The Use of Mesenchymal Stem Cells in the Complex Treatment of Kidney Tuberculosis (Experimental Study)
Abstract
1. Introduction
2. Materials and Methods
2.1. Laboratory Animals
2.2. Isolation, Cultivation and Labeling of MSCs
2.3. Animal Challenge
2.4. Infection Severity
2.5. Statistical Processing
3. Results
3.1. Immunodiagnostics of Nephrotuberculosis
3.2. Examination of Nanoparticle-Labeled MSCs
3.3. Evaluation of Biochemical Indicators of the General Inflammatory Response and the Functional State of the Kidneys
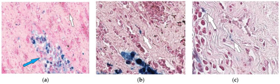
3.4. Histological and Morphometric Study
4. Discussion
5. Conclusions
- The introduction of a suspension of M. tuberculosis H37Rv into the cortical layer of the lower pole of the left kidney in rabbits led to the development of specific inflammatory changes in both kidneys and the development of a general inflammatory reaction that remained highly active throughout the experiment, despite the therapy.
- All challenged animals developed renal failure, characterized by an increase in the creatinine level, total ADA activity and ecto-ADA-1 activity.
- Changes in biochemical indicators in the second and third group of rabbits, which were of a similar nature, support the fact that the use of MSCs in combination with anti-tubercular drugs reduces the activity of the inflammatory response and contributes to its stabilization.
- Specific inflammation in the kidneys of the second and third group rabbits was of a productive nature; their necrotic lesions were much smaller than in the first group rabbits.
- There were also differences in the development of fibrotic changes, which were absent in the first group rabbits, only outlined in the second group rabbits and clearly expressed in the third group rabbits.
- Renal failure in nephrotuberculosis contributed to the development of a compensatory reaction from the glomeruli, convoluted tubules and collecting tubules, the severity of which was determined by a morphometric study.
- MSCs in the etiotropic therapy of experimental nephrotuberculosis led to a decrease in the extent of specific inflammation distribution in the kidneys, a decrease in its activity and an acceleration of the reparative reaction with mature connective tissue formation.
Author Contributions
Funding
Institutional Review Board Statement
Informed Consent Statement
Data Availability Statement
Conflicts of Interest
References
- Muneer, A.; Macrae, B.; Krishnamoorthy, S.; Zumla, A. Urogenital tuberculosis—Epidemiology, pathogenesis and clinical features. Nat. Rev. Urol. 2019, 16, 573–598. [Google Scholar] [CrossRef] [PubMed]
- Figueiredo, A.A.; Lucon, A.M.; Junior, R.F.; Srougi, M. Epidemiology of urogenital tuberculosis worldwide. Int. J. Urol. 2008, 15, 827–832. [Google Scholar] [CrossRef] [PubMed]
- Merchant, S.; Bharati, A.; Merchant, N. Tuberculosis of the genitourinary system-Urinary tract tuberculosis: Renal tuberculosis-Part I. Indian J. Radiol. Imaging 2013, 23, 46–63. [Google Scholar] [CrossRef] [PubMed]
- KimKim, E.J.; Lee, W.; Jeong, W.Y.; Choi, H.; Jung, I.Y.; Ahn, J.Y.; Jeong, S.J.; Ku, N.S.; Choi, J.Y.; Choi, Y.H.; et al. Chronic kidney disease with genitourinary tuberculosis: Old disease but ongoing complication. BMC Nephrol. 2018, 19, 1–8. [Google Scholar] [CrossRef]
