Early Ear, Nose and Throat Manifestations in Eosinophilic Granulomatosis with Poliangioitis: Results from Our Cohort Group and Literature Review
Abstract
:1. Introduction
2. Materials and Methods
- Bloody nasal discharge/crusts/ulcers/granulomata;
- Paranasal sinus involvement;
- Subglottic stenosis/corditis/vocal cord paralysis/hoarseness/dysphonia;
- Conductive hearing loss/tympanic membrane changes/otorrhea.
Statistical Analysis
3. Results
4. Discussion
4.1. Nasal and Sinus Involvement
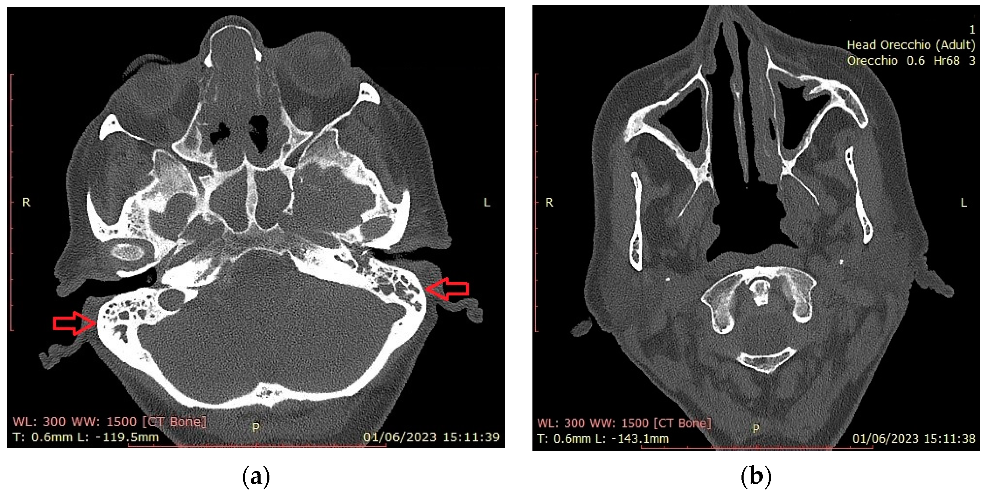
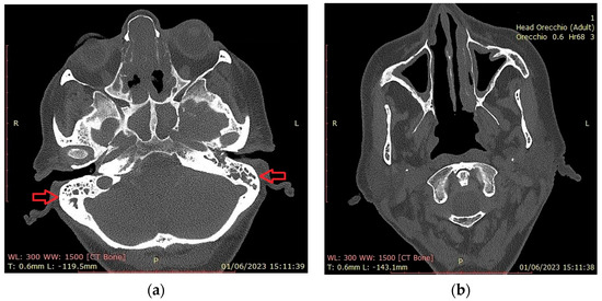
4.2. Ear Involvement
4.3. Laryngeal Involvement
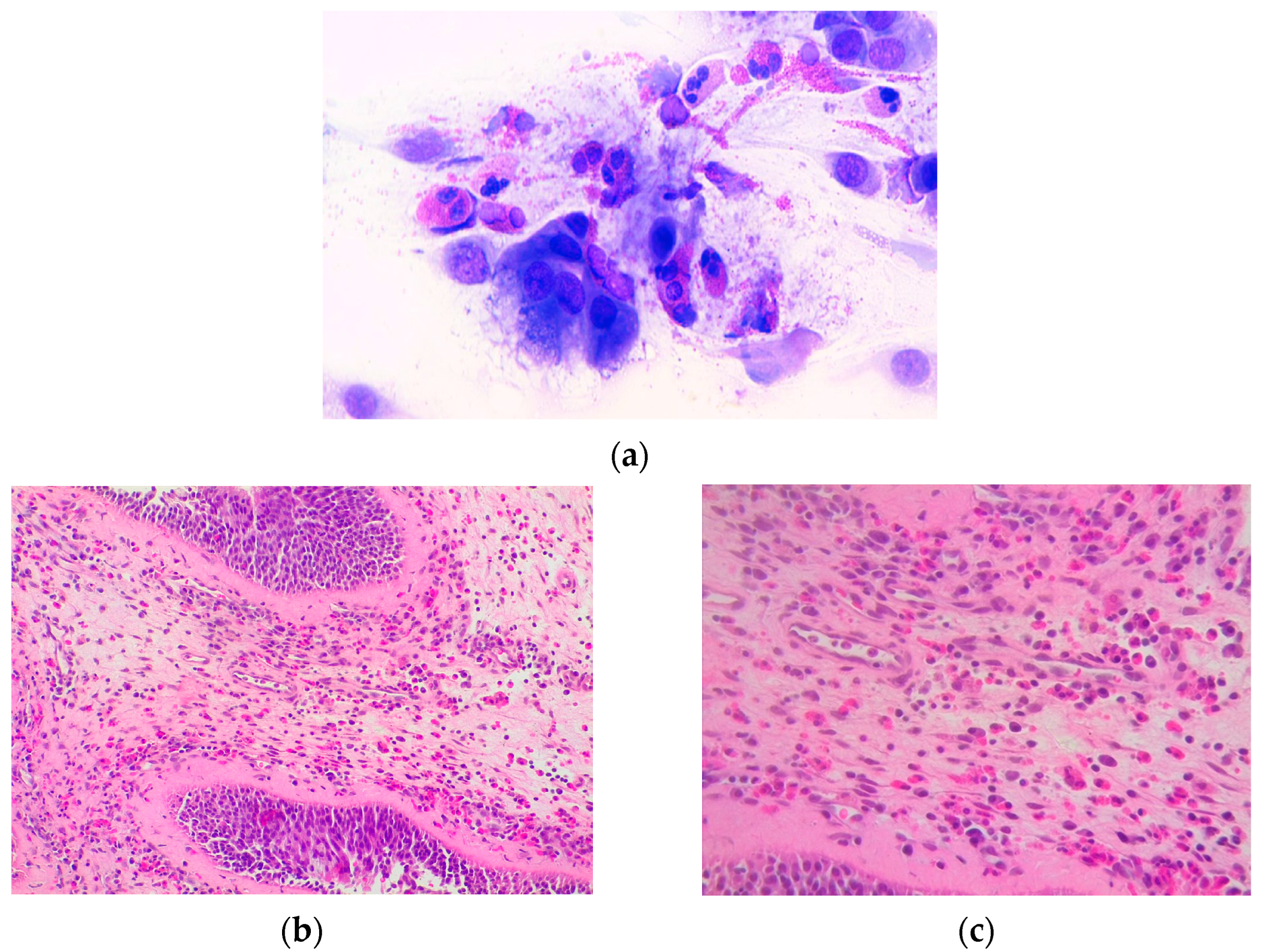
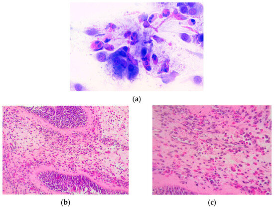
4.4. Microscopic Features of Head and Neck Manifestations in EGPA
5. Conclusions
Author Contributions
Funding
Institutional Review Board Statement
Informed Consent Statement
Data Availability Statement
Conflicts of Interest
References
- Vaglio, A.; Buzio, C.; Zwerina, J. Eosinophilic granulomatosis with polyangiitis (Churg–Strauss): State of the art. Allergy 2013, 68, 261–273. [Google Scholar] [CrossRef]
- Jennette, J.C.; Falk, R.J.; Bacon, P.A.; Basu, N.; Cid, M.C.; Ferrario, F.; Flores-Suarez, L.F.; Gross, W.L.; Guillevin, L.; Hagen, E.C.; et al. 2012 revised International Chapel Hill Consensus Conference Nomenclature of Vasculitides. Arthritis Rheum. 2013, 65, 1–11. [Google Scholar] [CrossRef] [PubMed]
- Lane, S.E.; Watts, R.; Scott, D.G. Epidemiology of systemic vasculitis. Curr. Rheumatol. Rep. 2005, 7, 270–275. [Google Scholar] [CrossRef] [PubMed]
- Wechsler, M.E.; Hellmich, B.; Cid, M.C.; Jayne, D.; Tian, X.; Baylis, L.; Roufosse, F. Unmet needs and evidence gaps in hypereosinophilic syndrome and eosinophilic granulomatosis with polyangiitis. J. Allergy Clin. Immunol. 2023, 151, 1415–1428. [Google Scholar] [CrossRef]
- Fagni, F.; Bello, F.; Emmi, G. Eosinophilic Granulomatosis With Polyangiitis: Dissecting the Pathophysiology. Front. Med. 2021, 8, 627776. [Google Scholar] [CrossRef]
- Masi, A.T.; Hunder, G.G.; Lie, J.T.; Michel, B.A.; Bloch, D.A.; Arend, W.P.; Calabrese, L.H.; Edworthy, S.M.; Fauci, A.S.; Leavitt, R.Y.; et al. The American College of Rheumatology 1990 criteria for the classification of Churg-Strauss syndrome (allergic granulomatosis and angiitis). Arthritis Rheum. 1990, 33, 1094–1100. [Google Scholar] [CrossRef]
