NeuroAiDTM-II (MLC901) Promoted Neurogenesis by Activating the PI3K/AKT/GSK-3β Signaling Pathway in Rat Spinal Cord Injury Models
Abstract
1. Introduction
2. Methodology
2.1. Calibrated Forceps Compression Injury
2.2. MLC901 Treatment and Study Groups
2.3. Statistical Analysis
3. Results
3.1. Effect of MLC901 Treatment on the General Health, Body Weight, and Autonomic Functions
3.2. MLC901 Facilitates Locomotor Functional Recovery and Ameliorates Tissue Damage Following SCI
3.3. Somatosensory Evoked Potentials (SEPs) Improved after MLC901 Treatment in Mechanically Injured Rats
3.4. The Lesion Size, Tissue Loss, and Cystic Cavitation after Mechanical Injury and Neuroprotective Activity of MLC901
3.5. Effect of MLC901 Treatment on GAP-43 and GFAP Expression
3.5.1. Growth-Associated Protein 43 (GAP-43) Expression
3.5.2. Astrocytic Scar Formation and GFAP Expression
3.5.3. Double Staining Analysis
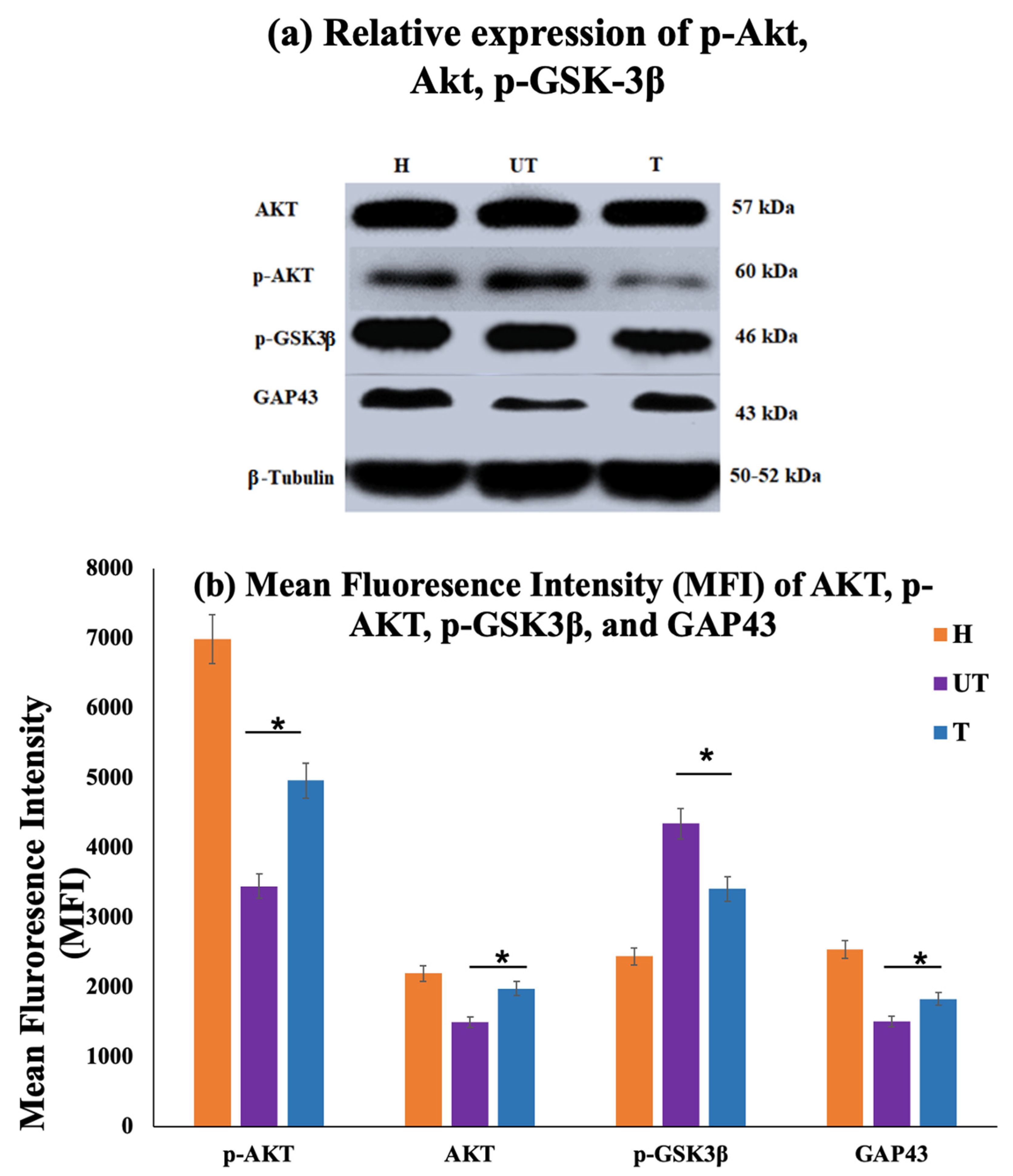
3.6. MLC901 Promoted Neurogenesis and Activated the PI3K/AKT/GSK-3β Signaling Pathway
3.6.1. PI3K/AKT Signaling Pathway Activation
3.6.2. Neurogenesis and GAP-43 Expression
3.6.3. GSK-3β and Apoptosis
3.6.4. Neuroprotection and Neurogenesis
3.6.5. Anti-Apoptotic Effects
3.7. Assessment of Hepatotoxicity and Nephrotoxicity Associated with MLC901 Treatment
4. Discussion
5. Conclusions
Supplementary Materials
Author Contributions
Funding
Institutional Review Board Statement
Informed Consent Statement
Data Availability Statement
Acknowledgments
Conflicts of Interest
References
- Hu, X.; Xu, W.; Ren, Y.; Wang, Z.; He, X.; Huang, R.; Ma, B.; Zhao, J.; Zhu, R.; Cheng, L. Spinal cord injury: Molecular mechanisms and therapeutic interventions. Signal Transduct. Target. Ther. 2023, 8, 245. [Google Scholar] [CrossRef]
- Anjum, A.; Yazid, M.D.i.; Fauzi Daud, M.; Idris, J.; Ng, A.M.H.; Selvi Naicker, A.; Ismail, O.H.R.; Athi Kumar, R.K.; Lokanathan, Y. Spinal cord injury: Pathophysiology, multimolecular interactions, and underlying recovery mechanisms. Int. J. Mol. Sci. 2020, 21, 7533. [Google Scholar] [CrossRef] [PubMed]
- Zheng, B.; Kuang, Y.; Yuan, D.; Huang, H.; Liu, S. The research landscape of immunology research in spinal cord injury from 2012 to 2022. JOR Spine 2023, 6, e1261. [Google Scholar] [CrossRef] [PubMed]
- Anjum, A.; Cheah, Y.J.; Yazid, M.D.I.; Daud, M.F.; Idris, J.; Ng, M.H.; Naicker, A.S.; Ismail, O.H.; Athi Kumar, R.K.; Tan, G.C. Protocol paper: Kainic acid excitotoxicity-induced spinal cord injury paraplegia in Sprague–Dawley rats. Biol. Res. 2022, 55, 38. [Google Scholar] [CrossRef]
