Prognostic Impact of H19/Cell Adhesion Molecules Circuitry on Prostate Cancer Biopsy
Abstract
1. Introduction
2. Materials Methods
2.1. Antibodies
2.2. Ethics Approval and Consent to Participate
2.3. Data Set Biopsy
2.4. Histological Analysis
2.5. RNA Extraction, cDNA Preparation, Real-Time PCR, and Droplet Digital PCR
2.6. Statistical Analysis
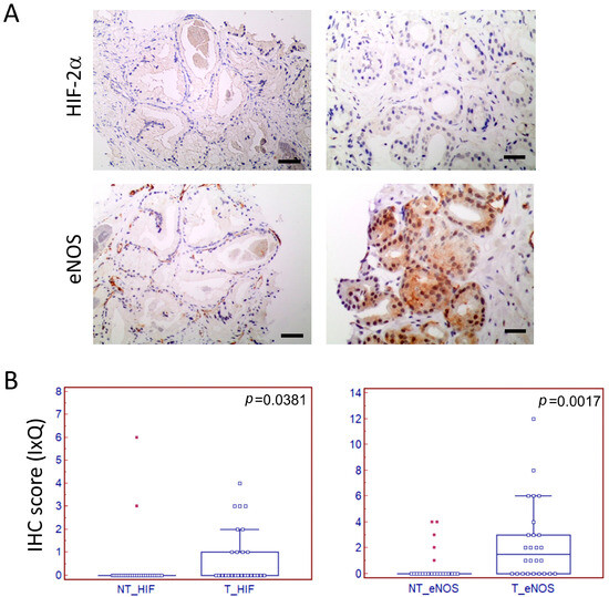
3. Results
Evaluation of H19/Cell Adhesion Molecules Circuitry on PCa Biopsies as Prognostic Markers


4. Discussion
Supplementary Materials
Author Contributions
Funding
Institutional Review Board Statement
Informed Consent Statement
Data Availability Statement
Acknowledgments
Conflicts of Interest
List of Abbreviations
| ADT | androgen-deprivation therapy |
| CRPC | castration-resistant prostate cancer |
| EMT | epithelial-to-mesenchymal transition |
| eNOS | endothelial Nitric Oxide Synthase |
| ER | epitope retrieval |
| H&E | Hematoxylin and Eosin staining |
| HIF-2a | Hypoxia-Inducible Factor 2 Alpha |
| lncRNA | long noncoding RNA |
| MVA | multivariate analysis |
| NGS | next-generation sequencing |
| PCa | prostate cancer |
| PSA | prostate-specific antigen |
| UVA | univariate analysis |
References
- Sung, H.; Ferlay, J.; Siegel, R.L.; Laversanne, M.; Soerjomataram, I.; Jemal, A.; Bray, F. Global Cancer Statistics 2020: GLOBOCAN Estimates of Incidence and Mortality Worldwide for 36 Cancers in 185 Countries. CA Cancer J. Clin. 2021, 71, 209–249. [Google Scholar] [CrossRef] [PubMed]
- Siegel, R.L.; Miller, K.D.; Fuchs, H.E.; Jemal, A. Cancer Statistics, 2022. CA Cancer J. Clin. 2022, 72, 7–33. [Google Scholar] [CrossRef]
- Freedland, S.J.; Humphreys, E.B.; Mangold, L.A.; Eisenberger, M.; Dorey, F.J.; Walsh, P.C.; Partin, A.W. Risk of Prostate Cancer-Specific Mortality Following Biochemical Recurrence after Radical Prostatectomy. JAMA 2005, 294, 433–439. [Google Scholar] [CrossRef]
- Manna, F.L.; Karkampouna, S.; Zoni, E.; De Menna, M.; Hensel, J.; Thalmann, G.N.; Kruithof-de Julio, M. Metastases in Prostate Cancer. Cold Spring Harb. Perspect. Med. 2019, 9, a033688. [Google Scholar] [CrossRef] [PubMed]
- Desai, M.M.; Cacciamani, G.E.; Gill, K.; Zhang, J.; Liu, L.; Abreu, A.; Gill, I.S. Trends in Incidence of Metastatic Prostate Cancer in the US. JAMA Netw. Open 2022, 5, e222246. [Google Scholar] [CrossRef] [PubMed]
- Williams, I.S.; McVey, A.; Perera, S.; O’Brien, J.S.; Kostos, L.; Chen, K.; Siva, S.; Azad, A.A.; Murphy, D.G.; Kasivisvanathan, V.; et al. Modern Paradigms for Prostate Cancer Detection and Management. Med. J. Aust. 2022, 217, 424–433. [Google Scholar] [CrossRef] [PubMed]
