Gray-Scale Median in Patients with Symptomatic and Asymptomatic Carotid Atherosclerosis—Risk Factors and Diagnostic Potential
Abstract
1. Introduction
2. Materials and Methods
2.1. Participants
2.2. Clinical and Biochemical Data Collection
2.2.1. Subjective Examination
2.2.2. Routine Biochemical Measurements
2.2.3. Physical Examination
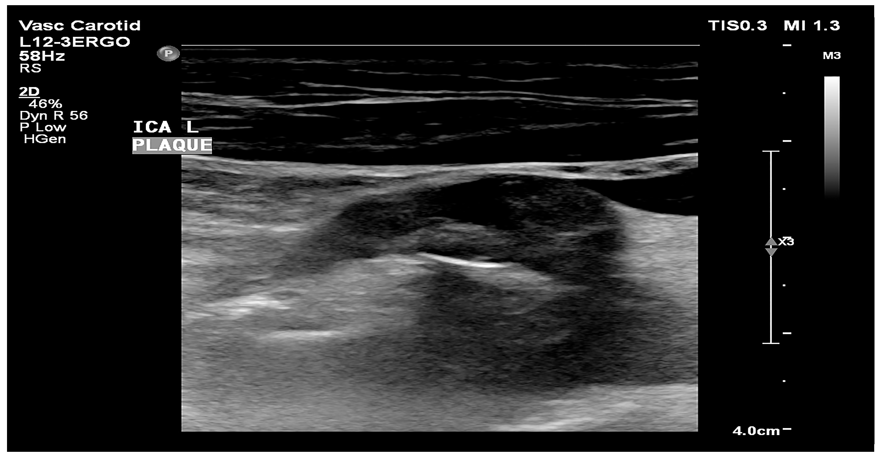
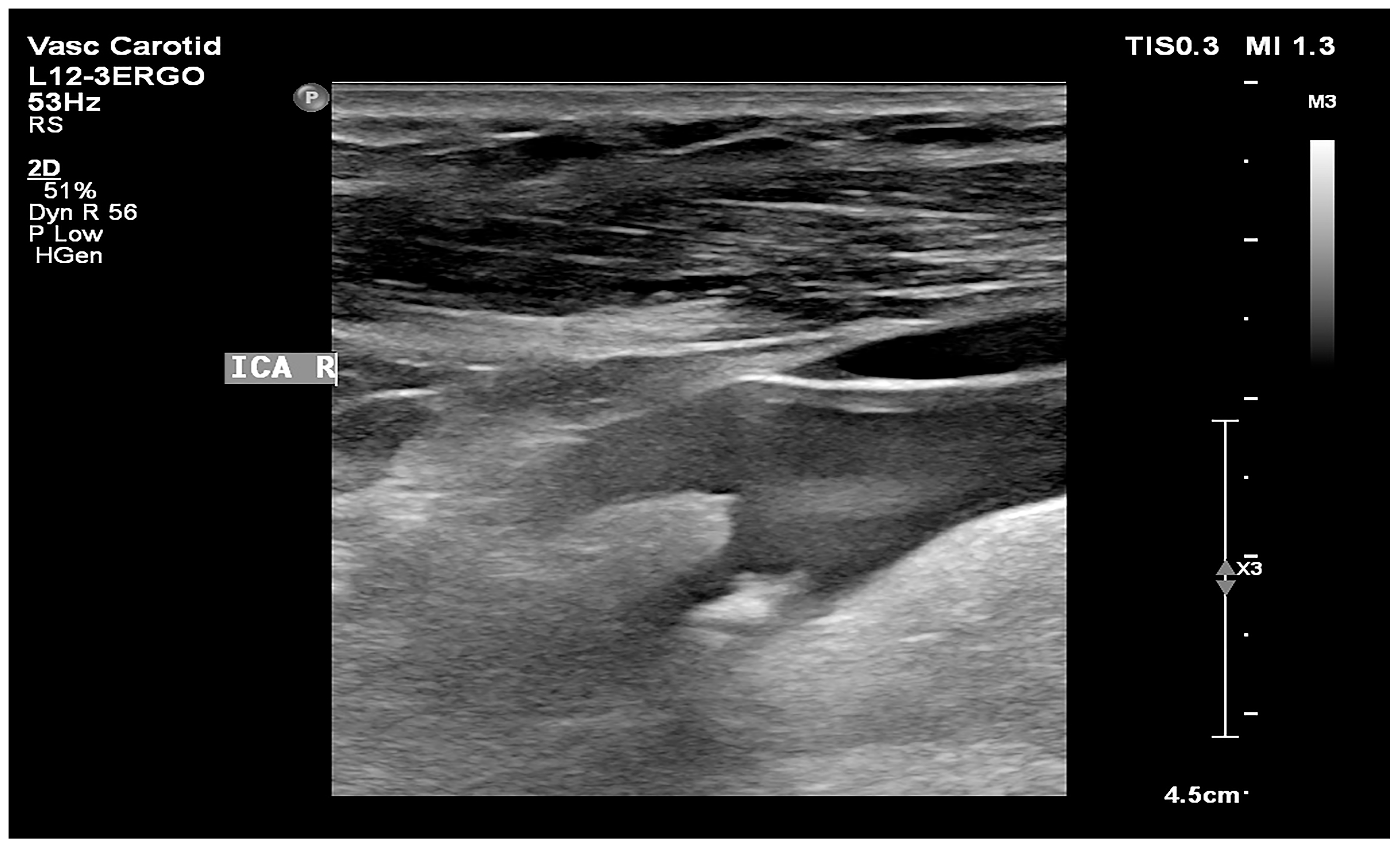
2.3. Ultrasound Examination and Carotid Plaque GSM Analysis
2.3.1. Ultrasound Evaluation
- (a)
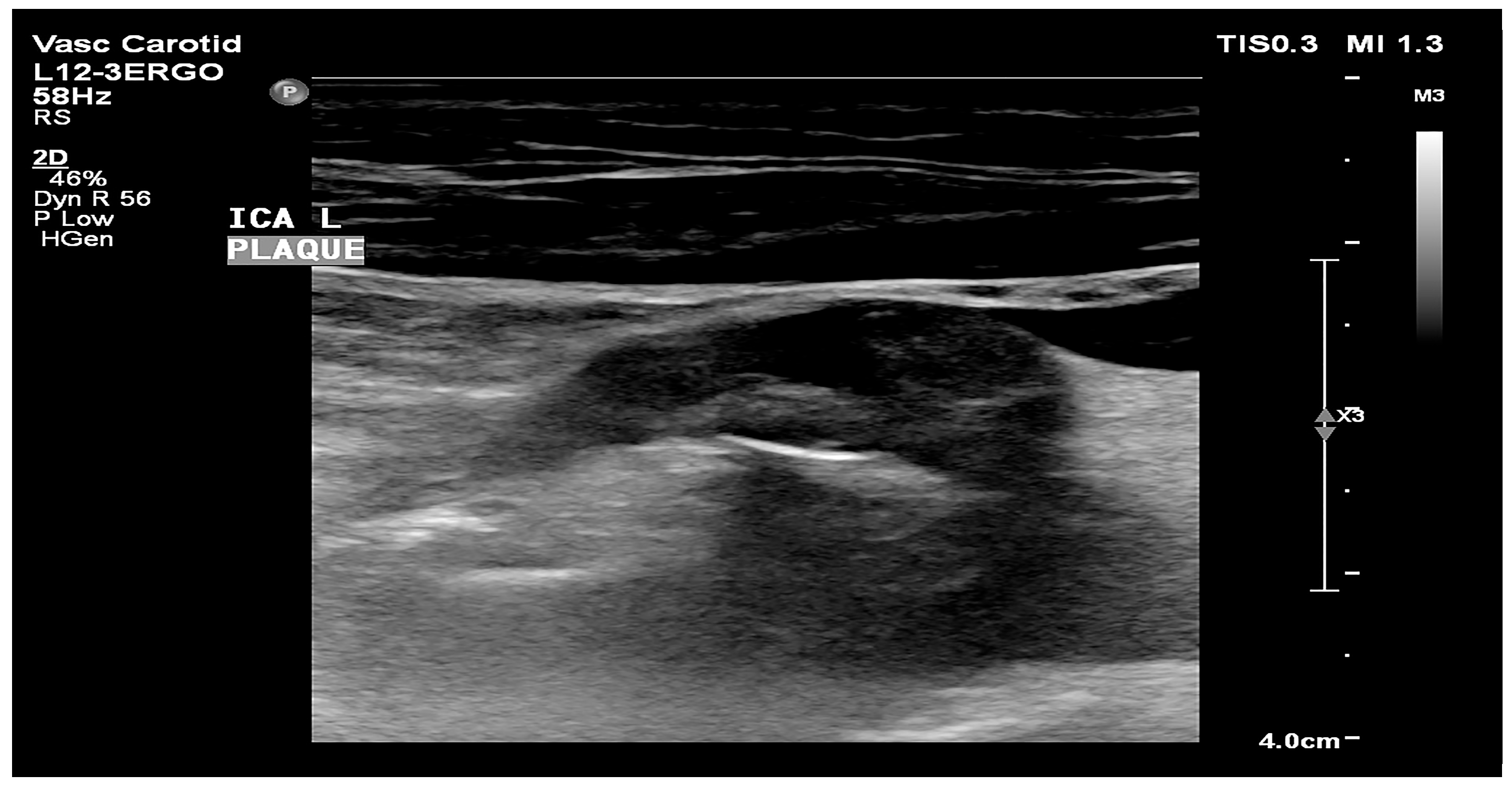
