Adenomyosis Localized in Both the Anterior and Posterior Myometrium Is Associated with Deep Rectal Endometriosis: A Retrospective Study
Abstract
1. Introduction
2. Methods
2.1. Study Population
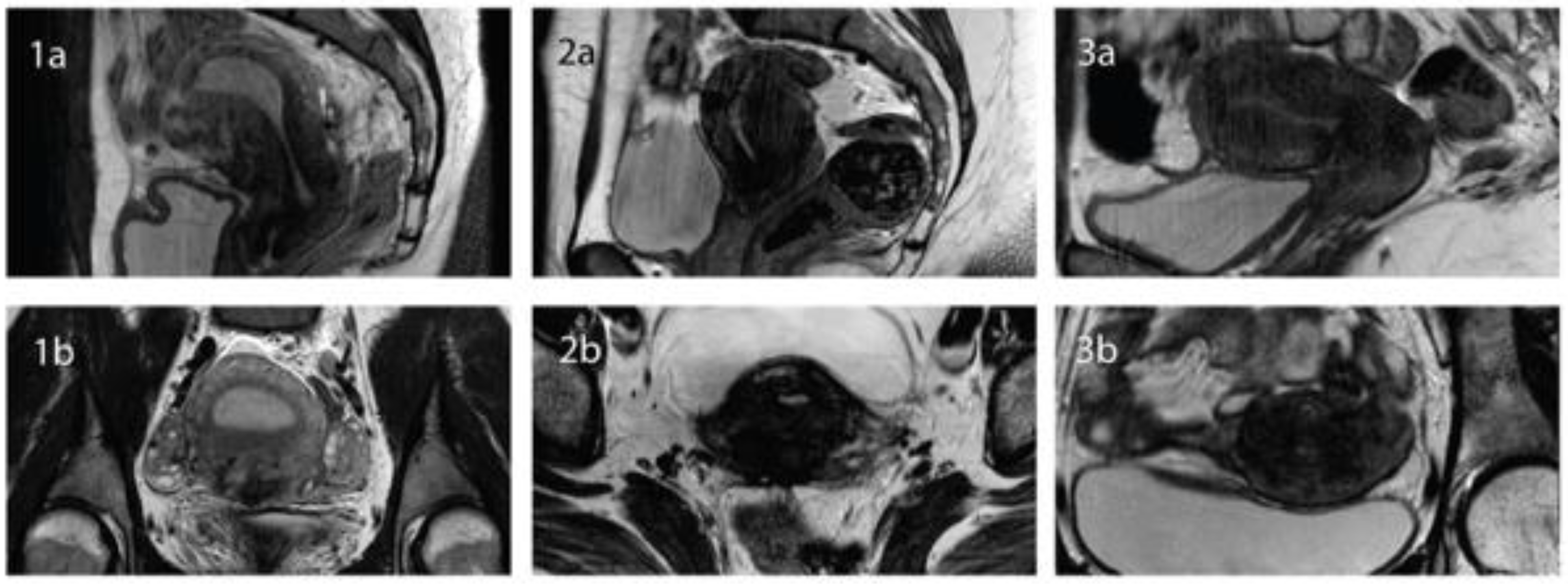
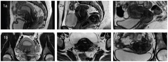
2.2. MRI Examination
2.3. Diagnostic Criteria
2.4. Statistical Analysis
2.5. Ethical Approval
3. Results
3.1. Presence and Distribution of Adenomyosis and Patient Characteristics
3.2. Characteristics of Adenomyosis
3.3. Association of the Localization of Adenomyosis and Endometriosis
4. Discussion
5. Conclusions
Author Contributions
Funding
Institutional Review Board Statement
Informed Consent Statement
Data Availability Statement
Conflicts of Interest
References
- Bulun, S.E.; Yildiz, S.; Adli, M.; Chakravarti, D.; Parker, J.B.; Milad, M.; Yang, L.; Chaudhari, A.; Tsai, S.; Wei, J.J.; et al. Endometriosis and adenomyosis: Shared pathophysiology. Fertil. Steril. 2023, 119, 746–750. [Google Scholar] [CrossRef] [PubMed]
- Kolovos, G.; Dedes, I.; Imboden, S.; Mueller, M. Adenomyosis—A Call for Awareness, Early Detection, and Effective Treatment Strategies: A Narrative Review. Healthcare 2024, 12, 1641. [Google Scholar] [CrossRef] [PubMed]
- Ramin-Wright, A.; Schwartz, A.S.K.; Geraedts, K.; Rauchfuss, M.; Wölfler, M.M.; Haeberlin, F.; von Orelli, S.; Eberhard, M.; Imthurn, B.; Imesch, P.; et al. Fatigue—A symptom in endometriosis. Hum. Reprod. 2018, 33, 1459–1465. [Google Scholar] [CrossRef] [PubMed]
- Leuenberger, J.; Kohl Schwartz, A.S.; Geraedts, K.; Haeberlin, F.; Eberhard, M.; von Orellie, S.; Imesch, P.; Leeners, B. Living with endometriosis: Comorbid pain disorders, characteristics of pain and relevance for daily life. Eur. J. Pain 2022, 26, 1021–1038. [Google Scholar] [CrossRef] [PubMed]
- Sperschneider, M.L.; Hengartner, M.P.; Kohl-Schwartz, A.; Geraedts, K.; Rauchfuss, M.; Woelfler, M.M.; Haeberlin, F.; von Orelli, S.; Eberhard, M.; Maurer, F.; et al. Does endometriosis affect professional life? A matched case-control study in Switzerland, Germany and Austria. BMJ Open 2019, 9, e019570. [Google Scholar] [CrossRef]
- Kohl Schwartz, A.S.; Wölfler, M.M.; Mitter, V.; Rauchfuss, M.; Haeberlin, F.; Eberhard, M.; von Orelli, S.; Imthurn, B.; Imesch, P.; Fink, D.; et al. Endometriosis, especially mild disease: A risk factor for miscarriages. Fertil. Steril. 2017, 108, 806–814.e2. [Google Scholar] [CrossRef]
- Bernays, V.; Schwartz, A.K.; Geraedts, K.; Rauchfuss, M.; Wölfler, M.M.; Haeberlin, F.; von Orelli, S.; Eberhard, M.; Imthurn, B.; Fink, D.; et al. Qualitative and quantitative aspects of sex life in the context of endometriosis: A multicentre case control study. Reprod. Biomed. Online 2020, 40, 296–304. [Google Scholar] [CrossRef]
