Endoscopic Features of Gastric Mucosa-Associated Lymphoid Tissue Lymphoma without Helicobacter pylori
Abstract
1. Introduction
2. Materials and Methods
2.1. Study Design
2.2. Evaluation of Endoscopic Findings
2.3. Subdivision of Superficial Type Cases
2.4. Statistical Analysis
3. Results
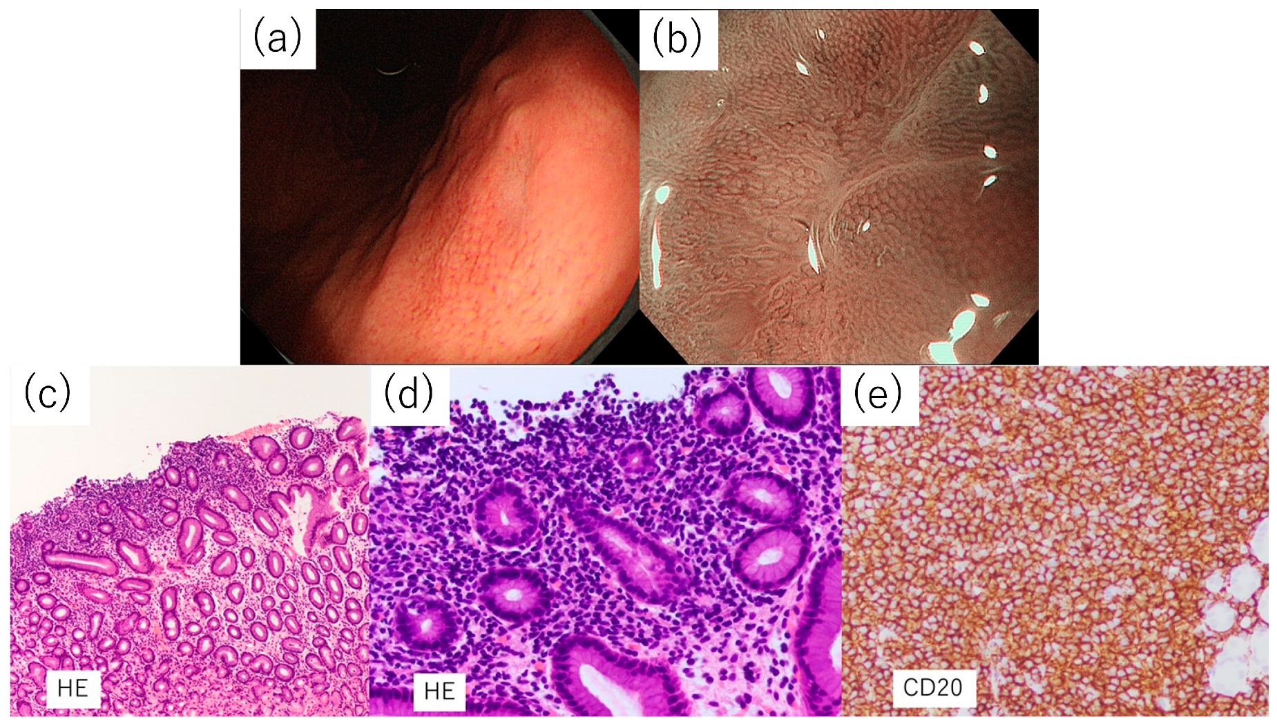
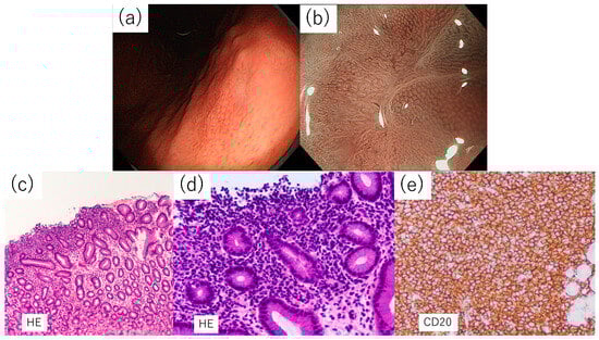
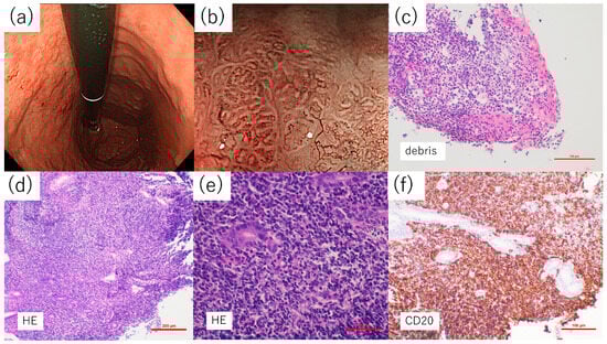
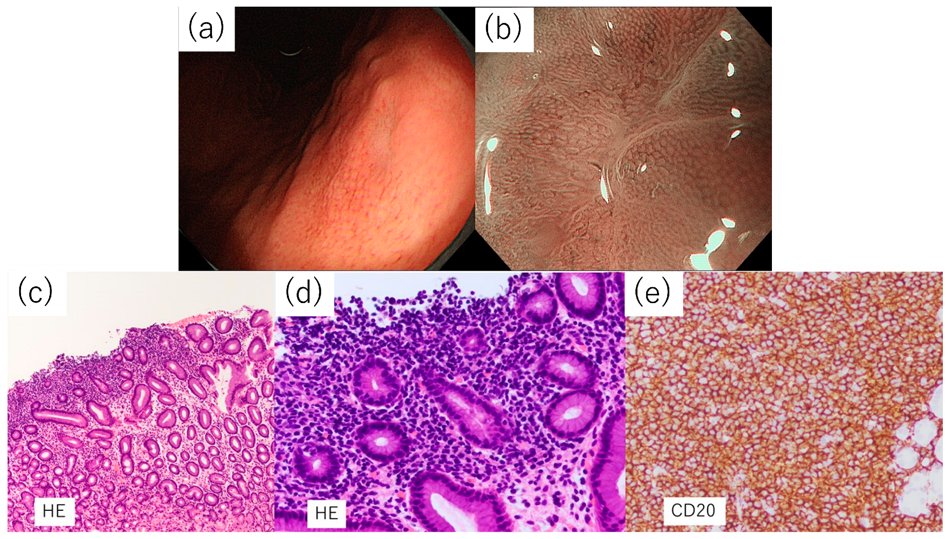
3.1. Comparative Study of the Background and Endoscopic Findings
3.2. Comparative Study by Subdivision of Superficial Type Cases
4. Discussion
5. Conclusions
Author Contributions
Funding
Institutional Review Board Statement
Informed Consent Statement
Data Availability Statement
Acknowledgments
Conflicts of Interest
References
- Isaacson, P.G.; Wright, D.H. Malignant lymphoma of mucosa-associated lymphoid tissue. A distinctive type of B-cell lymphoma. Cancer 1983, 52, 1410–1416. [Google Scholar] [CrossRef]
- Nakamura, S.; Matsumoto, T. Helicobacter pylori and gastric mucosa-associated lymphoid tissue lymphoma: Recent progress in pathogenesis and management. World J. Gastroenterol. 2013, 19, 8181–8187. [Google Scholar] [CrossRef]
- Isaacson, P.G.; Chott, A.; Nakamura, S. e Extranodal marginal zone lymphoma of mucosa-associated lymphoid Tissue (MALT Lymphoma). In World Health Organization Classification of Tumours Haematopoietic and Lymphoid Tissues, 4th ed.; IARC Press: Lyon, France, 2008; pp. 214–217. [Google Scholar]
- Sano, R. Gastric sarcoma. In Clinical Pathology of Gastric Disease; IGAKU-SHOIN Ltd.: Tokyo, Japan, 1974; pp. 260–267. [Google Scholar]
- Yao, T.; Nakazawa, S.; Nakamura, K.; Nagayo, T.; Mochizuki, T.; Watanabe, H. Summary results of gastric malignant lymphoma. Stomach Intest. 1980, 15, 906–908. [Google Scholar]
- Nakamura, S.; Iida, M. Clinical features of gastrointestinal lymphoma: Comparison between low-grade MALT lymphoma and high-grade lymphoma. Jpn. J. Gastroenterol. 2001, 98, 624–635. [Google Scholar] [CrossRef][Green Version]
- Oda, I.; Saito, D.; Ono, H.; Fujishiro, M.; Kozu, T. Course and therapeutic effect after eradication of Helicobacter pylori in gastric MALT lymphoma. Stomach Intest. 1999, 34, 1381–1388. [Google Scholar]