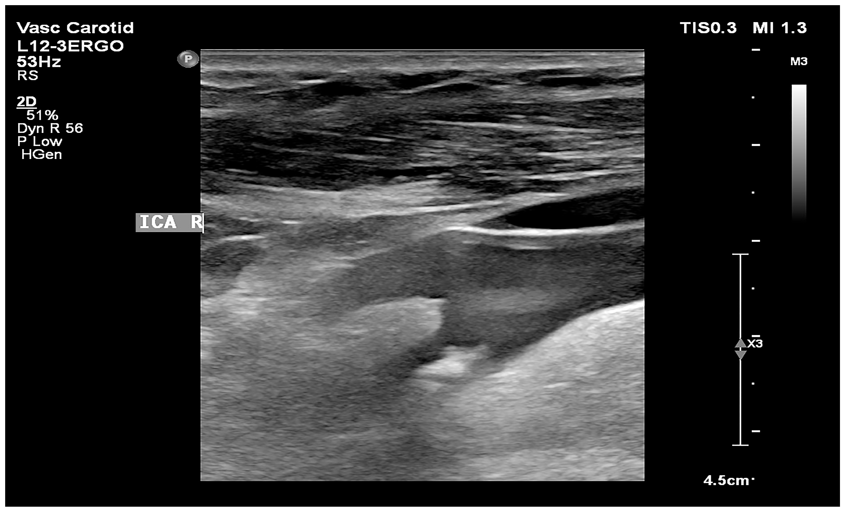
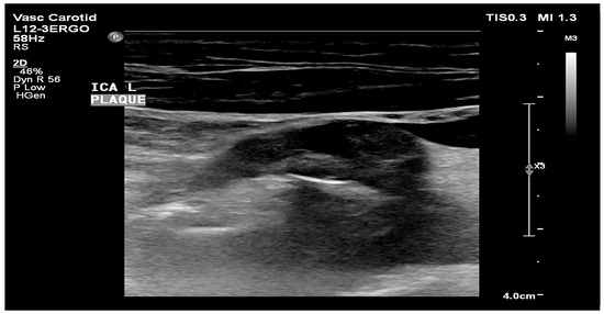
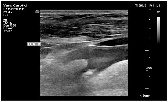
- Atherosclerotic plaque—during the ultrasound examination, the best possible image projection in B-mode presentation was selected with the entire atherosclerotic plaque visible—the image was not enlarged or brightened—according to the accepted standardization. The image of the plaque was recorded on a photograph. Then, to assess the atherosclerotic plaque, images from the ultrasound examination were used to analyze its structure on the GSM scale.
