Tissue Expression of Growth Differentiation Factor 11 in Patients with Breast Cancer
Abstract
1. Introduction
2. Materials and Methods
2.1. Study Subjects
2.2. Laboratory Measurements
2.3. Clinicopathologic Characteristics of the Tumors
2.4. Tissue Sample Collection
2.5. GDF11 Expression Analysis
2.6. Evaluation of Immunohistochemical Staining
2.7. Statistical Analysis
3. Results
4. Discussion
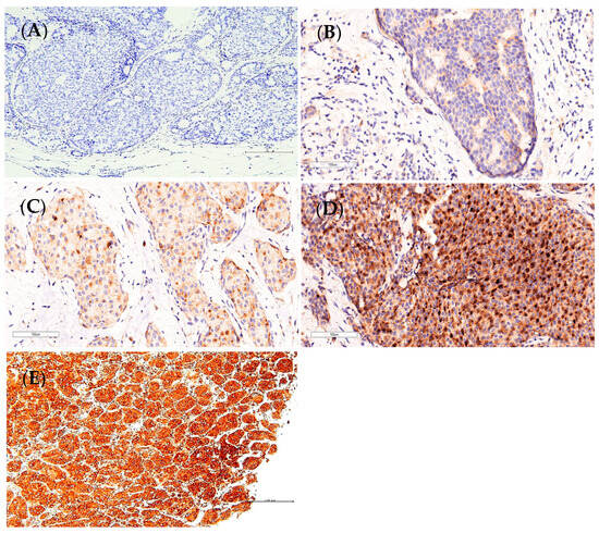
4.1. Higher GDF11 Expressions in DCIS and Normal Tissue Specimens Compared to Tumorous Specimens
4.2. H-Score of GDF11 Decreased in Patients with Tumor Size ≥ 2 cm, Pathologic T3 + T4 Stages, and AJCC III–IV Stages
4.3. H-Score of GDF11 and Its Correlations with Ki67
4.4. Loss of GDF11 Expression in Patients with Triple-Negative Breast Cancer
4.5. Correlations between H-Score of GDF11 and MCHC, Neutrophil Count, RDW-SD, and RDW-CV
4.6. Contributions and Limitations
5. Conclusions
Author Contributions
Funding
Institutional Review Board Statement
Informed Consent Statement
Data Availability Statement
Conflicts of Interest
References
- Arnold, M.; Morgan, E.; Rumgay, H.; Mafra, A.; Singh, D.; Laversanne, M.; Vignat, J.; Gralow, J.R.; Cardoso, F.; Siesling, S.; et al. Current and future burden of breast cancer: Global statistics for 2020 and 2040. Breast 2022, 66, 15–23. [Google Scholar] [CrossRef]
- Casaubon, J.T.; Kashyap, S.; Regan, J.P. BRCA1 and BRCA2 Mutations. In StatPearls [Internet]; StatPearls Publishing: Treasure Island, FL, USA, 2024. [Google Scholar]
- Martin, A.M.; Weber, B.L. Genetic and hormonal risk factors in breast cancer. J. Natl. Cancer Inst. 2000, 92, 1126–1135. [Google Scholar]
- Mao, X.; Omeogu, C.; Karanth, S.; Joshi, A.; Meernik, C.; Wilson, L.; Clark, A.; Deveaux, A.; He, C.; Johnson, T.; et al. Association of reproductive risk factors and breast cancer molecular subtypes: A systematic review and meta-analysis. BMC Cancer 2023, 23, 644. [Google Scholar] [CrossRef]
- Malcomson, F.C.; Parra-Soto, S.; Ho, F.K.; Lu, L.; Celis-Morales, C.; Sharp, L.; Mathers, J.C. Adherence to the 2018 World Cancer Research Fund (WCRF)/American Institute for Cancer Research (AICR) Cancer Prevention Recommendations and risk of 14 lifestyle-related cancers in the UK Biobank prospective cohort study. BMC Med. 2023, 21, 407. [Google Scholar] [CrossRef]
- van Diest, P.J.; van der Wall, E.; Baak, J.P. Prognostic value of proliferation in invasive breast cancer: A review. J. Clin. Pathol. 2004, 57, 675–681. [Google Scholar] [CrossRef]
- Leong, A.S.; Zhuang, Z. The changing role of pathology in breast cancer diagnosis and treatment. Pathobiology 2011, 78, 99–114. [Google Scholar] [CrossRef]
- Elmi, A.; McDonald, E.S.; Mankoff, D. Imaging tumor proliferation in breast cancer: Current update on predictive imaging biomarkers. PET Clin. 2018, 13, 445–457. [Google Scholar] [CrossRef]
- Camici, G.G.; Savarese, G.; Akhmedov, A.; Lüscher, T.F. Molecular mechanism of endothelial and vascular aging: Implications for cardiovascular disease. Eur. Heart J. 2015, 36, 3392–3403. [Google Scholar] [CrossRef]
