Glucocorticoid Receptor (GR) Expression in Human Tumors: A Tissue Microarray Study on More than 14,000 Tumors
Abstract
1. Introduction
2. Materials and Methods
2.1. Tissue Microarrays (TMAs)
2.2. Immunohistochemistry (IHC)
2.3. Statistics
3. Results
3.1. Technical Issues
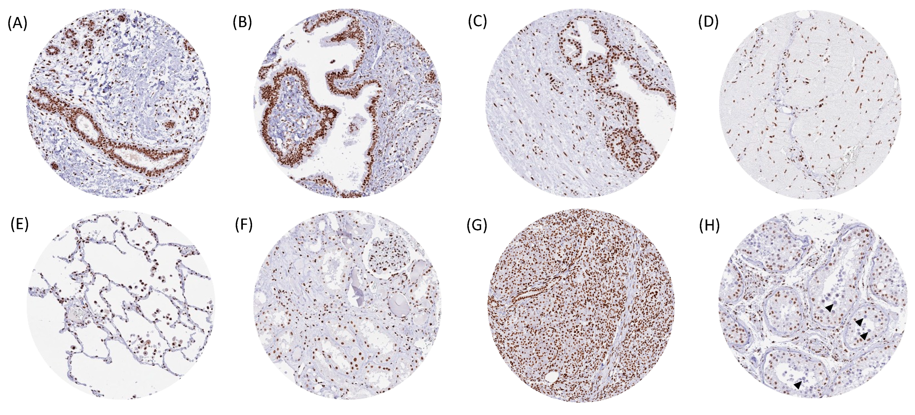
3.2. Glucocorticoid Receptor Immunostaining in Normal Tissues
3.3. Glucocorticoid Receptor Immunostaining in Neoplastic Tissues
4. Discussion
5. Conclusions
Supplementary Materials
Author Contributions
Funding
Institutional Review Board Statement
Informed Consent Statement
Data Availability Statement
Acknowledgments
Conflicts of Interest
References
- Hollenberg, S.M.; Weinberger, C.; Ong, E.S.; Cerelli, G.; Oro, A.; Lebo, R.; Thompson, E.B.; Rosenfeld, M.G.; Evans, R.M. Primary structure and expression of a functional human glucocorticoid receptor cDNA. Nature 1985, 318, 635–641. [Google Scholar] [CrossRef] [PubMed]
- Theriault, A.; Boyd, E.; Harrap, S.B.; Hollenberg, S.M.; Connor, J.M. Regional chromosomal assignment of the human glucocorticoid receptor gene to 5q31. Hum. Genet. 1989, 83, 289–291. [Google Scholar] [CrossRef] [PubMed]
- Germain, P.; Staels, B.; Dacquet, C.; Spedding, M.; Laudet, V. Overview of nomenclature of nuclear receptors. Pharmacol. Rev. 2006, 58, 685–704. [Google Scholar] [CrossRef] [PubMed]
- Munck, A.; Brinck-Johnsen, T. Specific and nonspecific physicochemical interactions of glucocorticoids and related steroids with rat thymus cells in vitro. J. Biol. Chem. 1968, 243, 5556–5565. [Google Scholar]
- Fadel, L.; Dacic, M.; Fonda, V.; Sokolsky, B.A.; Quagliarini, F.; Rogatsky, I.; Uhlenhaut, N.H. Modulating glucocorticoid receptor actions in physiology and pathology: Insights from coregulators. Pharmacol. Ther. 2023, 251, 108531. [Google Scholar] [CrossRef]
- Weikum, E.R.; Knuesel, M.T.; Ortlund, E.A.; Yamamoto, K.R. Glucocorticoid receptor control of transcription: Precision and plasticity via allostery. Nat. Rev. Mol. Cell Biol. 2017, 18, 159–174. [Google Scholar] [CrossRef]
- Lesovaya, E.A.; Chudakova, D.; Baida, G.; Zhidkova, E.M.; Kirsanov, K.I.; Yakubovskaya, M.G.; Budunova, I.V. The long winding road to the safer glucocorticoid receptor (GR) targeting therapies. Oncotarget 2022, 13, 408–424. [Google Scholar] [CrossRef]
- Mayayo-Peralta, I.; Zwart, W.; Prekovic, S. Duality of glucocorticoid action in cancer: Tumor-suppressor or oncogene? Endocr. Relat. Cancer 2021, 28, R157–R171. [Google Scholar] [CrossRef]
- Pan, D.; Kocherginsky, M.; Conzen, S.D. Activation of the glucocorticoid receptor is associated with poor prognosis in estrogen receptor-negative breast cancer. Cancer Res. 2011, 71, 6360–6370. [Google Scholar] [CrossRef]
- West, D.C.; Pan, D.; Tonsing-Carter, E.Y.; Hernandez, K.M.; Pierce, C.F.; Styke, S.C.; Bowie, K.R.; Garcia, T.I.; Kocherginsky, M.; Conzen, S.D. GR and ER Coactivation Alters the Expression of Differentiation Genes and Associates with Improved ER+ Breast Cancer Outcome. Mol. Cancer Res. 2016, 14, 707–719. [Google Scholar] [CrossRef]
- Abduljabbar, R.; Negm, O.H.; Lai, C.F.; Jerjees, D.A.; Al-Kaabi, M.; Hamed, M.R.; Tighe, P.J.; Buluwela, L.; Mukherjee, A.; Green, A.R.; et al. Clinical and biological significance of glucocorticoid receptor (GR) expression in breast cancer. Breast Cancer Res. Treat. 2015, 150, 335–346. [Google Scholar] [CrossRef] [PubMed]
- Skor, M.N.; Wonder, E.L.; Kocherginsky, M.; Goyal, A.; Hall, B.A.; Cai, Y.; Conzen, S.D. Glucocorticoid receptor antagonism as a novel therapy for triple-negative breast cancer. Clin. Cancer Res. 2013, 19, 6163–6172. [Google Scholar] [CrossRef] [PubMed]
- Yano, A.; Fujii, Y.; Iwai, A.; Kawakami, S.; Kageyama, Y.; Kihara, K. Glucocorticoids suppress tumor lymphangiogenesis of prostate cancer cells. Clin. Cancer Res. 2006, 12, 6012–6017. [Google Scholar] [CrossRef] [PubMed]
- Yemelyanov, A.; Czwornog, J.; Chebotaev, D.; Karseladze, A.; Kulevitch, E.; Yang, X.; Budunova, I. Tumor suppressor activity of glucocorticoid receptor in the prostate. Oncogene 2007, 26, 1885–1896. [Google Scholar] [CrossRef]
- Isikbay, M.; Otto, K.; Kregel, S.; Kach, J.; Cai, Y.; Vander Griend, D.J.; Conzen, S.D.; Szmulewitz, R.Z. Glucocorticoid receptor activity contributes to resistance to androgen-targeted therapy in prostate cancer. Horm. Cancer 2014, 5, 72–89. [Google Scholar] [CrossRef]
- Kroon, J.; Puhr, M.; Buijs, J.T.; van der Horst, G.; Hemmer, D.M.; Marijt, K.A.; Hwang, M.S.; Masood, M.; Grimm, S.; Storm, G.; et al. Glucocorticoid receptor antagonism reverts docetaxel resistance in human prostate cancer. Endocr. Relat. Cancer 2016, 23, 35–45. [Google Scholar] [CrossRef]
- Zhidkova, E.M.; Lylova, E.S.; Savinkova, A.V.; Mertsalov, S.A.; Kirsanov, K.I.; Belitsky, G.A.; Yakubovskaya, M.G.; Lesovaya, E.A. A Brief Overview of the Paradoxical Role of Glucocorticoids in Breast Cancer. Breast Cancer 2020, 14, 1178223420974667. [Google Scholar] [CrossRef]
- Arora, V.K.; Schenkein, E.; Murali, R.; Subudhi, S.K.; Wongvipat, J.; Balbas, M.D.; Shah, N.; Cai, L.; Efstathiou, E.; Logothetis, C.; et al. Glucocorticoid receptor confers resistance to antiandrogens by bypassing androgen receptor blockade. Cell 2013, 155, 1309–1322. [Google Scholar] [CrossRef]
- Shah, N.; Wang, P.; Wongvipat, J.; Karthaus, W.R.; Abida, W.; Armenia, J.; Rockowitz, S.; Drier, Y.; Bernstein, B.E.; Long, H.W.; et al. Regulation of the glucocorticoid receptor via a BET-dependent enhancer drives antiandrogen resistance in prostate cancer. eLife 2017, 6, e27861. [Google Scholar] [CrossRef]