- (b)
- The degree of stenosis of the internal carotid artery [%]—by recording the spectrum of blood flow in the internal and the common carotid artery. The obtained velocities [m/s] of PSV (peak systolic velocity) and EDV (end diastolic velocity) flow are the basis for estimating the degree of stenosis of the internal carotid artery expressed as a percentage in the form of a range of values with a tolerance of up to 10% [32]. In our study, the degree of stenosis in all patients was assessed by calculating the ratio of peak systolic velocity measured at the stenotic site, typically the internal carotid artery, to the peak systolic velocity in the central segment of the common carotid artery. We considered the ratio of end diastolic velocity at the stenotic site to the end diastolic velocity in the midsection of the common carotid artery [32].
- -
- Images of the visible atherosclerotic plaque in the carotid artery.
- -
- Images containing records of measured blood flow velocities in the carotid artery.
2.3.2. Image Standardization
2.3.3. Calculation of the GSM Value of Atherosclerotic Plaques
2.4. Statistical Analysis
3. Results
3.1. Patients’ Characteristics
3.2. GSM Values in Symptomatic and Asymptomatic Group
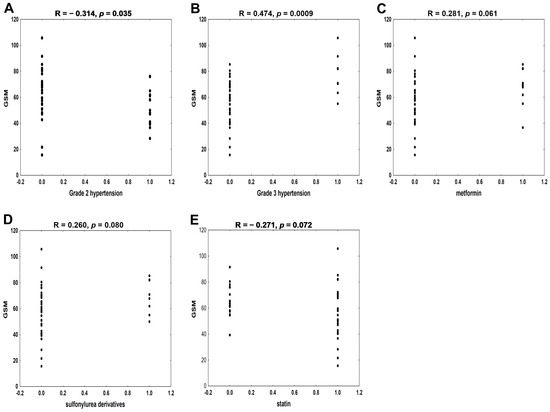
3.3. Variables Affecting GSM in Symptomatic and Asymptomatic Group
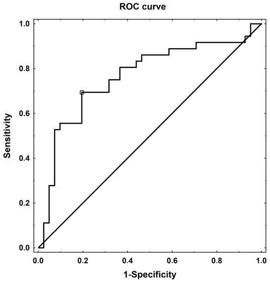
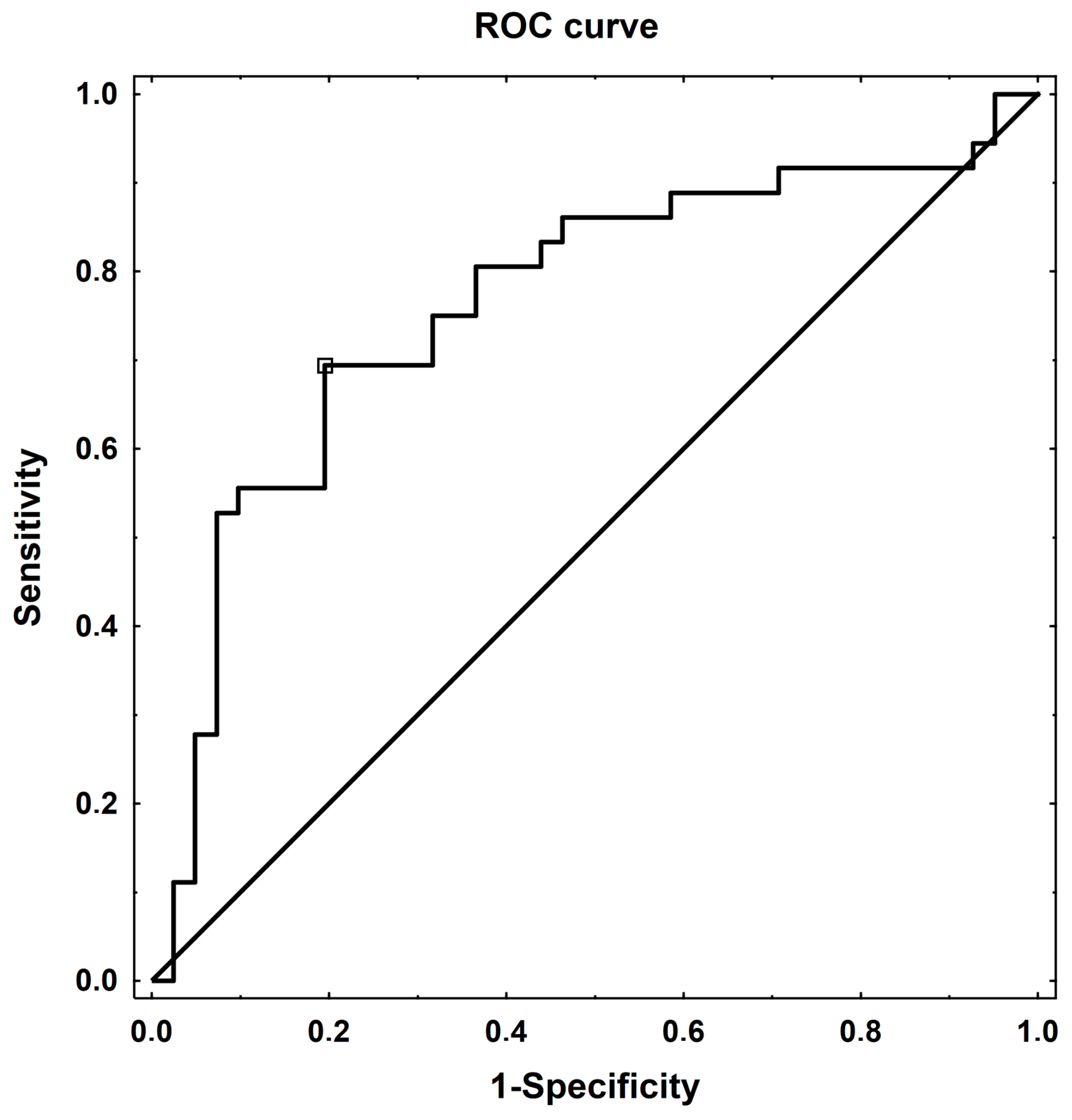
3.4. The Ability of GSM to Distinguish Symptomatic from Asymptomatic Patients
4. Discussion
Study Limitations
5. Conclusions
Author Contributions
Funding
Institutional Review Board Statement
Informed Consent Statement
Data Availability Statement
Conflicts of Interest
References
- Johnson, W.; Onuma, O.; Owolabi, M.; Sachdev, S. Stroke: A Global Response Is Needed. Bull. World Health Organ. 2016, 94, 634. [Google Scholar] [CrossRef] [PubMed]
- Ooi, Y.C.; Gonzalez, N.R. Management of Extracranial Carotid Artery Disease. Cardiol. Clin. 2015, 33, 1–35. [Google Scholar] [CrossRef] [PubMed]
- Brinjikji, W.; Huston, J.; Rabinstein, A.A.; Kim, G.-M.; Lerman, A.; Lanzino, G. Contemporary Carotid Imaging: From Degree of Stenosis to Plaque Vulnerability. J. Neurosurg. 2016, 124, 27–42. [Google Scholar] [CrossRef] [PubMed]
- Migdalski, A.; Jawien, A. New Insight into Biology, Molecular Diagnostics and Treatment Options of Unstable Carotid Atherosclerotic Plaque: A Narrative Review. Ann. Transl. Med. 2021, 9, 1207. [Google Scholar] [CrossRef] [PubMed]
- Golemati, S.; Gastounioti, A.; Nikita, K.S. Toward Novel Noninvasive and Low-Cost Markers for Predicting Strokes in Asymptomatic Carotid Atherosclerosis: The Role of Ultrasound Image Analysis. IEEE Trans. Biomed. Eng. 2013, 60, 652–658. [Google Scholar] [CrossRef] [PubMed]
- Grønholdt, M.-L.M.; Nordestgaard, B.G.; Schroeder, T.V.; Vorstrup, S.; Sillesen, H. Ultrasonic Echolucent Carotid Plaques Predict Future Strokes. Circulation 2001, 104, 68–73. [Google Scholar] [CrossRef] [PubMed]
- Biasi, G.M.; Sampaolo, A.; Mingazzini, P.; De Amicis, P.; El-Barghouty, N.; Nicolaides, A.N. Computer Analysis of Ultrasonic Plaque Echolucency in Identifying High Risk Carotid Bifurcation Lesions. Eur. J. Vasc. Endovasc. Surg. 1999, 17, 476–479. [Google Scholar] [CrossRef] [PubMed][Green Version]
- Spanos, K.; Tzorbatzoglou, I.; Lazari, P.; Maras, D.; Giannoukas, A.D. Carotid Artery Plaque Echomorphology and Its Association with Histopathologic Characteristics. J. Vasc. Surg. 2018, 68, 1772–1780. [Google Scholar] [CrossRef] [PubMed]
- Doonan, R.J.; Gorgui, J.; Veinot, J.P.; Lai, C.; Kyriacou, E.; Corriveau, M.M.; Steinmetz, O.K.; Daskalopoulou, S.S. Plaque Echodensity and Textural Features Are Associated with Histologic Carotid Plaque Instability. J. Vasc. Surg. 2016, 64, 671–677.e8. [Google Scholar] [CrossRef]
- Grogan, J.K.; Shaalan, W.E.; Cheng, H.; Gewertz, B.; Desai, T.; Schwarze, G.; Glagov, S.; Lozanski, L.; Griffin, A.; Castilla, M.; et al. B-Mode Ultrasonographic Characterization of Carotid Atherosclerotic Plaques in Symptomatic and Asymptomatic Patients. J. Vasc. Surg. 2005, 42, 435–441. [Google Scholar] [CrossRef]
