Antitumor Effect of Berberine Analogs in a Canine Mammary Tumor Cell Line and in Zebrafish Reporters via Wnt/β-Catenin and Hippo Pathways
Abstract
1. Introduction
2. Materials and Methods
2.1. Chemicals
2.2. Cell Culture and Drug Treatment
2.3. Cell Viability Assay
2.4. Quantification of Necrosis/Apoptosis by Flow Cytometry
2.5. Protein Extraction and Western Blot Analysis on CF33 Cells
2.6. RT-PCR and Semi-Quantitative PCR
2.7. Gel Electrophoresis, Acquisition of Gel Images and Quantitative Analysis
2.8. Ethics Statements
2.9. Zebrafish Housing and Maintenance
2.10. Zebrafish Tg(7xTCF-Xla.-Siam:mCherry) and Tg(Hsa.CTGF:mCherry) Transgenic Lines
2.11. LD50
2.12. In Vivo Drug Treatments
2.13. Microscopy and Image Acquisition
2.14. Statistical Analysis
3. Results
3.1. BBR, BRR, and Analogs Induce a Dose-Dependent Inhibition of Tumor Cell Viability
3.2. Induction of Necrosis/Apoptosis in Canine Mammary Tumor Cells by BBR Analogs
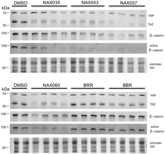
3.3. NAX035, NAX053, NAX057, and NAX060 Induce a Down-regulation of Wnt/β-Catenin and an Activation of the Hippo Signaling Pathways in CF33 Cells
3.4. BBR and NAX057 Reduce the Activity of Wnt/β-Catenin and Activate Hippo Signaling Pathways in Zebrafish Embryos
4. Discussion
5. Conclusions
Supplementary Materials
Author Contributions
Funding
Institutional Review Board Statement
Informed Consent Statement
Data Availability Statement
Conflicts of Interest
References
- Siegel, R.; Miller, K.D.; Fuchs, H.E.; Jemal, A. Cancer Statistics, 2022. CA Cancer J. Clin. 2022, 72, 7–33. [Google Scholar] [CrossRef]
- Saeg, F.; Anbalagan, M. Breast Cancer Stem Cells and the Challenges of Eradication: A Review of Novel Therapies. Stem Cell Investig. 2018, 5, 39. [Google Scholar] [CrossRef] [PubMed]
- Kim, J.B.; O’Hare, M.J.; Stein, R. Models of Breast Cancer: Is Merging Human and Animal Models the Future? Breast Cancer Res. 2004, 6, 22–30. [Google Scholar] [CrossRef] [PubMed]
- Mondal, P.; Bailey, K.L.; Cartwright, S.B.; Band, V.; Carlson, M.A. Large Animal Models of Breast Cancer. Front. Oncol. 2022, 12, 788038. [Google Scholar] [CrossRef] [PubMed]
- Rao, N.a.S.; van Wolferen, M.E.; van den Ham, R.; van Leenen, D.; Groot Koerkamp, M.J.A.; Holstege, F.C.P.; Mol, J.A. CDNA Microarray Profiles of Canine Mammary Tumour Cell Lines Reveal Deregulated Pathways Pertaining to Their Phenotype. Anim. Genet. 2008, 39, 333–345. [Google Scholar] [CrossRef] [PubMed]
- Valdivia, G.; Alonso-Diez, Á.; Pérez-Alenza, D.; Peña, L. From Conventional to Precision Therapy in Canine Mammary Cancer: A Comprehensive Review. Front. Vet. Sci. 2021, 8, 623800. [Google Scholar] [CrossRef] [PubMed]
- Abadie, J.; Nguyen, F.; Loussouarn, D.; Peña, L.; Gama, A.; Rieder, N.; Belousov, A.; Bemelmans, I.; Jaillardon, L.; Ibisch, C.; et al. Canine Invasive Mammary Carcinomas as Models of Human Breast Cancer. Part 2: Immunophenotypes and Prognostic Significance. Breast Cancer Res. Treat. 2018, 167, 459–468. [Google Scholar] [CrossRef]
- Lee, K.-H.; Park, H.-M.; Son, K.-H.; Shin, T.-J.; Cho, J.-Y. Transcriptome Signatures of Canine Mammary Gland Tumors and Its Comparison to Human Breast Cancers. Cancers 2018, 10, 317. [Google Scholar] [CrossRef]
