Phenomena of Intussusceptive Angiogenesis and Intussusceptive Lymphangiogenesis in Blood and Lymphatic Vessel Tumors
Abstract
1. Introduction
2. Material and Methods
2.1. Human Tissue Samples
2.2. Light Microscopy
2.3. Immunohistochemistry and Immunofluorescence
2.4. Semiquantitative Analysis
3. Results
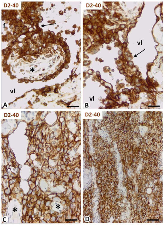
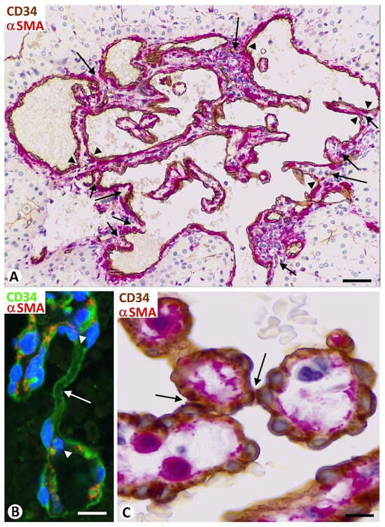
3.1. Intussusceptive Structures in Benign Vessel Tumors: Types, Structural Components, Connections, and Arrangement
3.1.1. Types of Intussusceptive Structures in Benign Vessel Tumors
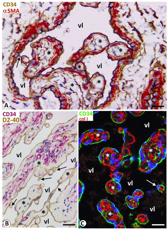
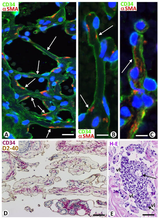
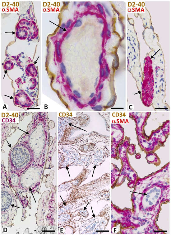
3.1.2. Structural Components of Meshes and Pillars in Benign Vessel Tumors
3.1.3. Connections Established by Intravascular Meshes and Pillars in Benign Vessel Tumors
3.1.4. Arrangement of Meshes and Pillars in Benign Vessel Tumors
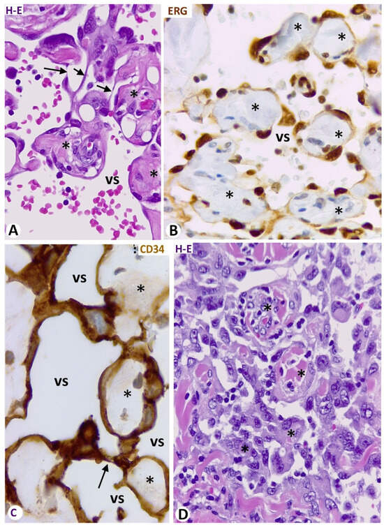
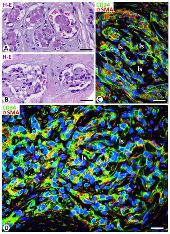
3.2. Findings Supporting Different Mechanisms in the Formation of Meshes and Pillars in Vessel Tumors
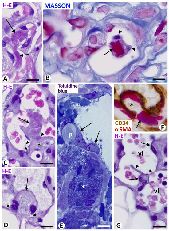
3.2.1. Thrombosis with Endothelialization and Cell Invasion of the Thrombotic Material—The Thrombus as a Support of Vessel Intussusception
3.2.2. Interendothelial Bridges through the Vessel Lumen and Subsequent Incorporation of Core Components
3.2.3. Formation of Vessel Loops and Transport of the Surrounded Interstitial Tissue Structures toward the Vessel Lumen—Dissecting Phenomenon—Piecemeal Form of Intussusceptive Angiogenesis
3.2.4. Splitting and Association of Meshes
3.2.5. Combinations of the Different Findings Mentioned above and/or with Sprouting Angiogenesis
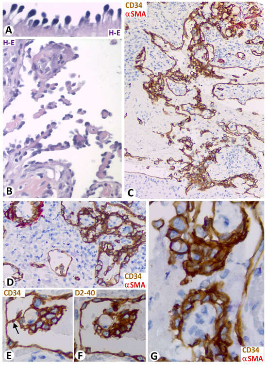
3.3. Intussusceptive Structures (Meshes and Pillars) in Low-Grade Malignant Vessel Tumors (Locally Aggressive/Rarely Metastasizing)
3.4. Meshes and Pillars in Malignant Vessel Tumors
3.5. Common and Changing Events in Pillars and Cores in Benign and Malignant Blood and Lymphatic Vessel Tumors
4. Discussion
- (1)
- The mechanism of vessel loop formation and transport of the surrounded interstitial tissue structures toward the original lumen of the parent vessel can be considered a dissecting phenomenon or a piecemeal form of intussusceptive angiogenesis. The following sequence is possible: (a) endothelial cells (future cover of intussusceptive structures) sprouting from preexisting/parent vessels form vessel loops, with virtual lumen, surrounding interstitial tissue structures (future cores of intussusceptive structures), (b) when the vessel loop lumen—connected at both ends with the parent vessel—becomes patent, the interstitial tissue structure and surrounding endothelial cells are pushed toward the parent vessel lumen, and (c) as the lumen of loops increases and merges with that of the parent vessel, the intussusceptive structures appear to be transported to the common lumen. The most evolved findings of this process were identifiable in all vessel tumors, including Kaposi sarcoma (giving rise to the promontory