ABCA3 c.838C>T (p.Arg280Cys, R280C) and c.697C>T (p.Gln233Ter, Q233X, Q233*) as Causative Variants for RDS: A Family Case Study and Literature Review
Abstract
1. Introduction
1.1. Surfactant Protein B (SFTPB)
1.2. Surfactant Protein C (SFTPC)
1.3. Surfactant Proteins A and D (SFTPA and SFTPD)
1.4. NKX2.1 Gene
1.5. ABCA3 Gene
2. Materials and Methods
2.1. Molecular Analysis
2.2. Literature Systematic Review
3. Results
3.1. Case Report
3.1.1. Clinical Aspects
3.1.2. Biologic, Imagistic Assessment and Treatment
3.1.3. Genetic Analysis and Clinical Course
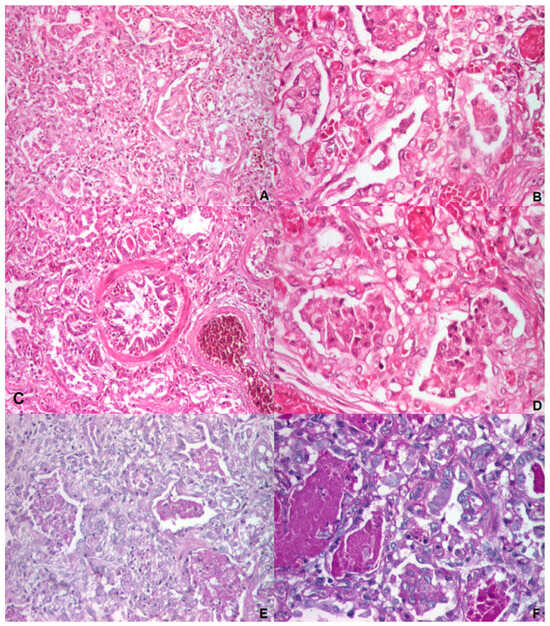
3.1.4. Autopsy and Histology
3.1.5. Pathogenic Prediction
3.1.6. Genetic Counseling
3.2. Review of the Literature on ABCA3 c.838C>T (p.Arg280Cys, R280C)
4. Discussion
4.1. Neonatal Respiratory Distress Syndrome in Near-Term and Term Infants
4.2. Surfactant Protein B Variants
4.3. ABCA3 Deficiency
4.3.1. Adenosine Triphosphate-Binding Cassette Family A Member 3 (ABCA3) Protein
4.3.2. Adenosine Triphosphate-Binding Cassette Family A Member 3 (ABCA3) Gene
4.3.3. ABCA3 c.838C>T (p.Arg280Cys, R280C) Variant
5. Conclusions
Author Contributions
Funding
Institutional Review Board Statement
Informed Consent Statement
Data Availability Statement
Acknowledgments
Conflicts of Interest
References
- Wert, S.E.; Whitsett, J.A.; Nogee, L.M. Genetic disorders of surfactant dysfunction. Pediatr. Dev. Pathol. 2009, 12, 253–274. [Google Scholar] [CrossRef] [PubMed] [PubMed Central]
- Lei, C.; Wan, C.; Liu, C. ABCA3 mutation-induced congenital pulmonary surfactant deficiency: A case report. Medicine 2024, 103, e37622. [Google Scholar] [CrossRef] [PubMed] [PubMed Central]
- Winter, J.; Essmann, S.; Kidszun, A.; Aslanidis, C.; Griese, M.; Poplawska, K.; Bartsch, M.; Schmitz, G.; Mildenberger, E. Neonatal respiratory insufficiency caused by an (homozygous) ABCA3-stop mutation: A systematic evaluation of therapeutic options. Klin. Padiatr. 2014, 226, 53–58. [Google Scholar] [CrossRef] [PubMed]
- Wei, M.; Fu, H.; Han, A.; Ma, L. A Term Neonatal Case with Lethal Respiratory Failure Associated with a Novel Homozygous Mutation in ABCA3 Gene. Front. Pediatr. 2020, 8, 138. [Google Scholar] [CrossRef] [PubMed] [PubMed Central]
- Dyer, J. Neonatal Respiratory Distress Syndrome: Tackling a Worldwide Problem. Pharm. Ther. 2019, 44, 12–14. [Google Scholar] [PubMed] [PubMed Central]
- Magnani, J.E.; Donn, S.M. Persistent Respiratory Distress in the Term Neonate: Genetic Surfactant Deficiency Diseases. Curr. Pediatr. Rev. 2020, 16, 17–25. [Google Scholar] [CrossRef] [PubMed]
- Abdel-Latif, M.E.; Tan, O.; Fiander, M.; Osborn, D.A. Non-invasive high-frequency ventilation in newborn infants with respiratory distress. Cochrane Database Syst. Rev. 2024, 5, CD012712. [Google Scholar] [CrossRef] [PubMed] [PubMed Central]
- Zhang, W.; Liu, Z.; Lin, Y.; Wang, R.; Xu, J.; He, Y.; Zhang, F.; Wu, L.; Chen, D. A novel synonymous ABCA3 variant identified in a Chinese family with lethal neonatal respiratory failure. BMC Med. Genom. 2021, 14, 256. [Google Scholar] [CrossRef] [PubMed] [PubMed Central]
- Gupta, N.P.; Batra, A.; Puri, R.; Meena, V. Novel homozygous missense mutation in ABCA3 protein leading to severe respiratory distress in term infant. BMJ Case Rep. 2020, 13, e235520. [Google Scholar] [CrossRef] [PubMed] [PubMed Central]
- Anciuc-Crauciuc, M.; Cucerea, M.C.; Tripon, F.; Crauciuc, G.A.; Bănescu, C.V. Descriptive and Functional Genomics in Neonatal Respiratory Distress Syndrome: From Lung Development to Targeted Therapies. Int. J. Mol. Sci. 2024, 25, 649. [Google Scholar] [CrossRef] [PubMed] [PubMed Central]
- Bullard, J.E.; Wert, S.E.; Nogee, L.M. ABCA3 deficiency: Neonatal respiratory failure and interstitial lung disease. Semin. Perinatol. 2006, 30, 327–334. [Google Scholar] [CrossRef] [PubMed]
- Reuter, S.; Moser, C.; Baack, M. Respiratory distress in the newborn. Pediatr. Rev. 2014, 35, 417–428; quiz 429. [Google Scholar] [CrossRef] [PubMed] [PubMed Central]
- Rogulska, J.; Wróblewska-Seniuk, K.; Śmigiel, R.; Szydłowski, J.; Szczapa, T. Diagnostic Challenges in Neonatal Respiratory Distress-Congenital Surfactant Metabolism Dysfunction Caused by ABCA3 Mutation. Diagnostics 2022, 12, 1084. [Google Scholar] [CrossRef] [PubMed] [PubMed Central]
- Wang, J.; Fan, J.; Zhang, Y.; Huang, L.; Shi, Y. ABCA3 gene mutations shape the clinical profiles of severe unexplained respiratory distress syndrome in late preterm and term infants. Transl. Pediatr. 2021, 10, 350–358. [Google Scholar] [CrossRef] [PubMed] [PubMed Central]
- Nogee, L.M. Genetic causes of surfactant protein abnormalities. Curr. Opin. Pediatr. 2019, 31, 330–339. [Google Scholar] [CrossRef] [PubMed] [PubMed Central]
- Bush, A.; Cunningham, S.; de Blic, J.; Barbato, A.; Clement, A.; Epaud, R.; Hengst, M.; Kiper, N.; Nicholson, A.G.; Wetzke, M.; et al. European protocols for the diagnosis and initial treatment of interstitial lung disease in children. Thorax 2015, 70, 1078–1084. [Google Scholar] [CrossRef] [PubMed]
- Oltvai, Z.N.; Smith, E.A.; Wiens, K.; Nogee, L.M.; Luquette, M.; Nelson, A.C.; Wikenheiser-Brokamp, K.A. Neonatal respiratory failure due to novel compound heterozygous mutations in the ABCA3 lipid transporter. Cold Spring Harb. Mol. Case Stud. 2020, 6, a005074. [Google Scholar] [CrossRef] [PubMed] [PubMed Central]
- Hallman, M. The surfactant system protects both fetus and newborn. Neonatology 2013, 103, 320–326. [Google Scholar] [CrossRef] [PubMed]
