Low-Grade Endometrial Stromal Sarcoma: A Case Report of a Rare Uterine Malignancy Mimicking Degenerative Uterine Leiomyoma in a Nulliparous Woman
Abstract
1. Introduction
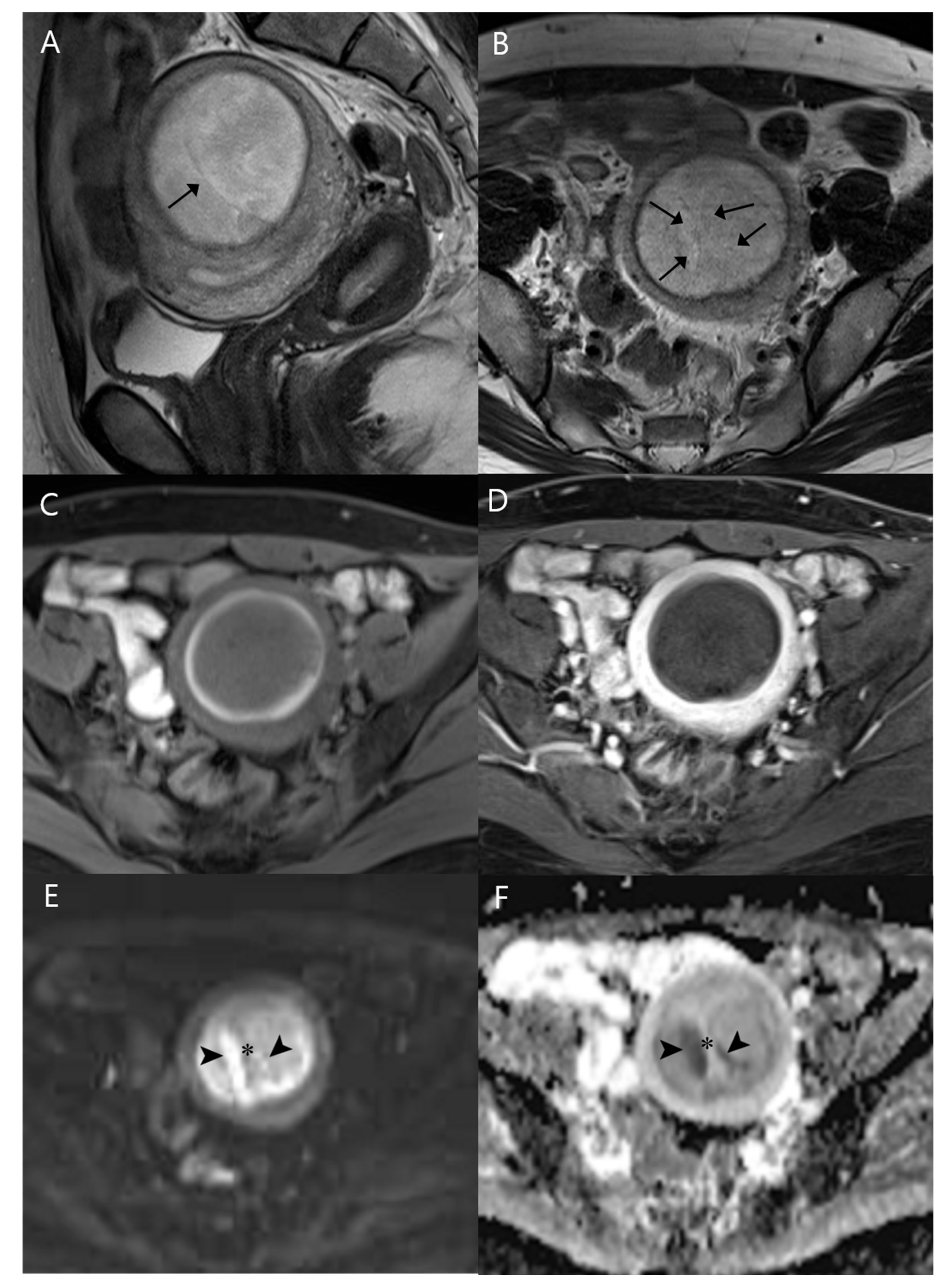
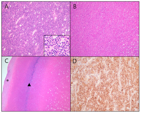
2. Case Report
3. Discussion
4. Conclusions
Author Contributions
Funding
Institutional Review Board Statement
Informed Consent Statement
Data Availability Statement
Acknowledgments
Conflicts of Interest
References
- Hoang, L.; Chiang, S.; Lee, C.-H. Endometrial stromal sarcomas and related neoplasms: New developments and diagnostic considerations. Pathology 2018, 50, 162–177. [Google Scholar] [CrossRef] [PubMed]
- Thiel, F.C.; Halmen, S. Low-Grade Endometrial Stromal Sarcoma—A Review. Oncol. Res. Treat. 2018, 41, 687–692. [Google Scholar] [CrossRef] [PubMed]
- Li, H.M.; Liu, J.; Qiang, J.W.; Gu, W.Y.; Zhang, G.F.; Ma, F.H. Endometrial Stromal Sarcoma of the Uterus: Magnetic Resonance Imaging Findings Including Apparent Diffusion Coefficient Value and Its Correlation with Ki-67 Expression. Int. J. Gynecol. Cancer 2017, 27, 1877. [Google Scholar] [CrossRef] [PubMed]
- Gadducci, A.; Multinu, F.; De Vitis, L.A.; Cosio, S.; Carinelli, S.; Aletti, G.D. Endometrial stromal tumors of the uterus: Epidemiology, pathological and biological features, treatment options and clinical outcomes. Gynecol. Oncol. 2023, 171, 95–105. [Google Scholar] [CrossRef] [PubMed]
- Xie, W.; Cao, D.; Yang, J.; Jiang, X.; Shen, K.; Pan, L.; Huang, H.; Lang, J.; You, Y.; Chen, J. Fertility-sparing surgery for patients with low-grade endometrial stromal sarcoma. Oncotarget 2017, 8, 10602–10608. [Google Scholar] [CrossRef]
- Himoto, Y.; Kido, A.; Sakata, A.; Moribata, Y.; Kurata, Y.; Suzuki, A.; Matsumura, N.; Shitano, F.; Kawahara, S.; Kubo, S.; et al. Differentiation of uterine low-grade endometrial stromal sarcoma from rare leiomyoma variants by magnetic resonance imaging. Sci. Rep. 2021, 11, 19124. [Google Scholar] [CrossRef]
- Bai, H.; Yang, J.; Cao, D.; Huang, H.; Xiang, Y.; Wu, M.; Cui, Q.; Chen, J.; Lang, J.; Shen, K. Ovary and uterus-sparing procedures for low-grade endometrial stromal sarcoma: A retrospective study of 153 cases. Gynecol. Oncol. 2014, 132, 654–660. [Google Scholar] [CrossRef]
- Chen, Q.; Shi, H.; Lu, W.; Lu, B. Unexpected uterine sarcomas in 4478 patients with electric power morcellation for leiomyomas. Eur. J. Obstet. Gynecol. Reprod. Biol. 2018, 230, 85–89. [Google Scholar] [CrossRef]
- Ueda, M.; Otsuka, M.; Hatakenaka, M.; Sakai, S.; Ono, M.; Yoshimitsu, K.; Honda, H.; Torii, Y. MR imaging findings of uterine endometrial stromal sarcoma: Differentiation from endometrial carcinoma. Eur. Radiol. 2001, 11, 28–33. [Google Scholar] [CrossRef]