- Danjuma, L.; Mok, P.L.; Higuchi, A.; Hamat, R.A.; Teh, S.W.; Koh, A.E.H.; Munusamy, M.A.; Arulselvan, P.; Rajan, M.; Nambi, A.; et al. Modulatory and regenerative potential of transplanted bone marrow-derived mesenchymal stem cells on rifampicin-induced kidney toxicity. Regen. Ther. 2018, 9, 100–110. [Google Scholar] [CrossRef]
- Harman, R.M.; Yang, S.; He, M.K.; Van de Walle, G.R. Antimicrobial peptides secreted by equine mesenchymal stromal cells inhibit the growth of bacteria commonly found in skin wounds. Stem Cell Res. Ther. 2017, 8, 1–14. [Google Scholar] [CrossRef]
- Chow, L.; Johnson, V.; Impastato, R.; Coy, J.; Strumpf, A.; Dow, S. Antibacterial activity of human mesenchymal stem cells mediated directly by constitutively secreted factors and indirectly by activation of innate immune effector cells. Stem Cells Transl. Med. 2020, 9, 235–249. [Google Scholar] [CrossRef]
- Caplan, A.I. Adult mesenchymal stem cells for tissue engineering versus regenerative medicine. J. Cell. Physiol. 2007, 213, 341–347. [Google Scholar] [CrossRef]
- Jones, G.N.; Moschidou, D.; Puga-Iglesias, T.I.; Kuleszewicz, K.; Vanleene, M.; Shefelbine, S.J.; Bou-Gharios, G.; Fisk, N.M.; David, A.L.; De Coppi, P.; et al. Ontological differences in first compared to third trimester human fetal placental chorionic stem cells. PLoS ONE 2012, 7, e43395. [Google Scholar] [CrossRef]
- Trohatou, O.; Roubelakis, M.G. Mesenchymal stem/stromal cells in regenerative medicine: Past, present, and future. Cell. Reprogram. 2017, 19, 217–224. [Google Scholar] [CrossRef]
- Meirelles, L.D.S.; Chagastelles, P.C.; Nardi, N.B. Mesenchymal stem cells reside in virtually all post-natal organs and tissues. J. Cell Sci. 2006, 119, 2204–2213. [Google Scholar] [CrossRef]
- Guillot, P.V.; Gotherstrom, C.; Chan, J.; Kurata, H.; Fisk, N.M. Human first-trimester fetal MSC express pluripotency markers and grow faster and have longer telomeres than adult MSC. Stem Cells 2007, 25, 646–654. [Google Scholar] [CrossRef]
- Della Bella, E.; Pagani, S.; Martini, F.; De Mattei, M. The Epigenetics in Osteogenic and Chondrogenic Differentiation of Mesenchymal Stem Cells. Front. Cell Dev. Biol. 2021, 9, 784–791. [Google Scholar] [CrossRef]
- Yáñez-Mó, M.; Siljander, P.R.M.; Andreu, Z.; Bedina Zavec, A.; Borràs, F.E.; Buzas, E.I.; Buzas, K.; Casal, E.; Cappello, F.; Carvalho, J.; et al. Biological properties of extracellular vesicles and their physiological functions. J. Extracell. Vesicles 2015, 4, 27066. [Google Scholar] [CrossRef]
- Favaro, E.; Carpanetto, A.; Lamorte, S.; Fusco, A.; Caorsi, C.; Deregibus, M.C.; Bruno, S.; Amoroso, A.; Giovarelli, M.; Porta, M.; et al. Human mesenchymal stem cell-derived microvesicles modulate T cell response to islet antigen glutamic acid decarboxylase in patients with type 1 diabetes. Diabetologia 2014, 57, 1664–1673. [Google Scholar] [CrossRef]
- Gattazzo, F.; Urciuolo, A.; Bonaldo, P. Extracellular matrix: A dynamic microenvironment for stem cell niche. Biochim. Biophys. Acta BBA-Gen. Subj. 2014, 1840, 2506–2519. [Google Scholar] [CrossRef]
