Automated Detection and Differentiation of Stanford Type A and Type B Aortic Dissections in CTA Scans Using Deep Learning
Abstract
1. Introduction
2. Materials and Methods
2.1. Study Design
2.2. Dataset
2.3. CT Image Acquisition
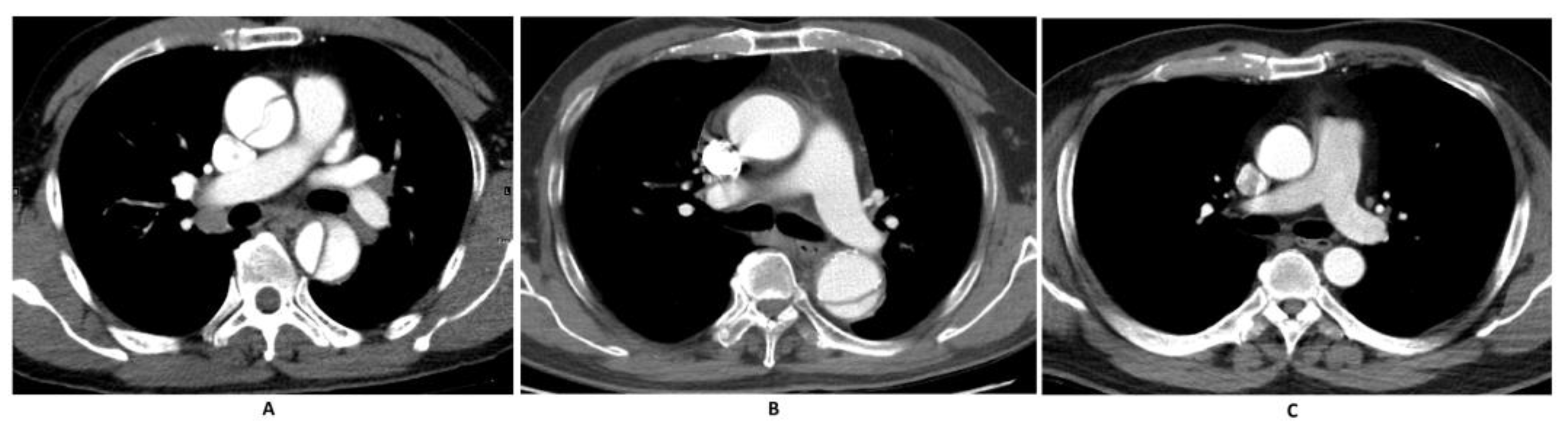
2.4. Aorta Labeling
2.5. Main Framework
2.6. Statistical Analysis
3. Result
3.1. Patient Selection and Demographic
3.2. Objection Detection Model
3.3. Dissection Classification Model
3.4. Whole System Evaluation
4. Discussion
5. Conclusions
Author Contributions
Funding
Institutional Review Board Statement
Informed Consent Statement
Data Availability Statement
Conflicts of Interest
References
- Melvinsdottir, I.H.; Lund, S.H.; Agnarsson, B.A.; Sigvaldason, K.; Gudbjartsson, T.; Geirsson, A. The incidence and mortality of acute thoracic aortic dissection: Results from a whole nation study. Eur. J. Cardiothorac. Surg. 2016, 50, 1111–1117. [Google Scholar] [CrossRef] [PubMed]
- Clouse, W.D.; Hallett, J.W., Jr.; Schaff, H.V.; Spittell, P.C.; Rowland, C.M.; Ilstrup, D.M.; Melton, L.J., 3rd. Acute aortic dissection: Population-based incidence compared with degenerative aortic aneurysm rupture. Mayo Clin. Proc. 2004, 79, 176–180. [Google Scholar] [CrossRef] [PubMed]
- Nienaber, C.A.; Eagle, K.A. Aortic dissection: New frontiers in diagnosis and management: Part I: From etiology to diagnostic strategies. Circulation 2003, 108, 628–635. [Google Scholar] [CrossRef] [PubMed]
- Moore, A.G.; Eagle, K.A.; Bruckman, D.; Moon, B.S.; Malouf, J.F.; Fattori, R.; Evangelista, A.; Isselbacher, E.M.; Suzuki, T.; Nienaber, C.A.; et al. Choice of computed tomography, transesophageal echocardiography, magnetic resonance imaging, and aortography in acute aortic dissection: International Registry of Acute Aortic Dissection (IRAD). Am. J. Cardiol. 2002, 89, 1235–1238. [Google Scholar] [CrossRef]
- Shiga, T.; Wajima, Z.; Apfel, C.C.; Inoue, T.; Ohe, Y. Diagnostic accuracy of transesophageal echocardiography, helical computed tomography, and magnetic resonance imaging for suspected thoracic aortic dissection: Systematic review and meta-analysis. Arch. Intern. Med. 2006, 166, 1350–1356. [Google Scholar] [CrossRef]
- Expert Panel on Vascular Imaging; Gunn, A.J.; Kalva, S.P.; Majdalany, B.S.; Craft, J.; Eldrup-Jorgensen, J.; Ferencik, M.; Ganguli, S.; Kendi, A.T.; Khaja, M.S.; et al. ACR Appropriateness Criteria(R) Nontraumatic Aortic Disease. J. Am. Coll. Radiol. 2021, 18, S106–S118. [Google Scholar] [CrossRef]
- Lamb, L.; Kashani, P.; Ryan, J.; Hebert, G.; Sheikh, A.; Thornhill, R.; Fasih, N. Impact of an in-house emergency radiologist on report turnaround time. CJEM 2015, 17, 21–26. [Google Scholar] [CrossRef]
