Oncostatin M’s Involvement in the Pathogenesis of Chronic Rhinosinusitis: Focus on Type 1 and 2 Inflammation
Abstract
:1. Introduction
2. Patients and Methods
2.1. Study Design
2.2. Quantitative RT-PCR Analysis
2.3. Immunohistochemistry
2.4. Culture of Human Bronchial Epithelial Cells
2.5. Data Analysis
3. Results
3.1. Background and Characteristics of the ECRS and Non-ECRS Subjects
3.2. Target Gene Expressions in Sinonasal Mucosa
3.2.1. Comparison of OSM and OSMR mRNA Expressions between the Controls and CRS Patients
3.2.2. Correlation with Inflammatory Cytokines
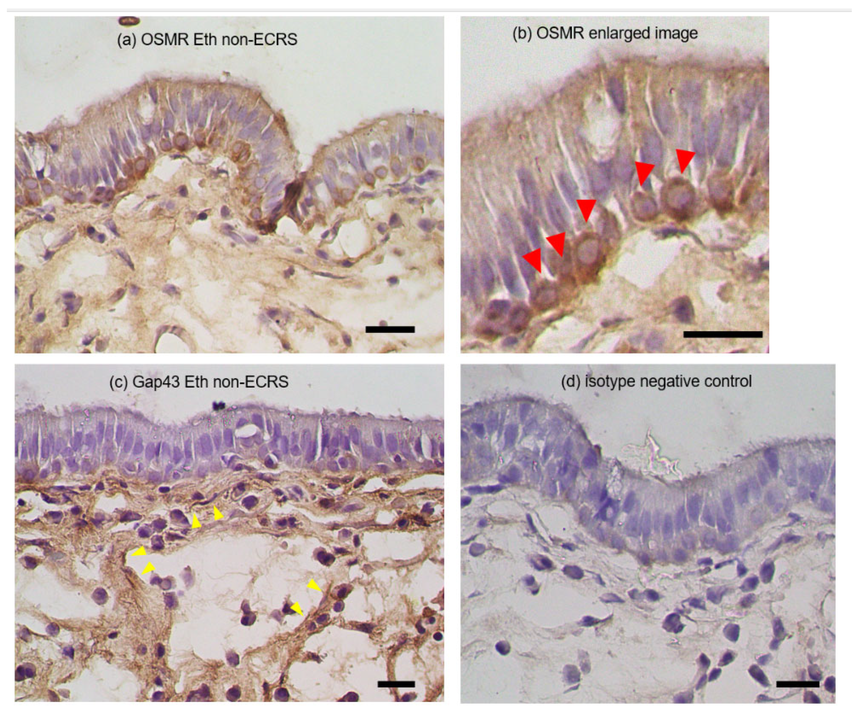
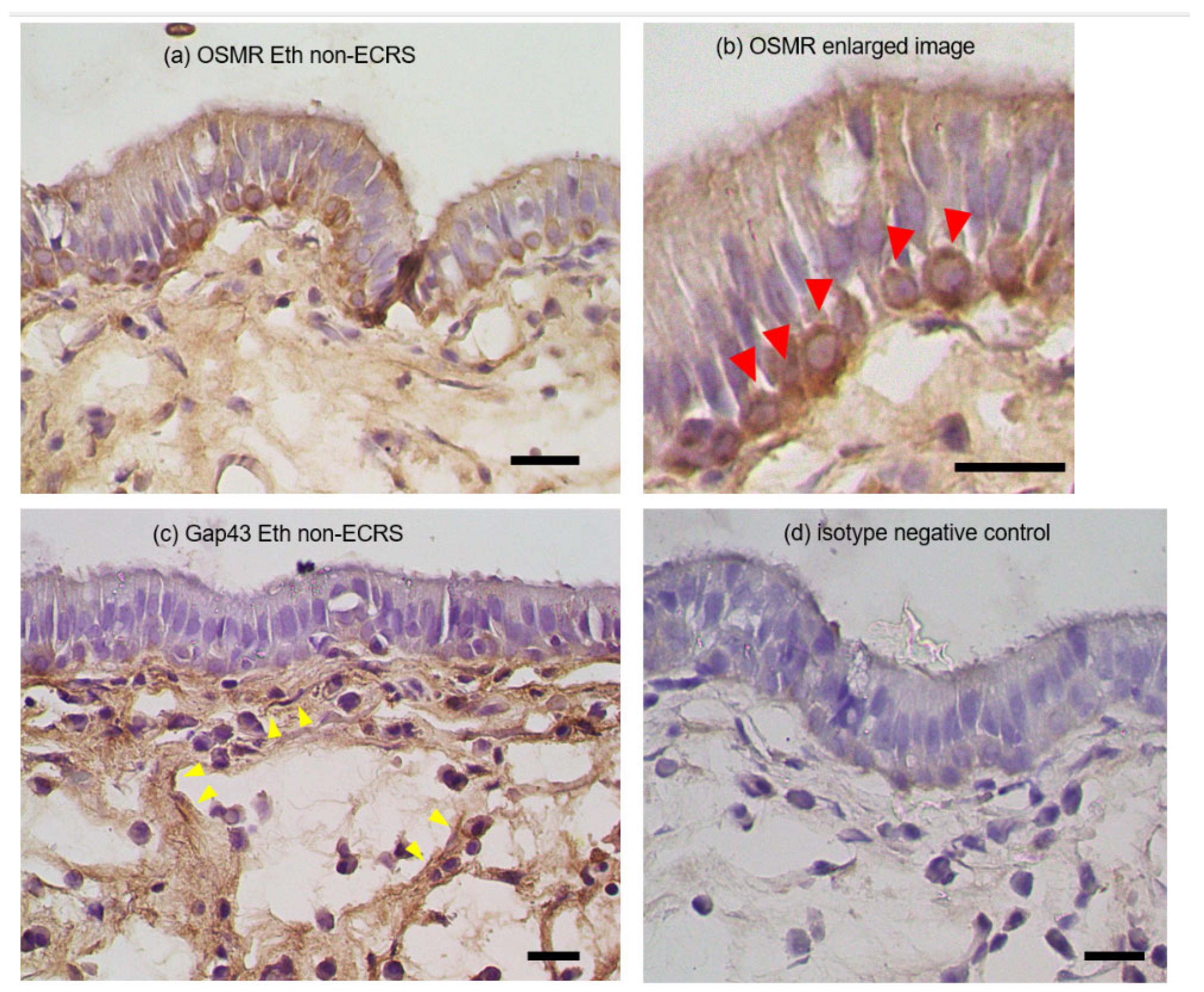
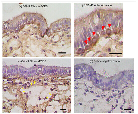
3.3. Immunohistochemical Observation
3.4. Changes in Receptor Expression upon OSM Stimulation in Human Airway Epithelial Cells
4. Discussion
Author Contributions
Funding
Institutional Review Board Statement
Informed Consent Statement
Data Availability Statement
Acknowledgments
Conflicts of Interest
References
- Kato, A.; Peters, A.T.; Stevens, W.W.; Schleimer, R.P.; Tan, B.K.; Kern, R.C. Endotypes of chronic rhinosinusitis: Relationships to disease phenotypes, pathogenesis, clinical findings, and treatment approaches. Allergy 2022, 77, 812–826. [Google Scholar] [CrossRef] [PubMed]
- Tomassen, P.; Vandeplas, G.; Van, Z.T.; Cardell, L.O.; Arebro, J.; Olze, H.; Förster, R.U.; Kowalski, M.L.; Olszewska, Z.A.; Holtappels, G.; et al. Inflammatory endotypes of chronic rhinosinusitis based on cluster analysis of biomarkers. J. Allergy Clin. Immunol. 2016, 137, 1449–1456. [Google Scholar] [CrossRef] [PubMed]
- Ishino, T.; Takeno, S.; Takemoto, K.; Yamato, K.; Oda, T.; Nishida, M.; Horibe, Y.; Chikuie, N.; Kono, T.; Taruya, T.; et al. Distinct gene set enrichment profiles in eosinophilic and non-eosinophilic chronic rhinosinusitis with nasal polyps by bulk RNA barcoding and sequencing. Int. J. Mol. Sci. 2022, 23, 5653. [Google Scholar] [CrossRef] [PubMed]
- Xu, Z.; Huang, Y.; Delemarre, T.; Cavaliere, C.; Zhang, N.; Bachert, C. Advances in chronic rhinosinusitis in 2020 and 2021. J. Allergy Clin. Immunol. 2022, 149, 854–866. [Google Scholar] [CrossRef] [PubMed]
- Kato, A.; Schleimer, R.P.; Bleier, B.S. Mechanisms and pathogenesis of chronic rhinosinusitis. J. Allergy Clin. Immunol. 2022, 149, 1491–1503. [Google Scholar] [CrossRef]