- Al-Alem, U.; Mahmoud, A.M.; Batai, K.; Shah-Williams, E.; Gann, P.H.; Kittles, R.; Rauscher, G.H. Genetic Variation and Immunohistochemical Localization of the Glucocorticoid Receptor in Breast Cancer Cases from the Breast Cancer Care in Chicago Cohort. Cancers 2021, 13, 2261. [Google Scholar] [CrossRef]
- Alyusuf, R.; Wazir, J.F.; Brahmi, U.P.; Fakhro, A.R.; Bakhiet, M. The Immunoexpression of Glucocorticoid Receptors in Breast Carcinomas, Lactational Change, and Normal Breast Epithelium and Its Possible Role in Mammary Carcinogenesis. Int. J. Breast Cancer 2017, 2017, 1403054. [Google Scholar] [CrossRef] [PubMed]
- Baker, G.M.; Murphy, T.; Block, T.; Nguyen, D.; Lynch, F.J. Development and validation of an immunohistochemistry assay to assess glucocorticoid receptor expression for clinical trials of mifepristone in breast cancer. Cancer Manag. Res. 2015, 7, 361–368. [Google Scholar] [CrossRef] [PubMed]
- Belova, L.; Delgado, B.; Kocherginsky, M.; Melhem, A.; Olopade, O.I.; Conzen, S.D. Glucocorticoid receptor expression in breast cancer associates with older patient age. Breast Cancer Res. Treat. 2009, 116, 441–447. [Google Scholar] [CrossRef] [PubMed]
- Block, T.S.; Murphy, T.I.; Munster, P.N.; Nguyen, D.P.; Lynch, F.J. Glucocorticoid receptor expression in 20 solid tumor types using immunohistochemistry assay. Cancer Manag. Res. 2017, 9, 65–72. [Google Scholar] [CrossRef]
- Buxant, F.; Engohan-Aloghe, C.; Noel, J.C. Estrogen receptor, progesterone receptor, and glucocorticoid receptor expression in normal breast tissue, breast in situ carcinoma, and invasive breast cancer. Appl. Immunohistochem. Mol. Morphol. 2010, 18, 254–257. [Google Scholar] [CrossRef]
- Cai, M.; McNamara, K.; Yamazaki, Y.; Harada, N.; Miyashita, M.; Tada, H.; Ishida, T.; Sasano, H. The role of mineralocorticoids and glucocorticoids under the impact of 11beta-hydroxysteroid dehydrogenase in human breast lesions. Med. Mol. Morphol. 2022, 55, 110–122. [Google Scholar] [CrossRef]
- Catteau, X.; Simon, P.; Buxant, F.; Noel, J.C. Expression of the glucocorticoid receptor in breast cancer-associated fibroblasts. Mol. Clin. Oncol. 2016, 5, 372–376. [Google Scholar] [CrossRef]
- Conde, I.; Paniagua, R.; Fraile, B.; Lucio, J.; Arenas, M.I. Glucocorticoid receptor changes its cellular location with breast cancer development. Histol. Histopathol. 2008, 23, 77–85. [Google Scholar] [CrossRef]
- Garcia, X.; Elia, A.; Galizzi, L.; May, M.; Spengler, E.; Martinez Vazquez, P.; Burruchaga, J.; Gass, H.; Lanari, C.; Lamb, C.A. Increased androgen receptor expression in estrogen receptor-positive/progesterone receptor-negative breast cancer. Breast Cancer Res. Treat. 2020, 180, 257–263. [Google Scholar] [CrossRef]
- Jaaskelainen, A.; Jukkola, A.; Haapasaari, K.M.; Auvinen, P.; Soini, Y.; Karihtala, P. Cytoplasmic Mineralocorticoid Receptor Expression Predicts Dismal Local Relapse-Free Survival in Non-Triple-Negative Breast Cancer. Anticancer. Res. 2019, 39, 5879–5890. [Google Scholar] [CrossRef]
- Kanai, A.; McNamara, K.M.; Iwabuchi, E.; Miki, Y.; Onodera, Y.; Guestini, F.; Khalid, F.; Sagara, Y.; Ohi, Y.; Rai, Y.; et al. Significance of glucocorticoid signaling in triple-negative breast cancer patients: A newly revealed interaction with androgen signaling. Breast Cancer Res. Treat. 2020, 180, 97–110. [Google Scholar] [CrossRef] [PubMed]
- Lien, H.C.; Lu, Y.S.; Cheng, A.L.; Chang, W.C.; Jeng, Y.M.; Kuo, Y.H.; Huang, C.S.; Chang, K.J.; Yao, Y.T. Differential expression of glucocorticoid receptor in human breast tissues and related neoplasms. J. Pathol. 2006, 209, 317–327. [Google Scholar] [CrossRef] [PubMed]
- Lu, Y.S.; Lien, H.C.; Yeh, P.Y.; Yeh, K.H.; Kuo, M.L.; Kuo, S.H.; Cheng, A.L. Effects of glucocorticoids on the growth and chemosensitivity of carcinoma cells are heterogeneous and require high concentration of functional glucocorticoid receptors. World J. Gastroenterol. 2005, 11, 6373–6380. [Google Scholar] [CrossRef] [PubMed]
- McNamara, K.M.; Guestini, F.; Sauer, T.; Touma, J.; Bukholm, I.R.; Lindstrom, J.C.; Sasano, H.; Geisler, J. In breast cancer subtypes steroid sulfatase (STS) is associated with less aggressive tumour characteristics. Br. J. Cancer 2018, 118, 1208–1216. [Google Scholar] [CrossRef]
- Nanda, R.; Stringer-Reasor, E.M.; Saha, P.; Kocherginsky, M.; Gibson, J.; Libao, B.; Hoffman, P.C.; Obeid, E.; Merkel, D.E.; Khramtsova, G.; et al. A randomized phase I trial of nanoparticle albumin-bound paclitaxel with or without mifepristone for advanced breast cancer. Springerplus 2016, 5, 947. [Google Scholar] [CrossRef]
- Prabhu, J.S.; Patil, S.; Rajarajan, S.; Ce, A.; Nair, M.; Alexander, A.; Ramesh, R.; Bs, S.; Sridhar, T. Triple-negative breast cancers with expression of glucocorticoid receptor in immune cells show better prognosis. Ann. Oncol. 2021, 32, S35. [Google Scholar] [CrossRef]
- Mohler, J.L.; Chen, Y.; Hamil, K.; Hall, S.H.; Cidlowski, J.A.; Wilson, E.M.; French, F.S.; Sar, M. Androgen and glucocorticoid receptors in the stroma and epithelium of prostatic hyperplasia and carcinoma. Clin. Cancer Res. 1996, 2, 889–895. [Google Scholar]
- Nishimura, K.; Nonomura, N.; Satoh, E.; Harada, Y.; Nakayama, M.; Tokizane, T.; Fukui, T.; Ono, Y.; Inoue, H.; Shin, M.; et al. Potential mechanism for the effects of dexamethasone on growth of androgen-independent prostate cancer. J. Natl. Cancer Inst. 2001, 93, 1739–1746. [Google Scholar] [CrossRef]
- Szmulewitz, R.Z.; Chung, E.; Al-Ahmadie, H.; Daniel, S.; Kocherginsky, M.; Razmaria, A.; Zagaja, G.P.; Brendler, C.B.; Stadler, W.M.; Conzen, S.D. Serum/glucocorticoid-regulated kinase 1 expression in primary human prostate cancers. Prostate 2012, 72, 157–164. [Google Scholar] [CrossRef]
