Urinary Bladder Patch Made with Decellularized Vein Scaffold Seeded with Adipose-Derived Mesenchymal Stem Cells: Model in Rabbits
Abstract
1. Introduction
2. Materials and Methods
2.1. Animals Housing Conditions, and Ethics
2.2. Experimental Groups
2.3. Anesthetic Procedures
2.4. Tissue Collection
2.4.1. IVC Decellularization
2.4.2. ASC Collection and Characterization
2.5. Application of ASCs in Decellularized Vein Scaffolding
2.6. Surgical Procedure for Bladder Scaffold Implantation
2.7. Confirmation of Cell-Seeding
2.8. Histology
2.9. Morphometry
2.9.1. Inflammatory and Repair Evaluation Score
2.9.2. Collagen Fiber Analysis and Quantification
2.9.3. Scanning Electron Microscopy (SEM)
2.10. Statistical Analysis
3. Results
3.1. Confirmation of Cell-Seeding
3.2. Tissues Collection
3.2.1. IVC Decellularization
3.2.2. ASC Characterization
3.3. Macroscopy
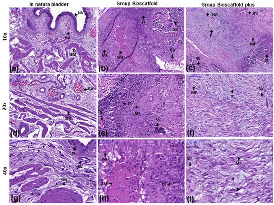
3.4. Microscopy
3.5. Morphological Score
3.6. Collagen in Bladder Extracellular Matrix
3.7. Scanning Electron Microscopy (SEM)
4. Discussion
5. Conclusions
Supplementary Materials
Author Contributions
Funding
Institutional Review Board Statement
Data Availability Statement
Conflicts of Interest
References
- Atala, A. Tissue engineering in urology. Curr. Urol. Rep. 2001, 2, 83–92. [Google Scholar] [CrossRef] [PubMed]
- Atala, A. New methods of bladder augmentation. Brit. J. Urol. Int. 2000, 85, 24–34. [Google Scholar] [CrossRef] [PubMed]
- Lepper, F.G.; Ramos, T.M.; Trindade Filho, J.C.; Vale, F.R.; Padovani, C.R.; Goissis, G. Bladder augmentation in rabbits with anionic collagen membrane, with or without urothelial preservation. Cistometric and hystologic evaluation. Intl. Braz. J. Urol. Rio Jan. 2002, 28, 464–469; discussion 464–470. [Google Scholar]
- Shekarriz, B.; Upadhyay, J.; Demirbilek, S.; Barthold, J.S.; González, R. Surgical complications of bladder augmentation: Comparison between various enterocystoplasties in 133 patients. Urology 2000, 55, 123–128. [Google Scholar] [CrossRef]
- Willerth, S.M.; Sakiyama-Elbert, S.E. Combining Stem Cells and Biomaterial Scaffolds for Constructing Tissues and Cell Delivery. Stem J. 2019, 1, 1–25. [Google Scholar] [CrossRef]
- Câmara, D.A.D.; Shibli, J.A.; Müller, E.A.; De-Sá-Junior, P.L.; Porcacchia, A.S.; Blay, A.; Lizier, N.F. Adipose Tissue-Derived Stem Cells: The Biologic Basis and Future Directions for Tissue Engineering. Materials 2020, 13, 3210. [Google Scholar] [CrossRef]
- Wang, P.; Sun, Y.; Shi, X.; Shen, H.; Ning, H.; Liu, H. Bioscaffolds embedded with regulatory modules for cell growth and tissue formation: A review. Bioact. Mater. 2020, 6, 1283–1307. [Google Scholar] [CrossRef]
- Lee, J.S.; Choi, Y.S.; Cho, S.W. Decellularized Tissue Matrix for Stem Cell and Tissue Engineering. Adv. Exp. Med. Biol. 2018, 1064, 161–180. [Google Scholar] [CrossRef]
- Mendibil, U.; Ruiz-Hernandez, R.; Retegi-Carrion, S.; Garcia-Urquia, N.; Olalde-Graells, B.; Abarrategi, A. Tissue-Specific Decellularization Methods: Rationale and Strategies to Achieve Regenerative Compounds. Int. J. Mol. Sci. 2020, 21, 5447. [Google Scholar] [CrossRef]
- Yi, S.; Ding, F.; Gong, L.; Gu, X. Extracellular Matrix Scaffolds for Tissue Engineering and Regenerative Medicine. Curr. Stem Cell Res. Ther. 2017, 12, 233–246. [Google Scholar] [CrossRef]
