Next Article in Journal
Could Phosphorous MR Spectroscopy Help Predict the Severity of Vasospasm? A Pilot Study
Next Article in Special Issue
Clinical Implications of High-Sensitivity Troponin Elevation Levels in Non-ST-Segment Elevation Myocardial Infarction Patients: Beyond Diagnostics
Previous Article in Journal
The Role of Large Language Models (LLMs) in Providing Triage for Maxillofacial Trauma Cases: A Preliminary Study
Previous Article in Special Issue
New Therapeutic Approaches for the Treatment of Patients with Metabolic Dysfunction-Associated Steatotic Liver Disease (MASLD) and Increased Cardiovascular Risk
 
 
Font Type:
Arial Georgia Verdana
Font Size:
Aa Aa Aa
Line Spacing:
Column Width:
Background:
Interesting Images

The Role of CT Imaging in a Fractured Coronary Stent with Pseudoaneurysm Formation

1
Clinical Laboratory of Radiology and Medical Imaging, “Sf. Apostol Andrei” County Emergency Hospital, 900591 Constanta, Romania
2
Department of Radiology and Medical Imaging, Faculty of Medicine, “Ovidius” University, 900527 Constanta, Romania
3
Department of Cardiology, “Sf. Apostol Andrei” County Emergency Hospital, 900591 Constanta, Romania
4
Department of Anatomy, The “Carol Davila” University of Medicine and Pharmacy, 050474 Bucharest, Romania
5
Department of Radiology, “Victor Babes” Center for Diagnosis and Treatment, 030303 Bucharest, Romania
6
Department of Physiology, The “Carol Davila” University of Medicine and Pharmacy, 050474 Bucharest, Romania
7
Department of Radiology and Medical Imaging, “Foisor” Clinical Hospital of Orthopaedics, Traumatology and Osteoarticular TB, 030167 Bucharest, Romania
*
Author to whom correspondence should be addressed.
Diagnostics 2024, 14(8), 840; https://doi.org/10.3390/diagnostics14080840
Submission received: 19 February 2024 / Revised: 11 April 2024 / Accepted: 16 April 2024 / Published: 18 April 2024
(This article belongs to the Special Issue Diagnosis, Prognosis, and Management of Cardiovascular Disease)

Abstract

We report a case of a 63-year-old male patient with multiple cardiovascular risk factors and previous myocardial infarction who was referred to the emergency department on September 2023 with symptoms and clinical and biological data consistent with an acute coronary event. A coronary angiography revealed severe ostial stenosis of the left anterior descending artery (LAD) and intrastent thrombotic occlusion in the first two segments of the LAD. Two drug-eluting stents were implanted and the patient was discharged when hemodynamically stable; however, three weeks later, he returned to the emergency department complaining of fever, anterior chest pain, dyspnea at rest, and high blood pressure values at home. High levels of troponin T, C-reactive protein, and NT-proBNP were detected and blood cultures showed methicillin-resistant Staphylococcus aureus. The computed tomography (CT) examination showed a saccular dilatation had developed between two fragments of a stent mounted at the level of the LAD, surrounded by a hematic pericardial accumulation. LAD pseudoaneurysm ablation and a double aortocoronary bypass with inverted saphenous vein autograft were performed and the patient showed a favorable postoperative evolution. In this case, surgical revascularization was proven to be the appropriate treatment strategy, demonstrating the need to choose an individualized therapeutic option depending on case-specific factors.

