The Role of Matrix Metalloproteinases in Thoracic Aortic Disease: Are They Indicators for the Pathogenesis of Dissections?
Abstract
1. Introduction
2. Patients and Methods
2.1. Ethical Approval
2.2. Subjects
2.3. Echocardiography
2.4. Tissue Preparation for Staining
2.5. Hematoxylin and Eosin Staining
2.6. Elastica van Gieson Staining
2.7. Alcian Blue Staining
2.8. Immunohistochemical Staining
2.9. Imaging
2.10. Statistical Analysis
3. Results
3.1. Patients
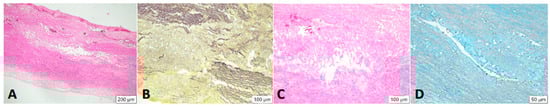
3.2. Histological Examinations
4. Discussion
4.1. MMP and TIMP as Mediators for ECM Modelling
4.2. It Is All about the Vessels of the Vessels
4.3. Modification of the Extracellular Matrix by HIF
4.4. Aspect of Biomechanics
4.5. Conclusions
4.6. Limitations
Author Contributions
Funding
Institutional Review Board Statement
Informed Consent Statement
Data Availability Statement
Acknowledgments
Conflicts of Interest
Abbreviations
| MMP 1 | MMP 1 (or collagenase-1) is the prototypical MMP, functioning primarily to degrade collagen types 1 and 3. |
| MMP 9 | MMP 9, also known as 92 kDa type IV collagenase, 92 kDa gelatinase, or gelatinase B (GELB), is a matrixin, a class of enzymes that belong to the zinc metalloproteinases family involved in the degradation of the extracellular matrix. |
| TIMP 1 | TIMP 1, a tissue inhibitor of metalloproteinases, is a glycoprotein with a molecular weight of 28 kDa and is a natural inhibitor of the matrix metalloproteinases (MMPs), a group of peptidases involved in degradation of the extracellular matrix. |
| TIMP 2 | TIMP 2 is a natural inhibitor of MMP, a group of peptidases involved in degradation of the extracellular matrix. In addition to an inhibitory role against metalloproteinases, the encoded protein has a unique role among TIMP family members in its ability to directly suppress the proliferation of endothelial cells. It is critical to the maintenance of tissue homeostasis by suppressing the proliferation of quiescent tissues in response to angiogenic factors. |
| ECM | ECM = extracellular matrix. |
| TNFα | Tumor necrosis factor (TNF, cachexin, or cachectin, formerly known as tumor necrosis factor-alpha or TNF-α) is an adipokine and a cytokine. TNF is a member of the TNF superfamily, which consists of various transmembrane proteins with a homologous TNF domain. |
| ROS | ROS = reactive oxygen species. |
| HIF | Hypoxia-inducible factors (HIFs) are transcription factors that respond to decreases in available oxygen in the cellular environment or hypoxia. |
References
- Cabral-Pacheco, G.A.; Garza-Veloz, I.; La Castruita-De Rosa, C.; Ramirez-Acuña, J.M.; Perez-Romero, B.A.; Guerrero-Rodriguez, J.F.; Martinez-Avila, N.; Martinez-Fierro, M.L. The Roles of Matrix Metalloproteinases and Their Inhibitors in Human Diseases. Int. J. Mol. Sci. 2020, 21, 9739. [Google Scholar] [CrossRef]
- Zhang, X.; Wu, D.; Choi, J.C.; Minard, C.G.; Hou, X.; Coselli, J.S.; Shen, Y.H.; LeMaire, S.A. Matrix metalloproteinase levels in chronic thoracic aortic dissection. J. Surg. Res. 2014, 189, 348–358. [Google Scholar] [CrossRef]
- Irqsusi, M.; Mansouri, A.L.; Ramaswamy, A.; Rexin, P.; Salman, M.; Mahmood, S.; Mirow, N.; Ghazi, T.; Ramzan, R.; Rastan, A.J.; et al. Role of matrix metalloproteinases in mitral valve regurgitation: Association between the of MMP-1, MMP-9, TIMP-1, and TIMP-2 expression, degree of mitral valve insufficiency, and pathologic etiology. J. Card. Surg. 2022, 37, 1613–1622. [Google Scholar] [CrossRef]
- Stary, H.C.; Chandler, A.B.; Dinsmore, R.E.; Fuster, V.; Glagov, S.; Insull, W.; Rosenfeld, M.E.; Schwartz, C.J.; Wagner, W.D.; Wissler, R.W. A definition of advanced types of atherosclerotic lesions and a histological classification of atherosclerosis. A report from the Committee on Vascular Lesions of the Council on Arteriosclerosis, American Heart Association. Circulation 1995, 92, 1355–1374. [Google Scholar] [CrossRef]
- Bishop, J.E.; Lindahl, G. Regulation of cardiovascular collagen synthesis by mechanical load. Cardiovasc. Res. 1999, 42, 27–44. [Google Scholar] [CrossRef]
- Spadaccio, C.; Mozetic, P.; Nappi, F.; Nenna, A.; Sutherland, F.; Trombetta, M.; Chello, M.; Rainer, A. Cells and extracellular matrix interplay in cardiac valve disease: Because age matters. Basic Res. Cardiol. 2016, 111, 16. [Google Scholar] [CrossRef] [PubMed]
- Wikipedia. Matrix Metalloproteinase. Available online: https://en.wikipedia.org/w/index.php?title=Matrix_metalloproteinase&oldid=1190019248 (accessed on 26 January 2024).
