Identification of Contactin-1 as a Potential Biomarker and Therapeutic Target in Neuroblastoma
Abstract
1. Introduction
2. Materials and Methods
2.1. Cell Lines and Plasmids
2.2. Immunoblotting
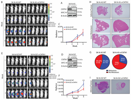
2.3. Orthotopic Neuroblastoma Mouse Model
2.4. Luciferase Tumor Imaging
2.5. Statistical Analysis
3. Results
3.1. Association Between CNTN1 Expression and Tumor Aggression in Neuroblastoma
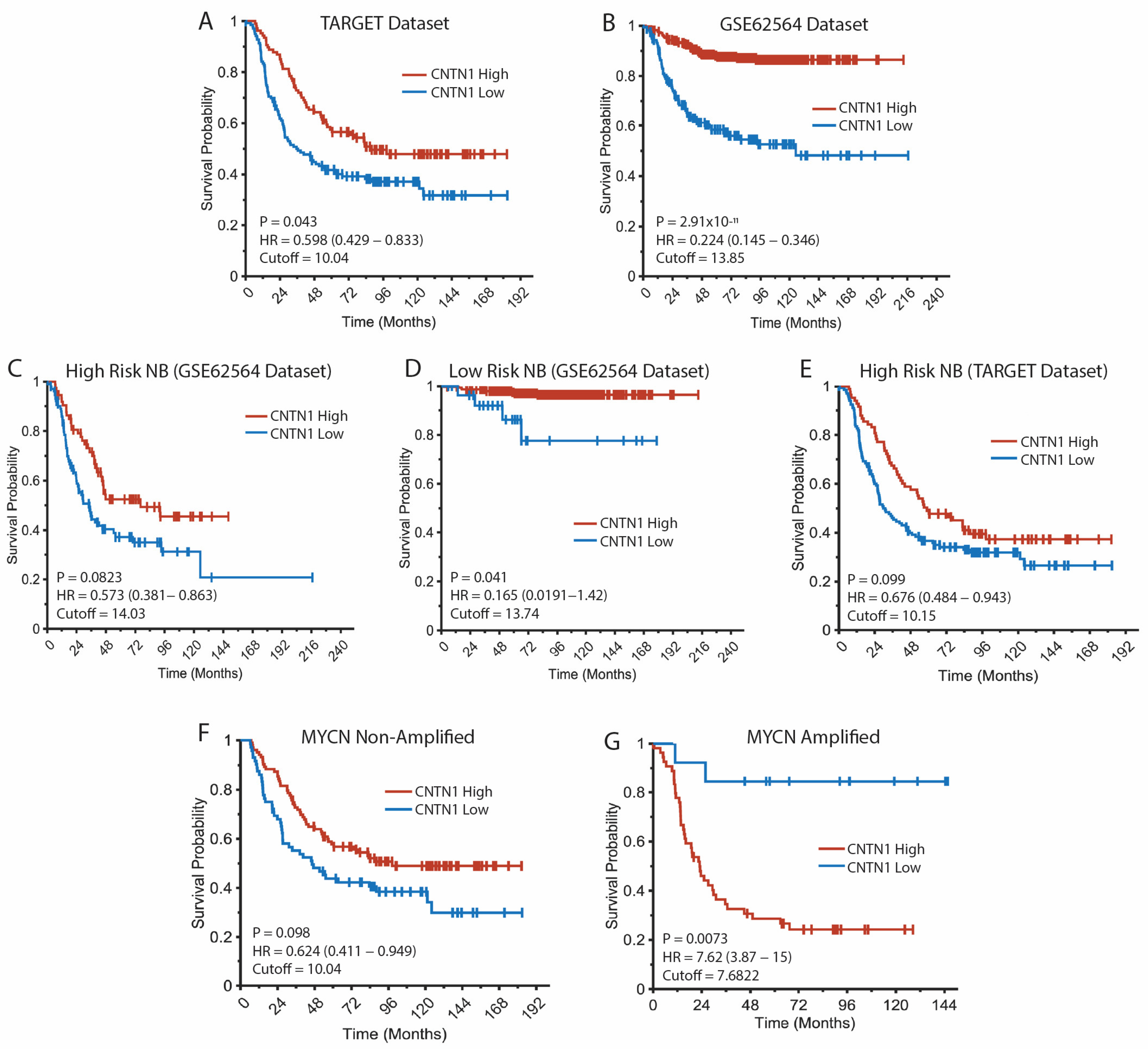
3.2. Association Between CNTN1 Expression and Outcomes in Neuroblastoma Patients
3.3. CNTN1 Knockout Suppresses Tumor Metastasis and Prolongs Mouse Survival
4. Discussion
5. Conclusions
Author Contributions
Funding
Institutional Review Board Statement
Informed Consent Statement
Data Availability Statement
Acknowledgments
Conflicts of Interest
References
- Irwin, M.S.; Park, J.R. Neuroblastoma: Paradigm for Precision Medicine. Pediatr. Clin. N. Am. 2015, 62, 225–256. [Google Scholar] [CrossRef] [PubMed]
- MacFarland, S.; Bagatell, R. Advances in Neuroblastoma Therapy. Curr. Opin. Pediatr. 2019, 31, 14–20. [Google Scholar] [CrossRef] [PubMed]
- Huang, M.; Weiss, W.A. Neuroblastoma and MYCN. Cold Spring Harb. Perspect. Med. 2013, 3, a014415. [Google Scholar] [CrossRef]
- Janiszewska, M.; Primi, M.C.; Izard, T. Cell Adhesion in Cancer: Beyond the Migration of Single Cells. J. Biol. Chem. 2020, 295, 2495–2505. [Google Scholar] [CrossRef] [PubMed]
- Yoon, K.J.; Danks, M.K. Cell Adhesion Molecules as Targets for Therapy of Neuroblastoma. Cancer Biol. Ther. 2009, 8, 306–311. [Google Scholar] [CrossRef] [PubMed]
- Chatterjee, M.; Schild, D.; Teunissen, C.E. Contactins in the Central Nervous System: Role in Health and Disease. Neural Regen. Res. 2019, 14, 206–216. [Google Scholar] [CrossRef]
- Liu, P.; Chen, S.; Wu, W.; Liu, B.; Shen, W.; Wang, F.; He, X.; Zhang, S. Contactin-1 (CNTN-1) Overexpression Is Correlated with Advanced Clinical Stage and Lymph Node Metastasis in Oesophageal Squamous Cell Carcinomas. Jpn. J. Clin. Oncol. 2012, 42, 612–618. [Google Scholar] [CrossRef]
