Concurrent Viewing of H&E and Multiplex Immunohistochemistry in Clinical Specimens
Abstract
1. Introduction
2. Material and Methods
2.1. Chromogens and IHC Reagents
2.2. Specimens
2.3. IHC and Conventional Staining
2.4. Microscope Systems
2.5. Imaging and Image Processing
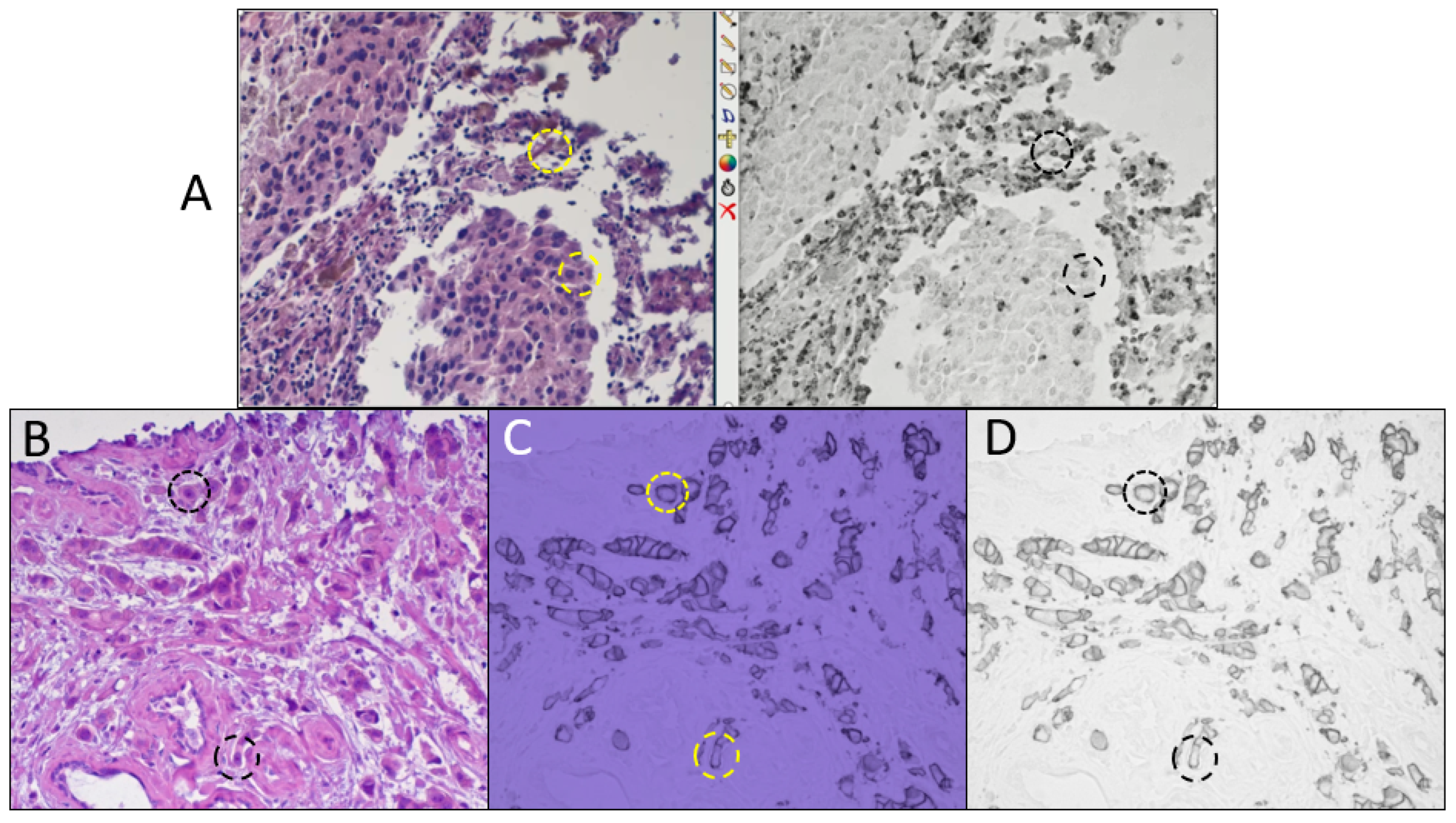
3. Results
3.1. Microscope Systems
3.2. H&E Plus Multiplex IHC of Clinical Specimens
3.3. DAB IHC Plus Invisible IHC
4. Discussion
4.1. Microscope Systems and Interactive Specimen Evaluation
4.2. Applications of Combined H&E and Invisible IHC to Clinical Specimens
4.3. DAB IHC + Invisible IHC
4.4. Assay Considerations
5. Conclusions
Supplementary Materials
Author Contributions
Funding
Institutional Review Board Statement
Informed Consent Statement
Data Availability Statement
Conflicts of Interest
References
- Chan, J.K. The wonderful colors of the hematoxylin-eosin stain in diagnostic surgical pathology. Int. J. Surg. Pathol. 2014, 22, 12–32. [Google Scholar] [CrossRef]
- Jaffer, S.; Bleiweiss, I.J. Beyond hematoxylin and eosin--the role of immunohistochemistry in surgical pathology. Cancer Investig. 2004, 22, 445–465. [Google Scholar] [CrossRef]
- Grosset, A.A.; Loayza-Vega, K.; Adam-Granger, E.; Birlea, M.; Gilks, B.; Nguyen, B.; Soucy, G.; Tran-Thanh, D.; Albadine, R.; Trudel, D. Hematoxylin and Eosin Counterstaining Protocol for Immunohistochemistry Interpretation and Diagnosis. Appl. Immunohistochem. Mol. Morphol. 2019, 27, 558–563. [Google Scholar] [CrossRef] [PubMed]
- Lin, J.R.; Chen, Y.A.; Campton, D.; Cooper, J.; Coy, S.; Yapp, C.; Tefft, J.B.; McCarty, E.; Ligon, K.L.; Rodig, S.J.; et al. High-plex immunofluorescence imaging and traditional histology of the same tissue section for discovering image-based biomarkers. Nat. Cancer 2023, 4, 1036–1052. [Google Scholar] [CrossRef] [PubMed]
- Morrison, L.E.; Lefever, M.R.; Lewis, H.N.; Kapadia, M.J.; Bauer, D.R. Conventional histological and cytological staining with simultaneous immunohistochemistry enabled by invisible chromogens. Lab. Investig. 2022, 102, 545–553. [Google Scholar] [CrossRef] [PubMed]
- Day, W.A.; Lefever, M.R.; Ochs, R.L.; Pedata, A.; Behman, L.J.; Ashworth-Sharpe, J.; Johnson, D.D.; May, E.J.; Grille, J.G.; Roberts, E.A.; et al. Covalently deposited dyes: A new chromogen paradigm that facilitates analysis of multiple biomarkers in situ. Lab. Investig. 2017, 97, 104–113. [Google Scholar] [CrossRef]