- Maguire, E.M.; Pearce, S.W.A.; Xiao, R.; Oo, A.Y.; Xiao, Q. Matrix Metalloproteinase in Abdominal Aortic Aneurysm and Aortic Dissection. Pharmaceuticals 2019, 12, 118. [Google Scholar] [CrossRef] [PubMed]
- Wikipedia. Interstitial Collagenase. Available online: https://en.wikipedia.org/w/index.php?title=Interstitial_collagenase&oldid=1189919896 (accessed on 26 January 2024).
- LeMaire, S.A.; Zhang, L.; Zhang, N.S.; Luo, W.; Barrish, J.P.; Zhang, Q.; Coselli, J.S.; Shen, Y.H. Ciprofloxacin accelerates aortic enlargement and promotes dissection and rupture in Marfan mice. J. Thorac. Cardiovasc. Surg. 2022, 163, e215–e226. [Google Scholar] [CrossRef] [PubMed]
- LeMaire, S.A.; Zhang, L.; Luo, W.; Ren, P.; Azares, A.R.; Wang, Y.; Zhang, C.; Coselli, J.S.; Shen, Y.H. Effect of Ciprofloxacin on Susceptibility to Aortic Dissection and Rupture in Mice. JAMA Surg. 2018, 153, e181804. [Google Scholar] [CrossRef] [PubMed]
- Reviglio, V.E.; Hakim, M.A.; Song, J.K.; O’Brien, T.P. Effect of topical fluoroquinolones on the expression of matrix metalloproteinases in the cornea. BMC Ophthalmol. 2003, 3, 10. [Google Scholar] [CrossRef] [PubMed]
- Newman, K.M.; Ogata, Y.; Malon, A.M.; Irizarry, E.; Gandhi, R.H.; Nagase, H.; Tilson, M.D. Identification of matrix metalloproteinases 3 (stromelysin-1) and 9 (gelatinase B) in abdominal aortic aneurysm. Arterioscler. Thromb. A J. Vasc. Biol. 1994, 14, 1315–1320. [Google Scholar] [CrossRef]
- Lindeman, J.H.; Abdul-Hussien, H.; van Bockel, J.H.; Wolterbeek, R.; Kleemann, R. Clinical trial of doxycycline for matrix metalloproteinase-9 inhibition in patients with an abdominal aneurysm: Doxycycline selectively depletes aortic wall neutrophils and cytotoxic T cells. Circulation 2009, 119, 2209–2216. [Google Scholar] [CrossRef]
- Wikipedia. MMP9. Available online: https://en.wikipedia.org/w/index.php?title=MMP9&oldid=1193758177 (accessed on 26 January 2024).