- Deng, Y.; Xia, X.; Zhao, Y.; Zhao, Z.; Martinez, C.; Yin, W.; Yao, J.; Hang, Q.; Wu, W.; Zhang, J.; et al. Glucocorticoid receptor regulates PD-L1 and MHC-I in pancreatic cancer cells to promote immune evasion and immunotherapy resistance. Nat. Commun. 2021, 12, 7041. [Google Scholar] [CrossRef]
- Lien, H.C.; Lu, Y.S.; Shun, C.T.; Yao, Y.T.; Chang, W.C.; Cheng, A.L. Differential expression of glucocorticoid receptor in carcinomas of the human digestive system. Histopathology 2008, 52, 314–324. [Google Scholar] [CrossRef] [PubMed]
- Norman, J.; Franz, M.; Schiro, R.; Nicosia, S.; Docs, J.; Fabri, P.J.; Gower, W.R., Jr. Functional glucocorticoid receptor modulates pancreatic carcinoma growth through an autocrine loop. J. Surg. Res. 1994, 57, 33–38. [Google Scholar] [CrossRef] [PubMed]
- Kaiser, U.; Hofmann, J.; Schilli, M.; Wegmann, B.; Klotz, U.; Wedel, S.; Virmani, A.K.; Wollmer, E.; Branscheid, D.; Gazdar, A.F.; et al. Steroid-hormone receptors in cell lines and tumor biopsies of human lung cancer. Int. J. Cancer 1996, 67, 357–364. [Google Scholar] [CrossRef]
- Kakiuchi-Kiyota, S.; Lappin, P.B.; Heintz, C.; Brown, P.W.; Pinho, F.O.; Ryan, A.M.; Mathialagan, N. Expression of proto-oncogene cFMS protein in lung, breast, and ovarian cancers. Appl. Immunohistochem. Mol. Morphol. 2014, 22, 188–199. [Google Scholar] [CrossRef] [PubMed]
- Lu, Y.S.; Lien, H.C.; Yeh, P.Y.; Kuo, S.H.; Chang, W.C.; Kuo, M.L.; Cheng, A.L. Glucocorticoid receptor expression in advanced non-small cell lung cancer: Clinicopathological correlation and in vitro effect of glucocorticoid on cell growth and chemosensitivity. Lung Cancer 2006, 53, 303–310. [Google Scholar] [CrossRef]
- Patki, M.; McFall, T.; Rosati, R.; Huang, Y.; Malysa, A.; Polin, L.; Fielder, A.; Wilson, M.R.; Lonardo, F.; Back, J.; et al. Chronic p27(Kip1) Induction by Dexamethasone Causes Senescence Phenotype and Permanent Cell Cycle Blockade in Lung Adenocarcinoma Cells Over-expressing Glucocorticoid Receptor. Sci. Rep. 2018, 8, 16006. [Google Scholar] [CrossRef]
- Sasaki, T.; Nakamura, Y.; Hata, S.; Shimada, H. The GR-SGK1-NDRG1 Pathway as a Predictor of Recurrence and Prognosis in Lung Adenocarcinoma After Radical Surgery. Anticancer. Res. 2023, 43, 2965–2974. [Google Scholar] [CrossRef]
- Theocharis, S.; Kouraklis, G.; Margeli, A.; Agapitos, E.; Ninos, S.; Karatzas, G.; Koutselinis, A. Glucocorticoid receptor (GR) immunohistochemical expression is correlated with cell cycle-related molecules in human colon cancer. Dig. Dis. Sci. 2003, 48, 1745–1750. [Google Scholar] [CrossRef]
- Kononen, J.; Bubendorf, L.; Kallioniemi, A.; Barlund, M.; Schraml, P.; Leighton, S.; Torhorst, J.; Mihatsch, M.J.; Sauter, G.; Kallioniemi, O.P. Tissue microarrays for high-throughput molecular profiling of tumor specimens. Nat. Med. 1998, 4, 844–847. [Google Scholar] [CrossRef]
- Wu, K.; Liu, Z.; Liang, J.; Zhang, F.; Zhang, F.; Wang, Y.; Lia, T.; Liu, S.; Zhu, Y.; Li, X. Expression of glucocorticoid receptor (GR) and clinical significance in adrenocortical carcinoma. Front. Endocrinol. 2022, 13, 903824. [Google Scholar] [CrossRef]
- Veneris, J.T.; Darcy, K.M.; Mhawech-Fauceglia, P.; Tian, C.; Lengyel, E.; Lastra, R.R.; Pejovic, T.; Conzen, S.D.; Fleming, G.F. High glucocorticoid receptor expression predicts short progression-free survival in ovarian cancer. Gynecol. Oncol. 2017, 146, 153–160. [Google Scholar] [CrossRef] [PubMed]
- Mitani, Y.; Lin, S.H.; Pytynia, K.B.; Ferrarotto, R.; El-Naggar, A.K. Reciprocal and Autonomous Glucocorticoid and Androgen Receptor Activation in Salivary Duct Carcinoma. Clin. Cancer Res. 2020, 26, 1175–1184. [Google Scholar] [CrossRef] [PubMed]
- Ueki, S.; Fujishima, F.; Kumagai, T.; Ishida, H.; Okamoto, H.; Takaya, K.; Sato, C.; Taniyma, Y.; Kamei, T.; Sasano, H. GR, Sgk1, and NDRG1 in esophageal squamous cell carcinoma: Their correlation with therapeutic outcome of neoadjuvant chemotherapy. BMC Cancer 2020, 20, 161. [Google Scholar] [CrossRef]
- de Sena, L.S.B.; da Silveira, E.J.D.; Batista, A.C.; Mendonca, E.F.; Alves, P.M.; Nonaka, C.F.W. Immunoexpression of glucocorticoid receptor alpha (GRalpha) isoform and apoptotic proteins (Bcl-2 and Bax) in actinic cheilitis and lower lip squamous cell carcinoma. J. Oral Pathol. Med. 2018, 47, 788–795. [Google Scholar] [CrossRef]
- Kashiwagi, E.; Fujita, K.; Yamaguchi, S.; Fushimi, H.; Ide, H.; Inoue, S.; Mizushima, T.; Reis, L.O.; Sharma, R.; Netto, G.J.; et al. Expression of steroid hormone receptors and its prognostic significance in urothelial carcinoma of the upper urinary tract. Cancer Biol. Ther. 2016, 17, 1188–1196. [Google Scholar] [CrossRef]
- Kost, B.P.; Beyer, S.; Schroder, L.; Zhou, J.; Mayr, D.; Kuhn, C.; Schulze, S.; Hofmann, S.; Mahner, S.; Jeschke, U.; et al. Glucocorticoid receptor in cervical cancer: An immunhistochemical analysis. Arch. Gynecol. Obstet. 2019, 299, 203–209. [Google Scholar] [CrossRef]
- Tangen, I.L.; Veneris, J.T.; Halle, M.K.; Werner, H.M.; Trovik, J.; Akslen, L.A.; Salvesen, H.B.; Conzen, S.D.; Fleming, G.F.; Krakstad, C. Expression of glucocorticoid receptor is associated with aggressive primary endometrial cancer and increases from primary to metastatic lesions. Gynecol. Oncol. 2017, 147, 672–677. [Google Scholar] [CrossRef]
- Xu, C.; Sun, M.; Zhang, X.; Xu, Z.; Miyamoto, H.; Zheng, Y. Activation of Glucocorticoid Receptor Inhibits the Stem-Like Properties of Bladder Cancer via Inactivating the beta-Catenin Pathway. Front. Oncol. 2020, 10, 1332. [Google Scholar] [CrossRef]