- Nordström, T.; Vickers, A.; Assel, M.; Lilja, H.; Grönberg, H.; Eklund, M. Comparison Between the Four-Kallikrein Panel and Prostate Health Index for Predicting Prostate Cancer. Eur. Urol. 2015, 68, 139–146. [Google Scholar] [CrossRef]
- Lendínez-Cano, G.; Ojeda-Claro, A.V.; Gómez-Gómez, E.; Morales Jimenez, P.; Flores Martin, J.; Dominguez, J.F.; Amores, J.; Cozar, J.M.; Bachiller, J.; Juárez, A.; et al. Prospective Study of Diagnostic Accuracy in the Detection of High-Grade Prostate Cancer in Biopsy-Naïve Patients with Clinical Suspicion of Prostate Cancer Who Underwent the Select MDx Test. Prostate 2021, 81, 857–865. [Google Scholar] [CrossRef]
- Van Neste, L.; Hendriks, R.J.; Dijkstra, S.; Trooskens, G.; Cornel, E.B.; Jannink, S.A.; de Jong, H.; Hessels, D.; Smit, F.P.; Melchers, W.J.G.; et al. Detection of High-Grade Prostate Cancer Using a Urinary Molecular Biomarker-Based Risk Score. Eur. Urol. 2016, 70, 740–748. [Google Scholar] [CrossRef]
- Drost, F.-J.H.; Osses, D.F.; Nieboer, D.; Steyerberg, E.W.; Bangma, C.H.; Roobol, M.J.; Schoots, I.G. Prostate MRI, with or without MRI-Targeted Biopsy, and Systematic Biopsy for Detecting Prostate Cancer. Cochrane Database Syst. Rev. 2019, 4, CD012663. [Google Scholar] [CrossRef]
- Oerther, B.; Engel, H.; Bamberg, F.; Sigle, A.; Gratzke, C.; Benndorf, M. Cancer Detection Rates of the PI-RADSv2.1 Assessment Categories: Systematic Review and Meta-Analysis on Lesion Level and Patient Level. Prostate Cancer Prostatic Dis. 2022, 25, 256–263. [Google Scholar] [CrossRef] [PubMed]
- Epstein, J.I.; Egevad, L.; Amin, M.B.; Delahunt, B.; Srigley, J.R.; Humphrey, P.A.; Grading Committee. The 2014 International Society of Urological Pathology (ISUP) Consensus Conference on Gleason Grading of Prostatic Carcinoma: Definition of Grading Patterns and Proposal for a New Grading System. Am. J. Surg. Pathol. 2016, 40, 244–252. [Google Scholar] [CrossRef] [PubMed]
- Fiorentino, V.; Martini, M.; Dell’Aquila, M.; Musarra, T.; Orticelli, E.; Larocca, L.M.; Rossi, E.; Totaro, A.; Pinto, F.; Lenci, N.; et al. Histopathological Ratios to Predict Gleason Score Agreement between Biopsy and Radical Prostatectomy. Diagnostics 2020, 11, 10. [Google Scholar] [CrossRef] [PubMed]
- Cheng, L.; Montironi, R.; Bostwick, D.G.; Lopez-Beltran, A.; Berney, D.M. Staging of Prostate Cancer. Histopathology 2012, 60, 87–117. [Google Scholar] [CrossRef]
- Humphrey, P.A. Histopathology of Prostate Cancer. Cold Spring Harb. Perspect. Med. 2017, 7, a030411. [Google Scholar] [CrossRef]
- Borz, M.B.; Schitcu, V.H.; Fetica, B.; Borz, O.C.; Couți, R.; Cojocaru, I.; Coman, I. Impact of Immunohistochemical Biomarkers on Predicting the Risk of Biochemical Recurrence for Patients That Underwent Radical Prostatectomy: A Literature Review. Arch. Esp. Urol. 2024, 77, 718–725. [Google Scholar] [CrossRef]