- Chen, D.-H.; Yu, J.-W.; Wu, J.-G.; Wang, S.-L.; Jiang, B.-J. Significances of Contactin-1 Expression in Human Gastric Cancer and Knockdown of Contactin-1 Expression Inhibits Invasion and Metastasis of MKN45 Gastric Cancer Cells. J. Cancer Res. Clin. Oncol. 2015, 141, 2109–2120. [Google Scholar] [CrossRef]
- Yan, J.; Ojo, D.; Kapoor, A.; Lin, X.; Pinthus, J.H.; Aziz, T.; Bismar, T.A.; Wei, F.; Wong, N.; De Melo, J.; et al. Neural Cell Adhesion Protein CNTN1 Promotes the Metastatic Progression of Prostate Cancer. Cancer Res. 2016, 76, 1603–1614. [Google Scholar] [CrossRef]
- Shi, K.; Xu, D.; Yang, C.; Wang, L.; Pan, W.; Zheng, C.; Fan, L. Contactin 1 as a Potential Biomarker Promotes Cell Proliferation and Invasion in Thyroid Cancer. Int. J. Clin. Exp. Pathol. 2015, 8, 12473–12481. [Google Scholar]
- Liang, Y.; Ma, C.; Li, F.; Nie, G.; Zhang, H. The Role of Contactin 1 in Cancers: What We Know So Far. Front. Oncol. 2020, 10, 574208. [Google Scholar] [CrossRef] [PubMed]
- Van Noord, R.A.; Thomas, T.; Krook, M.; Chukkapalli, S.; Hoenerhoff, M.J.; Dillman, J.R.; Lawlor, E.R.; Opipari, V.P.; Newman, E.A. Tissue-Directed Implantation Using Ultrasound Visualization for Development of Biologically Relevant Metastatic Tumor Xenografts. In Vivo 2017, 31, 779–791. [Google Scholar] [CrossRef][Green Version]
- Grant, C.N.; Wills, C.A.; Liu, X.; Spiegelman, V.S.; Wang, H.-G. Thoracic Neuroblastoma: A Novel Surgical Model for the Study of Extra-Adrenal Neuroblastoma. In Vivo 2022, 36, 49–56. [Google Scholar] [CrossRef] [PubMed]
- Vo, K.T.; Matthay, K.K.; Neuhaus, J.; London, W.B.; Hero, B.; Ambros, P.F.; Nakagawara, A.; Miniati, D.; Wheeler, K.; Pearson, A.D.J.; et al. Clinical, Biologic, and Prognostic Differences on the Basis of Primary Tumor Site in Neuroblastoma: A Report from the International Neuroblastoma Risk Group Project. J. Clin. Oncol. 2014, 32, 3169–3176. [Google Scholar] [CrossRef] [PubMed]
- Liu, Z.; Grant, C.N.; Sun, L.; Miller, B.A.; Spiegelman, V.S.; Wang, H.-G. Expression Patterns of Immune Genes Reveal Heterogeneous Subtypes of High-Risk Neuroblastoma. Cancers 2020, 12, 1739. [Google Scholar] [CrossRef]
