The Effect of Advanced Platelet-Rich Fibrin Plus (A-PRF+) on Graft Stability in Dental Implants and Alveolar Ridge Augmentation Procedures: A New Low-Speed Standardized Centrifugation Protocol
Abstract
1. Introduction
- −
- To evaluate the impact of A-PRF+ on marginal bone loss after alveolar ridge augmentation and dental implant placement.
- −
- To provide detailed information about the equipment used and the preparation parameters, as requested in recent publications.
- −
- Define future perspectives for the research on A-PRF+.
2. Materials & Methods
2.1. Risk Factors
2.2. Augmentation, Implant Type and Dental Restorations
2.3. PRF Centrifugation Protocol
- In this study, we utilized a Medifuge MF 100 (Silfradent srl, Forlì, Italy) featuring a clotrra
- Radius of 55.55 mm and an “end of tube” radius of 83.40 mm, with a rotor angulation of 33°. For the centrifugation process, we employed glass tubes: the PV 200R for solid clots and the PV 200P with ACDA and separator gel for the liquid phase. Following the A-PRF+ protocol, we centrifuged at 1680 rpm for 8 min, achieving a relative centrifugal force (RCF) of 177 g (Table 1).
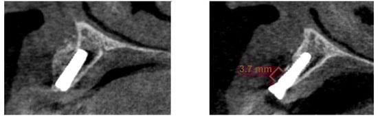
2.4. Bone Loss and Radiological Bone Measurements
2.5. Statistical Analysis
3. Results
3.1. Bone Loss
3.2. Implant Loss and Augmentation Method
3.3. Risk Factors
3.4. Post Hoc Power Analysis
4. Discussion
5. Conclusions
Author Contributions
Funding
Institutional Review Board Statement
Informed Consent Statement
Data Availability Statement
Conflicts of Interest
References
- Masuki, H.; Okudera, T.; Watanebe, T.; Suzuki, M.; Nishiyama, K.; Okudera, H.; Nakata, K.; Uematsu, K.; Su, C.Y.; Kawase, T. Growth factor and pro-inflammatory cytokine contents in platelet-rich plasma (PRP), plasma rich in growth factors (PRGF), advanced platelet-rich fibrin (A-PRF), and concentrated growth factors (CGF). Int. J. Implant. Dent. 2016, 2, 19. [Google Scholar] [CrossRef]
- Karimi, K.; Rockwell, H. The Benefits of Platelet-Rich Fibrin. Facial Plast. Surg. Clin. N. Am. 2019, 27, 331–340. [Google Scholar] [CrossRef]
- Zwittnig, K.; Mukaddam, K.; Vegh, D.; Herber, V.; Jakse, N.; Schlenke, P.; Zrnc, T.A.; Payer, M. Platelet-Rich Fibrin in Oral Surgery and Implantology: A Narrative Review. Transfus. Med. Hemotherapy 2023, 50, 348–359. [Google Scholar] [CrossRef]
- Miron, R.J.; Chai, J.; Fujioka-Kobayashi, M.; Sculean, A.; Zhang, Y. Evaluation of 24 protocols for the production of platelet-rich fibrin. BMC Oral Health 2020, 20, 310. [Google Scholar] [CrossRef]
- Ghanaati, S.; Booms, P.; Orlowska, A.; Kubesch, A.; Lorenz, J.; Rutkowski, J.; Landes, C.; Sader, R.; Kirkpatrick, C.; Choukroun, J. Advanced platelet-rich fibrin: A new concept for cell-based tissue engineering by means of inflammatory cells. J. Oral Implantol. 2014, 40, 679–689. [Google Scholar] [CrossRef]
- Choukroun, J.; Ghanaati, S. Reduction of relative centrifugation force within injectable platelet-rich-fibrin (PRF) concentrates advances patients’ own inflammatory cells, platelets and growth factors: The first introduction to the low speed centrifugation concept. Eur. J. Trauma Emerg. Surg. 2018, 44, 87–95. [Google Scholar] [CrossRef]