- Jeong, S.-J.; Lee, K.-H.; Nam, A.-R.; Cho, J.-Y. Genome-Wide Methylation Profiling in Canine Mammary Tumor Reveals MiRNA Candidates Associated with Human Breast Cancer. Cancers 2019, 11, 1466. [Google Scholar] [CrossRef]
- Nasir, L.; Devlin, P.; Mckevitt, T.; Rutteman, G.; Argyle, D.J. Telomere Lengths and Telomerase Activity in Dog Tissues: A Potential Model System to Study Human Telomere and Telomerase Biology. Neoplasia 2001, 3, 351–359. [Google Scholar] [CrossRef]
- Meuten, D.J. Tumors in Domestic Animals, 5th ed.; John Wiley and Sons Inc.: Ames, IA, USA, 2017. [Google Scholar]
- Jaillardon, L.; Abadie, J.; Godard, T.; Campone, M.; Loussouarn, D.; Siliart, B.; Nguyen, F. The Dog as a Naturally-Occurring Model for Insulin-like Growth Factor Type 1 Receptor-Overexpressing Breast Cancer: An Observational Cohort Study. BMC Cancer 2015, 15, 664. [Google Scholar] [CrossRef] [PubMed]
- Restucci, B.; Maiolino, P.; Martano, M.; Esposito, G.; Filippis, D.D.E.; Borzacchiello, G.; Muzio, L.L.O. Expression of B-Catenin, E-Cadherin and APC in Canine Mammary Tumors. Anticancer Res. 2007, 27, 3083–3090. [Google Scholar] [PubMed]
- Yu, F.; Yu, C.; Li, F.; Zuo, Y.; Wang, Y.; Yao, L.; Wu, C.; Wang, C.; Ye, L. Wnt/β-Catenin Signaling in Cancers and Targeted Therapies. Signal Transduct. Target. Ther. 2021, 6, 307. [Google Scholar] [CrossRef] [PubMed]
- Wu, X.-L.; Lin, S.-G.; Mao, Y.-W.; Wu, J.-X.; Hu, C.-D.; Lv, R.; Zeng, H.-D.; Zhang, M.-H.; Lin, L.-Z.; Ouyang, S.-S.; et al. Wnt/β-Catenin Signalling Pathway in Breast Cancer Cells and Its Effect on Reversing Tumour Drug Resistance by Alkaloids Extracted from Traditional Chinese Medicine. Expert. Rev. Mol. Med. 2023, 25, e21. [Google Scholar] [CrossRef] [PubMed]
- Turashvili, G.; Bouchal, J.; Burkadze, G.; Kolar, Z. Wnt Signaling Pathway in Mammary Gland Development and Carcinogenesis. Pathobiology 2006, 73, 213–223. [Google Scholar] [CrossRef] [PubMed]
- Zappulli, V.; De Cecco, S.; Trez, D.; Caliari, D.; Aresu, L.; Castagnaro, M. Immunohistochemical Expression of E-Cadherin and β-Catenin in Feline Mammary Tumours. J. Comp. Pathol. 2012, 147, 161–170. [Google Scholar] [CrossRef] [PubMed]
- Aplin, A.E.; Howe, A.; Alahari, S.K.; Juliano, R.L. Signal Transduction and Signal Modulation by Cell Adhesion Receptors: The Role of Integrins, Cadherins, Immunoglobulin-Cell Adhesion Molecules, and Selectins. Pharmacol. Rev. 1998, 50, 197–263. [Google Scholar]
- Geyer, F.C.; Lacroix-Triki, M.; Savage, K.; Arnedos, M.; Lambros, M.B.; MacKay, A.; Natrajan, R.; Reis-Filho, J.S. Β-Catenin Pathway Activation in Breast Cancer Is Associated with Triple-Negative Phenotype but Not with CTNNB1 Mutation. Mod. Pathol. 2011, 24, 209–231. [Google Scholar] [CrossRef]
- Abreu de Oliveira, W.A.; El Laithy, Y.; Bruna, A.; Annibali, D.; Lluis, F. Wnt Signaling in the Breast: From Development to Disease. Front. Cell Dev. Biol. 2022, 10, 884467. [Google Scholar] [CrossRef]
- Hussain, S.; Saxena, S.; Shrivastava, S.; Mohanty, A.K.; Kumar, S.; Singh, R.J.; Kumar, A.; Wani, S.A.; Gandham, R.K.; Kumar, N.; et al. Gene Expression Profiling of Spontaneously Occurring Canine Mammary Tumours: Insight into Gene Networks and Pathways Linked to Cancer Pathogenesis. PLoS ONE 2018, 13, e0208656. [Google Scholar] [CrossRef]