sign) [33]. The earlier events were best detected in lobular capillary hemangioma, a lesion of rapid development in some cases. Taken together, the observations show that sprouting angiogenesis and intussusceptive angiogenesis associate and behave as complementary mechanisms with synergistic interaction [7,17,18,19,20,30,34,35,36] and that sprouting events precede the intussusceptive. This also coincides with experimental observations in neo-vascularized femoral vein walls [17] and with the most recent contributions on the remodeling of the zebrafish caudal vein plexus [19].
- (2)
- In the mechanism of thrombosis with endothelialization and cell invasion of the thrombotic material, thrombus components form a provisional core of intussusceptive structures. The following sequence is possible: (a) thrombus fragments adhere to the vessel wall or to previous meshes, (b) endothelial cells reorient their trajectory toward the surface of the thrombotic material from the ends of the adherent region, which becomes deendothelialized, (c) endothelialization of the surface of the thrombus fragments occurs from the reoriented endothelial cells (cover formation), and (d) penetration through the deendothelialized adherent region of connective cells and formation of extracellular matrix (mature core formation). Thrombosis has been related with intussusceptive angiogenesis in COVID-19 disease [37]. The mechanism posited here coincides with one described in experimental studies in blood vessels of the ovarian pedicle [4,5] and in hemorrhoidal disease [14]. In our observations, it was plainly evident in intravascular papillary endothelial hyperplasia and angiolipoma.
- (3)
- The mechanism of intraluminal endothelial bridge formation is similar to that traditionally outlined in initial contributions on intussusceptive angiogenesis, currently known as fusion of the intraluminal capillary wall [19], and to that described as inverse sprouting [13], although in vessel tumors, pillars mainly extend between meshes, and between meshes and the vessel wall. The following sequence is possible: (a) the endothelial bridges, forming nascent pillars (initial pillar cover), extend between the opposite vessel wall, between meshes, and between meshes and the vessel wall, and (b) pericytes and stromal cell extensions penetrate endothelial bridges and collagen is formed or transported, originating from the pillar core. Although the findings that support this mechanism for intussusceptive formation coincide with those described in other physio-pathological and experimental conditions [1,2,3,4,5,6,7,8,9,10,11,12,13,14,38], our observations suggest that, in vessel tumors, it only occurs in thin pillars.
- (4)
- In the splitting and fusion of intussusceptive structures in vessel tumors, the formation of new intussusceptive structures through splitting occurs in meshes through the folding of their endothelial cells, a process also described in several conditions [15]. Merged or simply associated structures give rise to the more complex formations mentioned above, depending on their arrangement.