- Teele, R.P. Photometry in Applied Optics and Optical Engineering Vol 1 Light: It’s generation and modification; Academic Press: New York, NY, USA, 1965; Volume VI. [Google Scholar]
- Morrison, L.E.; Lefever, M.R.; Behman, L.J.; Leibold, T.; Roberts, E.A.; Horchner, U.B.; Bauer, D.R. Brightfield multiplex immunohistochemistry with multispectral imaging. Lab. Investig. 2020, 100, 1124–1136. [Google Scholar] [CrossRef]
- Keshava, N.; Mustard, J.F. Spectral unmixing. Ieee Signal Proc. Mag. 2002, 19, 44–57. [Google Scholar] [CrossRef]
- Zimmermann, T.; Marrison, J.; Hogg, K.; O’Toole, P. Clearing up the signal: Spectral imaging and linear unmixing in fluorescence microscopy. Methods Mol. Biol. 2014, 1075, 129–148. [Google Scholar] [CrossRef]
- Ruifrok, A.C.; Johnston, D.A. Quantification of histochemical staining by color deconvolution. Anal. Quant. Cytol. Histol. 2001, 23, 291–299. [Google Scholar] [PubMed]
- Schneider, C.A.; Rasband, W.S.; Eliceiri, K.W. NIH Image to ImageJ: 25 years of image analysis. Nat. Methods 2012, 9, 671–675. [Google Scholar] [CrossRef] [PubMed]
- Rajendran, R.; Beck, R.C.; Waskasi, M.M.; Kelly, B.D.; Bauer, D.R. Digital analysis of the prostate tumor microenvironment with high-order chromogenic multiplexing. J. Pathol. Inf. 2024, 15, 100352. [Google Scholar] [CrossRef]
- Galon, J.; Lanzi, A. Immunoscore and its introduction in clinical practice. Q. J. Nucl. Med. Mol. Imaging 2020, 64, 152–161. [Google Scholar] [CrossRef] [PubMed]
- Lu, S.; Stein, J.E.; Rimm, D.L.; Wang, D.W.; Bell, J.M.; Johnson, D.B.; Sosman, J.A.; Schalper, K.A.; Anders, R.A.; Wang, H.; et al. Comparison of Biomarker Modalities for Predicting Response to PD-1/PD-L1 Checkpoint Blockade: A Systematic Review and Meta-analysis. JAMA Oncol. 2019, 5, 1195–1204. [Google Scholar] [CrossRef] [PubMed]
- Bai, R.; Lv, Z.; Xu, D.; Cui, J. Predictive biomarkers for cancer immunotherapy with immune checkpoint inhibitors. Biomark. Res. 2020, 8, 34. [Google Scholar] [CrossRef]
- Kuppers, R.; Hansmann, M.L. The Hodgkin and Reed/Sternberg cell. Int. J. Biochem. Cell Biol. 2005, 37, 511–517. [Google Scholar] [CrossRef] [PubMed]