- Wambach, J.A.; Yang, P.; Wegner, D.J.; Heins, H.B.; Kaliberova, L.N.; Kaliberov, S.A.; Curiel, D.T.; White, F.V.; Hamvas, A.; Hackett, B.P.; et al. Functional Characterization of ATP-Binding Cassette Transporter A3 Mutations from Infants with Respiratory Distress Syndrome. Am. J. Respir. Cell Mol. Biol. 2016, 55, 716–721. [Google Scholar] [CrossRef] [PubMed] [PubMed Central]
- Malý, J.; Navrátilová, M.; Hornychová, H.; Looman, A.C. Respiratory failure in a term newborn due to compound heterozygous ABCA3 mutation: The case report of another lethal variant. J. Perinatol. 2014, 34, 951–953. [Google Scholar] [CrossRef] [PubMed]
- Griese, M.; Haug, M.; Brasch, F.; Freihorst, A.; Lohse, P.; von Kries, R.; Zimmermann, T.; Hartl, D. Incidence and classification of pediatric diffuse parenchymal lung diseases in Germany. Orphanet J. Rare Dis. 2009, 4, 26. [Google Scholar] [CrossRef] [PubMed] [PubMed Central]
- Mitsiakos, G.; Tsakalidis, C.; Karagianni, P.; Gialamprinou, D.; Chatziioannidis, I.; Papoulidis, I.; Tsanakas, I.; Soubasi, V. A New ABCA3 Gene Mutation c.3445G>A (p.Asp1149Asn) as a Causative Agent of Newborn Lethal Respiratory Distress Syndrome. Medicina 2019, 55, 389. [Google Scholar] [CrossRef] [PubMed] [PubMed Central]
- El Demellawy, D.; Kovesi, T.; Gowans, R.; Oltean, I.; Huang, L.; White-Brown, A.; Sawyer, S.L. Interstitial lung disease in a family with bi-allelic variants in ABCA3: Non-specific interstitial pneumonitis pattern of injury. Pathology 2024, 56, 104–107. [Google Scholar] [CrossRef] [PubMed]
- Nogee, L.M.; de Mello, D.E.; Dehner, L.P.; Colten, H.R. Brief report: Deficiency of pulmonary surfactant protein B in congenital alveolar proteinosis. N. Engl. J. Med. 1993, 328, 406–410. [Google Scholar] [CrossRef] [PubMed]
- van Moorsel, C.H.M.; van der Vis, J.J.; Grutters, J.C. Genetic disorders of the surfactant system: Focus on adult disease. Eur. Respir. Rev. 2021, 30, 200085. [Google Scholar] [CrossRef] [PubMed] [PubMed Central]
- Hamvas, A. Evaluation and management of inherited disorders of surfactant metabolism. Chin. Med. J. 2010, 123, 2943–2947. [Google Scholar] [PubMed]
- Nogee, L.M.; Garnier, G.; Dietz, H.C.; Singer, L.; Murphy, A.M.; deMello, D.E.; Colten, H.R. A mutation in the surfactant protein B gene responsible for fatal neonatal respiratory disease in multiple kindreds. J. Clin. Investig. 1994, 93, 1860–1863. [Google Scholar] [CrossRef] [PubMed] [PubMed Central]
- Beers, M.F.; Hamvas, A.; Moxley, M.A.; Gonzales, L.W.; Guttentag, S.H.; Solarin, K.O.; Longmore, W.J.; Nogee, L.M.; Ballard, P.L. Pulmonary surfactant metabolism in infants lacking surfactant protein B. Am. J. Respir. Cell Mol. Biol. 2000, 22, 380–391. [Google Scholar] [CrossRef] [PubMed]
- Nogee, L.M.; Wert, S.E.; Proffit, S.A.; Hull, W.M.; Whitsett, J.A. Allelic heterogeneity in hereditary surfactant protein B (SP-B) deficiency. Am. J. Respir. Crit. Care Med. 2000, 161, 973–981. [Google Scholar] [CrossRef] [PubMed]
- Dunbar AE 3rd Wert, S.E.; Ikegami, M.; Whitsett, J.A.; Hamvas, A.; White, F.V.; Piedboeuf, B.; Jobin, C.; Guttentag, S.; Nogee, L.M. Prolonged survival in hereditary surfactant protein B (SP-B) deficiency associated with a novel splicing mutation. Pediatr. Res. 2000, 48, 275–282. [Google Scholar] [CrossRef] [PubMed]
- López-Andreu, J.A.; Hidalgo-Santos, A.D.; Fuentes-Castelló, M.A.; Mancheño-Franch, N.; Cerón-Pérez, J.A.; Esteban-Ricós, M.J.; Pedrola-Vidal, L.; Nogee, L.M. Delayed Presentation and Prolonged Survival of a Child with Surfactant Protein B Deficiency. J. Pediatr. 2017, 190, 268–270.e1. [Google Scholar] [CrossRef] [PubMed]
- Kurland, G.; Deterding, R.R.; Hagood, J.S.; Young, L.R.; Brody, A.S.; Castile, R.G.; Dell, S.; Fan, L.L.; Hamvas, A.; Hilman, B.C.; et al. An official American Thoracic Society clinical practice guideline: Classification, evaluation, and management of childhood interstitial lung disease in infancy. Am. J. Respir. Crit. Care Med. 2013, 188, 376–394. [Google Scholar] [CrossRef] [PubMed] [PubMed Central]
- Klein, J.M.; Thompson, M.W.; Snyder, J.M.; George, T.N.; Whitsett, J.A.; Bell, E.F.; McCray, P.B., Jr.; Nogee, L.M. Transient surfactant protein B deficiency in a term infant with severe respiratory failure. J. Pediatr. 1998, 132, 244–248. [Google Scholar] [CrossRef] [PubMed]
- Ballard, P.L.; Nogee, L.M.; Beers, M.F.; Ballard, R.A.; Planer, B.C.; Polk, L.; deMello, D.E.; Moxley, M.A.; Longmore, W.J. Partial deficiency of surfactant protein B in an infant with chronic lung disease. Pediatrics 1995, 96, 1046–1052. [Google Scholar] [CrossRef] [PubMed]
- Lawson, W.E.; Grant, S.W.; Ambrosini, V.; Womble, K.E.; Dawson, E.P.; Lane, K.B.; Markin, C.; Renzoni, E.; Lympany, P.; Thomas, A.Q.; et al. Genetic mutations in surfactant protein C are a rare cause of sporadic cases of IPF. Thorax 2004, 59, 977–980. [Google Scholar] [CrossRef] [PubMed] [PubMed Central]
- Tredano, M.; Griese, M.; Brasch, F.; Schumacher, S.; de Blic, J.; Marque, S.; Houdayer, C.; Elion, J.; Couderc, R.; Bahuau, M. Mutation of SFTPC in infantile pulmonary alveolar proteinosis with or without fibrosing lung disease. Am. J. Med. Genet. A 2004, 126A, 18–26. [Google Scholar] [CrossRef] [PubMed]
- Pachajoa, H.; Ruiz-Botero, F.; Meza-Escobar, L.E.; Villota-Delgado, V.A.; Ballesteros, A.; Padilla, I.; Duarte, D. Fatal respiratory disease due to a homozygous intronic ABCA3 mutation: A case report. J. Med. Case Rep. 2016, 10, 266. [Google Scholar] [CrossRef] [PubMed] [PubMed Central]