- Zondervan, K.T.; Becker, C.M.; Missmer, S.A. Endometriosis. N. Engl. J. Med. 2020, 382, 1244–1256. [Google Scholar] [CrossRef]
- Canis, M.; Abbott, J.; Abrao, M.; Al-Jefout, M.; Bedaiwy, M.; Benagiano, G.; Burns, K.A.; Carmona, F.; Chapron, C.; Critchley, H.O.; et al. A Call for New Theories on the Pathogenesis and Pathophysiology of Endometriosis. J. Minim. Invasive Gynecol. 2024, 31, 371–377. [Google Scholar] [CrossRef]
- Tulandi, T.; Vercellini, P. Growing evidence that endometriosis is a systemic disease. Reprod. Biomed. Online 2024, 49, 104292. [Google Scholar] [CrossRef]
- Hon, J.X.; Wahab, N.A.; Karim, A.K.A.; Mokhtar, N.M.; Mokhtar, M.H. MicroRNAs in Endometriosis: Insights into Inflammation and Progesterone Resistance. Int. J. Mol. Sci. 2023, 24, 15001. [Google Scholar] [CrossRef] [PubMed]
- Bedrick, B.S.; Courtright, L.; Zhang, J.; Snow, M.; Amendola, I.L.S.; Nylander, E.; Cayton-Vaught, K.; Segars, J.; Singh, B. A Systematic Review of Epigenetics of Endometriosis. F S Rev. 2024, 5, 100070. [Google Scholar] [CrossRef] [PubMed]
- Moses, A.S.; Demessie, A.A.; Taratula, O.; Korzun, T.; Slayden, O.D.; Taratula, O. Nanomedicines for Endometriosis: Lessons Learned from Cancer Research. Small 2021, 17, e2004975. [Google Scholar] [CrossRef] [PubMed]
- Goulielmos, G.N.; Matalliotakis, M.; Matalliotaki, C.; Eliopoulos, E.; Matalliotakis, I.; Zervou, M.I. Endometriosis research in the -omics era. Gene 2020, 741, 144545. [Google Scholar] [CrossRef]
- Saunders, P.T.K.; Horne, A.W. Endometriosis: Etiology, pathobiology, and therapeutic prospects. Cell 2021, 184, 2807–2824. [Google Scholar] [CrossRef]
- Koninckx, P.R.; Ussia, A.; Adamyan, L.; Wattiez, A.; Gomel, V.; Martin, D.C. Pathogenesis of endometriosis: The genetic/epigenetic theory. Fertil. Steril. 2019, 111, 327–340. [Google Scholar] [CrossRef]
- Bourdon, M.; Santulli, P.; Marcellin, L.; Maignien, C.; Maitrot-Mantelet, L.; Bordonne, C.; Plu Bureau, G.; Chapron, C. Adenomyosis: An update regarding its diagnosis and clinical features. J. Gynecol. Obstet. Hum. Reprod. 2021, 50, 102228. [Google Scholar] [CrossRef]
- Nirgianakis, K.; Kalaitzopoulos, D.R.; Schwartz, A.S.K.; Spaanderman, M.; Kramer, B.W.; Mueller, M.D.; Mueller, M. Fertility, pregnancy and neonatal outcomes of patients with adenomyosis: A systematic review and meta-analysis. Reprod. Biomed. Online 2021, 42, 185–206. [Google Scholar] [CrossRef]
