Intestinal and Extraintestinal Findings of Graft-versus-Host Disease on CT: A Case Series with Radiological and Histopathological Correlations
Abstract
1. Introduction
2. Case Presentations
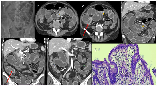
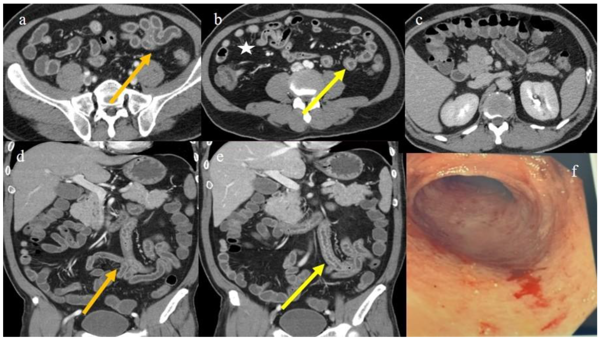
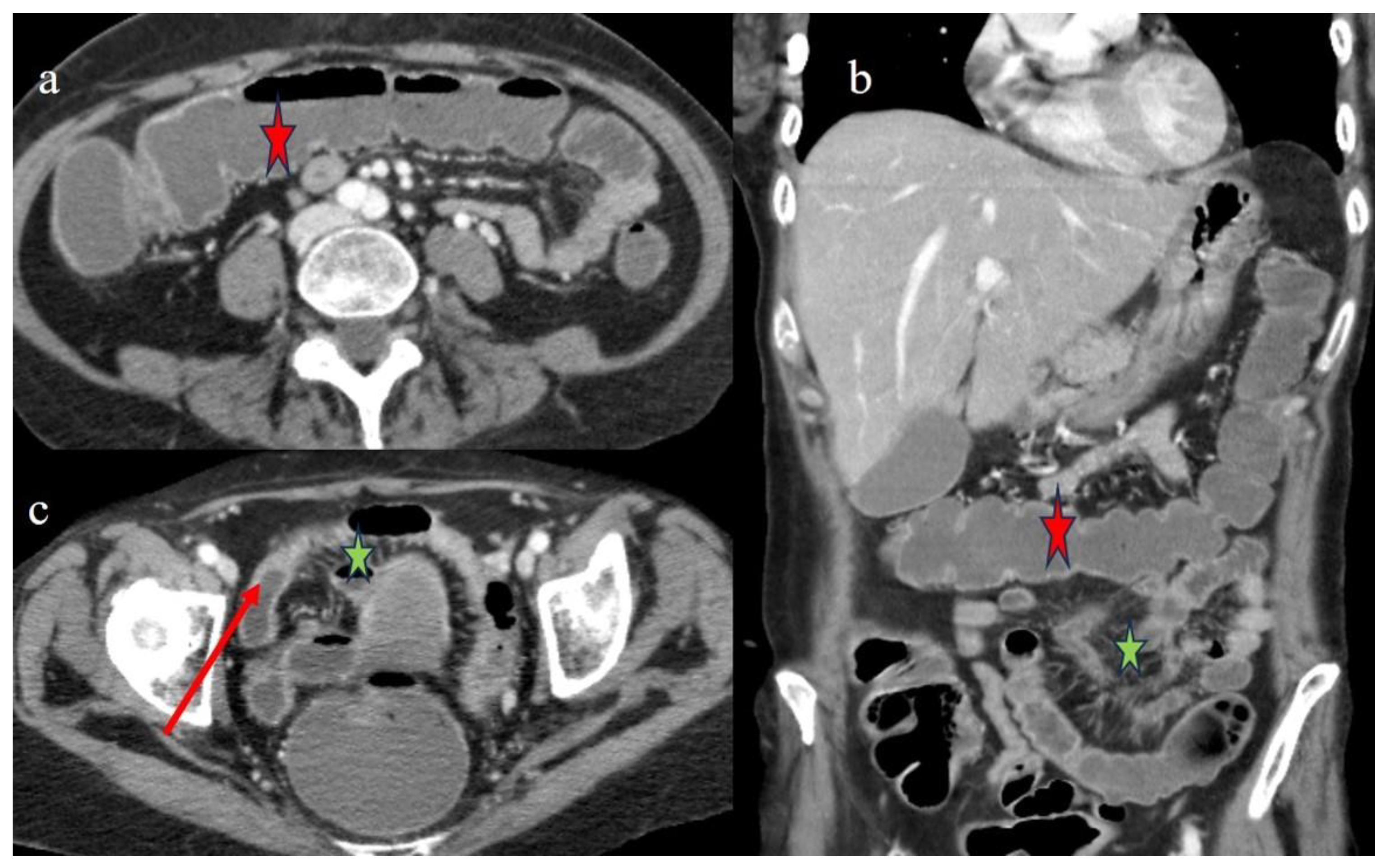
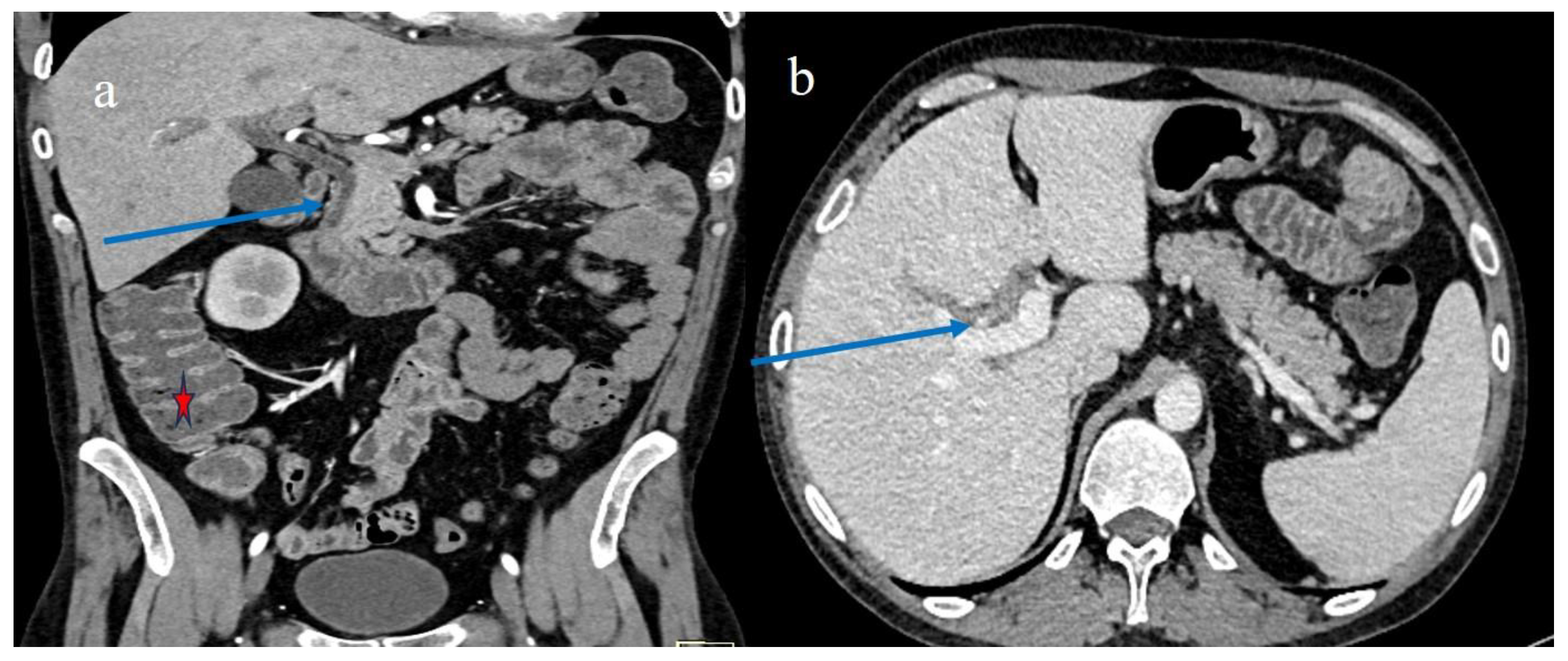
2.1. Case 1
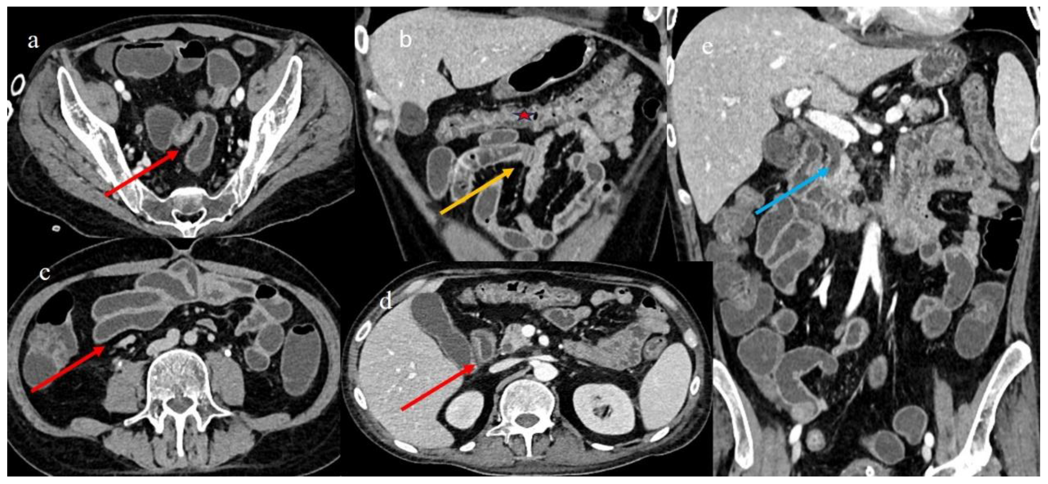
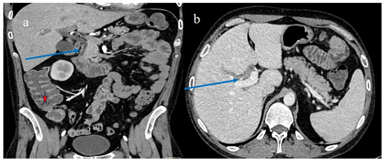
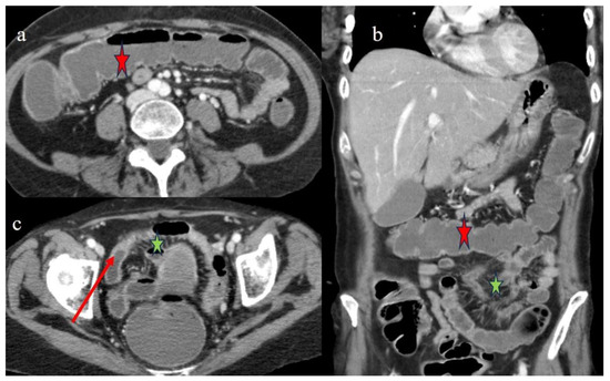
2.2. Case 2
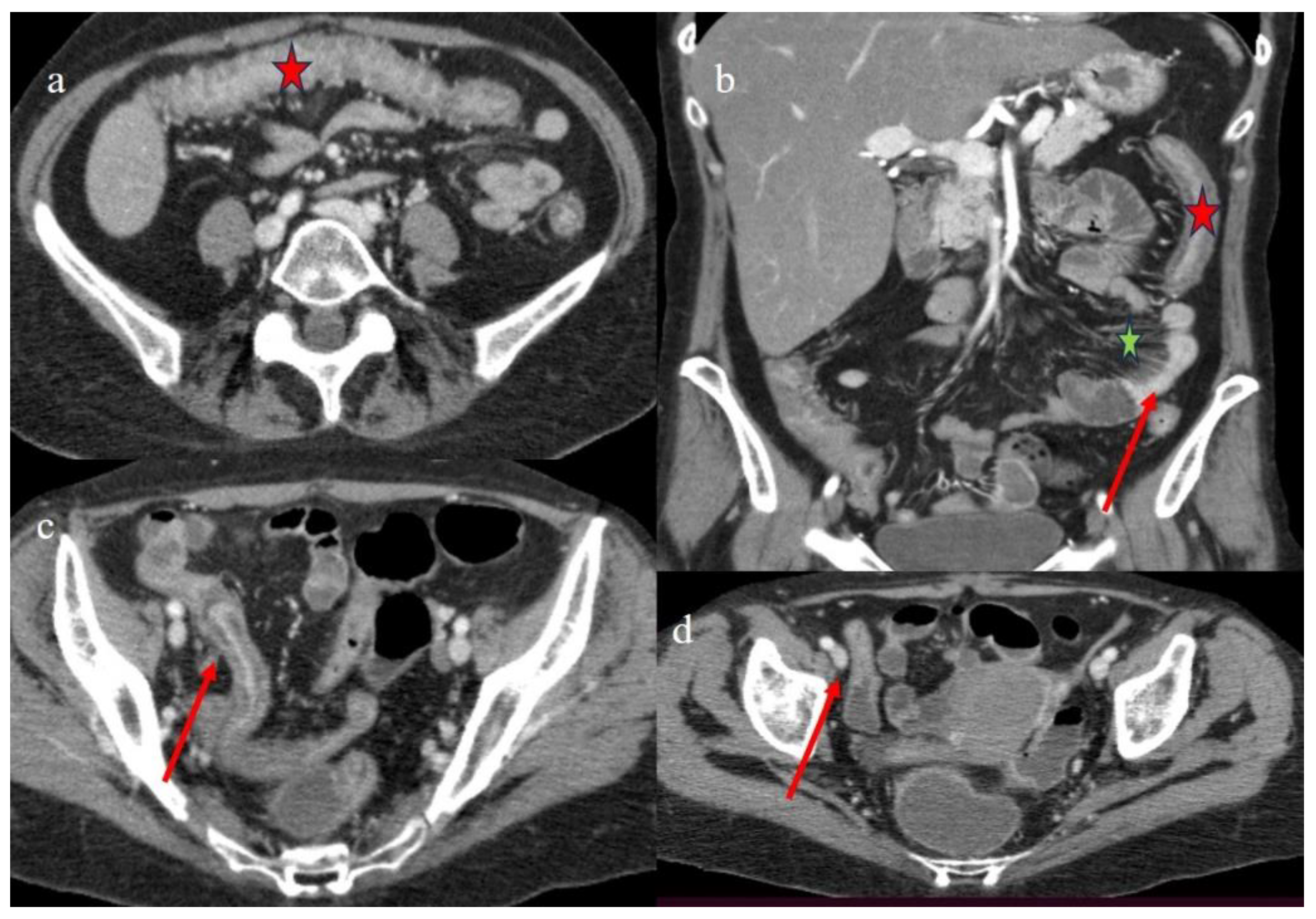
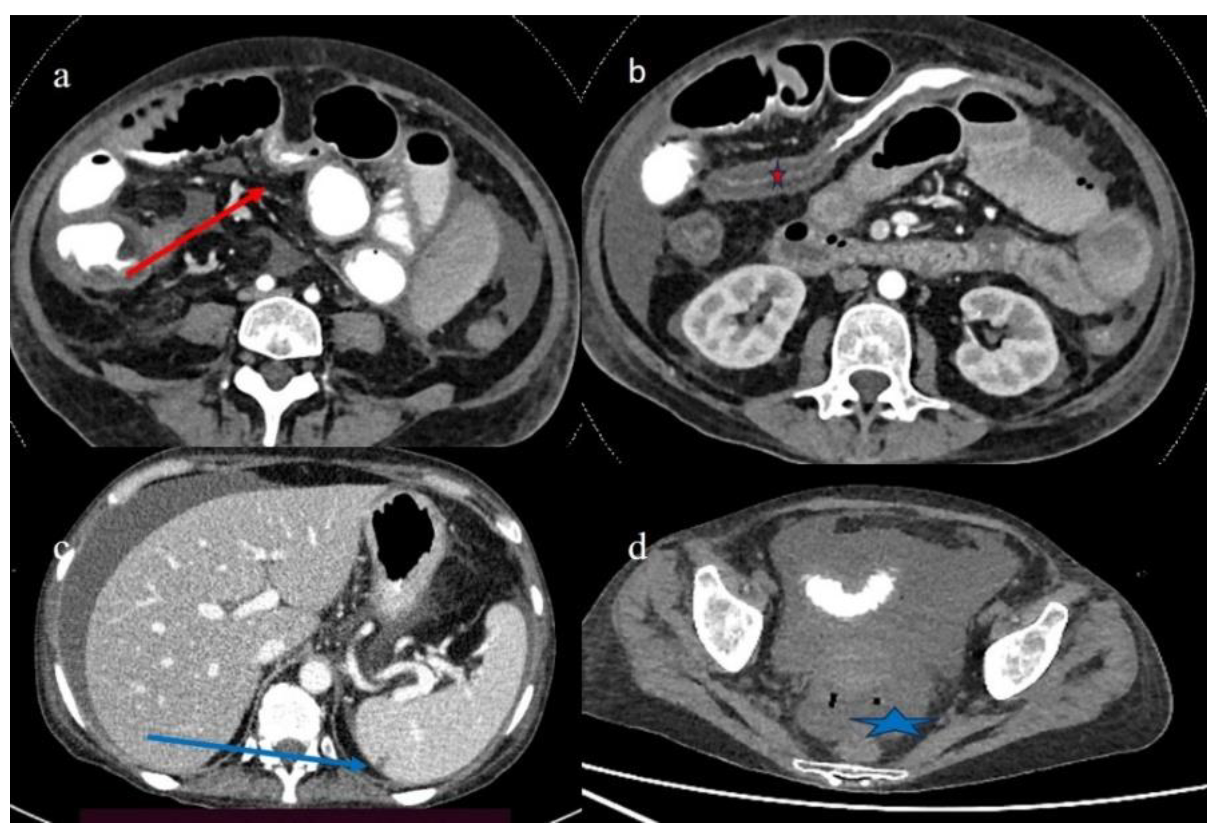
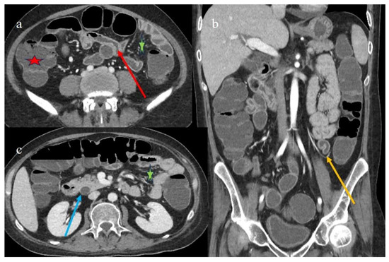
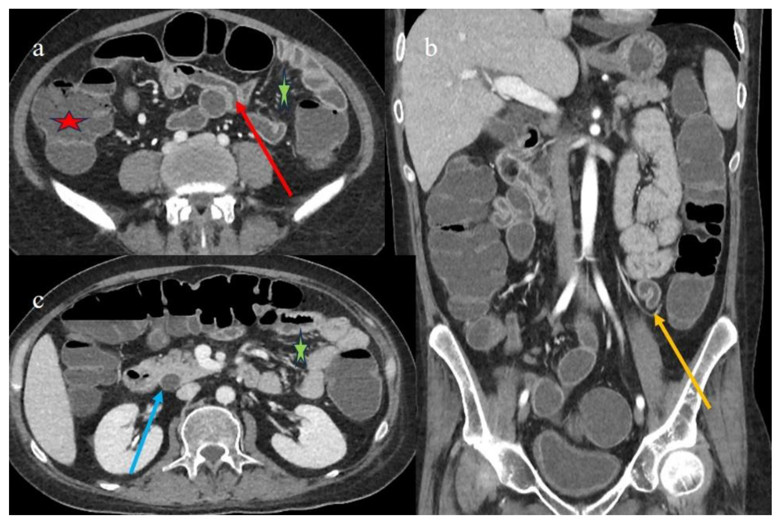
2.3. Case 3
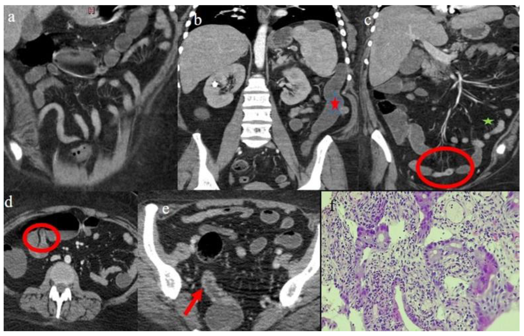
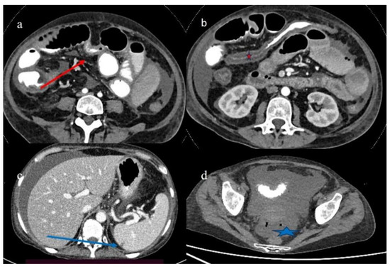
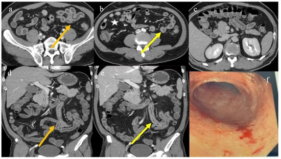
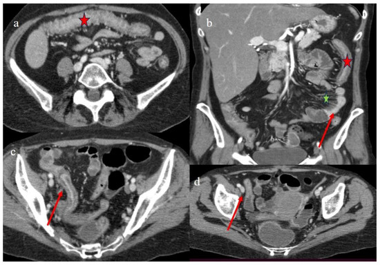
2.4. Case 4
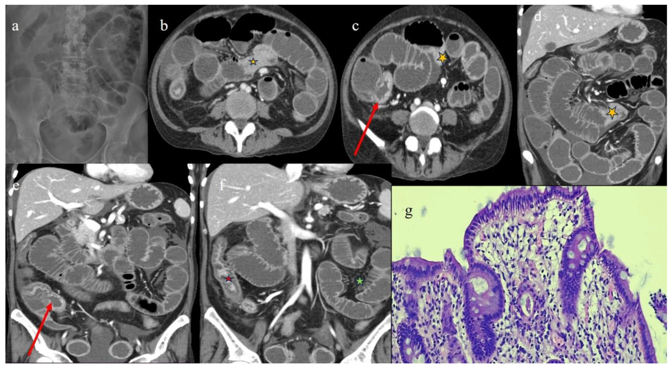
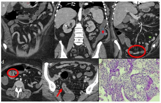
2.5. Case 5
3. Discussion
4. Conclusions
Author Contributions
Funding
Institutional Review Board Statement
Informed Consent Statement
Data Availability Statement
Conflicts of Interest
References
- Giralt, S.; Bishop, M.R. Principles and overview of allogeneic hematopoietic stem cell transplantation. Cancer Treat. Res. 2009, 144, 1–21. [Google Scholar] [CrossRef] [PubMed] [PubMed Central]
- Malard, F.; Holler, E.; Sandmaier, B.M.; Huang, H.; Mohty, M. Acute graft-versus-host disease. Nat. Rev. Dis. Prim. 2023, 9, 27. [Google Scholar] [CrossRef] [PubMed]
- Snowden, J.A.; Sánchez-Ortega, I.; Corbacioglu, S.; Basak, G.W.; Chabannon, C.; de la Camara, R.; Dolstra, H.; Duarte, R.F.; Glass, B.; Greco, R.; et al. European Society for Blood and Marrow Transplantation (EBMT). Indications for haematopoietic cell transplantation for haematological diseases, solid tumours and immune disorders: Current practice in Europe, 2022. Bone Marrow Transplant. 2022, 57, 1217–1239. [Google Scholar] [CrossRef] [PubMed] [PubMed Central]
- Holler, E.; Greinix, H.; Zeiser, R. Acute Graft-Versus-Host Disease. In The EBMT Handbook: Hematopoietic Stem Cell Transplantation and Cellular Therapies, 7th ed.; Carreras, E., Dufour, C., Mohty, M., Kröger, N., Eds.; Springer: Cham, Switzerland, 2019; Chapter 43. [Google Scholar] [PubMed]