- Gu, Y.; Li, T.; Kapoor, A.; Major, P.; Tang, D. Contactin 1: An Important and Emerging Oncogenic Protein Promoting Cancer Progression and Metastasis. Genes 2020, 11, 874. [Google Scholar] [CrossRef] [PubMed]
- Zhang, R.; Yao, W.; Qian, P.; Li, Y.; Jiang, C.; Ao, Z.; Qian, G.; Wang, C.; Wu, G.; Li, J.; et al. Increased Sensitivity of Human Lung Adenocarcinoma Cells to Cisplatin Associated with Downregulated Contactin-1. Biomed. Pharmacother. 2015, 71, 172–184. [Google Scholar] [CrossRef]
- Wu, H.-M.; Cao, W.; Ye, D.; Ren, G.-X.; Wu, Y.-N.; Guo, W. Contactin 1 (CNTN1) Expression Associates with Regional Lymph Node Metastasis and Is a Novel Predictor of Prognosis in Patients with Oral Squamous Cell Carcinoma. Mol. Med. Rep. 2012, 6, 265–270. [Google Scholar] [CrossRef]
- Xu, S.; Lam, S.-K.; Cheng, P.N.-M.; Ho, J.C.-M. Contactin 1 Modulates Pegylated Arginase Resistance in Small Cell Lung Cancer through Induction of Epithelial-Mesenchymal Transition. Sci. Rep. 2019, 9, 12030. [Google Scholar] [CrossRef]
- Zhang, D.; Zhou, S.; Liu, B. Identification and Validation of an Individualized EMT-Related Prognostic Risk Score Formula in Gastric Adenocarcinoma Patients. Biomed. Res. Int. 2020, 2020, 7082408. [Google Scholar] [CrossRef]
- Wang, B.; Yang, X.; Zhao, T.; Du, H.; Wang, T.; Zhong, S.; Yang, B.; Li, H. Upregulation of Contactin-1 Expression Promotes Prostate Cancer Progression. Oncol. Lett. 2020, 19, 1611–1618. [Google Scholar] [CrossRef] [PubMed]
- Su, J.-L.; Yang, P.-C.; Shih, J.-Y.; Yang, C.-Y.; Wei, L.-H.; Hsieh, C.-Y.; Chou, C.-H.; Jeng, Y.-M.; Wang, M.-Y.; Chang, K.-J.; et al. The VEGF-C/Flt-4 Axis Promotes Invasion and Metastasis of Cancer Cells. Cancer Cell 2006, 9, 209–223. [Google Scholar] [CrossRef] [PubMed]
- Shigetomi, S.; Imanishi, Y.; Shibata, K.; Sakai, N.; Sakamoto, K.; Fujii, R.; Habu, N.; Otsuka, K.; Sato, Y.; Watanabe, Y.; et al. VEGF-C/Flt-4 Axis in Tumor Cells Contributes to the Progression of Oral Squamous Cell Carcinoma via Upregulating VEGF-C Itself and Contactin-1 in an Autocrine Manner. Am. J. Cancer Res. 2018, 8, 2046–2063. [Google Scholar] [PubMed]