- Zhang, W.; Xu, H.; Li, C.; Han, B.; Zhang, Y. Exploring Chinese herbal medicine for ischemic stroke: Insights into microglia and signaling pathways. Front. Pharmacol. 2024, 15, 1333006. [Google Scholar] [CrossRef]
- Ren, Z.-X.; Xu, J.-H.; Cheng, X.; Xu, G.-X.; Long, H.-Q. Pathophysiological mechanisms of chronic compressive spinal cord injury due to vascular events. Neural Regen. Res. 2023, 18, 790–796. [Google Scholar]
- Li, W.; Tang, T.; Yao, S.; Zhong, S.; Fan, Q.; Zou, T. Low-dose Lipopolysaccharide Alleviates Spinal Cord Injury-induced Neuronal Inflammation by Inhibiting microRNA-429-mediated Suppression of PI3K/AKT/Nrf2 Signaling. Mol. Neurobiol. 2024, 61, 294–307. [Google Scholar] [CrossRef]
- Savikj, M.; Kostovski, E.; Lundell, L.S.; Iversen, P.O.; Massart, J.; Widegren, U. Altered oxidative stress and antioxidant defence in skeletal muscle during the first year following spinal cord injury. Physiol. Rep. 2019, 7, e14218. [Google Scholar] [CrossRef] [PubMed]
- Wei, P.; Yang, F.; Zheng, Q.; Tang, W.; Li, J. The potential role of the NLRP3 inflammasome activation as a link between mitochondria ROS generation and neuroinflammation in postoperative cognitive dysfunction. Front. Cell. Neurosci. 2019, 13, 73. [Google Scholar] [CrossRef]
- Young, S.H.; Zhao, Y.; Koh, A.; Singh, R.; Chan, B.P.; Chang, H.M.; Venketasubramanian, N.; Chen, C. Safety profile of MLC601 (Neuroaid®) in acute ischemic stroke patients: A Singaporean substudy of the Chinese medicine neuroaid efficacy on stroke recovery study. Cerebrovasc. Dis. 2010, 30, 1–6. [Google Scholar] [CrossRef]
- Chen, C.; Venketasubramanian, N.; Gan, R.N.; Lambert, C.; Picard, D.; Chan, B.P.; Chan, E.; Bousser, M.G.; Xuemin, S. Danqi Piantang Jiaonang (DJ), a traditional Chinese medicine, in poststroke recovery. Stroke 2009, 40, 859–863. [Google Scholar] [CrossRef] [PubMed]
- Anjum, A.; Yazid, M.D.; Daud, M.F.; Idris, J.; Ng, A.M.H.; Naicker, A.S.; Ismail, O.H.; Athi Kumar, R.K.; Lokanathan, Y. Mechanical scratch injury on differentiated motor neuron of NSC-34 cells as an in vitro model for evaluation of neuroregeneration potential of NeuroAiD II (MLC901). Vitr. Models 2024, 3, 65–79. [Google Scholar] [CrossRef]
- Heurteaux, C.; Gandin, C.; Borsotto, M.; Widmann, C.; Brau, F.; Lhuillier, M.; Onteniente, B.; Lazdunski, M. Neuroprotective and neuroproliferative activities of NeuroAid (MLC601, MLC901), a Chinese medicine, in vitro and in vivo. Neuropharmacology 2010, 58, 987–1001. [Google Scholar] [CrossRef]
- Zhang, C.; Tao, W.; Zhang, J.; Liu, M.; Li, J. Neuroaid for improving recovery after ischemic stroke. Cochrane Database Syst. Rev. 2017, 2017, CD009757. [Google Scholar] [CrossRef]