- Zullo, A.; Hassan, C.; Cristofari, F.; Andriani, A.; De Francesco, V.; Ierardi, E.; Tomao, S.; Stolte, M.; Morini, S.; Vaira, D. Effects of Helicobacter pylori eradication on early stage gastric mucosa-associated lymphoid tissue lymphoma. Clin. Gastroenterol. Hepatol. 2010, 8, 105–110. [Google Scholar] [CrossRef]
- Rohatiner, A.; d’Amore, F.; Coiffier, B.; Crowther, D.; Gospodarowicz, M.; Isaacson, P.; Lister, T.A.; Norton, A.; Salem, P.; Shipp, M. Report on a workshop convened to discuss the pathological and staging classifications of gastrointestinal tract lymphoma. Ann. Oncol. 1994, 5, 397–400. [Google Scholar] [CrossRef]
- Tokunaga, K.; Hayashibara, E.; Shibayama, K.; Suzuki, M.; Mastui, H.; Ota, H.; Ida, Y.; Miyoshi, S.; Okamoto, S.; Kusuhara, M.; et al. Association between gastric MALT lymphoma and non-Helicobacter pylori Helicobacter. Jpn. J. Helicobacter Res. 2023, 24, 154–158. [Google Scholar]
- Ishioka, M.; Hirasawa, T.; Mishima, Y. Latest trends in the incidence of Helicobacter pylori-uninfected gastric mucosa-associated lymphoid tissue lymphoma at the Cancer Institute Hospital, Japan. Int. J. Hematol. 2021, 113, 770–771. [Google Scholar] [CrossRef] [PubMed]
- Asano, N.; Iijima, K.; Terai, S.; Jin, X.; Ara, N.; Chiba, T.; Fushiya, J.; Koike, T.; Imatani, A.; Shimosegawa, T. Eradication therapy is effective for Helicobacter pylori-negative gastric mucosa-associated lymphoid tissue lymphoma. Tohoku J. Exp. Med. 2012, 228, 223–227. [Google Scholar] [CrossRef] [PubMed]
- Tajika, M.; Nakamura, T.; Matsumoto, K.; Kawai, H.; Kondo, S.; Niwa, Y.; Yatabe, Y.; Nakamura, S. Endoscopic diagnosis of Helicobacter pylori-negative gastric MALT lymphoma. Helicobacter Res. 2010, 14, 4–10. [Google Scholar]
- Nakamura, S.; Yao, T.; Aoyagi, K.; Iida, M.; Fujishima, M.; Tsuneyoshi, M. Helicobacter pylori and primary gastric lymphoma. A histopathologic and immunohistochemical analysis of 237 patients. Cancer 1997, 79, 3–11. [Google Scholar] [CrossRef]
- Ye, H.; Liu, H.; Raderer, M.; Chott, A.; Ruskone-Fourmestraux, A.; Wotherspoon, A.; Dyer, M.J.; Chuang, S.S.; Dogan, A.; Isaacson, P.G.; et al. High incidence of t(11;18)(q21;q21) in Helicobacter pylori-negative gastric MALT lymphoma. Blood 2003, 101, 2547–2550. [Google Scholar] [CrossRef] [PubMed]
- Ono, N.; Ono, Y.; Sakamoto, N. Diagnosis and treatment of gastric malignant lymphoma. J. Jpn. Soc. Gastroenterol. 2017, 114, 1948–1956. [Google Scholar]