- Ettaieb, M.; Kerkhofs, T.; van Engeland, M.; Haak, H. Past, Present and Future of Epigenetics in Adrenocortical Carcinoma. Cancers 2020, 12, 1218. [Google Scholar] [CrossRef]
- Ishiguro, H.; Kawahara, T.; Zheng, Y.; Netto, G.J.; Miyamoto, H. Reduced glucocorticoid receptor expression predicts bladder tumor recurrence and progression. Am. J. Clin. Pathol. 2014, 142, 157–164. [Google Scholar] [CrossRef]
- Yakirevich, E.; Matoso, A.; Sabo, E.; Wang, L.J.; Tavares, R.; Meitner, P.; Morris, D.J.; Pareek, G.; Delellis, R.A.; Resnick, M.B. Expression of the glucocorticoid receptor in renal cell neoplasms: An immunohistochemical and quantitative reverse transcriptase polymerase chain reaction study. Hum. Pathol. 2011, 42, 1684–1692. [Google Scholar] [CrossRef] [PubMed]
- Mimae, T.; Tsuta, K.; Takahashi, F.; Yoshida, A.; Kondo, T.; Murakami, Y.; Okada, M.; Takeuchi, M.; Asamura, H.; Tsuda, H. Steroid receptor expression in thymomas and thymic carcinomas. Cancer 2011, 117, 4396–4405. [Google Scholar] [CrossRef] [PubMed]
- Caratti, B.; Fidan, M.; Caratti, G.; Breitenecker, K.; Engler, M.; Kazemitash, N.; Traut, R.; Wittig, R.; Casanova, E.; Ahmadian, M.R.; et al. The glucocorticoid receptor associates with RAS complexes to inhibit cell proliferation and tumor growth. Sci. Signal. 2022, 15, eabm4452. [Google Scholar] [CrossRef] [PubMed]
- Matthews, L.C.; Berry, A.A.; Morgan, D.J.; Poolman, T.M.; Bauer, K.; Kramer, F.; Spiller, D.G.; Richardson, R.V.; Chapman, K.E.; Farrow, S.N.; et al. Glucocorticoid receptor regulates accurate chromosome segregation and is associated with malignancy. Proc. Natl. Acad. Sci. USA 2015, 112, 5479–5484. [Google Scholar] [CrossRef]
- Guo, Y.S.; Wang, W.B.; Zhang, S.D.; Zhang, M.Q.; Qi, L.; Gao, J.F.; Zang, Y.J. Expression of glucocorticoid receptor in prostate cancer and its clinical significance. Zhonghua Nan Ke Xue 2022, 28, 211–216. [Google Scholar]
- Han, G.H.; Hwang, I.; Cho, H.; Ylaya, K.; Choi, J.A.; Kwon, H.; Chung, J.Y.; Hewitt, S.M.; Kim, J.H. Clinical Significance of Tumor Infiltrating Lymphocytes in Association with Hormone Receptor Expression Patterns in Epithelial Ovarian Cancer. Int. J. Mol. Sci. 2021, 22, 5714. [Google Scholar] [CrossRef]
- Lai, S.; Piras, F.; Spiga, S.; Perra, M.T.; Minerba, L.; Piga, M.; Mura, E.; Murtas, D.; Demurtas, P.; Corrias, M.; et al. Nestin and vimentin colocalization affects the subcellular location of glucocorticoid receptor in cutaneous melanoma. Histopathology 2013, 62, 487–498. [Google Scholar] [CrossRef]
- Shi, W.; Wang, D.; Yuan, X.; Liu, Y.; Guo, X.; Li, J.; Song, J. Glucocorticoid receptor-IRS-1 axis controls EMT and the metastasis of breast cancers. J. Mol. Cell Biol. 2019, 11, 1042–1055. [Google Scholar] [CrossRef]
- Han, G.H.; Yun, H.; Kim, J.; Chung, J.Y.; Kim, J.H.; Cho, H. Overexpression of glucocorticoid receptor promotes the poor progression and induces cisplatin resistance through p38 MAP kinase in cervical cancer patients. Am. J. Cancer Res. 2022, 12, 3437–3454. [Google Scholar]
- Puhr, M.; Hoefer, J.; Eigentler, A.; Ploner, C.; Handle, F.; Schaefer, G.; Kroon, J.; Leo, A.; Heidegger, I.; Eder, I.; et al. The Glucocorticoid Receptor Is a Key Player for Prostate Cancer Cell Survival and a Target for Improved Antiandrogen Therapy. Clin. Cancer Res. 2018, 24, 927–938. [Google Scholar] [CrossRef]
- Karra, A.G.; Tsialtas, I.; Kalousi, F.D.; Georgantopoulos, A.; Sereti, E.; Dimas, K.; Psarra, A.G. Increased Expression of the Mitochondrial Glucocorticoid Receptor Enhances Tumor Aggressiveness in a Mouse Xenograft Model. Int. J. Mol. Sci. 2023, 24, 3740. [Google Scholar] [CrossRef]
- Pitter, K.L.; Tamagno, I.; Alikhanyan, K.; Hosni-Ahmed, A.; Pattwell, S.S.; Donnola, S.; Dai, C.; Ozawa, T.; Chang, M.; Chan, T.A.; et al. Corticosteroids compromise survival in glioblastoma. Brain 2016, 139, 1458–1471. [Google Scholar] [CrossRef]
- Pang, J.M.; Huang, Y.C.; Sun, S.P.; Pan, Y.R.; Shen, C.Y.; Kao, M.C.; Wang, R.H.; Wang, L.H.; Lin, K.T. Effects of synthetic glucocorticoids on breast cancer progression. Steroids 2020, 164, 108738. [Google Scholar] [CrossRef] [PubMed]
- He, L.; Yuan, L.; Sun, Y.; Wang, P.; Zhang, H.; Feng, X.; Wang, Z.; Zhang, W.; Yang, C.; Zeng, Y.A.; et al. Glucocorticoid Receptor Signaling Activates TEAD4 to Promote Breast Cancer Progression. Cancer Res. 2019, 79, 4399–4411. [Google Scholar] [CrossRef]
- Liu, L.; Aleksandrowicz, E.; Schonsiegel, F.; Groner, D.; Bauer, N.; Nwaeburu, C.C.; Zhao, Z.; Gladkich, J.; Hoppe-Tichy, T.; Yefenof, E.; et al. Dexamethasone mediates pancreatic cancer progression by glucocorticoid receptor, TGFbeta and JNK/AP-1. Cell Death Dis. 2017, 8, e3064. [Google Scholar] [CrossRef] [PubMed]
- Ponikwicka-Tyszko, D.; Chrusciel, M.; Stelmaszewska, J.; Bernaczyk, P.; Chrusciel, P.; Sztachelska, M.; Scheinin, M.; Bidzinski, M.; Szamatowicz, J.; Huhtaniemi, I.T.; et al. Molecular mechanisms underlying mifepristone’s agonistic action on ovarian cancer progression. EBioMedicine 2019, 47, 170–183. [Google Scholar] [CrossRef]
- Ponikwicka-Tyszko, D.; Chrusciel, M.; Pulawska, K.; Bernaczyk, P.; Sztachelska, M.; Guo, P.; Li, X.; Toppari, J.; Huhtaniemi, I.T.; Wolczynski, S.; et al. Mifepristone Treatment Promotes Testicular Leydig Cell Tumor Progression in Transgenic Mice. Cancers 2020, 12, 3263. [Google Scholar] [CrossRef]
- Gassler, N.; Zhang, C.; Wenger, T.; Schnabel, P.A.; Dienemann, H.; Debatin, K.M.; Mattern, J.; Herr, I. Dexamethasone-induced cisplatin and gemcitabine resistance in lung carcinoma samples treated ex vivo. Br. J. Cancer 2005, 92, 1084–1088. [Google Scholar] [CrossRef]