- Kohaar, I.; Petrovics, G.; Srivastava, S. A Rich Array of Prostate Cancer Molecular Biomarkers: Opportunities and Challenges. Int. J. Mol. Sci. 2019, 20, 1813. [Google Scholar] [CrossRef]
- Salvi, M.; Manini, C.; López, J.I.; Fenoglio, D.; Molinari, F. Deep Learning Approach for Accurate Prostate Cancer Identification and Stratification Using Combined Immunostaining of Cytokeratin, P63, and Racemase. Comput. Med. Imaging Graph. 2023, 109, 102288. [Google Scholar] [CrossRef]
- Yu, Z.; Chao, H.; Xu, F.; Deng, H.; Deng, L.; Song, Z.; Zeng, T. Identification of a Prognostic Biomarker Predicting Biochemical Recurrence and Construction of a Novel Nomogram for Prostate Cancer. Front. Oncol. 2023, 13, 1115718. [Google Scholar] [CrossRef] [PubMed]
- Harryman, W.L.; Marr, K.D.; Hernandez-Cortes, D.; Nagle, R.B.; Garcia, J.G.N.; Cress, A.E. Cohesive Cancer Invasion of the Biophysical Barrier of Smooth Muscle. Cancer Metastasis Rev. 2021, 40, 205–219. [Google Scholar] [CrossRef] [PubMed]
- Nanni, S.; Narducci, M.; Della Pietra, L.; Moretti, F.; Grasselli, A.; De Carli, P.; Sacchi, A.; Pontecorvi, A.; Farsetti, A. Signaling through Estrogen Receptors Modulates Telomerase Activity in Human Prostate Cancer. J. Clin. Investig. 2002, 110, 219–227. [Google Scholar] [CrossRef] [PubMed]
- Nanni, S.; Priolo, C.; Grasselli, A.; D’Eletto, M.; Merola, R.; Moretti, F.; Gallucci, M.; De Carli, P.; Sentinelli, S.; Cianciulli, A.M.; et al. Epithelial-Restricted Gene Profile of Primary Cultures from Human Prostate Tumors: A Molecular Approach to Predict Clinical Behavior of Prostate Cancer. Mol. Cancer Res. 2006, 4, 79–92. [Google Scholar] [CrossRef] [PubMed][Green Version]
- Nanni, S.; Benvenuti, V.; Grasselli, A.; Priolo, C.; Aiello, A.; Mattiussi, S.; Colussi, C.; Lirangi, V.; Illi, B.; D’Eletto, M.; et al. Endothelial NOS, Estrogen Receptor Beta, and HIFs Cooperate in the Activation of a Prognostic Transcriptional Pattern in Aggressive Human Prostate Cancer. J. Clin. Investig. 2009, 119, 1093–1108. [Google Scholar] [CrossRef]
- Bacci, L.; Aiello, A.; Ripoli, C.; Loria, R.; Pugliese, D.; Pierconti, F.; Rotili, D.; Strigari, L.; Pinto, F.; Bassi, P.F.; et al. H19-Dependent Transcriptional Regulation of Β3 and Β4 Integrins Upon Estrogen and Hypoxia Favors Metastatic Potential in Prostate Cancer. Int. J. Mol. Sci. 2019, 20, 4012. [Google Scholar] [CrossRef] [PubMed]
- Pecci, V.; Troisi, F.; Aiello, A.; De Martino, S.; Carlino, A.; Fiorentino, V.; Ripoli, C.; Rotili, D.; Pierconti, F.; Martini, M.; et al. Targeting of H19/Cell Adhesion Molecules Circuitry by GSK-J4 Epidrug Inhibits Metastatic Progression in Prostate Cancer. Cancer Cell Int. 2024, 24, 56. [Google Scholar] [CrossRef] [PubMed]
