Tailgut Cyst—Gynecologist’s Pitfall: Literature Review and Case Report
Abstract
1. Introduction
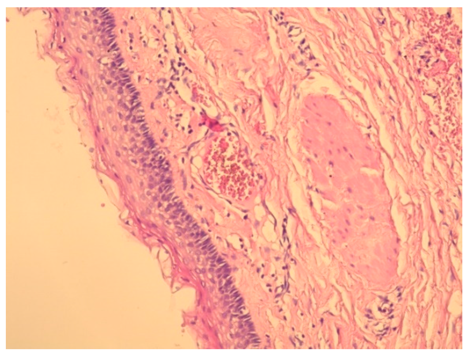
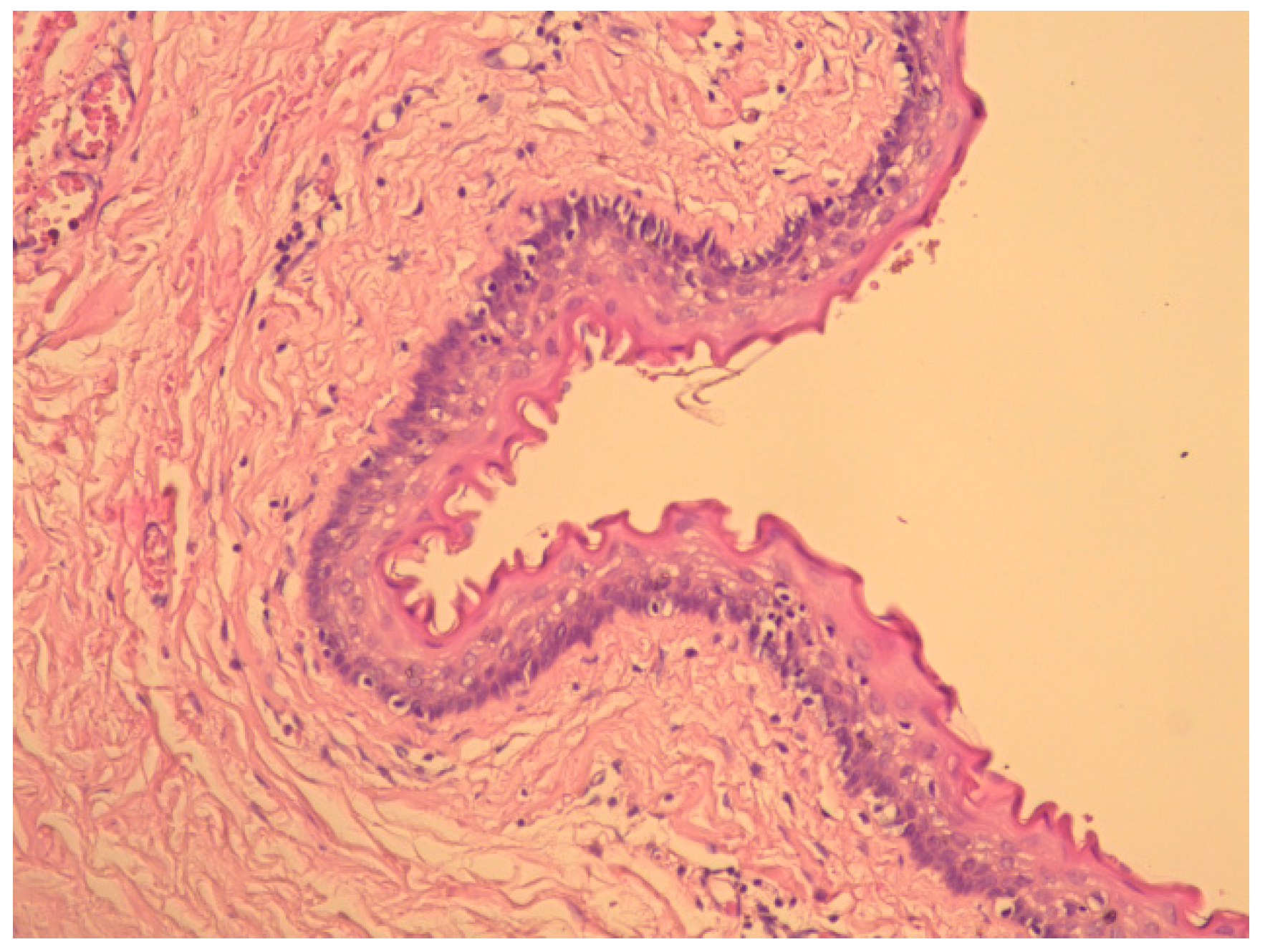
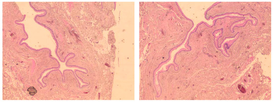
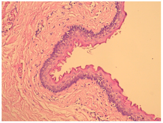
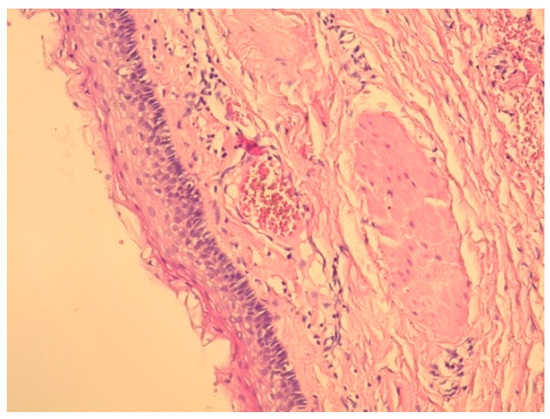
2. Case Presentation
3. Materials and Methods
4. Discussion
5. Conclusions
Author Contributions
Funding
Institutional Review Board Statement
Informed Consent Statement
Data Availability Statement
Conflicts of Interest
References
- Kildušis, E.; Samalavičius, N.E. Surgical management of a retro-rectal cystic hamartoma (tailgut cyst) using a trans-rectal approach: A case report and review of the literature. J. Med. Case Rep. 2014, 8, 11. [Google Scholar] [CrossRef] [PubMed]
- Bulisani, B.M.; Gomes, L.G.L.; Leite, M.A.d.O.; Moreno, R.; Rodrigues, M.R.; Rossi, F.M.B.; da Silva, R.B.F.; do Carmo, L.C.B.; Waisberg, J. Robotic approach to remove four tailgut cyst cases in Brazil: A case series. Einstein 2023, 21, eRC0544. [Google Scholar] [CrossRef] [PubMed]
- Haval, S.; Dwivedi, D.; Nichkaode, P. Presacral Tailgut Cyst. Ann. Afr. Med. 2024, 23, 237–241. [Google Scholar] [CrossRef]
- Wang, G.; Miao, C. Chinese expert consensus on standardized treatment for presacral cysts. Gastroenterol. Rep. 2023, 11, goac079. [Google Scholar] [CrossRef] [PubMed]
- Malliou, P.; Syrnioti, A.; Koletsa, T.; Karlafti, E.; Karakatsanis, A.; Raptou, G.; Apostolidis, S.; Michalopoulos, A.; Paramythiotis, D. Mucinous adenocarcinoma arising from a tailgut cyst: A case report. World J. Clin. Oncol. 2022, 13, 853–860. [Google Scholar] [CrossRef]
- Soltany, S. A Rare Coexistence of Retrorectal and Ovarian Cysts: A Case Report. Iran. Red Crescent Med. J. 2016, 18, e31439. [Google Scholar] [CrossRef][Green Version]
- Karn, S.; Huda, F.; David, L.E.; Sharma, J.; Prajapati, T.; Chauhan, U.; Singh, S.K.; Basu, S. Recurrent retrorectal tailgut cyst mimicking deep pelvic abscess: A diagnostic dilemma. Radiol. Case Rep. 2022, 17, 2559–2562. [Google Scholar] [CrossRef]
- El Yamine, O.; Fatine, A.; Boufettal, R.; Errguibi, D.; Hajri, A.; El Jay, S.R.; Chehab, F. Retrorectal cystic hamartoma: A case report. Ann. Med. Surg. 2021, 66, 102362. [Google Scholar] [CrossRef] [PubMed]
- Elkarouachi, A.; Assemar, M.; El Jai, S.R.J.; Erguibi, D.; Boufettal, R.; Chehab, F. Retrorectal cystic hamartoma: A case report. Int. J. Surg. Case Rep. 2021, 82, 105861. [Google Scholar] [CrossRef] [PubMed]
