X-Linked CGD Chorioretinitis in Two Young Girls
Abstract
1. Introduction
2. Case Descriptions
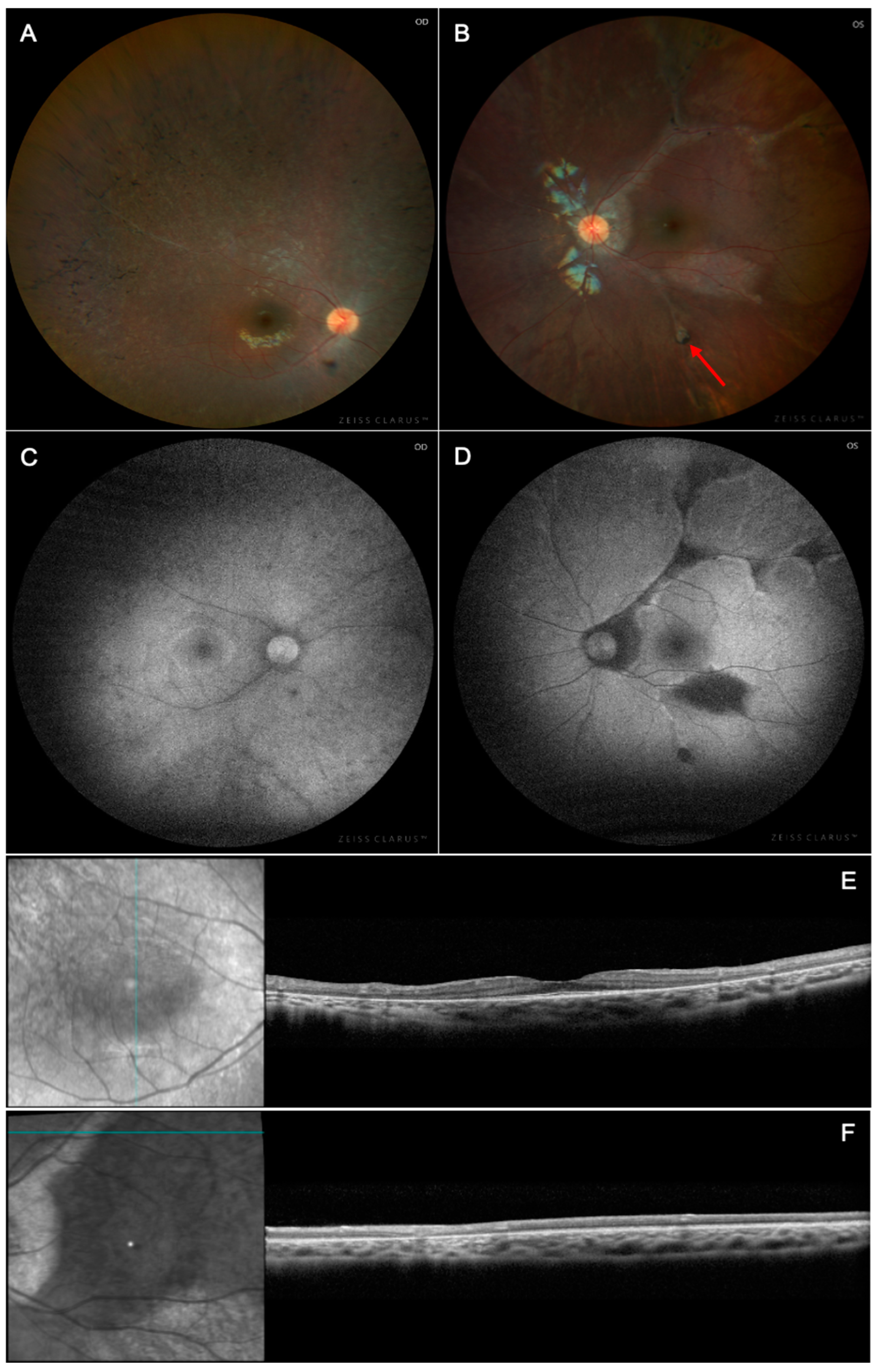
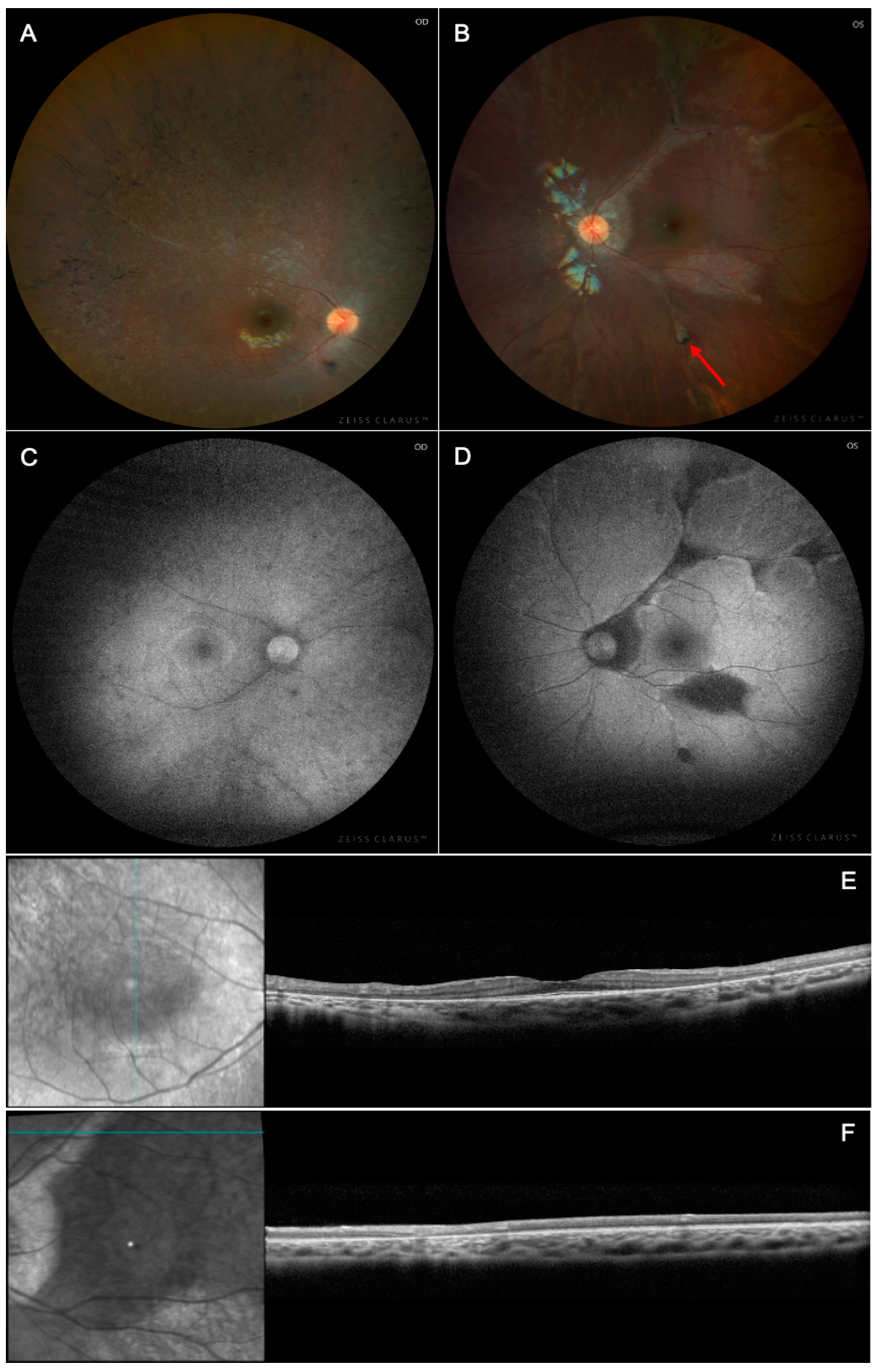
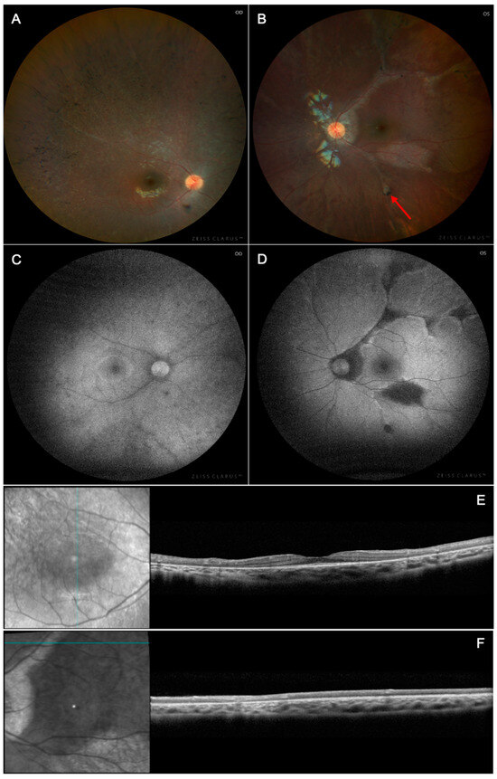
2.1. Case 1
2.2. Case 2
3. Discussion
4. Conclusions
Author Contributions
Funding
Institutional Review Board Statement
Informed Consent Statement
Data Availability Statement
Conflicts of Interest
References
- Rider, N.L.; Jameson, M.B.; Creech, C.B. Chronic Granulomatous Disease: Epidemiology, Pathophysiology, and Genetic Basis of Disease. J. Pediatr. Infect. Dis. Soc. 2018, 7 (Suppl. S1), S2–S5. [Google Scholar] [CrossRef] [PubMed]
- Marciano, B.E.; Spalding, C.; Fitzgerald, A.; Mann, D.; Brown, T.; Osgood, S.; Yockey, L.; Darnell, D.N.; Barnhart, L.; Daub, J.; et al. Common severe infections in chronic granulomatous disease. Clin. Infect. Dis. 2015, 60, 1176–1183. [Google Scholar] [CrossRef] [PubMed]
- Battersby, A.C.; Cale, C.M.; Goldblatt, D.; Gennery, A.R. Clinical manifestations of disease in X-linked carriers of chronic granulomatous disease. J. Clin. Immunol. 2013, 33, 1276–1284. [Google Scholar] [CrossRef] [PubMed]
- Thomsen, I.P.; Smith, M.A.; Holland, S.M.; Creech, C.B. A Comprehensive Approach to the Management of Children and Adults with Chronic Granulomatous Disease. J. Allergy Clin. Immunol. Pract. 2016, 4, 1082–1088. [Google Scholar] [CrossRef] [PubMed]
- Chen, T.A.; Rayess, N.; Afshar, A.R.; Moshfeghi, D.M.; Duncan, J.L.; Campomanes, A.G.d.A. Chorioretinal Findings as the Initial Presentation of Chronic Granulomatous Disease. Ophthalmic Surg. Lasers Imaging Retin. 2022, 53, 234–238. [Google Scholar] [CrossRef] [PubMed]