- Al Fauzi, A.; Prihastomo, K.T.; Ranuh, I.A.R.; Apriawan, T.; Wahyuhadi, J.; Parenrengi, M.A.; Turchan, A.; Bajamal, A.H.; Notobroto, H.B. Clinical outcomes of MLC601 (NeuroAiDTM) in traumatic brain injury: A pilot study. Brain Sci. 2020, 10, 60. [Google Scholar] [CrossRef] [PubMed]
- Quintard, H.; Lorivel, T.; Gandin, C.; Lazdunski, M.; Heurteaux, C. MLC901, a Traditional Chinese Medicine induces neuroprotective and neuroregenerative benefits after traumatic brain injury in rats. Neuroscience 2014, 277, 72–86. [Google Scholar] [CrossRef]
- Dan, Q.Q.; Ma, Z.; Tan, Y.X.; Visar, B.; Chen, L. AQP4 knockout promotes neurite outgrowth via upregulating GAP43 expression in infant rats with hypoxic-ischemic brain injury. Ibrain 2022, 8, 324–337. [Google Scholar] [CrossRef]
- Kiss Bimbova, K.; Bacova, M.; Kisucka, A.; Gálik, J.; Ileninova, M.; Kuruc, T.; Magurova, M.; Lukacova, N. Impact of Endurance Training on Regeneration of Axons, Glial Cells, and Inhibitory Neurons after Spinal Cord Injury: A Link between Functional Outcome and Regeneration Potential within the Lesion Site and in Adjacent Spinal Cord Tissue. Int. J. Mol. Sci. 2023, 24, 8616. [Google Scholar] [CrossRef]
- Kawasaki, A.; Okada, M.; Tamada, A.; Okuda, S.; Nozumi, M.; Ito, Y.; Kobayashi, D.; Yamasaki, T.; Yokoyama, R.; Shibata, T. Growth cone phosphoproteomics reveals that GAP-43 phosphorylated by JNK is a marker of axon growth and regeneration. iScience 2018, 4, 190–203. [Google Scholar] [CrossRef]
- Abdelhak, A.; Foschi, M.; Abu-Rumeileh, S.; Yue, J.K.; D’Anna, L.; Huss, A.; Oeckl, P.; Ludolph, A.C.; Kuhle, J.; Petzold, A. Blood GFAP as an emerging biomarker in brain and spinal cord disorders. Nat. Rev. Neurol. 2022, 18, 158–172. [Google Scholar] [CrossRef]
- Xiao, C.-L.; Yin, W.-C.; Zhong, Y.-C.; Luo, J.-Q.; Liu, L.-L.; Liu, W.-Y.; Zhao, K. The role of PI3K/Akt signalling pathway in spinal cord injury. Biomed. Pharmacother. 2022, 156, 113881. [Google Scholar] [CrossRef]
- Pottoo, F.H.; Sharma, S.; Javed, M.N.; Barkat, M.A.; Harshita; Alam, M.S.; Naim, M.J.; Alam, O.; Ansari, M.A.; Barreto, G.E. Lipid-based nanoformulations in the treatment of neurological disorders. Drug Metab. Rev. 2020, 52, 185–204. [Google Scholar] [CrossRef] [PubMed]
- Gaesser, J.M.; Fyffe-Maricich, S.L. Intracellular signaling pathway regulation of myelination and remyelination in the CNS. Exp. Neurol. 2016, 283, 501–511. [Google Scholar] [CrossRef] [PubMed]
- Zhang, J.; Yang, D.; Huang, H.; Sun, Y.; Hu, Y. Coordination of necessary and permissive signals by PTEN inhibition for CNS axon regeneration. Front. Neurosci. 2018, 12, 558. [Google Scholar] [CrossRef]