- Carreras, E.; Dufour, C.; Mohty, M.; Kröger, N. (Eds.) The EBMT Handbook: Hematopoietic Stem Cell Transplantation and Cellular Therapies, 7th ed.; Springer: Cham, Switzerland, 2019; Chapter 43. [Google Scholar] [PubMed]
- Filipovich, A.H.; Weisdorf, D.; Pavletic, S.; Socie, G.; Wingard, J.R.; Lee, S.J.; Martin, P.; Chien, J.; Przepiorka, D.; Couriel, D.; et al. National Institutes of Health consensus development project on criteria for clinical trials in chronic graft-versus-host disease: I. Diagnosis and staging working group report. Biol. Blood Marrow Transplant. 2005, 11, 945–956. [Google Scholar] [CrossRef] [PubMed]
- Pidala, J.; Vogelsang, G.; Martin, P.; Chai, X.; Storer, B.; Pavletic, S.; Weisdorf, D.J.; Jagasia, M.; Cutler, C.; Palmer, J.; et al. Overlap subtype of chronic graft-versus-host disease is associated with an adverse prognosis, functional impairment, and inferior patient-reported outcomes: A Chronic Graft-versus-Host Disease Consortium study. Haematologica 2012, 97, 451–458. [Google Scholar] [CrossRef] [PubMed] [PubMed Central]
- Glucksberg, H.; Storb, R.; Fefer, A.; Buckner, C.D.; Neiman, P.E.; Clift, R.A.; Lerner, K.G.; Thomas, E.D. Clinical manifestations of graft-versus-host disease in human recipients of marrow from HL-A-matched sibling donors. Transplantation 1974, 18, 295–304. [Google Scholar] [CrossRef] [PubMed]
- Przepiorka, D.; Weisdorf, D.; Martin, P.; Klingemann, H.G.; Beatty, P.; Hows, J.; Thomas, E.D. 1994 Consensus Conference on Acute GVHD Grading. Bone Marrow Transplant. 1995, 15, 825–828. [Google Scholar] [PubMed]
- Cahn, J.Y.; Klein, J.P.; Lee, S.J.; Milpied, N.; Blaise, D.; Antin, J.H.; Leblond, V.; Ifrah, N.; Jouet, J.-P.; Loberiza, F.; et al. Prospective evaluation of 2 acute graft-versus-host (GVHD) grading systems: A joint Société Française de Greffe de Moëlle et Thérapie Cellulaire (SFGM-TC), Dana Farber Cancer Institute (DFCI), and International Bone Marrow Transplant Registry (IBMTR) prospective study. Blood 2005, 106, 1495–1500. [Google Scholar] [CrossRef] [PubMed] [PubMed Central]
- Naymagon, S.; Naymagon, L.; Wong, S.Y.; Ko, H.M.; Renteria, A.; Levine, J.; Colombel, J.-F.; Ferrara, J. Acute graft-versus-host disease of the gut: Considerations for the gastroenterologist. Nat. Rev. Gastroenterol. Hepatol. 2017, 14, 711–726. [Google Scholar] [CrossRef] [PubMed] [PubMed Central]