- Tsang, S.H.; Vaclavik, V.; Bird, A.C.; Robson, A.G.; Holder, G.E. Novel phenotypic and genotypic findings in X-linked retinoschisis. Arch. Ophthalmol. 2007, 125, 259–267. [Google Scholar] [CrossRef] [PubMed]
- Carson, M.J.; Chadwick, D.L.; Brubaker, C.A.; Cleland, R.S.; Landing, B.H. Thirteen boys with progressive septic granulomatosis. Pediatrics 1965, 35, 405–412. [Google Scholar] [CrossRef] [PubMed]
- Lyon, M.F. Gene action in the X-chromosome of the mouse (Mus musculus L.). Nature 1961, 190, 372–373. [Google Scholar] [CrossRef] [PubMed]
- Goldblatt, D.; Butcher, J.; Thrasher, A.J.; Russell-Eggitt, I. Chorioretinal lesions in patients and carriers of chronic granulomatous disease. J. Pediatr. 1999, 134, 780–783. [Google Scholar] [CrossRef] [PubMed]
- Marciano, B.E.; Zerbe, C.S.; Falcone, E.L.; Ding, L.; DeRavin, S.S.; Daub, J.; Kreuzburg, S.; Yockey, L.; Hunsberger, S.; Foruraghi, L.; et al. X-linked carriers of chronic granulomatous disease: Illness, lyonization, and stability. J. Allergy Clin. Immunol. 2018, 141, 365–371. [Google Scholar] [CrossRef] [PubMed]
- Cabral, T.; Sengillo, J.D.; Duong, J.K.; Justus, S.; Boudreault, K.; Schuerch, K.; Belfort, R.; Mahajan, V.B.; Sparrow, J.R.; Tsang, S.H. Retrospective Analysis of Structural Disease Progression in Retinitis Pigmentosa Utilizing Multimodal Imaging. Sci. Rep. 2017, 7, 10347. [Google Scholar] [CrossRef] [PubMed]