- Mitchell, C.C.; Stein, J.H.; Cook, T.D.; Salamat, S.; Wang, X.; Varghese, T.; Jackson, D.C.; Sandoval Garcia, C.; Wilbrand, S.M.; Dempsey, R.J. Histopathologic Validation of Grayscale Carotid Plaque Characteristics Related to Plaque Vulnerability. Ultrasound Med. Biol. 2017, 43, 129–137. [Google Scholar] [CrossRef] [PubMed]
- Salem, M.K.; Bown, M.J.; Sayers, R.D.; West, K.; Moore, D.; Nicolaides, A.; Robinson, T.G.; Naylor, A.R. Identification of Patients with a Histologically Unstable Carotid Plaque Using Ultrasonic Plaque Image Analysis. Eur. J. Vasc. Endovasc. Surg. 2014, 48, 118–125. [Google Scholar] [CrossRef] [PubMed]
- Madycki, G.; Staszkiewicz, W.; Gabrusiewicz, A. Carotid Plaque Texture Analysis Can Predict the Incidence of Silent Brain Infarcts Among Patients Undergoing Carotid Endarterectomy. Eur. J. Vasc. Endovasc. Surg. 2006, 31, 373–380. [Google Scholar] [CrossRef] [PubMed]
- Karim, R.; Xu, W.; Kono, N.; Li, Y.; Yan, M.; Stanczyk, F.Z.; Hodis, H.N.; Mack, W.J. Comparison of Cardiovascular Disease Risk Factors Between 2 Subclinical Atherosclerosis Measures in Healthy Postmenopausal Women: Carotid Artery Wall Thickness and Echogenicity. J. Ultrasound Med. 2023, 42, 35–44. [Google Scholar] [CrossRef] [PubMed]
- Della-Morte, D.; Dong, C.; Crisby, M.; Gardener, H.; Cabral, D.; Elkind, M.S.V.; Gutierrez, J.; Sacco, R.L.; Rundek, T. Association of Carotid Plaque Morphology and Glycemic and Lipid Parameters in the Northern Manhattan Study. Front. Cardiovasc. Med. 2022, 9, 793755. [Google Scholar] [CrossRef] [PubMed]
- Mastroiacovo, D.; Mengozzi, A.; Dentali, F.; Pomero, F.; Virdis, A.; Camerota, A.; Muselli, M.; Necozione, S.; Bocale, R.; Ferri, C.; et al. Enhanced Carotid Plaque Echolucency Is Associated with Reduced Cognitive Performance in Elderly Patients with Atherosclerotic Disease Independently on Metabolic Profile. Metabolites 2023, 13, 478. [Google Scholar] [CrossRef] [PubMed]
- Coggi, D.; Frigerio, B.; Bonomi, A.; Ruscica, M.; Ferri, N.; Sansaro, D.; Ravani, A.; Ferrante, P.; Damigella, M.; Veglia, F.; et al. Relationship between Circulating PCSK9 and Markers of Subclinical Atherosclerosis—The IMPROVE Study. Biomedicines 2021, 9, 841. [Google Scholar] [CrossRef] [PubMed]
- Konishi, T.; Funayama, N.; Yamamoto, T.; Morita, T.; Hotta, D.; Nomura, R.; Nakagaki, Y.; Murahashi, T.; Kamiyama, K.; Yoshimoto, T.; et al. Pathological Quantification of Carotid Artery Plaque Instability in Patients Undergoing Carotid Endarterectomy. Circ. J. 2018, 82, 258–266. [Google Scholar] [CrossRef] [PubMed]
- Ariyoshi, K.; Okuya, S.; Kunitsugu, I.; Matsunaga, K.; Nagao, Y.; Nomiyama, R.; Takeda, K.; Tanizawa, Y. Ultrasound Analysis of Gray-scale Median Value of Carotid Plaques Is a Useful Reference Index for Cerebro-cardiovascular Events in Patients with Type 2 Diabetes. J. Diabetes Investig. 2015, 6, 91–97. [Google Scholar] [CrossRef]
- Anbar, R.; Chaturvedi, N.; Eastwood, S.V.; Tillin, T.; Hughes, A.D. Carotid Atherosclerosis in People of European, South Asian and African Caribbean Ethnicity in the Southall and Brent Revisited Study (SABRE). Front. Cardiovasc. Med. 2023, 9, 1002820. [Google Scholar] [CrossRef]
- Puz, P.; Urbanek, T.; Ziaja, D.; Cieślik, A.; Stęposz, A.; Lasek-Bal, A. Factors Associated with the Symptomatic Status of Carotid Artery Stenosis: Identification in a Cross-Sectional Study and Development of a Scoring System. Pol. Arch. Intern. Med. 2020, 131, 17–25. [Google Scholar] [CrossRef] [PubMed]
- Ferguson, G.G.; Eliasziw, M.; Barr, H.W.K.; Clagett, G.P.; Barnes, R.W.; Wallace, M.C.; Taylor, D.W.; Haynes, R.B.; Finan, J.W.; Hachinski, V.C.; et al. The North American Symptomatic Carotid Endarterectomy Trial: Surgical Results in 1415 Patients. Stroke 1999, 30, 1751–1758. [Google Scholar] [CrossRef] [PubMed]
- Bonati, L.H.; Kakkos, S.; Berkefeld, J.; De Borst, G.J.; Bulbulia, R.; Halliday, A.; Van Herzeele, I.; Koncar, I.; McCabe, D.J.; Lal, A.; et al. European Stroke Organisation Guideline on Endarterectomy and Stenting for Carotid Artery Stenosis. Eur. Stroke J. 2021, 6, I–XLVII. [Google Scholar] [CrossRef] [PubMed]