- Rochette, L.; Zeller, M.; Cottin, Y.; Vergely, C. Growth and differentiation factor 11 (GDF11): Functions in the regulation of erythropoiesis and cardiac regeneration. Pharmacol. Ther. 2015, 156, 26–33. [Google Scholar] [CrossRef]
- Brun, C.E.; Rudnicki, M.A. GDF11 and the Mythical Fountain of Youth. Cell Metab. 2015, 22, 54–56. [Google Scholar] [CrossRef]
- Nakashima, M.; Toyono, T.; Akamine, A.; Joyner, A. Expression of growth/differentiation factor 11, a new member of the BMP/TGFbeta superfamily during mouse embryogenesis. Mech. Dev. 1999, 80, 185–189. [Google Scholar] [CrossRef] [PubMed]
- Liu, Y.; Shao, L.; Chen, K.; Wang, Z.; Wang, J.; Jing, W.; Hu, M. GDF11 restrains tumor growth by promoting apoptosis in pancreatic cancer. OncoTargets Ther. 2018, 11, 8371–8379. [Google Scholar] [CrossRef] [PubMed]
- Gerardo-Ramirez, M.; Lazzarini-Lechuga, R.; Hernandez-Rizo, S.; Jimenez-Salazar, J.E.; Simoni-Nieves, A.; Garcia-Ruiz, C.; Fernández-Checa, J.C.; Marquardt, J.U.; Coulouarn, C.; Gutiérrez-Ruiz, M.C.; et al. GDF11 exhibits tumor suppressive properties in hepatocellular carcinoma cells by restricting clonal expansion and invasion. Biochim. Biophys. Acta Mol. Basis Dis. 2019, 1865, 1540–1554. [Google Scholar] [CrossRef] [PubMed]
- Zhang, Y.H.; Pan, L.H.; Pang, Y.; Yang, J.X.; Lv, M.J.; Liu, F.; Qu, X.F.; Chen, X.X.; Gong, H.J.; Liu, D.; et al. GDF11/BMP11 as a novel tumor marker for liver cancer. Exp. Ther. Med. 2018, 15, 3495–3500. [Google Scholar] [CrossRef] [PubMed]
- Tsuda, T.; Iwai, N.; Deguchi, E.; Kimura, O.; Ono, S.; Furukawa, T.; Sasaki, Y.; Fumino, S.; Kubota, Y. PCSK5 and GDF11 expression in the hindgut region of mouse embryos with anorectal malformations. Eur. J. Pediatr. Surg. 2011, 21, 238–241. [Google Scholar] [CrossRef]
- Rochette, L.; Mazini, L.; Meloux, A.; Zeller, M.; Cottin, Y.; Vergely, C.; Malka, G. Anti-aging effects of GDF11 on skin. Int. J. Mol. Sci. 2020, 21, 2598. [Google Scholar] [CrossRef] [PubMed]
- Piantadosi, P.T.; Holmes, A. GDF11 reverses mood and memory declines in aging. Nat. Aging 2023, 3, 148–150. [Google Scholar] [CrossRef] [PubMed]
- Lin, J.; Shi, J.; Min, X.; Chen, S.; Zhao, Y.; Zhang, Y.; Cheng, L. The GDF11 promotes nerve regeneration after sciatic nerve injury in adult rats by promoting axon growth and inhibiting neuronal apoptosis. Front. Bioeng. Biotechnol. 2021, 9, 803052. [Google Scholar] [CrossRef] [PubMed]
- Bajikar, S.S.; Wang, C.C.; Borten, M.A.; Pereira, E.J.; Atkins, K.A.; Janes, K.A. Tumor suppressor inactivation of GDF11 occurs by precursor sequestration in triple-negative breast cancer. Dev. Cell 2017, 43, 418–435.e13. [Google Scholar] [CrossRef]
- Yokoe, T.; Ohmachi, T.; Inoue, H.; Mimori, K.; Tanaka, F.; Kusunoki, M.; Mori, M. Clinical significance of growth differentiation factor 11 in colorectal cancer. Int. J. Oncol. 2007, 31, 1097–1101. [Google Scholar]