- Acton, J.H.; Greenberg, J.P.; Greenstein, V.C.; Marsiglia, M.; Tabacaru, M.; Smith, R.T.; Tsang, S.H. Evaluation of multimodal imaging in carriers of X-linked retinitis pigmentosa. Exp. Eye Res. 2013, 113, 41–48. [Google Scholar] [CrossRef] [PubMed]
- Wang, N.-K.; Fine, H.F.; Chang, S.; Chou, C.L.; Cella, W.; Tosi, J.; Lin, C.-S.; Nagasaki, T.; Tsang, S.H. Cellular origin of fundus autofluorescence in patients and mice with a defective NR2E3 gene. Br. J. Ophthalmol. 2009, 93, 1234–1240. [Google Scholar] [CrossRef] [PubMed]
- Creel, D.J. Electroretinograms. Handb. Clin. Neurol. 2019, 160, 481–493. [Google Scholar] [CrossRef] [PubMed]
- Winkelstein, J.A.; Marino, M.C.; Johnston, R.B.; Boyle, J.; Curnutte, J.; Gallin, J.I.; Malech, H.L.; Holland, S.M.; Ochs, H.; Quie, P.; et al. Chronic granulomatous disease. Report on a national registry of 368 patients. Medicine 2000, 79, 155–169. [Google Scholar] [CrossRef] [PubMed]





| Feature | Case 1 (3-Year-Old Girl) | Case 2 (5-Year-Old Girl) |
|---|---|---|
| Carrier Status | X-linked CGD Carrier | X-linked CGD Carrier |
| Presentation | Pale area on fundoscopy | Pale area on fundoscopy |
| Systemic History | None Reported | Hashimoto’s disease controlled with levothyroxine |
| Best-Corrected Visual Acuity (BCVA) | 20/30 +1 in both eyes | 20/30 in both eyes |
| Anterior Segment Findings | Unremarkable | Unremarkable |
| Dilated Fundus Examination | OD: Arterial attenuation, peripheral bone spicule pigmentation OS: Perivascular chorioretinal atrophy, peripheral bone spicule pigmentation, inferior punched-out lesion | OD: Temporal punched-out lesion OS: Superior hypopigmented lesion |
