Scarring Alopecias: Pathology and an Update on Digital Developments
Abstract
1. Introduction
2. Cicatricial Alopecias
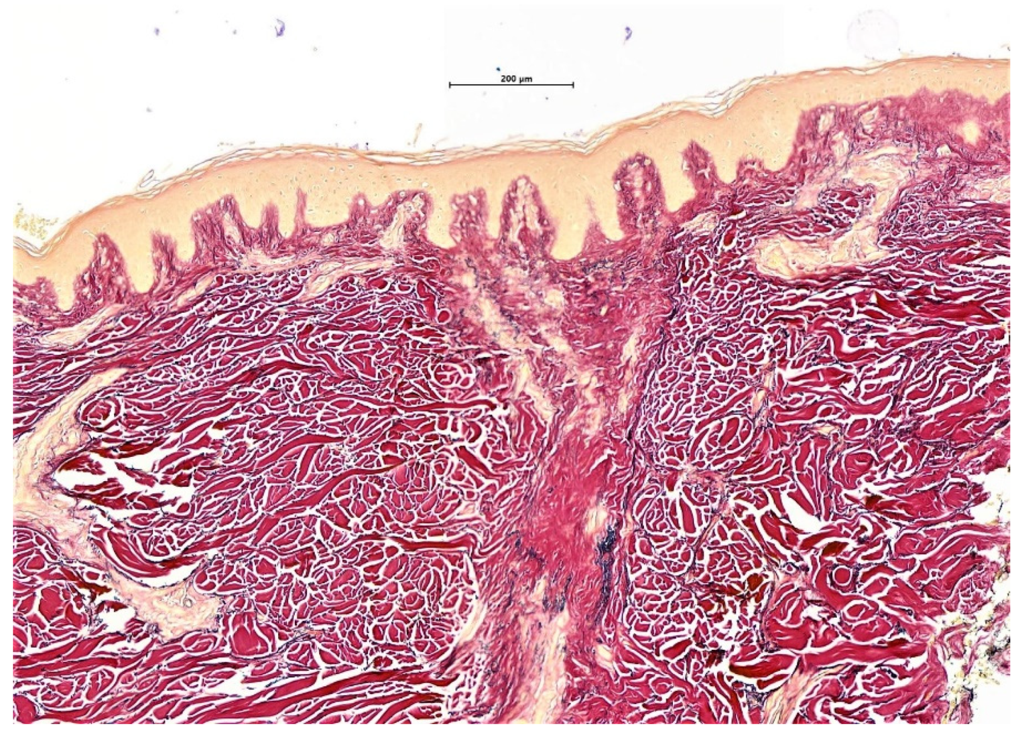
3. Scalp Biopsy, Site Selection and Optimizing Sample Quality
4. Sample Processing and Pathology Reporting
5. PCA Classification (and Its Limitations)
5.1. PCA Pathobiology
5.2. Epithelial HF Stem Cell Damage
5.3. Bulge Immune Privilege Collapse
5.4. Epithelial-Mesenchymal Transition
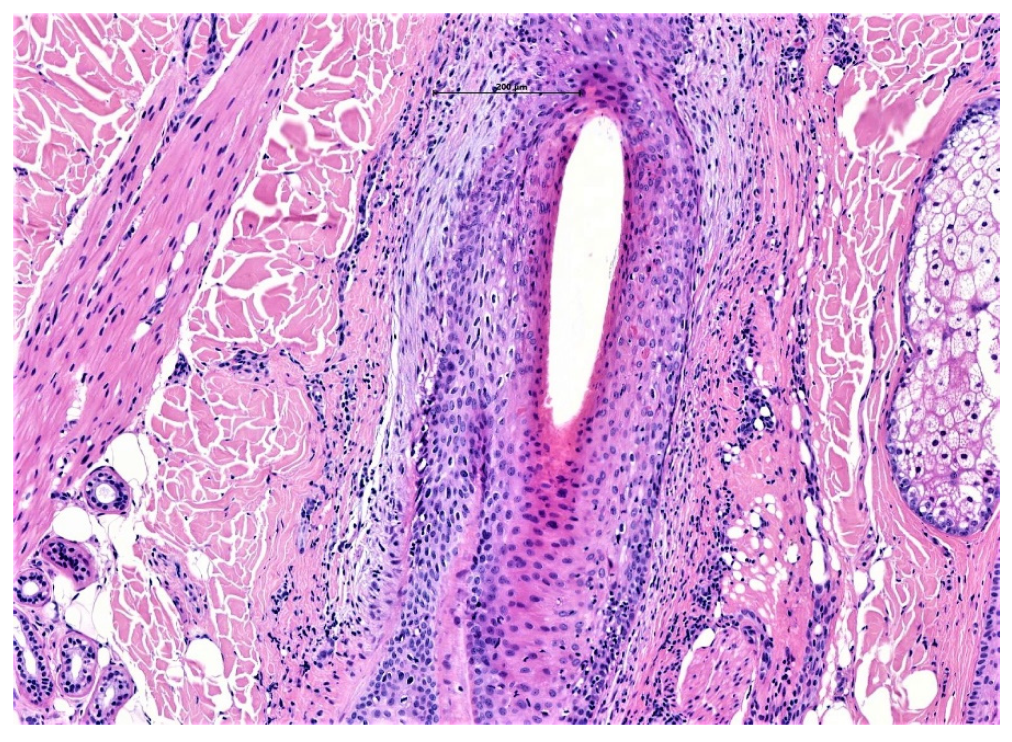
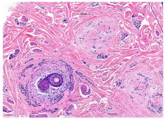
6. Histopathology of PCAs
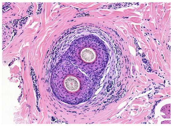
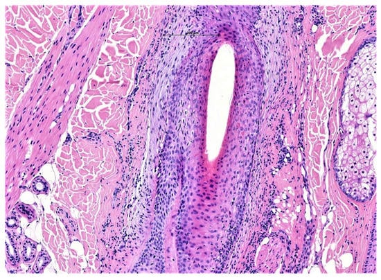
6.1. Lichen Planopilaris
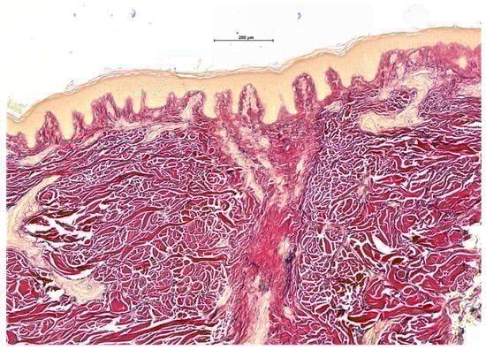
6.2. Chronic Cutaneous Lupus Erythematous
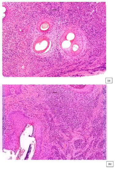
6.3. Central Centrifugal Cicatricial Alopecia
6.4. Classic Pseudopelade (Brocq)
6.5. Folliculitis Decalvans
7. Role of CPC
8. Digital Pathology—A Promising Frontier
9. Digital Pathology and Hair Loss
10. Artificial Intelligence Interfaces
Artificial Intelligence and Hair Diseases
11. Conclusions
Funding
Acknowledgments
Conflicts of Interest
References
- Stefanato, C.M. Histopathology of alopecia: A clinicopathological approach to diagnosis. Histopathology 2010, 56, 24–38. [Google Scholar] [CrossRef] [PubMed]
- Stefanato, C.M. Histopathologic diagnosis of alopecia: Clues and pitfalls in the follicular microcosmos. Diagn. Histopathol. 2020, 26, 114. [Google Scholar] [CrossRef]
- Nanda, S.; Bedout, D.V.; Miteva, M. Alopecia as a systemic disease. Clin. Dermatol. 2019, 37, 618–628. [Google Scholar] [CrossRef] [PubMed]
- Kolivras, A.; Thompson, C. Primary scalp alopecia: New histopathological tools, new concepts and a practical guide to diagnosis. J. Cutan Pathol. 2017, 44, 53–69. [Google Scholar] [CrossRef]
- Tan, E.; Martinka, M.; Ball, N.; Shapiro, J. Primary cicatricial alopecias: Clinicopathology of 112 cases. J. Am. Acad. Dermatol. 2004, 50, 25–32. [Google Scholar] [CrossRef]
- Miteva, M.; Tosti, A. Dermoscopy guided scalp biopsy in cicatricial alopecia. J. Eur. Acad. Dermatol. Venereol. 2013, 27, 1299–1303. [Google Scholar] [CrossRef]
- Harries, M.J.; Trueb, R.M.; Tosti, A.; Messenger, A.G.; Chaudhry, I.; Whiting, D.A.; Sinclair, R.; Griffiths, C.E.; Paus, R. How not to get scar(r)ed: Pointers to the correct diagnosis in patients with suspected primary cicatricial alopecia. Br. J. Dermatol. 2009, 160, 482–501. [Google Scholar] [CrossRef]
- Wain, E.M.; Stefanato, C.M. Four millimetres: A variable measurement? Br. J. Dermatol. 2007, 156, 404. [Google Scholar] [CrossRef]
- Elston, D.M.; McCollough, M.L.; Angeloni, V.L. Vertical and transverse sections of alopecia biopsy specimens: Combining the two to maximize diagnostic yield. J. Am. Acad. Dermatol. 1995, 32, 454–457. [Google Scholar] [CrossRef]