- Fujieda, S.; Imoto, Y.; Kato, Y.; Ninomiya, T.; Tokunaga, T.; Tsutsumiuchi, T.; Yoshida, K.; Kidoguchi, M.; Takabayashi, T. Eosinophilic chronic rhinosinusitis. Allergol. Int. 2019, 68, 403–412. [Google Scholar] [CrossRef] [PubMed]
- Tokunaga, T.; Sakashita, M.; Haruna, T.; Asaka, D.; Takeno, S.; Ikeda, H.; Nakayama, T.; Seki, N.; Ito, S.; Murata, J.; et al. Novel scoring system and algorithm for classifying chronic rhinosinusitis: The JESREC Study. Allergy 2015, 70, 995–1003. [Google Scholar] [CrossRef]
- Rose, T.M.; Bruce, A.G. Oncostatin M is a member of a cytokine family that includes leukemia-inhibitory factor, granulocyte colony-stimulating factor, and interleukin 6. Proc. Natl. Acad. Sci. USA 1991, 88, 8641–8645. [Google Scholar] [CrossRef]
- Tamura, S.; Morikawa, Y.; Miyajima, A.; Senba, E. Expression of oncostatin M in hematopoietic organs. Dev. Dyn. 2002, 225, 327–331. [Google Scholar] [CrossRef]
- Gearing, D.P.; Comeau, M.R.; Friend, D.J.; Gimpel, S.D.; Thut, C.J.; McGourty, J.; Brasher, K.K.; King, J.A.; Gillis, S.; Mosley, B.; et al. The IL-6 signal transducer, gp130: An oncostatin M receptor and affinity converter for the LIF receptor. Science 1992, 255, 1434–1437. [Google Scholar] [CrossRef]
- Pothoven, K.L.; Norton, J.E.; Hulse, K.E.; Suh, L.A.; Carter, R.G.; Rocci, E.; Harris, K.E.; Shintani-Smith, S.; Conley, D.B.; Chandra, R.K. Oncostatin M promotes mucosal epithelial barrier dysfunction, and its expression is increased in patients with eosinophilic mucosal disease. J. Allergy Clin. Immunol. 2015, 136, 737–746.e4. [Google Scholar] [CrossRef] [PubMed]
- Simpson, J.L.; Baines, K.J.; Boyle, M.J.; Scott, R.J.; Gibson, P.G. Oncostatin M (OSM) is increased in asthma with incompletely reversible airflow obstruction. Exp. Lung Res. 2009, 35, 781–794. [Google Scholar] [CrossRef] [PubMed]
- Kang, H.J.; Kang, J.S.; Lee, S.H.; Hwang, S.J.; Chae, S.W.; Woo, J.S.; Lee, H.M. Upregulation of oncostatin m in allergic rhinitis. Laryngoscope 2005, 115, 2213–2216. [Google Scholar] [CrossRef] [PubMed]
- Fritz, D.K.; Kerr, C.; Fattouh, R.; Llop-Guevara, A.; Khan, W.I.; Jordana, M.; Richards, C.D. A mouse model of airway disease: Oncostatin M-induced pulmonary eosinophilia, goblet cell hyperplasia, and airway hyperresponsiveness are STAT6 dependent, and interstitial pulmonary fibrosis is STAT6 independent. J. Immunol. 2011, 186, 1107–1118. [Google Scholar] [CrossRef] [PubMed]