- Harryman, W.L.; Hinton, J.P.; Rubenstein, C.P.; Singh, P.; Nagle, R.B.; Parker, S.J.; Knudsen, B.S.; Cress, A.E. The Cohesive Metastasis Phenotype in Human Prostate Cancer. Biochim. Biophys. Acta (BBA) Rev. Cancer 2016, 1866, 221–231. [Google Scholar] [CrossRef]
- Janiszewska, M.; Primi, M.C.; Izard, T. Cell Adhesion in Cancer: Beyond the Migration of Single Cells. J. Biol. Chem. 2020, 295, 2495–2505. [Google Scholar] [CrossRef]
- Wilkinson, E.J.; Woodworth, A.M.; Parker, M.; Phillips, J.L.; Malley, R.C.; Dickinson, J.L.; Holloway, A.F. Epigenetic Regulation of the ITGB4 Gene in Prostate Cancer. Exp. Cell Res. 2020, 392, 112055. [Google Scholar] [CrossRef]
- Rubenstein, C.S.; Gard, J.M.C.; Wang, M.; McGrath, J.E.; Ingabire, N.; Hinton, J.P.; Marr, K.D.; Simpson, S.J.; Nagle, R.B.; Miranti, C.K.; et al. Gene Editing of A6 Integrin Inhibits Muscle Invasive Networks and Increases Cell-Cell Biophysical Properties in Prostate Cancer. Cancer Res. 2019, 79, 4703–4714. [Google Scholar] [CrossRef]
- Børretzen, A.; Gravdal, K.; Haukaas, S.A.; Beisland, C.; Akslen, L.A.; Halvorsen, O.J. FOXC2 Expression and Epithelial-Mesenchymal Phenotypes Are Associated with Castration Resistance, Metastasis and Survival in Prostate Cancer. J. Pathol. Clin. Res. 2019, 5, 272–286. [Google Scholar] [CrossRef]
- Pavlakis, D.; Kampantais, S.; Gkagkalidis, K.; Gourvas, V.; Memmos, D.; Tsionga, A.; Dimitriadis, G.; Vakalopoulos, I. Hypoxia-Inducible Factor 2a Expression Is Positively Correlated With Gleason Score in Prostate Cancer. Technol. Cancer Res. Treat. 2021, 20, 153303382199001. [Google Scholar] [CrossRef] [PubMed]
- Gkagkalidis, K.; Kampantais, S.; Dimitriadis, G.; Gourvas, V.; Kapoukranidou, D.; Mironidou-Tzouveleki, M. Expression of HIF-2a in Clear-Cell Renal Cell Carcinoma Independently Predicts Overall Survival. Med. Mol. Morphol. 2020, 53, 229–237. [Google Scholar] [CrossRef]
- Ortega, M.A.; Fraile-Martinez, O.; Pekarek, L.; García-Montero, C.; Alvarez-Mon, M.A.; Castellanos, A.J.; García-Honduvilla, N.; Buján, J.; Alvarez-Mon, M.; Sáez, M.A.; et al. Oxidative Stress Markers Are Associated with a Poor Prognosis in Patients with Pancreatic Cancer. Antioxidants 2022, 11, 759. [Google Scholar] [CrossRef]
- Ledesma-Bazan, S.; Cascardo, F.; Bizzotto, J.; Olszevicki, S.; Vazquez, E.; Gueron, G.; Cotignola, J. Predicting Prostate Cancer Progression with a Multi-lncRNA Expression-Based Risk Score and Nomogram Integrating ISUP Grading. Non-Coding RNA Res. 2024, 9, 612–623. [Google Scholar] [CrossRef]
- Beylerli, O.; Gareev, I.; Sufianov, A.; Ilyasova, T.; Guang, Y. Long Noncoding RNAs as Promising Biomarkers in Cancer. Non-Coding RNA Res. 2022, 7, 66–70. [Google Scholar] [CrossRef]