- McDonough, A.; Monterrubio, A.; Ariza, J.; Martínez-Cerdeño, V. Calibrated forceps model of spinal cord compression injury. J. Vis. Exp. 2015, 98, 52318. [Google Scholar]
- Hu, Y.; Sun, Y.F.; Yuan, H.; Liu, J.; Chen, L.; Liu, D.H.; Xu, Y.; Zhou, X.F.; Ding, L.; Zhang, Z.T. Vof16-miR-185-5p-GAP43 network improves the outcomes following spinal cord injury via enhancing self-repair and promoting axonal growth. CNS Neurosci. Ther. 2024, 30, e14535. [Google Scholar] [CrossRef] [PubMed]
- Liu, J.-L.; Wang, S.; Chen, Z.-H.; Wu, R.-J.; Yu, H.-Y.; Yang, S.-B.; Xu, J.; Guo, Y.-N.; Ding, Y.; Li, G. The therapeutic mechanism of transcranial iTBS on nerve regeneration and functional recovery in rats with complete spinal cord transection. Front. Immunol. 2023, 14, 1153516. [Google Scholar] [CrossRef] [PubMed]
- Jeffery, N.D.; Brakel, K.; Aceves, M.; Hook, M.A.; Jeffery, U.B. Variability in open-field locomotor scoring following force-defined spinal cord injury in rats: Quantification and implications. Front. Neurol. 2020, 11, 650. [Google Scholar] [CrossRef]
- Engesser-Cesar, C.; Anderson, A.J.; Basso, D.M.; Edgerton, V.; Cotman, C.W. Voluntary wheel running improves recovery from a moderate spinal cord injury. J. Neurotrauma 2005, 22, 157–171. [Google Scholar] [CrossRef]
- Engesser-Cesar, C.; Ichiyama, R.M.; Nefas, A.L.; Hill, M.A.; Edgerton, V.R.; Cotman, C.W.; Anderson, A.J. Wheel running following spinal cord injury improves locomotor recovery and stimulates serotonergic fiber growth. Eur. J. Neurosci. 2007, 25, 1931–1939. [Google Scholar] [CrossRef]
- Chomiak, T.; Block, E.W.; Brown, A.R.; Teskey, G.C.; Hu, B. Development and testing of a new system for assessing wheel-running behaviour in rodents. BMC Res. Notes 2016, 9, 262. [Google Scholar] [CrossRef] [PubMed]
- Ahmed, R.U.; Alam, M.; Zheng, Y.-P. Experimental spinal cord injury and behavioral tests in laboratory rats. Heliyon 2019, 5, e01324. [Google Scholar] [CrossRef]
- Blanco-Lezcano, L.; Alberti Amador, E.; González Fraguela, M.E.; Larrea, G.Z.L.d.; Pérez Serrano, R.M.; Jiménez Luna, N.A.; Camejo Rodríguez, D.; Serrano Sánchez, T.; Francis Turner, L.; Estupiñán Díaz, B. Motor Coordination Disorders Evaluated through the Grid Test and Changes in the Nigral Nrf2 mRNA Expression in Rats with Pedunculopontine Lesion. Behav. Sci. 2020, 10, 156. [Google Scholar] [CrossRef] [PubMed]
- Zhang, J.; Chen, H.; Duan, Z.; Chen, K.; Liu, Z.; Zhang, L.; Yao, D.; Li, B. The effects of co-transplantation of olfactory ensheathing cells and Schwann cells on local inflammation environment in the contused spinal cord of rats. Mol. Neurobiol. 2017, 54, 943–953. [Google Scholar] [CrossRef]