- Naseri, A.; Behboudi, B.; Faryabi, A.; Tafti, S.M.A.; Sharifi, A.; Keramati, M.R.; Fazeli, M.S.; Keshvari, A.; Zeinalizadeh, M.; Asbagh, R.A.; et al. Surgical management of retrorectal tumors: A single-center 12 years’ experience. Ann. Coloproctol. 2022. ahead of print. [Google Scholar] [CrossRef] [PubMed]
- La Greca, G.; Trombatore, G.; Basile, G.; Conti, P. Retrorectal tumors: Case report and review of literature. Int. J. Surg. Case Rep. 2020, 77, 726–729. [Google Scholar] [CrossRef] [PubMed]
- Sakr, A.; Kim, H.S.; Han, Y.D.; Cho, M.S.; Hur, H.; Min, B.S.; Lee, K.Y.; Kim, N.K. Single-center Experience of 24 Cases of Tailgut Cyst. Ann. Coloproctol. 2019, 35, 268–274. [Google Scholar] [CrossRef] [PubMed]
- Haydar, M.; Griepentrog, K. Tailgut cyst: A case report and literature review. Int. J. Surg. Case Rep. 2015, 10, 166–168. [Google Scholar] [CrossRef] [PubMed]
- Joyce, E.A.; Kavanagh, D.O.; Winter, D.C. A rare cause of low back pain: Report of a tailgut cyst. Case Rep. Med. 2012, 2012, 623142. [Google Scholar] [CrossRef] [PubMed]
- George, M.; Alina-Roxani, G.; Zoi, T.; Maria, O.; George, C.; Charalampos, C. A Rare Case Report of a Tail-Gut Cyst from a Gynecological Point of View. J. Family Reprod. Health 2018, 12, 117–120. [Google Scholar]
- Suhani Meena, K.; Ali, S.; Aggarwal, L.; Thomas, S. Retrorectal cystic hamartoma: A problematic “tail”. J. Surg. Tech. Case Rep. 2014, 6, 58–60. [Google Scholar] [CrossRef] [PubMed]
- Bathla, L.; Singh, L.; Agarwal, P.N. Retrorectal cystic hamartoma (tailgut cyst): Report of a case and review of literature. Indian J. Surg. 2013, 75 (Suppl. 1), 204–207. [Google Scholar] [CrossRef] [PubMed]
- Rosa, G.; Lolli, P.; Vergine, M.; El-Dalati, G.; Malleo, G. Surgical excision of developmental retrorectal cysts: Results with long-term follow-up from a single institution. Updates Surg. 2012, 64, 279–284. [Google Scholar] [CrossRef]
- Liang, F.; Li, J.; Yu, K.; Zhang, K.; Liu, T.; Li, J. Tailgut Cysts with Malignant Transformation: Features, Diagnosis, and Treatment. Med. Sci. Monit. 2020, 26, e919803. [Google Scholar] [CrossRef]
- Jehangir, A.; Le, B.H.; Carter, F.M. A rare case of carcinoid tumor in a tailgut cyst. J. Community Hosp. Intern. Med. Perspect. 2016, 6, 31410. [Google Scholar] [CrossRef]
- Azatcam, M.; Altun, E.; Avci, V. Histopathological diagnostic dilemma in retrorectal developmental cysts: Report of a case and review of the literature. Turk. J. Pathol. 2018, 34, 175–178. [Google Scholar] [CrossRef] [PubMed]