- Koyama, T.; Togashi, K.; Konishi, I.; Kobayashi, H.; Ueda, H.; Kataoka, M.L.; Kobayashi, H.; Itoh, T.; Higuchi, T.; Fujii, S.; et al. MR imaging of endometrial stromal sarcoma: Correlation with pathologic findings. AJR Am. J. Roentgenol. 1999, 173, 767–772. [Google Scholar] [CrossRef]
- Furukawa, R.; Akahane, M.; Yamada, H.; Kiryu, S.; Sato, J.; Komatsu, S.; Inoh, S.; Yoshioka, N.; Maeda, E.; Takazawa, Y.; et al. Endometrial stromal sarcoma located in the myometrium with a low-intensity rim on T2-weighted images: Report of three cases and literature review. J. Magn. Reson. Imaging 2010, 31, 975–979. [Google Scholar] [CrossRef] [PubMed]
- Sizzi, O.; Manganaro, L.; Rossetti, A.; Saldari, M.; Florio, G.; Loddo, A.; Zurawin, R.; van Herendael, B.; Djokovic, D. Assessing the risk of laparoscopic morcellation of occult uterine sarcomas during hysterectomy and myomectomy: Literature review and the ISGE recommendations. Eur. J. Obstet. Gynecol. Reprod. Biol. 2018, 220, 30–38. [Google Scholar] [CrossRef] [PubMed]
- Moss, E.L.; Morgan, G.; Martin, A.P.; Sarhanis, P.; Ind, T. Surgical trends, outcomes and disparities in minimal invasive surgery for patients with endometrial cancer in England: A retrospective cohort study. BMJ Open 2020, 10, e036222. [Google Scholar] [CrossRef] [PubMed]
- Herling, S.F.; Palle, C.; Møller, A.M.; Thomsen, T.; Sørensen, J. Cost-analysis of robotic-assisted laparoscopic hysterectomy versus total abdominal hysterectomy for women with endometrial cancer and atypical complex hyperplasia. Acta Obstet. Et Gynecol. Scand. 2016, 95, 299–308. [Google Scholar] [CrossRef]
- Agarwal, C.; Pujani, M.; Chauhan, V.; Chawla, R.; Agarwal, A.; Menia, R. Cellular Leiomyoma versus Endometrial Stromal Sarcoma: A Report of a Rare Case Presenting a Diagnostic Challenge on Intraoperative Frozen Section. Gynecol. Minim. Invasive Ther. 2022, 11, 182–184. [Google Scholar] [CrossRef]
- Neelayadakshi, B.; Sudha, V. Exploring the Diagnostic Challenges of Uterine Lesions in Frozen Section: A Comprehensive Study at a Tertiary Care Center. Cureus 2024, 16, e58577. [Google Scholar] [CrossRef]
- Sousa, F.A.E.; Ferreira, J.; Cunha, T.M. MR Imaging of uterine sarcomas: A comprehensive review with radiologic-pathologic correlation. Abdom. Radiol. 2021, 46, 5687–5706. [Google Scholar] [CrossRef]
- Barral, M.; Placé, V.; Dautry, R.; Bendavid, S.; Cornelis, F.; Foucher, R.; Guerrache, Y.; Soyer, P. Magnetic resonance imaging features of uterine sarcoma and mimickers. Abdom. Radiol. 2017, 42, 1762–1772. [Google Scholar] [CrossRef]
- Kawakami, S.; Togashi, K.; Konishi, I.; Kimura, I.; Fukuoka, M.; Mori, T.; Konishi, J. Red degeneration of uterine leiomyoma: MR appearance. J. Comput. Assist. Tomogr. 1994, 18, 925–928. [Google Scholar] [CrossRef]
- Chen, C.; Hu, Y.Q.; Zhang, X.M. Magnetic resonance imaging features of endometrial stromal sarcoma: A case description. Quant. Imaging Med. Surg. 2017, 7, 159–162. [Google Scholar] [CrossRef]
