Limited Role of the Apparent Diffusion Coefficient (ADC) for Tumor Grade and Overall Survival in Resectable Pancreatic Ductal Adenocarcinoma
Abstract
1. Introduction
2. Materials and Methods
2.1. Patients
2.2. MRI Technique
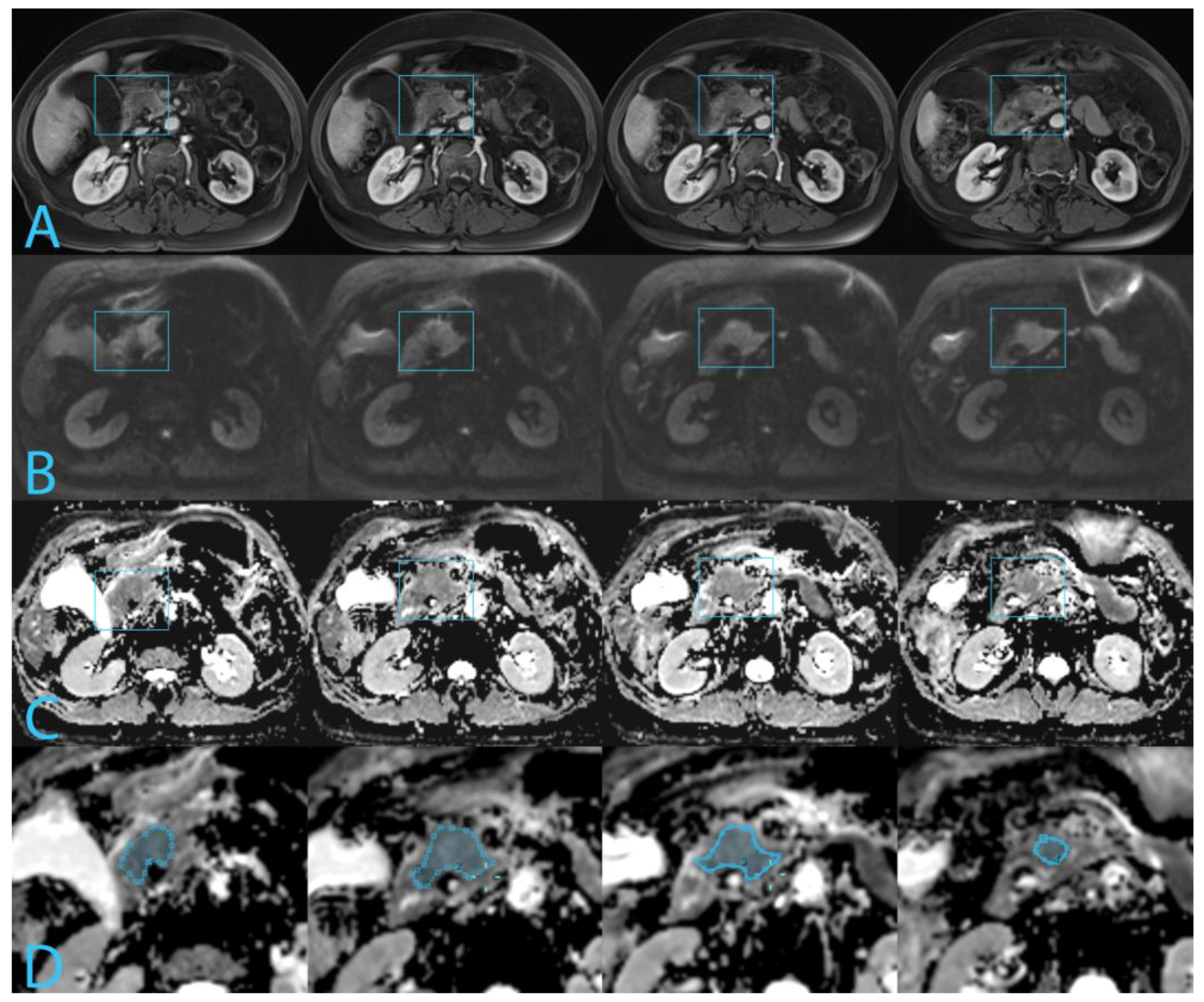
2.3. Image Analysis
2.4. Assessment of Histologic Tumor Grade
2.5. Statistical Analysis
3. Results
3.1. Patient Characteristics
3.2. Histopathologic Results
3.3. Correlation between ADC, Tumor Grades, and Clinicopathological Variables
3.4. Overall Survival
4. Discussion
5. Conclusions
Author Contributions
Funding
Institutional Review Board Statement
Informed Consent Statement
Data Availability Statement
Acknowledgments
Conflicts of Interest
References
- Rochefort, M.M.; Ankeny, J.S.; Kadera, B.E.; Donald, G.W.; Isacoff, W.; Wainberg, Z.A.; Hines, O.J.; Donahue, T.R.; Reber, H.A.; Tomlinson, J.S. Impact of tumor grade on pancreatic cancer prognosis: Validation of a novel TNMG staging system. Ann. Surg. Oncol. 2013, 20, 4322–4329. [Google Scholar] [CrossRef] [PubMed]
- Crippa, S.; Belfiori, G.; Bissolati, M.; Partelli, S.; Pagnanelli, M.; Tamburrino, D.; Gasparini, G.; Rubini, C.; Zamboni, G.; Falconi, M. Recurrence after surgical resection of pancreatic cancer: The importance of postoperative complications beyond tumor biology. HPB 2021, 23, 1666–1673. [Google Scholar] [CrossRef] [PubMed]
- Belfiori, G.; Crippa, S.; Francesca, A.; Pagnanelli, M.; Tamburrino, D.; Gasparini, G.; Partelli, S.; Andreasi, V.; Rubini, C.; Zamboni, G.; et al. Long-Term Survivors after Upfront Resection for Pancreatic Ductal Adenocarcinoma: An Actual 5-Year Analysis of Disease-Specific and Post-Recurrence Survival. Ann. Surg. Oncol. 2021, 28, 8249–8260. [Google Scholar] [CrossRef]
- Strobel, O.; Lorenz, P.; Hinz, U.; Gaida, M.; König, A.K.; Hank, T.; Niesen, W.; Kaiser, J.Ö.R.; Al-Saeedi, M.; Bergmann, F.; et al. Actual Five-year Survival After Upfront Resection for Pancreatic Ductal Adenocarcinoma: Who Beats the Odds? Ann. Surg. 2022, 275, 962–971. [Google Scholar] [CrossRef] [PubMed]
- Nurmi, A.; Mustonen, H.; Parviainen, H.; Peltola, K.; Haglund, C.; Seppanen, H. Neoadjuvant therapy offers longer survival than upfront surgery for poorly differentiated and higher stage pancreatic cancer. Acta Oncol. 2018, 57, 799–806. [Google Scholar] [CrossRef]
- Fukukura, Y.; Takumi, K.; Kamimura, K.; Shindo, T.; Kumagae, Y.; Tateyama, A.; Nakajo, M. Pancreatic adenocarcinoma: Variability of diffusion-weighted MR imaging findings. Radiology 2012, 263, 732–740. [Google Scholar] [CrossRef]
- Wang, Y.; Chen, Z.E.; Nikolaidis, P.; McCarthy, R.J.; Merrick, L.; Sternick, L.A.; Horowitz, J.M.; Yaghmai, V.; Miller, F.H. Diffusion-weighted magnetic resonance imaging of pancreatic adenocarcinomas: Association with histopathology and tumor grade. J. Magn. Reson. Imaging 2011, 33, 136–142. [Google Scholar] [CrossRef]
