Salivary Duct Carcinoma with Rhabdoid Features of the Parotid Gland with No E-Cadherin Expression: A Report with Anti-HER2 Therapy and Review of the Literature
Abstract
:1. Introduction
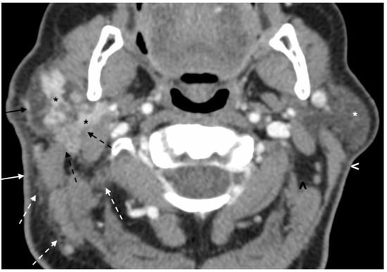
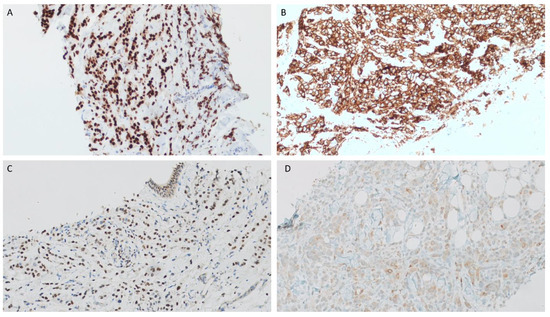
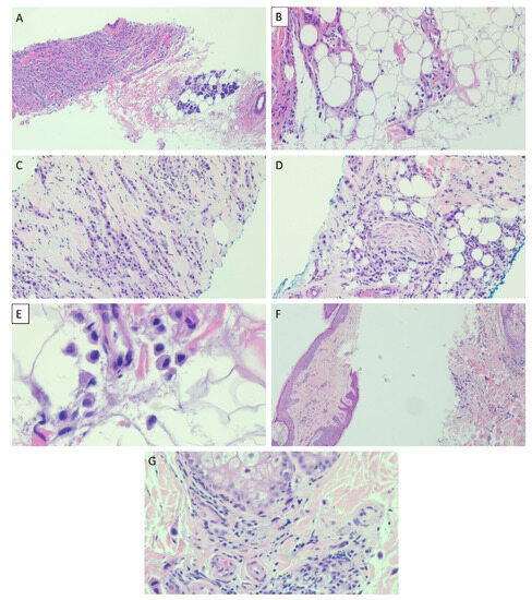
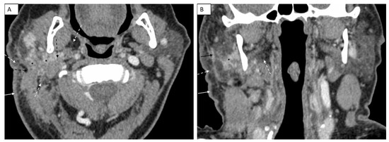
2. Materials and Methods
3. Discussion
4. Conclusions
Author Contributions
Funding
Data Availability Statement
Conflicts of Interest
References
- Kleinsasser, O.; Klein, H.J.; Hubner, G. Salivary duct carcinoma. A group of salivary gland tumors analogous to mammary duct carcinoma. Arch. Klin. Exp. Ohren Nasen Kehlkopfheilkd. 1968, 192, 100–105. [Google Scholar] [CrossRef] [PubMed]
- Lewis, J.E.; McKinney, B.C.; Weiland, L.H.; Ferreiro, J.A.; Olsen, K.D. Salivary duct carcinoma. Clinicopathologic and immunohistochemical review of 26 cases. Cancer 1996, 77, 223–230. [Google Scholar] [CrossRef]
- Henley, J.D.; Seo, I.S.; Dayan, D.; Gnepp, D.R. Sarcomatoid salivary duct carcinoma of the parotid gland. Hum. Pathol. 2000, 31, 208–213. [Google Scholar] [CrossRef] [PubMed]
- Simpson, R.H.; Prasad, A.R.; Lewis, J.E.; Skalova, A.; David, L. Mucin-rich variant of salivary duct carcinoma: A clinicopathologic and immunohistochemical study of four cases. Am. J. Surg. Pathol. 2003, 27, 1070–1079. [Google Scholar] [CrossRef]
- Nagao, T.; Gaffey, T.A.; Visscher, D.W.; Kay, P.A.; Minato, H.; Serizawa, H.; Lewis, J.E. Invasive micropapillary salivary duct carcinoma: A distinct histologic variant with biologic significance. Am. J. Surg. Pathol. 2004, 28, 319–326. [Google Scholar] [CrossRef]
- Sekhri, R.; Ortanca, I.; Boals, C.; Agarwal, S. Salivary duct carcinoma: A case report of oncocytic variant with possible treatment implications and review of literature. Pathol. Res. Pract. 2019, 215, 152549. [Google Scholar] [CrossRef]
- Williams, L.; Thompson, L.D.; Seethala, R.R.; Weinreb, I.; Assaad, A.M.; Tuluc, M.; Ud Din, N.; Purgina, B.; Lai, C.; Griffith, C.C.; et al. Salivary duct carcinoma: The predominance of apocrine morphology, prevalence of histologic variants, and androgen receptor expression. Am. J. Surg. Pathol. 2015, 39, 705–713. [Google Scholar] [CrossRef]
- Kusafuka, K.; Yamada, H.; Ishino, K.; Maeda, M.; Yamanegi, K.; Baba, S.; Ohuchi, T.; Inagaki, H.; Yamamoto, H.; Iwasaki, T.; et al. Salivary Duct Carcinoma With Rhabdoid Features-No or Aberrant Expression of E-cadherin and Genetic Changes in CDH1: Immunohistochemical and Genetic Analyses of 17 Cases. Am. J. Surg. Pathol. 2021, 45, 439–449. [Google Scholar] [CrossRef]