- Zhang, X.; Chen, X.; Hong, H.; Hu, R.; Liu, J.; Liu, C. Decellularized extracellular matrix scaffolds: Recent trends and emerging strategies in tissue engineering. Bioact. Mater. 2021, 10, 15–31. [Google Scholar] [CrossRef]
- Bertanha, M.; Sobreira, M.L.; Bovolato, A.L.C.; Rinaldi, J.C.; Reis, P.P.; Moroz, A.; Moraes, L.N.; Deffune, E. Ultrastructural analysis and residual DNA evaluation of rabbit vein scaffold. Acta Cir. Bras. 2017, 32, 706–711. [Google Scholar] [CrossRef]
- Bertanha, M.; Moroz, A.; Jaldin, R.G.; Silva, R.A.; Rinaldi, J.C.; Golim, M.A.; Felisbino, S.L.; Domingues, M.A.; Sobreira, M.L.; Reis, P.P.; et al. Morphofunctional characterization of decellularized vena cava as tissue engineering scaffolds. Exp. Cell Res. 2014, 326, 103–111. [Google Scholar] [CrossRef]
- Rodrigues, L.D.S.; Bovolato, A.L.C.; Silva, B.E.; Chizzolini, L.V.; Cruz, B.L.D.; Moraes, M.P.T.; Lourenção, P.L.T.A.; Bertanha, M. Quantification of adhesion of mesenchymal stem cells spread on decellularized vein scaffold. Acta Cir. Bras. 2021, 36, e361001. [Google Scholar] [CrossRef]
- Zhang, Y.; Atala, A. Bladder regeneration. In Biomaterials and Regenerative Medicine; Cambridge University Press: Cambridge, UK, 2015. [Google Scholar] [CrossRef]
- Strem, B.M.; Hicok, K.C.; Zhu, M.; Wulur, I.; Alfonso, Z.; E Schreiber, R.; Fraser, J.K.; Hedrick, M.H. Multipotential differentiation of adipose tissue-derived stem cells. Keio J. Med. 2005, 54, 132–141. [Google Scholar] [CrossRef]
- Stoltz, J.-F.; De Isla, N.; Li, Y.; Bensoussan, D.; Zhang, L.; Huselstein, C.; Chen, Y.; Decot, V.; Magdalou, J.; Li, N.; et al. Stem cells and regenerative medicine: Myth or reality of the 21th century. Stem Cells Int. 2015, 2015, 734731. [Google Scholar] [CrossRef]
- Vemuri, M.C.; Chase, L.G.; Rao, M.S. Mesenchymal stem cell assays and applications. Methods Mol. Biol. 2011, 698, 3–8. [Google Scholar]
- Atala, A. Tissue engineering of human bladder. Brit. Med. Bull. 2011, 97, 81–104. [Google Scholar] [CrossRef]
- Atala, A. Use of non-autologous substances in VUR and incontinence treatment. Dialogues Pediatr. Urol. 1994, 17, 11. [Google Scholar] [CrossRef]
- National Research Council (US) Committee for the Update of the Guide for the Care and Use of Laboratory Animals. Guide for the Care and Use of Laboratory Animals; The National Academies Press: Washington, DC, USA, 2011; Volume 8, pp. 1–246. [Google Scholar] [CrossRef]
- Gentile, P.; Piccinno, M.S.; Calabrese, C. Characteristics and Potentiality of Human Adipose-Derived Stem Cells (hASCs) Obtained from Enzymatic Digestion of Fat Graft. Cells 2019, 8, 282. [Google Scholar] [CrossRef]
- McClanahan, S.B.; Turner, D.W.; Kaminski, E.J.; Osetek, E.M.; Heuer, M.A. Natural modifiers of the inflammatory process in the human dental pulp. J. Endod. 1991, 17, 589–593. [Google Scholar] [CrossRef]
- Ter Woort, F.; Caswell, J.L.; Arroyo, L.G.; Viel, L. Histologic investigation of airway inflammation in postmortem lung samples from racehorses. Am. J. Vet. Res. 2018, 79, 342–347. [Google Scholar] [CrossRef] [PubMed]
- Nogueira, M.P. Uso Do Silicone e Poliuretano na Uretroplastia Dorsal: Estudo Experimental em Coelhos. Ph.D. Thesis, Universidade de São Paulo, São Paulo, Brazil, 2008. Available online: https://www.teses.usp.br/teses/disponiveis/5/5132/tde-24112008-141751/en.php (accessed on 1 January 2018).