- Elver, A.; Caymaz, M.G. Novel approaches to the use of platelet-rich fibrin: A literature review. Saudi Dent. J. 2023, 35, 797–802. [Google Scholar] [CrossRef]
- Tunalı, M.; Özdemir, H.; Küçükodacı, Z.; Akman, S.; Yaprak, E.; Toker, H.; Fıratlı, E. A novel platelet concentrate: Titanium-prepared platelet-rich fibrin. BioMed Res. Int. 2014, 2014, 209548. [Google Scholar] [CrossRef]
- Pitzurra, L.; Jansen, I.D.C.; de Vries, T.J.; Hoogenkamp, M.A.; Loos, B.G. Effects of L-PRF and A-PRF+ on periodontal fibroblasts in in vitro wound healing experiments. J. Periodontal Res. 2020, 55, 287–295. [Google Scholar] [CrossRef]
- El Bagdadi, K.; Kubesch, A.; Yu, X.; Al-Maawi, S.; Orlowska, A.; Dias, A.; Booms, P.; Dohle, E.; Sader, R.; Kirkpatrick, C.J.; et al. Reduction of relative centrifugal forces increases growth factor release within solid platelet-rich-fibrin (PRF)-based matrices: A proof of concept of LSCC (low speed centrifugation concept). Eur. J. Trauma Emerg. Surg. 2019, 45, 467–479. [Google Scholar] [CrossRef]
- Miron, R.J.; Pinto, N.R.; Quirynen, M.; Ghanaati, S. Standardization of relative centrifugal forces in studies related to platelet-rich fibrin. J. Periodontol. 2019, 90, 817–820. [Google Scholar] [CrossRef]
- Dohan Ehrenfest, D.M.; Bielecki, T.; Jimbo, R.; Barbé, G.; Del Corso, M.; Inchingolo, F.; Sammartino, G. Do the fibrin architecture and leukocyte content influence the growth factor release of platelet concentrates? An evidence-based answer comparing a pure platelet-rich plasma (P-PRP) gel and a leukocyte- and platelet-rich fibrin (L-PRF). Curr. Pharm. Biotechnol. 2012, 13, 1145–1152. [Google Scholar] [CrossRef] [PubMed]
- Eldabe, A.K.; Abdel-Ghaffar, K.A.; Amr, A.E.; Abu-Seida, A.M.; Abdelhamid, E.S.; Gamal, A.Y. The impact of membrane perforation and L-PRF for vertical ridge augmentation with a xenogeneic block graft: An experimental study in a canine model. Clin. Oral Investig. 2023, 27, 3949–3960. [Google Scholar] [CrossRef]
- Khiste, S.V.; Naik Tari, R. Platelet-Rich Fibrin as a Biofuel for Tissue Regeneration. ISRN Biomater. 2013, 2013, 627367. [Google Scholar] [CrossRef]
- Miron, R.J.; Zucchelli, G.; Pikos, M.A.; Salama, M.; Lee, S.; Guillemette, V.; Fujioka-Kobayashi, M.; Bishara, M.; Zhang, Y.; Wang, H.L.; et al. Use of platelet-rich fibrin in regenerative dentistry: A systematic review. Clin. Oral Investig. 2017, 21, 1913–1927. [Google Scholar] [CrossRef]
- Clementini, M.; Rossetti, P.H.; Penarrocha, D.; Micarelli, C.; Bonachela, W.C.; Canullo, L. Systemic risk factors for peri-implant bone loss: A systematic review and meta-analysis. Int. J. Oral Maxillofac. Surg. 2014, 43, 323–334. [Google Scholar] [CrossRef]
- Monje, A.; Alcoforado, G.; Padial-Molina, M.; Suarez, F.; Lin, G.H.; Wang, H.L. Generalized aggressive periodontitis as a risk factor for dental implant failure: A systematic review and meta-analysis. J. Periodontol. 2014, 85, 1398–1407. [Google Scholar] [CrossRef]
- Lin, G.; Ye, S.; Liu, F.; He, F. A retrospective study of 30,959 implants: Risk factors associated with early and late implant loss. J. Clin. Periodontol. 2018, 45, 733–743. [Google Scholar] [CrossRef]