- Grayson, P.C.; Ponte, C.; Suppiah, R.; Robson, J.C.; Craven, A.; Judge, A.; Khalid, S.; Hutchings, A.; Luqmani, R.A.; Watts, R.A.; et al. 2022 American College of Rheumatology/European Alliance of Associations for Rheumatology Classification Criteria for Eosinophilic Granulomatosis with Polyangiitis. Ann. Rheum. Dis. 2022, 81, 309–314. [Google Scholar] [CrossRef]
- Kermani, T.A.; Cuthbertson, D.; Carette, S.; Hoffman, G.S.; Khalidi, N.A.; Koening, C.L.; Langford, C.A.; McKinnon-Maksimowicz, K.; McAlear, C.A.; Monach, P.A.; et al. The Birmingham Vasculitis Activity Score as a Measure of Disease Activity in Patients with Giant Cell Arteritis. J. Rheumatol. 2016, 43, 1078–1084. [Google Scholar] [CrossRef] [PubMed]
- Emmi, G.; Bettiol, A.; Gelain, E.; Bajema, I.M.; Berti, A.; Burns, S.; Cid, M.C.; Cohen Tervaert, J.W.; Cottin, V.; Durante, E.; et al. Evidence-Based Guideline for the diagnosis and management of eosinophilic granulomatosis with polyangiitis. Nat. Rev. Rheumatol. 2023, 19, 378–393. [Google Scholar] [CrossRef]
- Comarmond, C.; Pagnoux, C.; Khellaf, M.; Cordier, J.F.; Hamidou, M.; Viallard, J.F.; Maurier, F.; Jouneau, S.; Bienvenu, B.; Puéchal, X.; et al. Eosinophilic granulomatosis with polyangiitis (Churg-Strauss): Clinical characteristics and long-term followup of the 383 patients enrolled in the French Vasculitis Study Group cohort. Arthritis Rheum. 2013, 65, 270–281. [Google Scholar] [CrossRef]
- Guillevin, L.; Cohen, P.; Gayraud, M.; Lhote, F.; Jarrousse, B.; Casassus, P. Churg-Strauss Syndrome Clinical Study and Long-Term Follow-Up of 96 Patients. Medicine 1999, 78, 26–37. [Google Scholar] [CrossRef]
- Bacciu, A.; Buzio, C.; Giordano, D.; Pasanisi, E.; Vincenti, V.; Mercante, G.; Grasselli, C.; Bacciu, S. Nasal polyposis in Churg-Strauss syndrome. Laryngoscope 2008, 118, 325–329. [Google Scholar] [CrossRef]
- Bacciu, A.; Bacciu, S.; Mercante, G.; Ingegnoli, F.; Grasselli, C.; Vaglio, A.; Pasanisi, E.; Vincenti, V.; Garini, G.; Ronda, N.; et al. Ear, nose and throat manifestations of Churg-Strauss syndrome. Acta Oto-Laryngol. 2006, 126, 503–509. [Google Scholar] [CrossRef] [PubMed]