- Qin, X.; Kuang, H.; Chen, L.; Wei, S.; Yu, D.; Liang, F. Coexpression of growth differentiation factor 11 and reactive oxygen species in metastatic oral cancer and its role in inducing the epithelial to mesenchymal transition. Oral Surg. Oral Med. Oral Pathol. Oral Radiol. 2017, 123, 697–706. [Google Scholar] [CrossRef] [PubMed]
- Shao, Y.; Liu, T.; Wen, X.; Zhang, R.; Liu, X.; Xing, D. The regulatory effect of growth differentiation factor 11 on different cells. Front. Immunol. 2023, 14, 1323670. [Google Scholar] [CrossRef] [PubMed]
- Suragani, R.N.; Cadena, S.M.; Cawley, S.M.; Sako, D.; Mitchell, D.; Li, R.; Davies, M.V.; Alexander, M.J.; Devine, M.; Loveday, K.S.; et al. Transforming growth factor-beta superfamily ligand trap ACE-536 corrects anemia by promoting late-stage erythropoiesis. Nat. Med. 2014, 20, 408–414. [Google Scholar] [CrossRef] [PubMed]
- Machelak, W.; Szczepaniak, A.; Jacenik, D.; Zielińska, M. The role of GDF11 during inflammation-An overview. Life Sci. 2023, 322, 121650. [Google Scholar] [CrossRef] [PubMed]
- Duan, F.; Wang, X.; Wang, H.; Wang, Y.; Zhang, Y.; Chen, J.; Zhu, X.; Chen, B. GDF11 ameliorates severe acute pancreatitis through modulating macrophage M1 and M2 polarization by targeting the TGFβR1/SMAD-2 pathway. Int. Immunopharmacol. 2022, 108, 108777. [Google Scholar] [CrossRef] [PubMed]
- Goldhirsch, A.; Winer, E.P.; Coates, A.S.; Gelber, R.D.; Piccart-Gebhart, M.; Thürlimann, B.; Senn, H.J.; Panel members. Personalizing the treatment of women with early breast cancer: Highlights of the St Gallen International Expert Consensus on the Primary Therapy of Early Breast Cancer 2013. Ann. Oncol. 2013, 24, 2206–2223. [Google Scholar] [CrossRef] [PubMed]
- Zhang, Y.; Wei, Y.; Liu, D.; Liu, F.; Li, X.; Pan, L.; Pang, Y.; Chen, D. Role of growth differentiation factor 11 in development, physiology and disease. Oncotarget 2017, 8, 81604–81616. [Google Scholar] [CrossRef]
- Chen, C.C.; Yu, T.H.; Wu, C.C.; Hung, W.C.; Lee, T.L.; Tang, W.H.; Tsai, I.T.; Chung, F.M.; Lee, Y.J.; Hsu, C.C. Loss of ficolin-3 expression is associated with poor prognosis in patients with hepatocellular carcinoma. Int. J. Med. Sci. 2023, 20, 1091–1096. [Google Scholar] [CrossRef]
- Lee, H.H.; Wang, Y.N.; Xia, W.; Chen, C.H.; Rau, K.M.; Ye, L.; Wei, Y.; Chou, C.K.; Wang, S.C.; Yan, M.; et al. Removal of N-Linked Glycosylation Enhances PD-L1 Detection and Predicts Anti-PD-1/PD-L1 Therapeutic Efficacy. Cancer Cell 2019, 36, 168–178.e4. [Google Scholar] [CrossRef]
- Zhang, Y.; Wang, C.; Li, J.; Jin, L.; Ding, W.; Liu, H.; Zhou, N.; Ren, Z.; Zhang, J.; Wei, Y.; et al. The inhibitory function of GDF11/BMP11 in liver cancer by inducing apoptosis and ROS-JNK pathway. Oncologie 2023, 25, 187–197. [Google Scholar] [CrossRef]
- Akhurst, R.J.; Derynck, R. TGF-beta signaling in cancer-a double-edged sword. Trends Cell Biol. 2001, 11, S44–S51. [Google Scholar] [PubMed]
- Massagué, J. TGFbeta in Cancer. Cell 2008, 134, 215–230. [Google Scholar] [CrossRef] [PubMed]
- Lebrun, J.J. The Dual Role of TGFβ in Human Cancer: From Tumor Suppression to Cancer Metastasis. ISRN Mol. Biol. 2012, 2012, 381428. [Google Scholar]