- Sinclair, R.; Jolley, D.; Mallari, R.; Magee, J. The reliability of horizontally sectioned scalp biopsies in the diagnosis of chronic diffuse telogen hair loss in women. J. Am. Acad. Dermatol. 2004, 51, 189–199. [Google Scholar] [CrossRef]
- Elston, D.M.; Ferringer, T.; Dalton, S.; Fillman, E.; Tyler, W. A comparison of vertical versus transverse sections in the evaluation of alopecia biopsy specimens. J. Am. Acad. Dermatol. 2005, 53, 267–272. [Google Scholar] [CrossRef]
- Fung, M.A.; Sharon, V.R.; Ratnarathorn, M.; Konia, T.H.; Barr, K.L.; Mirmirani, P. Elastin staining patterns in primary cicatricial alopecia. J. Am. Acad. Dermatol. 2013, 69, 776–782. [Google Scholar] [CrossRef]
- Elston, D.M.; McCollough, M.L.; Warschaw, K.E.; Bergfeld, W.F. Elastic tissue in scars and alopecia. J. Cutan. Pathol. 2000, 27, 147–152. [Google Scholar] [CrossRef] [PubMed]
- Sugai, S.A.; Gerbase, A.B.; Cernea, S.S.; Sotto, M.N.; Oliveira, Z.N.; Vilela, M.A.; Rivitti, E.A.; Miyauchi, L.M.; Sampaio, S.A. Cutaneous lupus erythematosus: Direct immunofluorescence and epidermal basal membrane study. Int. J. Dermatol. 1992, 31, 260–264. [Google Scholar] [CrossRef]
- Elbendary, A.; Valdebran, M.; Gad, A.; Elston, D.M. When to suspect tinea; a histopathologic study of 103 cases of PAS-positive tinea. J. Cutan. Pathol. 2016, 43, 852–857. [Google Scholar] [CrossRef]
- Miteva, M.; Tosti, A. Pathologic diagnosis of central centrifugal cicatricial alopecia on horizontal sections. Am. J. Dermatol. 2014, 36, 859–867. [Google Scholar] [CrossRef]
- Olsen, E.A.; Bergfeld, W.F.; Cotsarelis, G.; Price, V.H.; Shapiro, J.; Sinclair, R.; Solomon, A.; Sperling, L.; Stenn, K.; Whiting, D.A.; et al. Summary of North American Hair Research Society (NAHRS)-sponsored Workshop on Cicatricial Alopecia, Duke University Medical Center, February 10 and 11, 2001. J. Am. Acad. Dermatol. 2003, 48, 103–110. [Google Scholar] [CrossRef]
- Yip, L.; Barrett, T.H.; Harries, M.J. Folliculitis decalvans and lichen planopilaris phenotypic spectrum: A case series of biphasic clinical presentation and theories on pathogenesis. Clin. Exp. Dermatol. 2020, 45, 63–72. [Google Scholar] [CrossRef]
- Sperling, L.C. Scarring alopecia and the dermatopathologist. J. Cutan. Pathol. 2001, 28, 333–342. [Google Scholar] [CrossRef]
- Whiting, D.A. Cicatricial alopecia: Clinico-pathological findings and treatment. Clin. Dermatol. 2001, 19, 211–225. [Google Scholar] [CrossRef]
- Sperling, L.C.; Solomon, A.R.; Whiting, D.A. A new look at scarring alopecia. Arch. Dermatol. 2000, 136, 235–242. [Google Scholar] [CrossRef]
- Galvez-Canseco, A.; Sperling, L. Lichen planopilaris and frontal fibrosing alopecia cannot be differentiated by histopathology. J. Cutan. Pathol. 2018, 45, 313–317. [Google Scholar] [CrossRef]