| Autofluorescence Imaging | OD: Hyperautofluorescent ring around macula OS: Hypoautofluorescent perivascular areas and inferior punched-out lesions | OD: Temporal hypoautofluorescent lesion OS: Superior hyperautofluorescent lesion |
| Optical Coherence Tomography (OCT) | OD: Retinal collapse perivascularly OS: Ellipsoid zone disruption with foveal sparing | Unremarkable |
| Follow-up Fundus Changes | Stable chorioretinal findings over time | Peripheral mottling and intraretinal pigment migration |
| Full-Field Electroretinogram (ff-ERG) | Rod–cone dysfunction | Full scotopic and photopic function |
| Genetic Testing Results | Variants of uncertain significance (PDE6B and ZNF423); expanded panel negative Dihydrorhodamine testing confirming CYBB carrier status | Dihydrorhodamine testing confirming CYBB carrier status |
| Final Diagnosis | CGD carrier with chorioretinal changes likely due to lyonization | CGD carrier with chorioretinal changes likely due to lyonization |
| Patient ID | Scotopic Response OD and OS B Wave (µV) | Scotopic Response Time OD and OS (ms) | Maximum Response OD and OS A Wave (µV) | Maximum Response OD and OS B Wave (µV) | Cone Response OD and OS A Wave (µV) | Cone Response OD and OS B Wave (µV) | 30 Hz Photopic Flicker OD and OS (µV) | 30 Hz Flicker Implicit Time OD and OS (ms) |
|---|---|---|---|---|---|---|---|---|
| P1 | 4.087/45.84 | 100/69 | −0.537/−57.2 | 8.529/66.26 | −0.985/−9.89 | 17.22/40/25 | 5.01/35.3 | 25/25 |
| P2 | 142.2/163.9 | 98/85 | −158.5/−154.3 | 223.1/252.8 | −20.02/−30.59 | 52.11/99.57 | 39.03/68.9 | 25/25 |
