Prognostic Factors for Survival in Glioblastoma: A Retrospective Analysis Focused on the Role of Hemoglobin
Abstract
1. Introduction
2. Patients and Methods
2.1. Patients
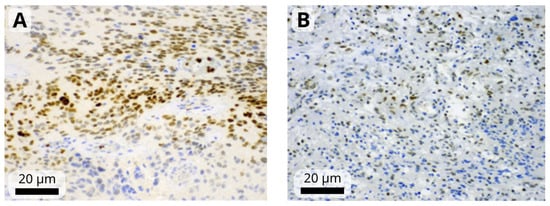
2.2. Histochemical Analyses
2.3. Statistical Analysis
3. Results
4. Discussion
Strengths and Limitations
5. Conclusions
Supplementary Materials
Author Contributions
Funding
Institutional Review Board Statement
Informed Consent Statement
Data Availability Statement
Acknowledgments
Conflicts of Interest
References
- Patel, A.P.; Fisher, J.L.; Nichols, E.; Abd-Allah, F.; Abdela, J.; Abdelalim, A.; Abraha, H.N.; Agius, D.; Alahdab, F.; Alam, T.; et al. Global, regional, and national burden of brain and other CNS cancer, 1990–2016: A systematic analysis for the Global Burden of Disease Study 2016. Lancet Neurol. 2019, 18, 376–393. [Google Scholar] [CrossRef] [PubMed]
- Oronsky, B.; Reid, T.R.; Oronsky, A.; Sandhu, N.; Knox, S.J. A Review of Newly Diagnosed Glioblastoma. Front. Oncol. 2021, 10, 574012. [Google Scholar] [CrossRef] [PubMed]
- Stupp, R.; Mason, W.P.; Van Den Bent, M.J.; Weller, M.; Fisher, B.; Taphoorn, M.J.; Belanger, K.; Brandes, A.A.; Marosi, C.; Bogdahn, U.; et al. Radiotherapy plus concomitant and adjuvant temozolomide for glioblastoma. N. Engl. J. Med. 2005, 352, 987–996. [Google Scholar] [CrossRef] [PubMed]
- Stupp, R.; Hegi, M.E.; Mason, W.P.; Van Den Bent, M.J.; Taphoorn, M.J.; Janzer, R.C.; Ludwin, S.K.; Allgeier, A.; Fisher, B.; Belanger, K.; et al. Effects of radiotherapy with concomitant and adjuvant temozolomide versus radiotherapy alone on survival in glioblastoma in a randomised phase III study: 5-year analysis of the EORTC-NCIC trial. Lancet Oncol. 2009, 10, 459–466. [Google Scholar] [CrossRef] [PubMed]
- Lutterbach, J.; Sauerbrei, W.; Guttenberger, R. Multivariate analysis of prognostic factors in patients with glioblastoma. Strahlenther. Onkol. 2003, 179, 8–15. [Google Scholar] [CrossRef] [PubMed]
- Kaisman-Elbaz, T.; Elbaz, Y.; Merkin, V.; Dym, L.; Noy, A.; Atar-Vardi, M.; Bari, R.; Turiel, S.; Alt, A.; Zamed, T.; et al. Hemoglobin Levels and Red Blood Cells Distribution Width Highlights Glioblastoma Patients Subgroup With Improved Median Overall Survival. Front. Oncol. 2020, 10, 432. [Google Scholar] [CrossRef]
- Céfaro, G.A.; Genovesi, D.; Vinciguerra, A.; Trignani, M.; Taraborrelli, M.; Augurio, A.; Buonaguidi, R.; Galzio, R.J.; Di Nicola, M. Prognostic impact of hemoglobin level and other factors in patients with high-grade gliomas treated with postoperative radiochemotherapy and sequential chemotherapy based on temozolomide: A 10-year experience at a single institution. Strahlenther. Onkol. 2011, 187, 778–783. [Google Scholar] [CrossRef] [PubMed]
- Berendsen, S.; Varkila, M.; Kroonen, J.; Seute, T.; Snijders, T.J.; Kauw, F.; Spliet, W.G.; Willems, M.; Poulet, C.; Broekman, M.L.; et al. Prognostic relevance of epilepsy at presentation in glioblastoma patients. Neuro-oncology 2016, 18, 700–706. [Google Scholar] [CrossRef]
- Dobran, M.; Nasi, D.; Chiriatti, S.; Gladi, M.; di Somma, L.; Iacoangeli, M.; Scerrati, M. Prognostic Factors in Glioblastoma: Is There a Role for Epilepsy? Neurol. Med.-Chir. 2018, 58, 110–115. [Google Scholar] [CrossRef]