- Mirmirani, P.; Willey, A.; Headington, J.T.; Stenn, K.; McCalmont, T.H.; Price, V.H. Primary cicatricial alopecia: Histopathologic findings do not distinguish clinical variants. J. Am. Acad. Dermatol. 2005, 52, 637–643. [Google Scholar] [CrossRef]
- Harries, M.J.; Jimenez, F.; Izeta, A.; Hardman, J.; Panicker, S.P.; Poblet, E.; Paus, R. Lichen Planopilaris and Frontal Fibrosing Alopecia as Model Epithelial Stem Cell Diseases. Trends Mol. Med. 2018, 24, 435–448. [Google Scholar] [CrossRef]
- Harries, M.J.; Paus, R. The pathogenesis of primary cicatricial alopecias. Am. J. Pathol. 2010, 177, 2152–2162. [Google Scholar] [CrossRef]
- Harries, M.J.; Meyer, K.; Chaudhry, I.; Kloepper, J.E.; Poblet, E.; Griffiths, C.E.; Paus, R. Lichen planopilaris is characterized by immune privilege collapse of the hair follicle’s epithelial stem cell niche. J. Pathol. 2013, 231, 236–247. [Google Scholar] [CrossRef]
- Tziotzios, C.; Petridis, C.; Dand, N.; Ainali, C.; Saklatvala, J.R.; Pullabhatla, V.; Onoufriadis, A.; Pramanik, R.; Baudry, D.; Lee, S.H.; et al. Genome-wide association study in frontal fibrosing alopecia identifies four susceptibility loci including HLA-B*07:02. Nat. Commun. 2019, 10, 1150. [Google Scholar] [CrossRef] [PubMed]
- Constantinou, A.; Polak-Witka, K.; Tomazou, M.; Oulas, A.; Kanti, V.; Schwarzer, R.; Helmuth, J.; Edelmann, A.; Blume-Peytavi, U.; Spyrou, G.M.; et al. Dysbiosis and Enhanced Beta-Defensin Production in Hair Follicles of Patients with Lichen Planopilaris and Frontal Fibrosing Alopecia. Biomedicines 2021, 9, 266. [Google Scholar] [CrossRef]
- Ito, M.; Liu, Y.; Yang, Z.; Nguyen, J.; Liang, F.; Morris, R.J.; Cotsarelis, G. Stem cells in the hair follicle bulge contribute to wound repair but not to homeostasis of the epidermis. Nat. Med. 2005, 11, 1351–1354. [Google Scholar] [CrossRef]
- Paus, R.; Nickoloff, B.J.; Ito, T. A ‘hairy’ privilege. Trends Immunol. 2005, 26, 32–40. [Google Scholar] [CrossRef]
- Meyer, K.C.; Klatte, J.E.; Dinh, H.V.; Harries, M.J.; Reithmayer, K.; Meyer, W.; Sinclair, R.; Paus, R. Evidence that the bulge region is a site of relative immune privilege in human hair follicles. Br. J. Dermatol. 2008, 159, 1077–1085. [Google Scholar] [CrossRef]
- Harries, M.J.; Meyer, K.C.; Chaudhry, I.H.; Griffiths, C.E.; Paus, R. Does collapse of immune privilege in the hair-follicle bulge play a role in the pathogenesis of primary cicatricial alopecia? Clin. Exp. Dermatol. 2010, 35, 637–644. [Google Scholar] [CrossRef]
- Nakamura, M. Tokura, Y. Epithelial-mesenchymal transition in the skin. J. Dermatol. Sci. 2011, 61, 7–13. [Google Scholar] [CrossRef] [PubMed]
- Imanishi, H.; Ansell, D.M.; Chéret, J.; Harries, M.; Bertolini, M.; Sepp, N.; Bíró, T.; Poblet, E.; Jimenez, F.; Hardman, J.; et al. Epithelial-to-Mesenchymal Stem Cell Transition in a Human Organ: Lessons from Lichen Planopilaris. J. Investig. Dermatol. 2018, 138, 511–519. [Google Scholar] [CrossRef] [PubMed]