- Kröner, C.; Reu, S.; Teusch, V.; Schams, A.; Grimmelt, A.C.; Barker, M.; Brand, J.; Gappa, M.; Kitz, R.; Kramer, B.W.; et al. Genotype alone does not predict the clinical course of SFTPC deficiency in paediatric patients. Eur. Respir. J. 2015, 46, 197–206. [Google Scholar] [CrossRef] [PubMed]
- Wright, J.R. Host defense functions of pulmonary surfactant. Biol. Neonate 2004, 85, 326–332. [Google Scholar] [CrossRef] [PubMed]
- Kingma, P.S.; Whitsett, J.A. In defense of the lung: Surfactant protein A and surfactant protein D. Curr. Opin. Pharmacol. 2006, 6, 277–283. [Google Scholar] [CrossRef] [PubMed]
- Haagsman, H.P.; Hogenkamp, A.; van Eijk, M.; Veldhuizen, E.J. Surfactant collectins and innate immunity. Neonatology 2008, 93, 288–294. [Google Scholar] [CrossRef] [PubMed]
- Boggaram, V. Regulation of lung surfactant protein gene expression. Front. Biosci. 2003, 8, d751–d764. [Google Scholar] [CrossRef] [PubMed]
- Rämet, M.; Haataja, R.; Marttila, R.; Floros, J.; Hallman, M. Association between the surfactant protein A (SP-A) gene locus and respiratory-distress syndrome in the Finnish population. Am. J. Hum. Genet. 2000, 66, 1569–1579. [Google Scholar] [CrossRef] [PubMed] [PubMed Central]
- Hilgendorff, A.; Heidinger, K.; Bohnert, A.; Kleinsteiber, A.; König, I.R.; Ziegler, A.; Lindner, U.; Frey, G.; Merz, C.; Lettgen, B.; et al. Association of polymorphisms in the human surfactant protein-D (SFTPD) gene and postnatal pulmonary adaptation in the preterm infant. Acta Paediatr. 2009, 98, 112–117. [Google Scholar] [CrossRef] [PubMed]
- Lahti, M.; Lofgren, J.; Marttila, R.; Renko, M.; Klaavuniemi, T.; Haataja, R.; Ramet, M.; Hallman, M. Surfactant protein D gene polymorphism associated with severe respiratory syncytial virus infection. Pediatr. Res. 2002, 51, 696–699. [Google Scholar] [CrossRef] [PubMed]
- Löfgren, J.; Rämet, M.; Renko, M.; Marttila, R.; Hallman, M. Association between surfactant protein A gene locus and severe respiratory syncytial virus infection in infants. J. Infect. Dis. 2002, 185, 283–289. [Google Scholar] [CrossRef] [PubMed]
- Wang, Y.; Kuan, P.J.; Xing, C.; Cronkhite, J.T.; Torres, F.; Rosenblatt, R.L.; DiMaio, J.M.; Kinch, L.N.; Grishin, N.V.; Garcia, C.K. Genetic defects in surfactant protein A2 are associated with pulmonary fibrosis and lung cancer. Am. J. Hum. Genet. 2009, 84, 52–59. [Google Scholar] [CrossRef] [PubMed] [PubMed Central]
- Nattes, E.; Lejeune, S.; Carsin, A.; Borie, R.; Gibertini, I.; Balinotti, J.; Nathan, N.; Marchand-Adam, S.; Thumerelle, C.; Fauroux, B.; et al. Heterogeneity of lung disease associated with NK2 homeobox 1 mutations. Respir. Med. 2017, 129, 16–23. [Google Scholar] [CrossRef] [PubMed]
- Thorwarth, A.; Schnittert-Hübener, S.; Schrumpf, P.; Müller, I.; Jyrch, S.; Dame, C.; Biebermann, H.; Kleinau, G.; Katchanov, J.; Schuelke, M.; et al. Comprehensive genotyping and clinical characterisation reveal 27 novel NKX2-1 mutations and expand the phenotypic spectrum. J. Med. Genet. 2014, 51, 375–387. [Google Scholar] [CrossRef] [PubMed] [PubMed Central]
- Nevel, R.J.; Garnett, E.T.; Worrell, J.A.; Morton, R.L.; Nogee, L.M.; Blackwell, T.S.; Young, L.R. Persistent Lung Disease in Adults with NKX2.1 Mutation and Familial Neuroendocrine Cell Hyperplasia of Infancy. Ann. Am. Thorac. Soc. 2016, 13, 1299–1304. [Google Scholar] [CrossRef] [PubMed] [PubMed Central]
- Beers, M.F.; Mulugeta, S. The biology of the ABCA3 lipid transporter in lung health and disease. Cell Tissue Res. 2017, 367, 481–493. [Google Scholar] [CrossRef] [PubMed] [PubMed Central]
- Shulenin, S.; Nogee, L.M.; Annilo, T.; Wert, S.E.; Whitsett, J.A.; Dean, M. ABCA3 gene mutations in newborns with fatal surfactant deficiency. N. Engl. J. Med. 2004, 350, 1296–1303. [Google Scholar] [CrossRef] [PubMed]
- Onnée, M.; Fanen, P.; Callebaut, I.; de Becdelièvre, A. Structure-Based Understanding of ABCA3 Variants. Int. J. Mol. Sci. 2021, 22, 10282. [Google Scholar] [CrossRef] [PubMed] [PubMed Central]
- Gonçalves, J.P.; Pinheiro, L.; Costa, M.; Silva, A.; Gonçalves, A.; Pereira, A. Novel ABCA3 mutations as a cause of respiratory distress in a term newborn. Gene 2014, 534, 417–420. [Google Scholar] [CrossRef] [PubMed]
- Jouza, M.; Jimramovsky, T.; Sloukova, E.; Pecl, J.; Seehofnerova, A.; Jezova, M.; Urik, M.; Kunovsky, L.; Slaba, K.; Stourac, P.; et al. A Newly Observed Mutation of the ABCA3 Gene Causing Lethal Respiratory Failure of a Full-Term Newborn: A Case Report. Front. Genet. 2020, 11, 568303. [Google Scholar] [CrossRef] [PubMed] [PubMed Central]
- Nakamura, Y.; Tsuchiya, K.; Setoguchi, Y.; Matsushima, S.; Iwaizumi, M.; Inoue, Y.; Yasui, H.; Hozumi, H.; Karayama, M.; Suzuki, Y.; et al. Case of familial interstitial lung disease attributed to ATP-binding cassette transporter 3 gene mutation in identical twins. Sarcoidosis Vasc. Diffus. Lung Dis. 2024, 41, e2024033. [Google Scholar] [CrossRef] [PubMed]
- Pagel, K.A.; Pejaver, V.; Lin, G.N.; Nam, H.J.; Mort, M.; Cooper, D.N.; Sebat, J.; Iakoucheva, L.M.; Mooney, S.D.; Radivojac, P. When loss-of-function is loss of function: Assessing mutational signatures and impact of loss-of-function genetic variants. Bioinformatics 2017, 33, i389–i398. [Google Scholar] [CrossRef] [PubMed] [PubMed Central]
