Lymphocytic Myocarditis in Children with Parvovirus B19 Infection: Pathological and Molecular Insights
Abstract
1. Introduction
2. Materials and Methods
2.1. Patients
2.2. Histology and Immunohistochemistry in EMB
2.3. PCR
2.4. Quantification of B19V DNA via PCR
2.5. In Situ Hybridization (ISH)
2.6. Statistical Analyses
2.7. Ethic Statement
3. Results
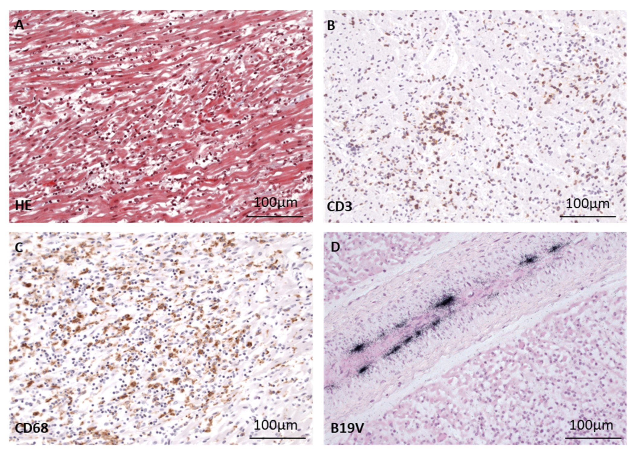
3.1. B19V DNA Is Detected in EMB from Children with Acute or Chronic Lymphocytic Myocarditis
3.2. Correlation of Immune Cell Infiltrates in Myocardium with B19V Infection in the Heart and Blood
3.3. High Viral Load in Multiple Organs in Children with Acute B19V Infection
3.4. Localization of B19V DNA in Various Organs via ISH
3.5. Identification of B19V-Infected Splenic Immune Cells via Double Labeling
3.6. Detection of Virus Replication Using Sense and Antisense B19V DNA Probes via Non-Radioactive ISH
4. Discussion
Author Contributions
Funding
Institutional Review Board Statement
Informed Consent Statement
Data Availability Statement
Acknowledgments
Conflicts of Interest
References
- Bock, C.T.; Klingel, K.; Kandolf, R. Human Parvovirus B19-Associated Myocarditis. N. Engl. J. Med. 2010, 362, 1248–1249. [Google Scholar] [CrossRef] [PubMed]
- Broliden, K.; Tolfvenstam, T.; Norbeck, O. Clinical Aspects of Parvovirus B19 Infection. J. Intern. Med. 2006, 260, 285–304. [Google Scholar] [CrossRef] [PubMed]
- Young, N.S.; Brown, K.E. Parvovirus B19. N. Engl. J. Med. 2004, 350, 586–597. [Google Scholar] [CrossRef] [PubMed]
- Klingel, K.; Sauter, M.; Bock, C.T.; Szalay, G.; Schnorr, J.J.; Kandolf, R. Molecular Pathology of Inflammatory Cardiomyopathy. Med. Microbiol. Immunol. 2004, 193, 101–107. [Google Scholar] [CrossRef] [PubMed]
- Bultmann, B.D.; Klingel, K.; Sotlar, K.; Bock, C.T.; Baba, H.A.; Sauter, M.; Kandolf, R. Fatal Parvovirus B19-Associated Myocarditis Clinically Mimicking Ischemic Heart Disease: An Endothelial Cell-Mediated Disease. Hum. Pathol. 2003, 34, 92–95. [Google Scholar] [CrossRef] [PubMed]
- Esmel-Vilomara, R.; Dolader, P.; Izquierdo-Blasco, J.; Balcells, J.; Sorli, M.; Escudero, F.; Vera, E.; Gran, F. Parvovirus B19 Myocarditis in Children: A Diagnostic and Therapeutic Approach. Eur. J. Pediatr. 2022, 181, 2045–2053. [Google Scholar] [CrossRef] [PubMed]
- Simpson, K.E.; Storch, G.A.; Lee, C.K.; Ward, K.E.; Danon, S.; Simon, C.M.; Delaney, J.; Tong, A.; Canter, C.E. High Frequency of Detection by PCR of Viral Nucleic Acid in the Blood of Infants Presenting with Clinical Myocarditis. Pediatr. Cardiol. 2016, 37, 399–404. [Google Scholar] [CrossRef] [PubMed]
- Soderlund-Venermo, M.; Hokynar, K.; Nieminen, J.; Rautakorpi, H.; Hedman, K. Persistence of Human Parvovirus B19 in Human Tissues. Pathol. Biol. 2002, 50, 307–316. [Google Scholar] [CrossRef]
- Kuhl, U.; Pauschinger, M.; Seeberg, B.; Lassner, D.; Noutsias, D.; Poller, W.; Schultheiss, H.P. Viral Persistence in the Myocardium is Associated with Progressive Cardiac Dysfunction. Circulation 2005, 112, 1965–1970. [Google Scholar] [CrossRef]
- Tschope, C.; Bock, C.T.; Kasner, M.; Noutsias, M.; Westermann, D.; Schwimmbeck, P.L.; Pauschinger, M.; Poller, W.C.; Kuhl, U.; Kandolf, R.; et al. High Prevalence of Cardiac Parvovirus B19 Infection in Patients with Isolated Left Ventricular Diastolic Dysfunction. Circulation 2005, 111, 879–886. [Google Scholar] [CrossRef]