- Lund, V.J.; Kennedy, D.W. Quantification for staging sinusitis. The Staging and Therapy Group. Ann. Otol. Rhinol. Laryngol. Suppl. 1995, 167, 17–21. [Google Scholar] [CrossRef]
- Takemoto, K.; Lomude, L.S.; Takeno, S.; Kawasumi, T.; Okamoto, Y.; Hamamoto, T.; Ishino, T.; Ando, Y.; Ishikawa, C.; Ueda, T. Functional alteration and differential expression of the bitter taste receptor T2R38 in human paranasal sinus in patients with chronic rhinosinusitis. Int. J. Mol. Sci. 2023, 24, 4499. [Google Scholar] [CrossRef]
- Han, J.K.; Bachert, C.; Fokkens, W.; Desrosiers, M.; Wagenmann, M.; Lee, S.E.; Smith, S.G.; Martin, N.; Mayer, B.; Yancey, S.W.; et al. Mepolizumab for chronic rhinosinusitis with nasal polyps (SYNAPSE): A randomised, double-blind, placebo-controlled, phase 3 trial. Lancet Respir. Med. 2021, 9, 1141–1153. [Google Scholar] [CrossRef]
- Gevaert, P.; Omachi, T.A.; Corren, J.; Mullol, J.; Han, J.; Lee, S.E.; Kaufman, D.; Ligueros-Saylan, M.; Howard, M.; Zhu, R.; et al. Efficacy and safety of omalizumab in nasal polyposis: 2 randomized phase 3 trials. J. Allergy Clin. Immunol. 2020, 146, 595–605. [Google Scholar] [CrossRef]
- Bachert, C.; Han, J.K.; Desrosiers, M.Y.; Gevaert, P.; Heffler, E.; Hopkins, C.; Tversky, J.R.; Barker, P.; Cohen, D.; Emson, C.; et al. Efficacy and safety of benralizumab in chronic rhinosinusitis with nasal polyps: A randomized, placebo-controlled trial. J. Allergy Clin. Immunol. 2022, 149, 1309–1317.e12. [Google Scholar] [CrossRef]
- Fujieda, S.; Matsune, S.; Takeno, S.; Ohta, N.; Asako, M.; Bachert, C.; Inoue, T.; Takahashi, Y.; Fujita, H.; Deniz, Y.; et al. Dupilumab efficacy in chronic rhinosinusitis with nasal polyps from SINUS-52 is unaffected by eosinophilic status. Allergy 2021, 77, 186–196. [Google Scholar] [CrossRef]
- Takabayashi, T.; Asaka, D.; Okamoto, Y.; Himi, T.; Haruna, S.; Yoshida, N.; Kondo, K.; Yoshikawa, M.; Sakuma, Y.; Shibata, K.; et al. A phase II, multicenter, randomized, placebo-controlled study of benralizumab, a humanized anti-IL-5R alpha monoclonal antibody, in patients with eosinophilic chronic rhinosinusitis. Am. J. Rhinol. Allergy 2021, 11, 861–870. [Google Scholar] [CrossRef]
- Pothoven, K.L.; Schleimer, R.P. The barrier hypothesis and Oncostatin M: Restoration of epithelial barrier function as a novel therapeutic strategy for the treatment of type 2 inflammatory disease. Tissue Barriers 2017, 5, e1341367. [Google Scholar] [CrossRef]
