Can Shockwave Treatment Elicit a Molecular Response to Enhance Clinical Outcomes in Pressure Ulcers? The SHOck Waves in wouNds Project
Abstract
1. Introduction
2. Materials and Methods
2.1. Participants
2.2. Qualification Procedure
2.3. Sample Characteristics
2.4. The Wounds’ Characteristics
2.5. Therapeutic Intervention
2.6. Histomorphological Analysis
2.7. Immunohistochemical Assessment
2.8. Immunohistochemical Evaluation
2.9. Statistical Analysis
3. Results
3.1. Clinical Evaluation
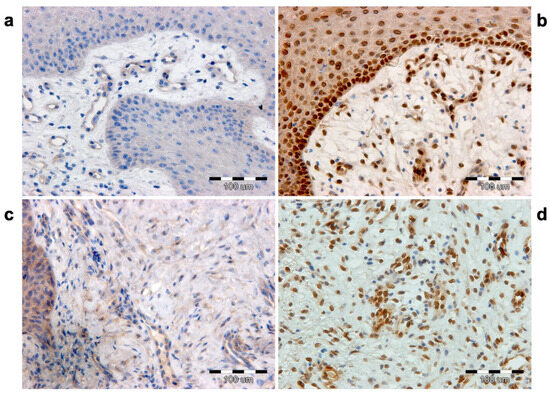
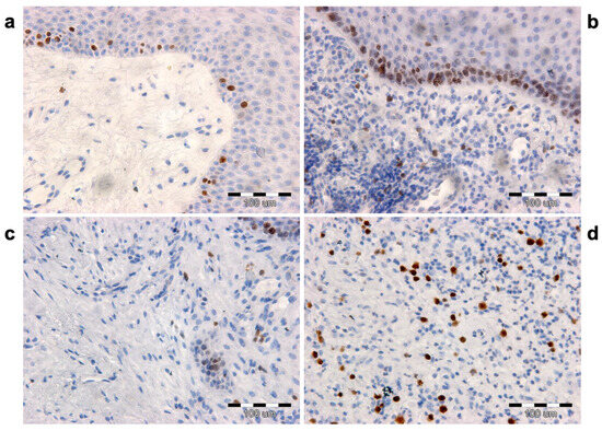
3.2. An Assessment of YAP Protein Expression 1
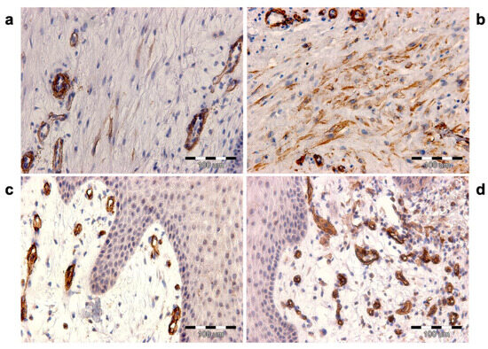
3.3. Myofibroblasts’ Activation
3.4. Proliferation Index
3.5. The Assessment of Microvascular Density
4. Discussion
The Strengths and Limitations of the Study
5. Conclusions
Author Contributions
Funding
Institutional Review Board Statement
Informed Consent Statement
Data Availability Statement
Acknowledgments
Conflicts of Interest
References
- Wilkinson, H.N.; Hardman, M.J. Wound Healing: Cellular Mechanisms and Pathological Outcomes: Cellular Mechanisms of Wound Repair. Open Biol. 2020, 10, 200223. [Google Scholar] [CrossRef] [PubMed]
- Olsson, M.; Järbrink, K.; Divakar, U.; Bajpai, R.; Upton, Z.; Schmidtchen, A.; Car, J. The Humanistic and Economic Burden of Chronic Wounds: A Systematic Review. Wound Repair. Regen. 2019, 27, 114–125. [Google Scholar] [CrossRef] [PubMed]
- Wilkinson, J.E.; Nutley, S.M.; Davies, H.T.O. An Exploration of the Roles of Nurse Managers in Evidence-Based Practice Implementation. Worldviews Evid. Based Nurs. 2011, 8, 236–246. [Google Scholar] [CrossRef] [PubMed]
- Gurtner, G.C.; Werner, S.; Barrandon, Y.; Longaker, M.T. Wound Repair and Regeneration. Nature 2008, 453, 314–321. [Google Scholar] [CrossRef] [PubMed]
- Rosińczuk, J.; Taradaj, J.; Dymarek, R.; Sopel, M. Mechanoregulation of Wound Healing and Skin Homeostasis. BioMed Res. Int. 2016, 2016, 3943481. [Google Scholar] [CrossRef] [PubMed]
- Dymarek, R.; Halski, T.; Ptaszkowski, K.; Slupska, L.; Rosinczuk, J.; Taradaj, J. Extracorporeal Shock Wave Therapy as an Adjunct Wound Treatment: A Systematic Review of the Literature. Ostomy Wound Manag. 2014, 60, 26–39. [Google Scholar]
- Simplicio, C.L.; Purita, J.; Murrell, W.; Santos, G.S.; Dos Santos, R.G.; Lana, J.F.S.D. Extracorporeal shock wave therapy mechanisms in musculoskeletal regenerative medicine. J. Clin. Orthop Trauma. 2020, 11, S309–S318. [Google Scholar] [CrossRef]
- Speed, C. A Systematic Review of Shockwave Therapies in Soft Tissue Conditions: Focusing on the Evidence. Br. J. Sports Med. 2014, 48, 1538–1542. [Google Scholar] [CrossRef]
- Hochstrasser, T.; Frank, H.G.; Schmitz, C. Dose-Dependent and Cell Type-Specific Cell Death and Proliferation Following in Vitro Exposure to Radial Extracorporeal Shock Waves. Sci. Rep. 2016, 6, 21–24. [Google Scholar] [CrossRef]