- Li, Y.; Tang, X.; Wang, B.; Chen, M.; Zheng, J.; Chang, K. Current Landscape of Exosomal Non-Coding RNAs in Prostate Cancer: Modulators and Biomarkers. Non-Coding RNA Res. 2024, 9, 1351–1362. [Google Scholar] [CrossRef] [PubMed]
- Li, H.; Wang, X.; Wu, H.; Wang, W.; Zheng, A.; Zhu, J.; Liang, L.; Sun, H.; Lu, L.; Lv, J.; et al. Simultaneous Noninvasive Ultrasensitive Detection of Prostate Specific Antigen and lncRNA PCA3 Using Multiplexed Dual Optical Microfibers with Strong Plasmonic Nanointerfaces. Biosens. Bioelectron. 2024, 264, 116672. [Google Scholar] [CrossRef] [PubMed]
- Kato, T.; Kawakami, K.; Mizutani, K.; Ando, T.; Sakai, Y.; Sakurai, K.; Toyota, S.; Ehara, H.; Ito, H.; Ito, M. H19 in Serum Extracellular Vesicles Reflects Resistance to AR Axis-Targeted Therapy Among CRPC Patients. Cancer Genom. Proteom. 2023, 20, 456–468. [Google Scholar] [CrossRef]
- Ergün, M.; İslamoğlu, E.; Yalçınkaya, S.; Tokgöz, H.; Savaş, M. Does Length of Prostate Biopsy Cores Have an Impact on Diagnosis of Prostate Cancer? Turk. J. Urol. 2016, 42, 130–133. [Google Scholar] [CrossRef]
- Montironi, R.; Mazzucchelli, R.; Kwast, T. Morphological Assessment of Radical Prostatectomy Specimens. A Protocol with Clinical Relevance. Virchows Arch. 2003, 442, 211–217. [Google Scholar] [CrossRef]
- Amin, M.B.; Greene, F.L.; Edge, S.B.; Compton, C.C.; Gershenwald, J.E.; Brookland, R.K.; Meyer, L.; Gress, D.M.; Byrd, D.R.; Winchester, D.P. The Eighth Edition AJCC Cancer Staging Manual: Continuing to Build a Bridge from a Population-Based to a More “Personalized” Approach to Cancer Staging. CA Cancer J. Clin. 2017, 67, 93–99. [Google Scholar] [CrossRef] [PubMed]
- Possieri, C.; Locantore, P.; Salis, C.; Bacci, L.; Aiello, A.; Fadda, G.; De Crea, C.; Raffaelli, M.; Bellantone, R.; Grassi, C.; et al. Combined Molecular and Mathematical Analysis of Long Noncoding RNAs Expression in Fine Needle Aspiration Biopsies as Novel Tool for Early Diagnosis of Thyroid Cancer. Endocrine 2021, 72, 711–720. [Google Scholar] [CrossRef]
- Venkatraman, E.S.; Begg, C.B. A Distribution-Free Procedure for Comparing Receiver Operating Characteristic Curves from a Paired Experiment. Biometrika 1996, 83, 835–848. [Google Scholar] [CrossRef]
- Singh, J.; Thachil, T.; Eapen, M.S.; Lim, A.; Sufyan, W.; Rawson, R.; Duncan, H.; De Ieso, P.; Sohal, S.S. Immunohistochemical Investigation of Cytokine Expression Levels as Biomarkers in Transrectal Ultrasound-Guided Needle Biopsy Specimens of Prostate Adenocarcinoma. Mol. Clin. Oncol. 2021, 15, 191. [Google Scholar] [CrossRef]