- Harries, M.; Imanishi, H.; Paus, R. Fibrosis and stem cell epithelial-mesenchymal transition in primary cicatricial alopecias. J. Am. Acad. Dermatol. 2019, 80, e165–e166. [Google Scholar] [CrossRef]
- Solé, C.; Gimenez-Barcons, M.; Ferrer, B.; Ordi-Ros, J.; Cortés-Hernández, J. Microarray study reveals a transforming growth factor-beta-dependent mechanism of fibrosis in discoid lupus erythematosus. Br. J. Dermatol. 2016, 175, 302–313. [Google Scholar] [CrossRef]
- Miteva, M.; Torres, F.; Tosti, A. The ‘eyes’ or ‘goggles’ as a clue to the histopathological diagnosis of primary lymphocytic cicatricial alopecia. Br. J. Dermatol. 2012, 166, 454–455. [Google Scholar] [CrossRef] [PubMed]
- Mirmirani, P.; Tosti, A.; Goldberg, L.; Whiting, D.; Sotoodian, B. Frontal Fibrosing Alopecia: An Emerging Epidemic. Skin Appendage Disord. 2019, 5, 90–93. [Google Scholar] [CrossRef]
- Chieregato, C.; Zini, A.; Barba, A.; Magnanini, M.; Rosina, P. Lichen planopilaris: Report of 30 cases and review of the literature. Int. J. Dermatol. 2003, 42, 342–345. [Google Scholar] [CrossRef] [PubMed]
- Wong, D.; Goldberg, L.J. The depth of inflammation in frontal fibrosing alopecia and lichen planopilaris: A potential distinguishing feature. J. Am. Acad. Dermatol. 2017, 76, 1183–1184. [Google Scholar] [CrossRef][Green Version]
- Poblet, E.; Jiménez, F.; Pascual, A.; Piqué, E. Frontal fibrosing alopecia versus lichen planopilaris: A clinicopathological study. Int. J. Dermatol. 2006, 45, 375–380. [Google Scholar] [CrossRef] [PubMed]
- Lacarrubba, F.; Micali, G.; Tosti, A. Absence of vellus hair in the hairline: A videodermatoscopic feature of frontal fibrosing alopecia. Br. J. Dermatol. 2013, 169, 473–474. [Google Scholar] [CrossRef]
- Miteva, M.; Tosti, A. The follicular triad: A pathological clue to the diagnosis of early frontal fibrosing alopecia. Br. J. Dermatol. 2012, 166, 440–442. [Google Scholar] [CrossRef] [PubMed]
- Harries, M.; Hardman, J.; Chaudhry, I.; Poblet, E.; Paus, R. Profiling the human hair follicle immune system in lichen planopilaris and frontal fibrosing alopecia: Can macrophage polarization differentiate these two conditions microscopically? Br. J. Dermatol. 2019, 183, 537–547. [Google Scholar] [CrossRef] [PubMed]
- Sellheyer, K.; Bergfeld, W.F. Histopathologic evaluation of alopecias. Am. J. Dermatol. 2006, 28, 236–259. [Google Scholar] [CrossRef]
- Vera-Recabarren, M.A.; García-Carrasco, M.; Ramos-Casals, M.; Herrero, C. Comparative analysis of subacute cutaneous lupus erythematosus and chronic cutaneous lupus erythematosus: Clinical and immunological study of 270 patients. Br. J. Dermatol. 2010, 162, 91–101. [Google Scholar] [CrossRef]