- Chung, K.Y.; Lee, N.M.; Choi, E.S.; Yoo, B.H.; Kim, G.J.; Cha, S.J.; Kim, G.H.; Kim, M.K. A tailgut cyst-cystic mass diagnosed by prenatal ultrasonography. Am. J. Perinatol. Rep. 2013, 3, 17–20. [Google Scholar] [CrossRef] [PubMed]
- Raisolsadat, S.M.A.; Zabolinejad, N.; Tabrizian-Namini, F.; Faraji, P. Tailgut cyst in an infant with imperforate anus: A case report. Iran. J. Pediatr. 2013, 23, 597–600. [Google Scholar] [PubMed]
- Saba, L.; Fellini, F.; Greco, F.G.; Leonzio, A.; Cionci, G.; Consolo, D.; Ariozzi, I.; Zambrini, E.I.; Bocchi, C.; Concari, G.; et al. MRI evaluation of not complicated Tailgut cyst: Case report. Int. J. Surg. Case Rep. 2014, 5, 761–764. [Google Scholar] [CrossRef]
- Rompen, I.F.; Scheiwiller, A.; Winiger, A.; Metzger, J.; Gass, J.M. Robotic-Assisted Laparoscopic Resection of Tailgut Cysts. J. Soc. Laparosc. Robot. Surg. 2021, 25, e2021.00035. [Google Scholar] [CrossRef]
- Fang, Y.; Zhu, Y.; Liu, W.Z.; Zhang, X.Q.; Zhang, Y.; Wang, K. Malignant transformation of perianal tailgut cyst: A case report. World J. Gastrointest. Surg. 2022, 14, 1425–1431. [Google Scholar] [CrossRef]
- Peter, P.; George, U.; Peacock, M. Retrorectal hamartoma: A “tail” of two cysts! Indian J. Radiol. Imaging 2010, 20, 129–131. [Google Scholar] [CrossRef]
- Shetty, A.S.; Loch, R.; Yoo, N.; Mellnick, V.; Fowler, K.; Narra, V. Imaging of tailgut cysts. Abdom. Imaging 2015, 40, 2783–2795. [Google Scholar] [CrossRef]
- Aflalo-Hazan, V.; Rousset, P.; Mourra, N.; Lewin, M.; Azizi, L.; Hoeffel, C. Tailgut cysts: MRI findings. Eur. Radiol. 2008, 18, 2586–2593. [Google Scholar] [CrossRef] [PubMed]
- Kim, J.; Jin, S.Y.; Hong, S.; Lee, T. A carcinoid tumour arising within a tailgut cyst: A diagnostic challenge. Scott. Med. J. 2014, 59, e14–e17. [Google Scholar] [CrossRef] [PubMed]
- Fechner, K.; Bittorf, B.; Langheinrich, M.; Weber, K.; Brunner, M.; Grützmann, R.; Matzel, K.E. The management of retrorectal tumors—A single-center analysis of 21 cases and overview of the literature. Langenbecks Arch. Surg. 2024, 409, 279. [Google Scholar] [CrossRef] [PubMed]
- Wang, Y.S.; Guo, Q.Y.; Zheng, F.H.; Huang, Z.W.; Yan, J.L.; Fan, F.X.; Liu, T.; Ji, S.X.; Zhao, X.F.; Zheng, Y.X. Retrorectal mucinous adenocarcinoma arising from a tailgut cyst: A case report and review of literature. World J. Gastrointest. Surg. 2022, 14, 1072–1081. [Google Scholar] [CrossRef]
- Poskus, E.; Makunaite, G.; Kubiliute, I.; Danys, D. Case report: Laparoscopic approach in the treatment of presacral lipoma. Ann. Med. Surg. 2018, 35, 64–66. [Google Scholar] [CrossRef] [PubMed]