- Mistry, A.M.; Hale, A.T.; Chambless, L.B.; Weaver, K.D.; Thompson, R.C.; Ihrie, R.A. Influence of glioblastoma contact with the lateral ventricle on survival: A meta-analysis. J. Neurooncol. 2017, 131, 125–133. [Google Scholar] [CrossRef]
- Liu, Q.; Cao, P. Clinical and prognostic significance of HIF-1α in glioma patients: A meta-analysis. Int. J. Clin. Exp. Med. 2015, 8, 22073–22083. [Google Scholar]
- Winter, S.C.; Shah, K.A.; Han, C.; Campo, L.; Turley, H.; Leek, R.; Corbridge, R.J.; Cox, G.J.; Harris, A.L. The relation between hypoxia-inducible factor (HIF)-1α and HIF-2α expression with anemia and outcome in surgically treated head and neck cancer. Cancer 2006, 107, 757–766. [Google Scholar] [CrossRef]
- Taubert, H.; Kappler, M.; Holzapfel, D.; Zorn, E.; Holzhausen, H.J.; Haensgen, G. Prognostic value of HIF-1α expression in patients with definive radiotherapy for cervical cancer. Strahlenther. Und Onkol. 2008, 184, 169–174. [Google Scholar]
- Soukup, J.; Gerykova, L.; Rachelkar, A.; Hornychova, H.; Bartos, M.C.; Krupa, P.; Vitovcova, B.; Pleskacova, Z.; Kasparova, P.; Dvorakova, K.; et al. Diagnostic Utility of Immunohistochemical Detection of MEOX2, SOX11, INSM1 and EGFR in Gliomas. Diagnostics 2023, 13, 2546. [Google Scholar] [CrossRef]
- Vitovcova, B.; Skarkova, V.; Rudolf, K.; Rudolf, E. Biology of Glioblastoma Multiforme—Exploration of Mitotic Catastrophe as a Potential Treatment Modality. Int. J. Mol. Sci. 2020, 21, 5324. [Google Scholar] [CrossRef] [PubMed]
- Li, Y.; Zhao, L.; Li, X.F. Hypoxia and the Tumor Microenvironment. Technol. Cancer Res. Treat. 2021, 20, 153303382110363. [Google Scholar] [CrossRef] [PubMed]
- Karel Odrazka, M.D.; Petera, J.; Kohlova, T.; Dolezel, M.; Vaculikova, M.; Zouhar, M.; Malek, V.; Hobza, V.; Latr, I.; Nemecek, S.; et al. Prognostic impact of hemoglobin level prior to radiotherapy on survival in patients with glioblastoma. Strahlenther. Onkol. 2003, 179, 615–619. [Google Scholar] [CrossRef]
- Lally, B.E.; Colasanto, J.M.; Fischer, J.J.; Knisely, J.P.S. Is there an optimal hemoglobin level for patients with glioblastoma multiforme? Cancer J. Sudbury Mass. 2004, 10, 391–396. [Google Scholar] [CrossRef] [PubMed]
- Fiorentino, A.; Fusco, V. Elderly patients affected by glioblastoma treated with radiotherapy: The role of serum hemoglobin level. Int. J. Neurosci. 2013, 123, 133–137. [Google Scholar] [CrossRef]
- Sfifou, F.; Hakkou, E.M.; Bouaiti, E.A.; Slaoui, M.; Errihani, H.; Al Bouzidi, A.; Abouqal, R.; El Ouahabi, A.; Cherradi, N. Correlation of immunohistochemical expression of HIF-1alpha and IDH1 with clinicopathological and therapeutic data of moroccan glioblastoma and survival analysis. Ann. Med. Surg. 2021, 69, 102731. [Google Scholar] [CrossRef]
- Potharaju, M.; Mathavan, A.; Mangaleswaran, B.; Patil, S.; John, R.; Ghosh, S.; Kalavakonda, C.; Ghosh, M.; Verma, R.S. Clinicopathological Analysis of HIF-1alpha and TERT on Survival Outcome in Glioblastoma Patients: A Prospective, Single Institution Study. J. Cancer 2019, 10, 2397–2406. [Google Scholar] [CrossRef] [PubMed]