- Yu, F.; Rasotto, R.; Zhang, H.; Pei, S.; Zhou, B.; Yang, X.; Jin, Y.; Zhang, D.; Lin, D. Evaluation of Expression of the Wnt Signaling Components. J. Vet. Sci. 2017, 18, 359–367. [Google Scholar] [CrossRef] [PubMed]
- Sammarco, A.; Gomiero, C.; Sacchetto, R.; Beffagna, G.; Michieletto, S.; Orvieto, E.; Cavicchioli, L.; Gelain, M.E.; Ferro, S.; Patruno, M.; et al. Wnt/β-Catenin and Hippo Pathway Deregulation in Mammary Tumors of Humans, Dogs, and Cats. Vet. Pathol. 2020, 57, 774–790. [Google Scholar] [CrossRef] [PubMed]
- Cordenonsi, M.; Zanconato, F.; Azzolin, L.; Forcato, M.; Rosato, A.; Frasson, C.; Inui, M.; Montagner, M.; Parenti, A.R.; Poletti, A.; et al. The Hippo Transducer TAZ Confers Cancer Stem Cell-Related Traits on Breast Cancer Cells. Cell 2011, 147, 759–772. [Google Scholar] [CrossRef] [PubMed]
- Liu, Q.; Liu, X.; Song, G. The Hippo Pathway: A Master Regulatory Network Important in Cancer. Cells 2021, 10, 1416. [Google Scholar] [CrossRef] [PubMed]
- Beffagna, G.; Sacchetto, R.; Cavicchioli, L.; Sammarco, A.; Mainenti, M.; Ferro, S.; Trez, D.; Zulpo, M.; Michieletto, S.; Cecchinato, A.; et al. A Preliminary Investigation of the Role of the Transcription Co-Activators YAP/TAZ of the Hippo Signalling Pathway in Canine and Feline Mammary Tumours. Vet. J. 2016, 207, 105–111. [Google Scholar] [CrossRef]
- Guillemette, S.; Rico, C.; Godin, P.; Boerboom, D.; Paquet, M. In Vitro Validation of the Hippo Pathway as a Pharmacological Target for Canine Mammary Gland Tumors. J. Mammary Gland. Biol. Neoplasia 2017, 22, 203–214. [Google Scholar] [CrossRef]
- Rico, C.; Boerboom, D.; Paquet, M. Expression of the Hippo Signalling Effectors YAP and TAZ in Canine Mammary Gland Hyperplasia and Malignant Transformation of Mammary Tumours. Vet. Comp. Oncol. 2018, 16, 630–635. [Google Scholar] [CrossRef]
- Wang, J.; Jiang, Y.-F. Natural Compounds as Anticancer Agents: Experimental Evidence. World J. Exp. Med. 2012, 2, 45–57. [Google Scholar] [CrossRef]
- Chen, X.-W.; Di, Y.M.; Zhang, J.; Zhou, Z.-W.; Li, C.G.; Zhou, S.-F. Interaction of Herbal Compounds with Biological Targets: A Case Study with Berberine. Sci. World J. 2012, 2012, 708292. [Google Scholar] [CrossRef]
- Cai, Z.; Wang, C.; Yang, W. Role of Berberine in Alzheimer’s Disease. Neuropsychiatr. Dis. Treat. 2016, 12, 2509–2520. [Google Scholar] [CrossRef]
- Chang, W. Non-Coding RNAs and Berberine: A New Mechanism of Its Anti-Diabetic Activities. Eur. J. Pharmacol. 2017, 795, 8–12. [Google Scholar] [CrossRef]
- Cicero, A.F.G.; Baggioni, A. Berberine and Its Role in Chronic Disease. Adv. Exp. Med. Biol. 2016, 928, 27–45. [Google Scholar] [CrossRef]
- Habtemariam, S. Berberine and Inflammatory Bowel Disease: A Concise Review. Pharmacol. Res. 2016, 113, 592–599. [Google Scholar] [CrossRef]
- Tillhon, M.; Guamán Ortiz, L.M.; Lombardi, P.; Scovassi, A.I. Berberine: New Perspectives for Old Remedies. Biochem. Pharmacol. 2012, 84, 1260–1267. [Google Scholar] [CrossRef]
- Pierpaoli, E.; Arcamone, A.G.; Buzzetti, F.; Lombardi, P.; Salvatore, C.; Provinciali, M. Antitumor Effect of Novel Berberine Derivatives in Breast Cancer Cells. Biofactors 2013, 39, 672–679. [Google Scholar] [CrossRef] [PubMed]
- Guamán Ortiz, L.M.; Lombardi, P.; Tillhon, M.; Scovassi, A.I. Berberine, an Epiphany Against Cancer. Molecules 2014, 19, 12349–12367. [Google Scholar] [CrossRef] [PubMed]