- Salomao, M.; Dorritie, K.; Mapara, M.Y.; Sepulveda, A. Histopathology of Graft-vs-Host Disease of Gastrointestinal Tract and Liver: An Update. Am. J. Clin. Pathol. 2016, 145, 591–603. [Google Scholar] [CrossRef] [PubMed]
- Lee, S.J. Classification systems for chronic graft-versus-host disease. Blood 2017, 129, 30–37. [Google Scholar] [CrossRef] [PubMed] [PubMed Central]
- Hamilton, B.K. Updates in chronic graft-versus-host disease. Hematol. Am. Soc. Hematol. Educ. Program 2021, 2021, 648–654. [Google Scholar] [CrossRef] [PubMed] [PubMed Central]
- Shulman, H.M.; Kleiner, D.; Lee, S.J.; Morton, T.; Pavletic, S.Z.; Farmer, E.; Moresi, J.M.; Greenson, J.; Janin, A.; Martin, P.J.; et al. Histopathologic diagnosis of chronic graft-versus-host disease: National Institutes of Health Consensus Development Project on Criteria for Clinical Trials in Chronic Graft-versus-Host Disease: II. Pathology Working Group Report. Biol. Blood Marrow Transplant. 2006, 12, 31–47. [Google Scholar] [CrossRef] [PubMed]
- Shulman, H.M.; Cardona, D.M.; Greenson, J.K.; Hingorani, S.; Horn, T.; Huber, E.; Kreft, A.; Longerich, T.; Morton, T.; Myerson, D.; et al. NIH Consensus development project on criteria for clinical trials in chronic graft-versus-host disease: II. The 2014 Pathology Working Group Report. Biol. Blood Marrow Transplant. 2015, 21, 589–603. [Google Scholar] [CrossRef] [PubMed] [PubMed Central]
- Akpek, G.; Chinratanalab, W.; Lee, L.A.; Torbenson, M.; Hallick, J.P.; Anders, V.; Vogelsang, G.B. Gastrointestinal involvement in chronic graft-versus-host disease: A clinicopathologic study. Biol. Blood Marrow Transplant. 2003, 9, 46–51. [Google Scholar] [CrossRef] [PubMed]
- Yoon, J.Y.; Kim, H.; Kang, H.J.; Park, K.D.; Shin, H.Y.; Ahn, H.S. Chronic graft versus host disease with small bowel obstruction after unrelated hematopoietic stem cell transplantation in a patient with acute myeloid leukemia. Korean J. Hematol. 2012, 47, 142–145. [Google Scholar] [CrossRef] [PubMed] [PubMed Central]
- Evans, J.; Percy, J.; Eckstein, R.; Ma, D.; Schnitzler, M. Surgery for intestinal graft-versus-host disease: Report of two cases. Dis. Colon Rectum 1998, 41, 1573–1576. [Google Scholar] [CrossRef] [PubMed]