Figure 1. A 63-year-old male patient, with dyslipidemia, hypertension, diabetes mellitus type 2, history of smoking, severe coronary disease, and prior acute myocardial infarction was referred to the emergency department with constrictive chest pain and sweating for 6 h. The patient had a history of coronary stent implantation in the right and anterior descending coronary arteries 6 years prior, and, upon initial examination, had blood pressure (BP) in both arms of 120/60 mm Hg, heart rate (HR) of 90 bpm, regular rhythm, normal heart sounds on auscultation, no dyspnea or signs of systemic or pulmonary congestion. Blood tests revealed increased levels of markers of cardiac necrosis, mild anemia, hyperglycemia, hyperuricemia, hyponatremia, and acidosis. ECG showed ST-segment elevations of up to 5 mm in leads V2–V6, Q waves in leads V1–V4, and bifascicular block with complete right bundle branch block and left anterior fascicular block. TTE reveals dyskinesia of the affected myocardial territory, namely the interventricular septum and the anterolateral wall in the apical two-thirds, respectively, systolic dysfunction, with an ejection fraction of 30%. Coronary angiography revealed severe ostial stenosis of the LAD ((A), red arrow) and intrastent thrombotic occlusion in the first two segments of the LAD ((B), orange arrow), which is why pharmacologically active stents XIENCE PRO 4.0/23 mm, BIOMIME 2.5/13 mm, and BIOMIME 4.0/13 mm were implanted in the proximal and mid parts of the LAD, each stent extending beyond the previous one, with the restoration of blood flow ((C,D), green arrows).
Figure 1. A 63-year-old male patient, with dyslipidemia, hypertension, diabetes mellitus type 2, history of smoking, severe coronary disease, and prior acute myocardial infarction was referred to the emergency department with constrictive chest pain and sweating for 6 h. The patient had a history of coronary stent implantation in the right and anterior descending coronary arteries 6 years prior, and, upon initial examination, had blood pressure (BP) in both arms of 120/60 mm Hg, heart rate (HR) of 90 bpm, regular rhythm, normal heart sounds on auscultation, no dyspnea or signs of systemic or pulmonary congestion. Blood tests revealed increased levels of markers of cardiac necrosis, mild anemia, hyperglycemia, hyperuricemia, hyponatremia, and acidosis. ECG showed ST-segment elevations of up to 5 mm in leads V2–V6, Q waves in leads V1–V4, and bifascicular block with complete right bundle branch block and left anterior fascicular block. TTE reveals dyskinesia of the affected myocardial territory, namely the interventricular septum and the anterolateral wall in the apical two-thirds, respectively, systolic dysfunction, with an ejection fraction of 30%. Coronary angiography revealed severe ostial stenosis of the LAD ((A), red arrow) and intrastent thrombotic occlusion in the first two segments of the LAD ((B), orange arrow), which is why pharmacologically active stents XIENCE PRO 4.0/23 mm, BIOMIME 2.5/13 mm, and BIOMIME 4.0/13 mm were implanted in the proximal and mid parts of the LAD, each stent extending beyond the previous one, with the restoration of blood flow ((C,D), green arrows).
Diagnostics 14 00840 g001
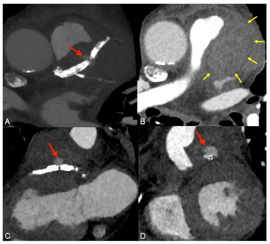
Figure 2. Approximately three weeks later, the patient returned to the emergency department complaining of fever, anterior chest pain, dyspnea at rest, and high BP values at home. ECG findings were similar to the previous exam. Laboratory analyses again showed increased values of troponin T (256.4 pg/mL), C-reactive protein (8 mg/dL), and NT-proBNP (11,594 Pg/mL). Peripheral blood cultures and pericardial fluid analysis were performed, and the culture media developed colonies of facultatively anaerobic Staphylococcus aureus, resistant to methicillin. A contrast-enhanced chest computed tomography (CT, GE Revolution 256 × 2) examination was ordered which did not detect acute lung lesions. However, complete separation of the proximal LAD stent into two fragments, with a distance of ~5 mm in between, was observed ((A), red arrow). A pericardial hematoma around the trunk of the pulmonary artery ((B), yellow arrows) and a saccular enlargement with transverse diameters of ~10/12 mm between the two stent fragments were identified ((C,D), red arrows). Therefore, the CT diagnosis was a fracture of the distal segment of the proximal LAD stent associated with pseudoaneurysm of the anterior descending artery and pericardial hematoma. Stent fracture can occur due to various causes including heavy calcification, left ventricle remodeling, stent length and overlap, arterial flexion, implant duration, and material fatigue; ongoing efforts aim to increase lifespans by improving flexibility and tear resistance [1,2,3].
Figure 2. Approximately three weeks later, the patient returned to the emergency department complaining of fever, anterior chest pain, dyspnea at rest, and high BP values at home. ECG findings were similar to the previous exam. Laboratory analyses again showed increased values of troponin T (256.4 pg/mL), C-reactive protein (8 mg/dL), and NT-proBNP (11,594 Pg/mL). Peripheral blood cultures and pericardial fluid analysis were performed, and the culture media developed colonies of facultatively anaerobic Staphylococcus aureus, resistant to methicillin. A contrast-enhanced chest computed tomography (CT, GE Revolution 256 × 2) examination was ordered which did not detect acute lung lesions. However, complete separation of the proximal LAD stent into two fragments, with a distance of ~5 mm in between, was observed ((A), red arrow). A pericardial hematoma around the trunk of the pulmonary artery ((B), yellow arrows) and a saccular enlargement with transverse diameters of ~10/12 mm between the two stent fragments were identified ((C,D), red arrows). Therefore, the CT diagnosis was a fracture of the distal segment of the proximal LAD stent associated with pseudoaneurysm of the anterior descending artery and pericardial hematoma. Stent fracture can occur due to various causes including heavy calcification, left ventricle remodeling, stent length and overlap, arterial flexion, implant duration, and material fatigue; ongoing efforts aim to increase lifespans by improving flexibility and tear resistance [1,2,3].