- Queiroz, A.M.D.; Assed, S.; Consolaro, A.; Nelson-Filho, P.; Leonardo, M.R.; Silva, R.A.B.; Silva, L.A.B. Subcutaneous connective tissue response to primary root canal filling materials. Braz. Dent. J. 2011, 22, 203–211. [Google Scholar] [CrossRef] [PubMed][Green Version]
- Sutherland, R.S.; Baskin, L.S.; Hayward, S.W.; Cunha, G.R. Regeneration of bladder urothelium, smooth muscle, blood vessels and nerves into an acellular tissue matrix. J. Urol. 1996, 156, 571–577. [Google Scholar] [CrossRef]
- Vaught, J.D.; Kropp, B.P.; Sawyer, B.D.; Rippy, M.; Badylak, S.; Shannon, H.; Thor, K. Detrusor regeneration in the rat using porcine small intestinal submucosal grafts: Functional innervation and receptor expression. J. Urol. 1996, 155, 374–378. [Google Scholar] [CrossRef]
- Drewa, T.; Adamowicz, J.; Sharma, A. Tissue Engineering for the oncologic urinary bladder. Nat. Rev. Urol. 2012, 9, 561–572. [Google Scholar] [CrossRef]
- Kim, B.S.; Baez, C.E.; Atala, A. Biomaterials for tissue engineering. World J. Urol. 2000, 18, 2–9. [Google Scholar] [CrossRef]
- Beiko, D.T.; Knudsen, B.E.; Watterson, J.D.; Cadieux, P.A.; Reid, G.; Denstedt, J.D. Urinary tract biomaterials. J. Urol. 2004, 171, 2438–2444. [Google Scholar] [CrossRef]
- Drewa, T.; Sir, J.; Czajkowski, R.; Wozniak, A. Scaffold seeded with cells is essential in urothelium regeneration and tissue remodeling in vivo after bladder augmentation using in vitro engineered graft. Transplant. Proc. 2006, 38, 133–135. [Google Scholar] [CrossRef]
- Geutjes, P.; Roelofs, L.; Hoogenkamp, H.; Walraven, M.; Kortmann, B.; de Gier, R.; Farag, F.; Tiemessen, D.; Sloff, M.; Oosterwijk, E.; et al. Tissue engineered tubular construct for urinary diversion in a preclinical porcine model. J. Urol. 2012, 188, 653–660. [Google Scholar] [CrossRef]
- Guruswamy Damodaran, R.; Vermette, P. Decellularization of tissues and organs in regenerative medicine. Biotechnol. Prog. 2018, 34, 1494–1505. [Google Scholar] [CrossRef]
- Edgar, L.; Pu, T.; Porter, B.; Aziz, J.M.; La Pointe, C.; Asthana, A.; Orlando, G. Regenerative medicine, organ bioengineering and transplantation. Br. J. Surg. 2020, 107, 793–800. [Google Scholar] [CrossRef]
- Sart, S.; Jeske, R.; Chen, X.; Ma, T.; Li, Y. Engineering of Stem Cell-Derived Extracellular Matrices: Decellularization, Characterization and Biological Function. Tissue Eng. Part. B Rev. 2020, 26, 402–422. [Google Scholar] [CrossRef]
- Rosen, M.A.; McAninch, J.W. Wound Closures and Sutures Techniques in Reconstructive procedures. In Traumatic and Reconstructive Urology; McAninch, J.W., Ed.; WB Saunders: Philadelphia, PA, USA, 1996; pp. 49–69. [Google Scholar]