- Herr, A.L.; Latulippe, J.F.; Carignan, S.; Mitchell, A.; Bélanger, R.; Roy, J. Is severe intestinal chronic graft-versus-host disease an indication for surgery? A report of two cases. Transplantation 2004, 77, 1617–1620. [Google Scholar] [CrossRef] [PubMed]
- Spencer, G.D.; Shulman, H.M.; Myerson, D.; Thomas, E.D.; McDonald, G.B. Diffuse intestinal ulceration after marrow transplantation: A clinicopathologic study of 13 patients. Hum. Pathol. 1986, 17, 621–633. [Google Scholar] [CrossRef] [PubMed]
- Tordjman, M.; Ouachee, M.; Bonnard, A.; Tilea, B.; Yakouben, K.; Viala, J.; Peuchmaur, M.; Berrebi, D. Small bowel stenosis: A manifestation of chronic graft-versus-host disease in children? Hum. Pathol. 2018, 72, 174–179. [Google Scholar] [CrossRef] [PubMed]
- Wang, Y.; Liu, J.; Jiang, B.; Yuan, C.; Chen, L.; Zhang, T.; Lv, Z. Graft-versus-host disease complicated with small bowel obstruction in children: A case report. Front. Oncol. 2022, 12, 1002333. [Google Scholar] [CrossRef] [PubMed] [PubMed Central]
- Sobkowiak-Sobierajska, A.; Błaszczyński, M.; Mańkowski, P.; Wachowiak, J. Multiple strictures of the small intestine demanding surgical intervention as a rare consequence of graft versus host disease–case report. Ann. Ped. Surg. 2020, 16, 1–5. [Google Scholar] [CrossRef]
- Scott, A.P.; Henden, A.; Kennedy, G.A.; Tey, S.K. PET assessment of acute gastrointestinal graft versus host disease. Bone Marrow Transplant. 2023, 58, 973–979. [Google Scholar] [CrossRef] [PubMed] [PubMed Central]
- Malard, F.; Mohty, M. New insight for the diagnosis of gastrointestinal acute graft-versus-host disease. Mediat. Inflamm. 2014, 2014, 701013. [Google Scholar] [CrossRef] [PubMed] [PubMed Central]
- Maccioni, F.; La Rocca, U.; Milanese, A.; Busato, L.; Cleri, A.; Lopez, M.; Manganaro, L.; De Felice, C.; Di Gioia, C.; Vestri, A.R.; et al. Multi-parametric MRI in the diagnosis and scoring of gastrointestinal acute graft-versus-host disease. Eur. Radiol. 2023, 33, 5911–5923. [Google Scholar] [CrossRef] [PubMed] [PubMed Central]
- Shimoni, A.; Rimon, U.; Hertz, M.; Yerushalmi, R.; Amitai, M.; Portnoy, O.; Guranda, L.; Nagler, A.; Apter, S. CT in the clinical and prognostic evaluation of acute graft-vs-host disease of the gastrointestinal tract. Br. J. Radiol. 2012, 85, e416–e423. [Google Scholar] [CrossRef] [PubMed] [PubMed Central]