- Kalaitzopoulos, D.R.; Quaas, A.M. Adenomyosis and endometriosis in infertility-How do we optimize the house and the garden? Fertil. Steril. 2024, 121, 548. [Google Scholar] [CrossRef]
- Samartzis, N.; Kalaitzopoulos, D.R.; Noske, A.; Ihnenfeld, I.; Hutmacher, J.; Imesch, P.; Samartzis, E.P. The immunohistochemical expression of GPER and classical sex hormone receptors differs in adenomyosis and eutopic endometrium. J. Reprod. Immunol. 2023, 156, 103795. [Google Scholar] [CrossRef]
- Bulun, S.E.; Yildiz, S.; Adli, M.; Wei, J.J. Adenomyosis pathogenesis: Insights from next-generation sequencing. Hum. Reprod. Update 2021, 27, 1086–1097. [Google Scholar] [CrossRef] [PubMed]
- Orlov, S.; Jokubkiene, L. Prevalence of endometriosis and adenomyosis at transvaginal ultrasound examination in symptomatic women. Acta Obstet. Gynecol. Scand. 2022, 101, 524–531. [Google Scholar] [CrossRef] [PubMed]
- Di Donato, N.; Montanari, G.; Benfenati, A.; Leonardi, D.; Bertoldo, V.; Monti, G.; Raimondo, D.; Seracchioli, R. Prevalence of adenomyosis in women undergoing surgery for endometriosis. Eur. J. Obstet. Gynecol. Reprod. Biol. 2014, 181, 289–293. [Google Scholar] [CrossRef] [PubMed]
- Lazzeri, L.; Di Giovanni, A.; Exacoustos, C.; Tosti, C.; Pinzauti, S.; Malzoni, M.; Petraglia, F.; Zupi, E. Preoperative and Postoperative Clinical and Transvaginal Ultrasound Findings of Adenomyosis in Patients With Deep Infiltrating Endometriosis. Reprod. Sci. 2014, 21, 1027–1033. [Google Scholar] [CrossRef]
- Kunz, G.; Beil, D.; Huppert, P.; Noe, M.; Kissler, S.; Leyendecker, G. Adenomyosis in endometriosis--prevalence and impact on fertility. Evidence from magnetic resonance imaging. Hum. Reprod. 2005, 20, 2309–2316. [Google Scholar] [CrossRef]
- Donnez, J.; Dolmans, M.M.; Fellah, L. What if deep endometriotic nodules and uterine adenomyosis were actually two forms of the same disease? Fertil. Steril. 2019, 111, 454–456. [Google Scholar] [CrossRef]
- Bourdon, M.; Oliveira, J.; Marcellin, L.; Santulli, P.; Bordonne, C.; Maitrot Mantelet, L.; Millischer, A.E.; Plu Bureau, G.; Chapron, C. Adenomyosis of the inner and outer myometrium are associated with different clinical profiles. Hum. Reprod. 2021, 36, 349–357. [Google Scholar] [CrossRef]
- Rees, C.O.; van de Wiel, M.; Nederend, J.; Huppelschoten, A.; Mischi, M.; van Vliet, H.A.A.M.; Schoot, B.C. Prediction of adenomyosis diagnosis based on MRI. J. Endometr. Uterine Disord. 2023, 2, 100028. [Google Scholar] [CrossRef]
- Khan, K.N.; Fujishita, A.; Koshiba, A.; Kuroboshi, H.; Mori, T.; Ogi, H.; Itoh, K.; Nakashima, M.; Kitawaki, J. Biological differences between intrinsic and extrinsic adenomyosis with coexisting deep infiltrating endometriosis. Reprod. Biomed. Online 2019, 39, 343–353. [Google Scholar] [CrossRef]