- Otsuru, M.; Aoki, T.; Kondo, Y.; Ota, Y.; Sasaki, M.; Suzuki, T.; Ogura, G.; Kumaki, N. Salivary Duct Carcinoma with Invasive Micropapillary and Rhabdoid Feature Arising in the Submandibular Gland. Tokai J. Exp. Clin. Med. 2017, 42, 30–36. [Google Scholar]
- Akaki, M.; Ishihara, A.; Nagai, K.; Naono, H.; Taguchi, K.; Yamamoto, H.; Tanaka, H.; Kataoka, H. Signet Ring Cell Differentiation in Salivary Duct Carcinoma with Rhabdoid Features: Report of Three Cases and Literature Review. Head Neck Pathol. 2021, 15, 341–351. [Google Scholar] [CrossRef]
- Rooper, L.M.; Gagan, J.; Bishop, J.A. Targeted molecular profiling of salivary duct carcinoma with rhabdoid features highlights parallels to other apocrine and discohesive neoplasms: Which phenotype should drive classification? Head Neck Pathol. 2022, 16, 1063–1072. [Google Scholar] [CrossRef] [PubMed]
- Kusafuka, K.; Onitsuka, T.; Muramatsu, K.; Miki, T.; Murai, C.; Suda, T.; Fuke, T.; Kamijo, T.; Iida, Y.; Nakajima, T. Salivary duct carcinoma with rhabdoid features: Report of 2 cases with immunohistochemical and ultrastructural analyses. Head Neck 2014, 36, E28–E35. [Google Scholar] [CrossRef] [PubMed]
- Kusafuka, K.; Kawasaki, T.; Maeda, M.; Yamanegi, K.; Baba, S.; Ito, Y.; Inagaki, H.; Nakajima, T. Salivary duct carcinoma with rhabdoid features: A salivary counterpart of pleomorphic lobular carcinoma of the breast. Histopathology 2017, 70, 164–173. [Google Scholar] [CrossRef] [PubMed]
- Xiang, M.; Chang, A.J.; Chamie, K.; Drakaki, A.; Pollom, E.L.; Steinberg, M.L.; Kishan, A.U. Trends and Predictors of Hypofractionated and Intensity-Modulated Radiotherapy for Organ Preservation in Bladder Cancer. Clin. Genitourin. Cancer 2022, 20, e94–e103. [Google Scholar] [CrossRef] [PubMed]
- Schwartz, L.E.; Begum, S.; Westra, W.H.; Bishop, J.A. GATA3 immunohistochemical expression in salivary gland neoplasms. Head Neck Pathol. 2013, 7, 311–315. [Google Scholar] [CrossRef]
- Sisto, M.; Ribatti, D.; Lisi, S. E-Cadherin Signaling in Salivary Gland Development and Autoimmunity. J. Clin. Med. 2022, 11, 2241. [Google Scholar] [CrossRef]
- Onder, T.T.; Gupta, P.B.; Mani, S.A.; Yang, J.; Lander, E.S.; Weinberg, R.A. Loss of E-cadherin promotes metastasis via multiple downstream transcriptional pathways. Cancer Res. 2008, 68, 3645–3654. [Google Scholar] [CrossRef]
- Burandt, E.; Lubbersmeyer, F.; Gorbokon, N.; Buscheck, F.; Luebke, A.M.; Menz, A.; Kluth, M.; Hube-Magg, C.; Hinsch, A.; Hoflmayer, D.; et al. E-Cadherin expression in human tumors: A tissue microarray study on 10,851 tumors. Biomark. Res. 2021, 9, 44. [Google Scholar] [CrossRef]