- Caione, P.; Boldrini, R.; Salerno, A.; Nappo, S.G. Bladder augmentation using acellular collagen biomatrix: A pilot experience in exstrophic patients. Pediatr. Surg. Int. 2012, 28, 421–428. [Google Scholar] [CrossRef]
- Atala, A.; Yoo, J.J. Allogenic bladder submucosa as a new biomaterial for bladder augmentation. Urology 1998, 51, 221–225. [Google Scholar] [CrossRef]
- Piechota, H.J.; Dahms, S.E.; Nunes, L.S.; Dahiya, R.; Lue, T.E.; Tanagho, E.A. In vitro functional properties of the rat bladder regenerated by the bladder acellular matrix graft. J. Urol. 1998, 159, 1717–1724. [Google Scholar] [CrossRef]
- Atala, A.; Bauer, S.B.; Soker, S.; Yoo, J.J.; Retik, A.B. Tissue-engineered autologous bladders for patients needing cystoplasty. Lancet 2006, 367, 1241–1246. [Google Scholar] [CrossRef]
- Rambøl, M.H.; Hisdal, J.; Sundhagen, J.O.; Brinchmann, J.E.; Rosales, A. Recellularization of Decellularized Venous Grafts Using Peripheral Blood: A Critical Evaluation. EBioMedicine 2018, 32, 215–222. [Google Scholar] [CrossRef]
- Walawalkar, S.; Verma, M.K.; Almelkar, S. Re-endothelization of human saphenous vein scaffold surfaces for bioprosthesis fabrication. J. Biomater. Appl. 2020, 34, 1081–1091. [Google Scholar] [CrossRef]
- Docheva, D.; Padula, D.; Popov, C.; Mutschler, W.; Clausen-Schaumann, H.; Schieker, M. Researching into the cellular shape, volume and elasticity of mesenchymal stem cells, osteoblasts and osteosarcoma cells by atomic force microscopy. J. Cell Mol. Med. 2008, 12, 537–552. [Google Scholar]
- Gugjoo, M.B.; Kinjavdekar, A.P.; Aithal, H.P.; Ansari, M.M.; Pawde, A.M.; Sharma, G.T. Isolation, Culture, and Characteriza-tion of New Zealand White Rabbit Mesenchymal Stem Cells Derived from Bone Marrow. X Asian J. Anim. Vet. Adv. 2015, 10, 537–548. [Google Scholar]






| Inflammation Scores * | (1) Without inflammatory cells |
| (2) Mild inflammatory infiltration (cell infiltration) | |
| (3) Moderate inflammatory infiltration (cell infiltration + vascular congestion) | |
| (4) Severe inflammatory infiltration (cell infiltration + vascular congestion + calcification/necrosis) | |
| Inflammatory Cell Types ¥ | (1) Predominance of polymorphonuclear cells |
| (2) Predominance of mononuclear cells | |
| (3) Mono and polymorphonuclear inflammatory cells | |
| Epithelial Repair Scores § | (1) Complete wall reepithelialization |
| (2) Partial reepithelialization (with or without intraepithelial inflammatory cells) | |
| (3) Without reepithelialization | |
| Connective Tissue Repair Scores × | (0) Absence of fibrosis |
| (1) Mild fibrosis (fibers interspersed with non-fibrillar ECM) | |
| (2) Moderate/severe fibrosis (thick fibers, not individualized with little or no non-fibrillar ECM) |
| Score | Group#1 | Group#2 | p |