- Tavelli, L.; Ravidà, A.; Barootchi, S.; Chambrone, L.; Giannobile, W.V. Recombinant Human Platelet-Derived Growth Factor: A Systematic Review of Clinical Findings in Oral Regenerative Procedures. JDR Clin. Transl. Res. 2021, 6, 161–173. [Google Scholar] [CrossRef] [PubMed]
- Scheines, C.; Hokett, S.D.; Katancik, J.A. Recombinant Human Platelet-Derived Growth Factor-BB in Human Alveolar Ridge Augmentation: A Review of the Literature. Int. J. Oral Maxillofac. Implants 2018, 33, 1047–1056. [Google Scholar] [CrossRef] [PubMed]
- Galarraga-Vinueza, M.E.; Barootchi, S.; Nevins, M.L.; Nevins, M.; Miron, R.J.; Tavelli, L. Twenty-five years of recombinant human growth factors rhPDGF-BB and rhBMP-2 in oral hard and soft tissue regeneration. Periodontology 2000 2024, 94, 483–509. [Google Scholar] [CrossRef]
- Ghanaati, S.; Herrera-Vizcaino, C.; Al-Maawi, S.; Lorenz, J.; Miron, R.J.; Nelson, K.; Schwarz, F.; Choukroun, J.; Sader, R. Fifteen Years of Platelet Rich Fibrin in Dentistry and Oromaxillofacial Surgery: How High is the Level of Scientific Evidence? J. Oral Implantol. 2018, 44, 471–492. [Google Scholar] [CrossRef]
- Dohan Ehrenfest, D.M.; Pinto, N.R.; Pereda, A.; Jiménez, P.; Corso, M.D.; Kang, B.S.; Nally, M.; Lanata, N.; Wang, H.L.; Quirynen, M. The impact of the centrifuge characteristics and centrifugation protocols on the cells, growth factors, and fibrin architecture of a leukocyte- and platelet-rich fibrin (L-PRF) clot and membrane. Platelets 2018, 29, 171–184. [Google Scholar] [CrossRef] [PubMed]
- Miron, R.J.; Fujioka-Kobayashi, M.; Sculean, A.; Zhang, Y. Optimization of platelet-rich fibrin. Periodontology 2000 2024, 94, 79–91. [Google Scholar] [CrossRef] [PubMed]
- Yewale, M.; Bhat, S.; Kamath, A.; Tamrakar, A.; Patil, V.; Algal, A.S. Advanced platelet-rich fibrin plus and osseous bone graft for socket preservation and ridge augmentation—A randomized control clinical trial. J. Oral Biol. Craniofacial Res. 2021, 11, 225–233. [Google Scholar] [CrossRef] [PubMed]
- Simões-Pedro, M.; Tróia, P.; Dos Santos, N.B.M.; Completo, A.M.G.; Castilho, R.M.; de Oliveira Fernandes, G.V. Tensile Strength Essay Comparing Three Different Platelet-Rich Fibrin Membranes (L-PRF, A-PRF, and A-PRF+): A Mechanical and Structural In Vitro Evaluation. Polymers 2022, 14, 1392. [Google Scholar] [CrossRef] [PubMed]
- Fujioka-Kobayashi, M.; Miron, R.J.; Hernandez, M.; Kandalam, U.; Zhang, Y.; Choukroun, J. Optimized Platelet-Rich Fibrin With the Low-Speed Concept: Growth Factor Release, Biocompatibility, and Cellular Response. J. Periodontol. 2017, 88, 112–121. [Google Scholar] [CrossRef]
- Clark, D.; Rajendran, Y.; Paydar, S.; Ho, S.; Cox, D.; Ryder, M.; Dollard, J.; Kao, R.T. Advanced platelet-rich fibrin and freeze-dried bone allograft for ridge preservation: A randomized controlled clinical trial. J. Periodontol. 2018, 89, 379–387. [Google Scholar] [CrossRef]
- Kosmidis, K.; Ehsan, K.; Pitzurra, L.; Loos, B.; Jansen, I. An in vitro study into three different PRF preparations for osteogenesis potential. J. Periodontal Res. 2023, 58, 483–492. [Google Scholar] [CrossRef]
- Işık, G.; Özden Yüce, M.; Koçak-Topbaş, N.; Günbay, T. Guided bone regeneration simultaneous with implant placement using bovine-derived xenograft with and without liquid platelet-rich fibrin: A randomized controlled clinical trial. Clin. Oral Investig. 2021, 25, 5563–5575. [Google Scholar] [CrossRef]