- Yu, J.-W.; Wu, S.-H.; Lu, R.-Q.; Wu, J.-G.; Ni, X.-C.; Zhou, G.-C.; Jiang, H.-G.; Zheng, L.-H.; Li, X.-Q.; Du, G.-Y.; et al. Expression and Significances of Contactin-1 in Human Gastric Cancer. Gastroenterol. Res. Pract. 2013, 2013, 210205. [Google Scholar] [CrossRef]
- Liu, P.; Zhou, J.; Zhu, H.; Xie, L.; Wang, F.; Liu, B.; Shen, W.; Ye, W.; Xiang, B.; Zhu, X.; et al. VEGF-C Promotes the Development of Esophageal Cancer via Regulating CNTN-1 Expression. Cytokine 2011, 55, 8–17. [Google Scholar] [CrossRef]



Disclaimer/Publisher’s Note: The statements, opinions and data contained in all publications are solely those of the individual author(s) and contributor(s) and not of MDPI and/or the editor(s). MDPI and/or the editor(s) disclaim responsibility for any injury to people or property resulting from any ideas, methods, instructions or products referred to in the content. |
© 2024 by the authors. Licensee MDPI, Basel, Switzerland. This article is an open access article distributed under the terms and conditions of the Creative Commons Attribution (CC BY) license (https://creativecommons.org/licenses/by/4.0/).
Share and Cite
Grant, C.N.; Wills, C.A.; Liu, X.; Chen, L.; Liu, Z.; Wang, H.-G. Identification of Contactin-1 as a Potential Biomarker and Therapeutic Target in Neuroblastoma. Biomedicines 2024, 12, 2606. https://doi.org/10.3390/biomedicines12112606
Grant CN, Wills CA, Liu X, Chen L, Liu Z, Wang H-G. Identification of Contactin-1 as a Potential Biomarker and Therapeutic Target in Neuroblastoma. Biomedicines. 2024; 12(11):2606. https://doi.org/10.3390/biomedicines12112606
Chicago/Turabian StyleGrant, Christa N., Carson A. Wills, Xiaoming Liu, Longgui Chen, Zhenqiu Liu, and Hong-Gang Wang. 2024. "Identification of Contactin-1 as a Potential Biomarker and Therapeutic Target in Neuroblastoma" Biomedicines 12, no. 11: 2606. https://doi.org/10.3390/biomedicines12112606
APA StyleGrant, C. N., Wills, C. A., Liu, X., Chen, L., Liu, Z., & Wang, H.-G. (2024). Identification of Contactin-1 as a Potential Biomarker and Therapeutic Target in Neuroblastoma. Biomedicines, 12(11), 2606. https://doi.org/10.3390/biomedicines12112606

