Development of a Musculoskeletal Ultrasound Protocol to Evaluate Hand Pain in Systemic Sclerosis Patients
Abstract
1. Introduction
2. Spectrum of Hand Pathology in Systemic Sclerosis as Seen on Ultrasound
2.1. Joint Pathology
2.1.1. Non-Inflammatory Arthralgias
2.1.2. Inflammatory Arthritis
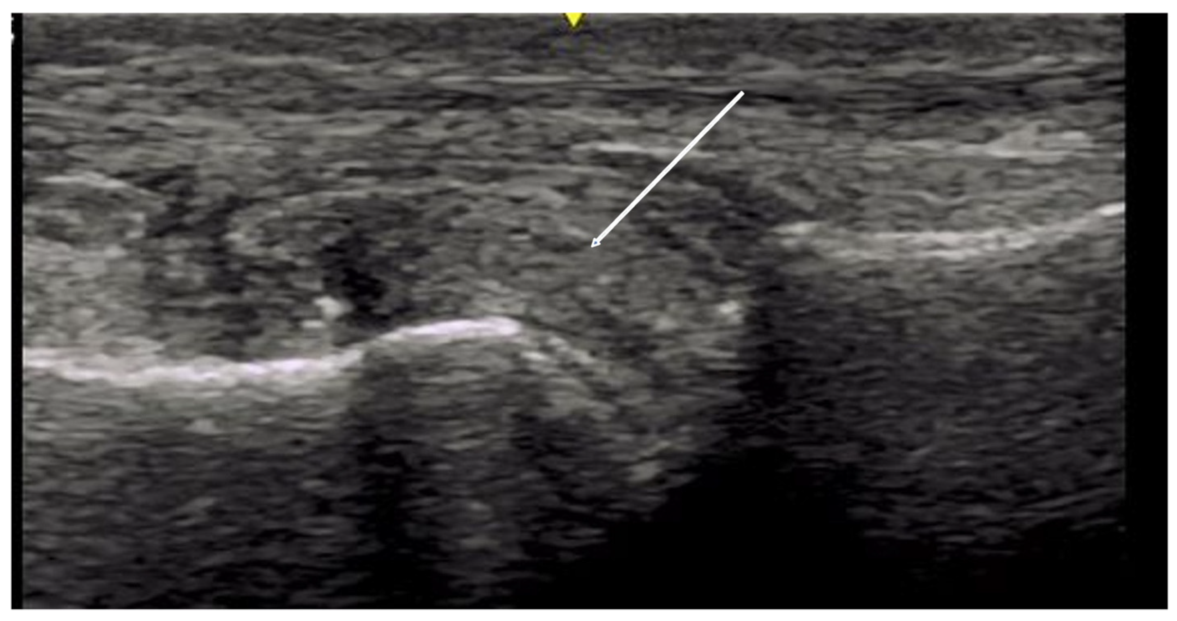
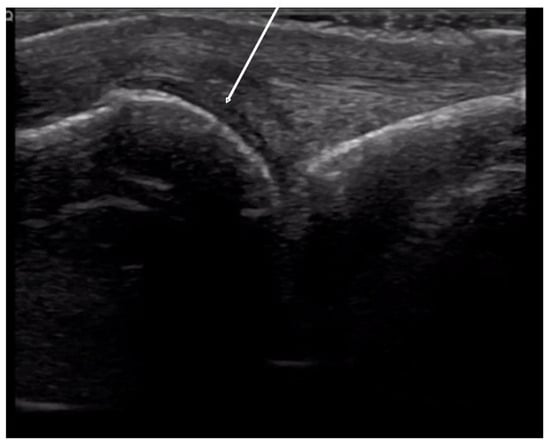
2.1.3. Acro-Osteolysis
2.2. Tendon Pathology
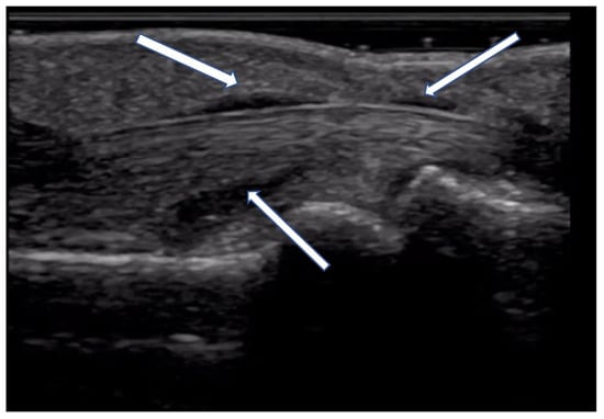
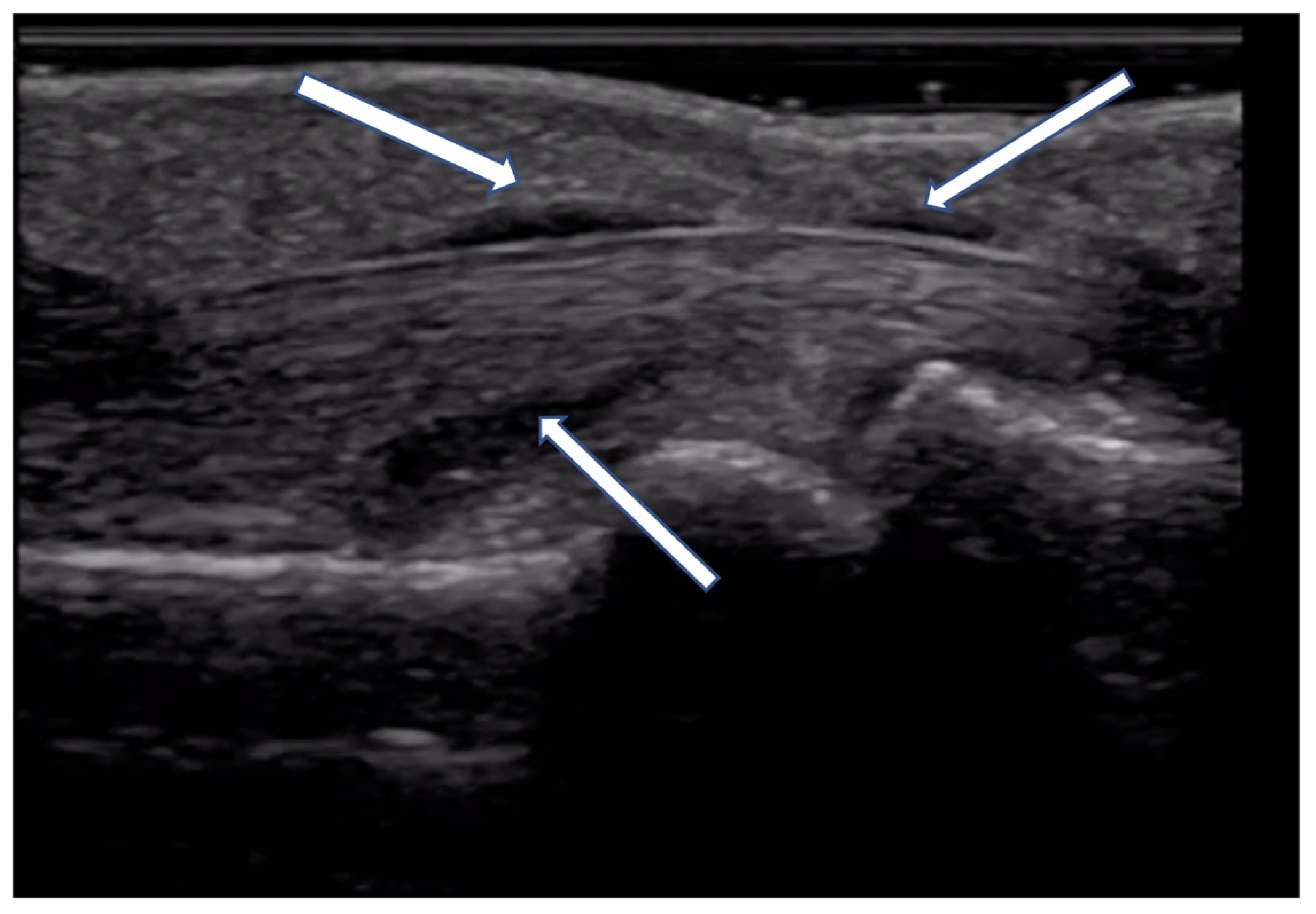
2.2.1. Tenosynovitis
2.2.2. Contractures and Tendon Friction Rubs
2.3. Nerve Pathology
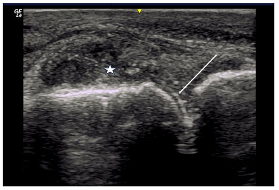
Carpal Tunnel Syndrome
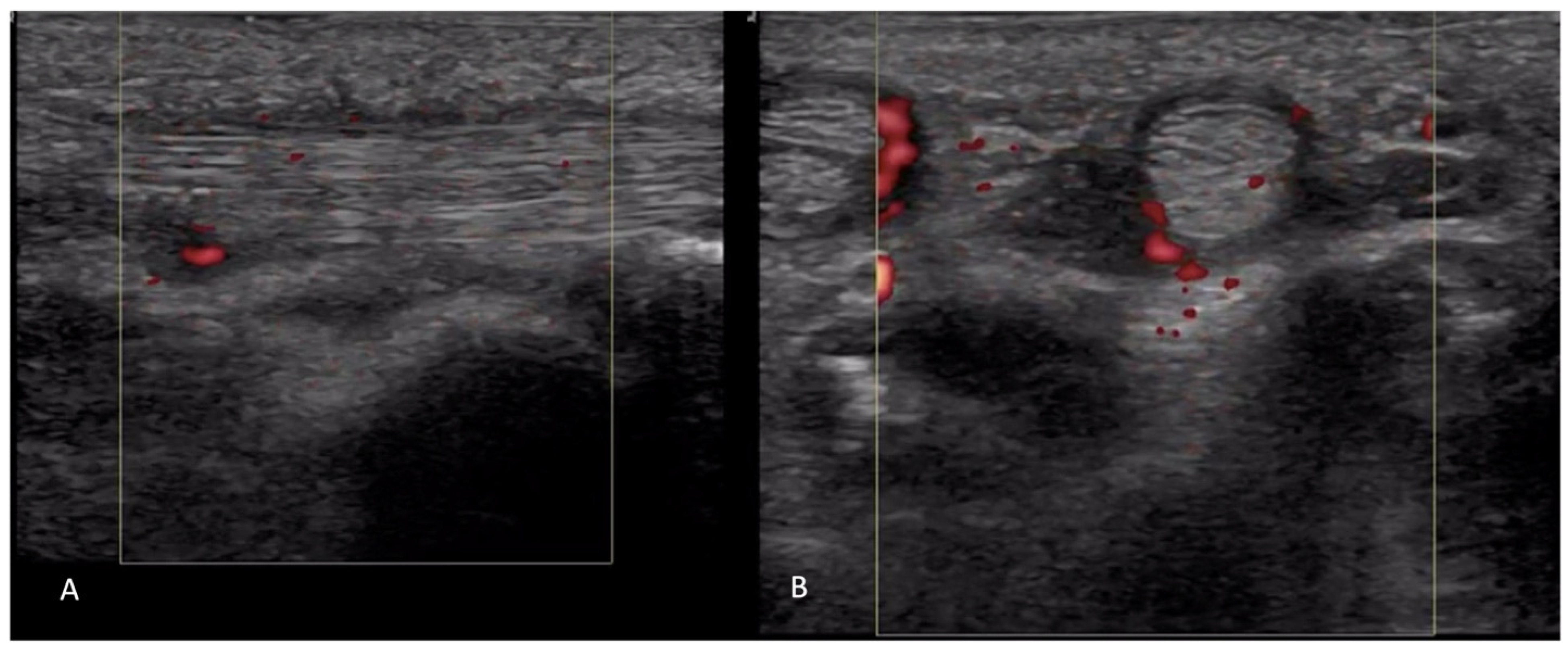
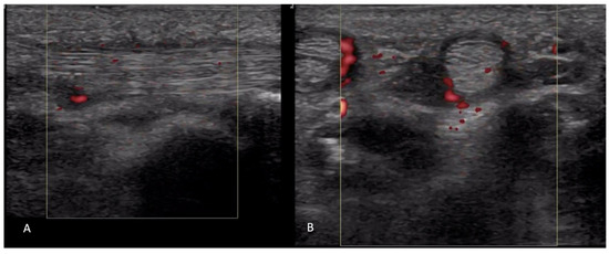
2.4. Vascular Pathology
2.5. Skin Thickening
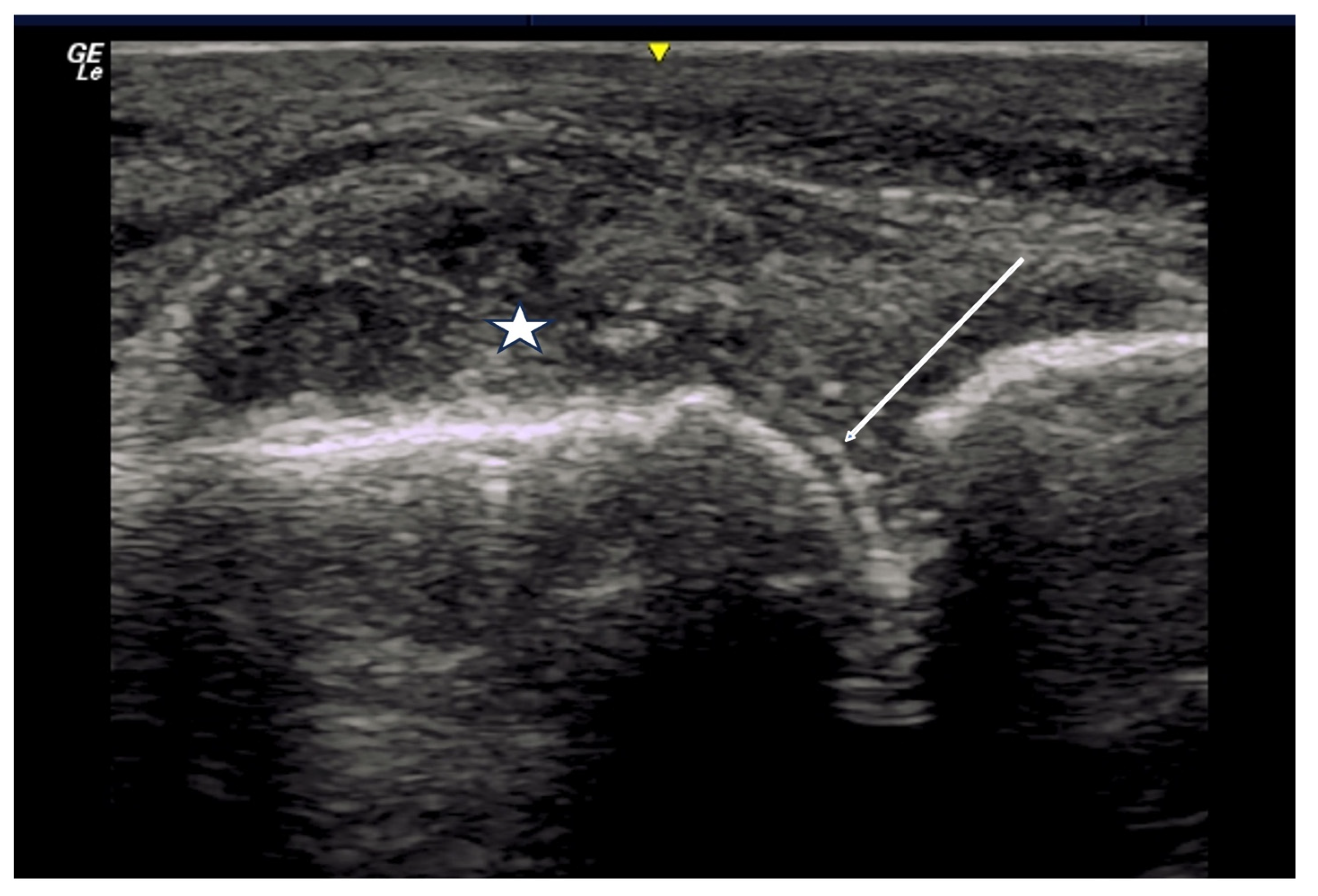
2.6. Calcium Deposition
3. Materials and Equipment
4. Detailed Procedure and Expected Results: MSK US Protocol for Hand Pain in Systemic Sclerosis Patient
4.1. Evaluation of the Fingers
4.1.1. Dorsal Aspect
4.1.2. Volar Aspect
4.1.3. Radial and Ulnar Aspects
4.2. Evaluation of the Wrist
4.2.1. Dorsal Aspect
4.2.2. Volar Aspect
4.2.3. Ulnar Aspect
4.2.4. Radial Aspect
5. Experimental Design: Personalized Management of Hand Pain
6. Conclusions
Author Contributions
Funding
Institutional Review Board Statement
Informed Consent Statement
Data Availability Statement
Acknowledgments
Conflicts of Interest
References