- Grossi, U.; Santoro, G.A.; Sarcognato, S.; Iacomino, A.; Tomassi, M.; Zanus, G. Perianal Tailgut Cyst. J. Gastrointest. Surg. 2021, 25, 558–560. [Google Scholar] [CrossRef] [PubMed]
- Hjermstad, B.M.; Helwig, E.B. Tailgut cysts. Report of 53 cases. Am. J. Clin. Pathol. 1988, 89, 139–147. [Google Scholar] [CrossRef] [PubMed]
- Mathis, K.L.; Dozois, E.J.; Grewal, M.S.; Metzger, P.; Larson, D.W.; Devine, R.M. Malignant risk and surgical outcomes of presacral tailgut cysts. Br. J. Surg. 2010, 97, 575–579. [Google Scholar] [CrossRef]
- Kashima, H.; Teraishi, F.; Matsumi, Y.; Shimamura, H.; Fujiwara, T. Laparoscopic Resection Combined with a Transsacral Approach for a Recurrent Tailgut Cyst with a Refractory Fistula. Acta Medica Okayama 2024, 78, 193–196. [Google Scholar]
- Bardol, T.; Souche, R.; Druet, C.; Bertrand, M.M.; Ferrandis, C.; Prudhomme, M.; Borie, F.; Fabre, J.M. Minimally invasive approach for retrorectal tumors above and below S3: A multicentric tertiary center retrospective study (MiaRT study). Tech. Coloproctol. 2024, 28, 67. [Google Scholar] [CrossRef]
- Kwak, H.D.; Ju, J.K. Laparoscopic Resection of a Huge Retrorectal Tumor. Ann. Coloproctol. 2020, 36, 54–57. [Google Scholar] [CrossRef]
- Hopper, L.; Eglinton, T.W.; Wakeman, C.; Dobbs, B.R.; Dixon, L.; Frizelle, F.A. Progress in the management of retrorectal tumours. Color. Dis. 2016, 18, 410–417. [Google Scholar] [CrossRef]
- Aljuhani, F.; Almunami, B.; Alsamahi, R.; Malibary, N.; Algaithy, Z. Alcohol injection for nonsurgical management of tailgut cyst in a middle-aged woman: A case report. Clin. Case Rep. 2019, 7, 1233–1237. [Google Scholar] [CrossRef] [PubMed]
- Killingsworth, C.; Gadacz, T.R. Tailgut cyst (retrorectal cystic hamartoma): Report of a case and review of the literature. Am. Surg. 2005, 71, 666–673. [Google Scholar] [CrossRef] [PubMed]
- Hall, D.A.; Pu, R.T.; Pang, Y. Diagnosis of foregut and tailgut cysts by endosonographically guided fine-needle aspiration. Diagn. Cytopathol. 2007, 35, 43–46. [Google Scholar] [CrossRef]
- Rathinamanickam, H.; Pawa, S. A Tailgut Cyst Diagnosed by Endoscopic Ultrasound-Guided Fine-Needle Aspiration. ACG Case Rep. J. 2015, 3, 33–35. [Google Scholar] [CrossRef] [PubMed]
- Gönül, I.I.; Bağlan, T.; Pala, I.; Menteş, B. Tailgut cysts: Diagnostic challenge for both pathologists and clinicians. Int. J. Color. Dis. 2007, 22, 1283–1285. [Google Scholar] [CrossRef]