- Fu, J.; Sun, H.; Wei, H.; Dong, M.; Zhang, Y.; Xu, W.; Fang, Y.; Zhao, J. Astaxanthin alleviates spinal cord ischemia-reperfusion injury via activation of PI3K/Akt/GSK-3 β pathway in rats. J. Orthop. Surg. Res. 2020, 15, 275. [Google Scholar] [CrossRef] [PubMed]
- Diez, H.; Garrido, J.J.; Wandosell, F. Specific roles of Akt iso forms in apoptosis and axon growth regulation in neurons. PLoS ONE 2012, 7, e32715. [Google Scholar] [CrossRef] [PubMed]
- Lee, W.T.; Hsian, C.C.L.; Lim, Y.-A. The effects of MLC901 on tau phosphorylation. Neuroreport 2017, 28, 1043–1048. [Google Scholar] [CrossRef]
- Maati, H.M.O.; Borsotto, M.; Chatelain, F.; Widmann, C.; Lazdunski, M.; Heurteaux, C. Activation of ATP-sensitive potassium channels as an element of the neuroprotective effects of the Traditional Chinese Medicine MLC901 against oxygen glucose deprivation. Neuropharmacology 2012, 63, 692–700. [Google Scholar] [CrossRef]
- Chen, C.L.; Lu, Q.; Moorakonda, R.B.; Kandiah, N.; Tan, B.Y.; Villaraza, S.G.; Cano, J.; Venketasubramanian, N. Alzheimer’s disease THErapy with NEuroaid (ATHENE): A randomized double-blind delayed-start trial. J. Am. Med. Dir. Assoc. 2022, 23, 379–386.e3. [Google Scholar] [CrossRef]
- Barbiellini Amidei, C.; Salmaso, L.; Bellio, S.; Saia, M. Epidemiology of traumatic spinal cord injury: A large population-based study. Spinal Cord 2022, 60, 812–819. [Google Scholar] [CrossRef]
- Kim, H.J.J.; Zagzoog, A.; Black, T.; Baccetto, S.L.; Ezeaka, U.C.; Laprairie, R.B. Impact of the mouse estrus cycle on cannabinoid receptor agonist-induced molecular and behavioral outcomes. Pharmacol. Res. Perspect. 2022, 10, e00950. [Google Scholar] [CrossRef]
- Lovick, T.A.; Zangrossi, H., Jr. Effect of estrous cycle on behavior of females in rodent tests of anxiety. Front. Psychiatry 2021, 12, 711065. [Google Scholar] [CrossRef] [PubMed]
- Ebrahimi-Ghiri, M.; Alijanpour, S.; Khakpai, F.; Zarrindast, M.R. Antidepressant efficacy of MLC901 in the 6-hydroxydopamine mice model of Parkinson’s disease. Physiol. Pharmacol. 2021, 25, 328–333. [Google Scholar] [CrossRef]
- Islam, A.A.; Hatta, M.; Adhimarta, W.; Faris, M.; Mustamir, N.; Bukhari, A.; Kaelan, C.; Hendarto, J.; Imran, N.H.; Rosyidi, R.M. The role of MLC901 in reducing VEGF as a vascular permeability marker in rats with spinal cord injury. Ann. Med. Surg. 2022, 75, 103344. [Google Scholar]
- Lee, D.H.; Cao, D.; Moon, Y.; Chen, C.; Liu, N.K.; Xu, X.M.; Wu, W. Enhancement of motor functional recovery in thoracic spinal cord injury: Voluntary wheel running versus forced treadmill exercise. Neural Regen. Res. 2025, 20, 836–844. [Google Scholar] [CrossRef]