- Takeuchi, M.; Matsuzaki, K.; Bando, Y.; Harada, M. Evaluation of Red Degeneration of Uterine Leiomyoma with Susceptibility-weighted MR Imaging. Magn. Reson. Med. Sci. 2019, 18, 158–162. [Google Scholar] [CrossRef] [PubMed]
- Liu, W.; Yu, B.; Lv, F.; Liang, K.; Xiao, Z. Optimization of Magnetic Susceptibility Weighted Imaging for Female Pelvic Scans. Preprints 2024, 2024060479. [Google Scholar] [CrossRef]
- Zujic, P.V.; Solocki-Matic, T.; Klaric, K.; Avirovic, M. Non-enhancing malignant lesions of the breast: A case report and review of literature. Heliyon 2023, 9, e14498. [Google Scholar] [CrossRef] [PubMed]
- Gupta, A.; Young, R.J.; Karimi, S.; Sood, S.; Zhang, Z.; Mo, Q.; Gutin, P.H.; Holodny, A.I.; Lassman, A.B. Isolated Diffusion Restriction Precedes the Development of Enhancing Tumor in a Subset of Patients with Glioblastoma. Am. J. Neuroradiol. 2011, 32, 1301–1306. [Google Scholar] [CrossRef]
- Akaev, I.; Yeoh, C.C.; Rahimi, S. Update on Endometrial Stromal Tumours of the Uterus. Diagnostics 2021, 11, 429. [Google Scholar] [CrossRef]


Disclaimer/Publisher’s Note: The statements, opinions and data contained in all publications are solely those of the individual author(s) and contributor(s) and not of MDPI and/or the editor(s). MDPI and/or the editor(s) disclaim responsibility for any injury to people or property resulting from any ideas, methods, instructions or products referred to in the content. |
© 2024 by the authors. Licensee MDPI, Basel, Switzerland. This article is an open access article distributed under the terms and conditions of the Creative Commons Attribution (CC BY) license (https://creativecommons.org/licenses/by/4.0/).
Share and Cite
Lee, H.K.; Jang, W.; Kim, K.M.; Song, J.S. Low-Grade Endometrial Stromal Sarcoma: A Case Report of a Rare Uterine Malignancy Mimicking Degenerative Uterine Leiomyoma in a Nulliparous Woman. Diagnostics 2025, 15, 18. https://doi.org/10.3390/diagnostics15010018
Lee HK, Jang W, Kim KM, Song JS. Low-Grade Endometrial Stromal Sarcoma: A Case Report of a Rare Uterine Malignancy Mimicking Degenerative Uterine Leiomyoma in a Nulliparous Woman. Diagnostics. 2025; 15(1):18. https://doi.org/10.3390/diagnostics15010018
Chicago/Turabian StyleLee, Hyun Kyung, Weon Jang, Kyoung Min Kim, and Ji Soo Song. 2025. "Low-Grade Endometrial Stromal Sarcoma: A Case Report of a Rare Uterine Malignancy Mimicking Degenerative Uterine Leiomyoma in a Nulliparous Woman" Diagnostics 15, no. 1: 18. https://doi.org/10.3390/diagnostics15010018
APA StyleLee, H. K., Jang, W., Kim, K. M., & Song, J. S. (2025). Low-Grade Endometrial Stromal Sarcoma: A Case Report of a Rare Uterine Malignancy Mimicking Degenerative Uterine Leiomyoma in a Nulliparous Woman. Diagnostics, 15(1), 18. https://doi.org/10.3390/diagnostics15010018