- Pejaver, V.; Urresti, J.; Lugo-Martinez, J.; Pagel, K.A.; Lin, G.N.; Nam, H.J.; Mort, M.; Cooper, D.N.; Sebat, J.; Iakoucheva, L.M.; et al. Inferring the molecular and phenotypic impact of amino acid variants with MutPred2. Nat. Commun. 2020, 11, 5918. [Google Scholar] [CrossRef] [PubMed] [PubMed Central]
- Sehnal, D.; Bittrich, S.; Deshpande, M.; Svobodová, R.; Berka, K.; Bazgier, V.; Velankar, S.; Burley, S.K.; Koča, J.; Rose, A.S. Mol* Viewer: Modern web app for 3D visualization and analysis of large biomolecular structures. Nucleic Acids Res. 2021, 49, W431–W437. [Google Scholar] [CrossRef] [PubMed] [PubMed Central]
- National Center for Biotechnology Information. ClinVar; [VCV000318566.16]. Available online: https://www.ncbi.nlm.nih.gov/clinvar/variation/VCV000318566.16/?redir=vcv (accessed on 17 June 2024).
- Ensembl. 2022. Available online: https://www.ensembl.org/ (accessed on 27 June 2024).
- Somaschini, M.; Nogee, L.M.; Sassi, I.; Danhaive, O.; Presi, S.; Boldrini, R.; Montrasio, C.; Ferrari, M.; Wert, S.E.; Carrera, P. Unexplained neonatal respiratory distress due to congenital surfactant deficiency. J. Pediatr. 2007, 150, 649–653. [Google Scholar] [CrossRef] [PubMed]
- Turcu, S.; Ashton, E.; Jenkins, L.; Gupta, A.; Mok, Q. Genetic testing in children with surfactant dysfunction. Arch. Dis. Child. 2013, 98, 490–495. [Google Scholar] [CrossRef] [PubMed]
- Williamson, M.; Wallis, C. Ten-year follow up of hydroxychloroquine treatment for ABCA3 deficiency. Pediatr. Pulmonol. 2014, 49, 299–301. [Google Scholar] [CrossRef] [PubMed]
- Wambach, J.A.; Casey, A.M.; Fishman, M.P.; Wegner, D.J.; Wert, S.E.; Cole, F.S.; Hamvas, A.; Nogee, L.M. Genotype-phenotype correlations for infants and children with ABCA3 deficiency. Am. J. Respir. Crit. Care Med. 2014, 189, 1538–1543. [Google Scholar] [CrossRef] [PubMed] [PubMed Central]
- Xu, K.K.; Wegner, D.J.; Geurts, L.C.; Heins, H.B.; Yang, P.; Hamvas, A.; Eghtesady, P.; Sweet, S.C.; Sessions Cole, F.; Wambach, J.A. Biologic characterization of ABCA3 variants in lung tissue from infants and children with ABCA3 deficiency. Pediatr. Pulmonol. 2022, 57, 1325–1330. [Google Scholar] [CrossRef] [PubMed] [PubMed Central]
- Jackson, T.; Wegner, D.J.; White, F.V.; Hamvas, A.; Cole, F.S.; Wambach, J.A. Respiratory failure in a term infant with cis and trans mutations in ABCA3. J. Perinatol. 2015, 35, 231–232. [Google Scholar] [CrossRef] [PubMed] [PubMed Central]
- Wang, K.; Li, M.; Hakonarson, H. ANNOVAR: Functional annotation of genetic variants from high-throughput sequencing data. Nucleic Acids Res. 2010, 38, e164. [Google Scholar] [CrossRef] [PubMed] [PubMed Central]
- Klay, D.; Platenburg, M.G.J.P.; van Rijswijk, R.H.N.A.J.; Grutters, J.C.; van Moorselm, C.H.M. ABCA3 mutations in adult pulmonary fibrosis patients: A case series and review of literature. Curr. Opin. Pulm. Med. 2020, 26, 293–301. [Google Scholar] [CrossRef] [PubMed]
- Gjeta, I.; Sala, D.; Bakalli, I.; Celaj, E.; Kola, E. Surfactant Deficiency Causing Severe Pneumonia in a Child. Curr. Health Sci. J. 2023, 49, 134–138. [Google Scholar] [CrossRef] [PubMed] [PubMed Central]
- Brasch, F.; Schimanski, S.; Mühlfeld, C.; Barlage, S.; Langmann, T.; Aslanidis, C.; Boettcher, A.; Dada, A.; Schroten, H.; Mildenberger, E.; et al. Alteration of the pulmonary surfactant system in full-term infants with hereditary ABCA3 deficiency. Am. J. Respir. Crit. Care Med. 2006, 174, 571–580. [Google Scholar] [CrossRef] [PubMed]
- Somaschini, M.; Presi, S.; Ferrari, M.; Vergani, B.; Carrera, P. Surfactant proteins gene variants in premature newborn infants with severe respiratory distress syndrome. J. Perinatol. 2018, 38, 337–344. [Google Scholar] [CrossRef] [PubMed] [PubMed Central]
- Anciuc-Crauciuc, M.; Cucerea, M.C.; Crauciuc, G.A.; Tripon, F.; Bănescu, C.V. Evaluation of the Copy Number Variants and Single-Nucleotide Polymorphisms of ABCA3 in Newborns with Respiratory Distress Syndrome-A Pilot Study. Medicina 2024, 60, 419. [Google Scholar] [CrossRef] [PubMed] [PubMed Central]
- Peca, D.; Cutrera, R.; Masotti, A.; Boldrini, R.; Danhaive, O. ABCA3, a key player in neonatal respiratory transition and genetic disorders of the surfactant system. Biochem. Soc. Trans. 2015, 43, 913–919. [Google Scholar] [CrossRef] [PubMed]
- Xiao, G.L.; Gao, Y.; Hao, H.; Wei, T.; Hong, C.; Wang, Y.; Lin, Y.Y.; Chi, X.F.; Liu, Y.; Gao, H.Y.; et al. Novel insights into congenital surfactant dysfunction disorders by in silico analysis of ABCA3 proteins. World J. Pediatr. 2023, 19, 293–301. [Google Scholar] [CrossRef] [PubMed] [PubMed Central]
- Peers de Nieuwburgh, M.; Wambach, J.A.; Griese, M.; Danhaive, O. Towards personalized therapies for genetic disorders of surfactant dysfunction. Semin. Fetal Neonatal Med. 2023, 28, 101500. [Google Scholar] [CrossRef] [PubMed] [PubMed Central]
- Ge, F.; Liang, J.; Zhou, J.; Chen, Y.; Chen, J.; Ye, S. Successful bilateral lung transplantation in a five-year-old child with pulmonary interstitial fibrosis caused by an ABCA3 gene mutation. Transpl. Immunol. 2024, 85, 102056. [Google Scholar] [CrossRef] [PubMed]
- Ciantelli, M.; Ghirri, P.; Presi, S.; Sigali, E.; Vuerich, M.; Somaschini, M.; Ferrari, M.; Boldrini, A.; Carrera, P. Fatal respiratory failure in a full-term newborn with two ABCA3 gene mutations: A case report. J. Perinatol. 2011, 31, 70–72. [Google Scholar] [CrossRef] [PubMed][Green Version]
- Braun, S.; Ferner, M.; Kronfeld, K.; Griese, M. Hydroxychloroquine in children with interstitial (diffuse parenchymal) lung diseases. Pediatr. Pulmonol. 2015, 50, 410–419. [Google Scholar] [CrossRef] [PubMed]