- Zhang, X.; Wharton, W.; Yuan, Z.; Tsai, S.C.; Olashaw, N.; Seto, E. Activation of the growth-differentiation factor 11 gene by the histone deacetylase (HDAC) inhibitor trichostatin A and repression by HDAC3. Mol. Cell. Biol. 2004, 24, 5106–5118. [Google Scholar] [PubMed]
- Alvarez, C.; Aravena, A.; Tapia, T.; Rozenblum, E.; Solís, L.; Corvalán, A.; Camus, M.; Alvarez, M.; Munroe, D.; Maass, A.; et al. Different Array CGH profiles within hereditary breast cancer tumors associated to BRCA1 expression and overall survival. BMC Cancer 2016, 16, 219. [Google Scholar] [CrossRef]
- Auguściak-Duma, A.; Sieroń, A.L. Molecular characteristics of leiomyoma uteri based on selected compounds of the extracellular matrix. Postepy Hig. Med. Dosw (Online) 2008, 62, 148–165. [Google Scholar] [PubMed]
- Morikawa, M.; Derynck, R.; Miyazono, K. TGF-β and the TGF-β Family: Context-Dependent Roles in Cell and Tissue Physiology. Cold Spring Harb. Perspect. Biol. 2016, 8, a021873. [Google Scholar]
- Richardson, L.; Wilcockson, S.G.; Guglielmi, L.; Hill, C.S. Context-dependent TGFβ family signalling in cell fate regulation. Nat. Rev. Mol. Cell Biol. 2023, 24, 876–894. [Google Scholar] [CrossRef]
- Wallner, C.; Drysch, M.; Becerikli, M.; Jaurich, H.; Wagner, J.M.; Dittfeld, S.; Nagler, J.; Harati, K.; Dadras, M.; Philippou, S.; et al. Interaction with the GDF8/11 pathway reveals treatment options for adenocarcinoma of the breast. Breast 2018, 37, 134–141. [Google Scholar] [CrossRef]
- Gu, B.; Wang, Q.; Dai, W.; Ma, G.; Song, Y.; Wu, Q. Effect of GDF11 on proliferation and apoptosis of esophageal cancer cells. Cell. Mol. Biol. 2018, 64, 80–84. [Google Scholar] [CrossRef]
- Frohlich, J.; Mazza, T.; Sobolewski, C.; Foti, M.; Vinciguerra, M. GDF11 rapidly increases lipid accumulation in liver cancer cells through ALK5-dependent signaling. Biochim. Biophys. Acta Mol. Cell Biol. Lipids 2021, 1866, 158920. [Google Scholar] [CrossRef] [PubMed]
- Liu, J.P.; Laufer, E.; Jessell, T.M. Assigning the positional identity of spinal motor neurons: Rostrocaudal patterning of Hox-c expression by FGFs, Gdf11, and retinoids. Neuron 2001, 32, 997–1012. [Google Scholar] [CrossRef] [PubMed]
- Wu, H.H.; Ivkovic, S.; Murray, R.C.; Jaramillo, S.; Lyons, K.M.; Johnson, J.E.; Calof, A.L. Autoregulation of neurogenesis by GDF11. Neuron 2003, 37, 197–207. [Google Scholar] [CrossRef] [PubMed]
- Guerra, A.; Oikonomidou, P.R.; Sinha, S.; Zhang, J.; Lo Presti, V.; Hamilton, C.R.; Breda, L.; Casu, C.; La, P.; Martins, A.C.; et al. Lack of Gdf11 does not improve anemia or prevent the activity of RAP-536 in a mouse model of beta-thalassemia. Blood 2019, 134, 568–572. [Google Scholar] [CrossRef]
- Han, Y.; Wang, H.; Fu, R.; Qu, W.; Ruan, E.; Wang, X.; Wang, G.; Wu, Y.; Liu, H.; Song, J.; et al. GDF11 level in patients with myelodysplastic syndrome and its clinical significance. Zhonghua Yi Xue Za Zhi 2016, 96, 620–624. [Google Scholar] [PubMed]
- Hanahan, D.; Weinberg, R.A. Hallmarks of cancer: The next generation. Cell 2011, 144, 646–674. [Google Scholar] [CrossRef] [PubMed]