- Sheth, S.S.; Hajari, A.R.; Lulla, C.P.; Kshirsagar, D. Sonographic evaluation of uterine volume and its clinical importance. J. Obstet. Gynaecol. Res. 2017, 43, 185–189. [Google Scholar] [CrossRef]
- Haas, D.; Shebl, O.; Shamiyeh, A.; Oppelt, P. The rASRM score and the Enzian classification for endometriosis: Their strengths and weaknesses. Acta Obstet. Gynecol. Scand. 2013, 92, 3–7. [Google Scholar] [CrossRef] [PubMed]
- Keckstein, J.; Saridogan, E.; Ulrich, U.A.; Sillem, M.; Oppelt, P.; Schweppe, K.W.; Krentel, H.; Janschek, E.; Exacoustos, C.; Malzoni, M.; et al. The #Enzian classification: A comprehensive non-invasive and surgical description system for endometriosis. Acta Obstet. Gynecol. Scand. 2021, 100, 1165–1175. [Google Scholar] [CrossRef] [PubMed]
- Maciel, C.; Ferreira, H.; Djokovic, D.; Kyaw Tun, J.; Keckstein, J.; Rizzo, S.; Manganaro, L. MRI of endometriosis in correlation with the #Enzian classification: Applicability and structured report. Insights Imaging 2023, 14, 120. [Google Scholar] [CrossRef]
- Shi, J.; Wu, Y.; Li, X.; Gu, Z.; Zhang, C.; Yan, H.; Dai, Y.; Leng, J. Effects of localization of uterine adenomyosis on clinical features and pregnancy outcome. Sci. Rep. 2023, 13, 14714. [Google Scholar] [CrossRef]
- Wu, C.C.; Chung, S.D.; Lin, H.C. Endometriosis increased the risk of bladder pain syndrome/interstitial cystitis: A population-based study. Neurourol. Urodyn. 2018, 37, 1413–1418. [Google Scholar] [CrossRef]
- Marcellin, L.; Santulli, P.; Bortolato, S.; Morin, C.; Millischer, A.E.; Borghese, B.; Chapron, C. Anterior Focal Adenomyosis and Bladder Deep Infiltrating Endometriosis: Is There a Link? J. Minim. Invasive Gynecol. 2018, 25, 896–901. [Google Scholar] [CrossRef]
- Marcellin, L.; Morin, C.; Santulli, P.; Marzouk, P.; Bourret, A.; Dousset, B.; Borghese, B.; Chapron, C. History of Uterine Surgery Is Not Associated With an Increased Severity of Bladder Deep Endometriosis. J. Minim. Invasive Gynecol. 2016, 23, 1130–1137. [Google Scholar] [CrossRef]
- Fleischer, K.; Bachi, A.; Kam, J.; Narayanan, P.; Nair, R.; Khazali, S. Bladder Endometriosis: What do we know and what is left to find out? A narrative review. Best Pract. Res. Clin. Obstet. Gynaecol. 2024, 96, 102536. [Google Scholar] [CrossRef]
- Abrao, M.S.; Dias, J.A., Jr.; Bellelis, P.; Podgaec, S.; Bautzer, C.R.; Gromatsky, C. Endometriosis of the ureter and bladder are not associated diseases. Fertil. Steril. 2009, 91, 1662–1667. [Google Scholar] [CrossRef]