5. Conclusions
Author Contributions
Funding
Institutional Review Board Statement
Informed Consent Statement
Data Availability Statement
Acknowledgments
Conflicts of Interest
References
- Caduff, J.H.; Fischer, L.C.; Burri, P.H. Scanning electron microscope study of the developing microvasculature in the postnatal rat lung. Anat. Rec. 1986, 216, 154–164. [Google Scholar] [CrossRef] [PubMed]
- Burri, P.H. Intussusceptive microvascular growth, a new mechanism of capillary network formation. EXS 1992, 61, 32–39. [Google Scholar] [CrossRef] [PubMed]
- Patan, S.; Haenni, B.; Burri, P.H. Implementation of intussusceptive microvascular growth in the chicken chorioallantoic membrane (CAM): 1. pillar formation by folding of the capillary wall. Microvasc. Res. 1996, 51, 80–98. [Google Scholar] [CrossRef] [PubMed]
- Patan, S.; Munn, L.L.; Tanda, S.; Roberge, S.; Jain, R.K.; Jones, R.C. Vascular morphogenesis and remodeling in a model of tissue repair: Blood vessel formation and growth in the ovarian pedicle after ovariectomy. Circ. Res. 2001, 89, 723–731. [Google Scholar] [CrossRef] [PubMed]
- Patan, S.; Tanda, S.; Roberge, S.; Jones, R.C.; Jain, R.K.; Munn, L.L. Vascular morphogenesis and remodeling in a human tumor xenograft: Blood vessel formation and growth after ovariectomy and tumor implantation. Circ. Res. 2001, 89, 732–739. [Google Scholar] [CrossRef] [PubMed]
- Djonov, V.; Schmid, M.; Tschanz, S.A.; Burri, P.H. Intussusceptive angiogenesis: Its role in embryonic vascular network formation. Circ. Res. 2000, 86, 286–292. [Google Scholar] [CrossRef]
- Djonov, V.G.; Kurz, H.; Burri, P.H. Optimality in the developing vascular system: Branching remodeling by means of intussusception as an efficient adaptation mechanism. Dev. Dyn. 2002, 224, 391–402. [Google Scholar] [CrossRef]
- Djonov, V.; Baum, O.; Burri, P.H. Vascular remodeling by intussusceptive angiogenesis. Cell Tissue Res. 2003, 314, 107–117. [Google Scholar] [CrossRef]
- Augustin, H.G. Tubes, branches, and pillars: The many ways of forming a new vasculature. Circ. Res. 2001, 89, 645–647. [Google Scholar] [CrossRef][Green Version]
- Burri, P.H.; Djonov, V. Intussusceptive angiogenesis--the alternative to capillary sprouting. Mol. Asp. Med. 2002, 23, S1–S27. [Google Scholar] [CrossRef]
- Burri, P.H.; Hlushchuk, R.; Djonov, V. Intussusceptive angiogenesis: Its emergence, its characteristics, and its significance. Dev. Dyn. 2004, 231, 474–488. [Google Scholar] [CrossRef] [PubMed]
- Makanya, A.N.; Hlushchuk, R.; Djonov, V.G. Intussusceptive angiogenesis and its role in vascular morphogenesis, patterning, and remodeling. Angiogenesis 2009, 12, 113–123. [Google Scholar] [CrossRef] [PubMed]
- Paku, S.; Dezso, K.; Bugyik, E.; Tóvári, J.; Tímár, J.; Nagy, P.; Laszlo, V.; Klepetko, W.; Döme, B. A new mechanism for pillar formation during tumor-induced intussusceptive angiogenesis: Inverse sprouting. Am. J. Pathol. 2011, 179, 1573–1585. [Google Scholar] [CrossRef] [PubMed]
- Díaz-Flores, L.; Gutiérrez, R.; González-Gómez, M.; García, P.; Sáez, F.J.; Díaz-Flores, L., Jr.; Carrasco, J.L.; Madrid, J.F. Segmentation of Dilated Hemorrhoidal Veins in Hemorrhoidal Disease. Cells Tissues Organs 2018, 205, 120–128. [Google Scholar] [CrossRef] [PubMed]