- Kim, S.; You, D.; Jeong, Y.; Yu, J.; Kim, S.W.; Nam, S.J.; Lee, J.E. Berberine Down-Regulates IL-8 Expression through Inhibition of the EGFR/MEK/ERK Pathway in Triple-Negative Breast Cancer Cells. Phytomedicine 2018, 50, 43–49. [Google Scholar] [CrossRef] [PubMed]
- Rauf, A.; Abu-Izneid, T.; Khalil, A.A.; Imran, M.; Shah, Z.A.; Emran, T.B.; Mitra, S.; Khan, Z.; Alhumaydhi, F.A.; Aljohani, A.S.M.; et al. Berberine as a Potential Anticancer Agent: A Comprehensive Review. Molecules 2021, 26, 7368. [Google Scholar] [CrossRef] [PubMed]
- Zhang, J.; Cao, H.; Zhang, B.; Cao, H.; Xu, X.; Ruan, H.; Yi, T.; Tan, L.; Qu, R.; Song, G.; et al. Berberine Potently Attenuates Intestinal Polyps Growth in ApcMin Mice and Familial Adenomatous Polyposis Patients through Inhibition of Wnt Signalling. J. Cell Mol. Med. 2013, 17, 1484–1493. [Google Scholar] [CrossRef] [PubMed]
- Pierpaoli, E.; Damiani, E.; Orlando, F.; Lucarini, G.; Bartozzi, B.; Lombardi, P.; Salvatore, C.; Geroni, C.; Donati, A.; Provinciali, M. Antiangiogenic and Antitumor Activities of Berberine Derivative NAX014 Compound in a Transgenic Murine Model of HER2/Neu-Positive Mammary Carcinoma. Carcinogenesis 2015, 36, 1169–1179. [Google Scholar] [CrossRef]
- Ponnusamy, L.; Kothandan, G.; Manoharan, R. Berberine and Emodin Abrogates Breast Cancer Growth and Facilitates Apoptosis through Inactivation of SIK3-Induced MTOR and Akt Signaling Pathway. Biochim. Biophys. Acta Mol. Basis Dis. 2020, 1866, 165897. [Google Scholar] [CrossRef] [PubMed]
- Sakaguchi, M.; Kitaguchi, D.; Morinami, S.; Kurashiki, Y.; Hashida, H.; Miyata, S.; Yamaguchi, M.; Sakai, M.; Murata, N.; Tanaka, S. Berberine-Induced Nucleolar Stress Response in a Human Breast Cancer Cell Line. Biochem. Biophys. Res. Commun. 2020, 528, 227–233. [Google Scholar] [CrossRef]
- Spinozzi, S.; Colliva, C.; Camborata, C.; Roberti, M.; Ianni, C.; Neri, F.; Calvarese, C.; Lisotti, A.; Mazzella, G.; Roda, A. Berberine and Its Metabolites: Relationship between Physicochemical Properties and Plasma Levels after Administration to Human Subjects. J. Nat. Prod. 2014, 77, 766–772. [Google Scholar] [CrossRef] [PubMed]
- Hoshi, A.; Ikekawa, T.; Ikeda, Y.; Shirakawa, S.; Iigo, M. Antitumor Activity of Berberrubine Derivatives. GANN Jpn. J. Cancer Res. 1976, 67, 321–325. [Google Scholar]
- Ikekawa, T.; Ikeda, Y. Antitumor Activity of 13-Methyl-Berberrubine Derivatives. J. Pharmacobiodyn 1982, 5, 469–474. [Google Scholar] [CrossRef] [PubMed]
- Kim, S.A.; Kwon, Y.; Kim, J.H.; Muller, M.T.; Chung, I.K. Induction of Topoisomerase II-Mediated DNA Cleavage by a Protoberberine Alkaloid, Berberrubine. Biochemistry 1998, 37, 16316–16324. [Google Scholar] [CrossRef] [PubMed]
- Khan, A.Y.; Saha, U.; Fiorillo, G.; Lombardi, P.; Kumar, G.S. Calorimetric Insights into the Interaction of Novel Berberrubine Derivatives with Human Telomeric G-Quadruplex DNA Sequence. J. Therm. Anal. Calorim. 2018, 132, 623–631. [Google Scholar] [CrossRef]
- Lombardi, P.; Buzzetti, F.; Arcamone, A.G. Benzoquinolizinium Salt Derivatives as Anticancer Agents 2011. US Patent 8,188,109, 29 May 2012. [Google Scholar]
- Albring, K.F.; Weidemüller, J.; Mittag, S.; Weiske, J.; Friedrich, K.; Geroni, M.C.; Lombardi, P.; Huber, O. Berberine Acts as a Natural Inhibitor of Wnt/β-Catenin Signaling—Identification of More Active 13-Arylalkyl Derivatives. Biofactors 2013, 39, 652–662. [Google Scholar] [CrossRef]
