Genotyping of Whipple’s Disease Presenting as Sclerosing Mesenteritis: A Case Report
Abstract
Introduction
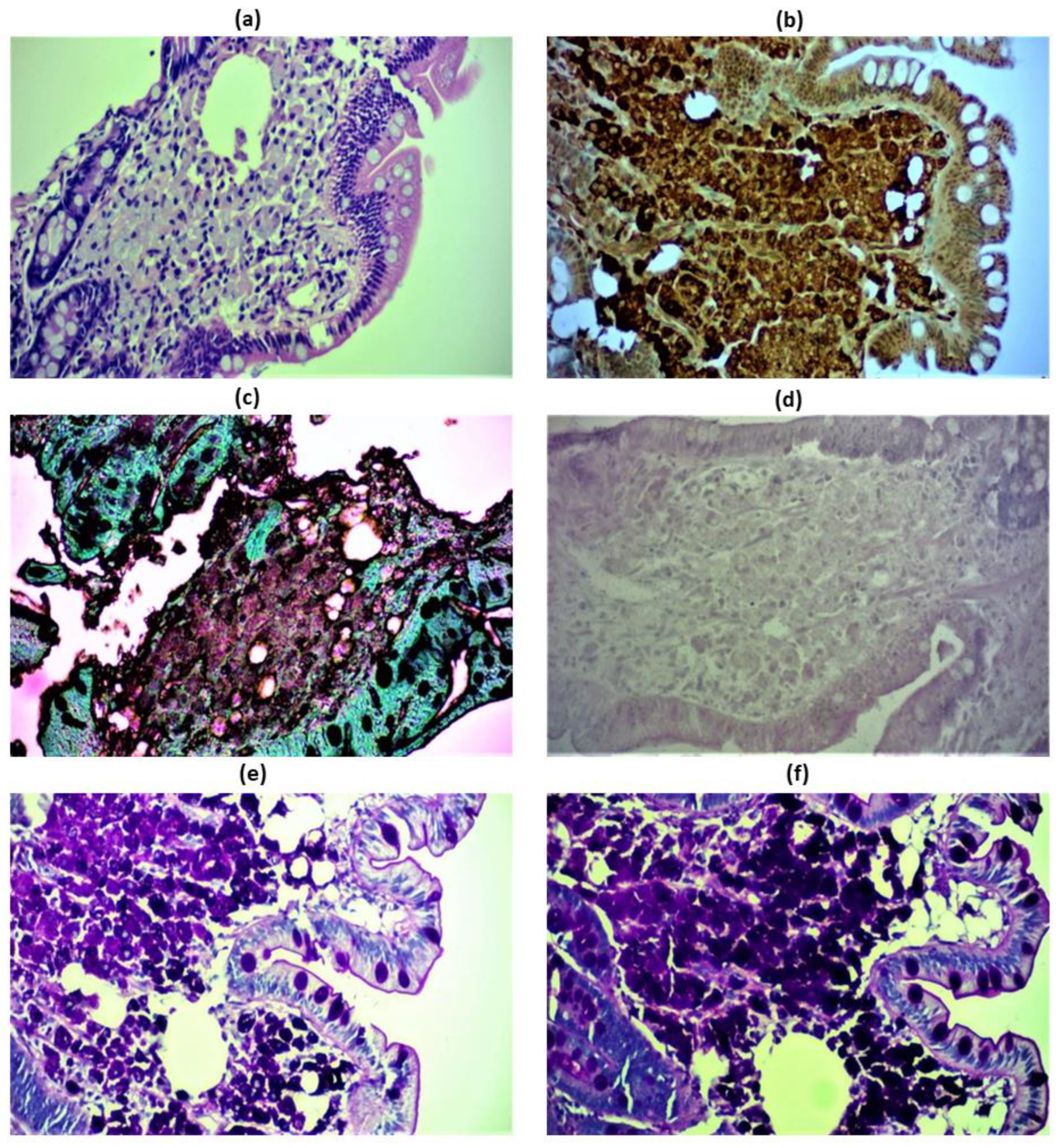
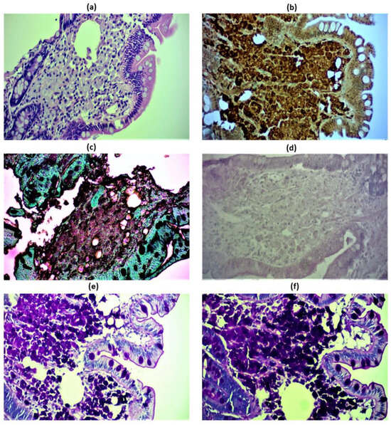
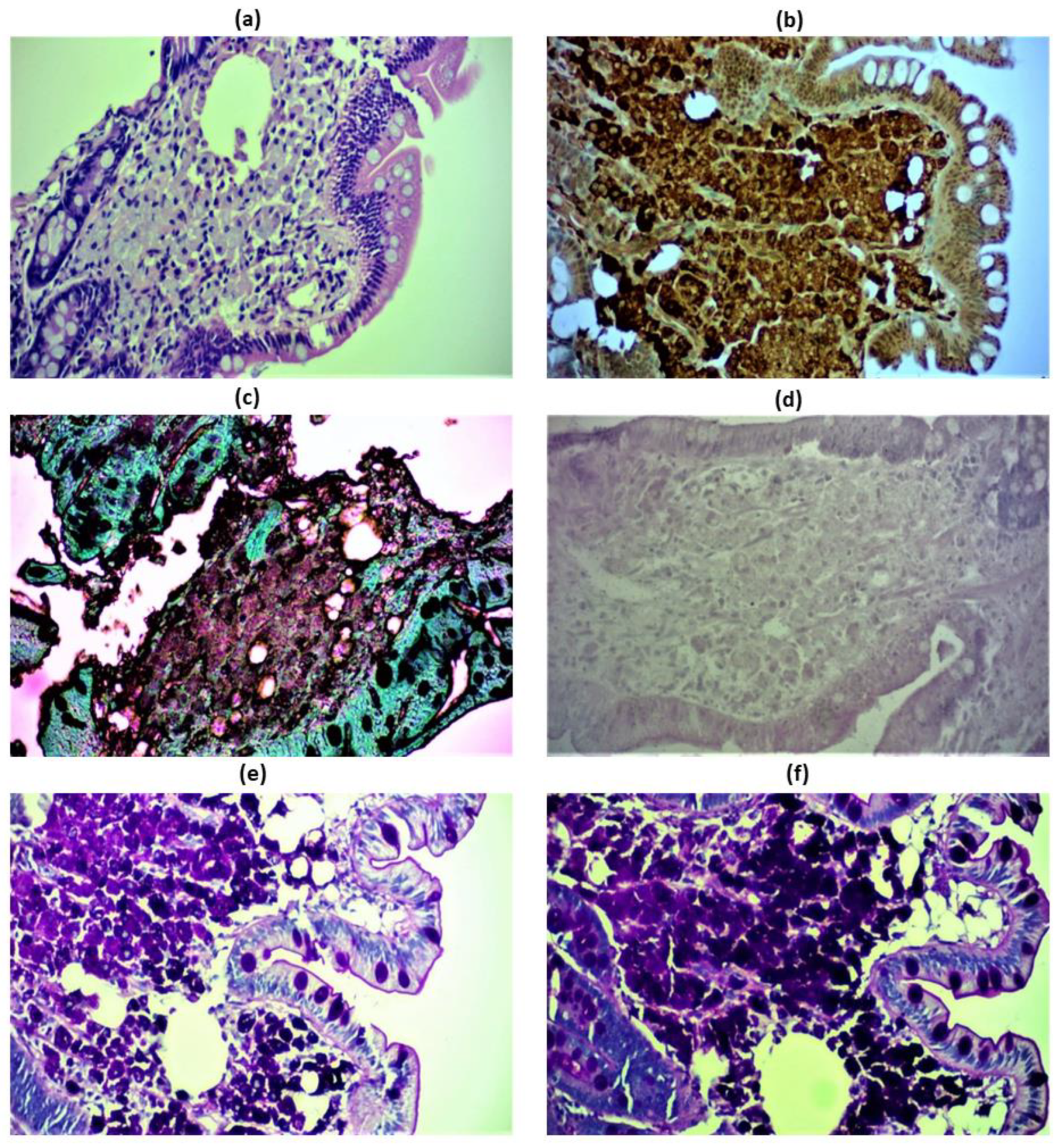
Case report
Discussion
Conclusions
Author Contributions
Funding
Conflicts of interest
Consent
References
- Marth, T.; Moos, V.; Müller, C.; Biagi, F.; Schneider, T. Tropheryma whipplei infection and Whipple’s disease. Lancet Infect Dis. 2016, 16, e13–e22. [Google Scholar] [CrossRef] [PubMed]
- Lagier, J.C.; Fenollar, F.; Raoult, D. Acute infections caused by Tropheryma whipplei. Future Microbiol. 2017, 12, 247–254. [Google Scholar] [CrossRef] [PubMed]
- Keita, A.K.; Raoult, D.; Fenollar, F. Tropheryma whipplei as a commensal bacterium. Future Microbiol. 2013, 8, 57–71. [Google Scholar] [CrossRef] [PubMed]
- Fenollar, F.; Marth, T.; Lagier, J.C.; Angelakis, E.; Raoult, D. Sewage workers with low antibody responses may be colonized successively by several Tropheryma whipplei strains. Int J Infect Dis. 2015, 35, 51–55. [Google Scholar] [CrossRef] [PubMed]
- Makka, S.; Papadogiannaki, I.; Voulgari-Kokota, A.; Georgakopoulou, T.; Koutantou, M.; Angelakis, E. Tropheryma whipplei intestinal colonization in migrant children, Greece. Emerg Infect Dis. 2022, 28, 1926–1928. [Google Scholar] [CrossRef] [PubMed]