- Pang, D.; Kocherginsky, M.; Krausz, T.; Kim, S.Y.; Conzen, S.D. Dexamethasone decreases xenograft response to Paclitaxel through inhibition of tumor cell apoptosis. Cancer Biol. Ther. 2006, 5, 933–940. [Google Scholar] [CrossRef]
- Stringer-Reasor, E.M.; Baker, G.M.; Skor, M.N.; Kocherginsky, M.; Lengyel, E.; Fleming, G.F.; Conzen, S.D. Glucocorticoid receptor activation inhibits chemotherapy-induced cell death in high-grade serous ovarian carcinoma. Gynecol. Oncol. 2015, 138, 656–662. [Google Scholar] [CrossRef]
- Zhang, C.; Beckermann, B.; Kallifatidis, G.; Liu, Z.; Rittgen, W.; Edler, L.; Buchler, P.; Debatin, K.M.; Buchler, M.W.; Friess, H.; et al. Corticosteroids induce chemotherapy resistance in the majority of tumour cells from bone, brain, breast, cervix, melanoma and neuroblastoma. Int. J. Oncol. 2006, 29, 1295–1301. [Google Scholar] [PubMed]
- Greenstein, A.E.; Hunt, H.J. Glucocorticoid receptor antagonism promotes apoptosis in solid tumor cells. Oncotarget 2021, 12, 1243–1255. [Google Scholar] [CrossRef] [PubMed]
- Uhlen, M.; Bandrowski, A.; Carr, S.; Edwards, A.; Ellenberg, J.; Lundberg, E.; Rimm, D.L.; Rodriguez, H.; Hiltke, T.; Snyder, M.; et al. A proposal for validation of antibodies. Nat. Methods 2016, 13, 823–827. [Google Scholar] [CrossRef] [PubMed]



| GR Immunostaining | |||||||
|---|---|---|---|---|---|---|---|
| Tumor Category | Tumor Entity | On TMA (n) | Analyzable (n) | Negative (%) | Weak (%) | Moderate (%) | Strong (%) |
| Tumors of the skin | Basal cell carcinoma of the skin | 89 | 62 | 0.0 | 32.3 | 38.7 | 29.0 |
| Benign nevus | 29 | 20 | 0.0 | 0.0 | 0.0 | 100.0 | |
| Squamous cell carcinoma of the skin | 145 | 102 | 1.0 | 2.9 | 11.8 | 84.3 | |
| Malignant melanoma | 65 | 48 | 0.0 | 8.3 | 8.3 | 83.3 | |
| Malignant melanoma lymph node metastasis | 86 | 72 | 4.2 | 13.9 | 18.1 | 63.9 | |
| Merkel cell carcinoma | 2 | 1 | 0.0 | 0.0 | 0.0 | 100.0 | |
| Tumors of the head and neck | Squamous cell carcinoma of the larynx | 109 | 79 | 0.0 | 2.5 | 8.9 | 88.6 |
| Squamous cell carcinoma of the pharynx | 60 | 56 | 0.0 | 5.4 | 12.5 | 82.1 | |
| Oral squamous cell carcinoma (floor of the mouth) | 130 | 111 | 0.0 | 1.8 | 14.4 | 83.8 | |
| Pleomorphic adenoma of the parotid gland | 50 | 30 | 0.0 | 0.0 | 10.0 | 90.0 | |
| Warthin tumor of the parotid gland | 104 | 63 | 0.0 | 6.3 | 42.9 | 50.8 | |
| Adenocarcinoma, NOS (Papillary Cystadenocarcinoma) | 14 | 4 | 0.0 | 0.0 | 50.0 | 50.0 | |
| Salivary duct carcinoma | 15 | 3 | 0.0 | 0.0 | 33.3 | 66.7 | |
| Acinic cell carcinoma of the salivary gland | 181 | 41 | 2.4 | 0.0 | 7.3 | 90.2 | |
| Adenocarcinoma NOS of the salivary gland | 109 | 22 | 22.7 | 9.1 | 27.3 | 40.9 | |
| Adenoid cystic carcinoma of the salivary gland | 180 | 14 | 0.0 | 28.6 | 42.9 | 28.6 | |
| Basal cell adenocarcinoma of the salivary gland | 25 | 11 | 0.0 | 9.1 | 36.4 | 54.5 | |
| Basal cell adenoma of the salivary gland | 101 | 24 | 0.0 | 0.0 | 8.3 | 91.7 | |
| Epithelial-myoepithelial carcinoma of the salivary gland | 53 | 15 | 13.3 | 0.0 | 33.3 | 53.3 | |
| Mucoepidermoid carcinoma of the salivary gland | 343 | 122 | 0.8 | 18.9 | 15.6 | 64.8 | |
| Myoepithelial carcinoma of the salivary gland | 21 | 8 | 0.0 | 0.0 | 12.5 | 87.5 | |
| Myoepithelioma of the salivary gland | 11 | 4 | 0.0 | 0.0 | 0.0 | 100.0 | |
| Oncocytic carcinoma of the salivary gland | 12 | 2 | 0.0 | 0.0 | 0.0 | 100.0 | |
| Pleomorphic adenoma of the salivary gland | 53 | 17 | 0.0 | 0.0 | 0.0 | 100.0 | |
| Tumors of the lung, pleura, and thymus | Adenocarcinoma of the lung | 196 | 151 | 1.3 | 6.6 | 25.2 | 66.9 |
| Squamous cell carcinoma of the lung | 80 | 59 | 0.0 | 6.8 | 50.8 | 42.4 | |
| Mesothelioma, epithelioid | 40 | 32 | 0.0 | 6.3 | 28.1 | 65.6 | |
| Mesothelioma, biphasic | 29 | 22 | 0.0 | 9.1 | 22.7 | 68.2 | |
| Thymoma | 29 | 22 | 0.0 | 0.0 | 27.3 | 72.7 | |
| Lung, neuroendocrine tumor (NET) | 29 | 21 | 0.0 | 14.3 | 0.0 | 85.7 | |
| Tumors of the female genital tract | Squamous cell carcinoma of the vagina | 78 | 50 | 4.0 | 6.0 | 14.0 | 76.0 |
| Squamous cell carcinoma of the vulva | 157 | 120 | 0.0 | 1.7 | 15.0 | 83.3 | |
| Squamous cell carcinoma of the cervix | 136 | 113 | 0.9 | 9.7 | 31.0 | 58.4 | |
| Adenocarcinoma of the cervix | 23 | 21 | 9.5 | 19.0 | 33.3 | 38.1 | |
| Endometrioid endometrial carcinoma | 338 | 289 | 74.4 | 18.7 | 5.2 | 1.7 | |
| Endometrial serous carcinoma | 86 | 65 | 30.8 | 33.8 | 24.6 | 10.8 | |
| Carcinosarcoma of the uterus | 57 | 50 | 10.0 | 32.0 | 44.0 | 14.0 | |
| Endometrial carcinoma, high grade, G3 | 13 | 13 | 46.2 | 23.1 | 30.8 | 0.0 | |
| Endometrial clear cell carcinoma | 9 | 8 | 25.0 | 37.5 | 37.5 | 0.0 | |
| Endometrioid carcinoma of the ovary | 130 | 96 | 44.8 | 22.9 | 7.3 | 25.0 | |
| Serous carcinoma of the ovary | 580 | 467 | 4.7 | 21.8 | 37.5 | 36.0 | |
| Mucinous carcinoma of the ovary | 101 | 72 | 16.7 | 15.3 | 34.7 | 33.3 | |
| Clear cell carcinoma of the ovary | 51 | 41 | 31.7 | 29.3 | 22.0 | 17.1 | |
| Carcinosarcoma of the ovary | 47 | 38 | 10.5 | 31.6 | 34.2 | 23.7 | |
| Granulosa cell tumor of the ovary | 44 | 38 | 0.0 | 26.3 | 50.0 | 23.7 | |
| Leydig cell tumor of the ovary | 4 | 4 | 0.0 | 25.0 | 25.0 | 50.0 | |
| Sertoli cell tumor of the ovary | 1 | 1 | 0.0 | 100.0 | 0.0 | 0.0 | |
| Sertoli Leydig cell tumor of the ovary | 3 | 3 | 0.0 | 0.0 | 33.3 | 66.7 | |
| Steroid cell tumor of the ovary | 3 | 3 | 0.0 | 33.3 | 0.0 | 66.7 | |
| Brenner tumor | 41 | 36 | 0.0 | 27.8 | 44.4 | 27.8 | |
| Tumors of the breast | Invasive breast carcinoma of no special type | 1764 | 1489 | 16.4 | 31.8 | 33.7 | 18.1 |
| Lobular carcinoma of the breast | 363 | 240 | 16.3 | 30.0 | 32.1 | 21.7 | |