- Caforio, A.L.; Pankuweit, S.; Arbustini, E.; Basso, C.; Gimeno-Blanes, J.; Felix, S.B.; Fu, M.; Helio, T.; Heymans, S.; Jahns, R.; et al. Current State of Knowledge on Aetiology, Diagnosis, Management, and Therapy of Myocarditis: A Position Statement of the European Society of Cardiology Working Group on Myocardial and Pericardial Diseases. Eur. Heart J. 2013, 34, 2636–2648. [Google Scholar] [CrossRef] [PubMed]
- Ho, H.T.; Peischard, S.; Strutz-Seebohm, N.; Seebohm, G. Virus-Host Interactions of Enteroviruses and Parvovirus B19 in Myocarditis. Cell. Physiol. Biochem. 2021, 55, 679–703. [Google Scholar] [PubMed]
- Brown, K.E.; Young, N.S. Parvovirus B19 Infection and Hematopoiesis. Blood. Rev. 1995, 9, 176–182. [Google Scholar] [CrossRef]
- Aretz, H.T. Myocarditis: The Dallas Criteria. Hum. Pathol. 1987, 18, 619–624. [Google Scholar] [CrossRef]
- Greulich, S.; Kindermann, I.; Schumm, J.; Perne, A.; Birkmeier, S.; Grun, S.; Ong, P.; Schaufele, T.; Klingel, K.; Schneider, S.; et al. Predictors of Outcome in Patients with Parvovirus B19 Positive Endomyocardial Biopsy. Clin. Res. Cardiol. 2016, 105, 37–52. [Google Scholar] [CrossRef] [PubMed]
- Klingel, K.; Stephan, S.; Sauter, M.; Zell, R.; McManus, B.M.; Bultmann, B.; Kandolf, R. Pathogenesis of Murine Enterovirus Myocarditis: Virus Dissemination and Immune Cell Targets. J. Virol. 1996, 70, 8888–8895. [Google Scholar] [CrossRef]
- Molina, K.M.; Garcia, X.; Denfield, S.W.; Fan, Y.; Morrow, W.R.; Towbin, J.A.; Frazier, E.A.; Nelson, D.P. Parvovirus B19 Myocarditis Causes Significant Morbidity and Mortality in Children. Pediatr. Cardiol. 2013, 34, 390–397. [Google Scholar] [CrossRef]
- Nigro, G.; Bastianon, V.; Colloridi, V.; Ventriglia, F.; Gallo, P.; D’Amati, G.; Koch, W.C.; Adler, S.P. Human Parvovirus B19 Infection in Infancy Associated with Acute and Chronic Lymphocytic Myocarditis and High Cytokine Levels: Report of 3 Cases and Review. Clin. Infect. Dis. 2000, 31, 65–69. [Google Scholar] [CrossRef]
- Beck, R.; Exler, S.; Enders, M. Parvovirus B19-Infektion und Schwangerschaft. Epidemiol. Bull. 2024, 24, 1–10. [Google Scholar]
- Adkins, B.; Leclerc, C.; Marshall-Clarke, S. Neonatal Adaptive Immunity Comes of Age. Nat. Rev. Immunol. 2004, 4, 553–564. [Google Scholar] [CrossRef]
- Sharma, S.K.; Pichichero, M.E. Deficiencies in the Cd4(+) T-Helper Cell Arm of the Immune System of Neonates and Young Children. Pediatr. Allergy Immunol. Pulmonol. 2013, 26, 4–10. [Google Scholar] [CrossRef] [PubMed]
- Hassan, J.; Reen, D.J. Reduced Primary Antigen-Specific T-Cell Precursor Frequencies in Neonates is Associated with Deficient Interleukin-2 Production. Immunology 1996, 87, 604–608. [Google Scholar] [CrossRef] [PubMed]
- Zaghouani, H.; Hoeman, C.M.; Adkins, B. Neonatal Immunity: Faulty T-Helpers and the Shortcomings of Dendritic Cells. Trends Immunol. 2009, 30, 585–591. [Google Scholar] [CrossRef]
- Desombere, I.; Van Houtte, F.; Farhoudi, A.; Verhoye, L.; Buysschaert, C.; Gijbels, Y.; Couvent, S.; Swinnen, W.; Van Vlierberghe, H.; Elewaut, A.; et al. A Role for B Cells to Transmit Hepatitis C Virus Infection. Front. Immunol. 2021, 12, 775098. [Google Scholar] [CrossRef]