- Ronneberger, O.; Fischer, P.; Brox, T. U-Net: Convolutional Networks for Biomedical Image Segmentation. In Medical Image Computing and Computer-Assisted Intervention—MICCAI 2015; Navab, N., Hornegger, J., Wells, W.M., Frangi, A.F., Eds.; Springer International Publishing: Cham, Switzerland, 2015; pp. 234–241. [Google Scholar]
- Hata, A.; Yanagawa, M.; Yamagata, K.; Suzuki, Y.; Kido, S.; Kawata, A.; Doi, S.; Yoshida, Y.; Miyata, T.; Tsubamoto, M.; et al. Deep learning algorithm for detection of aortic dissection on non-contrast-enhanced CT. Eur. Radiol. 2021, 31, 1151–1159. [Google Scholar] [CrossRef]
- Yi, Y.; Mao, L.; Wang, C.; Guo, Y.; Luo, X.; Jia, D.; Lei, Y.; Pan, J.; Li, J.; Li, S.; et al. Advanced Warning of Aortic Dissection on Non-Contrast CT: The Combination of Deep Learning and Morphological Characteristics. Front. Cardiovasc. Med. 2021, 8, 762958. [Google Scholar] [CrossRef]
- Cheng, Z.; Zhao, L.; Yan, J.; Zhang, H.; Lin, S.; Yin, L.; Peng, C.; Ma, X.; Xie, G.; Sun, L. A deep learning algorithm for the detection of aortic dissection on non-contrast-enhanced computed tomography via the identification and segmentation of the true and false lumens of the aorta. Quant. Imaging Med. Surg. 2024, 14, 7365–7378. [Google Scholar] [CrossRef]
- Raj, A.; Allababidi, A.; Kayed, H.; Gerken, A.L.H.; Muller, J.; Schoenberg, S.O.; Zollner, F.G.; Rink, J.S. Streamlining Acute Abdominal Aortic Dissection Management-An AI-based CT Imaging Workflow. J. Imaging Inform. Med. 2024, 37, 2729–2739. [Google Scholar] [CrossRef] [PubMed]
- Lin, T.-Y.; Goyal, P.; Girshick, R.; He, K.; Dollar, P. Focal Loss for Dense Object Detection. In Proceedings of the 2017 IEEE International Conference on Computer Vision (ICCV), Venice, Italy, 22–29 October 2017; pp. 2980–2988. [Google Scholar] [CrossRef]
- Tan, M.; Le, Q.V. EfficientNet: Rethinking Model Scaling for Convolutional Neural Networks. In Proceedings of the 36th International Conference on Machine Learning, Long beach, CA, USA, 9–15 June 2019; pp. 6105–6114. [Google Scholar] [CrossRef]
- He, K.; Zhang, X.; Ren, S.; Sun, J. Deep Residual Learning for Image Recognition. In Proceedings of the IEEE Conference on Computer Vision and Pattern Recognition, Las Vegas, NV, USA, 27–30 June 2016; pp. 770–778. [Google Scholar] [CrossRef]
- Wang, T.-H. Premarket Notification [510(k)] Summary: K240291. U.S. Food and Drug Administration. Available online: https://www.accessdata.fda.gov/cdrh_docs/pdf24/K240291.pdf (accessed on 18 December 2024).