Disclaimer/Publisher’s Note: The statements, opinions and data contained in all publications are solely those of the individual author(s) and contributor(s) and not of MDPI and/or the editor(s). MDPI and/or the editor(s) disclaim responsibility for any injury to people or property resulting from any ideas, methods, instructions or products referred to in the content. |
© 2025 by the authors. Licensee MDPI, Basel, Switzerland. This article is an open access article distributed under the terms and conditions of the Creative Commons Attribution (CC BY) license (https://creativecommons.org/licenses/by/4.0/).
Share and Cite
Bailey, J.A.; Kong, M.D.; Piamjitchol, C.; Hou, B.; Exinor, A.; Nayak, A.; Heaps, N.; Demirkol, A.; Tsang, S.H. X-Linked CGD Chorioretinitis in Two Young Girls. Biomedicines 2025, 13, 323. https://doi.org/10.3390/biomedicines13020323
Bailey JA, Kong MD, Piamjitchol C, Hou B, Exinor A, Nayak A, Heaps N, Demirkol A, Tsang SH. X-Linked CGD Chorioretinitis in Two Young Girls. Biomedicines. 2025; 13(2):323. https://doi.org/10.3390/biomedicines13020323
Chicago/Turabian StyleBailey, Johnathan Abraham, Maximilian Daechul Kong, Chanakarn Piamjitchol, Baichun Hou, Abdhel Exinor, Antara Nayak, Noah Heaps, Aykut Demirkol, and Stephen H. Tsang. 2025. "X-Linked CGD Chorioretinitis in Two Young Girls" Biomedicines 13, no. 2: 323. https://doi.org/10.3390/biomedicines13020323
APA StyleBailey, J. A., Kong, M. D., Piamjitchol, C., Hou, B., Exinor, A., Nayak, A., Heaps, N., Demirkol, A., & Tsang, S. H. (2025). X-Linked CGD Chorioretinitis in Two Young Girls. Biomedicines, 13(2), 323. https://doi.org/10.3390/biomedicines13020323