- de Almeida Malzoni, C.M.; Pichotano, E.C.; Freitas de Paula, L.G.; de Souza, R.V.; Okamoto, R.; Austin, R.S.; Marcantonio, E., Jr.; de Molon, R.S.; Zandim-Barcelos, D.L. Combination of leukocyte and platelet-rich fibrin and demineralized bovine bone graft enhanced bone formation and healing after maxillary sinus augmentation: A randomized clinical trial. Clin. Oral Investig. 2023, 27, 5485–5498. [Google Scholar] [CrossRef]
- Angelo, T.; Marcel, W.; Andreas, K.; Izabela, S. Biomechanical Stability of Dental Implants in Augmented Maxillary Sites: Results of a Randomized Clinical Study with Four Different Biomaterials and PRF and a Biological View on Guided Bone Regeneration. BioMed Res. Int. 2015, 2015, 850340. [Google Scholar] [CrossRef]
- Pichotano, E.C.; de Molon, R.S.; de Souza, R.V.; Austin, R.S.; Marcantonio, E.; Zandim-Barcelos, D.L. Evaluation of L-PRF combined with deproteinized bovine bone mineral for early implant placement after maxillary sinus augmentation: A randomized clinical trial. Clin. Implant. Dent. Relat. Res. 2019, 21, 253–262. [Google Scholar] [CrossRef] [PubMed]
- Liu, R.; Yan, M.; Chen, S.; Huang, W.; Wu, D.; Chen, J. Effectiveness of Platelet-Rich Fibrin as an Adjunctive Material to Bone Graft in Maxillary Sinus Augmentation: A Meta-Analysis of Randomized Controlled Trails. BioMed Res. Int. 2019, 2019, 7267062. [Google Scholar] [CrossRef] [PubMed]
- Mallappa, J.; Patil, L.; Mani, A.D.; Gowda, T.M. Novel biomaterial advanced platelet-rich fibrin plus block for multiple gingival recession. Clin. Adv. Periodontics 2024, 14, 63–69. [Google Scholar] [CrossRef] [PubMed]
- Le, S.H.; Nguyen, S.H. The in vitro efficacy of advanced platelet-rich fibrin plus versus injectable platelet-rich fibrin on the proliferation, migration, and differentiation of stem cells from apical papilla. J. Dent. Sci. 2024, 19, 2203–2209. [Google Scholar] [CrossRef]
- Sterczała, B.; Chwiłkowska, A.; Szwedowicz, U.; Kobielarz, M.; Chwiłkowski, B.; Dominiak, M. Impact of APRF+ in Combination with Autogenous Fibroblasts on Release Growth Factors, Collagen, and Proliferation and Migration of Gingival Fibroblasts: An In Vitro Study. Materials 2022, 15, 796. [Google Scholar] [CrossRef]




| Centrifuge | type | MEDIFUGE MF 100 (Silfradent srl, Forli, Italy) |
| radius | 55.55 mm (clot level) 83.40 mm (end of tube) | |
| rotor angulation | 33° | |
| Tube | solid clot | PV 200R 10 mL glass tube |
| liquid phase | PV 200P 8 mL glass tube ACDA + separator gel | |
| A-PRF+ protocol | time | 8 min |
| speed | 1680 rpm |
| Univariable Model, n = 277 | Multivariably Adjusted Model, n = 277 | |
|---|---|---|
| OR (95% CI), p-Value | OR (95% CI), p-Value | |
| PRF | 0.37 (0.17–0.82), 0.014 | 0.32 (0.13–0.81), 0.016 |
| Age | 1.01 (0.99–1.03), 0.508 | |
| Sex | 1.03 (0.56–1.89), 0.931 | |
| Smoking | 2.14 (0.93–4.91), 0.071 | |
| Periodontitis | 0.99 (0.52–1.91), 0.980 | |
| Osteoporosis | 1.15 (0.20–6.58), 0.876 |
| All Implants n = 362 | With PRF n = 61 | Without PRF n = 301 | |
|---|---|---|---|
| Patients | 170 | 25 | 145 |
| Age | 53.2 (16.3) | 56.0 (17.7) | 52.7 (16.0) |
| Female, n (%) | 200 (55.2) | 34 (55.7) | 166 (55.1) |