- Silva, J.M.; Alves, C.E.C.; Pontes, G.S. Epstein-Barr Virus: The Mastermind of Immune Chaos. Front. Immunol. 2024, 15, 1297994. [Google Scholar] [CrossRef] [PubMed]
- Pyoria, L.; Toppinen, M.; Mantyla, E.; Hedman, L.; Aaltonen, L.M.; Vihinen-Ranta, M.; Ilmarinen, T.; Soderlund-Venermo, M.; Hedman, K.; Perdomo, M.F. Extinct Type of Human Parvovirus B19 Persists in Tonsillar B Cells. Nat. Commun. 2017, 8, 14930. [Google Scholar] [CrossRef]
- von Kietzell, K.; Pozzuto, T.; Heilbronn, R.; Grossl, T.; Fechner, H.; Weger, S. Antibody-Mediated Enhancement of Parvovirus B19 Uptake into Endothelial Cells Mediated by a Receptor for Complement Factor C1q. J. Virol. 2014, 88, 8102–8115. [Google Scholar] [CrossRef]
- Immanuel, J.; Yun, S. Vascular Inflammatory Diseases and Endothelial Phenotypes. Cells 2023, 12, 1640. [Google Scholar] [CrossRef]
- Paik, D.T.; Tian, L.; Williams, I.M.; Rhee, S.; Zhang, H.; Liu, C.; Mishra, R.; Wu, S.M.; Red-Horse, K.; Wu, J.C. Single-Cell Rna Sequencing Unveils Unique Transcriptomic Signatures of Organ-Specific Endothelial Cells. Circulation 2020, 142, 1848–1862. [Google Scholar] [CrossRef]
- Wang, W.; Jia, H.; Hua, X.; Song, J. New Insights Gained from Cellular Landscape Changes in Myocarditis and Inflammatory Cardiomyopathy. Heart Fail. Rev. 2024, 29, 883–907. [Google Scholar] [CrossRef]
- Munakata, Y.; Saito-Ito, T.; Kumura-Ishii, K.; Huang, J.; Kodera, T.; Ishii, T.; Hirabayashi, Y.; Koyanagi, Y.; Sasaki, T. Ku80 Autoantigen as a Cellular Coreceptor for Human Parvovirus B19 Infection. Blood 2005, 106, 3449–3456. [Google Scholar] [CrossRef]
- Mrugacz, M.; Bryl, A.; Falkowski, M.; Zorena, K. Integrins: An Important Link between Angiogenesis, Inflammation and Eye Diseases. Cells 2021, 10, 1703. [Google Scholar] [CrossRef] [PubMed]
- Steiger, K.; Quigley, N.G.; Groll, T.; Richter, F.; Zierke, M.A.; Beer, A.J.; Weichert, W.; Schwaiger, M.; Kossatz, S.; Notni, J. There is a World Beyond Alphavbeta3-Integrin: Multimeric Ligands for Imaging of the Integrin Subtypes Alphavbeta6, Alphavbeta8, Alphavbeta3, and Alpha5beta1 by Positron Emission Tomography. EJNMMI Res. 2021, 11, 106. [Google Scholar] [CrossRef] [PubMed]
- Anwar, M.A.; Shalhoub, J.; Lim, C.S.; Gohel, M.S.; Davies, A.H. The Effect of Pressure-Induced Mechanical Stretch on Vascular Wall Differential Gene Expression. J. Vasc. Res. 2012, 49, 463–478. [Google Scholar] [CrossRef]
- Sol, N.; Le Junter, J.; Vassias, I.; Freyssinier, J.M.; Thomas, A.; Prigent, A.F.; Rudkin, B.B.; Fichelson, S.; Morinet, F. Possible Interactions between the Ns-1 Protein and Tumor Necrosis Factor Alpha Pathways in Erythroid Cell Apoptosis Induced by Human Parvovirus B19. J. Virol. 1999, 73, 8762–8770. [Google Scholar] [CrossRef] [PubMed]
- Gwechenberger, M.; Mendoza, L.H.; Youker, K.A.; Frangogiannis, N.G.; Smith, C.W.; Michael, L.H.; Entman, M.L. Cardiac Myocytes Produce Interleukin-6 in Culture and in Viable Border Zone of Reperfused Infarctions. Circulation 1999, 99, 546–551. [Google Scholar] [CrossRef]
- Poole, B.D.; Kivovich, V.; Gilbert, L.; Naides, S.J. Parvovirus B19 Nonstructural Protein-Induced Damage of Cellular DNA and Resultant Apoptosis. Int. J. Med. Sci. 2011, 8, 88–96. [Google Scholar] [CrossRef]