- Jones, S.A.; Jenkins, B.J. Recent insights into targeting the IL-6 cytokine family in inflammatory diseases and cancer. Nat. Rev. Immunol. 2018, 18, 773–789. [Google Scholar] [CrossRef] [PubMed]
- Richards, C.D. The enigmatic cytokine oncostatin M and roles in disease. ISRN Inflamm. 2013, 2013, 512103. [Google Scholar] [CrossRef] [PubMed]
- West, N.R.; Owens, B.M.J.; Hegazy, A.N. The oncostatin M-stromal cell axis in health and disease. Scand. J. Immunol. 2018, 88, e12694. [Google Scholar] [CrossRef] [PubMed]
- Piquer-Garcia, I.; Campderros, L.; Taxerås, S.D.; Gavaldà-Navarro, A.; Pardo, R.; Vila, M.; Pellitero, S.; Martínez, E.; Tarascó, J.; Moreno, P.; et al. A role for Oncostatin M in the impairment of glucose homeostasis in obesity. J. Clin. Endocrinol. Metab. 2020, 105, e337–e348. [Google Scholar] [CrossRef] [PubMed]
- Wang, C.Y.; Lin, H.C.; Song, Y.P.; Hsu, Y.T.; Lin, S.Y.; Hsu, P.C.; Lin, C.H.; Hung, C.C.; Hsu, M.C.; Kuo, Y.M.; et al. Protein kinase C-dependent growth-associated protein 43 phosphorylation regulates gephyrin aggregation at developing GABAergic synapses. Mol. Cell Biol. 2015, 35, 1712–1726. [Google Scholar] [CrossRef]
- Gorup, D.; Bohaček, I.; Miličević, T.; Pochet, R.; Mitrečić, D.; Križ, J.; Gajović, S. Increased expression and colocalization of GAP43 and CASP3 after brain ischemic lesion in mouse. Neurosci Lett. 2015, 597, 176–182. [Google Scholar] [CrossRef] [PubMed]
- Le Goff, B.; Singbrant, S.; Tonkin, B.A.; Martin, T.J.; Romas, E.; Sims, N.A.; Walsh, N.C. Oncostatin M acting via OSMR, augments the actions of IL-1 and TNF in synovial fibroblasts. Cytokine 2014, 68, 101–109. [Google Scholar] [CrossRef] [PubMed]
- Hui, W.; Rowan, A.D.; Richards, C.D.; Cawston, T.E. Oncostatin M in combination with tumor necrosis factor alpha induces cartilage damage and matrix metalloproteinase expression in vitro and in vivo. Arthritis Rheum. 2003, 48, 3404–3418. [Google Scholar] [CrossRef]
- Pothoven, K.L.; Norton, J.E.; Suh, L.A.; Carter, R.G.; Harris, K.E.; Biyasheva, A.; Welch, K.; Shintani-Smith, S.; Conley, D.B.; Liu, M.C.; et al. Neutrophils are a major source of the epithelial barrier disrupting cytokine oncostatin M in patients with mucosal airways disease. J. Allergy Clin. Immunol. 2017, 139, 1966–1978.e9. [Google Scholar] [CrossRef] [PubMed]