- Díaz-Flores, L.; Gutiérrez, R.; Gayoso, S.; García, M.P.; González-Gómez, M.; Díaz-Flores, L.; Jr Sánchez, R.; Carrasco, J.L.; Madrid, J.F. Intussusceptive angiogenesis and its counterpart intussusceptive lymphangiogenesis. Histol. Histopathol. 2020, 35, 1083–1103. [Google Scholar] [CrossRef] [PubMed]
- De Spiegelaere, W.; Casteleyn, C.; Van den Broeck, W.; Plendl, J.; Bahramsoltani, M.; Simoens, P.; Djonov, V.; Cornillie, P. Intussusceptive angiogenesis: A biologically relevant form of angiogenesis. J. Vasc. Res. 2012, 49, 390–404. [Google Scholar] [CrossRef] [PubMed]
- Díaz-Flores, L.; Gutiérrez, R.; García, M.P.; Sáez, F.J.; Díaz-Flores, L., Jr.; Madrid, J.F. Piecemeal mechanism combining sprouting and intussusceptive angiogenesis in intravenous papillary formation induced by PGE2 and glycerol. Anat. Rec. 2017, 300, 1781–1792. [Google Scholar] [CrossRef] [PubMed]
- Karthik, S.; Djukic, T.; Kim, J.D.; Zuber, B.; Makanya, A.; Odriozola, A.; Hlushchuk, R.; Filipovic, N.; Jin, S.W.; Djonov, V. Synergistic interaction of sprouting and intussusceptive angiogenesis during zebrafish caudal vein plexus development. Sci. Rep. 2018, 8, 9840. [Google Scholar] [CrossRef]
- Röss, H.; Aaldijk, D.; Vladymyrov, M.; Odriozola, A.; Djonov, V. Transluminal pillars-Their origin and role in the remodelling of the zebrafish caudal vein plexus. Int. J. Mol. Sci. 2023, 24, 16703. [Google Scholar] [CrossRef]
- Konerding, M.A.; Gibney, B.C.; Houdek, J.P.; Chamoto, K.; Ackermann, M.; Lee, G.S.; Lin, M.; Tsuda, A.; Mentzer, S.J. Spatial dependence of alveolar angiogenesis in post-pneumonectomy lung growth. Angiogenesis 2012, 15, 23–32. [Google Scholar] [CrossRef]
- Djonov, V.; Andres, A.C.; Ziemiecki, A. Vascular remodelling during the normal and malignant life cycle of the mammary gland. Microsc. Res. Tech. 2001, 52, 182–189. [Google Scholar] [CrossRef] [PubMed]
- Crivellato, E.; Nico, B.; Vacca, A.; Ribatti, D. B-cell non-Hodgkin’s lymphomas express heterogeneous patterns of neovascularization. Haematologica 2003, 88, 671–678. [Google Scholar] [PubMed]
- Ribatti, D.; Nico, B.; Floris, C.; Mangieri, D.; Piras, F.; Ennas, M.G.; Vacca, A.; Sirigu, P. Microvascular density, vascular endothelial growth factor immunoreactivity in tumor cells, vessel diameter and intussusceptive microvascular growth in primary melanoma. Oncol. Rep. 2005, 14, 81–84. [Google Scholar] [PubMed]
- Pandita, A.; Ekstrand, M.; Bjursten, S.; Zhao, Z.; Fogelstrand, P.; Le Gal, K.; Ny, L.; Bergo, M.O.; Karlsson, J.; Nilsson, J.A.; et al. Intussusceptive angiogenesis in human metastatic malignant melanoma. Am. J. Pathol. 2021, 191, 2023–2038. [Google Scholar] [CrossRef] [PubMed]
- Nico, B.; Crivellato, E.; Guidolin, D.; Annese, T.; Longo, V.; Finato, N.; Vacca, A.; Ribatti, D. Intussusceptive microvascular growth in human glioma. Clin. Exp. Med. 2010, 10, 93–98. [Google Scholar] [CrossRef] [PubMed]
- Díaz-Flores, L.; Gutiérrez, R.; González-Gómez, M.; García, M.D.; Díaz-Flores, L., Jr.; González-Marrero, I.; Ávila, J.; Martín-Vasallo, P. Disproportion in pericyte/endothelial cell proliferation and mechanisms of intussusceptive angiogenesis participate in bizarre vessel formation in glioblastoma. Cells 2021, 10, 2625. [Google Scholar] [CrossRef]