- Peng, Y.Z.; Zheng, K.; Yang, P.; Wang, Y.; Li, R.J.; Li, L.; Pan, J.H.; Guo, T. Shock Wave Treatment Enhances Endothelial Proliferation via Autocrine Vascular Endothelial Growth Factor. Genet. Mol. Res. 2015, 14, 19203–19210. [Google Scholar] [CrossRef]
- Hatanaka, K.; Ito, K.; Shindo, T.; Kagaya, Y.; Ogata, T.; Eguchi, K.; Kurosawa, R.; Shimokawa, H. Regulation of Cell Signaling Pathways Molecular Mechanisms of the Angiogenic Effects of Low-Energy Shock Wave Therapy: Roles of Mechanotransduction. Am. J. Physiol.-Cell Physiol. 2016, 311, 378–385. [Google Scholar] [CrossRef]
- Mattyasovszky, S.G.; Langendorf, E.K.; Ritz, U.; Schmitz, C.; Schmidtmann, I.; Nowak, T.E.; Wagner, D.; Hofmann, A.; Rommens, P.M.; Drees, P. Exposure to Radial Extracorporeal Shock Waves Modulates Viability and Gene Expression of Human Skeletal Muscle Cells: A Controlled in Vitro Study. J. Orthop. Surg. Res. 2018, 13, 1–10. [Google Scholar] [CrossRef]
- d’Agostino, M.C.; Craig, K.; Tibalt, E.; Respizzi, S. Shock Wave as Biological Therapeutic Tool: From Mechanical Stimulation to Recovery and Healing, through Mechanotransduction. Int. J. Surg. 2015, 24, 147–153. [Google Scholar] [CrossRef]
- Harn, H.I.-C.; Ogawa, R.; Hsu, C.-K.; Hughes, M.W.; Tang, M.-J.; Chuong, C.-M. The Tension Biology of Wound Healing. Exp. Dermatol. 2019, 28, 464–471. [Google Scholar] [CrossRef] [PubMed]
- Tuxhorn, J.A.; Ayala, G.E.; Smith, M.J.; Smith, V.C.; Dang, T.D.; Rowley, D.R. Reactive Stroma in Human Prostate Cancer: Induction of Myofibroblast Phenotype and Extracellular Matrix Remodeling. Clin. Cancer Res. 2002, 8, 2912–2923. [Google Scholar] [PubMed]
- Schlüter, C.; Duchrow, M.; Wohlenberg, C.; Becker, M.H.; Key, G.; Flad, H.D.; Gerdes, J. The Cell Proliferation-Associated Antigen of Antibody Ki-67: A Very Large, Ubiquitous Nuclear Protein with Numerous Repeated Elements, Representing a New Kind of Cell Cycle-Maintaining Proteins. J. Cell Biol. 1993, 123, 513–522. [Google Scholar] [CrossRef] [PubMed]
- Hsu, C.; Ho, D.M.; Yang, C. Interobserver Reproducibility of MIB-1 Labeling Index in Astrocytic Tumors Using Different Counting Methods. Mod. Pathol. 2003, 16, 951–957. [Google Scholar] [CrossRef] [PubMed]
- Mascré, G.; Dekoninck, S.; Drogat, B.; Youssef, K.K.; Brohée, S.; Sotiropoulou, P.A.; Simons, B.D.; Blanpain, C. Distinct Contribution of Stem and Progenitor Cells to Epidermal Maintenance. Nature 2012, 489, 257–262. [Google Scholar] [CrossRef] [PubMed]
- Fuchs, E.; Bruxelles, L. De Plasticity of Epithelial Stem Cells in Tissue Regeneration. Science 2015, 344, 1243. [Google Scholar] [CrossRef]
- Singhal, P.K.; Sassi, S.; Lan, L.; Au, P.; Halvorsen, S.C.; Fukumura, D.; Jain, R.K.; Seed, B. Mouse Embryonic Fibroblasts Exhibit Extensive Developmental and Phenotypic Diversity. Proc. Natl. Acad. Sci. USA 2016, 113, 122–127. [Google Scholar] [CrossRef]