- Goldfarb, J.M.; Rabinowitz, M.R.; Basnyat, S.; Nyquist, G.G.; Rosen, M.R. Head and Neck Manifestations of Eosinophilic Granulomatosis with Polyangiitis:A Systematic Review. Otolaryngol. Head Neck Surg. 2016, 155, 771–778. [Google Scholar] [CrossRef]
- Kavanagh, F.G.; Hasan, W.; Smyth, D.A.; Fenton, J.E. Polyps, grommets and eosinophilic granulomatosis with polyangiitis. J. Laryngol. Otol. 2018, 132, 236–239. [Google Scholar] [CrossRef] [PubMed]
- Brescia, G.; Padoan, R.; Schiavon, F.; Contro, G.; Parrino, D.; Tealdo, G.; Felicetti, M.; Frigo, A.C.; Alessandrini, L.; Marioni, G. Nasal polyps in eosinophilic granulomatosis with polyangiitis: Structured histopathology and CD105 expression. Am. J. Otolaryngol. 2020, 41, 102661. [Google Scholar] [CrossRef]
- Cottin, V.; Bel, E.; Bottero, P.; Dalhoff, K.; Humbert, M.; Lazor, R.; Sinico, R.A.; Sivasothy, P.; Wechsler, M.E.; Groh, M.; et al. Respiratory manifestations of eosinophilic granulomatosis with polyangiitis (Churg-Strauss). Eur. Respir. J. 2016, 48, 1429–1441. [Google Scholar] [CrossRef] [PubMed]
- Obeso, S.; Llorente, J.L.; Pablo Rodrigo, J.; Sánchez, R.; Mancebo, G.; Suárez, C. Paranasal sinuses mucoceles. Our experience in 72 patients. Acta Otorrinolaringol. Esp. 2009, 60, 332–339. [Google Scholar] [CrossRef] [PubMed]
- Chobillon, M.A.; Jankowski, R. Relationship between mucoceles, nasal polyposis and nasalisation. Rhinology 2004, 42, 219–224. [Google Scholar]
- Detoraki, A.; Tremante, E.; Poto, R.; Morelli, E.; Quaremba, G.; Granata, F.; Romano, A.; Mormile, I.; Rossi, F.W.; de Paulis, A.; et al. Real-life evidence of low-dose mepolizumab efficacy in EGPA: A case series. Respir. Res. 2021, 22, 185. [Google Scholar] [CrossRef]
- Ashman, P.E.; Chen, T.; Barinsky, G.L.; Benson, B.; Babu, S.; Bojrab, D.I., 2nd; Svider, P.F. Otologic Manifestations of Eosinophilic Granulomatosis With Polyangiitis: A Systematic Review. Otol. Neurotol. 2021, 42, e380–e387. [Google Scholar] [CrossRef] [PubMed]
- Kang, N.; Shin, J.; Cho, Y.-S.; Lee, J.-Y.; Lee, B.-J.; Choi, D.-C. Intractable middle ear effusion in EGPA patients might cause permanent hearing loss: A case–control study. Allergy Asthma Clin. Immunol. 2022, 18, 68. [Google Scholar] [CrossRef]
- Almaani, S.; Fussner, L.A.; Brodsky, S.; Meara, A.S.; Jayne, D. ANCA-Associated Vasculitis: An Update. J. Clin. Med. 2021, 10, 1446. [Google Scholar] [CrossRef]