- Trüeb, R.M. Involvement of scalp and nails in lupus erythematosus. Lupus 2010, 19, 1078–1086. [Google Scholar] [CrossRef]
- Elston, D.M.; Stratman, E.J.; Miller, S.J. Skin biopsy: Biopsy issues in specific diseases. J. Am. Acad. Dermatol. 2016, 74, 1–16. [Google Scholar] [CrossRef]
- Chung, H.J.; Goldberg, L.J. Histologic features of chronic cutaneous lupus erythematosus of the scalp using horizontal sectioning: Emphasis on follicular findings. J. Am. Acad. Dermatol. 2017, 77, 349–355. [Google Scholar] [CrossRef]
- Tan, T.; Guitart, J.; Gerami, P.; Yazdan, P. Premature Desquamation of the Inner Root Sheath in Noninflamed Hair Follicles as a Specific Marker for Central Centrifugal Cicatricial Alopecia. Am. J. Dermatol. 2019, 41, 350–354. [Google Scholar] [CrossRef]
- Braun-Falco, O.; Imai, S.; Schmoeckel, C.; Steger, O.; Bergner, T. Pseudopelade of Brocq. Dermatologica 1986, 172, 18–23. [Google Scholar] [CrossRef] [PubMed]
- Amato, L.; Mei, S.; Massi, D.; Gallerani, I.; Fabbri, P. Alopecia; a dermatopathologic and immunopathologic study of 33 patients (pseudopelade of Brocq is not a specific clinico-pathologic entity). Int. J. Dermatol. 2002, 41, 8–15. [Google Scholar] [CrossRef] [PubMed]
- Wu, W.Y.; Otberg, N.; McElwee, K.J.; Shapiro, J. Diagnosis and management of primary cicatricial alopecia: Part II. Skinmed 2008, 7, 78–83. [Google Scholar] [CrossRef]
- Matard, B.; Donay, J.L.; Resche-Rigon, M.; Tristan, A.; Farhi, D.; Rousseau, C.; Mercier-Delarue, S.; Cavelier-Balloy, B.; Assouly, P.; Petit, A.; et al. Folliculitis decalvans is characterized by a persistent, abnormal subepidermal microbiota. Exp. Dermatol. 2020, 29, 295–298. [Google Scholar] [CrossRef]
- Matard, B.; Meylheuc, T.; Briandet, R.; Casin, I.; Assouly, P.; Cavelier-Balloy, B.; Reygagne, P. First evidence of bacterial biofilms in the anaerobe part of scalp hair follicles: A pilot comparative study in folliculitis decalvans. J. Eur. Acad. Dermatol. Venereol. 2013, 27, 853–860. [Google Scholar] [CrossRef]
- Asfour, L.; Trautt, E.; Harries, M.J. Folliculitis Decalvans in the Era of Antibiotic Resistance: Microbiology and Antibiotic Sensitivities in a Tertiary Hair Clinic. Int. J. Trichol. 2020, 12, 193–194. [Google Scholar] [CrossRef]
- Goacher, E.; Randell, R.; Williams, B.; Treanor, D. The Diagnostic Concordance of Whole Slide Imaging and Light Microscopy: A Systematic Review. Arch. Pathol. Lab. Med. 2017, 141, 151–161. [Google Scholar] [CrossRef] [PubMed]
- Williams, B.J.; DaCosta, P.; Goacher, E.; Treanor, D. A Systematic Analysis of Discordant Diagnoses in Digital Pathology Compared With Light Microscopy. Arch. Pathol. Lab. Med. 2017, 141, 1712–1718. [Google Scholar] [CrossRef]