- Fedele, L.; Piazzola, E.; Raffaelli, R.; Bianchi, S. Bladder endometriosis: Deep infiltrating endometriosis or adenomyosis? Fertil. Steril. 1998, 69, 972–975. [Google Scholar] [CrossRef]
- Chapron, C.; Tosti, C.; Marcellin, L.; Bourdon, M.; Lafay-Pillet, M.C.; Millischer, A.E.; Streuli, I.; Borghese, B.; Petraglia, F.; Santulli, P. Relationship between the magnetic resonance imaging appearance of adenomyosis and endometriosis phenotypes. Hum. Reprod. 2017, 32, 1393–1401. [Google Scholar] [CrossRef] [PubMed]
- Donnez, J.; Stratopoulou, C.A.; Dolmans, M.M. Endometriosis and adenomyosis: Similarities and differences. Best Pract. Res. Clin. Obstet. Gynaecol. 2024, 92, 102432. [Google Scholar] [CrossRef] [PubMed]
- Yong, P.J.; Bedaiwy, M.A.; Alotaibi, F.; Anglesio, M.S. Pathogenesis of bowel endometriosis. Best Pract. Res. Clin. Obstet. Gynaecol. 2021, 71, 2–13. [Google Scholar] [CrossRef] [PubMed]
- Marcellin, L.; Santulli, P.; Bourdon, M.; Maignien, C.; Campin, L.; Lafay-Pillet, M.C.; Millischer, A.E.; Bordonne, C.; Borghese, B.; Dousset, B.; et al. Focal adenomyosis of the outer myometrium and deep infiltrating endometriosis severity. Fertil. Steril. 2020, 114, 818–827. [Google Scholar] [CrossRef] [PubMed]
- Maruyama, S.; Imanaka, S.; Nagayasu, M.; Kimura, M.; Kobayashi, H. Relationship between adenomyosis and endometriosis; Different phenotypes of a single disease? Eur. J. Obstet. Gynecol. Reprod. Biol. 2020, 253, 191–197. [Google Scholar] [CrossRef]
- de Ziegler, D.; Ayoubi, J.M. Endometriosis and adenomyosis in the crosshair: Variants of one disorder or fortuitous coincidence. Fertil. Steril. 2023, 119, 709–710. [Google Scholar] [CrossRef]
- Habiba, M.; Guo, S.W.; Benagiano, G. Are Adenomyosis and Endometriosis Phenotypes of the Same Disease Process? Biomolecules 2023, 14, 32. [Google Scholar] [CrossRef]
- Stratopoulou, C.A.; Camboni, A.; Donnez, J.; Dolmans, M.-M. Identifying Common Pathogenic Features in Deep Endometriotic Nodules and Uterine Adenomyosis. J. Clin. Med. 2021, 10, 4585. [Google Scholar] [CrossRef]
- Harmsen, M.J.; Trommelen, L.M.; de Leeuw, R.A.; Tellum, T.; Juffermans, L.J.M.; Griffioen, A.W.; Thomassin-Naggara, I.; Van den Bosch, T.; Huirne, J.A.F. Uterine junctional zone and adenomyosis: Comparison of MRI, transvaginal ultrasound and histology. Ultrasound Obstet. Gynecol. 2023, 62, 42–60. [Google Scholar] [CrossRef]
- Tellum, T.; Matic, G.V.; Dormagen, J.B.; Nygaard, S.; Viktil, E.; Qvigstad, E.; Lieng, M. Diagnosing adenomyosis with MRI: A prospective study revisiting the junctional zone thickness cutoff of 12 mm as a diagnostic marker. Eur. Radiol. 2019, 29, 6971–6981. [Google Scholar] [CrossRef]