- Akamatsu, T.; Mochizuki, T.; Okiyama, Y.; Matsumoto, A.; Miyabayashi, H.; Ota, H. Comparison of localized gastric mucosa-associated lymphoid tissue (MALT) lymphoma with and without Helicobacter pylori infection. Helicobacter 2006, 11, 86–95. [Google Scholar] [CrossRef]
- Nakamura, M.; Øverby, A.; Michimae, H.; Matsui, H.; Takahashi, S.; Mabe, K.; Shimoyama, T.; Sasaki, M.; Terao, S.; Kamada, T.; et al. PCR analysis and specific immunohistochemistry revealing a high prevalence of non-Helicobacter pylori helicobacters in Helicobacter pylorinegative gastric disease patients in Japan: High susceptibility to an HP eradication regimen. Helicobacter 2020, 25, e12700. [Google Scholar] [CrossRef]
- Liu, J.; He, L.; Haesebrouck, F.; Gong, Y.; Flahou, B.; Cao, Q.; Zhang, J. Prevalence of Coinfection with Gastric non-Helicobacter pylori Helicobacter (NHPH) Species in Helicobacter pylori-infected Patients Suffering from Gastric Disease in Beijing, China. Helicobacter 2015, 20, 284–290. [Google Scholar] [CrossRef]
- Takigawa, H.; Masaki, S.; Naito, T.; Yuge, R.; Urabe, Y.; Tanaka, S.; Sentani, K.; Matsuo, T.; Matsuo, K.; Chayama, K.; et al. Helicobacter suis infection is associated with nodular gastritis-like appearance of gastric mucosa-associated lymphoid tissue lymphoma. Cancer Med. 2019, 8, 4370–4379. [Google Scholar] [CrossRef]
- Nonaka, K.; Ishikawa, K.; Shimizu, M.; Sakurai, T.; Nakai, Y.; Nakao, M.; Yoshino, K.; Arai, S.; Kita, H. Education and imaging. Gastrointestinal: Gastric mucosa-associated lymphoma presented with unique vascular features on magnified endoscopy combined with narrow-band imaging. J. Gastroenterol. Hepatol. 2009, 24, 1697. [Google Scholar] [CrossRef]
- Nonaka, K.; Nakao, M.; Ishikawa, K.; Shimizu, M.; Sakurai, T.; Ochiai, Y.; Togawa, O.; Nishimura, M.; Arai, S.; Sasaki, Y.; et al. A case of gastric MALT lymphoma in which NBI magnifying endoscopy was useful in differentiating it from gastric cancer. Gastroenterol. Endosc. 2011, 53, 3028–3033. [Google Scholar] [CrossRef]
- Ono, S.; Kato, M.; Ono, Y.; Itoh, T.; Kubota, K.; Nakagawa, M.; Shimizu, Y.; Asaka, M. Characteristics of magnified endoscopic images of gastric extranodal marginal zone B-cell lymphoma of the mucosa-associated lymphoid tissue, including changes after treatment. Gastrointest. Endosc. 2008, 68, 624–631. [Google Scholar] [CrossRef]