- Adsay, N.V.; Basturk, O.; Bonnett, M.; Kilinc, N.; Andea, A.A.; Feng, J.; Che, M.; Aulicino, M.R.; Levi, E.; Cheng, J.D. A proposal for a new and more practical grading scheme for pancreatic ductal adenocarcinoma. Am. J. Surg. Pathol. 2005, 29, 724–733. [Google Scholar] [CrossRef]
- Kalimuthu, S.N.; Wilson, G.W.; Grant, R.C.; Seto, M.; O’Kane, G.; Vajpeyi, R.; Notta, F.; Gallinger, S.; Chetty, R. Morphological classification of pancreatic ductal adenocarcinoma that predicts molecular subtypes and correlates with clinical outcome. Gut 2020, 69, 317–328. [Google Scholar] [CrossRef]
- Dunet, V.; Halkic, N.; Sempoux, C.; Demartines, N.; Montemurro, M.; Prior, J.O.; Schmidt, S. Prediction of tumour grade and survival outcome using pre-treatment PET- and MRI-derived imaging features in patients with resectable pancreatic ductal adenocarcinoma. Eur. Radiol. 2021, 31, 992–1001. [Google Scholar] [CrossRef]
- Xie, P.; Liu, K.; Peng, W.; Zhou, Z. The Correlation Between Diffusion-Weighted Imaging at 3.0-T Magnetic Resonance Imaging and Histopathology for Pancreatic Ductal Adenocarcinoma. J. Comput. Assist. Tomogr. 2015, 39, 697–701. [Google Scholar] [CrossRef] [PubMed]
- Ma, W.; Li, N.; Zhao, W.; Ren, J.; Wei, M.; Yang, Y.; Wang, Y.; Fu, X.; Zhang, Z.; Larson, A.C.; et al. Apparent Diffusion Coefficient and Dynamic Contrast-Enhanced Magnetic Resonance Imaging in Pancreatic Cancer: Characteristics and Correlation With Histopathologic Parameters. J. Comput. Assist. Tomogr. 2016, 40, 709–716. [Google Scholar] [CrossRef] [PubMed]
- Hayano, K.; Miura, F.; Amano, H.; Toyota, N.; Wada, K.; Kato, K.; Sano, K.; Takeshita, K.; Aoyagi, T.; Shuto, K.; et al. Correlation of apparent diffusion coefficient measured by diffusion-weighted MRI and clinicopathologic features in pancreatic cancer patients. J. Hepato-Biliary-Pancreat. Sci. 2013, 20, 243–248. [Google Scholar] [CrossRef]
- Zaboriene, I.; Zviniene, K.; Lukosevicius, S.; Ignatavicius, P.; Barauskas, G. Dynamic Perfusion Computed Tomography and Apparent Diffusion Coefficient as Potential Markers for Poorly Differentiated Pancreatic Adenocarcinoma. Dig. Surg. 2021, 38, 128–135. [Google Scholar] [CrossRef]
- Abdel Kader, M.; Abass, H.R.; Suliman, M.M. Apparent diffusion coefficient of pancreatic adenocarcinoma: Is there any congruity with tumor resectability? Egypt. J. Radiol. Nucl. Med. 2019, 50, 27. [Google Scholar] [CrossRef]
- Rosenkrantz, A.B.; Matza, B.W.; Sabach, A.; Hajdu, C.H.; Hindman, N. Pancreatic cancer: Lack of association between apparent diffusion coefficient values and adverse pathological features. Clin. Radiol. 2013, 68, e191–e197. [Google Scholar] [CrossRef]