- Gomez-Gelvez, J.C.; Smith, L.B. Reed-Sternberg-Like Cells in Non-Hodgkin Lymphomas. Arch. Pathol. Lab. Med. 2015, 139, 1205–1210. [Google Scholar] [CrossRef]
- Barry, T.S.; Jaffe, E.S.; Sorbara, L.; Raffeld, M.; Pittaluga, S. Peripheral T-cell lymphomas expressing CD30 and CD15. Am. J. Surg. Pathol. 2003, 27, 1513–1522. [Google Scholar] [CrossRef]
- Pegram, M.D.; Pauletti, G.; Slamon, D.J. HER-2/neu as a predictive marker of response to breast cancer therapy. Breast Cancer Res. Treat. 1998, 52, 65–77. [Google Scholar] [CrossRef] [PubMed]
- Osborne, C.K.; Yochmowitz, M.G.; Knight, W.A., 3rd; McGuire, W.L. The value of estrogen and progesterone receptors in the treatment of breast cancer. Cancer 1980, 46, 2884–2888. [Google Scholar] [CrossRef] [PubMed]
- Kielb, P.; Kowalczyk, K.; Gurwin, A.; Nowak, L.; Krajewski, W.; Sosnowski, R.; Szydelko, T.; Malkiewicz, B. Novel Histopathological Biomarkers in Prostate Cancer: Implications and Perspectives. Biomedicines 2023, 11, 1552. [Google Scholar] [CrossRef] [PubMed]
- Ruschoff, J.H.; Stratton, S.; Roberts, E.; Clark, S.; Sebastiao, N.; Fankhauser, C.D.; Eberli, D.; Moch, H.; Wild, P.J.; Rupp, N.J. A novel 5x multiplex immunohistochemical staining reveals PSMA as a helpful marker in prostate cancer with low p504s expression. Pathol. Res. Pract. 2021, 228, 153667. [Google Scholar] [CrossRef] [PubMed]
- Wolff, A.C.; Hammond, M.E.H.; Allison, K.H.; Harvey, B.E.; Mangu, P.B.; Bartlett, J.M.S.; Bilous, M.; Ellis, I.O.; Fitzgibbons, P.; Hanna, W.; et al. Human Epidermal Growth Factor Receptor 2 Testing in Breast Cancer: American Society of Clinical Oncology/College of American Pathologists Clinical Practice Guideline Focused Update. J. Clin. Oncol. 2018, 36, 2105–2122. [Google Scholar] [CrossRef] [PubMed]
- Zhang, H.; Katerji, H.; Turner, B.M.; Hicks, D.G. HER2-Low Breast Cancers. Am. J. Clin. Pathol. 2022, 157, 328–336. [Google Scholar] [CrossRef] [PubMed]
- Modi, S.; Jacot, W.; Yamashita, T.; Sohn, J.; Vidal, M.; Tokunaga, E.; Tsurutani, J.; Ueno, N.T.; Prat, A.; Chae, Y.S.; et al. Trastuzumab Deruxtecan in Previously Treated HER2-Low Advanced Breast Cancer. N. Engl. J. Med. 2022, 387, 9–20. [Google Scholar] [CrossRef] [PubMed]







| Specimen | Conventional Stain | Biomarker | Chromogen | Optical channel | Figure | |
|---|---|---|---|---|---|---|
| Lamp | Filter * | |||||