- Kim, Y.; Song, S.; Lee, M.; Swatloski, T.; Kang, J.H.; Ko, Y.H.; Park, W.Y.; Jeong, H.S.; Park, K. Integrative genomic analysis of salivary duct carcinoma. Sci. Rep. 2020, 10, 14995. [Google Scholar] [CrossRef]
- Luk, P.P.; Weston, J.D.; Yu, B.; Selinger, C.I.; Ekmejian, R.; Eviston, T.J.; Lum, T.; Gao, K.; Boyer, M.; O’Toole, S.A.; et al. Salivary duct carcinoma: Clinicopathologic features, morphologic spectrum, and somatic mutations. Head Neck 2016, 38 (Suppl. S1), E1838–E1847. [Google Scholar] [CrossRef]
- Asahina, M.; Saito, T.; Hayashi, T.; Fukumura, Y.; Mitani, K.; Yao, T. Clinicopathological effect of PLAG1 fusion genes in pleomorphic adenoma and carcinoma ex pleomorphic adenoma with special emphasis on histological features. Histopathology 2019, 74, 514–525. [Google Scholar] [CrossRef]
- Skalova, A.; Agaimy, A.; Vanecek, T.; Baneckova, M.; Laco, J.; Ptakova, N.; Steiner, P.; Majewska, H.; Biernat, W.; Corcione, L.; et al. Molecular Profiling of Clear Cell Myoepithelial Carcinoma of Salivary Glands With EWSR1 Rearrangement Identifies Frequent PLAG1 Gene Fusions But No EWSR1 Fusion Transcripts. Am. J. Surg. Pathol. 2021, 45, 1–13. [Google Scholar] [CrossRef]
- Dalin, M.G.; Katabi, N.; Persson, M.; Lee, K.W.; Makarov, V.; Desrichard, A.; Walsh, L.A.; West, L.; Nadeem, Z.; Ramaswami, D.; et al. Multi-dimensional genomic analysis of myoepithelial carcinoma identifies prevalent oncogenic gene fusions. Nat. Commun. 2017, 8, 1197. [Google Scholar] [CrossRef] [PubMed]
- El Hallani, S.; Udager, A.M.; Bell, D.; Fonseca, I.; Thompson, L.D.R.; Assaad, A.; Agaimy, A.; Luvison, A.M.; Miller, C.; Seethala, R.R.; et al. Epithelial-Myoepithelial Carcinoma: Frequent Morphologic and Molecular Evidence of Preexisting Pleomorphic Adenoma, Common HRAS Mutations in PLAG1-intact and HMGA2-intact Cases, and Occasional TP53, FBXW7, and SMARCB1 Alterations in High-grade Cases. Am. J. Surg. Pathol. 2018, 42, 18–27. [Google Scholar] [CrossRef] [PubMed]
- Afshari, M.K.; Fehr, A.; Nevado, P.T.; Andersson, M.K.; Stenman, G. Activation of PLAG1 and HMGA2 by gene fusions involving the transcriptional regulator gene NFIB. Genes Chromosomes Cancer 2020, 59, 652–660. [Google Scholar] [CrossRef] [PubMed]
- Persson, F.; Andren, Y.; Winnes, M.; Wedell, B.; Nordkvist, A.; Gudnadottir, G.; Dahlenfors, R.; Sjogren, H.; Mark, J.; Stenman, G. High-resolution genomic profiling of adenomas and carcinomas of the salivary glands reveals amplification, rearrangement, and fusion of HMGA2. Genes Chromosomes Cancer 2009, 48, 69–82. [Google Scholar] [CrossRef] [PubMed]
- Wasserman, J.K.; Dickson, B.C.; Smith, A.; Swanson, D.; Purgina, B.M.; Weinreb, I. Metastasizing Pleomorphic Adenoma: Recurrent PLAG1/HMGA2 Rearrangements and Identification of a Novel HMGA2-TMTC2 Fusion. Am. J. Surg. Pathol. 2019, 43, 1145–1151. [Google Scholar] [CrossRef] [PubMed]