- Abels, E.; Pantanowitz, L.; Aeffner, F.; Zarella, M.D.; van der Laak, J.; Bui, M.M.; Vemuri, V.N.; Parwani, A.V.; Gibbs, J.; Agosto-Arroyo, E.; et al. Computational pathology definitions, best practices, and recommendations for regulatory guidance: A white paper from the Digital Pathology Association. J. Pathol. 2019, 249, 286–294. [Google Scholar] [CrossRef]
- Pantanowitz, L.; Sharma, A.; Carter, A.B.; Kurc, T.; Sussman, A.; Saltz, J. Twenty Years of Digital Pathology: An Overview of the Road Travelled, What is on the Horizon, and the Emergence of Vendor-Neutral Archives. J. Pathol. Inf. 2018, 9, 40. [Google Scholar] [CrossRef]
- Cummins, D.; Chaudhrey, I.H.; Harries, M. Clinicopathological correlation of hair disorders in practice: A retrospective study in a U.K. tertiary specialist centre (BH01). Br. J. Dermatol. 2020, 183, 88. [Google Scholar]
- Cornish, T.C. Clinical Application of Image Analysis in Pathology. Adv. Anat. Pathol. 2020, 27, 227–235. [Google Scholar] [CrossRef] [PubMed]








| Inflammatory Infiltrate | Clinical Features | Histological Findings |
|---|---|---|
| Lymphocytic | ||
| Chronic cutaneous lupus erythematosus | Erythematous scaly plaques with follicular plugging associated with hyperpigmentation and/or hypopigmentation |
|
Lichen planopilaris (LPP)
|
|
|
| Classic pseudopelade (Brocq) | Skin-coloured scarred plaques “footprints in the snow” with minimal follicular hyperkeratosis and erythema |
|
| Central centrifugal cicatricial alopecia | Slowly progressive expanding patch of scarring on the crown or vertex that progresses centrifugally |
|
| Alopecia mucinosa | Grouped follicular papules, patches, and/or boggy erythematous plaques, most commonly on the head and neck |
|
| Keratosis follicularis spinulosa decalvans | Noninflammatory, follicular keratotic papules and pustules with progressive hair loss affecting scalp/eyebrows/eyelashes |
|
| Neutrophilic | ||
| Folliculitis decalvans | Erythematous follicular papules, pustules and patches associated with follicular hyperkeratosis and tufted folliculitis |
|
| Dissecting cellulitis/folliculitis (perifolliculitis capitis abscedens et suffodiens) | Boggy, suppurative nodules, abscesses and sinus tracts on the vertex and posterior scalp |
|
| Mixed | ||
| Acne keloidalis nuchae | Grouped follicular papules, pustules and plaques on the occipital scalp and nape of the neck with varying degrees of inflammation |
|
| Acne necrotica | Umbilicated, erythematous follicular papules and pustules that undergo central necrosis and resolve with varioliform scars |
|
| Erosive pustular dermatosis | Pustules, erosions and crusted plaques on elderly scalps |
|
| LPP | CCLE | CCCA | FD | |
|---|---|---|---|---|
| Epidermis and hair follicle epithelium | Sparing of interfollicular epidermis | Interfollicular epidermal changes (follicular plugging, vacuolar alteration and atrophy) | Eccentric atrophy of the follicular epithelium | Flattened and “squamatisation of hair follicle epithelium surrounded by a zone of fibroplasia and inflammation |