- Ono, S.; Kato, M.; Ono, Y.; Nakagawa, M.; Shimizu, Y.; Asaka, M. Magnified endoscopic images of gastric MALT lymphoma before and after treatment. Endoscopy 2007, 39, E328. [Google Scholar] [CrossRef]
- Isomoto, H.; Shikuwa, S.; Yamaguchi, N.; Miyazato, K.; Ohnita, K.; Hayashi, T.; Mizuta, Y.; Ito, M.; Kohno, S. Magnified endoscopic findings of gastric low-grade mucosa-associated lymphoid tissue lymphoma. Endoscopy 2008, 40, 225–228. [Google Scholar] [CrossRef]
- Nonaka, K.; Ishikawa, K.; Arai, S.; Nakao, M.; Shimizu, M.; Sakurai, T.; Nagata, K.; Nishimura, M.; Togawa, O.; Ochiai, Y.; et al. A case of gastric mucosa-associated lymphoid tissue lymphoma in which magnified endoscopy with narrow band imaging was useful in the diagnosis. World J. Gastrointest. Endosc. 2012, 4, 151–156. [Google Scholar] [CrossRef]
- Nakamura, M.; Matsui, H.; Murayama, S.Y.; Matsumoto, T.; Yamada, H.; Takahashi, S.; Tsuchimoto, K. Interaction of VEGF to gastric low grade MALT lymphoma by Helicobacter heilmannii infection in C57/BL/6 mice. Inflammopharmacology 2007, 15, 115–118. [Google Scholar] [CrossRef] [PubMed]
- Nishikawa, K.; Nakamura, M.; Takahashi, S.; Matsui, H.; Murayama, S.Y.; Matsumoto, T.; Yamada, H.; Tsuchimoto, K. Increased apoptosis and angiogenesis in gastric low-grade mucosa-associated lymphoid tissue-type lymphoma by Helicobacter heilmannii infection in C57/BL6 mice. FEMS Immunol. Med. Microbiol. 2007, 50, 268–272. [Google Scholar] [CrossRef] [PubMed]
- Nakamura, M.; Takahashi, S.; Matsui, H.; Murayama, S.Y.; Aikawa, C.; Sekiya, Y.; Nishikawa, K.; Matsumoto, T.; Yamada, H.; Tsuchimoto, K. Microcirculatory alteration in low-grade gastric mucosa-associated lymphoma by Helicobacter heilmannii infection: Its relation to vascular endothelial growth factor and cyclooxygenase-2. J. Gastroenterol. Hepatol. 2008, 23, S157–S160. [Google Scholar] [CrossRef] [PubMed]
- Nonaka, K.; Ohata, K.; Matsuhashi, N.; Shimizu, M.; Arai, S.; Hiejima, Y.; Kita, H. Is narrow-band imaging useful for histological evaluation of gastric mucosa-associated lymphoid tissue lymphoma after treatment. Dig. Endosc. 2014, 26, 358–364. [Google Scholar] [CrossRef] [PubMed]