| Medullary carcinoma of the breast | 34 | 25 | 20.0 | 28.0 | 24.0 | 28.0 | |
| Tubular carcinoma of the breast | 29 | 15 | 20.0 | 20.0 | 33.3 | 26.7 | |
| Mucinous carcinoma of the breast | 65 | 45 | 26.7 | 31.1 | 26.7 | 15.6 | |
| Phyllodes tumor of the breast | 50 | 40 | 0.0 | 2.5 | 10.0 | 87.5 | |
| Tumors of the digestive system | Adenomatous polyp, low-grade dysplasia | 50 | 40 | 67.5 | 30.0 | 2.5 | 0.0 |
| Adenomatous polyp, high-grade dysplasia | 50 | 46 | 78.3 | 21.7 | 0.0 | 0.0 | |
| Adenocarcinoma of the colorectum | 2483 | 2242 | 83.0 | 14.5 | 2.4 | 0.2 | |
| Gastric adenocarcinoma, diffuse type | 215 | 129 | 48.1 | 34.1 | 14.0 | 3.9 | |
| Gastric adenocarcinoma, intestinal type | 215 | 160 | 44.4 | 29.4 | 21.3 | 5.0 | |
| Gastric adenocarcinoma, mixed type | 62 | 51 | 33.3 | 31.4 | 29.4 | 5.9 | |
| Adenocarcinoma of the esophagus | 83 | 44 | 29.5 | 34.1 | 36.4 | 0.0 | |
| Squamous cell carcinoma of the esophagus | 76 | 38 | 5.3 | 7.9 | 28.9 | 57.9 | |
| Squamous cell carcinoma of the anal canal | 91 | 75 | 0.0 | 1.3 | 16.0 | 82.7 | |
| Cholangiocarcinoma | 58 | 48 | 4.2 | 12.5 | 29.2 | 54.2 | |
| Gallbladder adenocarcinoma | 51 | 35 | 5.7 | 17.1 | 40.0 | 37.1 | |
| Gallbladder Klatskin tumor | 42 | 30 | 0.0 | 16.7 | 33.3 | 50.0 | |
| Hepatocellular carcinoma | 312 | 289 | 1.7 | 18.0 | 29.8 | 50.5 | |
| Ductal adenocarcinoma of the pancreas | 659 | 454 | 0.2 | 15.4 | 43.8 | 40.5 | |
| Pancreatic/Ampullary adenocarcinoma | 98 | 77 | 23.4 | 35.1 | 31.2 | 10.4 | |
| Acinar cell carcinoma of the pancreas | 18 | 16 | 0.0 | 6.3 | 43.8 | 50.0 | |
| Gastrointestinal stromal tumor (GIST) | 62 | 56 | 0.0 | 1.8 | 7.1 | 91.1 | |
| Appendix, neuroendocrine tumor (NET) | 25 | 11 | 9.1 | 9.1 | 0.0 | 81.8 | |
| Colorectal, neuroendocrine tumor (NET) | 12 | 10 | 0.0 | 0.0 | 10.0 | 90.0 | |
| Ileum, neuroendocrine tumor (NET) | 53 | 47 | 0.0 | 0.0 | 17.0 | 83.0 | |
| Pancreas, neuroendocrine tumor (NET) | 101 | 89 | 0.0 | 3.4 | 11.2 | 85.4 | |
| Colorectal, neuroendocrine carcinoma (NEC) | 14 | 11 | 54.5 | 27.3 | 18.2 | 0.0 | |
| Ileum, neuroendocrine carcinoma (NEC) | 8 | 3 | 33.3 | 0.0 | 0.0 | 66.7 | |
| Gallbladder, neuroendocrine carcinoma (NEC) | 4 | 4 | 0.0 | 0.0 | 75.0 | 25.0 | |
| Pancreas, neuroendocrine carcinoma (NEC) | 14 | 11 | 0.0 | 0.0 | 54.5 | 45.5 | |
| Tumors of the urinary system | Non-invasive papillary urothelial ca., pTa G2 low grade | 87 | 73 | 8.2 | 15.1 | 6.8 | 69.9 |
| Non-invasive papillary urothelial ca., pTa G2 high grade | 80 | 67 | 31.3 | 10.4 | 11.9 | 46.3 | |
| Non-invasive papillary urothelial carcinoma, pTa G3 | 126 | 108 | 47.2 | 18.5 | 11.1 | 23.1 | |
| Urothelial carcinoma, pT2-4 G3 | 735 | 442 | 30.5 | 13.3 | 12.7 | 43.4 | |
| Squamous cell carcinoma of the bladder | 22 | 21 | 0.0 | 0.0 | 38.1 | 61.9 | |
| Small cell neuroendocrine carcinoma of the bladder | 5 | 3 | 0.0 | 0.0 | 66.7 | 33.3 | |
| Sarcomatoid urothelial carcinoma | 25 | 18 | 5.6 | 11.1 | 27.8 | 55.6 | |
| Urothelial carcinoma of the kidney pelvis | 62 | 53 | 37.7 | 30.2 | 18.9 | 13.2 | |
| Clear cell renal cell carcinoma | 1287 | 1124 | 2.6 | 12.5 | 18.9 | 66.1 | |
| Papillary renal cell carcinoma | 368 | 307 | 2.3 | 14.7 | 23.5 | 59.6 | |
| Clear cell (tubulo) papillary renal cell carcinoma | 26 | 21 | 4.8 | 19.0 | 4.8 | 71.4 | |
| Chromophobe renal cell carcinoma | 170 | 149 | 12.8 | 38.9 | 20.1 | 28.2 | |
| Oncocytoma | 257 | 200 | 4.0 | 19.5 | 30.5 | 46.0 | |
| Tumors of the male genital organs | Adenocarcinoma of the prostate, Gleason 3+3 | 83 | 59 | 3.4 | 50.8 | 44.1 | 1.7 |
| Adenocarcinoma of the prostate, Gleason 4+4 | 80 | 57 | 7.0 | 43.9 | 36.8 | 12.3 | |
| Adenocarcinoma of the prostate, Gleason 5+5 | 85 | 67 | 14.9 | 34.3 | 31.3 | 19.4 | |
| Adenocarcinoma of the prostate (recurrence) | 258 | 129 | 7.0 | 24.8 | 38.0 | 30.2 | |
| Seminoma | 682 | 614 | 38.3 | 56.5 | 5.0 | 0.2 | |
| Embryonal carcinoma of the testis | 54 | 48 | 50.0 | 47.9 | 2.1 | 0.0 | |
| Leydig cell tumor of the testis | 31 | 29 | 0.0 | 0.0 | 13.8 | 86.2 | |
| Sertoli cell tumor of the testis | 2 | 2 | 50.0 | 0.0 | 0.0 | 50.0 | |
| Sex cord stromal tumor of the testis | 1 | 1 | 0.0 | 100.0 | 0.0 | 0.0 | |
| Spermatocytic tumor of the testis | 1 | 1 | 0.0 | 0.0 | 0.0 | 100.0 | |
| Yolk sac tumor | 53 | 40 | 27.5 | 70.0 | 2.5 | 0.0 | |
| Teratoma | 53 | 35 | 0.0 | 8.6 | 8.6 | 82.9 | |
| Squamous cell carcinoma of the penis | 92 | 81 | 0.0 | 0.0 | 8.6 | 91.4 | |
| Tumors of endocrine organs | Adenoma of the thyroid gland | 113 | 89 | 0.0 | 2.2 | 16.9 | 80.9 |
| Papillary thyroid carcinoma | 391 | 332 | 0.3 | 5.4 | 38.0 | 56.3 | |
| Follicular thyroid carcinoma | 154 | 111 | 0.0 | 2.7 | 13.5 | 83.8 | |
| Medullary thyroid carcinoma | 111 | 76 | 0.0 | 0.0 | 17.1 | 82.9 | |
| Parathyroid gland adenoma | 43 | 37 | 2.7 | 2.7 | 8.1 | 86.5 | |
| Anaplastic thyroid carcinoma | 45 | 38 | 0.0 | 7.9 | 36.8 | 55.3 | |
| Adrenal cortical adenoma | 48 | 45 | 8.9 | 75.6 | 13.3 | 2.2 | |
| Adrenal cortical carcinoma | 27 | 25 | 4.0 | 8.0 | 28.0 | 60.0 | |
| Pheochromocytoma | 51 | 46 | 2.2 | 15.2 | 30.4 | 52.2 | |
| Tumors of hematopoetic and lymphoid tissues | Hodgkin Lymphoma | 103 | 67 | 0.0 | 6.0 | 11.9 | 82.1 |
| Small lymphocytic lymphoma, B-cell type (B-SLL/B-CLL) | 50 | 48 | 0.0 | 0.0 | 14.6 | 85.4 | |
| Diffuse large B cell lymphoma (DLBCL) | 113 | 112 | 0.0 | 1.8 | 13.4 | 84.8 | |
| Follicular lymphoma | 88 | 88 | 0.0 | 2.3 | 13.6 | 84.1 | |
| T-cell Non Hodgkin lymphoma | 25 | 24 | 0.0 | 4.2 | 4.2 | 91.7 | |
| Mantle cell lymphoma | 18 | 17 | 0.0 | 0.0 | 17.6 | 82.4 | |
| Marginal zone lymphoma | 16 | 15 | 0.0 | 6.7 | 0.0 | 93.3 | |
