillofac. Surg. 2015, 73, 232–244. [Google Scholar] [CrossRef]
- Iturriaga, V.; Bornhardt, T.; Manterola, C.; Brebi, P. Effect of hyaluronic acid on the regulation of inflammatory mediators in osteoarthritis of the temporomandibular joint: A systematic review. Int. J. Oral Maxillofac. Surg. 2017, 46, 590–595. [Google Scholar] [CrossRef] [PubMed]
- Wu, D.; Huang, Y.; Gu, Y.; Fan, W. Efficacies of different preparations of glucosamine for the treatment of osteoarthritis: A meta-analysis of randomised, double-blind, placebo-controlled trials. Int. J. Clin. Pract. 2013, 67, 585–594. [Google Scholar] [CrossRef] [PubMed]
- Clemente-Napimoga, J.T.; Silva, M.A.; Peres, S.N.; Lopes, A.H.; Lossio, C.F.; Oliveira, M.V.; Osterne, V.J.; Nascimento, K.S.; Abdalla, H.B.; Teixeira, J.M. Dioclea violacea lectin ameliorates inflammation in the temporomandibular joint of rats by suppressing intercellular adhesion molecule-1 expression. Biochimie 2019, 158, 34–42. [Google Scholar] [CrossRef] [PubMed]
- da Conceição Rivanor, R.L.; Chaves, H.V.; do Val, D.R.; de Freitas, A.R.; Lemos, J.C.; Rodrigues, J.A.G.; Pereira, K.M.A.; de Araújo, I.W.F.; Bezerra, M.M.; Benevides, N.M.B. A lectin from the green seaweed Caulerpa cupressoides reduces mechanical hyper-nociception and inflammation in the rat temporomandibular joint during zymosan-induced arthritis. Int. Immunopharmacol. 2014, 21, 34–43. [Google Scholar] [CrossRef]
- Freitas, R.S.; do Val, D.R.; Fernandes, M.E.F.; Gomes, F.I.F.; de Lacerda, J.T.J.G.; SantiGadelha, T.; de Almeida Gadelha, C.A.; Pinto, V.d.P.T.; Cristino-Filho, G.; Pereira, K.M.A. Lectin from Abelmoschus esculentus reduces zymosan-induced temporomandibular joint inflammatory hypernociception in rats via heme oxygenase-1 pathway integrity and tnf-α and il-1β suppression. Int. Immunopharmacol. 2016, 38, 313–323. [Google Scholar] [CrossRef] [PubMed]
- Damasceno, M.B.; José de Maria, A.; Santos, S.A.A.; Melo, L.T.; Leite, L.H.I.; Vieira-Neto, A.E.; Moreira, R.d.A.; Monteiro-Moreira, A.C.d.O.; Campos, A.R. Frutalin reduces acute and neuropathic nociceptive behaviours in rodent models of orofacial pain. Chem. Biol. Interact. 2016, 256, 9–15. [Google Scholar] [CrossRef]
- Dos Santos, A.O.; do Val, D.R.; da Silveira, F.D.; Gomes, F.I.F.; Freitas, H.C.; de Assis, E.L.; de Almeida, D.K.C.; da Silva, I.I.C.; Barbosa, F.G.; Mafezoli, J. Antinociceptive, anti-inflammatory and toxicological evaluation of semi-synthetic molecules obtained from a benzyl-isothiocyanate isolated from Moringa oleifera Lam. in a temporomandibular joint inflammatory hypernociception model in rats. Biomed. Pharmacother. 2018, 98, 609–618. [Google Scholar] [CrossRef]
- Basu, P.; Hornung, R.S.; Averitt, D.L.; Maier, C. Euphorbia bicolor (Euphorbiaceae) latex extract reduces inflammatory cytokines and oxidative stress in a rat model of orofacial pain. Oxid. Med. Cell. Longev. 2019, 2019, 8594375. [Google Scholar] [CrossRef]
- Barreto, R.S.; Quintans, J.S.; Amarante, R.K.; Nascimento, T.S.; Amarante, R.S.; Barreto, A.S.; Pereira, E.W.; Duarte, M.C.; Coutinho, H.D.; Menezes, I.R. Evidence for the involvement of TNF-α and IL-1β in the antinociceptive and anti-inflammatory activity of Stachys lavandulifolia Vahl.(Lamiaceae) essential oil and (-)-α-bisabolol, its main compound, in mice. J. Ethnopharmacol. 2016, 191, 9–18. [Google Scholar] [CrossRef]