- Araszkiewicz, A.; Bandurska-Stankiewicz, E.; Borys, S.; Budzyński, A.; Cyganek, K.; Cypryk, K.; Czech, A.; Czupryniak, L.; Drzewoski, J.; Dzida, G.; et al. 2022 Guidelines on the Management of Patients with Diabetes. A Position of Diabetes Poland. Curr. Top Diabetes 2022, 2, 1–130. [Google Scholar] [CrossRef]
- Solnica, B.; Sygitowicz, G.; Sitkiewicz, D.; Cybulska, B.; Jóźwiak, J.; Odrowąż-Sypniewska, G.; Banach, M. 2020 Guidelines of the Polish Society of Laboratory Diagnostics (PSLD) and the Polish Lipid Association (PoLA) on Laboratory Diagnostics of Lipid Metabolism Disorders. Arch. Med. Sci. 2020, 16, 237–252. [Google Scholar] [CrossRef] [PubMed]
- Knuuti, J.; Wijns, W.; Saraste, A.; Capodanno, D.; Barbato, E.; Funck-Brentano, C.; Prescott, E.; Storey, R.F.; Deaton, C.; Cuisset, T.; et al. 2019 ESC Guidelines for the Diagnosis and Management of Chronic Coronary Syndromes. Eur. Heart J. 2020, 41, 407–477. [Google Scholar] [CrossRef]
- Levey, A.S.; Stevens, L.A.; Schmid, C.H.; Zhang, Y.; Castro, A.F., III; Feldman, H.I.; Kusek, J.W.; Eggers, P.; Van Lente, F.; Greene, T.; et al. A New Equation to Estimate Glomerular Filtration Rate. Ann. Intern. Med. 2009, 150, 604. [Google Scholar] [CrossRef]
- Inker, L.A.; Astor, B.C.; Fox, C.H.; Isakova, T.; Lash, J.P.; Peralta, C.A.; Kurella Tamura, M.; Feldman, H.I. KDOQI US Commentary on the 2012 KDIGO Clinical Practice Guideline for the Evaluation and Management of CKD. Am. J. Kidney Dis. 2014, 63, 713–735. [Google Scholar] [CrossRef]
- Bermúdez-López, M.; Martí-Antonio, M.; Castro-Boqué, E.; Bretones, M.D.M.; Farràs, C.; Gonzalez, J.; Pamplona, R.; Lecube, A.; Mauricio, D.; Cambray, S.; et al. Cumulative Tobacco Consumption Has a Dose-Dependent Effect on Atheromatosis Burden and Improves Severe Atheromatosis Prediction in Asymptomatic Middle-Aged Individuals: The ILERVAS Study. Atherosclerosis 2023, 375, 75–83. [Google Scholar] [CrossRef]
- Williams, B.; Mancia, G.; Spiering, W.; Agabiti Rosei, E.; Azizi, M.; Burnier, M.; Clement, D.L.; Coca, A.; De Simone, G.; Dominiczak, A.; et al. 2018 ESC/ESH Guidelines for the Management of Arterial Hypertension. Eur. Heart J. 2018, 39, 3021–3104. [Google Scholar] [CrossRef]
- Yumuk, V.; Tsigos, C.; Fried, M.; Schindler, K.; Busetto, L.; Micic, D.; Toplak, H. European Guidelines for Obesity Management in Adults. Obes. Facts. 2015, 8, 402–424. [Google Scholar] [CrossRef]
- Kaszczewski, P.; Elwertowski, M.; Leszczyński, J.; Ostrowski, T.; Gałązka, Z. Volumetric Flow Assessment in Doppler Ultrasonography in Risk Stratification of Patients with Internal Carotid Stenosis and Occlusion. J. Clin. Med. 2022, 11, 531. [Google Scholar] [CrossRef] [PubMed]
- Catalan, M.; Herreras, Z.; Pinyol, M.; Sala-Vila, A.; Amor, A.J.; De Groot, E.; Gilabert, R.; Ros, E.; Ortega, E. Prevalence by Sex of Preclinical Carotid Atherosclerosis in Newly Diagnosed Type 2 Diabetes. Nutr. Metab. Cardiovasc. Dis. 2015, 25, 742–748. [Google Scholar] [CrossRef] [PubMed]
- Howard, D.P.J.; Van Lammeren, G.W.; Rothwell, P.M.; Redgrave, J.N.; Moll, F.L.; De Vries, J.-P.P.M.; De Kleijn, D.P.V.; Den Ruijter, H.M.; De Borst, G.J.; Pasterkamp, G. Symptomatic Carotid Atherosclerotic Disease: Correlations Between Plaque Composition and Ipsilateral Stroke Risk. Stroke 2015, 46, 182–189. [Google Scholar] [CrossRef] [PubMed]
- Lal, B.K.; Dux, M.C.; Sikdar, S.; Goldstein, C.; Khan, A.A.; Yokemick, J.; Zhao, L. Asymptomatic Carotid Stenosis Is Associated with Cognitive Impairment. J. Vasc. Surg. 2017, 66, 1083–1092. [Google Scholar] [CrossRef]
- Lazar, R.M.; Wadley, V.G.; Myers, T.; Jones, M.R.; Heck, D.V.; Clark, W.M.; Marshall, R.S.; Howard, V.J.; Voeks, J.H.; Manly, J.J.; et al. Baseline Cognitive Impairment in Patients With Asymptomatic Carotid Stenosis in the CREST-2 Trial. Stroke 2021, 52, 3855–3863. [Google Scholar] [CrossRef]