- Díaz-Flores, L.; Gutiérrez, R.; Madrid, J.F.; García-Suárez, M.P.; González-Álvarez, M.P.; Díaz-Flores, L., Jr.; Sáez, F.J. Intravascular papillary endothelial hyperplasia (IPEH). Evidence supporting a piecemeal mode of angiogenesis from vein endothelium, with vein wall neovascularization and papillary formation. Histol. Histopathol. 2016, 31, 1271–1279. [Google Scholar] [CrossRef] [PubMed]
- Díaz-Flores, L.; Gutiérrez, R.; García, M.P.; González-Gómez, M.; Sáez, F.J.; Díaz-Flores, L., Jr.; Carrasco, J.L.; Madrid, J.F. Sinusoidal hemangioma and intravascular papillary endothelial hyperplasia: Interrelated processes that share a histogenetic piecemeal angiogenic mechanism. Acta Histochem. 2018, 120, 255–262. [Google Scholar] [CrossRef]
- Díaz-Flores, L.; Gutiérrez, R.; García MD, P.; Carrasco, J.L.; Sáez, F.J.; Díaz-Flores, L., Jr.; González-Gómez, M.; Madrid, J.F. Intussusceptive lymphangiogenesis in lymphatic malformations/lymphangiomas. Anat. Rec. 2019, 302, 2003–2013. [Google Scholar] [CrossRef]
- Díaz-Flores, L.; Gutiérrez, R.; González-Gómez, M.; García MA, P.; Carrasco, J.L.; Díaz-Flores, L., Jr.; Madrid, J.F.; Álvarez-Argüelles, H. Participation of intussusceptive angiogenesis in the morphogenesis of lobular capillary hemangioma. Sci. Rep. 2020, 10, 4987. [Google Scholar] [CrossRef]
- Li, W.; Tran, V.; Shaked, I.; Xue, B.; Moore, T.; Lightle, R.; Kleinfeld, D.; Awad, I.A.; Ginsberg, M.H. Abortive intussusceptive angiogenesis causes multi-cavernous vascular malformations. eLife 2021, 10, e62155. [Google Scholar] [CrossRef] [PubMed]
- Díaz-Flores, L.; Gutiérrez, R.; Pino García, M.; González-Gómez, M.; Díaz-Flores, L., Jr.; Carrasco, J.L.; Madrid, J.F.; Álvarez-Argüelles, H. Intussusceptive angiogenesis facilitated by microthrombosis has an important example in angiolipoma. An ultrastructural and immunohistochemical study. Histol. Histopathol. 2023, 38, 29–46. [Google Scholar] [CrossRef] [PubMed]
- Díaz-Flores, L.; Gutiérrez, R.; González-Gómez, M.; García MD, P.; Palmas, M.; Carrasco, J.L.; Madrid, J.F.; Díaz-Flores, L., Jr. Delimiting CD34+ Stromal Cells/Telocytes are resident mesenchymal cells that participate in neovessel formation in skin Kaposi sarcoma. Int. J. Mol. Sci. 2023, 24, 3793. [Google Scholar] [CrossRef] [PubMed]
- Hlushchuk, R.; Makanya, A.N.; Djonov, V. Escape mechanisms after antiangiogenic treatment, or why are the tumors growing again? Int. J. Dev. Biol. 2011, 55, 563–567. [Google Scholar] [CrossRef] [PubMed]
- Peebo, B.B.; Fagerholm, P.; Traneus-Röckert, C.; Lagali, N. Cellular level characterization of capillary regression in inflammatory angiogenesis using an in vivo corneal model. Angiogenesis 2011, 14, 393–405. [Google Scholar] [CrossRef] [PubMed][Green Version]
- Díaz-Flores, L.; Gutiérrez, R.; García-Suárez, M.P.; Sáez, F.J.; Gutiérrez, E.; Valladares, F.; Carrasco, J.L.; Díaz-Flores, L., Jr.; Madrid, J.F. Morphofunctional basis of the different types of angiogenesis and formation of postnatal angiogenesis-related secondary structures. Histol. Histopathol. 2017, 32, 1239–1279. [Google Scholar] [CrossRef] [PubMed]
- Ackermann, M.; Verleden, S.E.; Kuehnel, M.; Haverich, A.; Welte, T.; Laenger, F.; Vanstapel, A.; Werlein, C.; Stark, H.; Tzankov, A.; et al. Pulmonary vascular endothelialitis, thrombosis, and angiogenesis in Covid-19. N. Eng. J. Med. 2020, 383, 120–128. [Google Scholar] [CrossRef]
- Kilarski, W.W.; Gerwins, P. A new mechanism of blood vessel growth—Hope for new treatment strategies. Discov. Med. 2009, 8, 23–27. [Google Scholar]