- Demirkol, S.; Balta, S.; Cakar, M.; Unlu, M.; Arslan, Z.; Kucuk, U. Red cell distribution width: A novel inflammatory marker in clinical practice. Cardiol. J. 2013, 20, 209. [Google Scholar] [CrossRef] [PubMed]
- Semba, R.D.; Patel, K.V.; Ferrucci, L.; Sun, K.; Roy, C.N.; Guralnik, J.M.; Fried, L.P. Serum antioxidants and inflammation predict red cell distribution width in older women: The women’s health and aging study I. Clin. Nutr. 2010, 29, 600–604. [Google Scholar] [CrossRef] [PubMed]
- Yin, J.M.; Zhu, K.P.; Guo, Z.W.; Yi, W.; He, Y.; Du, G.C. Is red cell distribution width a prognostic factor in patients with breast cancer? A meta-analysis. Front. Surg. 2023, 10, 1000522. [Google Scholar] [CrossRef]
- Li, Y.; Xing, C.; Wei, M.; Wu, H.; Hu, X.; Li, S.; Sun, G.; Zhang, G.; Wu, B.; Zhang, F.; et al. Combining Red Blood Cell Distribution Width (RDW-CV) and CEA Predict Poor Prognosis for Survival Outcomes in Colorectal Cancer. J. Cancer 2019, 10, 1162–1170. [Google Scholar] [CrossRef]




| Parameter | Number | Percent |
|---|---|---|
| Age (years) | ||
| <50 | 32 | 47.1 |
| ≥50 | 36 | 52.9 |
| Range | 24–86 | |
| Mean ± SD | 52.9 ± 13.5 | |
| Obesity | 25 | 36.8 |
| Menstrual status | ||
| Pre-menopause | 32 | 47.1 |
| Post-menopause | 36 | 52.9 |
| Comorbidities | ||
| Hypertension | 17 | 25.0 |
| Diabetes mellitus | 10 | 14.7 |
| Hyperlipidemia | 3 | 4.4 |
| Tumor size (cm) | ||
| <2 | 23 | 33.8 |
| ≥2 | 45 | 66.2 |
| Pathologic T stage | ||
| T0 + T1 + T2 | 54 | 79.4 |
| T3 + T4 | 14 | 20.6 |
| Lymph node metastasis | ||
| N0 + N1 | 59 | 86.8 |
| N2 + N3 | 9 | 13.2 |
| Histologic grade | ||
| 1 + 2 | 39 | 57.4 |
| >3 | 29 | 42.6 |
| AJCC Stage | ||
| 0–II | 47 | 69.1 |
| III–IV | 21 | 30.9 |
| Ki67 status | ||
| <14% | 26 | 38.2 |
| ≥14% | 42 | 61.8 |
| Estrogen receptor | ||
| Negative | 14 | 20.6 |
| Positive | 54 | 79.4 |
| Progesterone receptor | ||
| Negative | 24 | 35.3 |
| Positive | 44 | 64.7 |
| HER2 | ||
| Negative | 51 | 75.0 |
| Positive | 17 | 25.0 |
| Molecular tumor subtype | ||
| 1 (Luminal A) | 23 | 33.82 |
| 2 (Luminal B HER2-negative) | 19 | 27.94 |
| 3 (Luminal B HER2-positive) | 13 | 19.12 |
| 4 (HER2-enriched) | 4 | 5.88 |
| 5 (Triple-negative) | 9 | 13.24 |
| Parameter | N | H-Score | p-Value |
|---|---|---|---|
| Age (years) | |||
| <50 | 32 | 159.6 ± 65.7 | 0.581 |
| ≥50 | 36 | 168.4 ± 64.8 | |
| Tumor size (cm) | |||
| <2 | 23 | 204.9 ± 58.3 | 0.0001 |
| ≥2 | 45 | 143.5 ± 58.4 | |
| Pathologic T stage | |||
| T0 + T1 + T2 | 54 | 172.1 ± 63.9 | 0.049 |
| T3 + T4 | 14 | 134.1 ± 61.7 | |
| Lymph node metastasis | |||
| N0 + N1 | 59 | 165.6 ± 62.3 | 0.550 |
| N2 + N3 | 9 | 155.6 ± 84.1 | |
| Histologic grade | |||
| 1 + 2 | 39 | 174.8 ± 63.8 | 0.089 |
| >3 | 29 | 150.1 ± 64.7 | |
| AJCC stage | |||
| 0–II | 47 | 179.8 ± 65.8 | 0.030 |
| III–IV | 21 | 138.6 ± 60.6 | |
| Ki67 status | |||
| <14% | 26 | 193.7 ± 61.9 | 0.004 |
| ≥14% | 42 | 146.0 ± 62.0 | |
| Estrogen receptor | |||
| Negative | 14 | 162.9 ± 63.3 | 0.923 |
| Positive | 54 | 164.8 ± 66.4 | |
| Progesterone receptor | |||