|---|---|---|---|
| Inflammatory Scores * | n = 180 | n = 150 | 0.0019 |
| 1 (1–2) | 1 (1–2) | ||
| Inflammatory Cell Types ¥ | n = 184 | n = 149 | 0.0019 |
| 0 (0–2) | 0 (0–2) | ||
| Epithelial Repair Scores § | n = 36 | n = 30 | 0.0129 |
| 1 (1–2) | 1 (1–1) | ||
| Connective Tissue Repair Scores × | n = 36 | n = 30 | 0.0088 |
| 1 (1–2) | 0.5 (0–1) |
| Score | Group#1 | Group#2 | p |
|---|---|---|---|
| Collagen I | n = 83 | n = 62 | <0.0001 |
| 15.97 (12.722–18.534) | 19.04 (17.726–22.311) | ||
| Collagen III | n = 83 | n = 62 | 0.1068 |
| 7.62 (6.596–8.734) | 7.76 (6.996–9.068) | ||
| Total Collagen (I + III) | n = 83 | n = 62 | <0.0001 |
| 24.09 (20.621–26.744) | 28.19 (25.691–30.275) |
Publisher’s Note: MDPI stays neutral with regard to jurisdictional claims in published maps and institutional affiliations. |
© 2022 by the authors. Licensee MDPI, Basel, Switzerland. This article is an open access article distributed under the terms and conditions of the Creative Commons Attribution (CC BY) license (https://creativecommons.org/licenses/by/4.0/).
Share and Cite
Piovesana, T.R.; Rodrigues, L.d.S.; Bovolato, A.L.d.C.; Rodríguez-Sánchez, D.N.; Rinaldi, J.C.; Santos, N.J.; Mori, J.C.; Lourenção, P.L.T.d.A.; Birch, L.; Bertanha, M. Urinary Bladder Patch Made with Decellularized Vein Scaffold Seeded with Adipose-Derived Mesenchymal Stem Cells: Model in Rabbits. Biomedicines 2022, 10, 2814. https://doi.org/10.3390/biomedicines10112814
Piovesana TR, Rodrigues LdS, Bovolato ALdC, Rodríguez-Sánchez DN, Rinaldi JC, Santos NJ, Mori JC, Lourenção PLTdA, Birch L, Bertanha M. Urinary Bladder Patch Made with Decellularized Vein Scaffold Seeded with Adipose-Derived Mesenchymal Stem Cells: Model in Rabbits. Biomedicines. 2022; 10(11):2814. https://doi.org/10.3390/biomedicines10112814
Chicago/Turabian StylePiovesana, Tadeu Ravazi, Lenize da Silva Rodrigues, Ana Livia de Carvalho Bovolato, Diego Noé Rodríguez-Sánchez, Jaqueline Carvalho Rinaldi, Nilton José Santos, Julia Calvi Mori, Pedro Luiz Toledo de Arruda Lourenção, Lynn Birch, and Matheus Bertanha. 2022. "Urinary Bladder Patch Made with Decellularized Vein Scaffold Seeded with Adipose-Derived Mesenchymal Stem Cells: Model in Rabbits" Biomedicines 10, no. 11: 2814. https://doi.org/10.3390/biomedicines10112814
APA StylePiovesana, T. R., Rodrigues, L. d. S., Bovolato, A. L. d. C., Rodríguez-Sánchez, D. N., Rinaldi, J. C., Santos, N. J., Mori, J. C., Lourenção, P. L. T. d. A., Birch, L., & Bertanha, M. (2022). Urinary Bladder Patch Made with Decellularized Vein Scaffold Seeded with Adipose-Derived Mesenchymal Stem Cells: Model in Rabbits. Biomedicines, 10(11), 2814. https://doi.org/10.3390/biomedicines10112814