- Guamán Ortiz, L.M.; Tillhon, M.; Parks, M.; Dutto, I.; Prosperi, E.; Savio, M.; Arcamone, A.G.; Buzzetti, F.; Lombardi, P.; Scovassi, A.I. Multiple Effects of Berberine Derivatives on Colon Cancer Cells. Biomed. Res. Int. 2014, 2014, 924585. [Google Scholar] [CrossRef]
- Guamán Ortiz, L.M.; Croce, A.L.; Aredia, F.; Sapienza, S.; Fiorillo, G.; Syeda, T.M.; Buzzetti, F.; Lombardi, P.; Scovassi, A.I. Effect of New Berberine Derivatives on Colon Cancer Cells. Acta Biochim. Biophys. Sin. 2015, 47, 824–833. [Google Scholar] [CrossRef]
- Pierpaoli, E.; Fiorillo, G.; Lombardi, P.; Salvatore, C.; Geroni, C.; Piacenza, F.; Provinciali, M. Antitumor Activity of NAX060: A Novel Semisynthetic Berberine Derivative in Breast Cancer Cells. BioFactors 2018, 44, 443–452. [Google Scholar] [CrossRef] [PubMed]
- Abrams, S.L.; Follo, M.Y.; Steelman, L.S.; Lertpiriyapong, K.; Cocco, L.; Ratti, S.; Martelli, A.M.; Candido, S.; Libra, M.; Murata, R.M.; et al. Abilities of Berberine and Chemically Modified Berberines to Inhibit Proliferation of Pancreatic Cancer Cells. Adv. Biol. Regul. 2019, 71, 172–182. [Google Scholar] [CrossRef] [PubMed]
- Vishnoi, K.; Ke, R.; Saini, K.S.; Viswakarma, N.; Nair, R.S.; Das, S.; Chen, Z.; Rana, A.; Rana, B. Berberine Represses β-Catenin Translation Involving 4E-BPs in Hepatocellular Carcinoma Cells. Mol. Pharmacol. 2021, 99, 1–16. [Google Scholar] [CrossRef] [PubMed]
- Pierpaoli, E.; Piacenza, F.; Fiorillo, G.; Lombardi, P.; Orlando, F.; Salvatore, C.; Geroni, C.; Provinciali, M. Antimetastatic and Antitumor Activities of Orally Administered NAX014 Compound in a Murine Model of HER2-Positive Breast Cancer. Int. J. Mol. Sci. 2021, 22, 2653. [Google Scholar] [CrossRef] [PubMed]
- Sacchetto, R.; Testoni, S.; Gentile, A.; Damiani, E.; Rossi, M.; Liguori, R.; Drögemüller, C.; Mascarello, F. A Defective SERCA1 Protein Is Responsible for Congenital Pseudomyotonia in Chianina Cattle. Am. J. Pathol. 2009, 174, 565–573. [Google Scholar] [CrossRef] [PubMed]
- Kimmel, C.B.; Ballard, W.W.; Kimmel, S.R.; Ullmann, B.; Schilling, T.F. Stages of Embryonic Development of the Zebrafish. Dev. Dyn. 1995, 203, 253–310. [Google Scholar] [CrossRef] [PubMed]
- Percie du Sert, N.; Hurst, V.; Ahluwalia, A.; Alam, S.; Avey, M.T.; Baker, M.; Browne, W.J.; Clark, A.; Cuthill, I.C.; Dirnagl, U.; et al. The ARRIVE Guidelines 2.0: Updated Guidelines for Reporting Animal Research. PLoS Biol. 2020, 18, e3000410. [Google Scholar] [CrossRef]
- Moro, E.; Ozhan-Kizil, G.; Mongera, A.; Beis, D.; Wierzbicki, C.; Young, R.M.; Bournele, D.; Domenichini, A.; Valdivia, L.E.; Lum, L.; et al. In Vivo Wnt Signaling Tracing through a Transgenic Biosensor Fish Reveals Novel Activity Domains. Dev. Biol. 2012, 366, 327–340. [Google Scholar] [CrossRef]
- Astone, M.; Lai, J.K.H.; Dupont, S.; Stainier, D.Y.R.; Argenton, F.; Vettori, A. Zebrafish Mutants and TEAD Reporters Reveal Essential Functions for Yap and Taz in Posterior Cardinal Vein Development. Sci. Rep. 2018, 8, 10189. [Google Scholar] [CrossRef]
- Kuzmickiene, I.; Atkocius, V.; Aleknavicius, E.; Ostapenko, V. Impact of Season of Diagnosis on Mortality among Breast Cancer Survivors. J. Cancer Res. Ther. 2018, 14, S1091–S1097. [Google Scholar] [CrossRef]