- Chermnykh, E.; Kalabusheva, E.; Vorotelyak, E. Extracellular matrix as a regulator of epidermal stem cell fate. Int. J. Mol. Sci. 2018, 19, 1003. [Google Scholar] [CrossRef]
- Degirmenci, B.; Valenta, T.; Dimitrieva, S.; Hausmann, G.; Basler, K. GLI1-expressing mesenchymal cells form the essential Wnt-secreting niche for colon stem cells. Nature 2018, 558, 449–453. [Google Scholar] [CrossRef]
- Prieto, C.P.; Ortiz, M.C.; Villanueva, A.; Villarroel, C.; Edwards, S.S.; Elliott, M.; Lattus, J.; Aedo, S.; Meza, D.; Lois, P.; et al. Netrin-1 acts as a non-canonical angiogenic factor produced by human Wharton’s jelly mesenchymal stem cells (WJ-MSC). Stem Cell Res. Ther. 2017, 8, 43. [Google Scholar] [CrossRef]
- Liu, Y.; Lin, L.; Zou, R.; Wen, C.; Wang, Z.; Lin, F. MSC-derived exosomes promote proliferation and inhibit apoptosis of chondrocytes via lncRNA-KLF3-AS1/miR-206/GIT1 axis in osteoarthritis. Cell Cycle 2018, 17, 2411–2422. [Google Scholar] [CrossRef]
- XuXu, J.; Wang, Y.; Hsu, C.Y.; Gao, Y.; Meyers, C.A.; Chang, L.; Zhang, L.; Broderick, K.; Ding, C.; Peault, B.; et al. Human perivascular stem cell-derived extracellular vesicles mediate bone repair. eLife 2019, 8, e48191. [Google Scholar] [CrossRef] [PubMed]
- Sagaradze, G.D.; Basalova, N.A.; Efimenko, A.Y.; Tkachuk, V.A. Mesenchymal stromal cells as critical contributors to tissue regeneration. Front. Cell Dev. Biol. 2020, 8, 576176. [Google Scholar] [CrossRef] [PubMed]
- Foo, J.B.; Looi, Q.H.; Chong, P.P.; Hassan, N.H.; Yeo, G.E.C.; Ng, C.Y.; Koh, B.; How, C.W.; Lee, S.H.; Law, J.X. Comparing the therapeutic potential of stem cells and their secretory products in regenerative medicine. Stem Cells Int. 2021, 2021, 2616807. [Google Scholar] [CrossRef] [PubMed]
- Grange, C.; Skovronova, R.; Marabese, F.; Bussolati, B. Stem cell-derived extracellular vesicles and kidney regeneration. Cells 2019, 8, 1240. [Google Scholar] [CrossRef] [PubMed]
- Zhe, Z.; Jun, D.; Yang, Z.; Mingxi, X.; Ke, Z.; Ming, Z.; Zhong, W.; Mujun, L. Bladder acellular matrix grafts seeded with adipose-derived stem cells and incubated intraperitoneally promote the regeneration of bladder smooth muscle and nerve in a rat model of bladder augmentation. Stem Cells Dev. 2016, 25, 405–414. [Google Scholar] [CrossRef]
- Perico, L.; Morigi, M.; Rota, C.; Breno, M.; Mele, C.; Noris, M.; Introna, M.; Capelli, C.; Longaretti, L.; Rottoli, D.; et al. Human mesenchymal stromal cells transplanted into mice stimulate renal tubular cells and enhance mitochondrial function. Nat. Commun. 2017, 8, 983. [Google Scholar] [CrossRef]
- Orlova, N.V.; Muraviov, A.N.; Vinogradova, T.I.; Yudintceva, N.M.; Nashchekina, Y.A.; Zabolotnykh, N.V.; Lebedev, A.A.; Sheykhov, M.G.; Yablonsky, P.K. Experimental urinary bladder reconstruction using allogeneic tissue engineering products. Cell. Ther. Transplant. 2019, 8, 68–73. [Google Scholar] [CrossRef]
- Xiang, E.; Han, B.; Zhang, Q.; Rao, W.; Wang, Z.; Chang, C.; Zhang, Y.; Tu, C.; Li, C.; Wu, D. Human umbilical cord-derived mesenchymal stem cells prevent the progression of early diabetic nephropathy through inhibiting inflammation and fibrosis. Stem Cell Res. Ther. 2020, 11, 1–14. [Google Scholar] [CrossRef]