- Ma, Y.; Liu, S.; Shu, H.; Crawford, J.; Xing, Y.; Tao, F. Resveratrol alleviates temporomandibular joint inflammatory pain by recovering disturbed gut microbiota. Brain Behav. Immun. 2020, 87, 455–464. [Google Scholar] [CrossRef]
- Manfredini, D.; Guarda-Nardini, L.; Winocur, E.; Piccotti, F.; Ahlberg, J.; Lobbezoo, F. Research diagnostic criteria for temporomandibular disorders: A systematic review of axis I epidemiologic findings. Oral Surg. Oral Med. Oral Pathol. Oral Radiol. Endodontol. 2011, 112, 453–462. [Google Scholar] [CrossRef] [PubMed]
- Robinson, J.L.; Soria, P.; Xu, M.; Vrana, M.; Luchetti, J.; Lu, H.H.; Chen, J.; Wadhwa, S. Estrogen promotes mandibular condylar fibrocartilage chondrogenesis and inhibits degeneration via estrogen receptor alpha in female mice. Sci. Rep. 2018, 8, 8527. [Google Scholar] [CrossRef] [PubMed]
- Berger, M.; Szalewski, L.; Bakalczuk, M.; Bakalczuk, G.; Bakalczuk, S.; Szkutnik, J. Association between estrogen levels and temporomandibular disorders: A systematic literature review. Prz. Menopauzalny 2015, 14, 260–270. [Google Scholar] [CrossRef]
- Robinson, J.L.; Johnson, P.M.; Kister, K.; Yin, M.T.; Chen, J.; Wadhwa, S. Estrogen signaling impacts temporomandibular joint and periodontal disease pathology. Odontology 2020, 108, 153–165. [Google Scholar] [CrossRef]
- Levin, O.; Moseĭkin, I. Vitamin B complex (milgamma) in the treatment of vertebrogenic lumbosacral radiculopathy. Zhurnal Nevrol. I Psikhiatrii Im. SS Korsakova 2009, 109, 30–35. [Google Scholar]
- Fawzy El-Sayed, K.M.; Cosgarea, R.; Sculean, A.; Doerfer, C. Can vitamins improve periodontal wound healing/regeneration? Periodontology 2000 2023, 94, 539–602. [Google Scholar] [CrossRef]
- Dehghan, M. Comparative effectiveness of B and E vitamins with diclofenac in reducing pain due to osteoarthritis of the knee. Med. Arch. 2015, 69, 103. [Google Scholar] [CrossRef] [PubMed]
- Tamaddonfard, E.; Tamaddonfard, S.; Cheraghiyan, S. Effects of intracerebroventricular injection of vitamin B12 on formalin-induced muscle pain in rats: Role of cyclooxygenase pathway and opioid receptors. Vet. Res. Forum 2018, 9, 329–335. [Google Scholar]
- Kütük, N.; Baş, B.; Soylu, E.; Gönen, Z.B.; Yilmaz, C.; Balcioğlu, E.; Özdamar, S.; Alkan, A. Effect of platelet-rich plasma on fibrocartilage, cartilage, and bone repair in temporomandibular joint. J. Oral Maxillofac. Surg. 2014, 72, 277–284. [Google Scholar] [CrossRef]
- Cömert Kiliç, S.; Güngörmüş, M.; Sümbüllü, M.A. Is Arthrocentesis Plus Platelet-Rich Plasma Superior to Arthrocentesis Alone in the Treatment of Temporomandibular Joint Osteoarthritis? A Randomized Clinical Trial. J. Oral Maxillofac. Surg. 2015, 73, 1473–1483. [Google Scholar] [CrossRef]
- Hegab, A.F.; Ali, H.E.; Elmasry, M.; Khallaf, M.G. Platelet-Rich Plasma Injection as an Effective Treatment for Temporomandibular Joint Osteoarthritis. J. Oral Maxillofac. Surg. 2015, 73, 1706–1713. [Google Scholar] [CrossRef] [PubMed]
- Al-Delayme, R.M.A.; Alnuamy, S.H.; Hamid, F.T.; Azzamily, T.J.; Ismaeel, S.A.; Sammir, R.; Hadeel, M.; Nabeel, J.; Shwan, R.; Alfalahi, S.J.; et al. The Efficacy of Platelets Rich Plasma Injection in the Superior Joint Space of the Tempromandibular Joint Guided by Ultra Sound in Patients with Non-reducing Disk Displacement. J. Maxillofac. Oral Surg. 2017, 16, 43–47. [Google Scholar] [CrossRef] [PubMed]