- AlAnazi, A.; Epaud, R.; Heena, H.; de Becdelievre, A.; Miqdad, A.M.; Fanen, P. The most frequent ABCA3 nonsense mutation -p.Tyr1515* (Y1515X) causing lethal neonatal respiratory failure in a term neonate. Ann. Thorac. Med. 2017, 12, 213–215. [Google Scholar] [CrossRef] [PubMed] [PubMed Central]
- Beers, M.F.; Zhao, M.; Tomer, Y.; Russo, S.J.; Zhang, P.; Gonzales, L.W.; Guttentag, S.H.; Mulugeta, S. Disruption of N-linked glycosylation promotes proteasomal degradation of the human ATP-binding cassette transporter ABCA3. Am. J. Physiol. Lung Cell Mol. Physiol. 2013, 305, L970–L980. [Google Scholar] [CrossRef] [PubMed] [PubMed Central]
- Li, J.; Ikegami, M.; Na, C.L.; Hamvas, A.; Espinassous, Q.; Chaby, R.; Nogee, L.M.; Weaver, T.E.; Johansson, J. N-terminally extended surfactant protein (SP) C isolated from SP-B-deficient children has reduced surface activity and inhibited lipopolysaccharide binding. Biochemistry 2004, 43, 3891–3898. [Google Scholar] [CrossRef] [PubMed]
- Clark, J.C.; Wert, S.E.; Bachurski, C.J.; Stahlman, M.T.; Stripp, B.R.; Weaver, T.E.; Whitsett, J.A. Targeted disruption of the surfactant protein B gene disrupts surfactant homeostasis, causing respiratory failure in newborn mice. Proc. Natl. Acad. Sci. USA 1995, 92, 7794–7798. [Google Scholar] [CrossRef] [PubMed] [PubMed Central]
- Kitazawa, H.; Moriya, K.; Niizuma, H.; Kawano, K.; Saito-Nanjo, Y.; Uchiyama, T.; Rikiishi, T.; Sasahara, Y.; Sakamoto, O.; Setoguchi, Y.; et al. Interstitial lung disease in two brothers with novel compound heterozygous ABCA3 mutations. Eur. J. Pediatr. 2013, 172, 953–957. [Google Scholar] [CrossRef] [PubMed]
- Chen, F.; Xie, Z.; Zhang, V.W.; Chen, C.; Fan, H.; Zhang, D.; Jiang, W.; Wang, C.; Wu, P. Case Report: Report of Two Cases of Interstitial Lung Disease Caused by Novel Compound Heterozygous Variants in the ABCA3 Gene. Front. Genet. 2022, 13, 875015. [Google Scholar] [CrossRef] [PubMed] [PubMed Central]
- Zarbock, R.; Kaltenborn, E.; Frixel, S.; Wittmann, T.; Liebisch, G.; Schmitz, G.; Griese, M. ABCA3 protects alveolar epithelial cells against free cholesterol induced cell death. Biochim. Biophys. Acta 2015, 1851, 987–995. [Google Scholar] [CrossRef] [PubMed]
- Ban, N.; Matsumura, Y.; Sakai, H.; Takanezawa, Y.; Sasaki, M.; Arai, H.; Inagaki, N. ABCA3 as a lipid transporter in pulmonary surfactant biogenesis. J. Biol. Chem. 2007, 282, 9628–9634. [Google Scholar] [CrossRef] [PubMed] [PubMed Central]
- Garmany, T.H.; Wambach, J.A.; Heins, H.B.; Watkins-Torry, J.M.; Wegner, D.J.; Bennet, K.; An, P.; Land, G.; Saugstad, O.D.; Henderson, H.; et al. Population and disease-based prevalence of the common mutations associated with surfactant deficiency. Pediatr Res. 2008, 63, 645–649. [Google Scholar] [CrossRef] [PubMed] [PubMed Central]
- Cheong, N.; Zhang, H.; Madesh, M.; Zhao, M.; Yu, K.; Dodia, C.; Fisher, A.B.; Savani, R.C.; Shuman, H. ABCA3 is critical for lamellar body biogenesis in vivo. J. Biol. Chem. 2007, 282, 23811–23817. [Google Scholar] [CrossRef] [PubMed]
- Flamein, F.; Riffault, L.; Muselet-Charlier, C.; Pernelle, J.; Feldmann, D.; Jonard, L.; Durand-Schneider, A.M.; Coulomb, A.; Maurice, M.; Nogee, L.M.; et al. Molecular and cellular characteristics of ABCA3 mutations associated with diffuse parenchymal lung diseases in children. Hum. Mol. Genet. 2012, 21, 765–775. [Google Scholar] [CrossRef] [PubMed] [PubMed Central]
- Weichert, N.; Kaltenborn, E.; Hector, A.; Woischnik, M.; Schams, A.; Holzinger, A.; Kern, S.; Griese, M. Some ABCA3 mutations elevate ER stress and initiate apoptosis of lung epithelial cells. Respir. Res. 2011, 12, 4. [Google Scholar] [CrossRef] [PubMed] [PubMed Central]
- Nathan, N.; Borensztajn, K.; Clement, A. Genetic causes and clinical management of pediatric interstitial lung diseases. Curr. Opin. Pulm. Med. 2018, 24, 253–259. [Google Scholar] [CrossRef] [PubMed]
- Matsumura, Y.; Ban, N.; Ueda, K.; Inagaki, N. Characterization and classification of ATP-binding cassette transporter ABCA3 mutants in fatal surfactant deficiency. J. Biol. Chem. 2006, 281, 34503–34514. [Google Scholar] [CrossRef] [PubMed]
- Matsumura, Y.; Ban, N.; Inagaki, N. Aberrant catalytic cycle and impaired lipid transport into intracellular vesicles in ABCA3 mutants associated with nonfatal pediatric interstitial lung disease. Am. J. Physiol. Lung Cell. Mol. Physiol. 2008, 295, L698–L707. [Google Scholar] [CrossRef] [PubMed]
- Kinting, S.; Höppner, S.; Schindlbeck, U.; Forstner, M.E.; Harfst, J.; Wittmann, T.; Griese, M. Functional rescue of misfolding ABCA3 mutations by small molecular correctors. Hum. Mol. Genet. 2018, 27, 943–953. [Google Scholar] [CrossRef] [PubMed]
- Cheong, N.; Madesh, M.; Gonzales, L.W.; Zhao, M.; Yu, K.; Ballard, P.L.; Shuman, H. Functional and trafficking defects in ATP binding cassette A3 mutants associated with respiratory distress syndrome. J. Biol. Chem. 2006, 281, 9791–9800. [Google Scholar] [CrossRef] [PubMed]
- Yoshida, I.; Ban, N.; Inagaki, N. Expression of ABCA3, a causative gene for fatal surfactant deficiency, is up-regulated by glucocorticoids in lung alveolar type II cells. Biochem. Biophys. Res. Commun. 2004, 323, 547–555. [Google Scholar] [CrossRef] [PubMed]
- Stahlman, M.T.; Besnard, V.; Wert, S.E.; Weaver, T.E.; Dingle, S.; Xu, Y.; von Zychlin, K.; Olson, S.J.; Whitsett, J.A. Expression of ABCA3 in developing lung and other tissues. J. Histochem. Cytochem. 2007, 55, 71–83. [Google Scholar] [CrossRef] [PubMed]