| Group 1 (n = 23) | Group 2 (n = 38) | Group 3 (n = 69) | p-Value | |
|---|---|---|---|---|
| Age (years) * | 36.5 (SD 5.6) | 33.5 (SD 6.4) | 36.7 (SD 6.6) | 0.092 |
| BMI (kg/m2) * | 22.8 (SD 5.3) | 23.2 (SD 3.8) | 23.8 (SD 5.9) | 0.385 |
| Parity | 0.747 | |||
| Nullipara | 16 (69.6%) | 30 (78.9%) | 35 (50.7%) | 0.011 |
| Primipara | 3 (13.0%) | 4 (10.5%) | 16 (23.2%) | 0.211 |
| Multipara | 4 (17.4%) | 4 (10.5%) | 18 (26.1%) | 0.148 |
| Vaginal birth | 0.675 | |||
| 0 | 18 (78.3%) | 31 (81.6%) | 52 (75.4%) | 0.759 |
| 1 | 3 (13.0%) | 5 (13.2%) | 6 (8.7%) | 0.720 |
| 2 or more | 2 (8.7%) | 2 (5.3%) | 11 (15.9%) | 0.228 |
| Caesarean | 0.193 | |||
| 0 | 20 (87.0%) | 34 (89.5%) | 50 (72.5%) | 0.071 |
| 1 | 2 (8.7%) | 4 (10.5%) | 15 (21.7%) | 0.181 |
| 2 | 1 (4.3%) | 0 (0%) | 4 (5.8%) | 0.325 |
| Infertility | 0.262 | |||
| primary | 5 (21.7%) | 13 (34.2%) | 15 (21.7%) | 0.331 |
| secondary | 0 (0%) | 2 (5.3%) | 9 (13.0%) | 0.105 |
| Dysmenorrhea | 17 (73.9%) | 35 (92.1%) | 58 (84.1%) | 0.123 |
| Dyspareunia | 10 (43.5%) | 18 (47.4%) | 27 (39.1%) | 0.900 |
| Dysuria | 6 (26.1%) | 5 (13.2%) | 3 (4.3%) | 0.018 |
| Dyschezia | 7 (30.4%) | 19 (50%) | 27 (39.1%) | 0.351 |
| Group 1 | Group 2 | Group 3 | p-Value | |
|---|---|---|---|---|
| n = 23 | n = 38 | n = 69 | ||
| Uterine dimension | ||||
| Uterine volume (cm3) | 92.1 (SD 41.8) | 68.3 (SD 29.5) | 127.6 (SD 105.9) | <0.001 |
| Anterior wall | ||||
| Wall thickness (mm) | 19.6 (SD 4.7) | 14.9 (SD 2.6) | 20.1 (SD 5.1) | <0.001 |
| JZ max thickness (mm) | 13.5 (SD 2.9) | 7.6 (SD 1.8) | 13.1 (SD 3.4) | <0.001 |
| JZ delta thickness (mm) | 8.7 (SD 2.9) | 3.2 (SD 1.4) | 8.1 (SD 2.8) | <0.001 |
| Posterior wall | ||||
| Wall thickness (mm) | 18.7 (SD 3.8) | 18.8 (SD 4.6) | 23.2 (SD 7.7) | <0.001 |
| JZ max thickness (mm) | 7.8 (SD 1.6) | 13.45 (SD 2.4) | 16.0 (SD 6.4) | <0.001 |
| JZ delta thickness (mm) | 3.2 (SD 1.3) | 8.4 (SD 2.0) | 10.6 (SD 5.9) | <0.001 |
| Adenomyosis localization | ||||
| Intrinsic | 21 (91.3%) | 32 (84.2%) | 49 (71%) | 0.072 |
| Extrinsic | 2 (8.7%) | 6 (15.8%) | 20 (29%) | 0.072 |
| Adenomyoma | 6 (26.1%) | 4 (10.5%) | 17 (24.6%) | 0.179 |
| Corpus | 14 (60.9%) | 25 (65.8%) | 56 (81.2%) | 0.080 |
| Isthmocervical | 20 (87%) | 34 (89.5%) | 61 (88.4%) | 0.956 |
| Group 1 | Group 2 | Group 3 | p-Value | |||
|---|---|---|---|---|---|---|
| n = 23 | n = 38 | n = 69 | ||||
| #ENZIAN | ||||||
| P | 22 (95.7%) | 35 (92.1%) | 69 (100%) | 0.072 | ||
| O | left | 20 (87.0%) | 36 (94.7%) | 61 (88.4%) | 0.053 | |