- Howard, D.P.; Banerjee, A.; Fairhead, J.F.; Perkins, J.; Silver, L.E.; Rothwell, P.M. Oxford Vascular Study. Population-based study of incidence and outcome of acute aortic dissection and premorbid risk factor control: 10-year results from the Oxford Vascular Study. Circulation 2013, 127, 2031–2037. [Google Scholar] [CrossRef] [PubMed]
- Harris, K.M.; Nienaber, C.A.; Peterson, M.D.; Woznicki, E.M.; Braverman, A.C.; Trimarchi, S.; Myrmel, T.; Pyeritz, R.; Hutchison, S.; Strauss, C.; et al. Early Mortality in Type A Acute Aortic Dissection: Insights From the International Registry of Acute Aortic Dissection. JAMA Cardiol. 2022, 7, 1009–1015. [Google Scholar] [CrossRef] [PubMed]
- Pepe, A.; Li, J.; Rolf-Pissarczyk, M.; Gsaxner, C.; Chen, X.; Holzapfel, G.A.; Egger, J. Detection, segmentation, simulation and visualization of aortic dissections: A review. Med. Image Anal. 2020, 65, 101773. [Google Scholar] [CrossRef]
- Cao, L.; Shi, R.; Ge, Y.; Xing, L.; Zuo, P.; Jia, Y.; Liu, J.; He, Y.; Wang, X.; Luan, S.; et al. Fully automatic segmentation of type B aortic dissection from CTA images enabled by deep learning. Eur. J. Radiol. 2019, 121, 108713. [Google Scholar] [CrossRef]
- Yu, Y.; Gao, Y.; Wei, J.; Liao, F.; Xiao, Q.; Zhang, J.; Yin, W.; Lu, B. A Three-Dimensional Deep Convolutional Neural Network for Automatic Segmentation and Diameter Measurement of Type B Aortic Dissection. Korean J. Radiol. 2021, 22, 168–178. [Google Scholar] [CrossRef]
- Hahn, L.D.; Mistelbauer, G.; Higashigaito, K.; Koci, M.; Willemink, M.J.; Sailer, A.M.; Fischbein, M.; Fleischmann, D. CT-based True- and False-Lumen Segmentation in Type B Aortic Dissection Using Machine Learning. Radiol. Cardiothorac. Imaging 2020, 2, e190179. [Google Scholar] [CrossRef]
- Wobben, L.D.; Codari, M.; Mistelbauer, G.; Pepe, A.; Higashigaito, K.; Hahn, L.D.; Mastrodicasa, D.; Turner, V.L.; Hinostroza, V.; Baumler, K.; et al. Deep Learning-Based 3D Segmentation of True Lumen, False Lumen, and False Lumen Thrombosis in Type-B Aortic Dissection. In Proceedings of the Annual International Conference of the IEEE Engineering in Medicine & Biology Society, Guadalajara, Mexico, 1–5 November 2021; Volume 2021, pp. 3912–3915. [Google Scholar] [CrossRef]
- Huang, L.T.; Tsai, Y.S.; Liou, C.F.; Lee, T.H.; Kuo, P.P.; Huang, H.S.; Wang, C.K. Automated Stanford classification of aortic dissection using a 2-step hierarchical neural network at computed tomography angiography. Eur. Radiol. 2022, 32, 2277–2285. [Google Scholar] [CrossRef]
- Harris, R.J.; Kim, S.; Lohr, J.; Towey, S.; Velichkovich, Z.; Kabachenko, T.; Driscoll, I.; Baker, B. Classification of Aortic Dissection and Rupture on Post-contrast CT Images Using a Convolutional Neural Network. J. Digit. Imaging 2019, 32, 939–946. [Google Scholar] [CrossRef]
- Barrett, J.F.; Keat, N. Artifacts in CT: Recognition and avoidance. Radiographics 2004, 24, 1679–1691. [Google Scholar] [CrossRef]
- Gupta, A.; Obmann, V.C.; Jordan, M.; Lennartz, S.; Obmann, M.M.; Grosse Hokamp, N.; Zopfs, D.; Pennig, L.; Furtjes, G.; Ramaiya, N.; et al. CT artifacts after contrast media injection in chest imaging: Evaluation of post-processing algorithms, virtual monoenergetic images and their combination for artifact reduction. Quant. Imaging Med. Surg. 2021, 11, 226–239. [Google Scholar] [CrossRef]
- Perone, F.; Guglielmo, M.; Coceani, M.; La Mura, L.; Dentamaro, I.; Sabatino, J.; Gimelli, A. The Role of Multimodality Imaging Approach in Acute Aortic Syndromes: Diagnosis, Complications, and Clinical Management. Diagnostics 2023, 13, 650. [Google Scholar] [CrossRef]