- Wakefield, R.J.; Balint, P.V.; Szkudlarek, M.; Filippucci, E.; Backhaus, M.; D’Agostino, M.-A.; Sanchez, E.N.; Iagnocco, A.; Schmidt, W.A.A.; Bruyn, G.A.W.; et al. Musculoskeletal ultrasound including definitions for ultrasonographic pathology. J. Rheumatol. 2005, 32, 2485–2487. [Google Scholar] [PubMed]
- Bruyn, G.A.; Iagnocco, A.; Naredo, E.; Balint, P.V.; Gutierrez, M.; Hammer, H.B.; Collado, P.; Filippou, G.; Schmidt, W.A.; Jousse-Joulin, S.; et al. OMERACT Definitions for Ultrasonographic Pathologies and Elementary Lesions of Rheumatic Disorders 15 Years On. J. Rheumatol. 2019, 46, 1388–1393. [Google Scholar] [CrossRef]
- Fairchild, R.; Horomanski, A.; Sharpless, L.; Chung, M.; Li, S.; Hong, J.; Sheth, K.; Chung, L. Ultrasound Evaluation of the Hands and Wrists in Patients with Systemic Sclerosis: Osteophytosis is a Major Contributor to Tender Joints. Semin. Arthritis Rheum. 2021, 51, 735–740. [Google Scholar] [CrossRef]
- Cuomo, G.; Zappia, M.; Abignano, G.; Iudici, M.; Rotondo, A.; Valentini, G. Ultrasonographic features of the hand and wrist in systemic sclerosis. Rheumatology 2009, 48, 1414–1417. [Google Scholar] [CrossRef] [PubMed]
- Kohler, M.J. Musculoskeletal Ultrasound in Rheumatology Review; Springer: Berlin/Heidelberg, Germany, 2021. [Google Scholar]
- Avouac, J.; Walker, U.; Tyndall, A.; Kahan, A.; Matucci-Cerinic, M.; Allanore, Y. Characteristics of joint involvement and relationships with systemic inflammation in systemic sclerosis: Results from the EULAR Scleroderma Trial and Research Group (EUSTAR) database. J. Rheumatol. 2010, 37, 1488–1501. [Google Scholar] [CrossRef] [PubMed]