- Betz, P.; Nerlich, A.; Wilske, J.; Tübel, J.; Penning, R.; Eisenmenger, W. The Time-Dependent Localization of Ki67 Antigen-Positive Cells in Human Skin Wounds. Int. J. Leg. Med. 1993, 106, 35–40. [Google Scholar] [CrossRef]
- Rodrigues, M.; Kosaric, N.; Bonham, C.A.; Gurtner, G.C. Wound Healing: A Cellular Perspective. Physiol. Rev. 2019, 99, 665–706. [Google Scholar] [CrossRef] [PubMed]
- Duscher, D.; Maan, Z.N.; Wong, V.W.; Rennert, R.C.; Januszyk, M.; Rodrigues, M.; Hu, M.; Whitmore, A.J.; Whittam, A.J.; Longaker, M.T.; et al. Mechanotransduction and Fi Brosis. J. Biomech. 2014, 47, 1997–2005. [Google Scholar] [CrossRef] [PubMed]
- Gabbiani, G. The Myofibroblast in Wound Healing and Fibrocontractive Diseases. J. Pathol. 2003, 200, 500–503. [Google Scholar] [CrossRef] [PubMed]
- Hinz, B. The Myofibroblast: Paradigm for a Mechanically Active Cell. J. Biomech. 2010, 43, 146–155. [Google Scholar] [CrossRef]
- Hinz, B.; Phan, S.H.; Thannickal, V.J.; Prunotto, M.; Desmoulire, A.; Varga, J.; De Wever, O.; Mareel, M.; Gabbiani, G. Recent Developments in Myofibroblast Biology: Paradigms for Connective Tissue Remodeling. Am. J. Pathol. 2012, 180, 1340–1355. [Google Scholar] [CrossRef] [PubMed]
- Bergmeier, V.; Etich, J.; Pitzler, L.; Frie, C.; Koch, M.; Fischer, M.; Rappl, G.; Abken, H.; Tomasek, J.J.; Brachvogel, B. Identification of a Myofibroblast-Specific Expression Signature in Skin Wounds. Matrix Biol. 2018, 65, 59–74. [Google Scholar] [CrossRef]
- Zins, S.R.; Amare, M.F.; Tadaki, D.K.; Elster, E.A.; Davis, T.A. Comparative Analysis of Angiogenic Gene Expression in Normal and Impaired Wound Healing in Diabetic Mice: Effects of Extracorporeal Shock Wave Therapy. Angiogenesis 2010, 13, 293–304. [Google Scholar] [CrossRef] [PubMed]
- Mittermayr, R.; Antonic, V.; Hartinger, J.; Kaufmann, H.; Redl, H.; Téot, L.; Stojadinovic, A.; Schaden, W. Extracorporeal Shock Wave Therapy (ESWT) for Wound Healing: Technology, Mechanisms, and Clinical Efficacy. Wound Repair. Regen. 2012, 20, 456–465. [Google Scholar] [CrossRef]
- Fujiwara, K. Platelet Endothelial Cell Adhesion Molecule-1 and Mechanotransduction in Vascular Endothelial Cells. J. Intern. Med. 2006, 259, 373–380. [Google Scholar] [CrossRef]
- Tepeköylü, C.; Wang, F.-S.; Kozaryn, R.; Albrecht-Schgoer, K.; Theurl, M.; Schaden, W.; Ke, H.-J.; Yang, Y.; Kirchmair, R.; Grimm, M.; et al. Shock Wave Treatment Induces Angiogenesis and Mobilizes Endogenous CD31/CD34-Positive Endothelial Cells in a Hindlimb Ischemia Model: Implications for Angiogenesis and Vasculogenesis. J. Thorac. Cardiovasc. Surg. 2013, 146, 971–978. [Google Scholar] [CrossRef] [PubMed]
- Mariotto, S.; Cavalieri, E.; Amelio, E.; Ciampa, A.R.; De Prati, A.C.; Marlinghaus, E.; Russo, S.; Suzuki, H. Extracorporeal Shock Waves: From Lithotripsy to Anti-Inflammatory Action by NO Production. Nitric Oxide-Biol. Chem. 2005, 12, 89–96. [Google Scholar] [CrossRef] [PubMed]