- Kolla, V.; Gonzales, L.W.; Gonzales, J.; Wang, P.; Angampalli, S.; Feinstein, S.I.; Ballard, P.L. Thyroid transcription factor in differentiating type II cells: Regulation, isoforms, and target genes. Am. J. Respir. Cell Mol. Biol. 2007, 36, 213–225. [Google Scholar] [CrossRef] [PubMed] [PubMed Central]
- Wambach, J.A.; Wegner, D.J.; Depass, K.; Heins, H.; Druley, T.E.; Mitra, R.D.; An, P.; Zhang, Q.; Nogee, L.M.; Cole, F.S.; et al. Single ABCA3 mutations increase risk for neonatal respiratory distress syndrome. Pediatrics 2012, 130, e1575–e1582. [Google Scholar] [CrossRef] [PubMed] [PubMed Central]
- Kröner, C.; Wittmann, T.; Reu, S.; Teusch, V.; Klemme, M.; Rauch, D.; Hengst, M.; Kappler, M.; Cobanoglu, N.; Sismanlar, T.; et al. Lung disease caused by ABCA3 mutations. Thorax 2017, 72, 213–220. [Google Scholar] [CrossRef] [PubMed]
- Henderson, L.B.; Melton, K.; Wert, S.; Couriel, J.; Bush, A.; Ashworth, M.; Nogee, L.M. Large ABCA3 and SFTPC deletions resulting in lung disease. Ann. Am. Thorac. Soc. 2013, 10, 602–607. [Google Scholar] [CrossRef] [PubMed] [PubMed Central]
- Hamvas, A.; Nogee, L.M.; Wegner, D.J.; Depass, K.; Christodoulou, J.; Bennetts, B.; McQuade, L.R.; Gray, P.H.; Deterding, R.R.; Carroll, T.R.; et al. Inherited surfactant deficiency caused by uniparental disomy of rare mutations in the surfactant protein-B and ATP binding cassette, subfamily a, member 3 genes. J. Pediatr. 2009, 155, 854–859. [Google Scholar] [CrossRef] [PubMed] [PubMed Central][Green Version]
- Hartl, D.; Griese, M. Interstitial lung disease in children—Genetic background and associated phenotypes. Respir. Res. 2005, 6, 32. [Google Scholar] [CrossRef] [PubMed] [PubMed Central]
- Karjalainen, M.K.; Haataja, R.; Hallman, M. Haplotype analysis of ABCA3: Association with respiratory distress in very premature infants. Ann. Med. 2008, 40, 56–65. [Google Scholar] [CrossRef] [PubMed]
- Bullard, J.E.; Wert, S.E.; Whitsett, J.A.; Dean, M.; Nogee, L.M. ABCA3 mutations associated with pediatric interstitial lung disease. Am. J. Respir. Crit. Care Med. 2005, 172, 1026–1031. [Google Scholar] [CrossRef] [PubMed] [PubMed Central]
- Crossno, P.F.; Polosukhin, V.V.; Blackwell, T.S.; Johnson, J.E.; Markin, C.; Moore, P.E.; Worrell, J.A.; Stahlman, M.T.; Phillips, J.A., 3rd; Loyd, J.E.; et al. Identification of early interstitial lung disease in an individual with genetic variations in ABCA3 and SFTPC. Chest 2010, 137, 969–973. [Google Scholar] [CrossRef] [PubMed] [PubMed Central]
- Wittmann, T.; Frixel, S.; Höppner, S.; Schindlbeck, U.; Schams, A.; Kappler, M.; Hegermann, J.; Wrede, C.; Liebisch, G.; Vierzig, A.; et al. Increased Risk of Interstitial Lung Disease in Children with a Single R288K Variant of ABCA3. Mol. Med. 2016, 22, 183–191. [Google Scholar] [CrossRef] [PubMed] [PubMed Central]
- Kaltenborn, E.; Kern, S.; Frixel, S.; Fragnet, L.; Conzelmann, K.K.; Zarbock, R.; Griese, M. Respiratory syncytial virus potentiates ABCA3 mutation-induced loss of lung epithelial cell differentiation. Hum. Mol. Genet. 2012, 21, 2793–2806. [Google Scholar] [CrossRef] [PubMed]
- Abe, J.; Ueki, M.; Honjou, R.; Takeda, K.; Seto, Y.; Nakamura, Y.; Furuse, Y.; Nakata, K.; Cho, K. The clinical importance of pulmonary gene and protein expression levels in an infant with lethal ABCA3 variants. Pediatr. Pulmonol. 2023, 58, 2956–2959. [Google Scholar] [CrossRef] [PubMed]
- Yang, X.; Rapp, C.K.; Li, Y.; Forstner, M.; Griese, M. Quantifying Functional Impairment of ABCA3 Variants Associated with Interstitial Lung Disease. Int. J. Mol. Sci. 2023, 24, 7554. [Google Scholar] [CrossRef] [PubMed] [PubMed Central]
- Beers, M.F.; Hawkins, A.; Shuman, H.; Zhao, M.; Newitt, J.L.; Maguire, J.A.; Ding, W.; Mulugeta, S. A novel conserved targeting motif found in ABCA transporters mediates trafficking to early post-Golgi compartments. J. Lipid Res. 2011, 52, 1471–1482. [Google Scholar] [CrossRef] [PubMed] [PubMed Central]
- Wambach, J.A.; Yang, P.; Wegner, D.J.; Heins, H.B.; Luke, C.; Li, F.; White, F.V.; Cole, F.S. Functional Genomics of ABCA3 Variants. Am. J. Respir. Cell Mol. Biol. 2020, 63, 436–443. [Google Scholar] [CrossRef] [PubMed] [PubMed Central]
- Karbassi, I.; Maston, G.A.; Love, A.; DiVincenzo, C.; Braastad, C.D.; Elzinga, C.D.; Bright, A.R.; Previte, D.; Zhang, K.; Rowland, C.M.; et al. A Standardized DNA Variant Scoring System for Pathogenicity Assessments in Mendelian Disorders. Hum. Mutat. 2016, 37, 127–134. [Google Scholar] [CrossRef] [PubMed] [PubMed Central]
- Richards, S.; Aziz, N.; Bale, S.; Bick, D.; Das, S.; Gastier-Foster, J.; Grody, W.W.; Hegde, M.; Lyon, E.; Spector, E.; et al. Standards and guidelines for the interpretation of sequence variants: A joint consensus recommendation of the American College of Medical Genetics and Genomics and the Association for Molecular Pathology. Genet. Med. 2015, 17, 405–424. [Google Scholar] [CrossRef] [PubMed] [PubMed Central]
- Duzkale, H.; Shen, J.; McLaughlin, H.; Alfares, A.; Kelly, M.A.; Pugh, T.J.; Funke, B.H.; Rehm, H.L.; Lebo, M.S. A systematic approach to assessing the clinical significance of genetic variants. Clin. Genet. 2013, 84, 453–463. [Google Scholar] [CrossRef] [PubMed] [PubMed Central]
- Thusberg, J.; Olatubosun, A.; Vihinen, M. Performance of mutation pathogenicity prediction methods on missense variants. Hum. Mutat. 2011, 32, 358–368. [Google Scholar] [CrossRef] [PubMed]