| Inflammation | Perifollicular infiltrates (predominately lymphocytic although histiocytes also occur) with sparing of deep vascular plexus and adnexal structures | Superficial and deep lymphocytic infiltrate involving eccrine glands | Variably dense lymphocytic perifollicular inflammation, primarily at the level of the upper isthmus and lower infundibulum | Predominantly neutrophils, with a component of both lymphocytes and plasma cells at varying depths |
| Mucin | Perifollicular | Interfollicular dermal mucin deposition | Perifollicular | Perifollicular |
| DIF | Non- specific globular IgM in Civatte bodies | Linear deposition of IgG, IgM, and C3 at the dermal–epidermal junction and follicular epithelial dermal junction | Negative | Negative |
| Elastic tissue staining | Loss of elastic tissue and the elastic sheath in a superficial wedge-shaped scar | Broad scar throughout the dermis and destruction of the elastic sheath surrounding the fibrous tracts | Hyalinization of the dermis with increased and thickened elastic fibres. Broad fibrous tracts with preserved elastic sheath | Superficial wedge-shaped scar with late diffuse dermal scar/fibrosis |
| Distinguishing features | Peri-follicular infundibular lichenoid (band-like) inflammation and apoptotic bodies | Vacuolar interface change Dermal mucin Thickened basement membrane | PDRIS found in early disease and normal appearing scalp | Polytrichia and hair shaft granulomas as a predominant feature |
Publisher’s Note: MDPI stays neutral with regard to jurisdictional claims in published maps and institutional affiliations. |
© 2021 by the authors. Licensee MDPI, Basel, Switzerland. This article is an open access article distributed under the terms and conditions of the Creative Commons Attribution (CC BY) license (https://creativecommons.org/licenses/by/4.0/).
Share and Cite
Cummins, D.M.; Chaudhry, I.H.; Harries, M. Scarring Alopecias: Pathology and an Update on Digital Developments. Biomedicines 2021, 9, 1755. https://doi.org/10.3390/biomedicines9121755
Cummins DM, Chaudhry IH, Harries M. Scarring Alopecias: Pathology and an Update on Digital Developments. Biomedicines. 2021; 9(12):1755. https://doi.org/10.3390/biomedicines9121755
Chicago/Turabian StyleCummins, Donna M., Iskander H. Chaudhry, and Matthew Harries. 2021. "Scarring Alopecias: Pathology and an Update on Digital Developments" Biomedicines 9, no. 12: 1755. https://doi.org/10.3390/biomedicines9121755
APA StyleCummins, D. M., Chaudhry, I. H., & Harries, M. (2021). Scarring Alopecias: Pathology and an Update on Digital Developments. Biomedicines, 9(12), 1755. https://doi.org/10.3390/biomedicines9121755