- Morrisroe, K.B.; Nikpour, M.; Proudman, S.M. Musculoskeletal Manifestations of Systemic Sclerosis. Rheum. Dis. Clin. N. Am. 2015, 41, 507–518. [Google Scholar] [CrossRef]
- Fairchild, R.; Chung, M.; Sharpless, L.; Li, S.; Chung, L. Ultrasound Detection of Calcinosis and Association With Ulnar Artery Occlusion in Patients With Systemic Sclerosis. Arthritis Care Res. 2021, 73, 1332–1337. [Google Scholar] [CrossRef] [PubMed]
- Gohar, N.; Ezzat, Y.; Naeem, N.; El Shazly, R. A comparative study between ultrasonographic hand features in systemic sclerosis and rheumatoid arthritis patients: Relation to disease activity, clinical and radiological findings. Egypt. Rheumatol. 2015, 37, 177–184. [Google Scholar] [CrossRef]
- Elhai, M.; Guerini, H.; Bazeli, R.; Avouac, J.; Freire, V.; Drapé, J.; Kahan, A.; Allanore, Y. Ultrasonographic hand features in systemic sclerosis and correlates with clinical, biologic, and radiographic findings. Arthritis Care Res. 2012, 64, 1244–1249. [Google Scholar] [CrossRef]
- Iagnocco, A.; Vavala, C.; Vasile, M.; Stefanantoni, K.; Valesini, G.; Riccieri, V. Power Doppler ultrasound of the hand and wrist joints in systemic sclerosis. Clin. Exp. Rheumatol. 2013, 31 (Suppl. S76), S89–S95. [Google Scholar]
- Thiele, R.G.; Schlesinger, N. Diagnosis of gout by ultrasound. Rheumatology 2007, 46, 1116–1121. [Google Scholar] [CrossRef]