- Persson, M.; Andren, Y.; Mark, J.; Horlings, H.M.; Persson, F.; Stenman, G. Recurrent fusion of MYB and NFIB transcription factor genes in carcinomas of the breast and head and neck. Proc. Natl. Acad. Sci. USA 2009, 106, 18740–18744. [Google Scholar] [CrossRef] [PubMed]
- Brayer, K.J.; Frerich, C.A.; Kang, H.; Ness, S.A. Recurrent Fusions in MYB and MYBL1 Define a Common, Transcription Factor-Driven Oncogenic Pathway in Salivary Gland Adenoid Cystic Carcinoma. Cancer Discov. 2016, 6, 176–187. [Google Scholar] [CrossRef]
- Nakayama, T.; Miyabe, S.; Okabe, M.; Sakuma, H.; Ijichi, K.; Hasegawa, Y.; Nagatsuka, H.; Shimozato, K.; Inagaki, H. Clinicopathological significance of the CRTC3-MAML2 fusion transcript in mucoepidermoid carcinoma. Mod. Pathol. 2009, 22, 1575–1581. [Google Scholar] [CrossRef]
- Weinreb, I.; Zhang, L.; Tirunagari, L.M.; Sung, Y.S.; Chen, C.L.; Perez-Ordonez, B.; Clarke, B.A.; Skalova, A.; Chiosea, S.I.; Seethala, R.R.; et al. Novel PRKD gene rearrangements and variant fusions in cribriform adenocarcinoma of salivary gland origin. Genes Chromosomes Cancer 2014, 53, 845–856. [Google Scholar] [CrossRef] [PubMed]
- Weinreb, I.; Piscuoglio, S.; Martelotto, L.G.; Waggott, D.; Ng, C.K.; Perez-Ordonez, B.; Harding, N.J.; Alfaro, J.; Chu, K.C.; Viale, A.; et al. Hotspot activating PRKD1 somatic mutations in polymorphous low-grade adenocarcinomas of the salivary glands. Nat. Genet. 2014, 46, 1166–1169. [Google Scholar] [CrossRef]
- Xu, B.; Barbieri, A.L.; Bishop, J.A.; Chiosea, S.I.; Dogan, S.; Di Palma, S.; Faquin, W.C.; Ghossein, R.; Hyrcza, M.; Jo, V.Y.; et al. Histologic Classification and Molecular Signature of Polymorphous Adenocarcinoma (PAC) and Cribriform Adenocarcinoma of Salivary Gland (CASG): An International Interobserver Study. Am. J. Surg. Pathol. 2020, 44, 545–552. [Google Scholar] [CrossRef] [PubMed]
- Freiberger, S.N.; Brada, M.; Fritz, C.; Holler, S.; Vogetseder, A.; Horcic, M.; Bihl, M.; Michal, M.; Lanzer, M.; Wartenberg, M.; et al. SalvGlandDx—A comprehensive salivary gland neoplasm specific next generation sequencing panel to facilitate diagnosis and identify therapeutic targets. Neoplasia 2021, 23, 473–487. [Google Scholar] [CrossRef] [PubMed]
- de Jager, V.D.; de Visscher, S.; Schuuring, E.; Doff, J.J.; van Kempen, L.C. A novel PPP2R2A::PRKD1 fusion in a cribriform adenocarcinoma of salivary gland. Genes Chromosomes Cancer 2023, 62, 297–300. [Google Scholar] [CrossRef]