- Feng, Q.; Xu, F.; Guan, K.; Li, T.; Sheng, J.; Zhong, W.; Wu, H.; Li, B.; Peng, P. Diagnostic prediction of gastrointestinal graft-versus-host disease based on a clinical- CT- signs nomogram model. Insights Imaging 2024, 15, 84. [Google Scholar] [CrossRef] [PubMed] [PubMed Central]
- Lubner, M.G.; Menias, C.O.; Agrons, M.; Alhalabi, K.; Katabathina, V.S.; Elsayes, K.M.; Pickhardt, P.J. Imaging of Abdominal and Pelvic Manifestations of Graft-Versus-Host Disease After Hematopoietic Stem Cell Transplant. AJR Am. J. Roentgenol. 2017, 209, 33–45. [Google Scholar] [CrossRef] [PubMed]
- Kalantari, B.N.; Mortelé, K.J.; Cantisani, V.; Ondategui, S.; Glickman, J.N.; Gogate, A.; Ros, P.R.; Silverman, S.G. CT features with pathologic correlation of acute gastrointestinal graft-versus-host disease after bone marrow transplantation in adults. AJR Am. J. Roentgenol. 2003, 181, 1621–1625. [Google Scholar] [CrossRef] [PubMed]
- Arpaci, T. Computed tomography imaging of acute gastrointestinal graft-versus-host disease after haematopoietic stem cell transplantation in children. Contemp. Oncol. 2018, 22, 178–183. [Google Scholar] [CrossRef] [PubMed] [PubMed Central]
- Brodoefel, H.; Bethge, W.; Vogel, M.; Fenchel, M.; Faul, C.; Wehrmann, M.; Claussen, C.; Horger, M. Early and late-onset acute GvHD following hematopoietic cell transplantation: CT features of gastrointestinal involvement with clinical and pathological correlation. Eur. J. Radiol. 2010, 73, 594–600. [Google Scholar] [CrossRef] [PubMed]
- Ketelsen, D.; Vogel, W.; Bethge, W.; Faul, C.; Claussen, C.D.; Horger, M. CT-analysis of the course of gastrointestinal graft-versus-host disease--patterns of involvement. Eur. J. Radiol. 2011, 79, 36–41. [Google Scholar] [CrossRef] [PubMed]
- Nalle, S.C.; Turner, J.R. Intestinal barrier loss as a critical pathogenic link between inflammatory bowel disease and graft-versus-host disease. Mucosal Immunol. 2015, 8, 720–730. [Google Scholar] [CrossRef] [PubMed]
- Peled, J.U.; Hanash, A.M.; Jenq, R.R. Role of the intestinal mucosa in acute gastrointestinal GVHD. Blood 2016, 128, 2395–2402. [Google Scholar] [CrossRef] [PubMed] [PubMed Central]
- Ferrara, J.L.; Cooke, K.R.; Teshima, T. The pathophysiology of acute graft-versus-host disease. Int. J. Hematol. 2003, 78, 181–187. [Google Scholar] [CrossRef] [PubMed]