- Mouhid, L.; Corzo-Martínez, M.; Torres, C.; Vázquez, L.; Reglero, G.; Fornari, T.; Ramírez de Molina, A. Improving In Vivo Efficacy of Bioactive Molecules: An Overview of Potentially Antitumor Phytochemicals and Currently Available Lipid-Based Delivery Systems. J. Oncol. 2017, 2017, 7351976. [Google Scholar] [CrossRef] [PubMed]
- Anis, K.V.; Rajeshkumar, N.V.; Kuttan, R. Inhibition of Chemical Carcinogenesis by Berberine in Rats and Mice. J. Pharm. Pharmacol. 2001, 53, 763–768. [Google Scholar] [CrossRef] [PubMed]
- Xiong, R.-G.; Huang, S.-Y.; Wu, S.-X.; Zhou, D.-D.; Yang, Z.-J.; Saimaiti, A.; Zhao, C.-N.; Shang, A.; Zhang, Y.-J.; Gan, R.-Y.; et al. Anticancer Effects and Mechanisms of Berberine from Medicinal Herbs: An Update Review. Molecules 2022, 27, 4523. [Google Scholar] [CrossRef]
- Xu, J.; Long, Y.; Ni, L.; Yuan, X.; Yu, N.; Wu, R.; Tao, J.; Zhang, Y. Anticancer Effect of Berberine Based on Experimental Animal Models of Various Cancers: A Systematic Review and Meta-Analysis. BMC Cancer 2019, 19, 589. [Google Scholar] [CrossRef] [PubMed]
- Sefidabi, R.; Mortazavi, P.; Hosseini, S. Antiproliferative Effect of Berberine on Canine Mammary Gland Cancer Cell Culture. Biomed. Rep. 2017, 6, 95–98. [Google Scholar] [CrossRef][Green Version]
- Zhao, Y.; Jing, Z.; Lv, J.; Zhang, Z.; Lin, J.; Cao, X.; Zhao, Z.; Liu, P.; Mao, W. Berberine Activates Caspase-9/Cytochrome c-Mediated Apoptosis to Suppress Triple-Negative Breast Cancer Cells in Vitro and in Vivo. Biomed. Pharmacother. 2017, 95, 18–24. [Google Scholar] [CrossRef]
- Refaat, A.; Abdelhamed, S.; Yagita, H.; Inoue, H.; Yokoyama, S.; Hayakawa, Y.; Saiki, I. Berberine Enhances Tumor Necrosis Factor-related Apoptosis-inducing Ligand-mediated Apoptosis in Breast Cancer. Oncol. Lett. 2013, 6, 840–844. [Google Scholar] [CrossRef]
- Kim, S.; Lee, J.; You, D.; Jeong, Y.; Jeon, M.; Yu, J.; Kim, S.W.; Nam, S.J.; Lee, J.E. Berberine Suppresses Cell Motility Through Downregulation of TGF-Β1 in Triple Negative Breast Cancer Cells. Cell. Physiol. Biochem. 2018, 45, 795–807. [Google Scholar] [CrossRef]
- Karnam, K.C.; Ellutla, M.; Bodduluru, L.N.; Kasala, E.R.; Uppulapu, S.K.; Kalyankumarraju, M.; Lahkar, M. Preventive Effect of Berberine against DMBA-Induced Breast Cancer in Female Sprague Dawley Rats. Biomed. Pharmacother. 2017, 92, 207–214. [Google Scholar] [CrossRef]
- Damiani, E.; Pierpaoli, E.; Orlando, F.; Donati, A.; Provinciali, M. Sidestream Dark Field Videomicroscopy for in Vivo Evaluation of Vascularization and Perfusion of Mammary Tumours in HER2/Neu Transgenic Mice. Clin. Exp. Pharmacol. Physiol. 2015, 42, 225–229. [Google Scholar] [CrossRef]
- Su, K.; Hu, P.; Wang, X.; Kuang, C.; Xiang, Q.; Yang, F.; Xiang, J.; Zhu, S.; Wei, L.; Zhang, J. Tumor Suppressor Berberine Binds VASP to Inhibit Cell Migration in Basal-like Breast Cancer. Oncotarget 2016, 7, 45849–45862. [Google Scholar] [CrossRef] [PubMed]
- Marverti, G.; Ligabue, A.; Lombardi, P.; Ferrari, S.; Monti, M.G.; Frassineti, C.; Costi, M.P. Modulation of the Expression of Folate Cycle Enzymes and Polyamine Metabolism by Berberine in Cisplatin-Sensitive and -Resistant Human Ovarian Cancer Cells. Int. J. Oncol. 2013, 43, 1269–1280. [Google Scholar] [CrossRef] [PubMed]