- Angelakis, E.; Fenollar, F.; Lepidi, H.; Birg, M.L.; Raoult, D. Tropheryma whipplei in the skin of patients with classic Whipple’s disease. J Infect. 2010, 61, 266–269. [Google Scholar] [CrossRef] [PubMed]
- Li, W.; Fenollar, F.; Rolain, J.M.; et al. Genotyping reveals a wide heterogeneity of Tropheryma whipplei. Microbiology (Reading) 2008, 154 Pt 2, 521–527. [Google Scholar] [CrossRef] [PubMed]
- Fenollar, F.; Trape, J.F.; Bassene, H.; Sokhna, C.; Raoult, D. Tropheryma whipplei in fecal samples from children, Senegal. Emerg Infect Dis. 2009, 15, 922–924. [Google Scholar] [CrossRef] [PubMed]
- Keita, A.K.; Bassene, H.; Tall, A.; et al. Tropheryma whipplei: A common bacterium in rural Senegal. PLoS Negl Trop Dis. 2011, 5, e1403. [Google Scholar] [CrossRef] [PubMed]
- Lagier, J.C.; Fenollar, F.; Lepidi, H.; Raoult, D. Evidence of lifetime susceptibility to Tropheryma whipplei in patients with Whipple’s disease. J Antimicrob Chemother. 2011, 66, 1188–1189. [Google Scholar] [CrossRef] [PubMed]



© GERMS 2023.
Share and Cite