- Zeiser, R.; Warnatz, K.; Rosshart, S.; Sagar; Tanriver, Y. GVHD, IBD, and primary immunodeficiencies: The gut as a target of immunopathology resulting from impaired immunity. Eur. J. Immunol. 2022, 52, 1406–1418. [Google Scholar] [CrossRef] [PubMed]
- Ara, T.; Hashimoto, D. Novel Insights Into the Mechanism of GVHD-Induced Tissue Damage. Front. Immunol. 2021, 12, 713631. [Google Scholar] [CrossRef] [PubMed] [PubMed Central]
- Martin, P.J.; Storer, B.E.; Levine, D.M.; Hansen, J.A. Genetic variants associated with inflammatory bowel disease and gut graft-versus-host disease. Blood Adv. 2021, 5, 4456–4464. [Google Scholar] [CrossRef] [PubMed] [PubMed Central]
- Neidemire-Colley, L.; Robert, J.; Ackaoui, A.; Dorrance, A.M.; Guimond, M.; Ranganathan, P. Role of endothelial cells in graft-versus-host disease. Front. Immunol. 2022, 13, 1033490, Erratum in: Front. Immunol. 2023, 13, 1125035. [Google Scholar] [CrossRef] [PubMed] [PubMed Central]
- Yamada-Fujiwara, M.; Miyamura, K.; Fujiwara, T.; Tohmiya, Y.; Endo, K.; Onishi, Y.; Ishizawa, K.; Kameoka, J.; Ito, M.; Harigae, H. Diagnosis of intestinal graft-versus-host disease and thrombotic microangiopathy after allogeneic stem cell transplantation. Tohoku J. Exp. Med. 2012, 227, 31–37. [Google Scholar] [CrossRef] [PubMed][Green Version]
- Shaban, N.; Hoad, C.L.; Naim, I.; Alshammari, M.; Radford, S.J.; Clarke, C.; Marciani, L.; Moran, G. Imaging in inflammatory bowel disease: Current and future perspectives. Frontline Gastroenterol. 2022, 13, e28–e34. [Google Scholar] [CrossRef] [PubMed] [PubMed Central]
- Rimola, J.; Torres, J.; Kumar, S.; Taylor, S.A.; Kucharzik, T. Recent advances in clinical practice: Advances in cross-sectional imaging in inflammatory bowel disease. Gut 2022, 71, 2587–2597. [Google Scholar] [CrossRef] [PubMed] [PubMed Central]
- Baumgart, D.C.; Sandborn, W.J. Crohn’s disease. Lancet 2012, 380, 1590–1605, Erratum in: Lancet 2013, 381, 204. [Google Scholar] [CrossRef] [PubMed]











| Cases | Age | Sex | HP | SCS | TD | TSO | TCECT | CP | GVHD-GI a/c | Cl. Std GI-GVHD | Outcome |
|---|---|---|---|---|---|---|---|---|---|---|---|
| 1 | 28 | F | AML | SB | haploidentical | 35 days | 155 days | AP + D | ap | III | D |
| 2 | 51 | M | HL | BM | haploidentical | 15 days | 20 days | AP + D | a | IV | D |