- Su, Z.; Yang, Z.; Xu, Y.; Chen, Y.; Yu, Q. Apoptosis, Autophagy, Necroptosis, and Cancer Metastasis. Mol. Cancer 2015, 14, 48. [Google Scholar] [CrossRef] [PubMed]
- Wang, H.-Y.; Yu, H.-Z.; Huang, S.-M.; Zheng, Y.-L. P53, Bcl-2 and Cox-2 Are Involved in Berberine Hydrochloride-Induced Apoptosis of HeLa229 Cells. Mol. Med. Rep. 2016, 14, 3855–3861. [Google Scholar] [CrossRef]
- Hu, Q.; Li, L.; Zou, X.; Xu, L.; Yi, P. Berberine Attenuated Proliferation, Invasion and Migration by Targeting the AMPK/HNF4α/WNT5A Pathway in Gastric Carcinoma. Front. Pharmacol. 2018, 9, 1150. [Google Scholar] [CrossRef]
- Dian, L.; Xu, Z.; Sun, Y.; Li, J.; Lu, H.; Zheng, M.; Wang, J.; Drobot, L.; Horak, I. Berberine Alkaloids Inhibit the Proliferation and Metastasis of Breast Carcinoma Cells Involving Wnt/β-Catenin Signaling and EMT. Phytochemistry 2022, 200, 113217. [Google Scholar] [CrossRef]
- Li, S.-Y.; Shi, C.-J.; Fu, W.-M.; Zhang, J.-F. Berberine Inhibits Tumour Growth in Vivo and in Vitro through Suppressing the LincROR-Wnt/β-Catenin Regulatory Axis in Colorectal Cancer. J. Pharm. Pharmacol. 2023, 75, 129–138. [Google Scholar] [CrossRef]
- Nie, Q.; Peng, W.W.; Wang, Y.; Zhong, L.; Zhang, X.; Zeng, L. β-Catenin Correlates with the Progression of Colon Cancers and Berberine Inhibits the Proliferation of Colon Cancer Cells by Regulating the β-Catenin Signaling Pathway. Gene 2022, 818, 146207. [Google Scholar] [CrossRef]
- Bian, J.; Dannappel, M.; Wan, C.; Firestein, R. Transcriptional Regulation of Wnt/β-Catenin Pathway in Colorectal Cancer. Cells 2020, 9, 2125. [Google Scholar] [CrossRef]
- Wu, Z.; Guan, K.-L. Hippo Signaling in Embryogenesis and Development. Trends Biochem. Sci. 2021, 46, 51–63. [Google Scholar] [CrossRef]
- Calses, P.C.; Crawford, J.J.; Lill, J.R.; Dey, A. Hippo Pathway in Cancer: Aberrant Regulation and Therapeutic Opportunities. Trends Cancer 2019, 5, 297–307. [Google Scholar] [CrossRef] [PubMed]
- Sanchez-Vega, F.; Mina, M.; Armenia, J.; Chatila, W.K.; Luna, A.; La, K.C.; Dimitriadoy, S.; Liu, D.L.; Kantheti, H.S.; Saghafinia, S.; et al. Oncogenic Signaling Pathways in The Cancer Genome Atlas. Cell 2018, 173, 321–337.e10. [Google Scholar] [CrossRef] [PubMed]
- Zhu, C.; Li, L.; Zhao, B. The Regulation and Function of YAP Transcription Co-Activator. Acta Biochim. Biophys. Sin. 2014, 47, 16–28. [Google Scholar] [CrossRef]
- Li, H.-L.; Li, Q.-Y.; Jin, M.-J.; Lu, C.-F.; Mu, Z.-Y.; Xu, W.-Y.; Song, J.; Zhang, Y.; Zhang, S.-Y. A Review: Hippo Signaling Pathway Promotes Tumor Invasion and Metastasis by Regulating Target Gene Expression. J. Cancer Res. Clin. Oncol. 2021, 147, 1569–1585. [Google Scholar] [CrossRef] [PubMed]
- Cho, Y.S.; Jiang, J. Hippo-Independent Regulation of Yki/Yap/Taz: A Non-Canonical View. Front. Cell Dev. Biol. 2021, 9, 658481. [Google Scholar] [CrossRef]
- Wang, Y.; Liu, Y.; Du, X.; Ma, H.; Yao, J. The Anti-Cancer Mechanisms of Berberine: A Review. Cancer Manag. Res. 2020, 12, 695–702. [Google Scholar] [CrossRef]
- Zhao, W.; Liu, H.; Wang, J.; Wang, M.; Shao, R. Cyclizing-Berberine A35 Induces G2/M Arrest and Apoptosis by Activating YAP Phosphorylation (Ser127). J. Exp. Clin. Cancer Res. 2018, 37, 98. [Google Scholar] [CrossRef]