- Zongfang, Z.; Wenjing, L.; Zhaomin, C.; Lei, Z. Therapeutic Effect of Piracetam with Nimodipine on Vascular Dementia after Cerebral Infarction. Pak. J. Pharm. Sci. 2020, 33, 2405–2411. [Google Scholar]
- Teng, C.M.; Yeh, H.I.; Lee, L.G. Anticoagulant and Antiplatelet Properties of Piracetam. Taiwan. Yi Xue Hui Za Zhi. 1983, 82, 1104–1114. [Google Scholar]
- Kong, Y.; Kong, Y.; Dai, Y.; Zhang, J. Prognostic Value of Color Doppler Ultrasound, D-Dimer, and Lp-PLA2 Levels in Carotid Atherosclerotic Stenosis. Am. J. Transl. Res. 2021, 13, 13508–13515. [Google Scholar]
- Wang, J.; Huang, R.; Tian, S.; Lin, H.; Guo, D.; An, K.; Wang, S. Elevated Plasma Level of D-Dimer Predicts the High Risk of Early Cognitive Impairment in Type 2 Diabetic Patients as Carotid Artery Plaques Become Vulnerable or Get Aggravated. Curr. Alzheimer Res. 2019, 16, 396–404. [Google Scholar] [CrossRef]
- Krupinski, J.; Catena, E.; Miguel, M.; Domenech, P.; Vila, R.; Morchon, S.; Rubio, F.; Cairols, M.; Slevin, M.; Badimon, L. D-Dimer Local Expression Is Increased in Symptomatic Patients Undergoing Carotid Endarterectomy. Int. J. Cardiol. 2007, 116, 174–179. [Google Scholar] [CrossRef] [PubMed]
- Bruinstroop, E.; Van De Ree, M.A.; Huisman, M.V. The Use of D-Dimer in Specific Clinical Conditions: A Narrative Review. Eur. J. Intern. Med. 2009, 20, 441–446. [Google Scholar] [CrossRef]
- Houard, X.; Rouzet, F.; Touat, Z.; Philippe, M.; Dominguez, M.; Fontaine, V.; Sarda-Mantel, L.; Meulemans, A.; Le Guludec, D.; Meilhac, O.; et al. Topology of the Fibrinolytic System within the Mural Thrombus of Human Abdominal Aortic Aneurysms. J. Pathol. 2007, 212, 20–28. [Google Scholar] [CrossRef] [PubMed]
- Kothari, H.; Nguyen, A.T.; Yang, X.; Hisada, Y.; Tsimikas, S.; Mackman, N.; Taylor, A.; McNamara, C.A. Association of D-Dimer with Plaque Characteristics and Plasma Biomarkers of Oxidation-Specific Epitopes in Stable Subjects with Coronary Artery Disease. J. Cardiovasc. Transl. Res. 2018, 11, 221–229. [Google Scholar] [CrossRef] [PubMed]
- Kan, Y.; He, W.; Ning, B.; Li, H.; Wei, S.; Yu, T. The Correlation between Calcification in Carotid Plaque and Stroke: Calcification May Be a Risk Factor for Stroke. Int. J. Clin. Exp. Pathol. 2019, 12, 750–758. [Google Scholar]
- Huang, J.; Jiao, S.; Song, Y.; Chen, Y.; Zhang, J.; Zhang, C.; Gong, T.; Chen, M. Association between Type 2 Diabetes Mellitus, Especially Recently Uncontrolled Glycemia, and Intracranial Plaque Characteristics: A High-resolution Magnetic Resonance Imaging Study. J. Diabetes Investig. 2020, 11, 1278–1284. [Google Scholar] [CrossRef] [PubMed]
- Genkel, V.V.; Kuznetsova, A.S.; Lebedev, E.V.; Shaposhnik, I.I. Factors Associated with Atherosclerotic Plaque Echogenicity in Patients Aged 40-64 with Carotid Atherosclerosis. Kardiologiia 2021, 61, 35–40. [Google Scholar] [CrossRef]
- Huang, X.-W.; Zhang, Y.-L.; Meng, L.; Qian, M.; Zhou, W.; Zheng, R.-Q.; Zheng, H.-R.; Niu, L. The Relationship between HbA1c and Ultrasound Plaque Textures in Atherosclerotic Patients. Cardiovasc. Diabetol. 2016, 15, 98. [Google Scholar] [CrossRef] [PubMed]
- Lind, L.; Wohlin, M.; Andren, B.; Sundström, J. The Echogenicity of the Intima–Media Complex in the Common Carotid Artery Is Related to Insulin Resistance Measured by the Hyperinsulinemic Clamp in Elderly Men. Clin. Physiol. Funct. Imaging. 2013, 33, 137–142. [Google Scholar] [CrossRef]
- Asciutto, G.; Dias, N.V.; Persson, A.; Nilsson, J.; Gonçalves, I. Treatment with Betablockers Is Associated with Higher Grey-Scale Median in Carotid Plaques. BMC Cardiovasc. Disord. 2014, 14, 111. [Google Scholar] [CrossRef]
- Östling, G.; Gonçalves, I.; Wikstrand, J.; Berglund, G.; Nilsson, J.; Hedblad, B. Long-Term Treatment with Low-Dose Metoprolol CR/XL Is Associated with Increased Plaque Echogenicity: The Beta-Blocker Cholesterol-Lowering Asymptomatic Plaque Study (BCAPS). Atherosclerosis 2011, 215, 440–445. [Google Scholar] [CrossRef] [PubMed]