| Melanoma | H&E | LAG3 | sCy7 | 770 nm LED | none | 2A |
| Breast tumor | H&E | HER2 | ir870 | tungsten | 880/40 | 2B–D |
| Hodgkin’s lymphoma | H&E | CD30 | AMC | 365 nm LED | 375/28 | 3 |
| CD15 | sCy7 | tungsten | 769/49 | |||
| Breast tumor | H&E | HER2 | AMC | 365 nm LED | 375/28 | 4 |
| ER | sCy7 | tungsten | 769/49 | |||
| PR | ir870 | tungsten | 880/40 | |||
| DAB IHC + hematoxylin | HER2 | DAB | tungsten | 405/30 | 7 | |
| PD-L1 | sCy7 | tungsten | 769/49 | |||
| Prostate tumor | H&E | PSMA | AMC | 365 nm LED | 375/28 | 5, 6 |
| CD8 | NMC | tungsten | 405/30 | |||
| basal cell | sCy7 | tungsten | 769/49 | |||
| P504S | ir870 | tungsten | 880/40 | |||
Disclaimer/Publisher’s Note: The statements, opinions and data contained in all publications are solely those of the individual author(s) and contributor(s) and not of MDPI and/or the editor(s). MDPI and/or the editor(s) disclaim responsibility for any injury to people or property resulting from any ideas, methods, instructions or products referred to in the content. |
© 2025 by the authors. Licensee MDPI, Basel, Switzerland. This article is an open access article distributed under the terms and conditions of the Creative Commons Attribution (CC BY) license (https://creativecommons.org/licenses/by/4.0/).
Share and Cite
Morrison, L.E.; Larrinaga, T.M.; Kelly, B.D.; Lefever, M.R.; Beck, R.C.; Bauer, D.R. Concurrent Viewing of H&E and Multiplex Immunohistochemistry in Clinical Specimens. Diagnostics 2025, 15, 164. https://doi.org/10.3390/diagnostics15020164
Morrison LE, Larrinaga TM, Kelly BD, Lefever MR, Beck RC, Bauer DR. Concurrent Viewing of H&E and Multiplex Immunohistochemistry in Clinical Specimens. Diagnostics. 2025; 15(2):164. https://doi.org/10.3390/diagnostics15020164
Chicago/Turabian StyleMorrison, Larry E., Tania M. Larrinaga, Brian D. Kelly, Mark R. Lefever, Rachel C. Beck, and Daniel R. Bauer. 2025. "Concurrent Viewing of H&E and Multiplex Immunohistochemistry in Clinical Specimens" Diagnostics 15, no. 2: 164. https://doi.org/10.3390/diagnostics15020164
APA StyleMorrison, L. E., Larrinaga, T. M., Kelly, B. D., Lefever, M. R., Beck, R. C., & Bauer, D. R. (2025). Concurrent Viewing of H&E and Multiplex Immunohistochemistry in Clinical Specimens. Diagnostics, 15(2), 164. https://doi.org/10.3390/diagnostics15020164