- Pyo, R.; Lee, J.K.; Shipley, J.M.; Curci, J.A.; Mao, D.; Ziporin, S.J.; Ennis, T.L.; Shapiro, S.D.; Senior, R.M.; Thompson, R.W. Targeted gene disruption of matrix metalloproteinase-9 (gelatinase B) suppresses development of experimental abdominal aortic aneurysms. J. Clin. Investig. 2000, 105, 1641–1649. [Google Scholar] [CrossRef] [PubMed]
- Longo, G.M.; Xiong, W.; Greiner, T.C.; Zhao, Y.; Fiotti, N.; Baxter, B.T. Matrix metalloproteinases 2 and 9 work in concert to produce aortic aneurysms. J. Clin. Investig. 2002, 110, 625–632. [Google Scholar] [CrossRef]
- Becirovic-Agic, M.; Chalise, U.; Daseke, M.J.; Konfrst, S.; Salomon, J.D.; Mishra, P.K.; Lindsey, M.L. Infarct in the Heart: What’s MMP-9 Got to Do with It? Biomolecules 2021, 11, 491. [Google Scholar] [CrossRef] [PubMed]
- Wikipedia. TIMP1. Available online: https://en.wikipedia.org/w/index.php?title=TIMP1&oldid=1187422728 (accessed on 26 January 2024).
- Wikipedia. TIMP2. Available online: https://en.wikipedia.org/w/index.php?title=TIMP2&oldid=1142788670 (accessed on 26 January 2024).
- Ruppa, I.M. Mitral valve insufficiency (literature survey). Zdravookhr. Kirg. 1976, 1, 56–59. [Google Scholar]
- Stetler-Stevenson, W.G.; Seo, D.W. TIMP-2: An endogenous inhibitor of angiogenesis. Trends Mol. Med. 2005, 11, 97–103. [Google Scholar] [CrossRef]
- Sang, Q.X. Complex role of matrix metalloproteinases in angiogenesis. Cell Res. 1998, 8, 171–177. [Google Scholar] [CrossRef] [PubMed]
- Quintero-Fabián, S.; Arreola, R.; Becerril-Villanueva, E.; Torres-Romero, J.C.; Arana-Argáez, V.; Lara-Riegos, J.; Ramírez-Camacho, M.A.; Alvarez-Sánchez, M.E. Role of Matrix Metalloproteinases in Angiogenesis and Cancer. Front. Oncol. 2019, 9, 1370. [Google Scholar] [CrossRef] [PubMed]
- Langheinrich, A.C.; Kampschulte, M.; Buch, T.; Bohle, R.M. Vasa vasorum and atherosclerosis-Quid novi? Thromb. Haemost. 2007, 97, 873–879. [Google Scholar]
- Järvilehto, M.; Tuohimaa, P. Vasa vasorum hypoxia: Initiation of atherosclerosis. Med. Hypotheses 2009, 73, 40–41. [Google Scholar] [CrossRef] [PubMed]
- Sedding, D.G.; Boyle, E.C.; Demandt, J.A.F.; Sluimer, J.C.; Dutzmann, J.; Haverich, A.; Bauersachs, J. Vasa Vasorum Angiogenesis: Key Player in the Initiation and Progression of Atherosclerosis and Potential Target for the Treatment of Cardiovascular Disease. Front. Immunol. 2018, 9, 706. [Google Scholar] [CrossRef] [PubMed]
- Jebari-Benslaiman, S.; Galicia-García, U.; Larrea-Sebal, A.; Olaetxea, J.R.; Alloza, I.; Vandenbroeck, K.; Benito-Vicente, A.; Martín, C. Pathophysiology of Atherosclerosis. Int. J. Mol. Sci. 2022, 23, 3346. [Google Scholar] [CrossRef] [PubMed]
- Mulligan-Kehoe, M.J. The vasa vasorum in diseased and nondiseased arteries. Am. Iournal Physiology. Heart Circ. Physiol. 2010, 298, H295–H305. [Google Scholar] [CrossRef]