- Bazigou, E.; Makinen, T. Flow control in our vessels: Vascular valves make sure there is no way back. Cell. Mol. Life Sci. 2013, 70, 1055–1066. [Google Scholar] [CrossRef]
- Udan, R.S.; Dickinson, M.E. The ebb and flow of lymphatic valve formation. Dev. Cell 2012, 22, 242–243. [Google Scholar] [CrossRef]
- Kume, T. Lymphatic vessel development: Fluid flow and valve-forming cells. J. Clin. Investig. 2015, 125, 2924–2926. [Google Scholar] [CrossRef] [PubMed]
- Egginton, S.; Zhou, A.L.; Brown, M.D.; Hudlická, O. Unorthodox angiogenesis in skeletal muscle. Cardiovasc Res. 2001, 49, 634–646. [Google Scholar] [CrossRef] [PubMed]
- le Noble, F.; Fleury, V.; Pries, A.; Corvol, P.; Eichmann, A.; Reneman, R.S. Control of arterial branching morphogenesis in embryogenesis: Go with the flow. Cardiovasc. Res. 2005, 65, 619–628. [Google Scholar] [CrossRef] [PubMed]
- Turhan, A.; Konerding, M.A.; Tsuda, A.; Ravnic, D.J.; Hanidziar, D.; Lin, M.; Mentzer, S.J. Bridging mucosal vessels associated with rhythmically oscillating blood flow in murine colitis. Anat. Rec. 2008, 291, 74–82. [Google Scholar] [CrossRef] [PubMed]
- Filipovic, N.; Tsuda, A.; Lee, G.S.; Miele, L.F.; Lin, M.; Konerding, M.A.; Mentzer, S.J. Computational flow dynamics in a geometric model of intussusceptive angiogenesis. Microvasc. Res. 2009, 78, 286–293. [Google Scholar] [CrossRef] [PubMed]
- Lee, G.S.; Filipovic, N.; Miele, L.F.; Lin, M.; Simpson, D.C.; Giney, B.; Konerding, M.A.; Tsuda, A.; Mentzer, S.J. Blood flow shapes intravascular pillar geometry in the chick chorioallantoic membrane. J. Angiogenes Res. 2010, 2, 11. [Google Scholar] [CrossRef] [PubMed]
- Styp-Rekowska, B.; Hlushchuk, R.; Pries, A.R.; Djonov, V. Intussusceptive angiogenesis: Pillars against the blood flow. Acta Physiol. 2011, 202, 213–223. [Google Scholar] [CrossRef]
- Ackermann, M.; Tsuda, A.; Secomb, T.W.; Mentzer, S.J.; Konerding, M.A. Intussusceptive remodeling of vascular branch angles in chemically-induced murine colitis. Microvasc. Res. 2013, 87, 75–82. [Google Scholar] [CrossRef][Green Version]
- Belle, J.; Ysasi, A.; Bennett, R.D.; Filipovic, N.; Nejad, M.I.; Trumper, D.L.; Ackermann, M.; Wagner, W.; Tsuda, A.; Konerding, M.A.; et al. Stretch-induced intussuceptive and sprouting angiogenesis in the chick chorioallantoic membrane. Microvasc. Res. 2014, 95, 60–67. [Google Scholar] [CrossRef][Green Version]
- Mentzer, S.J.; Konerding, M.A. Intussusceptive angiogenesis: Expansion and remodeling of microvascular networks. Angiogenesis 2014, 17, 499–509. [Google Scholar] [CrossRef]
- Föhst, S.; Wagner, W.; Ackermann, M.; Redenbach, C.; Schladitz, K.; Wirjadi, O.; Ysasi, A.B.; Mentzer, S.J.; Konerding, M.A. Three-dimensional image analytical detection of intussusceptive pillars in murine lung. J. Microsc. 2015, 260, 326–337. [Google Scholar] [CrossRef]
- Taylor, A.C.; Seltz, L.M.; Yates, P.A.; Peirce, S.M. Chronic whole-body hypoxia induces intussusceptive angiogenesis and microvascular remodeling in the mouse retina. Microvasc. Res. 2010, 79, 93–101. [Google Scholar] [CrossRef] [PubMed][Green Version]
- Zhan, K.; Bai, L.; Hu, Q. Selective induction of sprouting and intussusception is associated with the concentration distributions of oxygen and hypoxia-induced VEGF. Microvasc. Res. 2020, 132, 104041. [Google Scholar] [CrossRef] [PubMed]