| Diffuse large B-cell lymphoma (DLBCL) in the testis | 16 | 15 | 0.0 | 0.0 | 26.7 | 73.3 | |
| Burkitt lymphoma | 5 | 3 | 0.0 | 33.3 | 33.3 | 33.3 | |
| Tumors of soft tissue and bone | Granular cell tumor | 23 | 19 | 5.3 | 5.3 | 5.3 | 84.2 |
| Leiomyoma | 50 | 42 | 0.0 | 26.2 | 11.9 | 61.9 | |
| Leiomyosarcoma | 94 | 78 | 0.0 | 10.3 | 21.8 | 67.9 | |
| Liposarcoma | 96 | 77 | 0.0 | 5.2 | 14.3 | 80.5 | |
| Malignant peripheral nerve sheath tumor (MPNST) | 15 | 13 | 0.0 | 0.0 | 15.4 | 84.6 | |
| Myofibrosarcoma | 26 | 26 | 0.0 | 0.0 | 7.7 | 92.3 | |
| Angiosarcoma | 42 | 31 | 0.0 | 3.2 | 12.9 | 83.9 | |
| Angiomyolipoma | 91 | 79 | 0.0 | 1.3 | 10.1 | 88.6 | |
| Dermatofibrosarcoma protuberans | 21 | 13 | 0.0 | 0.0 | 7.7 | 92.3 | |
| Ganglioneuroma | 14 | 12 | 0.0 | 0.0 | 8.3 | 91.7 | |
| Kaposi sarcoma | 8 | 5 | 0.0 | 20.0 | 0.0 | 80.0 | |
| Neurofibroma | 117 | 98 | 0.0 | 0.0 | 3.1 | 96.9 | |
| Sarcoma, not otherwise specified (NOS) | 74 | 63 | 1.6 | 7.9 | 22.2 | 68.3 | |
| Paraganglioma | 41 | 39 | 0.0 | 5.1 | 35.9 | 59.0 | |
| Ewing sarcoma | 23 | 13 | 7.7 | 23.1 | 46.2 | 23.1 | |
| Rhabdomyosarcoma | 7 | 7 | 0.0 | 14.3 | 28.6 | 57.1 | |
| Schwannoma | 122 | 106 | 0.0 | 0.0 | 1.9 | 98.1 | |
| Synovial sarcoma | 12 | 10 | 0.0 | 10.0 | 20.0 | 70.0 | |
| Osteosarcoma | 19 | 14 | 0.0 | 21.4 | 14.3 | 64.3 | |
| Chondrosarcoma | 15 | 10 | 10.0 | 0.0 | 30.0 | 60.0 | |
| Rhabdoid tumor | 5 | 4 | 75.0 | 0.0 | 25.0 | 0.0 | |
| Solitary fibrous tumor | 17 | 17 | 0.0 | 0.0 | 5.9 | 94.1 | |
| Tumor Entity | Pathological and Molecular Parameters | GR Immunostaining | |||||
|---|---|---|---|---|---|---|---|
| n | Negative (%) | Weak (%) | Moderate (%) | Strong (%) | p | ||
| Invasive breast carcinoma of no special type | pT1 | 688 | 13.1 | 29.9 | 34.9 | 22.1 | 0.0006 |
| pT2 | 587 | 17.9 | 32.9 | 33.4 | 15.8 | ||
| pT3-4 | 116 | 25.9 | 33.6 | 29.3 | 11.2 | ||
| G1 | 162 | 16.7 | 27.8 | 30.9 | 24.7 | 0.2624 | |
| G2 | 744 | 16.8 | 30.4 | 34.1 | 18.7 | ||
| G3 | 521 | 14.4 | 34.2 | 34.5 | 16.9 | ||
| pN0 | 640 | 16.6 | 29.5 | 34.4 | 19.5 | 0.1622 | |
| pN+ | 485 | 15.9 | 35.7 | 31.8 | 16.7 | ||
| pM0 | 181 | 13.3 | 29.8 | 37.6 | 19.3 | 0.455 | |
| pM1 | 106 | 19.8 | 31.1 | 33.0 | 16.0 | ||
| HER2 negative | 797 | 15.8 | 29.4 | 34.0 | 20.8 | 0.5939 | |
| HER2 positive | 118 | 16.9 | 34.7 | 30.5 | 17.8 | ||
| ER negative | 193 | 13.0 | 34.7 | 38.9 | 13.5 | 0.0126 | |
| ER positive | 682 | 17.2 | 28.9 | 32.3 | 21.7 | ||
| PR negative | 367 | 14.4 | 32.4 | 35.1 | 18.0 | 0.3353 | |
| PR positive | 541 | 16.3 | 28.5 | 33.5 | 21.8 | ||
| non-triple negative | 722 | 17.5 | 29.2 | 32.3 | 21.1 | 0.0062 | |
| triple negative | 127 | 9.4 | 36.2 | 40.9 | 13.4 | ||
| Clear cell renal cell carcinoma | ISUP 1 | 255 | 2.7 | 12.9 | 13.7 | 70.6 | 0.0066 |
| ISUP 2 | 374 | 4.5 | 11.5 | 16.8 | 67.1 | ||
| ISUP 3 | 245 | 1.6 | 13.5 | 24.5 | 60.4 | ||
| ISUP 4 | 68 | 0.0 | 17.6 | 25.0 | 57.4 | ||
| Fuhrman 1 | 60 | 3.3 | 5.0 | 15.0 | 76.7 | 0.0076 | |
| Fuhrman 2 | 643 | 3.1 | 12.0 | 17.0 | 68.0 | ||
| Fuhrman 3 | 276 | 1.8 | 12.7 | 24.3 | 61.2 | ||
| Fuhrman 4 | 82 | 0.0 | 20.7 | 22.0 | 57.3 | ||
| Thoenes 1 | 332 | 2.1 | 12.0 | 16.0 | 69.9 | 0.0056 | |
| Thoenes 2 | 462 | 3.7 | 14.1 | 20.3 | 61.9 | ||
| Thoenes 3 | 89 | 0.0 | 15.7 | 30.3 | 53.9 | ||
| UICC 1 | 298 | 2.3 | 9.4 | 14.4 | 73.8 | <0.0001 | |
| UICC 2 | 35 | 0.0 | 14.3 | 28.6 | 57.1 | ||
| UICC 3 | 88 | 5.7 | 14.8 | 21.6 | 58.0 | ||
| UICC 4 | 68 | 4.4 | 22.1 | 33.8 | 39.7 | ||
| pT1 | 626 | 2.4 | 8.9 | 16.1 | 72.5 | <0.0001 | |
| pT2 | 129 | 0.8 | 16.3 | 22.5 | 60.5 | ||
| pT3-4 | 311 | 3.9 | 17.7 | 23.8 | 54.7 | ||
| pN0 | 165 | 2.4 | 10.9 | 23.0 | 63.6 | 0.2419 | |
| pN+ | 23 | 8.7 | 21.7 | 17.4 | 52.2 | ||
| pM0 | 104 | 4.8 | 9.6 | 16.3 | 69.2 | 0.0081 | |
| pM+ | 86 | 3.5 | 19.8 | 30.2 | 46.5 | ||
| Papillary renal cell carcinoma | ISUP 1 | 34 | 0.0 | 17.6 | 32.4 | 50.0 | 0.8155 |
| ISUP 2 | 118 | 4.2 | 16.1 | 22.9 | 56.8 | ||
| ISUP 3 | 73 | 1.4 | 15.1 | 23.3 | 60.3 | ||
| ISUP 4 | 7 | 0.0 | 14.3 | 28.6 | 57.1 | ||
| Fuhrman 1 | 2 | 0.0 | 50.0 | 0.0 | 50.0 | 0.4008 | |
| Fuhrman 2 | 161 | 4.3 | 14.9 | 23.6 | 57.1 | ||
| Fuhrman 3 | 75 | 0.0 | 13.3 | 24.0 | 62.7 | ||
| Fuhrman 4 | 11 | 0.0 | 9.1 | 36.4 | 54.5 | ||
| Thoenes 1 | 47 | 0.0 | 12.8 | 29.8 | 57.4 | 0.5469 | |
| Thoenes 2 | 138 | 4.3 | 15.9 | 24.6 | 55.1 | ||
| Thoenes 3 | 16 | 6.3 | 12.5 | 18.8 | 62.5 | ||
| UICC 1 | 88 | 1.1 | 15.9 | 25.0 | 58.0 | 0.9823 | |
| UICC 2 | 12 | 0.0 | 16.7 | 33.3 | 50.0 | ||
| UICC 3 | 5 | 0.0 | 20.0 | 20.0 | 60.0 | ||
| UICC 4 | 9 | 0.0 | 33.3 | 22.2 | 44.4 | ||
| pT1 | 185 | 2.7 | 11.9 | 24.9 | 60.5 | 0.0153 | |
| pT2 | 44 | 4.5 | 18.2 | 29.5 | 47.7 | ||
| pT3-4 | 30 | 0.0 | 23.2 | 3.3 | 73.3 | ||
| pN0 | 23 | 0.0 | 13.0 | 17.4 | 69.6 | 0.8002 | |
| pN+ | 12 | 0.0 | 16.7 | 25.0 | 58.3 | ||
| pM0 | 25 | 0.0 | 32.0 | 12.0 | 56.0 | 0.3955 | |
| pM+ | 9 | 0.0 | 11.1 | 22.2 | 66.7 | ||
| Urothelial bladder carcinoma | pTa G2 low | 345 | 5.8 | 7.8 | 12.5 | 73.9 | <0.0001 |
| pTa G2 high | 148 | 21.6 | 9.5 | 13.5 | 55.4 | ||
| pTa G3 | 86 | 45.3 | 17.4 | 10.5 | 26.7 | ||
| pT2 | 312 | 22.4 | 11.2 | 5.8 | 60.6 | 0.1904 | |
| pT3 | 414 | 19.1 | 11.6 | 10.9 | 58.5 | ||
| pT4 | 201 | 23.9 | 13.4 | 8.0 | 54.7 | ||
| G2 | 76 | 22.4 | 10.5 | 9.2 | 57.9 | 0.8354 * | |
| G3 | 835 | 21.2 | 12.1 | 8.4 | 58.3 | ||
| pN0 | 444 | 21.2 | 11.0 | 7.2 | 60.6 | 0.0051 * | |
| pN+ | 309 | 25.2 | 16.5 | 10.4 | 47.9 | ||
| L0 | 162 | 25.9 | 10.5 | 6.8 | 56.8 | 0.0854 * | |
| L1 | 173 | 30.1 | 13.9 | 12.1 | 43.9 | ||
| V0 | 276 | 24.3 | 11.2 | 10.5 | 54.0 | 0.9963 * | |
| V1 | 100 | 24.0 | 12.0 | 10.0 | 54.0 | ||