- Owosho, A.A.; Baker, E.; Wood, C.B.; Jain, R. A novel STRN3::PRKD1 fusion in a cribriform adenocarcinoma of salivary gland with high-grade transformation. Genes Chromosomes Cancer 2023, 62, 624–628. [Google Scholar] [CrossRef]
- Skalova, A.; Vanecek, T.; Sima, R.; Laco, J.; Weinreb, I.; Perez-Ordonez, B.; Starek, I.; Geierova, M.; Simpson, R.H.; Passador-Santos, F.; et al. Mammary analogue secretory carcinoma of salivary glands, containing the ETV6-NTRK3 fusion gene: A hitherto undescribed salivary gland tumor entity. Am. J. Surg. Pathol. 2010, 34, 599–608. [Google Scholar] [CrossRef]
- Skalova, A.; Vanecek, T.; Martinek, P.; Weinreb, I.; Stevens, T.M.; Simpson, R.H.W.; Hyrcza, M.; Rupp, N.J.; Baneckova, M.; Michal, M., Jr.; et al. Molecular Profiling of Mammary Analog Secretory Carcinoma Revealed a Subset of Tumors Harboring a Novel ETV6-RET Translocation: Report of 10 Cases. Am. J. Surg. Pathol. 2018, 42, 234–246. [Google Scholar] [CrossRef]
- Rooper, L.M.; Karantanos, T.; Ning, Y.; Bishop, J.A.; Gordon, S.W.; Kang, H. Salivary Secretory Carcinoma With a Novel ETV6-MET Fusion: Expanding the Molecular Spectrum of a Recently Described Entity. Am. J. Surg. Pathol. 2018, 42, 1121–1126. [Google Scholar] [CrossRef]
- Bishop, J.A.; Weinreb, I.; Swanson, D.; Westra, W.H.; Qureshi, H.S.; Sciubba, J.; MacMillan, C.; Rooper, L.M.; Dickson, B.C. Microsecretory Adenocarcinoma: A Novel Salivary Gland Tumor Characterized by a Recurrent MEF2C-SS18 Fusion. Am. J. Surg. Pathol. 2019, 43, 1023–1032. [Google Scholar] [CrossRef]
- Skalova, A.; Ptakova, N.; Santana, T.; Agaimy, A.; Ihrler, S.; Uro-Coste, E.; Thompson, L.D.R.; Bishop, J.A.; Baneckova, M.; Rupp, N.J.; et al. NCOA4-RET and TRIM27-RET Are Characteristic Gene Fusions in Salivary Intraductal Carcinoma, Including Invasive and Metastatic Tumors: Is “Intraductal” Correct? Am. J. Surg. Pathol. 2019, 43, 1303–1313. [Google Scholar] [CrossRef] [PubMed]
- Bishop, J.A.; Nakaguro, M.; Whaley, R.D.; Ogura, K.; Imai, H.; Laklouk, I.; Faquin, W.C.; Sadow, P.M.; Gagan, J.; Nagao, T. Oncocytic intraductal carcinoma of salivary glands: A distinct variant with TRIM33-RET fusions and BRAF V600E mutations. Histopathology 2021, 79, 338–346. [Google Scholar] [CrossRef] [PubMed]
- Andreasen, S.; Varma, S.; Barasch, N.; Thompson, L.D.R.; Miettinen, M.; Rooper, L.; Stelow, E.B.; Agander, T.K.; Seethala, R.R.; Chiosea, S.I.; et al. The HTN3-MSANTD3 Fusion Gene Defines a Subset of Acinic Cell Carcinoma of the Salivary Gland. Am. J. Surg. Pathol. 2019, 43, 489–496. [Google Scholar] [CrossRef] [PubMed]