- Furutani, K.; Hirosawa, T.; Takamatsu, M.; Ikenoyama, Y.; Namikawa, K.; Watami, Y.; Yoshimizu, S.; Horiuchi, Y.; Ishiyama, A.; Yoshio, T.; et al. Gastric MALT Lymphoma: Points to Differentiate from Gastric Cancer. Stomach Intest. 2023, 58, 893–896. [Google Scholar] [CrossRef]





| Characteristics No. (%) | Currently Infected Group (N = 28) | Previously Infected Group (N = 5) | Uninfected Group (N = 24) | Total (N = 57) | |
|---|---|---|---|---|---|
| Sex | Male | 16 | 3 | 10 | 29 |
| (57.1) | (60) | (41.7) | (50) | ||
| Median age (years) | 61 | 60 | 62 | 61 | |
| Location in stomach | Upper body | 7 | 1 | 4 | 12 |
| (25) | (20) | (16.7) | (21.1) | ||
| Middle body | 3 | 4 | 5 | 12 | |
| (10.7) | (80) | (20.8) | (21.1) | ||
| Lower body | 11 | 0 | 7 | 18 | |
| (39.3) | (0) | (29.2) | (31.6) | ||
| Multiple locations | 7 | 0 | 8 | 15 | |
| (25) | (0) | (33.3) | (26.3) | ||
| Size | <10 mm | 3 | 3 | 10 | 16 |
| (10.7) | (60) | (41.7) | (28.1) | ||
| 10–30 mm | 7 | 0 | 9 | 16 | |
| (25) | (0) | (37.5) | (28.1) | ||
| ≥30 mm | 18 | 2 | 5 | 25 | |
| (64.3) | (40) | (20.8) | (43.9) | ||
| No. of lesion | Solitary | 24 | 2 | 14 | 40 |
| (85.7) | (40) | (58.3) | (70.2) | ||
| Erosion | Erosion present | 13 | 0 | 2 | 15 |
| (46.4) | (0) | (8.3) | (26.3) | ||
| Macroscopic type | Superficial type | 21 | 5 | 21 | 47 |
| (75) | (100) | (87.5) | (82.4) | ||
| Ulcer type | 4 | 0 | 1 | 5 | |
| (14.2) | (0) | (4.2) | (8.8) | ||
| Polypoid type | 3 | 0 | 2 | 5 | |
| (10.7) | (0) | (8.3) | (8.8) | ||
| Fungated type | 0 | 0 | 0 | 0 | |
| (0) | (0) | (0) | (0) | ||
| Giant fold type | 0 | 0 | 0 | 0 | |
| (0) | (0) | (0) | (0) |
| Endoscopic Features No. (%) | Currently Infected Group | Previously Infected Group | Uninfected Group | Total | Currently Infected Group vs. Uninfected Group p-Value | |
|---|---|---|---|---|---|---|
| N = 16 | N = 5 | N = 19 | N = 40 | |||
| TLA | Yes | 15 | 2 | 8 | 25 | 0.0016 |
| (93.8) | (40) | (42) | (62.5) | |||
| N = 15 | N = 4 | N = 18 | N = 37 | |||
| Balloning | Yes | 11 | 0 | 3 | 14 | <0.001 |
| (73) | (16.7) | (38.9) |
| Type No. (%) | Currently Infected Group N = 21 | Previously Infected Group N = 5 | Uninfected Group N = 21 | Total N = 47 | Currently Infected Group vs. Uninfected Group p-Value |
|---|---|---|---|---|---|
| Atrophic gastritis-like | 4 | 1 | 3 | 8 | n.s. |
| (19) | (20) | (14) | (17) | ||