- Ma, C.; Li, Y.; Wang, L.; Wang, Y.; Zhang, Y.; Wang, H.; Chen, S.; Lu, J. Intravoxel incoherent motion DWI of the pancreatic adenocarcinomas: Monoexponential and biexponential apparent diffusion parameters and histopathological correlations. Cancer Imaging 2017, 17, 12. [Google Scholar] [CrossRef]
- Kurosawa, J.; Tawada, K.; Mikata, R.; Ishihara, T.; Tsuyuguchi, T.; Saito, M.; Shimofusa, R.; Yoshitomi, H.; Ohtsuka, M.; Miyazaki, M.; et al. Prognostic relevance of apparent diffusion coefficient obtained by diffusion-weighted MRI in pancreatic cancer. J. Magn. Reson. Imaging 2015, 42, 1532–1537. [Google Scholar] [CrossRef]
- Chen, B.B.; Tien, Y.W.; Chang, M.C.; Cheng, M.F.; Chang, Y.T.; Yang, S.H.; Wu, C.H.; Kuo, T.C.; Shih, I.L.; Yen, R.F.; et al. Multiparametric PET/MR imaging biomarkers are associated with overall survival in patients with pancreatic cancer. Eur. J. Nucl. Med. Mol. Imaging 2018, 45, 1205–1217. [Google Scholar] [CrossRef]
- Cocquempot, R.; Bonnin, A.; Barat, M.; Naveendran, G.; Dohan, A.; Fuks, D.; Terris, B.; Coriat, R.; Hoeffel, C.; Marchese, U.; et al. Interobserver Variability and Accuracy of Preoperative CT and MRI in Pancreatic Ductal Adenocarcinoma Size Estimation: A Retrospective Cohort Study. Can. Assoc. Radiol. J. 2023, 74, 570–581. [Google Scholar] [CrossRef]
- Verbeke, C.S.; Leitch, D.; Menon, K.V.; McMahon, M.J.; Guillou, P.J.; Anthoney, A. Redefining the R1 resection in pancreatic cancer. Br. J. Surg. 2006, 93, 1232–1237. [Google Scholar] [CrossRef] [PubMed]
- Verbeke, C.S. Resection margins in pancreatic cancer. Surg. Clin. N. Am. 2013, 93, 647–662. [Google Scholar] [CrossRef] [PubMed]
- Klöppel, G.; Solcia, E.; Longnecker, D.S.; Capella, C.; Sobin, L.H. Histological Typing of Tumours of the Exocrine Pancreas; Springer Science & Business Media: Berlin/Heidelberg, Germany, 1996. [Google Scholar]
- Nagtegaal, I.D.; Odze, R.D.; Klimstra, D.; Paradis, V.; Rugge, M.; Schirmacher, P.; Washington, K.M.; Carneiro, F.; Cree, I.A. The 2019 WHO classification of tumours of the digestive system. Histopathology 2020, 76, 182–188. [Google Scholar] [CrossRef] [PubMed]
- Zhu, M.; Zhang, C.; Yan, J.; Sun, J.; Zhao, X.; Zhang, L.; Yin, L. Accuracy of quantitative diffusion-weighted imaging for differentiating benign and malignant pancreatic lesions: A systematic review and meta-analysis. Eur. Radiol. 2021, 31, 7746–7759. [Google Scholar] [CrossRef] [PubMed]
- Riviere, D.M.; van Geenen, E.J.M.; van der Kolk, B.M.; Nagtegaal, I.D.; Radema, S.A.; van Laarhoven, C.; Hermans, J.J. Improving preoperative detection of synchronous liver metastases in pancreatic cancer with combined contrast-enhanced and diffusion-weighted MRI. Abdom. Radiol. 2019, 44, 1756–1765. [Google Scholar] [CrossRef] [PubMed]