| 3 | 47 | F | ALL PH+ | PB | Sibling | 20 days | 92 days 129 days | AP + D | ap | III | D |
| 4 | 34 | M | SAA | PB | Sibling | 35 days | 66 days 120 days (4 months) 240 days (8 months) | AP + D | ap | III | A |
| 5 | 47 | F | ALL PH+ | BM | MUD 10/10 | 9 months | 9 months | AP + SBO | co | III | D |
| Cases | Ribbon Sign | Intestinal and Colic Fluid Distension | Intestinal Thickness and Enhancement | Colic Thickness and Enhancement | Mesenteric Findings | Extraintestinal Findings |
|---|---|---|---|---|---|---|
| 1 | P | P | Multisegmental and plurifocal parietal thickness with homogeneous mucosal enhancement on distal ileus | Multisegmental thickness with homogeneous mucosal enhancement | Mild diffuse comb sign and poor reactive mesenteric lymph node | Splenic infarct |
| 2 | P | P | Diffuse parietal thickness with stratified enhancement | Multisegmental thickness with homogeneous mucosal enhancement | Diffuse comb sign and poor reactive mesenteric lymph node | Mild gallbladder thickness and mild biliary tract dilatation |
| 3 | P | P | Multisegmental thickness with stratified enhancement at the terminal ileus (on CECT control at 92 days). The CECT control at 129 days showed persistence of mild parietal thickness at terminal ileus and with mucosal enhancement | Diffuse parietal thickness with stratified enhancement (On CECT control at 92 days) The CECT control at 129 days showed colic fluid distension with mild diffuse mucosal enhancement | Diffuse comb sign, mild ascites, and poor reactive mesenteric lymph node | Hepatomegaly and mild gallbladder thickness |
| 4 | P | P | Intestinal diffuse homogeneous thickness with homogeneous mucosal enhancement (on CECT control at 66 days after the HSCT); diffuse small bowel involvement with increased parietal thickness on CECT control at 120 days | Appearance of multisegmental thickness on sigma and descending colon and stratified enhancement on transverse colon on the CT FU at 120 days | Diffuse comb sign and poor reactive mesenteric lymph node | Mild gallbladder thickness and persistence of biliary tract dilatation on follow-up CT |
| 5 | P | P | Multisegmental thickness with stenosis on jejunal loops and SBO and segmental and focal thickness on the terminal ileus and appendix | Diffuse parietal thickness with stratified enhancement | Mild comb sign, poor reactive mesenteric lymph node, small air bubbles in the ascites | Small splenic areas of ischemia |