- Prasad, A.R.; Amin, M.B.; Randolph, T.L.; Lee, C.S.; Ma, C.K. Retrorectal cystic hamartoma: Report of 5 cases with malignancy arising in 2. Arch. Pathol. Lab. Med. 2000, 124, 725–729. [Google Scholar] [CrossRef]
- Burke, J.R.; Shetty, K.; Thomas, O.; Kowal, M.; Quyn, A.; Sagar, P. The management of retrorectal tumours: Tertiary centre retrospective study. BJS Open 2022, 6, zrac044. [Google Scholar] [CrossRef]
- Aubert, M.; Mege, D.; Parc, Y.; Rullier, E.; Cotte, E.; Meurette, G.; Zerbib, P.; Trilling, B.; Lelong, B.; Sabbagh, C.; et al. Surgical Management of Retrorectal Tumors: A French Multicentric Experience of 270 Consecutives Cases. Ann. Surg. 2021, 274, 766–772. [Google Scholar] [CrossRef]





Disclaimer/Publisher’s Note: The statements, opinions and data contained in all publications are solely those of the individual author(s) and contributor(s) and not of MDPI and/or the editor(s). MDPI and/or the editor(s) disclaim responsibility for any injury to people or property resulting from any ideas, methods, instructions or products referred to in the content. |
© 2025 by the authors. Licensee MDPI, Basel, Switzerland. This article is an open access article distributed under the terms and conditions of the Creative Commons Attribution (CC BY) license (https://creativecommons.org/licenses/by/4.0/).
Share and Cite
Malutan, A.M.; Suciu, V.-E.; Ignat, F.L.; Diculescu, D.; Ciortea, R.; Boțan, E.-C.; Bucuri, C.E.; Roman, M.P.; Nati, I.; Ormindean, C.; et al. Tailgut Cyst—Gynecologist’s Pitfall: Literature Review and Case Report. Diagnostics 2025, 15, 108. https://doi.org/10.3390/diagnostics15010108
Malutan AM, Suciu V-E, Ignat FL, Diculescu D, Ciortea R, Boțan E-C, Bucuri CE, Roman MP, Nati I, Ormindean C, et al. Tailgut Cyst—Gynecologist’s Pitfall: Literature Review and Case Report. Diagnostics. 2025; 15(1):108. https://doi.org/10.3390/diagnostics15010108
Chicago/Turabian StyleMalutan, Andrei Mihai, Viorela-Elena Suciu, Florin Laurentiu Ignat, Doru Diculescu, Razvan Ciortea, Emil-Claudiu Boțan, Carmen Elena Bucuri, Maria Patricia Roman, Ionel Nati, Cristina Ormindean, and et al. 2025. "Tailgut Cyst—Gynecologist’s Pitfall: Literature Review and Case Report" Diagnostics 15, no. 1: 108. https://doi.org/10.3390/diagnostics15010108
APA StyleMalutan, A. M., Suciu, V.-E., Ignat, F. L., Diculescu, D., Ciortea, R., Boțan, E.-C., Bucuri, C. E., Roman, M. P., Nati, I., Ormindean, C., & Mihu, D. (2025). Tailgut Cyst—Gynecologist’s Pitfall: Literature Review and Case Report. Diagnostics, 15(1), 108. https://doi.org/10.3390/diagnostics15010108