- Billaud, M.; Hill, J.C.; Richards, T.D.; Gleason, T.G.; Phillippi, J.A. Medial Hypoxia and Adventitial Vasa Vasorum Remodeling in Human Ascending Aortic Aneurysm. Front. Cardiovasc. Med. 2018, 5, 124. [Google Scholar] [CrossRef] [PubMed]
- Son, A.Y.; DeMarais, N.M.; Malaisrie, S.C.; Lomasney, J.W.; Pradella, M.; Wilsbacher, L.D.; Allen, B.A.; Markl, M.; Avery, R. Complete Regional Absence of Vasa Vasorum in an Ascending Aortic Aneurysm. Circ. Cardiovasc. Imaging 2021, 14, 565–567. [Google Scholar] [CrossRef] [PubMed]
- Wittek, A.; Derwich, W.; Karatolios, K.; Fritzen, C.P.; Vogt, S.; Schmitz-Rixen, T.; Blase, C. A finite element updating approach for identification of the anisotropic hyperelastic properties of normal and diseased aortic walls from 4D ultrasound strain imaging. J. Mech. Behav. Biomed. Mater. 2016, 58, 122–138. [Google Scholar] [CrossRef] [PubMed]
- Wittek, A.; Karatolios, K.; Fritzen, C.P.; Bereiter-Hahn, J.; Schieffer, B.; Moosdorf, R.; Vogt, S.; Blase, C. Cyclic three-dimensional wall motion of the human ascending and abdominal aorta characterized by time-resolved three-dimensional ultrasound speckle tracking. Biomech. Model. Mechanobiol. 2016, 15, 1375–1388. [Google Scholar] [CrossRef]
- Li, F.; Wang, S.; Gao, Q.; Chen, X.; Yin, G.; Yu, C.; Wang, Y.; Wang, X.; Qiao, E.; Meddings, Z.; et al. Vessel structural stress mediates aortic media degeneration in bicuspid aortopathy: New insights based on patient-specific fluid-structure interaction analysis. J. Biomech. 2021, 129, 110805. [Google Scholar] [CrossRef]
- Liu, S.; Deng, X.; Zhang, P.; Wang, X.; Fan, Y.; Zhou, S.; Mu, S.; Mehta, J.L.; Ding, Z. Blood flow patterns regulate PCSK9 secretion via MyD88-mediated pro-inflammatory cytokines. Cardiovasc. Res. 2020, 116, 1721–1732. [Google Scholar] [CrossRef]
- Haverich, A.; Boyle, E.C. Aortic dissection is a disease of the vasa vasorum. JTCVS Open 2021, 5, 30–32. [Google Scholar] [CrossRef] [PubMed]











| Diameter | Aneurysm | Dissection | Total | p Value |
|---|---|---|---|---|
| Anulus, Median Range | 34.6 * 22.5–50.2 | 29.1 23.2–39.9 | 30.8 22.5–50.2 | 0.006 |
| S.-tubular Junct., Median/Range | 47.4 32.3–61.2 | 41.8 29.4–59.0 | 45.1 38.1–50.6 | 0.272 |
| Ascending Part Median/Range | 50.3 * 39.6–67.0 | 44.4 33.1–59.0 | 48.3 33.1–67.0 | 0.003 |
| Max. Diameter Median /Range | 51.5 * 39.6–67.0 | 46.7 33.1–59.0 | 49.6 33.1–67.0 | 0.003 |
| Aortic Valve Stenosis | Aneurysm | Dissection | p Value |
|---|---|---|---|
| No Stenosis | 41 (80.4%) | 47 (94.0%) * | 0.038 |
| Grade I | 4 (7.8%) | 2 (4.0%) | |
| Grade II | 0 (0.0%) | 0 (0.0%) | |
| Grade III | 6 (11.8%) | 1 (2.0%) | |
| Aortic Valve Insufficiency | |||