| Set | Ascending Aorta | Aortic Arch | Descending Aorta | Images |
|---|---|---|---|---|
| Training | 7191 | 2709 | 19,334 | 21,992 (398 patients) |
| Validation | 927 | 343 | 2575 | 2916 (50 patients) |
| Test | 885 | 353 | 2433 | 2787 (50 patients) |
| Set | Positive | Negative | Images |
|---|---|---|---|
| Training | 1516 | 25,765 | 27,281 |
| Validation | 303 | 35,797 | 3882 |
| Test | 262 | 197 | 459 |
| Model Developing Dataset | Independent Testing Dataset | p Value | |
|---|---|---|---|
| Age (year) | 59.30 ± 13.51 | 60.32 ± 13.57 | 0.296 |
| Sex | 0.058 | ||
| Male | 277 (55.6%) | 197 (62.1%) | |
| Female | 221 (44.4%) | 119 (37.7%) | |
| Aortic dissection | <0.001 | ||
| Normal | 422 (84.7%) | 247 (78.2%) | |
| Type A | 54 (10.8%) | 32 (10.1%) | |
| Type B | 22 (4.4%) | 37 (11.7%) |
| Study [Reference], Year, Country | Sample Size | Framework | Imaging Modality | Dissection Type Interpretation | Intramural Hematoma Identification | Sensitivity (%) | Specificity (%) |
|---|---|---|---|---|---|---|---|
| Our model 2024, Taiwan | 814 (145 AD) | 2D | CTA | Yes | No | 96.9 (Type A) 94.6 (Type B) 98.8 (Normal) | 98.2 (Type A) 99.6 (Type B) 100.0 (Normal) |
| Hata et al. [9] 2020, Japan | 170 (85 AD) | 2D | Non-enhanced CT | No | No | 90.0 | 88.2 |
| Yi et al. [10] 2022, China | 452 (185 AD) | 3D | Non-enhanced CT | Yes | No | 86.2 | 92.3 |
| Huang et al. [24] 2022, Taiwan | 130 (100 AD) | 3D | CTA | Yes | No | 95.45 (Type A) 79.31 (Type B) 93.53 (Normal) | 98.55 (Type A) 94.05 (Type B) 94.12 (Normal) |
| Harris et al. [25] 2019, USA | 34,689 (112 AD) | 3D | CTA | No | No | 87.8 | 96 |
| Wang [16] 2024, USA | 380 (156 AD) | No detail | CTA | No | Yes | 92.9 | 91.5 |
Disclaimer/Publisher’s Note: The statements, opinions and data contained in all publications are solely those of the individual author(s) and contributor(s) and not of MDPI and/or the editor(s). MDPI and/or the editor(s) disclaim responsibility for any injury to people or property resulting from any ideas, methods, instructions or products referred to in the content. |
© 2024 by the authors. Licensee MDPI, Basel, Switzerland. This article is an open access article distributed under the terms and conditions of the Creative Commons Attribution (CC BY) license (https://creativecommons.org/licenses/by/4.0/).
Share and Cite
Liu, H.-H.; Chang, C.-B.; Chen, Y.-S.; Kuo, C.-F.; Lin, C.-Y.; Ma, C.-Y.; Wang, L.-J. Automated Detection and Differentiation of Stanford Type A and Type B Aortic Dissections in CTA Scans Using Deep Learning. Diagnostics 2025, 15, 12. https://doi.org/10.3390/diagnostics15010012
Liu H-H, Chang C-B, Chen Y-S, Kuo C-F, Lin C-Y, Ma C-Y, Wang L-J. Automated Detection and Differentiation of Stanford Type A and Type B Aortic Dissections in CTA Scans Using Deep Learning. Diagnostics. 2025; 15(1):12. https://doi.org/10.3390/diagnostics15010012
Chicago/Turabian StyleLiu, Hung-Hsien, Chun-Bi Chang, Yi-Sa Chen, Chang-Fu Kuo, Chun-Yu Lin, Cheng-Yu Ma, and Li-Jen Wang. 2025. "Automated Detection and Differentiation of Stanford Type A and Type B Aortic Dissections in CTA Scans Using Deep Learning" Diagnostics 15, no. 1: 12. https://doi.org/10.3390/diagnostics15010012
APA StyleLiu, H.-H., Chang, C.-B., Chen, Y.-S., Kuo, C.-F., Lin, C.-Y., Ma, C.-Y., & Wang, L.-J. (2025). Automated Detection and Differentiation of Stanford Type A and Type B Aortic Dissections in CTA Scans Using Deep Learning. Diagnostics, 15(1), 12. https://doi.org/10.3390/diagnostics15010012