- Fernández-Ferro, M.; Fernández-Sanromán, J.; Blanco-Carrión, A.; Costas-López, A.; López-Betancourt, A.; Arenaz-Bua, J.; Stavaru Marinescu, B. Comparison of intra-articular injection of plasma rich in growth factors versus hyaluronic acid following arthroscopy in the treatment of temporomandibular dysfunction: A randomised prospective study. Craniomaxillofac. Surg. 2017, 45, 449–454. [Google Scholar] [CrossRef] [PubMed]
- Giacomello, M.; Giacomello, A.; Mortellaro, C.; Gallesio, G.; Mozzati, M. Temporomandibular joint disorders treated with articular injection: The effectiveness of plasma rich in growth factors-Endoret. J. Craniofac. Surg. 2015, 26, 709–713. [Google Scholar] [CrossRef]
- Lin, S.L.; Tsai, C.C.; Wu, S.L.; Ko, S.Y.; Chiang, W.F.; Yang, J.W. Effect of arthrocentesis plus platelet-rich plasma and platelet-rich plasma alone in the treatment of temporomandibular joint osteoarthritis: A retrospective matched cohort study (A STROBE-compliant article). Medicine 2018, 97, e0477. [Google Scholar] [CrossRef]
- Pihut, M.; Szuta, M.; Ferendiuk, E.; Zeńczak-Więckiewicz, D. Evaluation of pain regression in patients with temporomandibular dysfunction treated by intra-articular platelet-rich plasma injections: A preliminary report. Biomed. Res. Int. 2014, 2014, 132369. [Google Scholar] [CrossRef]
- Yang, J.W.; Huang, Y.C.; Wu, S.L.; Ko, S.Y.; Tsai, C.C. Clinical efficacy of a centric relation occlusal splint and intra-articular liquid phase concentrated growth factor injection for the treatment of temporomandibular disorders. Medicine 2017, 96, e6302. [Google Scholar] [CrossRef]
- Suh, Y.; Patel, S.; Kaitlyn, R.; Gandhi, J.; Joshi, G.; Smith, N.L.; Khan, S.A. Clinical utility of ozone therapy in dental and oral medicine. Med. Gas Res. 2019, 9, 163. [Google Scholar]
- Ernberg, M.; Hedenberg-Magnusson, B.; List, T.; Svensson, P. Efficacy of botulinum toxin type A for treatment of persistent myofascial TMD pain: A randomized, controlled, double-blind multicenter study. Pain 2011, 152, 1988–1996. [Google Scholar] [CrossRef]
- Thambar, S.; Kulkarni, S.; Armstrong, S.; Nikolarakos, D. Botulinum toxin in the management of temporomandibular disorders: A systematic review. Br. J. Oral Maxillofac. Surg. 2020, 58, 508–519. [Google Scholar] [CrossRef]
- Rady, N.A.; Bahgat, M.M.; Abdel-Hamid, A.M. Promising minimally invasive treatment modalities for symptomatic temporomandibular joint disc displacement with reduction: A randomized controlled clinical trial. BMC Oral Health 2022, 22, 547. [Google Scholar] [CrossRef] [PubMed]
- Kütük, S.G.; Özkan, Y.; Kütük, M.; Özdas, T. Comparison of the efficacies of dry needling and botox methods in the treatment of myofascial pain syndrome affecting the temporomandibular joint. J. Craniofac. Surg. 2019, 30, 1556–1559. [Google Scholar] [CrossRef] [PubMed]
- Connelly, S.; Myung, J.; Gupta, R.; Tartaglia, G.; Gizdulich, A.; Yang, J.; Silva, R. Clinical outcomes of Botox injections for chronic temporomandibular disorders: Do we understand how Botox works on muscle, pain, and the brain? Int. J. Oral Maxillofac. Surg. 2017, 46, 322–327. [Google Scholar] [CrossRef] [PubMed]