| No Insufficiency | 6 (11.8%) | 17 (34.7%) | 0.023 |
| Grade I | 11 (21.6%) | 10 (20.4%) | |
| Grade I–II | 6 (11.8%) | 1 (2.0%) | |
| Grade II | 8 (15.7%) | 7 (14.0%) | |
| Grade II–III | 3 (5.9%) | 6 (12.2%) | |
| Grade III | 14 (27.5%) | 5 (10.2%) | |
| Grade III–IV | 3 (5.9%) | 2 (4.1%) | |
| Grade IV | 0 (0.0%) | 1 (2.0%) | |
| Aortic Valve Morphology | |||
| Bicuspid Valve | 3 (5.9%) | 4 (8.0%) | |
| Biscupid-Like Valve | 13 (25.5%) | 1 (2.0%) | |
| Tricuspid Valve | 35 (68.6%) | 45 (90.0%) * | 0.003 |
| Concomitant Diseases | Aneurysm | Dissection | Control | Total | p Value |
|---|---|---|---|---|---|
| Hyperlipidemia | 23.1 | 21.2 | 28.6 | 22.5 | 0.813 |
| Arterial Hypertension | 73.1 | 75.0 | 85.7 | 74.8 | 0.823 |
| CIHD | 38.5 | 19.2 | 85.7 * | 32.4 | 0.030 |
| Diabetes mellitus II | 11.5 | 3.8 | 28.6 | 9.0 | 0.141 |
| Aneurysm (n = 52) | Dissection (n = 52) | Control (n = 7) | Total (n = 111) | p Value | |
|---|---|---|---|---|---|
| Gender | |||||
| male | 40 (76.9%) | 36 (69.2%) | 5 (71.4%) | 81 (73.0%) | 0.377 |
| female | 12 (23.1%) | 16 (30.8%) | 2 (28.6%) | 30 (27.0%) | 0.377 |
| Age/Median | 65.0 years | 60.0 years | 78.0 years | 64.0 years | 0.011 |
| Range | 40.0–84.0 years | 28.0–82.0 years | 51.0–85.0 years | 28.0–85.0 years | |
| EF | |||||
| normal | 40 (76.9%) | 36 (70.6%) | 4 (80.0%) | 80 (74.1%) | 0.337 |
| reduced | 5 (9.6%) | 7 (13.8%) | 0 (0.0%) | 12 (11.1%) | 0.539 |
| Elective surgery | 51 (98.1%) * | 1 (1.9%) | 5 (71.4%) | 57 (51.4%) | <0.001 |
| emergency | 1 (1.9%) | 51 (98.1%) * | 2 (28.6%) | 54 (48.6%) | <0.001 |
| Surgical procedure | |||||
| valve- type conduit | 10 (19.2%) | 6 (11.5%) | 0 (0.0%) | 16 (14.4%) | 0.277 |
| supracoronary replacement | 40 (76.9%) | 31 (59.6%) | 0 (0.0%) | 71 (64.0%) | 0.058 |
| supracoronary ascending aorta replacement with arch replacement | 2 (3.8%) | 15 (28.8%) * | 0 (0.0%) | 17 (15.3%) | <0.001 |
| additional surgical procedures | |||||
| AVR | 21 (40.4%) * | 3 (5.8%) | 0 (0.0%) | 24 (21.6%) | <0.001 |
| AVRepair | 13 (25.0%) | 12 (23.1%) | 0 (0.0%) | 25 (22.5%) | 0.697 |
| CABG | 10 (19.2%) | 7 (13.4%) | 5 (71.4%) | 22 (19.8%) | 0.239 |
| Complications | |||||
| Arrythmia | 9 (17.3%) | 4 (7.7%) | 0 (0.0%) | 13 (11.7%) | 0.138 |
| Bleeding | 7 (13.5%) | 10 (19.2%) | 0 (0.0%) | 17 (15.3% | 0.426 |
| Infection | 2 (3.8%) | 5 (9.6%) | 0 (0.0%) | 7 (6.3%) | 0.240 |
| Ischemia | 3 (5.8%) | 5 (9.6%) | 0 (0.0%) | 8 (7.2%) | 0.462 |
| Organ failure | 1 (1.9%) | 1 (1.9%) | 0 (0.0%) | 2 (1.8%) | 1.000 |
| Mortality | 2 (3.8%) | 11 (21.2%) * | 0 (0.0%) | 15 (13.5%) | 0.008 |
| A (n = 52) | D (n = 52) | H (n = 7) | Total (n = 111) | |
|---|---|---|---|---|
| MMP1. Intima | ||||
| 0 | 17 (32.7%) | 23 (44.2%) | 5 (71.4%) | 45 (40.5%) |