- Lin, C.-Y.; Chuu, C.-P. Friend or Foe: Role of E-Cadherin in Prostate Cancer Metastasis. Transl. Androl. Urol. 2016, 5, 961–963. [Google Scholar] [CrossRef] [PubMed]
- Lin, K.; Zhao, Y.; Xu, B.; Yu, S.; Fu, Z.; Zhang, Y.; Wang, H.; Song, J.; Fan, M.; Zhou, Y.; et al. Clinical Diagnostic Performance of Droplet Digital PCR for Suspected Bloodstream Infections. Microbiol. Spectr. 2023, 11, e01378-22. [Google Scholar] [CrossRef]
- Neefs, I.; De Meulenaere, N.; Vanpoucke, T.; Vandenhoeck, J.; Peeters, D.; Peeters, M.; Van Camp, G.; Op De Beeck, K. Simultaneous Detection of Eight Cancer Types Using a Multiplex Droplet Digital PCR Assay. Mol. Oncol. 2024; early view. [Google Scholar] [CrossRef]
- Zhang, J.; Pan, Y.; Liu, L.; Xu, Y.; Zhao, C.; Liu, W.; Rao, L. Genetically Edited Cascade Nanozymes for Cancer Immunotherapy. ACS Nano 2024, 18, 12295–12310. [Google Scholar] [CrossRef]
- Masarwy, R.; Stotsky-Oterin, L.; Elisha, A.; Hazan-Halevy, I.; Peer, D. Delivery of Nucleic Acid Based Genome Editing Platforms via Lipid Nanoparticles: Clinical Applications. Adv. Drug Deliv. Rev. 2024, 211, 115359. [Google Scholar] [CrossRef]
| PCa Patients | Age | PSA (ng/mL) | Pathologic Gleason Score | Pathologic Stage | Recurrence | Time of Recurrence (Months) |
|---|---|---|---|---|---|---|
| PCa#1 | 66 | 11.98 | 7 (4 + 3) | pT2c pNx pMx | - | |
| PCa#2 | 58 | 5 | 7 (3 + 4) | pT2c pNx pMx | - | |
| PCa#4 | 56 | 2.15 | 7 (4 + 3) | pT3a pN0 pMx | yes | 4 |
| PCa#7 | 69 | 4.72 | 7 (4 + 3) | pT3b pN0 pMx | yes | 6 |
| PCa#8 | 71 | 14 | 7 (3 + 4) | pT2c pNx pMx | - | |
| PCa#9 | 69 | 18.5 | 7 (3 + 4) | pT3a pN0 pMx | yes | 12 |
| PCa#10 | 75 | 10.25 | 7 (3 + 4) | pT2c pNx pMx | yes | 36 |
| PCa#12 | 64 | 1.79 | 7 (3 + 4) | pT2c pNx pMx | - | |
| PCa#13 | 55 | 6.12 | 6 (3 + 3) | pT2 pNx pMx | - | |
| PCa#14 | 69 | 7.36 | 6 (3 + 3) | pT2c pNx pMx | - | |
| PCa#15 | 60 | 5.9 | 7 (4 + 3) | pT2c pN0 pMx | - | |
| PCa#16 | 67 | 7.9 | 7 (3 + 4) | pT2a pNx pMx | - | |
| PCa#18 | 74 | 6.2 | 7 (4 + 3) | pT2c pN0 pMx | - | |
| PCa#20 | 75 | 4.88 | 7 (3 + 4) | pT3a pN0 pMx | - | |
| PCa#23 | 75 | 6.3 | 7 (4 + 3) | pT2c pNx pMx | yes | 4 |
| PCa#31 | 75 | 16.5 | 7 (3 + 4) | pT2c pN0 pMx | - | |
| PCa#33 | 63 | 5.36 | 7 (3 + 4) | pT2c pNx pMx | - | |
| PCa#34 | 70 | 18.04 | 7 (3 + 4) | pT2c pN0 pMx | - | |
| PCa#35 | 68 | 5.75 | 7 (4 + 3) | pT3b pN0 pMx | yes | 7 |
| PCa#36 | 63 | 14 | 7 (3 + 4) | pT2c pN0 pMx | - | |
| PCa#40 | 74 | 8.4 | 7 (3 + 4) | pT2c pNx pMx | - | |
| PCa#41 | 69 | 6 | 7 (4 + 3) | pT2c pNx pMx | yes | 7 |
| PCa#42 | 78 | 15 | 7 (4 + 3) | pT3a pNx pMx | - | |
| PCa#43 | 67 | 5.5 | 7 (3 + 4) | pT2c pN0 pMx | - | |
| PCa#44 | 67 | 13.5 | 7 (4 + 3) | pT2c pN0 pMx | - | |
| PCa#45 | 69 | 11.3 | 9 (4 + 5) | pT3b pN0 pMx | yes | 8 |