- Gianni-Barrera, R.; Trani, M.; Reginato, S.; Banfi, A. To sprout or to split? VEGF, Notch and vascular morphogenesis. Biochem. Soc. Trans. 2011, 39, 1644–1648. [Google Scholar] [CrossRef]
- Uccelli, A.; Wolff, T.; Valente, P.; Di Maggio, N.; Pellegrino, M.; Gürke, L.; Banfi, A.; Gianni-Barrera, R. Vascular endothelial growth factor biology for regenerative angiogenesis. Swiss Med. Wkly. 2019, 149, w20011. [Google Scholar] [CrossRef] [PubMed]
- Vimalraj, S.; Bhuvaneswari, S.; Lakshmikirupa, S.; Jyothsna, G.; Chatterjee, S. Nitric oxide signaling regulates tumor-induced intussusceptive-like angiogenesis. Microvasc. Res. 2018, 119, 47–59. [Google Scholar] [CrossRef]
- Hlushchuk, R.; Styp-Rekowska, B.; Dzambazi, J.; Wnuk, M.; Huynh-Do, U.; Makanya, A.; Djonov, V. Endoglin inhibition leads to intussusceptive angiogenesis via activation of factors related to COUP-TFII signaling pathway. PLoS ONE 2017, 12, e0182813. [Google Scholar] [CrossRef]
- Groppa, E.; Brkic, S.; Uccelli, A.; Wirth, G.; Korpisalo-Pirinen, P.; Filippova, M.; Dasen, B.; Sacchi, V.; Muraro, M.G.; Trani, M.; et al. EphrinB2/EphB4 signaling regulates non-sprouting angiogenesis by VEGF. EMBO Rep. 2018, 19, e45054. [Google Scholar] [CrossRef]
- Dill, M.T.; Rothweiler, S.; Djonov, V.; Hlushchuk, R.; Tornillo, L.; Terracciano, L.; Meili-Butz, S.; Radtke, F.; Heim, M.H.; Semela, D. Disruption of Notch1 induces vascular remodeling, intussusceptive angiogenesis, and angiosarcomas in livers of mice. Gastroenterology 2012, 142, 967–977. [Google Scholar] [CrossRef]
- Dimova, I.; Hlushchuk, R.; Makanya, A.; Styp-Rekowska, B.; Ceausu, A.; Flueckiger, S.; Lang, S.; Semela, D.; Le Noble, F.; Chatterjee, S.; et al. Inhibition of Notch signaling induces extensive intussusceptive neo-angiogenesis by recruitment of mononuclear cells. Angiogenesis 2013, 16, 921–937. [Google Scholar] [CrossRef]
- Díaz-Flores, L.; Gutiérrez, R.; García, M.P.; González-Gómez, M.; Díaz-Flores, L., Jr.; Carrasco, J.L.; Álvarez-Argüelles, H. Intussusceptive lymphangiogenesis in vascular transformation of lymph node sinuses. Acta Histochem. 2019, 121, 392–399. [Google Scholar] [CrossRef] [PubMed]
- Okuda, M.; Togawa, A.; Wada, H.; Nishikawa, S. Distinct activities of stromal cells involved in the organogenesis of lymph nodes and Peyer’s patches. J. Immunol. 2007, 179, 804–811. [Google Scholar] [CrossRef] [PubMed]
- Moll, R.; Sievers, E.; Hämmerling, B.; Schmidt, A.; Barth, M.; Kuhn, C.; Grund, C.; Hofmann, I.; Franke, W.W. Endothelial and virgultar cell formations in the mammalian lymph node sinus: Endothelial differentiation morphotypes characterized by a special kind of junction (complexus adhaerens). Cell Tissue Res. 2009, 335, 109–141. [Google Scholar] [CrossRef] [PubMed]
- Bovay, E.; Sabine, A.; Prat-Luri, B.; Kim, S.; Son, K.; Willrodt, A.H.; Olsson, C.; Halin, C.; Kiefer, F.; Betsholtz, C.; et al. Multiple roles of lymphatic vessels in peripheral lymph node development. J. Exp. Med. 2018, 215, 2760–2777. [Google Scholar] [CrossRef]












| Pillars and Meshes in Blood and Lymphatic Vessel Tumors | |||||||||||
|---|---|---|---|---|---|---|---|---|---|---|---|