| 1 | 18 (34.6%) | 18 (34.6%) | 2 (28.6%) | 38 (34.2%) |
| 2 | 15 (28.8%) | 10 (19.2%) | 0 (0.0%) | 25 (22.5%) |
| 3 | 2 (3.8%) | 1 (1.9%) | 0 (0.0%) | 3 (2.7%) |
| MMP1. Media | ||||
| 0 | 6 (11.5%) | 4 (7.7%) | 0 (0.0%) | 10 (9.0%) |
| 1 | 21 (40.4%) | 23 (44.2%) | 7 (100.0%) | 51 (45.9%) |
| 2 | 21 (40.4%) | 21 (40.4%) | 0 (0.0%) | 42 (37.8%) |
| 3 | 4 (7.7%) | 4 (7.7%) | 0 (0.0%) | 8 (7.2%) |
| MMP1. Adventitia | ||||
| N-Miss | 0 | 1 | 5 | 6 |
| 0 | 22 (42.3%) | 11 (21.6%) | 2 (100.0%) | 35 (33.3%) |
| 1 | 25 (48.1%) | 17 (33.3%) | 0 (0.0%) | 42 (40.0%) |
| 2 | 5 (9.6%) | 11 (21.6%) | 0 (0.0%) | 16 (15.2%) |
| 3 | 0 (0.0%) | 12 (23.5%) | 0 (0.0%) | 12 (11.4%) |
| MMP9. Intima | ||||
| 0 | 34 (65.4%) | 40 (76.9%) | 6 (85.7%) | 80 (72.1%) |
| 1 | 8 (15.4%) | 10 (19.2%) | 1 (14.3%) | 19 (17.1%) |
| 2 | 7 (13.5%) | 2 (3.8%) | 0 (0.0%) | 9 (8.1%) |
| 3 | 3 (5.8%) | 0 (0.0%) | 0 (0.0%) | 3 (2.7%) |
| MMP9. Media | ||||
| 0 | 32 (61.5%) | 13 (25.0%) | 7 (100.0%) | 52 (46.8%) |
| 1 | 17 (32.7%) | 16 (30.8%) | 0 (0.0%) | 33 (29.7%) |
| 2 | 3 (5.8%) | 21 (40.4%) | 0 (0.0%) | 24 (21.6%) |
| 3 | 0 (0.0%) | 2 (3.8%) | 0 (0.0%) | 2 (1.8%) |
| MMP9. Adventitia | ||||
| N-Miss | 0 | 1 | 5 | 6 |
| 0 | 26 (50.0%) | 6 (11.8%) | 2 (100.0%) | 34 (32.4%) |
| 1 | 26 (50.0%) | 19 (37.3%) | 0 (0.0%) | 45 (42.9%) |
| 2 | 0 (0.0%) | 19 (37.3%) | 0 (0.0%) | 19 (18.1%) |
| 3 | 0 (0.0%) | 7 (13.7%) | 0 (0.0%) | 7 (6.7%) |
| A (n = 52) | D (n = 52) | H (n = 7) | Total (n = 111) | |
|---|---|---|---|---|
| TIMP1. Intima | ||||
| N-Miss | 0 | 1 | 0 | 1 |
| 0 | 25 (48.1%) | 30 (58.8%) | 7 (100.0%) | 62 (56.4%) |
| 1 | 12 (23.1%) | 14 (27.5%) | 0 (0.0%) | 26 (23.6%) |
| 2 | 10 (19.2%) | 5 (9.8%) | 0 (0.0%) | 15 (13.6%) |
| 3 | 5 (9.6%) | 2 (3.9%) | 0 (0.0%) | 7 (6.4%) |
| TIMP1. Media | ||||
| 0 | 26 (50.0%) | 9 (17.3%) | 7 (100.0%) | 42 (37.8%) |
| 1 | 17 (32.7%) | 26 (50.0%) | 0 (0.0%) | 43 (38.7%) |
| 2 | 8 (15.4%) | 17 (32.7%) | 0 (0.0%) | 25 (22.5%) |
| 3 | 1 (1.9%) | 0 (0.0%) | 0 (0.0%) | 1 (0.9%) |
| TIMP1. Adventitia | ||||
| N-Miss | 0 | 1 | 5 | 6 |
| 0 | 49 (94.2%) | 10 (19.6%) | 2 (100.0%) | 61 (58.1%) |
| 1 | 3 (5.8%) | 18 (35.3%) | 0 (0.0%) | 21 (20.0%) |
| 2 | 0 (0.0%) | 21 (41.2%) | 0 (0.0%) | 21 (20.0%) |
| 3 | 0 (0.0%) | 2 (3.9%) | 0 (0.0%) | 2 (1.9%) |
| TIMP2. Intima | ||||
| N-Miss | 0 | 1 | 0 | 1 |
| 0 | 39 (75.0%) | 51 (100.0%) | 7 (100.0%) | 97 (88.2%) |
| 1 | 11 (21.2%) | 0 (0.0%) | 0 (0.0%) | 11 (10.0%) |
| 2 | 2 (3.8%) | 0 (0.0%) | 0 (0.0%) | 2 (1.8%) |
| TIMP2. Media | ||||
| N-Miss | 0 | 1 | 0 | 1 |
| 0 | 35 (67.3%) | 41 (80.4%) | 7 (100.0%) | 83 (75.5%) |
| 1 | 16 (30.8%) | 9 (17.6%) | 0 (0.0%) | 25 (22.7%) |
| 2 | 1 (1.9%) | 1 (2.0%) | 0 (0.0%) | 2 (1.8%) |
| TIMP2. Adventitia | ||||
| N-Miss | 0 | 0 | 5 | 5 |