- Giacoppo, S.; Galuppo, M.; Pollastro, F.; Grassi, G.; Bramanti, P.; Mazzon, E. A new formulation of cannabidiol in cream shows therapeutic effects in a mouse model of experimental autoimmune encephalomyelitis. DARU J. Pharm. Sci. 2015, 23, 48. [Google Scholar] [CrossRef] [PubMed]
- Xu, D.H.; Cullen, B.D.; Tang, M.; Fang, Y. The effectiveness of topical cannabidiol oil in symptomatic relief of peripheral neuropathy of the lower extremities. Curr. Pharm. Biotechnol. 2020, 21, 390–402. [Google Scholar] [CrossRef]
- Zhang, S.; Yap, A.U.; Toh, W.S. Stem Cells for Temporomandibular Joint Repair and Regeneration. Stem Cell Rev. Rep. 2015, 11, 728–742. [Google Scholar] [CrossRef]
- Brady, M.A.; Sivananthan, S.; Mudera, V.; Liu, Q.; Wiltfang, J.; Warnke, P.H. The primordium of a biological joint replacement: Coupling of two stem cell pathways in biphasic ultrarapid compressed gel niches. Craniomaxillofac. Surg. 2011, 39, 380–386. [Google Scholar] [CrossRef]
- Barry, F.; Murphy, M. Mesenchymal stem cells in joint disease and repair. Nat. Rev. Rheumatol. 2013, 9, 584–594. [Google Scholar] [CrossRef]
- Chen, K.; Man, C.; Zhang, B.; Hu, J.; Zhu, S.S. Effect of in vitro chondrogenic differentiation of autologous mesenchymal stem cells on cartilage and subchondral cancellous bone repair in osteoarthritis of temporomandibular joint. Int. J. Oral Maxillofac. Surg. 2013, 42, 240–248. [Google Scholar] [CrossRef]
- Kim, H.; Yang, G.; Park, J.; Choi, J.; Kang, E.; Lee, B.K. Therapeutic effect of mesenchymal stem clls derived from human umbilical cord in rabbit temporomandibular joint model of osteoarthritis. Sci. Rep. 2019, 9, 13854. [Google Scholar] [CrossRef]





Disclaimer/Publisher’s Note: The statements, opinions and data contained in all publications are solely those of the individual author(s) and contributor(s) and not of MDPI and/or the editor(s). MDPI and/or the editor(s) disclaim responsibility for any injury to people or property resulting from any ideas, methods, instructions or products referred to in the content. |
© 2024 by the authors. Licensee MDPI, Basel, Switzerland. This article is an open access article distributed under the terms and conditions of the Creative Commons Attribution (CC BY) license (https://creativecommons.org/licenses/by/4.0/).
Share and Cite
Abbass, M.M.S.; Rady, D.; El Moshy, S.; Ahmed Radwan, I.; Wadan, A.-H.S.; Dörfer, C.E.; El-Sayed, K.M.F. The Temporomandibular Joint and the Human Body: A New Perspective on Cross Talk. Dent. J. 2024, 12, 357. https://doi.org/10.3390/dj12110357
Abbass MMS, Rady D, El Moshy S, Ahmed Radwan I, Wadan A-HS, Dörfer CE, El-Sayed KMF. The Temporomandibular Joint and the Human Body: A New Perspective on Cross Talk. Dentistry Journal. 2024; 12(11):357. https://doi.org/10.3390/dj12110357
Chicago/Turabian StyleAbbass, Marwa M. S., Dina Rady, Sara El Moshy, Israa Ahmed Radwan, Al-Hassan Soliman Wadan, Christof E. Dörfer, and Karim M. Fawzy El-Sayed. 2024. "The Temporomandibular Joint and the Human Body: A New Perspective on Cross Talk" Dentistry Journal 12, no. 11: 357. https://doi.org/10.3390/dj12110357
APA StyleAbbass, M. M. S., Rady, D., El Moshy, S., Ahmed Radwan, I., Wadan, A.-H. S., Dörfer, C. E., & El-Sayed, K. M. F. (2024). The Temporomandibular Joint and the Human Body: A New Perspective on Cross Talk. Dentistry Journal, 12(11), 357. https://doi.org/10.3390/dj12110357