- Elbediwy, A.; Vincent-Mistiaen, Z.I.; Spencer-Dene, B.; Stone, R.K.; Boeing, S.; Wculek, S.K.; Cordero, J.; Tan, E.H.; Ridgway, R.; Brunton, V.G.; et al. Integrin Signalling Regulates YAP and TAZ to Control Skin Homeostasis. Development 2016, 143, 1674–1687. [Google Scholar] [CrossRef] [PubMed]
- Zhang, H.; Pasolli, H.A.; Fuchs, E. Yes-Associated Protein (YAP) Transcriptional Coactivator Functions in Balancing Growth and Differentiation in Skin. Proc. Natl. Acad. Sci. USA. 2011, 108, 2270–2275. [Google Scholar] [CrossRef] [PubMed]
- Walko, G.; Woodhouse, S.; Pisco, A.O.; Rognoni, E.; Liakath-Ali, K.; Lichtenberger, B.M.; Mishra, A.; Telerman, S.B.; Viswanathan, P.; Logtenberg, M.; et al. A Genome-Wide Screen Identifies YAP/WBP2 Interplay Conferring Growth Advantage on Human Epidermal Stem Cells. Nat. Commun. 2017, 8, 14744. [Google Scholar] [CrossRef] [PubMed]
- Lee, M.; Byun, M.R.; Furutani-seiki, M.; Hong, J.; Jung, H. YAP and TAZ Regulate Skin Wound Healing. J. Investig. Dermatol. 2014, 134, 518–525. [Google Scholar] [CrossRef]
- Rognoni, E.; Walko, G. The Roles of YAP/TAZ and the Hippo Pathway in Healthy and Diseased Skin. Cells 2019, 8, 411. [Google Scholar] [CrossRef]
- Noguchi, S.; Saito, A.; Nagase, T. YAP/TAZ Signaling as a Molecular Link between Fibrosis and Cancer. Int. J. Mol. Sci. 2018, 19, 3674. [Google Scholar] [CrossRef]
- Kirk, T.; Ahmed, A.; Rognoni, E. Fibroblast Memory in Development, Homeostasis and Disease. Cells 2021, 10, 2840. [Google Scholar] [CrossRef] [PubMed]






| Outcomes | M0 | M1 | M2 | p-Values |
|---|---|---|---|---|
| WSA [cm2] | <0.001 | |||
| M ± SD | 13.5 ± 13.6 | 9.9 ± 12.7 | 7.2 ± 9.1 | |
| Me (Q1–Q3) | 5.6 (3.8–23.8) | 4.5 (2.2–16.8) | 3.2 (1.3–11.7) | |
| Min–Max | 3.4–42.9 | 1.0–40.9 | 0.3–29.2 | |
| WBS [point] | <0.001 | |||
| Mean ± SD | 2.7 ± 2.5 | 7.3 ± 4.0 | 11.3 ± 3.6 | |
| Median (Q1–Q3) | 1 (1–6) | 6 (5–10) | 11 (9–14) | |
| Min–Max | 1–7 | 2–15 | 5–16 | |
| Measurement | YAP1 Expression Level in Keratinocyte Nuclei of the Epidermis of the Wound Edge (n) | Together | p-Value | |||
| Lack | Weak | Moderate | Strong | |||
| M0 | 24 | 63 | 13 | 0 | 100 | <0.0001 |
| M1 | 6 | 47 | 42 | 5 | 100 | |
| M2 | 1 | 21 | 57 | 21 | 100 | |
| Measurement | YAP1 Expression Level in the Keratinocyte Cytoplasm of the Epidermis of the Wound Edge (n) | Together | p-Value | |||
| Lack | Weak | Moderate | Strong | |||
| M0 | 10 | 53 | 29 | 8 | 100 | 0.0259 |
| M1 | 13 | 56 | 27 | 4 | 100 | |
| M2 | 6 | 71 | 23 | 0 | 100 | |
| Measurement | YAP1 Expression Rate in the Nuclei of Dermal Cells (n) | Together | p-Value | |||
| Lack | Weak | Moderate | Strong | |||
| M0 | 22 | 65 | 13 | 0 | 100 | <0.0001 |
| M1 | 5 | 58 | 32 | 5 | 100 | |
| M2 | 4 | 35 | 52 | 9 | 100 | |
| Measurement | YAP1 Expression Level in the Cytoplasm of Dermal Cells (n) | Together | p-Value | |||
| Lack | Weak | Moderate | Strong | |||
| M0 | 11 | 52 | 31 | 6 | 100 | 0.7129 |
| M1 | 10 | 59 | 26 | 5 | 100 | |