- Haller, F.; Skalova, A.; Ihrler, S.; Markl, B.; Bieg, M.; Moskalev, E.A.; Erber, R.; Blank, S.; Winkelmann, C.; Hebele, S.; et al. Nuclear NR4A3 Immunostaining Is a Specific and Sensitive Novel Marker for Acinic Cell Carcinoma of the Salivary Glands. Am. J. Surg. Pathol. 2019, 43, 1264–1272. [Google Scholar] [CrossRef]
- Haller, F.; Bieg, M.; Will, R.; Korner, C.; Weichenhan, D.; Bott, A.; Ishaque, N.; Lutsik, P.; Moskalev, E.A.; Mueller, S.K.; et al. Enhancer hijacking activates oncogenic transcription factor NR4A3 in acinic cell carcinomas of the salivary glands. Nat. Commun. 2019, 10, 368. [Google Scholar] [CrossRef]
- Urano, M.; Nakaguro, M.; Yamamoto, Y.; Hirai, H.; Tanigawa, M.; Saigusa, N.; Shimizu, A.; Tsukahara, K.; Tada, Y.; Sakurai, K.; et al. Diagnostic Significance of HRAS Mutations in Epithelial-Myoepithelial Carcinomas Exhibiting a Broad Histopathologic Spectrum. Am. J. Surg. Pathol. 2019, 43, 984–994. [Google Scholar] [CrossRef]
- Agaimy, A.; Mueller, S.K.; Bumm, K.; Iro, H.; Moskalev, E.A.; Hartmann, A.; Stoehr, R.; Haller, F. Intraductal Papillary Mucinous Neoplasms of Minor Salivary Glands With AKT1 p.Glu17Lys Mutation. Am. J. Surg. Pathol. 2018, 42, 1076–1082. [Google Scholar] [CrossRef]
- Rooper, L.M.; Argyris, P.P.; Thompson, L.D.R.; Gagan, J.; Westra, W.H.; Jordan, R.C.; Koutlas, I.G.; Bishop, J.A. Salivary Mucinous Adenocarcinoma Is a Histologically Diverse Single Entity With Recurrent AKT1 E17K Mutations: Clinicopathologic and Molecular Characterization With Proposal for a Unified Classification. Am. J. Surg. Pathol. 2021, 45, 1337–1347. [Google Scholar] [CrossRef]
- Jo, V.Y.; Sholl, L.M.; Krane, J.F. Distinctive Patterns of CTNNB1 (beta-Catenin) Alterations in Salivary Gland Basal Cell Adenoma and Basal Cell Adenocarcinoma. Am. J. Surg. Pathol. 2016, 40, 1143–1150. [Google Scholar] [CrossRef]
- Lee, Y.H.; Huang, W.C.; Hsieh, M.S. CTNNB1 mutations in basal cell adenoma of the salivary gland. J. Formos. Med. Assoc. 2018, 117, 894–901. [Google Scholar] [CrossRef]
- Hsieh, M.S.; Bishop, J.A.; Wang, Y.P.; Poh, C.F.; Cheng, Y.L.; Lee, Y.H.; Jin, Y.T.; Chang, J.Y.F. Salivary Sialadenoma Papilliferum Consists of Two Morphologically, Immunophenotypically, and Genetically Distinct Subtypes. Head Neck Pathol. 2020, 14, 489–496. [Google Scholar] [CrossRef] [PubMed]
- Chen, S.; Peng, J.; Yuan, C.; Sun, L.; Zhang, R.; Sun, Y. Sialadenoma papilliferum: Clinicopathologic, Immunohistochemical, molecular analyses of new five cases and review of the literature. Diagn. Pathol. 2021, 16, 22. [Google Scholar] [CrossRef] [PubMed]
- Owosho, A.A.; Shasteen, A.M.; Aguirre, S.E.; Summersgill, K.F. Clinicopathologic Study of Sialadenoma Papilliferum of the Minor Salivary Glands: A Series of 8 New Cases With BRAF V600E Mutation-specific Immunohistochemical Analysis. Int. J. Surg. Pathol. 2023, 1–8. [Google Scholar] [CrossRef]