- Filippou, G.; Scanu, A.; Adinolfi, A.; Toscano, C.; Gambera, D.; Largo, R.; Naredo, E.; Calvo, E.; Herrero-Beaumont, G.; Zufferey, P.; et al. Criterion validity of ultrasound in the identification of calcium pyrophosphate crystal deposits at the knee: An OMERACT ultrasound study. Ann. Rheum. Dis. 2020, 80, 261–267. [Google Scholar] [CrossRef] [PubMed]
- Filippou, G.; Scirè, C.A.; Adinolfi, A.; Damjanov, N.S.; Carrara, G.; Bruyn, G.A.W.; Cazenave, T.; D’agostino, M.A.; Sedie, A.D.; Di Sabatino, V.; et al. Identification of calcium pyrophosphate deposition disease (CPPD) by ultrasound: Reliability of the OMERACT definitions in an extended set of joints—An international multiobserver study by the OMERACT Calcium Pyrophosphate Deposition Disease Ultrasound Subtask Force. Ann. Rheum. Dis. 2018, 77, 1195–1200. [Google Scholar] [CrossRef]
- Freire, V.; Bazeli, R.; Elhai, M.; Campagna, R.; Pessis, É.; Avouac, J.; Allanore, Y.; Drapé, J.L.; Guérini, H. Hand and Wrist Involvement in Systemic Sclerosis: US Features. Radiology 2013, 269, 824–830. [Google Scholar] [CrossRef] [PubMed]
- Fawzy, R.M. Musculoskeletal ultrasound on the hand and wrist in systemic Sclerosis. Egypt. Rheumatol. Rehabil. 2016, 43, 95–101. [Google Scholar] [CrossRef]
- Hughes, M.; Manning, J.; Moore, T.; Herrick, A.L.; Chitale, S. Ultrasound findings in finger flexor tendons in systemic sclerosis: A cross-sectional pilot study. J. Scleroderma Relat. Disord. 2020, 5, 77–82. [Google Scholar] [CrossRef]