Disclaimer/Publisher’s Note: The statements, opinions and data contained in all publications are solely those of the individual author(s) and contributor(s) and not of MDPI and/or the editor(s). MDPI and/or the editor(s) disclaim responsibility for any injury to people or property resulting from any ideas, methods, instructions or products referred to in the content. |
© 2024 by the authors. Licensee MDPI, Basel, Switzerland. This article is an open access article distributed under the terms and conditions of the Creative Commons Attribution (CC BY) license (https://creativecommons.org/licenses/by/4.0/).
Share and Cite
Brogna, B.; Frieri, C.; Risitiano, A.M.; Urciuoli, L.; Storti, G.; Santoro, L.; Urciuoli, E.; De Chiara, G.; Cretella, P.; Sementa, C.; et al. Intestinal and Extraintestinal Findings of Graft-versus-Host Disease on CT: A Case Series with Radiological and Histopathological Correlations. Biomedicines 2024, 12, 1516. https://doi.org/10.3390/biomedicines12071516
Brogna B, Frieri C, Risitiano AM, Urciuoli L, Storti G, Santoro L, Urciuoli E, De Chiara G, Cretella P, Sementa C, et al. Intestinal and Extraintestinal Findings of Graft-versus-Host Disease on CT: A Case Series with Radiological and Histopathological Correlations. Biomedicines. 2024; 12(7):1516. https://doi.org/10.3390/biomedicines12071516
Chicago/Turabian StyleBrogna, Barbara, Camilla Frieri, Antonio Maria Risitiano, Luigi Urciuoli, Gabriella Storti, Lidia Santoro, Eleonora Urciuoli, Giovanni De Chiara, Pasquale Cretella, Carmen Sementa, and et al. 2024. "Intestinal and Extraintestinal Findings of Graft-versus-Host Disease on CT: A Case Series with Radiological and Histopathological Correlations" Biomedicines 12, no. 7: 1516. https://doi.org/10.3390/biomedicines12071516
APA StyleBrogna, B., Frieri, C., Risitiano, A. M., Urciuoli, L., Storti, G., Santoro, L., Urciuoli, E., De Chiara, G., Cretella, P., Sementa, C., Musto, L. A., & Maccioni, F. (2024). Intestinal and Extraintestinal Findings of Graft-versus-Host Disease on CT: A Case Series with Radiological and Histopathological Correlations. Biomedicines, 12(7), 1516. https://doi.org/10.3390/biomedicines12071516