- Monteiro, A.R.; Hill, R.; Pilkington, G.J.; Madureira, P.A. The role of hypoxia in glioblastoma invasion. Cells 2017, 6, 45. [Google Scholar] [CrossRef] [PubMed]
- Wang, G.; Wang, J.J.; Fu, X.L.; Guang, R.; To, S.S.T. Advances in the targeting of HIF-1α and future therapeutic strategies for glioblastoma multiforme. Oncol. Rep. 2017, 37, 657–670. [Google Scholar] [CrossRef] [PubMed]
- Berendsen, S.; Spliet, W.G.; Geurts, M.; Van Hecke, W.; Seute, T.; Snijders, T.J.; Bours, V.; Bell, E.H.; Chakravarti, A.; Robe, P.A. Epilepsy Associates with Decreased HIF-1α/STAT5b Signaling in Glioblastoma. Cancers 2019, 11, 41. [Google Scholar] [CrossRef] [PubMed]
- Li, Y.; Shan, X.; Wu, Z.; Wang, Y.; Ling, M.; Fan, X. IDH1 mutation is associated with a higher preoperative seizure incidence in low-grade glioma: A systematic review and meta-analysis. Seizure 2018, 55, 76–82. [Google Scholar] [CrossRef]
- Neal, A.; Kwan, P.; O’Brien, T.J.; Buckland, M.E.; Gonzales, M.; Morokoff, A. IDH1 and IDH2 mutations in postoperative diffuse glioma-associated epilepsy. Epilepsy Behav. 2018, 78, 30–36. [Google Scholar] [CrossRef]



| Variable | Number of Patients (%) |
|---|---|
| Total | 136 (100%) |
| Sex | |
| Male | 94 (69.1%) |
| Female | 42 (30.9%) |
| Age (mean 59.3 year) | |
| <70 year | 110 (80.9%) |
| ≥70 year | 26 (19.1%) |
| KPS, mean | |
| ≥70 | 87 (64%) |
| <70 | 49 (36%) |
| Surgery | |
| GTR | 54 (39.7%) |
| STR | 64 (47.1%) |
| Biopsy alone | 18 (13.2%) |
| Peak hemoglobin level * | |
| Low | 62 (45.6%) |
| High | 74 (54.4%) |
| Epilepsy | |
| Yes | 56 (41.1%) |
| No | 80 (58.8%) |
| Localization ** | |
| Superficial | 125 (92%) |
| Deep | 11(8%) |
| Postoperative treatment | |
| Chemoradiotherapy | 93 (68%) |
| Radiotherapy | 31 (23%) |
| Best supportive care | 12 (9%) |
| Factor | Subclass | NC | NE | EOSmed [Months] | 0.95CI [Months] | MCχ2 (p) | TWχ2 (p) |
|---|---|---|---|---|---|---|---|
| Age | <70 year | 3 | 104 | 13.630 | 10.810–16.450 | 11.169 (<0.001) | 12.057 (<0.001) |
| ≥70 year | 1 | 28 | 6.130 | 2.438–9.822 | |||
| Sex | Male | 4 | 90 | 11.530 | 7.986–15.074 | 0.044 (0.833) | 0.039 (0.843) |
| Female | 0 | 42 | 11.930 | 8.578–15.282 | |||
| KPS | ≥70 | 4 | 101 | 14.730 | 12.638–16.822 | 28.788 (<0.001) | 37.463 (<0.001) |
| <70 | 0 | 30 | 4.370 | 2.357–6.383 | |||
| Surgery * | Radical | 4 | 50 | 17.570 | 14.689–20.451 | 21.940 (<0.001) | 26.693 (<0.001) |
| Non-radical | 0 | 80 | 11.770 | 9.453–14.087 | |||
| Hb ** | Low | 3 | 58 | 10.770 | 7.851–13.689 | 1.437 (0.231) | 1.711 (0.191) |
| High | 1 | 73 | 13.370 | 9.855–16.885 | |||
| Location | Peritumoral | 4 | 120 | 11.930 | 9.202–14.658 | 5.850 (0.016) | 5.514 (0.019) |
| Deep | 0 | 10 | 5.470 | 0.775–10.165 | |||
| T-size | <10 mm | 4 | 56 | 16.930 | 14.197–19.663 | 17.757 (<0.001) | 22.673 (<0.001) |
| ≥10 mm | 0 | 69 | 7.230 | 5.638–8.822 | |||
| Epilepsy | Yes | 2 | 54 | 20.300 | 15.411–25.189 | 20.968 (<0.001) | 20.071 (<0.001) |
| No | 2 | 77 | 9.830 | 6.704–12.956 | |||
| Treatment | Yes | 3 | 90 | 14.900 | 13.036–16.764 | 24.995 (<0.001) | 27.615 (<0.001) |
| No | 1 | 42 | 6.370 | 3.672 | |||
| IDH | Mutated | 2 | 9 | 26.900 | 0.000–63.481 | 12.406 (<0.001) | 9.324 (<0.002) |
| Wild | 2 | 122 | 11.500 | 8.951–14.049 | |||