- Hughes, M.; Bruni, C.; Cuomo, G.; Sedie, A.D.; Gargani, L.; Gutierrez, M.; Lepri, G.; Ruaro, B.; Santiago, T.; Suliman, Y.; et al. The role of ultrasound in systemic sclerosis: On the cutting edge to foster clinical and research advancement. J. Scleroderma Relat. Disord. 2021, 6, 123–132. [Google Scholar] [CrossRef]
- Tagliafico, A.; Panico, N.; Serafini, G.; Ghio, M.; Martinoli, C. The thickness of the A1 pulleys reflects the disability of hand mobility in scleroderma. A pilot study using high-frequency ultrasound. Eur. J. Radiol. 2011, 77, 254–257. [Google Scholar] [CrossRef]
- Young, A.; Namas, R.; Dodge, C.; Khanna, D. Hand Impairment in Systemic Sclerosis: Various Manifestations and Currently Available Treatment. Curr. Treat. Options Rheumatol. 2016, 2, 252–269. [Google Scholar] [CrossRef]
- Stoenoiu, M.S.; Houssiau, F.A.; Lecouvet, F.E. Tendon friction rubs in systemic sclerosis: A possible explanation--an ultrasound and magnetic resonance imaging study. Rheumatology 2013, 52, 529–533. [Google Scholar] [CrossRef]
- AlMehmadi, B.A.; To, F.Z.; Anderson, M.A.; Johnson, S.R. Epidemiology and Treatment of Peripheral Neuropathy in Systemic Sclerosis. J. Rheumatol. 2021, 48, 1839–1849. [Google Scholar] [CrossRef] [PubMed]
- Yoshii, Y.; Zhao, C.; Amadio, P.C. Recent Advances in Ultrasound Diagnosis of Carpal Tunnel Syndrome. Diagnostics 2020, 10, 596. [Google Scholar] [CrossRef] [PubMed]
- Ziswiler, H.R.; Reichenbach, S.; Vögelin, E.; Bachmann, L.M.; Villiger, P.M.; Jüni, P. Diagnostic value of sonography in patients with suspected carpal tunnel syndrome: A prospective study. Arthritis Rheum. 2005, 52, 304–311. [Google Scholar] [CrossRef] [PubMed]