| Common findings | Presence of pillars (≤4 µm) and meshes (≥4 µm) Main components of pillar and meshes: a cover formed of ECs and a core formed of connective tissue components. Connections between meshes, meshes and pillars, and between meshes/pillars and the vessel wall | ||||||||||
| Variable findings | Benign | Types of tumors | Frequency of pillars and meshes | Characteristics of ECs in pillars and meshes | Core characteristics | Arrangement | Predominant mechanisms of formation | ||||
| Flat | Plump | Stratification | Mitosis | Atypia | |||||||
| Lobular capillary hemangioma (pyogenic granuloma) | 3 | 3 | 1 | 0 | 2 | 0 | 1 | 1 | 1 | ||
| Intravascular papillary endothelial hyperplasia (Masson tumor) | 4 | 3 | 1 | 0 | 1 | 0 | 1, 2 | 1, 3 | 1, 2 | ||
| Sinusoidal hemangioma | 3 | 4 | 0 | 0 | 0 | 0 | 1, 2 | 2, 4 | 1, 4 | ||
| Cavernous hemangioma | 2 | 3 | 1 | 0 | 0 | 0 | 1, 2 | 2 | 1, 2 | ||
| Glomeruloid hemangioma | 3 | 3 | 1 | 0 | 0 | 0 | 1, 2 | 1, 5 | 1, 2 | ||
| Angiolipoma | 2 | 3 | 1 | 0 | 0 | 0 | 1, 2 | 2 | 2 | ||
| Lymphangioma | 3 | 3 | 1 | 0 | 0 | 0 | 1, 3 | 2 | 1, 3 | ||
| Low-grade | Retiform Hemangioendothelioma | 1 | 0 | * | 1 | 1 | 1 | 1 | 2 | 1, 3 | |
| Dabska tumor | 3 | 0 | 4 | 3 | 2 | 2 | 1 | 1 | 1, 3 | ||
| Malignant | Angiosarcoma | 3 | 0 | 4 | 4 | 4 | 4 | 1, 4 | 1 | 1, 4 | |
| Kaposi sarcoma | 3 | 2 | 2 | 1 | 1 | 1 | 1, 4 | 2 | 1 | ||
Disclaimer/Publisher’s Note: The statements, opinions and data contained in all publications are solely those of the individual author(s) and contributor(s) and not of MDPI and/or the editor(s). MDPI and/or the editor(s) disclaim responsibility for any injury to people or property resulting from any ideas, methods, instructions or products referred to in the content. |
© 2024 by the authors. Licensee MDPI, Basel, Switzerland. This article is an open access article distributed under the terms and conditions of the Creative Commons Attribution (CC BY) license (https://creativecommons.org/licenses/by/4.0/).
Share and Cite
Díaz-Flores, L.; Gutiérrez, R.; González-Gómez, M.; García, M.d.P.; Carrasco-Juan, J.-L.; Martín-Vasallo, P.; Madrid, J.F.; Díaz-Flores, L., Jr. Phenomena of Intussusceptive Angiogenesis and Intussusceptive Lymphangiogenesis in Blood and Lymphatic Vessel Tumors. Biomedicines 2024, 12, 258. https://doi.org/10.3390/biomedicines12020258
Díaz-Flores L, Gutiérrez R, González-Gómez M, García MdP, Carrasco-Juan J-L, Martín-Vasallo P, Madrid JF, Díaz-Flores L Jr. Phenomena of Intussusceptive Angiogenesis and Intussusceptive Lymphangiogenesis in Blood and Lymphatic Vessel Tumors. Biomedicines. 2024; 12(2):258. https://doi.org/10.3390/biomedicines12020258
Chicago/Turabian StyleDíaz-Flores, Lucio, Ricardo Gutiérrez, Miriam González-Gómez, Maria del Pino García, Jose-Luis Carrasco-Juan, Pablo Martín-Vasallo, Juan Francisco Madrid, and Lucio Díaz-Flores, Jr. 2024. "Phenomena of Intussusceptive Angiogenesis and Intussusceptive Lymphangiogenesis in Blood and Lymphatic Vessel Tumors" Biomedicines 12, no. 2: 258. https://doi.org/10.3390/biomedicines12020258
APA StyleDíaz-Flores, L., Gutiérrez, R., González-Gómez, M., García, M. d. P., Carrasco-Juan, J.-L., Martín-Vasallo, P., Madrid, J. F., & Díaz-Flores, L., Jr. (2024). Phenomena of Intussusceptive Angiogenesis and Intussusceptive Lymphangiogenesis in Blood and Lymphatic Vessel Tumors. Biomedicines, 12(2), 258. https://doi.org/10.3390/biomedicines12020258