- Sofen, H.; Bissonnette, R.; Yosipovitch, G.; Silverberg, J.I.; Tyring, S.; Loo, W.J.; Zook, M.; Lee, M.; Zou, L.; Jiang, G.L.; et al. Efficacy and safety of vixarelimab, a human monoclonal oncostatin M receptor β antibody, in moderate-to-severe prurigo nodularis: A randomised, double-blind, placebo-controlled, phase 2a study. EClinicalMedicine 2023, 57, 101826. [Google Scholar] [CrossRef] [PubMed]





| Controls | Non-ECRS | ECRS | |
|---|---|---|---|
| n (male/female) | 20 (6/14) | 35 (21/14) | 36 (18/18) |
| Age, mean ± SD | 49.6 ± 15.6 | 51.5 ± 15.4 | 54.5 ± 10.2 |
| Allergic rhinitis, % | 8 (53.3%) | 25 (71.4%) | 27 (75%) |
| BMI, kg/mm2, mean ± SD | 22.4 ± 4.2 | 23.3 ± 3.8 | 22.6 ± 3.6 |
| Bronchial asthma, % | 1 (5%) | 5 (14.3%) | 17 (47.2%) **,††† |
| Blood eosinophils, %; median, range | 2.5 (0.0–6.6) | 1.6 (0.0–20.0) | 6.8 (1.1–13.9) ****,††† |
| Tissue eosinophils, cells/HPF; median, range | 4.97 (0.0–23.0) | 7.3 (0.0–70.3) †† | 117.0 (4.0–383.3) ****,††† |
| CT score, mean ± SD | 2.45 ± 4.24 | 7.7 ± 5.2 ††† | 14.8 ± 5.0 ****,††† |
| n | OSM | OSMR | GAP43 | |||||||
|---|---|---|---|---|---|---|---|---|---|---|
| Median | IQR | p | Median | IQR | p | Median | IQR | p | ||
| Male | 45 | 0.0937 | 0.3953 | 0.3613 | 0.8850 | 1.0475 | 0.0398 * | 0.0263 | 0.0355 | 0.0500 |
| Female | 46 | 0.0769 | 0.1554 | 0.6654 | 0.7657 | 0.0416 | 0.0435 | |||
| With AR | 60 | 0.1013 | 0.2456 | 0.3263 | 0.8423 | 0.9861 | 0.3221 | 0.0269 | 0.0343 | 0.0088 ** |
| Without AR | 31 | 0.0732 | 0.2397 | 0.7572 | 0.6298 | 0.0531 | 0.0808 | |||
| With BA | 23 | 0.1614 | 0.4173 | 0.0720 | 0.8926 | 1.0689 | 0.2261 | 0.0421 | 0.0336 | 0.7106 |
| Without BA | 68 | 0.0730 | 0.1853 | 0.7572 | 0.7503 | 0.0304 | 0.0505 | |||
| BMI ≥ 25 | 21 | 0.1919 | 0.4764 | 0.0168 * | 1.0320 | 1.1745 | 0.0218 * | 0.0325 | 0.0561 | 0.8702 |
| BMI < 25 | 70 | 0.0698 | 0.1547 | 0.7324 | 0.7393 | 0.0329 | 0.0469 | |||
| n | TNF-α | IL-13 | IL-1β | |||||||
| Median | IQR | p | Median | IQR | p | Median | IQR | p | ||
| Male | 45 | 0.0692 | 0.0876 | 0.1436 | 0.0447 | 0.1142 | 0.012 * | 0.1872 | 0.4529 | 0.4139 |
| Female | 46 | 0.0488 | 0.0806 | 0.0129 | 0.0418 | 0.1365 | 0.3718 | |||
| With AR | 60 | 0.0511 | 0.0829 | 0.1435 | 0.0283 | 0.0686 | 0.8400 | 0.1705 | 0.2966 | 0.4715 |
| Without AR | 31 | 0.0742 | 0.0835 | 0.0141 | 0.0472 | 0.2321 | 0.5690 | |||