Kalfoutzou, A.; Makka, S.; Stivarou, T.; Koutantou, M.; Kelidi, P.; Papanikolaou, M.; Chaleplidis, N.; Tekedis, C.; Mostratou, E.; Angelakis, E.; et al. Genotyping of Whipple’s Disease Presenting as Sclerosing Mesenteritis: A Case Report. GERMS 2023, 13, 183-187. https://doi.org/10.18683/germs.2023.1383
Kalfoutzou A, Makka S, Stivarou T, Koutantou M, Kelidi P, Papanikolaou M, Chaleplidis N, Tekedis C, Mostratou E, Angelakis E, et al. Genotyping of Whipple’s Disease Presenting as Sclerosing Mesenteritis: A Case Report. GERMS. 2023; 13(2):183-187. https://doi.org/10.18683/germs.2023.1383
Chicago/Turabian StyleKalfoutzou, Areti, Sofia Makka, Theodora Stivarou, Myrto Koutantou, Panagiota Kelidi, Maria Papanikolaou, Nikolaos Chaleplidis, Christos Tekedis, Eleni Mostratou, Emmanouil Angelakis, and et al. 2023. "Genotyping of Whipple’s Disease Presenting as Sclerosing Mesenteritis: A Case Report" GERMS 13, no. 2: 183-187. https://doi.org/10.18683/germs.2023.1383
APA StyleKalfoutzou, A., Makka, S., Stivarou, T., Koutantou, M., Kelidi, P., Papanikolaou, M., Chaleplidis, N., Tekedis, C., Mostratou, E., Angelakis, E., & Petrikkos, P. (2023). Genotyping of Whipple’s Disease Presenting as Sclerosing Mesenteritis: A Case Report. GERMS, 13(2), 183-187. https://doi.org/10.18683/germs.2023.1383
 
        