- Hedblad, B.; Wikstrand, J.; Janzon, L.; Wedel, H.; Berglund, G. Low-Dose Metoprolol CR/XL and Fluvastatin Slow Progression of Carotid Intima-Media Thickness: Main Results From the β-Blocker Cholesterol-Lowering Asymptomatic Plaque Study (BCAPS). Circulation 2001, 103, 1721–1726. [Google Scholar] [CrossRef] [PubMed]
- Wiklund, O.; Hulthe, J.; Wikstrand, J.; Schmidt, C.; Olofsson, S.-O.; Bondjers, G. Effect of Controlled Release/Extended Release Metoprolol on Carotid Intima-Media Thickness in Patients With Hypercholesterolemia: A 3-Year Randomized Study. Stroke 2002, 33, 572–577. [Google Scholar] [CrossRef] [PubMed][Green Version]
- Paraskevas, K.I.; Gloviczki, P.; Antignani, P.L.; Comerota, A.J.; Dardik, A.; Davies, A.H.; Eckstein, H.-H.; Faggioli, G.; Fernandes, E.; Fernandes, J.; et al. Benefits and Drawbacks of Statins and Non-Statin Lipid Lowering Agents in Carotid Artery Disease. Prog. Cardiovasc. Dis. 2022, 73, 41–47. [Google Scholar] [CrossRef] [PubMed]
- Xian, J.Z.; Lu, M.; Fong, F.; Qiao, R.; Patel, N.R.; Abeydeera, D.; Iriana, S.; Demer, L.L.; Tintut, Y. Statin Effects on Vascular Calcification: Microarchitectural Changes in Aortic Calcium Deposits in Aged Hyperlipidemic Mice. Arterioscler. Thromb. Vasc. Biol. 2021, 41, e185–e192. [Google Scholar] [CrossRef] [PubMed]
- Osei, A.D.; Mirbolouk, M.; Berman, D.; Budoff, M.J.; Miedema, M.D.; Rozanski, A.; Rumberger, J.A.; Shaw, L.; Al Rifai, M.; Dzaye, O.; et al. Prognostic Value of Coronary Artery Calcium Score, Area, and Density among Individuals on Statin Therapy vs. Non-Users: The Coronary Artery Calcium Consortium. Atherosclerosis 2021, 316, 79–83. [Google Scholar] [CrossRef] [PubMed]
- Shioi, A.; Ikari, Y. Plaque Calcification During Atherosclerosis Progression and Regression. J. Atheroscler. Thromb. 2018, 25, 294–303. [Google Scholar] [CrossRef] [PubMed]
- Marfella, R.; Siniscalchi, M.; Portoghese, M.; Di Filippo, C.; Ferraraccio, F.; Schiattarella, C.; Crescenzi, B.; Sangiuolo, P.; Ferraro, G.; Siciliano, S.; et al. Morning Blood Pressure Surge as a Destabilizing Factor of Atherosclerotic Plaque: Role of Ubiquitin–Proteasome Activity. Hypertension 2007, 49, 784–791. [Google Scholar] [CrossRef] [PubMed]
- Fassaert, L.M.M.; Timmerman, N.; Van Koeverden, I.D.; Pasterkamp, G.; De Kleijn, D.P.V.; De Borst, G.J. Preoperative Hypertension Is Associated with Atherosclerotic Intraplaque Hemorrhage in Patients Undergoing Carotid Endarterectomy. Atherosclerosis 2019, 290, 214–221. [Google Scholar] [CrossRef]
- Paraskevas, K.I.; Cambria, R.P. Best Medical Treatment for Patients with Carotid Stenosis: Evidence-Based Medicine or Wishful Thinking? Angiology 2018, 69, 97–99. [Google Scholar] [CrossRef]
- Morris, T.; Stables, M.; Hobbs, A.; De Souza, P.; Colville-Nash, P.; Warner, T.; Newson, J.; Bellingan, G.; Gilroy, D.W. Effects of Low-Dose Aspirin on Acute Inflammatory Responses in Humans. J. Immunol. 2009, 183, 2089–2096. [Google Scholar] [CrossRef] [PubMed]
- Artom, N.; Montecucco, F.; Dallegri, F.; Pende, A. Carotid Atherosclerotic Plaque Stenosis: The Stabilizing Role of Statins. Eur. J. Clin. Investig. 2014, 44, 1122–1134. [Google Scholar] [CrossRef] [PubMed]
- Zhang, L.; Li, Z.; Wu, Y.; Fan, Y.; He, Z.; He, P.; Liang, J. Cinnamon and Aspirin for Mild Ischemic Stroke or Transient Ischemic Attack: A Pilot Trial. Clin. Ther. 2022, 44, 482–490. [Google Scholar] [CrossRef] [PubMed]
- Kataoka, Y.; Nicholls, S.J.; Andrews, J.; Uno, K.; Kapadia, S.R.; Tuzcu, E.M.; Nissen, S.E.; Puri, R. Plaque Microstructures during Metformin Therapy in Type 2 Diabetic Subjects with Coronary Artery Disease: Optical Coherence Tomography Analysis. Cardiovasc. Diagn. Ther. 2022, 12, 77–87. [Google Scholar] [CrossRef]
- Renier, G.; Mamputu, J.-C.; Serri, O. Benefits of Gliclazide in the Atherosclerotic Process: Decrease in Monocyte Adhesion to Endothelial Cells. Metabolism 2003, 52, 13–18. [Google Scholar] [CrossRef]
- Spence, J.D.; Song, H.; Cheng, G. Appropriate Management of Asymptomatic Carotid Stenosis. Stroke Vasc. Neurol. 2016, 1, 64–71. [Google Scholar] [CrossRef]







| Symptomatic Patients
(n = 40) | Asymptomatic Patients (n = 45) | p | |
|---|---|---|---|