- Thavagnanam, S.; Cutz, E.; Manson, D.; Nogee, L.M.; Dell, S.D. Variable clinical outcome of ABCA3 deficiency in two siblings. Pediatr. Pulmonol. 2013, 48, 1035–1038. [Google Scholar] [CrossRef] [PubMed]






| Variant | Tool | Score/Result | Classification | Comments/Consistency (%) |
|---|---|---|---|---|
| ABCA3 c.838C>T (p.Arg280Cys, R280C) | MutPred2 | 0.543 | Possibly deleterious | 90% |
| PolyPhen-2 | 0.989 | Probably damaging | ||
| MutPred-LOF | N/A | Not applicable | ||
| ABCA3 c.697C>T (p.Gln233Ter, Q233X) | MutPred2 | N/A | Not applicable (a tool designed for missense mutations) | Not applicable for nonsense variants |
| PolyPhen-2 | N/A | Not applicable (focuses on missense variants) | Not applicable for nonsense mutations | |
| MutPred-LOF | 0.369 | Moderate probability of loss of function | 100% consistency in identifying a loss-of-function variant |
| Patient Number | Reference | Gender | GA | BW | Respiratory Disease | Imaging Aspects | Lung Histology | EM | ABCA3 Variant—Allele 1/Parental Origin | Other Associated ABCA3 Variant(s)/Parental Origin/Allele 2 | Variants of Other Surfactant Genes/Parental Origin | Familial History | Outcome | Comments |
|---|---|---|---|---|---|---|---|---|---|---|---|---|---|---|
| 1. | Somaschini et al., 2007 [62] | Male | 39 weeks | 2850 g | Severe nRDS (mechanical ventilation) | N/A | N/A | N/A | R280C/wt/ | Most probably the second mutation was missed due to restrictive genetic testing protocol | Tested; none reported | No | Died at 2 days | Patient 7 in a case series of 17 cases with inherited deficiency of pulmonary surfactant |
| 2. | Turcu et al., 2013 [63] | Not reported | Term | Not reported | nRDS—Surfactant administration, ventilation, hydroxychloroquine | Interstitial changes on lung CT | CIP | N/A | c.838C>T (p.Arg280Cys)/heterozygous/parental origin not reported | c.2069A>G (p.Glu690Gly)/heterozygous/parental origin not reported | None reported | no | Alive at 13 years | Patient reported in a case series of 323 cases analyzed for inherited deficiency of pulmonary surfactant |
| 3. | Williamson & Wallis, 2014 [64] | Female | Term | Not reported | nRDS—surfactant, mechanical ventilation, multiple corticosteroids courses, oxygen-dependent at 2 years; treated with hydroxychloroquine afterwards | Extensive patchy ground glass opacification and cystic airway changes, predominantly in the upper lobes at 2 years on thoracic CT | DIP at 2 years | N/A | c.838C>T/heterozygous/parental origin not reported | c.2069A>G/heterozygous/parental origin not reported | Tested; no variants discovered | N/A | Final evaluation at 13 years, stable under hydroxychloroquine treatment | Case report |
| 4. | Wambach, 2014 [65] | Female | N/A | N/A | nRDS | N/A | N/A | N/A | Q1589X R280C (homozygous) | Q1589X R280C (homozygous) | N/A | N/A | Died < 3 months | Based on unpublished data |
| 5. | Male | N/A | N/A | nRDS | N/A | N/A | N/A | c.3997_3998delAG (null) | R280C | N/A | N/A | Alive | Based on unpublished data | |
| 6. | Female | N/A | N/A | nRDS | N/A | N/A | NA | Q1589X (p.Gln1589) R280C | c.4195G>A (V1399M) (p.Val1399Met) | N/A | N/A | Lung transplantation at 10 months | Based on unpublished data; also reported by Xu et al., 2022 [66] | |
| 7. | Jackson et al., 2015 [67] | Female | Term | 2870 g | Severe nRDS treated with advanced respiratory support (HFOV, iNO), weaned for respiratory support at 1 year | N/A | Diffuse interstitial fibrosis with alveolar remodeling and prominent AEC II hyperplasia | Small, dense lamellar bodies and occasional fused lamellar bodies | p.R280C (c.838C>T)/paternal (cis) | p.Val1399Met (c.4195G>A)/maternal p.Q1589X (C.4765C>T)/paternal (cis) | Tested; none discovered | No (parents and one previous sibling without—healthy) | Alive at 3 years; mild speech and motor delay | Case report; p.V1399M is rare and has been previously reported in symptomatic infants [65]; p.Q1589X is predicted to result in a truncated protein [64] Both p.R280C and p.V1399M are predicted to be damaging to ABCA3 protein function by the majority of in silico prediction programs in ANNOVAR [68] |
| 8. | Klay et al., 2020 [69] | Female | Not reported | Not reported | ILD—onset at 19 years with dyspnea; high-resolution chest CT: diffuse ground glass opacities with emphysema located in the apical regions, progressing to severe lung fibrosis | N/A | Diffuse fibrosis with chronic inflammation, unusual interstitial pneumonia, fibroblast foci, or granulomas. Mild AEC II hyperplasia; accumulation of alveolar macrophages | N/A | c.838C>T (p.R280C, rs201299260) (trans)/one parent c.875A>T (p.E292V, rs149989682). (trans)/the other parent | - | No report on other genetic tests | No | Proposed for lung transplantation at 25 years | Case report; initially diagnosed with drug-induced ILD |
| 9. | Gjeta et al., 2023 [70] | Female | Not reported | Not reported | Onset at 2 years and 7 months with severe pediatric ARDS (requiring invasive respiratory support, prednisolone, and azithromycin treatment), after twoepisodes of upper respiratory tract infections | Chest X-ray showed bilateral opacification, suggesting interstitial bilateral pneumonia. chest CT scan showed bilateral ground-glass opacities | N/A | N/A | c.4261 G>A p. (Gly1421Arg)/heterozygous/paternal | c.838C>T p. (Arg280Cys)/heterozygous/maternal | Tested; none reported | N/A | Alive, after prolonged oxygen therapy and on treatment with oral hydroxychloroquine and fluticasone propionate inhalations | Case report |