| PCa#46 | 70 | 8.68 | 7 (3 + 4) | pT2c pN0 pMx | - | |
| PCa#48 | 61 | 18 | 7 (4 + 3) | pT3a pN0 pMx | - | |
| PCa#49 | 65 | 6.6 | 7 (4 + 3) | pT2c pN0 pMx | - | |
| PCa#50 | 50 | 11 | 7 (3 + 4) | pT2c pNx pMx | - |
| Analysis | Variable (Cut-Off) | AUC (95% CI); p |
|---|---|---|
| Univariate | bGS (≥4 + 3) | 0.602 (0.408–0.775); p = 0.401 |
| pGS (≥4 + 3) | 0.716 (0.523–0.864); p= 0.059 | |
| PSA (≥6.3) | 0.568 (0.376–0.747); p = 0.561 | |
| eNOS (>1) | 0.853 (0.654–0.96); p = 0.001 | |
| HIF-2a (>0) | 0.610 (0.397–0.797); p = 0.355 | |
| b4 integrin (>4) | 0.693 (0.499–0.847); p = 0.097 | |
| H19 (≤1.1392) | 0.614 (0.149–0.784); p = 0.349 | |
| CDH1 (≥0.0051) | 0.636 (0.442–0.803); p = 0.218 | |
| Multivariate | BioScore § (≥3) | 0.801 (0.616–0.923); p = 0.003 |
Disclaimer/Publisher’s Note: The statements, opinions and data contained in all publications are solely those of the individual author(s) and contributor(s) and not of MDPI and/or the editor(s). MDPI and/or the editor(s) disclaim responsibility for any injury to people or property resulting from any ideas, methods, instructions or products referred to in the content. |
© 2024 by the authors. Licensee MDPI, Basel, Switzerland. This article is an open access article distributed under the terms and conditions of the Creative Commons Attribution (CC BY) license (https://creativecommons.org/licenses/by/4.0/).
Share and Cite
Pecci, V.; Pierconti, F.; Carlino, A.; Pinto, F.; Gradilone, U.; De Martino, S.; Rotili, D.; Grassi, C.; Pontecorvi, A.; Gaetano, C.; et al. Prognostic Impact of H19/Cell Adhesion Molecules Circuitry on Prostate Cancer Biopsy. Biomedicines 2024, 12, 2322. https://doi.org/10.3390/biomedicines12102322
Pecci V, Pierconti F, Carlino A, Pinto F, Gradilone U, De Martino S, Rotili D, Grassi C, Pontecorvi A, Gaetano C, et al. Prognostic Impact of H19/Cell Adhesion Molecules Circuitry on Prostate Cancer Biopsy. Biomedicines. 2024; 12(10):2322. https://doi.org/10.3390/biomedicines12102322
Chicago/Turabian StylePecci, Valeria, Francesco Pierconti, Angela Carlino, Francesco Pinto, Ugo Gradilone, Sara De Martino, Dante Rotili, Claudio Grassi, Alfredo Pontecorvi, Carlo Gaetano, and et al. 2024. "Prognostic Impact of H19/Cell Adhesion Molecules Circuitry on Prostate Cancer Biopsy" Biomedicines 12, no. 10: 2322. https://doi.org/10.3390/biomedicines12102322
APA StylePecci, V., Pierconti, F., Carlino, A., Pinto, F., Gradilone, U., De Martino, S., Rotili, D., Grassi, C., Pontecorvi, A., Gaetano, C., Strigari, L., Farsetti, A., & Nanni, S. (2024). Prognostic Impact of H19/Cell Adhesion Molecules Circuitry on Prostate Cancer Biopsy. Biomedicines, 12(10), 2322. https://doi.org/10.3390/biomedicines12102322