Diagnostics 14 00840 g002
Figure 3. A classic coronary angiography was performed next, where a type IV distal stent fracture involving the proximal LAD stent with dehiscence and slight migration ((A), red arrow) associated with a coronary pseudoaneurysm ((B), yellow arrow) were observed. An attempt was made to install a pharmacologically active post-dilation balloon stent in order to treat the pseudoaneurysm, but without success, which is why the patient was transferred to the cardiovascular surgery ward. The surgical procedure was performed under general anesthesia with orotracheal intubation and extracorporeal circulation, and the final diagnosis was a stent fracture associated with pseudoaneurysm formation and infected pericardial hematoma. Intraoperative view of the complete stent fracture and separation ((C), white arrows). Infected pericardial hematoma ((D), black arrow). The case is atypical, as the stent fracture was type IV (complete transverse fracture of the stent with separation into two fragments and displacement) and occurred at the level of the anterior descending artery. The most common stent fractures reported in the literature involve the right coronary artery, with a more tortuous course, and type III and IV fractures have the lowest incidences [4]. Coronary pseudoaneurysms following stenting are rare complications with an incidence of 0.3–6% and usually arise approximately 6–9 months after the intervention, but cases have been reported earlier than 2 months after the procedure [5]. Unlike similar reports in the literature [6], the attempt to implant a new drug-eluting stent in our patient failed. Finally, surgical revascularization proved to be the appropriate treatment strategy. After removing the pseudoaneurysm and performing an aorto-coronary bypass, the patient showed a favorable recovery and was discharged in a stable condition. Invasive coronary angiography is considered the gold standard for diagnosing intra-stent restenosis, although the invasive nature of the procedure comes with associated risks of mortality and morbidity. Computed tomography angiography (CTA) is a non-invasive imaging technique highly beneficial for follow-up consultations. Coronary artery intrastent restenosis detection has been determined to have high specificity when at least a 64-multislice CT technique is used. CTA can and should also be used when varying symptoms appear after an interventional coronary procedure [7].
Figure 3. A classic coronary angiography was performed next, where a type IV distal stent fracture involving the proximal LAD stent with dehiscence and slight migration ((A), red arrow) associated with a coronary pseudoaneurysm ((B), yellow arrow) were observed. An attempt was made to install a pharmacologically active post-dilation balloon stent in order to treat the pseudoaneurysm, but without success, which is why the patient was transferred to the cardiovascular surgery ward. The surgical procedure was performed under general anesthesia with orotracheal intubation and extracorporeal circulation, and the final diagnosis was a stent fracture associated with pseudoaneurysm formation and infected pericardial hematoma. Intraoperative view of the complete stent fracture and separation ((C), white arrows). Infected pericardial hematoma ((D), black arrow). The case is atypical, as the stent fracture was type IV (complete transverse fracture of the stent with separation into two fragments and displacement) and occurred at the level of the anterior descending artery. The most common stent fractures reported in the literature involve the right coronary artery, with a more tortuous course, and type III and IV fractures have the lowest incidences [4]. Coronary pseudoaneurysms following stenting are rare complications with an incidence of 0.3–6% and usually arise approximately 6–9 months after the intervention, but cases have been reported earlier than 2 months after the procedure [5]. Unlike similar reports in the literature [6], the attempt to implant a new drug-eluting stent in our patient failed. Finally, surgical revascularization proved to be the appropriate treatment strategy. After removing the pseudoaneurysm and performing an aorto-coronary bypass, the patient showed a favorable recovery and was discharged in a stable condition. Invasive coronary angiography is considered the gold standard for diagnosing intra-stent restenosis, although the invasive nature of the procedure comes with associated risks of mortality and morbidity. Computed tomography angiography (CTA) is a non-invasive imaging technique highly beneficial for follow-up consultations. Coronary artery intrastent restenosis detection has been determined to have high specificity when at least a 64-multislice CT technique is used. CTA can and should also be used when varying symptoms appear after an interventional coronary procedure [7].
Diagnostics 14 00840 g003