- Boon, E.; van Boxtel, W.; Buter, J.; Baatenburg de Jong, R.J.; van Es, R.J.J.; Bel, M.; Fiets, E.; Oosting, S.F.; Slingerland, M.; Hoeben, A.; et al. Androgen deprivation therapy for androgen receptor-positive advanced salivary duct carcinoma: A nationwide case series of 35 patients in The Netherlands. Head Neck 2018, 40, 605–613. [Google Scholar] [CrossRef] [PubMed]
- Sousa, L.G.; Wang, K.; Torman, D.; Binks, B.J.; Rubin, M.L.; Andersen, C.R.; Lewis, W.E.; Rivera, M.J.; Kaya, D.; El-Naggar, A.K.; et al. Treatment patterns and outcomes of palliative systemic therapy in patients with salivary duct carcinoma and adenocarcinoma, not otherwise specified. Cancer 2022, 128, 509–518. [Google Scholar] [CrossRef] [PubMed]
- Kawakita, D.; Nagao, T.; Takahashi, H.; Kano, S.; Honma, Y.; Hirai, H.; Saigusa, N.; Akazawa, K.; Tani, K.; Ojiri, H.; et al. Survival benefit of HER2-targeted or androgen deprivation therapy in salivary duct carcinoma. Ther. Adv. Med. Oncol. 2022, 14, 1–17. [Google Scholar] [CrossRef]






| Author | Age | Sex | Site | AR | E-Cadherin | GCDFP | HER2 | Treatment | Follow-Up | Outcome |
|---|---|---|---|---|---|---|---|---|---|---|
| Kusafuka et al. [8] | 44 | M | Parotid | + | Total Loss | + | + | Surgery, RT | 21 | DOD |
| 66 | M | SMG | + | D Cyt | + | − | Surgery | 26 | DOD | |
| 39 | M | Parotid | + | Total Loss | + | + | Surgery, CRT | 15 | NED | |
| 73 | M | Parotid | + | D | + | + | Surgery | NA | LTFU | |
| 75 | M | Parotid | + | Total Loss | + | + | RT | NA | DOD | |
| 36 | M | Parotid | + | D | + | + | Surgery | 78 | NED | |
| 83 | M | SMG | + | Total Loss | + | − | Surgery | NA | LTFU | |
| 85 | F | Parotid | + | D | + | + | Surgery, RT | NA | DOD | |
| 81 | M | SMG | + | D | + | + | Surgery | NA | DOD | |
| 68 | F | Parotid | + | D | + | + | Surgery | NA | NED | |
| 78 | F | SMG | + | Total Loss | + | + | Surgery | NA | NED | |
| 71 | M | Unknown | + | D Cyt | + | + | Surgery | NA | DOC | |
| 54 | M | SMG | + | Total Loss | + | − | Surgery | NA | DOD | |
| 82 | M | Parotid | − | Total Loss | − | + | Surgery | NA | DOD | |
| 81 | M | Parotid | + | Total Loss | + | + | Surgery, RT | NA | LTFU | |
| 63 | F | Parotid | + | Total Loss | + | + | Surgery, RT | NA | NED | |
| 62 | M | Parotid | + | Total Loss | + | + | Surgery, CRT | NA | AWD | |
| Otsuru et al. [9] | 82 | M | SMG | + | ND | + | + | Surgery, CRT | 12 | DOD |
| Akaki et al. [10] | 60 | M | Parotid | + | D | + | − | Surgery | 79 | LTFU |
| 82 | M | Parotid | + | D | + | + | Surgery | 60 | LTFU | |
| 76 | M | Parotid | + | D | + | + | CRT | 10 | DOD | |