- Zhang, C.; Shang, Y.; Chen, X.; Midgley, A.C.; Wang, Z.; Zhu, D.; Wu, J.; Chen, P.; Wu, L.; Wang, X. Supramolecular nanofibers containing arginine-glycine-aspartate (RGD) peptides boost therapeutic efficacy of extracellular vesicles in kidney repair. ACS Nano 2020, 14, 12133–12147. [Google Scholar] [CrossRef]
- Yudintceva, N.; Mikhailova, N.; Bobkov, D.; Yakovleva, L.; Nikolaev, B.; Krasavina, D.; Muraviov, A.; Vinogradova, T.; Yablonskiy, P.; Samusenko, I.; et al. Evaluation of the biodistribution of mesenchymal stem cells in a pre-clinical renal tuberculosis model by non-linear magnetic response measurements. Front. Phys. 2021, 9, 625622. [Google Scholar] [CrossRef]
- Gusejnova, F.M.; Vinogradova, T.I.; Zabolotnyh, N.V.; Ariel, B.M.; Niauri, D.A.; Yudinceva, N.M.; Vitovskaya, M.; Yablonskij, P.K. The impact of cellular therapy with mesenchymal stem cell of bone marrow on reparation at experimental tuberculous salpingitis. Med. Alliance 2017, 3, 35–44. [Google Scholar]
- Yudintceva, N.M.; Bogolyubova, I.O.; Muraviov, A.N.; Sheykhov, M.G.; Vinogradova, T.I.; Sokolovich, E.G.; Shevtsov, M.A. Application of the allogenic mesenchymal stem cells in the therapy of the bladder tuberculosis. J. Tissue Eng. Regen. Med. 2018, 12, e1580–e1593. [Google Scholar] [CrossRef]
- Yudintceva, N.M.; Nashchekina, Y.A.; Blinova, M.I.; Orlova, N.V.; Muraviov, A.N.; Vinogradova, T.I.; Sheykhov, M.G.; Shapkova, E.Y.; Emeljannikov, D.V.; Yablonskii, P.K.; et al. Experimental bladder regeneration using a poly-l-lactide/silk fibroin scaffold seeded with nanoparticle-labeled allogenic bone marrow stromal cells. Int. J. Nanomed. 2016, 11, 4521–4533. [Google Scholar] [CrossRef]
- Reyes, M.; Lund, T.; Lenvik, T.; Aguiar, D.; Koodie, L.; Verfaillie, C.M. Purification and ex vivo expansion of postnatal human marrow mesodermal progenitor cells. Blood J. Am. Soc. Hematol. 2001, 98, 2615–2625. [Google Scholar] [CrossRef]
- Gudleviciene, Z.; Kundrotas, G.; Liudkeviciene, R.; Rascon, J.; Jurga, M. Quick and effective method of bone marrow mesenchymal stem cell extraction. Open Med. 2015, 10, 44–49. [Google Scholar] [CrossRef]
- Dominici, M.L.B.K.; Le Blanc, K.; Mueller, I.; Slaper-Cortenbach, I.; Marini, F.C.; Krause, D.S.; Deans, R.J.; Keating, A.; Prockop, D.J.; Horwitz, E.M. Minimal criteria for defining multipotent mesenchymal stromal cells. The International Society for Cellular Therapy position statement. Cytotherapy 2006, 8, 315–317. [Google Scholar] [CrossRef]
- Koltsova, A.M.; Zenin, V.V.; Yakovleva, T.K.; Poljanskaya, G.G. Characterization of a novel mesenchymal stem cell line derived from human embryonic stem cells. Cell Tissue Biol. 2016, 10, 1–9. [Google Scholar] [CrossRef]
- Murav’ev, A.N.; Vinogradova, T.I.; Dogonadze, M.Z.; Esmedlyaeva, D.S.; D’yakova, M.E.; Orlova, N.V.; Gorelova, A.A.; Remezova, A.N.; Zabolotnyh, N.V.; Yudinceva, N.M.; et al. Method for Modeling Kidney Tuberculosis. Patent RF No 2776130, 13 July 2021. [Google Scholar]
- Visser, L.; Blout, E.R. The use of p-nitrophenyl N-tert-butyloxycarbonyl-L-alaninate as substrate for elastase. Biochim. Biophys. Acta BBA-Enzymol. 1972, 268, 257–260. [Google Scholar] [CrossRef]