- Nakamaru, Y.; Takagi, D.; Suzuki, M.; Homma, A.; Morita, S.; Homma, A.; Fukuda, S. Otologic and Rhinologic Manifestations of Eosinophilic Granulomatosis with Polyangiitis. Audiol. Neurotol. 2016, 21, 45–53. [Google Scholar] [CrossRef]
- Mazzantini, M.; Fattori, B.; Matteucci, F.; Gaeta, P.; Ursino, F. Neuro-laryngeal involvement in Churg-Strauss syndrome. Eur. Arch. Oto-Rhino-Laryngol. 1998, 255, 302–306. [Google Scholar] [CrossRef]
- Seccia, V.; Cristofani-Mencacci, L.; Dallan, I.; Fortunato, S.; Bartoli, M.L.; Sellari-Franceschini, S.; Latorre, M.; Paggiaro, P.L.; Baldini, C. Eosinophilic granulomatosis with polyangiitis and laryngeal involvement: Review of the literature and a cross-sectional prospective experience. J. Laryngol. Otol. 2018, 132, 619–623. [Google Scholar] [CrossRef] [PubMed]
- Kitching, A.R.; Anders, H.-J.; Basu, N.; Brouwer, E.; Gordon, J.; Jayne, D.R.; Kullman, J.; Lyons, P.A.; Merkel, P.A.; Savage, C.O.S.; et al. ANCA-associated vasculitis. Nat. Rev. Dis. Primers 2020, 6, 71. [Google Scholar] [CrossRef] [PubMed]





| Patients with | No. |
|---|---|
| Sex, no | 25 |
| Male | 15 |
| Female | 10 |
| Mean Age (yrs) | 52.08 |
| Age at diagnosis (yrs) | 44.75 |
| Other organ involvement | |
| Asthma | 25 |
| Heart involvement | 11 |
| Pulmonary infiltrates | 10 |
| Peripheral Nervous System | 8 |
| Skin involvement | 8 |
| Arthritis/joint pain | 6 |
| Eye involvement | 4 |
| Glomerulonephritis | 2 |
| (a) | |
|---|---|
| CRSwNP | 13 (52%) |
| Turbinate Hypertrophy | 12 (48%) |
| Nasal Swelling | 10 (40%) |
| Rhinorrhea | 10 (40%) |
| CRSsNP | 8 (32%) |
| Nasal bone deformities | 8 (32%) |
| Nasal Crusts | 5 (20%) |
| Nasal Mucosal Ulcerations | 3 (12%) |
| Corditis | 3 (12%) |
| Hoarseness/Dysphonia | 3 (12%) |
| Hearing Loss | 3 (12%) |
| Eosinophilic Rhinitis | 1 (4%) |
| Mucoceles | 1 (4%) |
| Subglottic Stenosis | 0 |
| Vocal Cord Paralysis | 0 |
| Tympanic Membrane Changes | 0 |
| Otorrhea | 0 |
| (b) | |
| Bloody nasal discharge/crusts/ulcers/granulomata/bone deformities/turbinate hypertrophy | 21 (84%) |
| Paranasal sinus involvement | 21 (84%) |
| Subglottic stenosis/corditis/vocal cord paralysis/hoarseness/dysphonia | 4 (16%) |