| Negative | 24 | 154.2 ± 62.4 | 0.358 |
| Positive | 44 | 169.8 ± 67.0 | |
| HER2 | |||
| Negative | 51 | 155.8 ± 64.8 | 0.048 |
| Positive | 17 | 189.8 ± 60.0 | |
| Molecular tumor subtype | |||
| Luminal A | 23 | 188.5 ± 60.1 | 0.002 |
| Luminal B HER2-negative | 19 | 122.4 ± 53.7 | |
| Luminal B HER2-positive | 13 | 184.0 ± 65.2 | |
| HER2-enriched | 4 | 208.8 ± 39.6 | |
| Triple-negative | 9 | 142.5 ± 62.5 |
| H-Score of GDF11 | ||
|---|---|---|
| Parameter | r | p-Value |
| Tumor size (<2 cm versus ≥2 cm) | 0.436 | 0.0002 |
| Pathologic T stage (T0 + T1 + T2 versus T3 + T4) | 0.239 | 0.049 |
| AJCC stage (0–II versus III–IV) | 0.258 | 0.048 |
| Ki67 | −0.256 | 0.038 |
| Luminal B HER2-negative and triple-negative versus luminal A, luminal B HER2-positive, and HER2-enriched | −0.370 | 0.002 |
| White blood cell count | −0.157 | 0.205 |
| Neutrophil count | −0.291 | 0.037 |
| Monocyte count | −0.168 | 0.234 |
| Lymphocyte count | 0.157 | 0.267 |
| Red blood cells | 0.032 | 0.796 |
| Hemoglobin | 0.159 | 0.199 |
| Hematocrit | 0.074 | 0.554 |
| MCH | 0.212 | 0.086 |
| MCHC | 0.418 | 0.0004 |
| Platelet count | −0.096 | 0.439 |
| RDW-SD | −0.269 | 0.028 |
| RDW-CV | −0.248 | 0.043 |
Disclaimer/Publisher’s Note: The statements, opinions and data contained in all publications are solely those of the individual author(s) and contributor(s) and not of MDPI and/or the editor(s). MDPI and/or the editor(s) disclaim responsibility for any injury to people or property resulting from any ideas, methods, instructions or products referred to in the content. |
© 2024 by the authors. Licensee MDPI, Basel, Switzerland. This article is an open access article distributed under the terms and conditions of the Creative Commons Attribution (CC BY) license (https://creativecommons.org/licenses/by/4.0/).
Share and Cite
Chen, C.-C.; Lee, T.-L.; Tsai, I.-T.; Hsuan, C.-F.; Hsu, C.-C.; Wang, C.-P.; Lu, Y.-C.; Lee, C.-H.; Chung, F.-M.; Lee, Y.-J.; et al. Tissue Expression of Growth Differentiation Factor 11 in Patients with Breast Cancer. Diagnostics 2024, 14, 701. https://doi.org/10.3390/diagnostics14070701
Chen C-C, Lee T-L, Tsai I-T, Hsuan C-F, Hsu C-C, Wang C-P, Lu Y-C, Lee C-H, Chung F-M, Lee Y-J, et al. Tissue Expression of Growth Differentiation Factor 11 in Patients with Breast Cancer. Diagnostics. 2024; 14(7):701. https://doi.org/10.3390/diagnostics14070701
Chicago/Turabian StyleChen, Chia-Chi, Thung-Lip Lee, I-Ting Tsai, Chin-Feng Hsuan, Chia-Chang Hsu, Chao-Ping Wang, Yung-Chuan Lu, Chien-Hsun Lee, Fu-Mei Chung, Yau-Jiunn Lee, and et al. 2024. "Tissue Expression of Growth Differentiation Factor 11 in Patients with Breast Cancer" Diagnostics 14, no. 7: 701. https://doi.org/10.3390/diagnostics14070701
APA StyleChen, C.-C., Lee, T.-L., Tsai, I.-T., Hsuan, C.-F., Hsu, C.-C., Wang, C.-P., Lu, Y.-C., Lee, C.-H., Chung, F.-M., Lee, Y.-J., & Wei, C.-T. (2024). Tissue Expression of Growth Differentiation Factor 11 in Patients with Breast Cancer. Diagnostics, 14(7), 701. https://doi.org/10.3390/diagnostics14070701