- Pajoohesh-Ganji, A.; Byrnes, K.R.; Fatemi, G.; Faden, A.I. A combined scoring method to assess behavioral recovery after mouse spinal cord injury. Neurosci. Res. 2010, 67, 117–125. [Google Scholar] [CrossRef]
- Stępniewska, A.; Budnik, M.; Krzemiński, K.; Niewiadomski, W.; Gąsiorowska, A.; Opolski, G.; Kochanowski, J.; Mieczkowska, K.; Żukowska, K.; Szepietowska, K.; et al. Impaired hemodynamic response to tilt, handgrip and Valsalva manoeuvre in patients with takotsubo syndrome. Auton. Neurosci. 2019, 220, 102555. [Google Scholar] [CrossRef]








Disclaimer/Publisher’s Note: The statements, opinions and data contained in all publications are solely those of the individual author(s) and contributor(s) and not of MDPI and/or the editor(s). MDPI and/or the editor(s) disclaim responsibility for any injury to people or property resulting from any ideas, methods, instructions or products referred to in the content. |
© 2024 by the authors. Licensee MDPI, Basel, Switzerland. This article is an open access article distributed under the terms and conditions of the Creative Commons Attribution (CC BY) license (https://creativecommons.org/licenses/by/4.0/).
Share and Cite
Anjum, A.; Yazid, M.D.; Daud, M.F.; Idris, J.; Ng, A.M.H.; Naicker, A.S.; Rashidah Ismail, O.H.; Athi Kumar, R.K.; Lokanathan, Y. NeuroAiDTM-II (MLC901) Promoted Neurogenesis by Activating the PI3K/AKT/GSK-3β Signaling Pathway in Rat Spinal Cord Injury Models. Biomedicines 2024, 12, 1920. https://doi.org/10.3390/biomedicines12081920
Anjum A, Yazid MD, Daud MF, Idris J, Ng AMH, Naicker AS, Rashidah Ismail OH, Athi Kumar RK, Lokanathan Y. NeuroAiDTM-II (MLC901) Promoted Neurogenesis by Activating the PI3K/AKT/GSK-3β Signaling Pathway in Rat Spinal Cord Injury Models. Biomedicines. 2024; 12(8):1920. https://doi.org/10.3390/biomedicines12081920
Chicago/Turabian StyleAnjum, Anam, Muhammad Dain Yazid, Muhammad Fauzi Daud, Jalilah Idris, Angela Min Hwei Ng, Amaramalar Selvi Naicker, Ohnmar Htwe Rashidah Ismail, Ramesh Kumar Athi Kumar, and Yogeswaran Lokanathan. 2024. "NeuroAiDTM-II (MLC901) Promoted Neurogenesis by Activating the PI3K/AKT/GSK-3β Signaling Pathway in Rat Spinal Cord Injury Models" Biomedicines 12, no. 8: 1920. https://doi.org/10.3390/biomedicines12081920
APA StyleAnjum, A., Yazid, M. D., Daud, M. F., Idris, J., Ng, A. M. H., Naicker, A. S., Rashidah Ismail, O. H., Athi Kumar, R. K., & Lokanathan, Y. (2024). NeuroAiDTM-II (MLC901) Promoted Neurogenesis by Activating the PI3K/AKT/GSK-3β Signaling Pathway in Rat Spinal Cord Injury Models. Biomedicines, 12(8), 1920. https://doi.org/10.3390/biomedicines12081920