- Marion-Audibert, A.M.; Vullierme, M.P.; Ronot, M.; Mabrut, J.Y.; Sauvanet, A.; Zins, M.; Cuilleron, M.; Sa-Cunha, A.; Lévy, P.; Rode, A. Routine MRI With DWI Sequences to Detect Liver Metastases in Patients With Potentially Resectable Pancreatic Ductal Carcinoma and Normal Liver CT: A Prospective Multicenter Study. AJR Am. J. Roentgenol. 2018, 211, W217–W225. [Google Scholar] [CrossRef]
- Shin, N.; Kang, T.W.; Min, J.H.; Hwang, J.A.; Kim, Y.K.; Kim, Y.Y.; Han, I.W.; Kim, K. Utility of Diffusion-Weighted MRI for Detection of Locally Recurrent Pancreatic Cancer After Surgical Resection. AJR Am. J. Roentgenol. 2022, 219, 762–773. [Google Scholar] [CrossRef]
- Bilreiro, C.; Andrade, L.; Marques, R.M.; Matos, C. Diffusion-weighted imaging for determining response to neoadjuvant therapy in pancreatic cancer: A systematic review and meta-analysis. Eur. Radiol. 2023; Online ahead of print. [Google Scholar] [CrossRef]
- Verbeke, C. Morphological heterogeneity in ductal adenocarcinoma of the pancreas–Does it matter? Pancreatology 2016, 16, 295–301. [Google Scholar] [CrossRef]
- Surov, A.; Eger, K.I.; Potratz, J.; Gottschling, S.; Wienke, A.; Jechorek, D. Apparent diffusion coefficient correlates with different histopathological features in several intrahepatic tumors. Eur. Radiol. 2023, 33, 5955–5964. [Google Scholar] [CrossRef]
- Sakane, M.; Tatsumi, M.; Kim, T.; Hori, M.; Onishi, H.; Nakamoto, A.; Eguchi, H.; Nagano, H.; Wakasa, K.; Hatazawa, J.; et al. Correlation between apparent diffusion coefficients on diffusion-weighted MRI and standardized uptake value on FDG-PET/CT in pancreatic adenocarcinoma. Acta Radiol. 2015, 56, 1034–1041. [Google Scholar] [CrossRef]
- Garces-Descovich, A.; Morrison, T.C.; Beker, K.; Jaramillo-Cardoso, A.; Moser, A.J.; Mortele, K.J. DWI of Pancreatic Ductal Adenocarcinoma: A Pilot Study to Estimate the Correlation With Metastatic Disease Potential and Overall Survival. AJR Am. J. Roentgenol. 2019, 212, 323–331. [Google Scholar] [CrossRef]
- Liot, S.; Balas, J.; Aubert, A.; Prigent, L.; Mercier-Gouy, P.; Verrier, B.; Bertolino, P.; Hennino, A.; Valcourt, U.; Lambert, E. Stroma Involvement in Pancreatic Ductal Adenocarcinoma: An Overview Focusing on Extracellular Matrix Proteins. Front. Immunol. 2021, 12, 612271. [Google Scholar] [CrossRef]
- Ma, C.; Liu, L.; Li, J.; Wang, L.; Chen, L.G.; Zhang, Y.; Chen, S.Y.; Lu, J.P. Apparent diffusion coefficient (ADC) measurements in pancreatic adenocarcinoma: A preliminary study of the effect of region of interest on ADC values and interobserver variability. J. Magn. Reson. Imaging JMRI 2016, 43, 407–413. [Google Scholar] [CrossRef] [PubMed]