| right | 19 (82.6%) | 34 (89.5%) | 59 (85.5%) | 0.715 | ||
| T | left | 16 (69.6%) | 29 (76.3%) | 58 (84.1%) | 0.290 | |
| right | 16 (69.6%) | 27 (71.1%) | 51 (73.9%) | 0.903 | ||
| A | 13 (56.5%) | 22 (57.9%) | 52 (75.3%) | 0.097 | ||
| B | left | 11 (47.8%) | 14 (36.8%) | 36 (52.2%) | 0.097 | |
| right | 13 (56.5%) | 11 (28.9%) | 35 (50.7%) | 0.085 | ||
| C | 10 (43.5%) | 21 (55.3%) | 49 (71.0%) | 0.039 | ||
| FB | 8 (34.8%) | 21 (55.3%) | 41 (59.4%) | 0.731 | ||
| FU | 1 (4.3%) | 4 (10.5%) | 14 (20.3%) | 0.202 | ||
| FI | 15 (65.2%) | 31 (81.6%) | 55 (79.7%) | 0.278 | ||
| rASRM | ||||||
| I/II | 8 (34.8%) | 7 (18.4%) | 7 (10.1%) | 0.023 | ||
| III/IV | 15 (65.2%) | 31 (81.6%) | 62 (89.9%) | |||
Disclaimer/Publisher’s Note: The statements, opinions and data contained in all publications are solely those of the individual author(s) and contributor(s) and not of MDPI and/or the editor(s). MDPI and/or the editor(s) disclaim responsibility for any injury to people or property resulting from any ideas, methods, instructions or products referred to in the content. |
© 2024 by the authors. Licensee MDPI, Basel, Switzerland. This article is an open access article distributed under the terms and conditions of the Creative Commons Attribution (CC BY) license (https://creativecommons.org/licenses/by/4.0/).
Share and Cite
Schawlochow, K.; Samartzis, N.; Burla, L.; Eberhard, M.; Kalaitzopoulos, D.R.; Leeners, B. Adenomyosis Localized in Both the Anterior and Posterior Myometrium Is Associated with Deep Rectal Endometriosis: A Retrospective Study. Biomedicines 2024, 12, 2527. https://doi.org/10.3390/biomedicines12112527
Schawlochow K, Samartzis N, Burla L, Eberhard M, Kalaitzopoulos DR, Leeners B. Adenomyosis Localized in Both the Anterior and Posterior Myometrium Is Associated with Deep Rectal Endometriosis: A Retrospective Study. Biomedicines. 2024; 12(11):2527. https://doi.org/10.3390/biomedicines12112527
Chicago/Turabian StyleSchawlochow, Konstantin, Nicolas Samartzis, Laurin Burla, Markus Eberhard, Dimitrios Rafail Kalaitzopoulos, and Brigitte Leeners. 2024. "Adenomyosis Localized in Both the Anterior and Posterior Myometrium Is Associated with Deep Rectal Endometriosis: A Retrospective Study" Biomedicines 12, no. 11: 2527. https://doi.org/10.3390/biomedicines12112527
APA StyleSchawlochow, K., Samartzis, N., Burla, L., Eberhard, M., Kalaitzopoulos, D. R., & Leeners, B. (2024). Adenomyosis Localized in Both the Anterior and Posterior Myometrium Is Associated with Deep Rectal Endometriosis: A Retrospective Study. Biomedicines, 12(11), 2527. https://doi.org/10.3390/biomedicines12112527