Author Contributions

Conceptualization, R.O.B., A.M. and R.A.B.; methodology, G.G., M.E. and C.S.; investigation, G.G., A.M. and R.A.B.; writing—original draft preparation, R.O.B., G.G., A.M., M.E., C.S. and R.A.B.; writing—review and editing, R.O.B., C.S. and R.A.B.; visualization, G.G., A.M. and M.E.; supervision, R.O.B., C.S. and R.A.B. All authors have read and agreed to the published version of the manuscript.

Funding

This research received no external funding.

Institutional Review Board Statement

This study was conducted in accordance with the Declaration of Helsinki and approved by the Ethics Committee for Clinical Trials and Research of the “Sf. Apostol Andrei” County Emergency Hospital, Constanta, Romania (no. 08/12.02.2024).

Informed Consent Statement

Informed consent was obtained from the subjects involved in the study. Written informed consent was obtained from the patient to publish this paper.

Data Availability Statement

The data that support the findings of this study are not openly available due to reasons of sensitivity and are available from the corresponding author upon reasonable request.

Conflicts of Interest

The authors declare no conflicts of interest.

References

  1. Ormiston, J.A.; Webber, B.; Webster, M.W. Stent longitudinal integrity bench insights into a clinical problem. JACC Cardiovasc. Interv. 2011, 4, 1310–1317. [Google Scholar] [CrossRef] [PubMed]
  2. Ormiston, J.A.; Webber, B.; Ubod, B.; White, J.; Webster, M.W. Coronary stent durability and fracture: An independent bench comparison of six contemporary designs using a repetitive bend test. EuroIntervention 2015, 10, 1449–1455. [Google Scholar] [CrossRef] [PubMed]
  3. Park, S.M.; Kim, J.Y.; Hong, B.K.; Lee, B.K.; Min, P.K.; Rim, S.; Mun, H.S.; Kwon, S.W.; Lee, S.J.; Park, J.K.; et al. Predictors of stent fracture in patients treated with closed-cell design stents: Sirolimus-eluting stent and its bare-metal counterpart, the BX velocity stent. Coron. Artery Dis. 2011, 22, 40–44. [Google Scholar] [CrossRef] [PubMed]
  4. Kan, J.; Ge, Z.; Zhang, J.-J.; Liu, Z.-Z.; Tian, N.-L.; Ye, F.; Li, S.-J.; Qian, X.-S.; Yang, S.; Chen, M.-X.; et al. Incidence and Clinical Outcomes of Stent Fractures on the Basis of 6555 Patients and 16,482 Drug-Eluting Stents From 4 Centers. JACC Cardiovasc. Interv. 2016, 9, 1115–1123. [Google Scholar] [CrossRef] [PubMed]
  5. Sahu, A.; Chandra, N. Intrastent Coronary Pseudoaneurysm in the Setting of Primary Angioplasty: An Early Presentation. Interv. Cardiol. 2020, 6, 87. [Google Scholar]
  6. Johnson, N.P.; Dasgupta, A.; Appel, D.; Beohar, N. Post-intervention coronary pseudoaneurysm treated with a covered stent. Tex. Heart Inst. J. 2012, 39, 448–449. [Google Scholar] [PubMed]
  7. Alghrairi, M.; Sulaiman, N.; Mutashar, S. Health Care Monitoring and Treatment for Coronary Artery Diseases: Challenges and Issues. Sensors 2020, 20, 4303. [Google Scholar] [CrossRef] [PubMed]
Disclaimer/Publisher’s Note: The statements, opinions and data contained in all publications are solely those of the individual author(s) and contributor(s) and not of MDPI and/or the editor(s). MDPI and/or the editor(s) disclaim responsibility for any injury to people or property resulting from any ideas, methods, instructions or products referred to in the content.

Share and Cite

MDPI and ACS Style

Baz, R.O.; Gherghescu, G.; Mustafa, A.; Enyedi, M.; Scheau, C.; Baz, R.A. The Role of CT Imaging in a Fractured Coronary Stent with Pseudoaneurysm Formation. Diagnostics 2024, 14, 840. https://doi.org/10.3390/diagnostics14080840

AMA Style

Baz RO, Gherghescu G, Mustafa A, Enyedi M, Scheau C, Baz RA. The Role of CT Imaging in a Fractured Coronary Stent with Pseudoaneurysm Formation. Diagnostics. 2024; 14(8):840. https://doi.org/10.3390/diagnostics14080840

Chicago/Turabian Style

Baz, Radu Octavian, George Gherghescu, Adnan Mustafa, Mihaly Enyedi, Cristian Scheau, and Radu Andrei Baz. 2024. "The Role of CT Imaging in a Fractured Coronary Stent with Pseudoaneurysm Formation" Diagnostics 14, no. 8: 840. https://doi.org/10.3390/diagnostics14080840

APA Style

Baz, R. O., Gherghescu, G., Mustafa, A., Enyedi, M., Scheau, C., & Baz, R. A. (2024). The Role of CT Imaging in a Fractured Coronary Stent with Pseudoaneurysm Formation. Diagnostics, 14(8), 840. https://doi.org/10.3390/diagnostics14080840

Note that from the first issue of 2016, this journal uses article numbers instead of page numbers. See further details here.

Article Metrics

Back to TopTop