| Age, years | 68.57 ± 8.29 | 67.91 ± 8.52 | NS |
| Sex, male (%) | 35 (87.5) | 31 (68.9) | 0.0175 |
| Body mass index, kg/m2 | 27.24 ± 3.33 | 26.94 ± 4.98 | NS |
| Overweight, n (%) | 22 (55) | 13 (29) | 0.0080 |
| Obesity, n (%) | 9 (22.5) | 11 (24.4) | NS |
| Cardiovascular disease, n (%) | 9 (22.5) | 11 (24.4) | NS |
| Peripheral artery disease, n (%) | 18 (45) | 19 (42.2) | NS |
| Chronic kidney disease, n (%) | 5 (12.5) | 8 (17.8) | NS |
| Hypertension, n (%) | 39 (97.5) | 35 (77.8) | 0.0028 |
| Grade 1 hypertension, n (%) | 15 (38.5) | 12 (34.3) | NS |
| Grade 2 hypertension, n (%) | 21 (53.8) | 16 (45.7) | NS |
| Grade 3 hypertension, n (%) | 3 (7.7) | 8 (22.9) | 0.036 |
| Diabetes, n (%) | 13 (32.5) | 17 (37.8) | NS |
| Smoking, n (%) | 33 (82.5) | 33 (73.3) | NS |
| Packs per year | 38 (15–50) | 30 (20–45) | NS |
| Dyslipidemia, n (%) | 23 (57.5) | 33 (73.3) | 0.0726 |
| hsCRP, mg/L | 2.5 (0.9–4.4) | 3.1 (1.5–7.8) | NS |
| D-dimers, µg/mL | 0.43 (0.29–0.62) | 0.37 (0.28–0.72) | NS |
| Fasting plasma glucose, mg/dL | 101.5 (82.5–120) | 92 (82–113) | NS |
| Pharmacotherapy: | |||
| Hypoglycemic drugs, n (%) | 11 (27.5) | 14 (31.1) | NS |
| Sulfonylurea derivatives, n (%) | 2 (18.2) | 8 (57.1) | 0.024 |
| Metformin, n (%) | 9 (81.8) | 11 (78.6) | NS |
| Antihypertensive drugs, n (%) | 36 (90) | 37 (82) | NS |
| Diuretics, n (%) | 13 (36.1) | 16 (43.2) | NS |
| β-adrenergic receptor antagonist, n (%) | 18 (50) | 21 (56.8) | NS |
| Calcium channel antagonist, n (%) | 14 (38.9) | 16 (43.2) | NS |
| RAAS inhibitor, n (%) | 33 (91.7) | 30 (81.1) | NS |
| Antiplatelet drugs, n (%) | 29 (72.5) | 32 (71.1) | NS |
| Statins, n (%) | 27 (67.5) | 29 (64.4) | NS |
| Nootropic drugs, n (%) | 11 (27.5) | 5 (11.11) | 0.0043 |
| Symptomatic Group | Asymptomatic Group * | ||||||
|---|---|---|---|---|---|---|---|
| Independent Variable | Regression Coefficient | Standard Error | p Value | Independent Variable | Regression Coefficient | Standard Error | p Value |
| D-dimers | 0.359 | 0.153 | 0.025 | Statin | −0.299 | 0.135 | 0.033 |
| Fasting plasma glucose | −0.345 | 0.156 | 0.034 | Grade 3 hypertension | 0.302 | 0.142 | 0.042 |
| Β-adrenergic receptor antagonist | −0.284 | 0.148 | 0.065 | ||||
Disclaimer/Publisher’s Note: The statements, opinions and data contained in all publications are solely those of the individual author(s) and contributor(s) and not of MDPI and/or the editor(s). MDPI and/or the editor(s) disclaim responsibility for any injury to people or property resulting from any ideas, methods, instructions or products referred to in the content. |
© 2024 by the authors. Licensee MDPI, Basel, Switzerland. This article is an open access article distributed under the terms and conditions of the Creative Commons Attribution (CC BY) license (https://creativecommons.org/licenses/by/4.0/).
Share and Cite
Płoński, A.; Pawlak, D.; Płoński, A.F.; Głowiński, J.; Madycki, G.; Pawlak, K. Gray-Scale Median in Patients with Symptomatic and Asymptomatic Carotid Atherosclerosis—Risk Factors and Diagnostic Potential. Biomedicines 2024, 12, 1594. https://doi.org/10.3390/biomedicines12071594
Płoński A, Pawlak D, Płoński AF, Głowiński J, Madycki G, Pawlak K. Gray-Scale Median in Patients with Symptomatic and Asymptomatic Carotid Atherosclerosis—Risk Factors and Diagnostic Potential. Biomedicines. 2024; 12(7):1594. https://doi.org/10.3390/biomedicines12071594
Chicago/Turabian StylePłoński, Adam, Dariusz Pawlak, Adam F. Płoński, Jerzy Głowiński, Grzegorz Madycki, and Krystyna Pawlak. 2024. "Gray-Scale Median in Patients with Symptomatic and Asymptomatic Carotid Atherosclerosis—Risk Factors and Diagnostic Potential" Biomedicines 12, no. 7: 1594. https://doi.org/10.3390/biomedicines12071594
APA StylePłoński, A., Pawlak, D., Płoński, A. F., Głowiński, J., Madycki, G., & Pawlak, K. (2024). Gray-Scale Median in Patients with Symptomatic and Asymptomatic Carotid Atherosclerosis—Risk Factors and Diagnostic Potential. Biomedicines, 12(7), 1594. https://doi.org/10.3390/biomedicines12071594