| Rooper et al. [11] | 65 | M | Parotid | + | Total Loss | + | NA | Surgery, CRT | 48 | DOD |
| 63 | M | Parotid | + | Total Loss | + | NA | Surgery, CRT | 20 | DOD | |
| 78 | M | Parotid | + | Total Loss | + | NA | Surgery, CRT | 5 | NED | |
| 66 | M | Parotid | + | D Cyt | + | NA | Surgery, CRT | 10 | DOD | |
| 75 | M | Parotid | + | + | + | NA | NA | NA | LTFU | |
| 83 | M | Parotid | + | Total Loss | + | NA | NA | NA | LTFU | |
| 67 | M | Parotid | + | + | + | NA | NA | NA | LTFU | |
| 67 | M | SMG | + | Total Loss | + | NA | Surgery, CRT | 6 | NED | |
| 75 | F | Buccal | + | Total Loss | + | NA | NA | NA | LTFU | |
| This case | 73 | M | Parotid | + | Total Loss | + | + | Anti-Her2 | 21 | Locoregional control |
Disclaimer/Publisher’s Note: The statements, opinions and data contained in all publications are solely those of the individual author(s) and contributor(s) and not of MDPI and/or the editor(s). MDPI and/or the editor(s) disclaim responsibility for any injury to people or property resulting from any ideas, methods, instructions or products referred to in the content. |
© 2023 by the authors. Licensee MDPI, Basel, Switzerland. This article is an open access article distributed under the terms and conditions of the Creative Commons Attribution (CC BY) license (https://creativecommons.org/licenses/by/4.0/).
Share and Cite
Jain, R.; Sansoni, E.R.; Angel, J.; Gleysteen, J.P.; Hayes, D.N.; Owosho, A.A. Salivary Duct Carcinoma with Rhabdoid Features of the Parotid Gland with No E-Cadherin Expression: A Report with Anti-HER2 Therapy and Review of the Literature. Dent. J. 2023, 11, 229. https://doi.org/10.3390/dj11100229
Jain R, Sansoni ER, Angel J, Gleysteen JP, Hayes DN, Owosho AA. Salivary Duct Carcinoma with Rhabdoid Features of the Parotid Gland with No E-Cadherin Expression: A Report with Anti-HER2 Therapy and Review of the Literature. Dentistry Journal. 2023; 11(10):229. https://doi.org/10.3390/dj11100229
Chicago/Turabian StyleJain, Richa, E. Ritter Sansoni, Jacqueline Angel, John P. Gleysteen, D. Neil Hayes, and Adepitan A. Owosho. 2023. "Salivary Duct Carcinoma with Rhabdoid Features of the Parotid Gland with No E-Cadherin Expression: A Report with Anti-HER2 Therapy and Review of the Literature" Dentistry Journal 11, no. 10: 229. https://doi.org/10.3390/dj11100229
APA StyleJain, R., Sansoni, E. R., Angel, J., Gleysteen, J. P., Hayes, D. N., & Owosho, A. A. (2023). Salivary Duct Carcinoma with Rhabdoid Features of the Parotid Gland with No E-Cadherin Expression: A Report with Anti-HER2 Therapy and Review of the Literature. Dentistry Journal, 11(10), 229. https://doi.org/10.3390/dj11100229