- Hsu, T.C.; Wu, W.J.; Chen, M.C.; Tsay, G.J. Human Parvovirus B19 Non-Structural Protein (Ns1) Induces Apoptosis through Mitochondria Cell Death Pathway in Cos-7 Cells. Scand. J. Infect. Dis. 2004, 36, 570–577. [Google Scholar] [CrossRef]
- Pankuweit, S.; Klingel, K. Viral Myocarditis: From Experimental Models to Molecular Diagnosis in Patients. Heart Fail. Rev. 2013, 18, 683–702. [Google Scholar] [CrossRef]
- Xu, P.; Zhou, Z.; Xiong, M.; Zou, W.; Deng, X.; Ganaie, S.S.; Kleiboeker, S.; Peng, J.; Liu, K.; Wang, S.; et al. Parvovirus B19 Ns1 Protein Induces Cell Cycle Arrest at G2-Phase by Activating the Atr-Cdc25c-Cdk1 Pathway. PLoS Pathog. 2017, 13, e1006266. [Google Scholar] [CrossRef]
- Bock, C.T.; Duchting, A.; Utta, F.; Brunner, E.; Sy, B.T.; Klingel, K.; Lang, F.; Gawaz, M.; Felix, S.B.; Kandolf, R. Molecular Phenotypes of Human Parvovirus B19 in Patients with Myocarditis. World. J. Cardiol. 2014, 6, 183–195. [Google Scholar] [CrossRef] [PubMed]
- Tzang, B.S.; Chiu, C.C.; Tsai, C.C.; Lee, Y.J.; Lu, I.J.; Shi, J.Y.; Hsu, T.C. Effects of Human Parvovirus B19 Vp1 Unique Region Protein on Macrophage Responses. J. Biomed. Sci. 2009, 16, 13. [Google Scholar] [CrossRef] [PubMed]
- Butin, M.; Mekki, Y.; Phan, A.; Billaud, G.; Di Filippo, S.; Javouhey, E.; Cochat, P.; Belot, A. Successful Immunotherapy in Life-Threatening Parvovirus B19 Infection in a Child. Pediatr. Infect. Dis. J. 2013, 32, 789–792. [Google Scholar] [CrossRef] [PubMed]







| Patient A | Patient B | |
|---|---|---|
| Heart | 58,800 | 7250 |
| Brain | 3490 | n.a. |
| Lung | 31,000 | 8000 |
| Lymph node | 439,250 | 475,000 |
| Spleen | 729,000 | 370,000 |
| Liver | 17,000 | 2700 |
| Kidney | 7400 | 5800 |
Disclaimer/Publisher’s Note: The statements, opinions and data contained in all publications are solely those of the individual author(s) and contributor(s) and not of MDPI and/or the editor(s). MDPI and/or the editor(s) disclaim responsibility for any injury to people or property resulting from any ideas, methods, instructions or products referred to in the content. |
© 2024 by the authors. Licensee MDPI, Basel, Switzerland. This article is an open access article distributed under the terms and conditions of the Creative Commons Attribution (CC BY) license (https://creativecommons.org/licenses/by/4.0/).
Share and Cite
Pelzl, L.; Mantino, S.; Sauter, M.; Manuylova, T.; Vogel, U.; Klingel, K. Lymphocytic Myocarditis in Children with Parvovirus B19 Infection: Pathological and Molecular Insights. Biomedicines 2024, 12, 1909. https://doi.org/10.3390/biomedicines12081909
Pelzl L, Mantino S, Sauter M, Manuylova T, Vogel U, Klingel K. Lymphocytic Myocarditis in Children with Parvovirus B19 Infection: Pathological and Molecular Insights. Biomedicines. 2024; 12(8):1909. https://doi.org/10.3390/biomedicines12081909
Chicago/Turabian StylePelzl, Lisann, Sabrina Mantino, Martina Sauter, Tatiana Manuylova, Ulrich Vogel, and Karin Klingel. 2024. "Lymphocytic Myocarditis in Children with Parvovirus B19 Infection: Pathological and Molecular Insights" Biomedicines 12, no. 8: 1909. https://doi.org/10.3390/biomedicines12081909
APA StylePelzl, L., Mantino, S., Sauter, M., Manuylova, T., Vogel, U., & Klingel, K. (2024). Lymphocytic Myocarditis in Children with Parvovirus B19 Infection: Pathological and Molecular Insights. Biomedicines, 12(8), 1909. https://doi.org/10.3390/biomedicines12081909