| Conductive hearing loss/Tympanic membrane changes/Otorrhea | 3 (12%) |
Disclaimer/Publisher’s Note: The statements, opinions and data contained in all publications are solely those of the individual author(s) and contributor(s) and not of MDPI and/or the editor(s). MDPI and/or the editor(s) disclaim responsibility for any injury to people or property resulting from any ideas, methods, instructions or products referred to in the content. |
© 2023 by the authors. Licensee MDPI, Basel, Switzerland. This article is an open access article distributed under the terms and conditions of the Creative Commons Attribution (CC BY) license (https://creativecommons.org/licenses/by/4.0/).
Share and Cite
D’Onofrio, M.; La Prova, D.; Galdiero, M.R.; Cantone, E.; Tremante, E.; Mascolo, M.; Barbieri, V.; Di Nola, C.; Spadaro, G.; de Paulis, A.; et al. Early Ear, Nose and Throat Manifestations in Eosinophilic Granulomatosis with Poliangioitis: Results from Our Cohort Group and Literature Review. J. Clin. Med. 2023, 12, 6967. https://doi.org/10.3390/jcm12226967
D’Onofrio M, La Prova D, Galdiero MR, Cantone E, Tremante E, Mascolo M, Barbieri V, Di Nola C, Spadaro G, de Paulis A, et al. Early Ear, Nose and Throat Manifestations in Eosinophilic Granulomatosis with Poliangioitis: Results from Our Cohort Group and Literature Review. Journal of Clinical Medicine. 2023; 12(22):6967. https://doi.org/10.3390/jcm12226967
Chicago/Turabian StyleD’Onofrio, Mario, Daniele La Prova, Maria Rosaria Galdiero, Elena Cantone, Eugenio Tremante, Massimo Mascolo, Vittoria Barbieri, Claudio Di Nola, Giuseppe Spadaro, Amato de Paulis, and et al. 2023. "Early Ear, Nose and Throat Manifestations in Eosinophilic Granulomatosis with Poliangioitis: Results from Our Cohort Group and Literature Review" Journal of Clinical Medicine 12, no. 22: 6967. https://doi.org/10.3390/jcm12226967
APA StyleD’Onofrio, M., La Prova, D., Galdiero, M. R., Cantone, E., Tremante, E., Mascolo, M., Barbieri, V., Di Nola, C., Spadaro, G., de Paulis, A., & Detoraki, A. (2023). Early Ear, Nose and Throat Manifestations in Eosinophilic Granulomatosis with Poliangioitis: Results from Our Cohort Group and Literature Review. Journal of Clinical Medicine, 12(22), 6967. https://doi.org/10.3390/jcm12226967