- Hobson-Webb, L.D.; Massey, J.M.; Juel, V.C.; Sanders, D.B. The ultrasonographic wrist-to-forearm median nerve area ratio in carpal tunnel syndrome. Clin. Neurophysiol. 2008, 119, 1353–1357. [Google Scholar] [CrossRef] [PubMed]
- Mouthon, L.; Carpentier, P.H.; Lok, C.; Clerson, P.; Gressin, V.; Hachulla, E.; Bérezné, A.; Diot, E.; Van Kien, A.K.; Jego, P.; et al. Ischemic digital ulcers affect hand disability and pain in systemic sclerosis. J. Rheumatol. 2014, 41, 1317–1323. [Google Scholar] [CrossRef] [PubMed]
- Frerix, M.; Stegbauer, J.; Dragun, D.; Kreuter, A.; Weiner, S.M. Ulnar artery occlusion is predictive of digital ulcers in SSc: A duplex sonography study. Rheumatol. Oxf. Engl. 2012, 51, 735–742. [Google Scholar] [CrossRef] [PubMed]
- Lescoat, A.; Coiffier, G.; Rouil, A.; Droitcourt, C.; Cazalets, C.; de Carlan, M.; Perdriger, A.; Jégo, P. Vascular Evaluation of the Hand by Power Doppler Ultrasonography and New Predictive Markers of Ischemic Digital Ulcers in Systemic Sclerosis: Results of a Prospective Pilot Study. Arthritis Care Res. 2017, 69, 543–551. [Google Scholar] [CrossRef] [PubMed]
- Lescoat, A.; Yelnik, C.M.; Coiffier, G.; Wargny, M.; Lamotte, C.; Cazalets, C.; Belhomme, N.; Ballerie, A.; Hatron, P.; Launay, D.; et al. Ulnar Artery Occlusion and Severity Markers of Vasculopathy in Systemic Sclerosis: A Multicenter Cross-Sectional Study. Arthritis Rheumatol. 2019, 71, 983–990. [Google Scholar] [CrossRef]