| 10. | Ognean et al., 2024 (this study) | Male | 37 weeks | 2700 g | Severe nRDS—advanced respiratory support (HFOV), prednisone, azithromycin, hydroxychloroquine treatment | Thoracic X-ray—ground glass homogeneous opacity | CPI pattern with lobular remodeling, prominent AEC II hyperplasia, focal PAP pattern, and extensive DIP-like areas; alveolar proteinosis | N/A | p.Arg280Cys (R280C, c.838C>T, rs201299260)/heterozygous/paternal origin | p.Gln233ter (Q233X, Q233*)heterozygous/maternal origin | SFTPB p.Val267Ile | No, healthy parents, one healthy sibling despite carrying p.Gln233ter and SFTPB p.Val267Ile variants | Died at 77 days of life | Current case report |
| Pros | Cons | |
|---|---|---|
| Clinical aspects | R280C mutations were reported in association with neonatal RDS and ILD, with the clinical picture and course suggestive of surfactant metabolism dysfunction [62,64,65,67,69,113]. | Variable phenotype, usually in association with other mutations, with survival varying between 2 days and over 25 years [69]; severe phenotype was associated in 4 out of the 10 cases reported in the literature (Table 1). |
| In vitro experiments | R280C mutations result in folding and trafficking defects, increased endoplasmic reticulum stress, and apoptosis induction in lung epithelial cells in vitro [91]. | In vitro experiments cannot accurately represent biological functions [86]. Functional impact on ABCA3 protein is less important as compared to other ABCA3 mutations [69]. |
| DNA analysis | Mutations reported are associated with respiratory disease in the subjects [62,64,65,67,69,113]. | Most reported disease-inducing variants are associated with other mutations in ABCA3 or SFTPB genes, with some of these known as pathogenic (ex. Q1589X) [65]; co-occurrence with these mutations may suggest that R280C is a benign variant. Incomplete genetic testing in some patients (for example, Somaschini et al., 2007) [62]. |
| Estimated allele frequency in the population | Rare; suggestive of pathogenicity (surfactant metabolic dysfunction produced by ABCA3 mutations) [114]. | Frequency higher than for other mutations causing ABCA3 deficiency, not offering unequivocal evidence for pathogenicity [60]. |
| Computational predictive tools and conservational analysis | Most indicate a damaging effect of the mutation on ABCA3 protein [60]. Calibrated prediction (examples): mutation assessor—pathogenic moderate; score: 3.515; DANN—pathogenic supporting; score: 0.9994; SIFT4G—pathogenic supporting; score: 0.002, 0.002 [60]. | Insufficient power for predicting pathogenicity: Calibrated prediction (examples); SIFT—uncertain; score: 0.002, 0.002; MutationTaster—uncertain; score: 1.1 [60]. Laboratories reporting the variant through submitted clinical-significance assessments without evidence of independent evaluation. Bioinformatic prediction tools do not determine and/or exclude pathogenicity [115,116]. Most of the current prediction algorithms have a 65–80% predictive accuracy for known pathogenic variants and a tendency for low specificity [117]. Predictive bioinformatics seems insufficient for defining the pathogenicity of ABCA3 deficiencies [53,110]. |
Disclaimer/Publisher’s Note: The statements, opinions and data contained in all publications are solely those of the individual author(s) and contributor(s) and not of MDPI and/or the editor(s). MDPI and/or the editor(s) disclaim responsibility for any injury to people or property resulting from any ideas, methods, instructions or products referred to in the content. |
© 2024 by the authors. Licensee MDPI, Basel, Switzerland. This article is an open access article distributed under the terms and conditions of the Creative Commons Attribution (CC BY) license (https://creativecommons.org/licenses/by/4.0/).
Share and Cite
Ognean, M.L.; Anciuc-Crauciuc, M.; Galiș, R.; Stepan, A.-E.; Stepan, M.D.; Bănescu, C.; Grosu, F.; Kramer, B.W.; Cucerea, M. ABCA3 c.838C>T (p.Arg280Cys, R280C) and c.697C>T (p.Gln233Ter, Q233X, Q233*) as Causative Variants for RDS: A Family Case Study and Literature Review. Biomedicines 2024, 12, 2390. https://doi.org/10.3390/biomedicines12102390
Ognean ML, Anciuc-Crauciuc M, Galiș R, Stepan A-E, Stepan MD, Bănescu C, Grosu F, Kramer BW, Cucerea M. ABCA3 c.838C>T (p.Arg280Cys, R280C) and c.697C>T (p.Gln233Ter, Q233X, Q233*) as Causative Variants for RDS: A Family Case Study and Literature Review. Biomedicines. 2024; 12(10):2390. https://doi.org/10.3390/biomedicines12102390
Chicago/Turabian StyleOgnean, Maria Livia, Mădălina Anciuc-Crauciuc, Radu Galiș, Alex-Emilian Stepan, Mioara Desdemona Stepan, Claudia Bănescu, Florin Grosu, Boris W. Kramer, and Manuela Cucerea. 2024. "ABCA3 c.838C>T (p.Arg280Cys, R280C) and c.697C>T (p.Gln233Ter, Q233X, Q233*) as Causative Variants for RDS: A Family Case Study and Literature Review" Biomedicines 12, no. 10: 2390. https://doi.org/10.3390/biomedicines12102390
APA StyleOgnean, M. L., Anciuc-Crauciuc, M., Galiș, R., Stepan, A.-E., Stepan, M. D., Bănescu, C., Grosu, F., Kramer, B. W., & Cucerea, M. (2024). ABCA3 c.838C>T (p.Arg280Cys, R280C) and c.697C>T (p.Gln233Ter, Q233X, Q233*) as Causative Variants for RDS: A Family Case Study and Literature Review. Biomedicines, 12(10), 2390. https://doi.org/10.3390/biomedicines12102390