| 0 | 42 (80.8%) | 31 (59.6%) | 2 (100.0%) | 75 (70.8%) |
| 1 | 10 (19.2%) | 15 (28.8%) | 0 (0.0%) | 25 (23.6%) |
| 2 | 0 (0.0%) | 6 (11.5%) | 0 (0.0%) | 6 (5.7%) |
| A (n = 52) | D (n = 52) | H (n = 7) | Total (n = 111) | |
|---|---|---|---|---|
| N-Miss | 0 | 1 | 0 | 1 |
| Yes | 26 (50.0%) | 31 (60.8%) | 0 (0.0%) | 57 (51.8%) |
| No | 26 (50.0%) | 20 (39.2%) | 7 (100.0%) | 53 (48.2%) |
| A (n = 52) | D (n = 52) | H (n = 7) | Total (n = 111) | |
|---|---|---|---|---|
| 0 | 14 (26.9%) | 18 (34.6%) | 7 (100.0%) | 39 (35.1%) |
| 1 | 2 (3.8%) | 4 (7.7%) | 0 (0.0%) | 6 (5.4%) |
| 2 | 14 (26.9%) | 16 (30.8%) | 0 (0.0%) | 30 (27.0%) |
| 3 | 5 (9.6%) | 4 (7.7%) | 0 (0.0%) | 9 (8.1%) |
| 4 | 4 (7.7%) | 3 (5.8%) | 0 (0.0%) | 7 (6.3%) |
| 5 | 9 (17.3%) | 6 (11.5%) | 0 (0.0%) | 15 (13.5%) |
| 6 | 4 (7.7%) | 1 (1.9%) | 0 (0.0%) | 5 (4.5%) |
Disclaimer/Publisher’s Note: The statements, opinions and data contained in all publications are solely those of the individual author(s) and contributor(s) and not of MDPI and/or the editor(s). MDPI and/or the editor(s) disclaim responsibility for any injury to people or property resulting from any ideas, methods, instructions or products referred to in the content. |
© 2024 by the authors. Licensee MDPI, Basel, Switzerland. This article is an open access article distributed under the terms and conditions of the Creative Commons Attribution (CC BY) license (https://creativecommons.org/licenses/by/4.0/).
Share and Cite
Irqsusi, M.; Dong, L.A.; Rodepeter, F.R.; Ramzan, R.; Talipov, I.; Ghazy, T.; Günther, M.; Vogt, S.; Rastan, A.J. The Role of Matrix Metalloproteinases in Thoracic Aortic Disease: Are They Indicators for the Pathogenesis of Dissections? Biomedicines 2024, 12, 619. https://doi.org/10.3390/biomedicines12030619
Irqsusi M, Dong LA, Rodepeter FR, Ramzan R, Talipov I, Ghazy T, Günther M, Vogt S, Rastan AJ. The Role of Matrix Metalloproteinases in Thoracic Aortic Disease: Are They Indicators for the Pathogenesis of Dissections? Biomedicines. 2024; 12(3):619. https://doi.org/10.3390/biomedicines12030619
Chicago/Turabian StyleIrqsusi, Marc, Lan Anh Dong, Fiona R. Rodepeter, Rabia Ramzan, Ildar Talipov, Tamer Ghazy, Madeline Günther, Sebastian Vogt, and Ardawan J. Rastan. 2024. "The Role of Matrix Metalloproteinases in Thoracic Aortic Disease: Are They Indicators for the Pathogenesis of Dissections?" Biomedicines 12, no. 3: 619. https://doi.org/10.3390/biomedicines12030619
APA StyleIrqsusi, M., Dong, L. A., Rodepeter, F. R., Ramzan, R., Talipov, I., Ghazy, T., Günther, M., Vogt, S., & Rastan, A. J. (2024). The Role of Matrix Metalloproteinases in Thoracic Aortic Disease: Are They Indicators for the Pathogenesis of Dissections? Biomedicines, 12(3), 619. https://doi.org/10.3390/biomedicines12030619