| Angiodysplasia-like | 0 | 0 | 1 | 1 | n.s. |
| (5) | (2.1) | ||||
| Superficial gastritis-like | 10 | 1 | 3 | 14 | 0.0431 |
| (48) | (20) | (14) | (29.8) | ||
| Undifferentiated carcinoma-like | 7 | 3 | 14 | 24 | 0.0308 |
| (33) | (60) | (67) | (51.1) |
| Features No. (%) | Atrophic Gastritis-Like | Angiodysplasia-Like | Superficial Gastritis-Like | Undifferentiated Carcinoma-Like | Total | |
|---|---|---|---|---|---|---|
| N = 8 | N = 1 | N = 8 | N = 19 | N = 36 | ||
| TLA | Yes | 6 | 0 | 7 | 8 | 21 |
| (75) | (87.5) | (42.1) | (58.3) | |||
| N = 6 | N = 1 | N = 7 | N = 19 | N = 33 | ||
| Balloning | Yes | 2 | 0 | 5 | 4 | 11 |
| (33.3) | (71.4) | (21.1) | (33.3) |
Disclaimer/Publisher’s Note: The statements, opinions and data contained in all publications are solely those of the individual author(s) and contributor(s) and not of MDPI and/or the editor(s). MDPI and/or the editor(s) disclaim responsibility for any injury to people or property resulting from any ideas, methods, instructions or products referred to in the content. |
© 2024 by the authors. Licensee MDPI, Basel, Switzerland. This article is an open access article distributed under the terms and conditions of the Creative Commons Attribution (CC BY) license (https://creativecommons.org/licenses/by/4.0/).
Share and Cite
Watanabe, M.; Nonaka, K.; Kishino, M.; Nagashima, Y.; Tokushige, K. Endoscopic Features of Gastric Mucosa-Associated Lymphoid Tissue Lymphoma without Helicobacter pylori. Diagnostics 2024, 14, 607. https://doi.org/10.3390/diagnostics14060607
Watanabe M, Nonaka K, Kishino M, Nagashima Y, Tokushige K. Endoscopic Features of Gastric Mucosa-Associated Lymphoid Tissue Lymphoma without Helicobacter pylori. Diagnostics. 2024; 14(6):607. https://doi.org/10.3390/diagnostics14060607
Chicago/Turabian StyleWatanabe, Mai, Kouichi Nonaka, Maiko Kishino, Yoji Nagashima, and Katsutoshi Tokushige. 2024. "Endoscopic Features of Gastric Mucosa-Associated Lymphoid Tissue Lymphoma without Helicobacter pylori" Diagnostics 14, no. 6: 607. https://doi.org/10.3390/diagnostics14060607
APA StyleWatanabe, M., Nonaka, K., Kishino, M., Nagashima, Y., & Tokushige, K. (2024). Endoscopic Features of Gastric Mucosa-Associated Lymphoid Tissue Lymphoma without Helicobacter pylori. Diagnostics, 14(6), 607. https://doi.org/10.3390/diagnostics14060607