| HIF-1α | ≥4 | 0 | 9 | 5.230 | 4.646–5.814 | 4.241 (0.039) | 4.076 (0.043) |
| <4 | 3 | 119 | 11.770 | 9.118–14.422 |
| Factor | β | SE | Wald | p | HR | 0.95CILB | 0.95CIUB |
|---|---|---|---|---|---|---|---|
| Age(con) | 0.032 | 0.012 | 7.333 | 0.007 | 1.032 | 1.009 | 1.056 |
| Surgery(cat) | −0.874 | 0.363 | 5.811 | 0.016 | 2.396 | 1.177 | 4.877 |
| Epilepsy(cat) | 0.599 | 0.257 | 5.439 | 0.020 | 0.549 | 0.332 | 0.909 |
| HIF-1α(con) | 0.104 | 0.053 | 3.872 | 0.049 | 1.110 | 1.000 | 1.231 |
| HIF1β(con) | −0.008 | 0.006 | 2.095 | 0.148 | 0.992 | 0.980 | 1.003 |
| Localization(cat) | 0.563 | 0.435 | 1.679 | 0.195 | 1.756 | 0.749 | 4.117 |
| KPS(cat) | −0.321 | 0.311 | 1.072 | 0.301 | 1.379 | 0.750 | 2.535 |
| PDGFR(con) | −0.004 | 0.004 | 1.027 | 0.311 | 0.996 | 0.988 | 1.004 |
| IDH1(cat) | −0.406 | 0.505 | 0.646 | 0.422 | 1.500 | 0.558 | 4.033 |
| T-size(cat) | −0.220 | 0.378 | 0.338 | 0.561 | 1.246 | 0.594 | 2.613 |
| Treatment(cat) | −0.163 | 0.280 | 0.338 | 0.561 | 0.850 | 0.491 | 1.471 |
| CD44(con) | 0.002 | 0.005 | 0.134 | 0.715 | 1.002 | 0.991 | 1.013 |
| Vimk(con) | 0.001 | 0.006 | 0.025 | 0.873 | 1.001 | 0.989 | 1.013 |
Disclaimer/Publisher’s Note: The statements, opinions and data contained in all publications are solely those of the individual author(s) and contributor(s) and not of MDPI and/or the editor(s). MDPI and/or the editor(s) disclaim responsibility for any injury to people or property resulting from any ideas, methods, instructions or products referred to in the content. |
© 2024 by the authors. Licensee MDPI, Basel, Switzerland. This article is an open access article distributed under the terms and conditions of the Creative Commons Attribution (CC BY) license (https://creativecommons.org/licenses/by/4.0/).
Share and Cite
Pleskacova, Z.; Bartos, M.; Vosmikova, H.; Dolezal, R.; Krupa, P.; Vitovcova, B.; Kasparova, P.; Rudolf, E.; Skarkova, V.; Pohankova, D.; et al. Prognostic Factors for Survival in Glioblastoma: A Retrospective Analysis Focused on the Role of Hemoglobin. Biomedicines 2024, 12, 1210. https://doi.org/10.3390/biomedicines12061210
Pleskacova Z, Bartos M, Vosmikova H, Dolezal R, Krupa P, Vitovcova B, Kasparova P, Rudolf E, Skarkova V, Pohankova D, et al. Prognostic Factors for Survival in Glioblastoma: A Retrospective Analysis Focused on the Role of Hemoglobin. Biomedicines. 2024; 12(6):1210. https://doi.org/10.3390/biomedicines12061210
Chicago/Turabian StylePleskacova, Zuzana, Michael Bartos, Hana Vosmikova, Rafael Dolezal, Petr Krupa, Barbora Vitovcova, Petra Kasparova, Emil Rudolf, Veronika Skarkova, Denisa Pohankova, and et al. 2024. "Prognostic Factors for Survival in Glioblastoma: A Retrospective Analysis Focused on the Role of Hemoglobin" Biomedicines 12, no. 6: 1210. https://doi.org/10.3390/biomedicines12061210
APA StylePleskacova, Z., Bartos, M., Vosmikova, H., Dolezal, R., Krupa, P., Vitovcova, B., Kasparova, P., Rudolf, E., Skarkova, V., Pohankova, D., Novotna, V., & Petera, J. (2024). Prognostic Factors for Survival in Glioblastoma: A Retrospective Analysis Focused on the Role of Hemoglobin. Biomedicines, 12(6), 1210. https://doi.org/10.3390/biomedicines12061210