- Bankhead, P.; Loughrey, M.B.; Fernández, J.A.; Dombrowski, Y.; McArt, D.G.; Dunne, P.D.; McQuaid, S.; Gray, R.T.; Murray, L.J.; Coleman, H.G.; et al. QuPath: Open source software for digital pathology image analysis. Sci. Rep. 2017, 7, 16878. [Google Scholar] [CrossRef]
- Bieniaś, B.; Sikora, P. Urinary metalloproteinases and tissue inhibitors of metalloproteinases as potential early biomarkers for renal fibrosis in children with nephrotic syndrome. Medicine 2018, 97, e9964. [Google Scholar] [CrossRef]
- Andreucci, M.; Provenzano, M.; Faga, T.; Michael, A.; Patella, G.; Mastroroberto, P.; Serraino, G.F.; Bracale, U.M.; Ielapi, N.; Serra, R. Aortic aneurysms, chronic kidney disease and metalloproteinases. Biomolecules 2021, 11, 194. [Google Scholar] [CrossRef] [PubMed]
- Wozniak, J.; Floege, J.; Ostendorf, T.; Ludwig, A. Key metalloproteinase-mediated pathways in the kidney. Nat. Rev. Nephrol. 2021, 17, 513–527. [Google Scholar] [CrossRef] [PubMed]
- Nathan, C.; Xie, Q.W.; Halbwachs-Mecarelli, L.; Jin, W.W. Albumin inhibits neutrophil spreading and hydrogen peroxide release by blocking the shedding of CD43 (sialophorin, leukosialin). J. Cell Biol. 1993, 122, 243–256. [Google Scholar] [CrossRef] [PubMed]
- Kälvegren, H.; Fridfeldt, J.; Bengtsson, T. The role of plasma adenosine deaminase in chemoattractant-stimulated oxygen radical production in neutrophils. Eur. J. Cell Biol. 2010, 89, 462–467. [Google Scholar] [CrossRef]








| Indicators | Baseline Values | Examination Groups | ||||||||
|---|---|---|---|---|---|---|---|---|---|---|
| 1 | 2 | 3 | ||||||||
| 18 Days | 2 Months | 3 Months | 18 Days | 2 Months | 3 Months | 18 Days | 2 Months | 3 Months | ||
| CR Creatinine μmol/L | 67.0 (60.5; 73.5) | 66.0 (59.0; 80.0) | 89.8 * (p = 0.019) (76.0; 98.0) | 84.0 * (p = 0.006) (75.0; 91.0) | 66.0 (59.0; 80.0) | 73.0 (64.0; 81.0) | 77.0 * (p = 0.01) (73.0; 93.0) | 66.0 (59.0; 80.0) | 73.0 (64.0; 81.0) | 74.0 * (p = 0.049) (71.0; 79.0) |
| CP g/L | 0.25 (0.16; 0.34) | 0.32 (0.24; 0.38) | 0.36 (0.29; 0.52) | 0.38 (0.29; 0.58) | 0.32 (0.24; 0.38) | 0.28 (0.23; 0.38) | 0.23 ** (p = 0.026) *** (p = 0.008) (0.2; 0.25) | 0.32 (0.24; 0.38) | 0.28 (0.23; 0.38) | 0.21 ** (p = 0.01), *** (p = 0.02) (0.18; 0.29) |
| Al Albumin g/L | 45.7 (43.5; 46.0) | 47.0 (45.0; 49.0) | 46.0 (20.6; 48.0) | 46.0 (43.0; 49.0) | 47.0 (45.0; 49.0) | 36.0 ** (p = 0.03) (19.3; 48.0) | 46.0 (45.0; 47.0) | 47.0 (45.0; 49.0) | 36.0 ** (p = 0.03) (19.3; 48.0) | 48.0 * (p = 0.03) (45.0; 51.0) |
| Total ADA U/L | 3.8 (2.3; 5.8) | 8.4 * (p = 0.0015) (5.2; 12.6) | 15.6 * (p = 0.003) (11.1; 18.8) | 9.9 (5.8; 11.1) | 8.4 * (p = 0.001) (5.2; 12.6) | 8.5 * (p = 0.01) *** (p = 0.025) (5.3; 11.7) | 13.7 * (p = 0.01) (10.9; 15.1) | 8.4 * (p = 0.0015) (5.2; 12.6) | 8.5 * (p = 0.01)( *** (p = 0.025) 5.3; 11.7) | 15.0 * (p = 0.016) (4.6; 17.8) |
| Ecto-ADA-1 U/L | 3.3 (1.9; 5.2) | 8.4 * (p = 0.005) (4.4; 12.5) | 12.6 * (p = 0.005) (9.7; 16.6) | 9.9 * (p = 0.027) (5.8; 10.6) | 8.4 * (p = 0.005) (4.4; 12.5) | 7.7 * (p = 0.02), *** (p = 0.03) (4.3; 11.7) | 11.7 * (p = 0.002) (11.5; 14.9) | 8.4 * (p = 0.005) (4.4; 12.5) | 7.7 * (p = 0.02) *** (p = 0.03) (4.3; 11.7) | 13.3 * (p = 0.01) (4.5; 14.8) |