| With BA | 23 | 0.0508 | 0.0766 | 0.3823 | 0.0373 | 0.0726 | 0.3775 | 0.2439 | 0.4067 | 0.5465 |
| Without BA | 68 | 0.0543 | 0.0995 | 0.0148 | 0.0543 | 0.1247 | 0.3906 | |||
| BMI ≥ 25 | 21 | 0.0904 | 0.0822 | 0.0291 * | 0.0364 | 0.3174 | 0.2511 | 0.3406 | 0.9144 | 0.0155 * |
| BMI < 25 | 70 | 0.0498 | 0.0845 | 0.0195 | 0.0470 | 0.1238 | 0.3009 | |||
Disclaimer/Publisher’s Note: The statements, opinions and data contained in all publications are solely those of the individual author(s) and contributor(s) and not of MDPI and/or the editor(s). MDPI and/or the editor(s) disclaim responsibility for any injury to people or property resulting from any ideas, methods, instructions or products referred to in the content. |
© 2023 by the authors. Licensee MDPI, Basel, Switzerland. This article is an open access article distributed under the terms and conditions of the Creative Commons Attribution (CC BY) license (https://creativecommons.org/licenses/by/4.0/).
Share and Cite
Ishikawa, C.; Takeno, S.; Okamoto, Y.; Kawasumi, T.; Kakimoto, T.; Takemoto, K.; Nishida, M.; Ishino, T.; Hamamoto, T.; Ueda, T.; et al. Oncostatin M’s Involvement in the Pathogenesis of Chronic Rhinosinusitis: Focus on Type 1 and 2 Inflammation. Biomedicines 2023, 11, 3224. https://doi.org/10.3390/biomedicines11123224
Ishikawa C, Takeno S, Okamoto Y, Kawasumi T, Kakimoto T, Takemoto K, Nishida M, Ishino T, Hamamoto T, Ueda T, et al. Oncostatin M’s Involvement in the Pathogenesis of Chronic Rhinosinusitis: Focus on Type 1 and 2 Inflammation. Biomedicines. 2023; 11(12):3224. https://doi.org/10.3390/biomedicines11123224
Chicago/Turabian StyleIshikawa, Chie, Sachio Takeno, Yukako Okamoto, Tomohiro Kawasumi, Takashi Kakimoto, Kota Takemoto, Manabu Nishida, Takashi Ishino, Takao Hamamoto, Tsutomu Ueda, and et al. 2023. "Oncostatin M’s Involvement in the Pathogenesis of Chronic Rhinosinusitis: Focus on Type 1 and 2 Inflammation" Biomedicines 11, no. 12: 3224. https://doi.org/10.3390/biomedicines11123224
APA StyleIshikawa, C., Takeno, S., Okamoto, Y., Kawasumi, T., Kakimoto, T., Takemoto, K., Nishida, M., Ishino, T., Hamamoto, T., Ueda, T., & Tanaka, A. (2023). Oncostatin M’s Involvement in the Pathogenesis of Chronic Rhinosinusitis: Focus on Type 1 and 2 Inflammation. Biomedicines, 11(12), 3224. https://doi.org/10.3390/biomedicines11123224