| M2 | 11 | 62 | 25 | 2 | 100 | |
| Measurement | Values of α-SMA Assessment in Dermal Cells (n) | Together | p-Value | |||
| Lack | Weak | Moderate | Strong | |||
| M0 | 23 | 67 | 10 | 1 | 100 | <0.0001 |
| M1 | 1 | 62 | 31 | 6 | 100 | |
| M2 | 0 | 34 | 47 | 19 | 100 | |
| Count of Ki-67-Positive Cells —Keratinocytes | p-Value | |||||
|---|---|---|---|---|---|---|
| M0 | M1 | M2 | M0–M1 | M0–M2 | M1–M2 | |
| M. | 18.74 | 26.95 | 41.86 | <0.0001 | <0.0001 | <0.0001 |
| SD | 2.70 | 3.94 | 5.0 | |||
| Min | 12 | 19 | 32 | |||
| Max | 27 | 36 | 57 | |||
| Count of Ki-67-Positive Cells —Dermis Cells | p-Value | |||||
| M0 | M1 | M2 | M0–M1 | M0–M2 | M1–M2 | |
| M. | 10.08 | 30.07 | 46.43 | <0.0001 | <0.0001 | <0.0001 |
| SD | 1.91 | 3.28 | 4.57 | |||
| Min | 6 | 21 | 38 | |||
| Max | 15 | 36 | 54 | |||
| Count of CD31-Positive Cells —Papillary Layer of the Dermis | p-Value | |||||
| M0 | M1 | M2 | M0–M1 | M0–M2 | M1–M2 | |
| M. | 7.96 | 11.26 | 17.09 | <0.0001 | <0.0001 | <0.0001 |
| SD | 1.12 | 1.69 | 1.56 | |||
| Min | 5 | 8 | 14 | |||
| Max | 10 | 15 | 21 | |||
Disclaimer/Publisher’s Note: The statements, opinions and data contained in all publications are solely those of the individual author(s) and contributor(s) and not of MDPI and/or the editor(s). MDPI and/or the editor(s) disclaim responsibility for any injury to people or property resulting from any ideas, methods, instructions or products referred to in the content. |
© 2024 by the authors. Licensee MDPI, Basel, Switzerland. This article is an open access article distributed under the terms and conditions of the Creative Commons Attribution (CC BY) license (https://creativecommons.org/licenses/by/4.0/).
Share and Cite
Sopel, M.; Kuberka, I.; Szczuka, I.; Taradaj, J.; Rosińczuk, J.; Dymarek, R. Can Shockwave Treatment Elicit a Molecular Response to Enhance Clinical Outcomes in Pressure Ulcers? The SHOck Waves in wouNds Project. Biomedicines 2024, 12, 359. https://doi.org/10.3390/biomedicines12020359
Sopel M, Kuberka I, Szczuka I, Taradaj J, Rosińczuk J, Dymarek R. Can Shockwave Treatment Elicit a Molecular Response to Enhance Clinical Outcomes in Pressure Ulcers? The SHOck Waves in wouNds Project. Biomedicines. 2024; 12(2):359. https://doi.org/10.3390/biomedicines12020359
Chicago/Turabian StyleSopel, Mirosław, Izabela Kuberka, Izabela Szczuka, Jakub Taradaj, Joanna Rosińczuk, and Robert Dymarek. 2024. "Can Shockwave Treatment Elicit a Molecular Response to Enhance Clinical Outcomes in Pressure Ulcers? The SHOck Waves in wouNds Project" Biomedicines 12, no. 2: 359. https://doi.org/10.3390/biomedicines12020359
APA StyleSopel, M., Kuberka, I., Szczuka, I., Taradaj, J., Rosińczuk, J., & Dymarek, R. (2024). Can Shockwave Treatment Elicit a Molecular Response to Enhance Clinical Outcomes in Pressure Ulcers? The SHOck Waves in wouNds Project. Biomedicines, 12(2), 359. https://doi.org/10.3390/biomedicines12020359