| UICC 1-2 | 11 | 27.3 | 18.2 | 9.1 | 45.5 | 0.0466 | |
| UICC 3 | 43 | 4.7 | 9.3 | 11.6 | 74.4 | ||
| UICC 4 | 40 | 25.0 | 17.5 | 15.0 | 42.5 | ||
| Adenocarcinoma of the pancreas | pT1 | 8 | 0.0 | 0.0 | 37.5 | 62.5 | 0.3759 |
| pT2 | 49 | 2.0 | 18.4 | 42.9 | 36.7 | ||
| pT3 | 295 | 0.0 | 13.2 | 46.8 | 40.0 | ||
| pT4 | 23 | 0.0 | 8.7 | 39.1 | 52.5 | ||
| G1 | 11 | 0.0 | 18.2 | 45.5 | 36.4 | 0.9853 | |
| G2 | 266 | 0.4 | 13.2 | 45.9 | 40.6 | ||
| G3 | 80 | 0.0 | 12.5 | 48.8 | 38.8 | ||
| pN0 | 73 | 0.0 | 17.8 | 46.6 | 35.6 | 0.5177 | |
| pN+ | 301 | 0.3 | 12.3 | 45.5 | 41.9 | ||
| Adenocarcinoma of the stomach | diffuse | 65 | 52.3 | 35.4 | 9.2 | 3.1 | 0.1204 |
| inestinal | 82 | 46.3 | 29.3 | 20.7 | 3.7 | ||
| mixed | 51 | 33.3 | 31.4 | 29.4 | 5.9 | ||
| pN0 | 65 | 55.4 | 27.7 | 12.3 | 4.6 | 0.4248 | |
| pN+ | 199 | 44.7 | 32.7 | 18.6 | 4.0 | ||
| MMR proficient | 229 | 41.0 | 34.1 | 20.5 | 4.4 | 0.0051 | |
| MMR deficient | 37 | 64.9 | 13.5 | 10.8 | 10.8 | ||
| Endometrioid endometrial carcinoma | pT1 | 105 | 79.0 | 16.2 | 3.8 | 1.0 | 0.2532 |
| pT2 | 23 | 65.2 | 34.8 | 0.0 | 0.0 | ||
| pT3-4 | 36 | 72.2 | 16.7 | 8.3 | 2.8 | ||
| pN0 | 50 | 66.0 | 30.0 | 4.0 | 0.0 | 0.0815 | |
| pN+ | 30 | 73.3 | 13.3 | 6.7 | 6.7 | ||
| Serous carcinoma of the ovary | pT1 | 29 | 0.0 | 17.2 | 58.6 | 24.1 | 0.0720 |
| pT2 | 36 | 8.3 | 22.2 | 55.6 | 13.9 | ||
| pT3 | 231 | 4.8 | 23.8 | 39.8 | 31.6 | ||
| pN0 | 76 | 6.6 | 23.7 | 51.3 | 18.4 | 0.1145 | |
| pN1 | 145 | 5.5 | 24.1 | 37.9 | 32.4 | ||
| Germ cell tumors of the testis | pT1 | 337 | 33.2 | 59.3 | 7.1 | 0.3 | 0.4978 |
| pT2 | 135 | 38.5 | 57.0 | 4.4 | 0.0 | ||
| pT3-4 | 52 | 40.4 | 57.7 | 1.9 | 0.0 | ||
| V0 | 433 | 32.3 | 60.7 | 6.7 | 0.2 | 0.0566 | |
| V1 | 55 | 49.1 | 49.1 | 1.8 | 0.0 | ||
| L0 | 379 | 33.0 | 60.2 | 6.6 | 0.3 | 0.4164 | |
| L1 | 115 | 40.0 | 55.7 | 4.3 | 0.0 | ||
| spermatic cord invasion | 410 | 34.1 | 59.5 | 6.1 | 0.2 | 0.7932 | |
| no spermatic cord invasion | 56 | 37.5 | 58.9 | 3.6 | 0.0 | ||
| rete testis invasion | 234 | 30.8 | 62.0 | 7.3 | 0.0 | 0.1691 | |
| no rete testis invasion | 262 | 37.8 | 57.3 | 4.6 | 0.4 | ||
| pM0 | 527 | 35.3 | 58.6 | 5.9 | 0.2 | 0.1508 | |
| pM+ | 5 | 0.0 | 100.0 | 0.0 | 0.0 | ||
| Papillary carcinoma of the thyroid | pT1 | 136 | 0.0 | 3.7 | 40.4 | 55.9 | 0.453 |
| pT2 | 65 | 0.0 | 4.6 | 33.8 | 61.5 | ||
| pT3-4 | 90 | 0.0 | 6.7 | 45.6 | 47.8 | ||
| pN0 | 79 | 0.0 | 3.8 | 49.4 | 46.8 | 0.2827 | |
| pN+ | 104 | 0.0 | 7.7 | 39.4 | 52.9 | ||
| Adenocarcinoma of the colorectum | pT1 | 79 | 81.0 | 16.5 | 2.5 | 0.0 | 0.3074 |
| pT2 | 415 | 82.2 | 14.5 | 2.4 | 1.0 | ||
| pT3 | 1213 | 83.3 | 14.7 | 2.0 | 0.1 | ||
| pT4 | 423 | 83.9 | 13.5 | 2.6 | 0.0 | ||
| pN0 | 1117 | 82.3 | 15.6 | 2.1 | 0.1 | 0.2084 | |
| pN+ | 1008 | 83.7 | 13.4 | 2.5 | 0.4 | ||
| V0 | 1537 | 82.5 | 15.0 | 2.2 | 0.3 | 0.2568 | |
| V1 | 556 | 84.2 | 13.1 | 2.7 | 0.0 | ||
| L0 | 692 | 82.5 | 15.2 | 2.0 | 0.3 | 0.8962 | |
| L1 | 1414 | 83.0 | 13.1 | 2.4 | 0.2 | ||
| right side | 440 | 86.6 | 11.6 | 1.8 | 0.0 | 0.552 | |
| left side | 1190 | 84.5 | 13.5 | 2.0 | 0.0 | ||
| MMR proficient | 1119 | 85.0 | 13.2 | 1.8 | 0.0 | 0.2494 | |
| MMR deficient | 82 | 82.9 | 12.2 | 4.9 | 0.0 | ||
| RAS wildtype | 453 | 83.7 | 14.3 | 2.0 | 0.0 | 0.3056 | |
| RAS mutation | 351 | 86.8 | 12.0 | 1.1 | 0.3 | ||
| BRAF wildtype | 121 | 83.5 | 14.9 | 1.7 | 0.0 | 0.5259 | |
| BRAF V600E mutation | 22 | 90.9 | 9.1 | 0.0 | 0.0 | ||
Disclaimer/Publisher’s Note: The statements, opinions and data contained in all publications are solely those of the individual author(s) and contributor(s) and not of MDPI and/or the editor(s). MDPI and/or the editor(s) disclaim responsibility for any injury to people or property resulting from any ideas, methods, instructions or products referred to in the content. |
© 2025 by the authors. Licensee MDPI, Basel, Switzerland. This article is an open access article distributed under the terms and conditions of the Creative Commons Attribution (CC BY) license (https://creativecommons.org/licenses/by/4.0/).
Share and Cite
Tsourlakis, M.C.; Kind, S.; Dwertmann Rico, S.; Weidemann, S.; Möller, K.; Schlichter, R.; Kluth, M.; Hube-Magg, C.; Bernreuther, C.; Sauter, G.; et al. Glucocorticoid Receptor (GR) Expression in Human Tumors: A Tissue Microarray Study on More than 14,000 Tumors. Biomedicines 2025, 13, 1683. https://doi.org/10.3390/biomedicines13071683
Tsourlakis MC, Kind S, Dwertmann Rico S, Weidemann S, Möller K, Schlichter R, Kluth M, Hube-Magg C, Bernreuther C, Sauter G, et al. Glucocorticoid Receptor (GR) Expression in Human Tumors: A Tissue Microarray Study on More than 14,000 Tumors. Biomedicines. 2025; 13(7):1683. https://doi.org/10.3390/biomedicines13071683
Chicago/Turabian StyleTsourlakis, Maria Christina, Simon Kind, Sebastian Dwertmann Rico, Sören Weidemann, Katharina Möller, Ria Schlichter, Martina Kluth, Claudia Hube-Magg, Christian Bernreuther, Guido Sauter, and et al. 2025. "Glucocorticoid Receptor (GR) Expression in Human Tumors: A Tissue Microarray Study on More than 14,000 Tumors" Biomedicines 13, no. 7: 1683. https://doi.org/10.3390/biomedicines13071683
APA StyleTsourlakis, M. C., Kind, S., Dwertmann Rico, S., Weidemann, S., Möller, K., Schlichter, R., Kluth, M., Hube-Magg, C., Bernreuther, C., Sauter, G., Marx, A. H., Simon, R., Bawahab, A. A., Lutz, F., Reiswich, V., Dum, D., Steurer, S., Burandt, E., Clauditz, T. S., ... Viehweger, F. (2025). Glucocorticoid Receptor (GR) Expression in Human Tumors: A Tissue Microarray Study on More than 14,000 Tumors. Biomedicines, 13(7), 1683. https://doi.org/10.3390/biomedicines13071683