- Kang, Y.; Siegel, P.M.; Shu, W.; Drobnjak, M.; Kakonen, S.M.; Cordon-Cardo, C.; Guise, T.A.; Massague, J. A Multigenic Program Mediating Breast Cancer Metastasis to Bone. Cancer Cell 2003, 3, 537–549. [Google Scholar] [CrossRef]
- Chang, C.-C.; Shih, J.-Y.; Jeng, Y.-M.; Su, J.-L.; Lin, B.-Z.; Chen, S.-T.; Chau, Y.-P.; Yang, P.-C.; Kuo, M.-L. Connective Tissue Growth Factor and Its Role in Lung Adenocarcinoma Invasion and Metastasis. J. Natl. Cancer Inst. 2004, 96, 364–375. [Google Scholar] [CrossRef]
- Rebolledo, D.L.; Acuña, M.J.; Brandan, E. Role of Matricellular CCN Proteins in Skeletal Muscle: Focus on CCN2/CTGF and Its Regulation by Vasoactive Peptides. Int. J. Mol. Sci. 2021, 22, 5234. [Google Scholar] [CrossRef]






| Primer F (5′-3′) | Primer R (5′-3′) | Amplicon Length (pb) | Number of Cycles | |
|---|---|---|---|---|
| ACTB | TGGCACCACACCTTCTACAA | CCAGAGGCGTACAGGGATAG | 182 | 25 |
| β-catenin | ACACGTGCAATCCCTGAACT | CACCATCTGAGGAGAACGCA | 138 | 26 |
| TAZ | TCCAATCACCAGTCCTGCAT | AGCTCCTTGGTGAAGCAGAT | 125 | 28 |
| YAP | CCCAGACTACCTTGAAGCCA | CTTCCTGCAGACTTGGCATC | 107 | 28 |
| CTGF | CGACTGGAAGACACGTTTGG | AGGAGGCGTTGTCATTGGTA | 136 | 27 |
Disclaimer/Publisher’s Note: The statements, opinions and data contained in all publications are solely those of the individual author(s) and contributor(s) and not of MDPI and/or the editor(s). MDPI and/or the editor(s) disclaim responsibility for any injury to people or property resulting from any ideas, methods, instructions or products referred to in the content. |
© 2023 by the authors. Licensee MDPI, Basel, Switzerland. This article is an open access article distributed under the terms and conditions of the Creative Commons Attribution (CC BY) license (https://creativecommons.org/licenses/by/4.0/).
Share and Cite
Sammarco, A.; Beffagna, G.; Sacchetto, R.; Vettori, A.; Bonsembiante, F.; Scarin, G.; Gelain, M.E.; Cavicchioli, L.; Ferro, S.; Geroni, C.; et al. Antitumor Effect of Berberine Analogs in a Canine Mammary Tumor Cell Line and in Zebrafish Reporters via Wnt/β-Catenin and Hippo Pathways. Biomedicines 2023, 11, 3317. https://doi.org/10.3390/biomedicines11123317
Sammarco A, Beffagna G, Sacchetto R, Vettori A, Bonsembiante F, Scarin G, Gelain ME, Cavicchioli L, Ferro S, Geroni C, et al. Antitumor Effect of Berberine Analogs in a Canine Mammary Tumor Cell Line and in Zebrafish Reporters via Wnt/β-Catenin and Hippo Pathways. Biomedicines. 2023; 11(12):3317. https://doi.org/10.3390/biomedicines11123317
Chicago/Turabian StyleSammarco, Alessandro, Giorgia Beffagna, Roberta Sacchetto, Andrea Vettori, Federico Bonsembiante, Giulia Scarin, Maria Elena Gelain, Laura Cavicchioli, Silvia Ferro, Cristina Geroni, and et al. 2023. "Antitumor Effect of Berberine Analogs in a Canine Mammary Tumor Cell Line and in Zebrafish Reporters via Wnt/β-Catenin and Hippo Pathways" Biomedicines 11, no. 12: 3317. https://doi.org/10.3390/biomedicines11123317
APA StyleSammarco, A., Beffagna, G., Sacchetto, R., Vettori, A., Bonsembiante, F., Scarin, G., Gelain, M. E., Cavicchioli, L., Ferro, S., Geroni, C., Lombardi, P., & Zappulli, V. (2023). Antitumor Effect of Berberine Analogs in a Canine Mammary Tumor Cell Line and in Zebrafish Reporters via Wnt/β-Catenin and Hippo Pathways. Biomedicines, 11(12), 3317. https://doi.org/10.3390/biomedicines11123317