- Ruaro, B.; Santiago, T.; Hughes, M.; Lepri, G.; Poillucci, G.; Baratella, E.; Salton, F.; Confalonieri, M. The Updated Role of Ultrasound in Assessing Dermatological Manifestations in Systemic Sclerosis. Open Access Rheumatol. Res. Rev. 2021, 13, 79–91. [Google Scholar] [CrossRef]
- Santiago, T.; Santos, E.J.F.; Luis, M.; Gaspar, C.; Lima, J.; Caramelo, F.; da Silva, J.A.P. Normal percentile reference curves for skin ultrasound thickness and stiffness at Rodnan sites. RMD Open 2022, 8, e002577. [Google Scholar] [CrossRef]
- Valenzuela, A.; Chung, L. Calcinosis: Pathophysiology and management. Curr. Opin. Rheumatol. 2015, 27, 542. [Google Scholar] [CrossRef] [PubMed]
- Williams, A.A.; Carl, H.M.; Lifchez, S.D. The Scleroderma Hand: Manifestations of Disease and Approach to Management. J. Hand Surg. 2018, 43, 550–557. [Google Scholar] [CrossRef] [PubMed]
- Avouac, J.; Guerini, H.; Wipff, J.; Assous, N.; Chevrot, A.; Kahan, A.; Allanore, Y. Radiological hand involvement in systemic sclerosis. Ann. Rheum. Dis. 2006, 65, 1088–1092. [Google Scholar] [CrossRef] [PubMed]
- Lee, S.A.; Kim, B.H.; Kim, S.J.; Kim, J.N.; Park, S.Y.; Choi, K. Current status of ultrasonography of the finger. Ultrasonography 2016, 35, 110–123. [Google Scholar] [CrossRef]