| Ecto-ADA-2 U/L | 0.47 (0; 1.3) | 0.02 (0; 0.95) | 1.92 (0; 2.3) | 0.2 (0; 0.45) | 0.02 (0; 0.95) | 0 (0; 0.8) | 0.1 (0; 1.6) | 0.02 (0; 0.95) | 0 (0; 0.8) | 1.3 (0; 2.1) |
| El Elastase IU | 326.0 (211.9; 393.0) | 445.5 * (p = 0.049) (282.5; 510.7) | 456.4 (380.3; 500.0) | 391.1 (260.8; 423.8) | 445.5 * (p = 0.049) (282.5; 510.7) | 358.6 (298.9; 489.0) | 385.6 (315.0; 434.7) | 445.5 * (p = 0.049) (282.5; 510.7) | 358.6 (298.9; 489.0) | 326.0 (315.0; 358.6) |
| TIMP-1. ng/mL | 103.0 (79.1; 128.9) | 84.5 * (p = 0.03) (70.3; 113.9) | 107.5 * (p = 0.03) (83.8; 108.3) | 98.9 (76.4; 106.4) | 84.5 * (p = 0.04) (70.3; 113.9) | 91.2 (78.6; 104.7) | 90.4 * (p = 0.04) (73.7; 104.0) | 84.5 * (p = 0.04) (70.3; 113.9) | 91.2 (78.6; 104.7) | 94.4 (87.8; 109.5) |
| MMP-1: ng/mL | 0.39 (0.35; 0.42) | 0.36 (0.33; 0.43) | 0.39 (0.34; 0.393) | 0.33 * (p = 0.03) (0.32; 0.47) | 0.36 (0.33; 0.43) | 0.39 (0.34; 0.46) | 0.41 (0.34; 0.56) | 0.36 (0.33; 0.43) | 0.39 (0.34; 0.46) | 0.38 (0.35; 0.42) |
| MMP-3: ng/mL | 20.7 (6.3; 27.3) | 21.6 (11.6; 23.8) | 13.4 (7.3; 19.8) | 7.1 (3.6; 10.7) | 21.6 (11.6; 23.8) | 9.2 (1.2; 22.2) | 5.0 (0.1; 23.1) | 21.6 (11.6; 23.8) | 9.2 (1.2; 22.2) | 10.6 (6.7; 15.8) |
Publisher’s Note: MDPI stays neutral with regard to jurisdictional claims in published maps and institutional affiliations. |
© 2022 by the authors. Licensee MDPI, Basel, Switzerland. This article is an open access article distributed under the terms and conditions of the Creative Commons Attribution (CC BY) license (https://creativecommons.org/licenses/by/4.0/).
Share and Cite
Muraviov, A.N.; Vinogradova, T.I.; Remezova, A.N.; Ariel, B.M.; Gorelova, A.A.; Orlova, N.V.; Yudintceva, N.M.; Esmedliaeva, D.S.; Dyakova, M.E.; Dogonadze, M.Z.; et al. The Use of Mesenchymal Stem Cells in the Complex Treatment of Kidney Tuberculosis (Experimental Study). Biomedicines 2022, 10, 3062. https://doi.org/10.3390/biomedicines10123062
Muraviov AN, Vinogradova TI, Remezova AN, Ariel BM, Gorelova AA, Orlova NV, Yudintceva NM, Esmedliaeva DS, Dyakova ME, Dogonadze MZ, et al. The Use of Mesenchymal Stem Cells in the Complex Treatment of Kidney Tuberculosis (Experimental Study). Biomedicines. 2022; 10(12):3062. https://doi.org/10.3390/biomedicines10123062
Chicago/Turabian StyleMuraviov, Alexander N., Tatiana I. Vinogradova, Anna N. Remezova, Boris M. Ariel, Anna A. Gorelova, Nadezhda V. Orlova, Natalia M. Yudintceva, Diljara S. Esmedliaeva, Marina E. Dyakova, Marine Z. Dogonadze, and et al. 2022. "The Use of Mesenchymal Stem Cells in the Complex Treatment of Kidney Tuberculosis (Experimental Study)" Biomedicines 10, no. 12: 3062. https://doi.org/10.3390/biomedicines10123062
APA StyleMuraviov, A. N., Vinogradova, T. I., Remezova, A. N., Ariel, B. M., Gorelova, A. A., Orlova, N. V., Yudintceva, N. M., Esmedliaeva, D. S., Dyakova, M. E., Dogonadze, M. Z., Zabolotnykh, N. V., Garapach, I. A., Maslak, O. S., Kirillov, Y. A., Timofeev, S. E., Krylova, Y. S., & Yablonskiy, P. K. (2022). The Use of Mesenchymal Stem Cells in the Complex Treatment of Kidney Tuberculosis (Experimental Study). Biomedicines, 10(12), 3062. https://doi.org/10.3390/biomedicines10123062