| Smokers, n (%) | 78 (29.8), n = 262 | 16 (34.0), n = 47 | 62 (28.8), n = 215 |
| Periodontitis, n (%) | 33 (60.0), n = 55 | 6 (85.7), n = 7 | 27 (56.3), n = 48 |
| Diabetes, n (%) | 9 (2.5), n = 360 | 4 (6.7), n = 60 | 5 (1.7), n = 300 |
| Osteoporosis, n (%) | 12 (3.3), n = 361 | 8 (13.3), n = 60 | 4 (1.3), n = 301 |
| Study Design | PRF Preparation (Speed, Time, RCF) | Device | In Accord with Our Findings | |
|---|---|---|---|---|
| Pitzurra et al. [9] | In-vitro study | n.a. 8 min 208 g | Duo centrifuge (Process for PRF™, Nice, France) | Yes |
| Yewale et al. [25] | Clinical study | 1300 rpm 8 min 208 g | n.a. | Yes |
| Simoes-Pedro et al. [26] | In-vitro study | 1500 rpm 8 min 126 g | IntraSpin™ centrifugation device (Intra-Lock, Boca Raton, FL, USA) | Yes |
| El Bagdadi et al. [10] | In-vitro study | 1300 rpm 8 min 208 g | Duo centrifuge (Process for PRF™, Nice, France) | Yes |
| Fujioka-kobayashi et al. [27] | In-vitro study | 1300 rpm 8 min 200 g | Duo centrifuge (Process for PRF™, Nice, France) | Yes |
| Clark et al. [28] | Clinical study | 1300 rpm 8 min 200 g | n.a. | Yes |
| Kosmidis et al. [29] | In-vitro study | n.a. 8 min 208 g | Duo centrifuge (Process for PRF™, Nice, France) | Yes |
Disclaimer/Publisher’s Note: The statements, opinions and data contained in all publications are solely those of the individual author(s) and contributor(s) and not of MDPI and/or the editor(s). MDPI and/or the editor(s) disclaim responsibility for any injury to people or property resulting from any ideas, methods, instructions or products referred to in the content. |
© 2024 by the authors. Licensee MDPI, Basel, Switzerland. This article is an open access article distributed under the terms and conditions of the Creative Commons Attribution (CC BY) license (https://creativecommons.org/licenses/by/4.0/).
Share and Cite
Walch, B.; Kolk, A.; Scheibl, D.; Guarda, M.; Maier, S.C.; Denk, L. The Effect of Advanced Platelet-Rich Fibrin Plus (A-PRF+) on Graft Stability in Dental Implants and Alveolar Ridge Augmentation Procedures: A New Low-Speed Standardized Centrifugation Protocol. Dent. J. 2024, 12, 349. https://doi.org/10.3390/dj12110349
Walch B, Kolk A, Scheibl D, Guarda M, Maier SC, Denk L. The Effect of Advanced Platelet-Rich Fibrin Plus (A-PRF+) on Graft Stability in Dental Implants and Alveolar Ridge Augmentation Procedures: A New Low-Speed Standardized Centrifugation Protocol. Dentistry Journal. 2024; 12(11):349. https://doi.org/10.3390/dj12110349
Chicago/Turabian StyleWalch, Benjamin, Andreas Kolk, Dominik Scheibl, Maria Guarda, Sarah Christine Maier, and Lena Denk. 2024. "The Effect of Advanced Platelet-Rich Fibrin Plus (A-PRF+) on Graft Stability in Dental Implants and Alveolar Ridge Augmentation Procedures: A New Low-Speed Standardized Centrifugation Protocol" Dentistry Journal 12, no. 11: 349. https://doi.org/10.3390/dj12110349
APA StyleWalch, B., Kolk, A., Scheibl, D., Guarda, M., Maier, S. C., & Denk, L. (2024). The Effect of Advanced Platelet-Rich Fibrin Plus (A-PRF+) on Graft Stability in Dental Implants and Alveolar Ridge Augmentation Procedures: A New Low-Speed Standardized Centrifugation Protocol. Dentistry Journal, 12(11), 349. https://doi.org/10.3390/dj12110349