Disclaimer/Publisher’s Note: The statements, opinions and data contained in all publications are solely those of the individual author(s) and contributor(s) and not of MDPI and/or the editor(s). MDPI and/or the editor(s) disclaim responsibility for any injury to people or property resulting from any ideas, methods, instructions or products referred to in the content. |
© 2024 by the authors. Licensee MDPI, Basel, Switzerland. This article is an open access article distributed under the terms and conditions of the Creative Commons Attribution (CC BY) license (https://creativecommons.org/licenses/by/4.0/).
Share and Cite
Balbach, M.L.; Corty, R.; Hill, B.; Frech, T.; Aslam, F.; Chew, E.Y. Development of a Musculoskeletal Ultrasound Protocol to Evaluate Hand Pain in Systemic Sclerosis Patients. Diagnostics 2024, 14, 669. https://doi.org/10.3390/diagnostics14070669
Balbach ML, Corty R, Hill B, Frech T, Aslam F, Chew EY. Development of a Musculoskeletal Ultrasound Protocol to Evaluate Hand Pain in Systemic Sclerosis Patients. Diagnostics. 2024; 14(7):669. https://doi.org/10.3390/diagnostics14070669
Chicago/Turabian StyleBalbach, Meridith L., Robert Corty, Bradford Hill, Tracy Frech, Fawad Aslam, and Erin Y. Chew. 2024. "Development of a Musculoskeletal Ultrasound Protocol to Evaluate Hand Pain in Systemic Sclerosis Patients" Diagnostics 14, no. 7: 669. https://doi.org/10.3390/diagnostics14070669
APA StyleBalbach, M. L., Corty, R., Hill, B., Frech, T., Aslam, F., & Chew, E. Y. (2024). Development of a Musculoskeletal Ultrasound Protocol to Evaluate Hand Pain in Systemic Sclerosis Patients. Diagnostics, 14(7), 669. https://doi.org/10.3390/diagnostics14070669