- Ye, X.H.; Gao, J.Y.; Yang, Z.H.; Liu, Y. Apparent diffusion coefficient reproducibility of the pancreas measured at different MR scanners using diffusion-weighted imaging. J. Magn. Reson. Imaging JMRI 2014, 40, 1375–1381. [Google Scholar] [CrossRef] [PubMed]
- Liu, L.; Ma, C.; Li, J.; Wang, L.; Chen, L.G.; Zhang, Y.; Chen, S.Y.; Lu, J.P. Comparison of the Diagnostic Performances of Three Techniques of ROI Placement for ADC Measurements in Pancreatic Adenocarcinoma. Acad. Radiol. 2015, 22, 1385–1392. [Google Scholar] [CrossRef] [PubMed]
- Vos, E.K.; Kobus, T.; Litjens, G.J.; Hambrock, T.; Hulsbergen-van de Kaa, C.A.; Barentsz, J.O.; Maas, M.C.; Scheenen, T.W. Multiparametric Magnetic Resonance Imaging for Discriminating Low-Grade From High-Grade Prostate Cancer. Investig. Radiol. 2015, 50, 490–497. [Google Scholar] [CrossRef] [PubMed]
- Hambrock, T.; Somford, D.M.; Huisman, H.J.; van Oort, I.M.; Witjes, J.A.; Hulsbergen-van de Kaa, C.A.; Scheenen, T.; Barentsz, J.O. Relationship between apparent diffusion coefficients at 3.0-T MR imaging and Gleason grade in peripheral zone prostate cancer. Radiology 2011, 259, 453–461. [Google Scholar] [CrossRef] [PubMed]
- Donati, O.F.; Mazaheri, Y.; Afaq, A.; Vargas, H.A.; Zheng, J.; Moskowitz, C.S.; Hricak, H.; Akin, O. Prostate cancer aggressiveness: Assessment with whole-lesion histogram analysis of the apparent diffusion coefficient. Radiology 2014, 271, 143–152. [Google Scholar] [CrossRef] [PubMed]
- Kwak, J.T.; Sankineni, S.; Xu, S.; Turkbey, B.; Choyke, P.L.; Pinto, P.A.; Merino, M.; Wood, B.J. Correlation of magnetic resonance imaging with digital histopathology in prostate. Int. J. Comput. Assist. Radiol. Surg. 2016, 11, 657–666. [Google Scholar] [CrossRef]
- Selnæs, K.M.; Vettukattil, R.; Bertilsson, H.; Wright, A.J.; Heerschap, A.; Angelsen, A.; Tessem, M.-B.; Bathen, T.F. Tissue Microstructure Is Linked to MRI Parameters and Metabolite Levels in Prostate Cancer. Front. Oncol. 2016, 6, 146. [Google Scholar] [CrossRef]
- van der Beek, J.N.; Fitski, M.; de Krijger, R.R.; Wijnen, M.H.W.A.; van den Heuvel-Eibrink, M.M.; Vermeulen, M.A.; van der Steeg, A.F.W.; Littooij, A.S. Direct correlation of MRI with histopathology in pediatric renal tumors through the use of a patient-specific 3-D-printed cutting guide: A feasibility study. Pediatr. Radiol. 2023, 53, 235–243. [Google Scholar] [CrossRef] [PubMed]


| Demographics | |
| Age | median 67 years, range 36–79 |
| Gender | |
| Male | 23 |
| Female | 17 |
| Tumor location | |
| Pancreas head | 31 |
| Pancreas body/tail | 9 |
| Ca19.9 | median 190 kU/l, IQR 42.5–520 (missing = 8) |
| Survival | |
| Median overall survival | 14.1 months (95% CI 11.7–17.1 months) |
| 5-year survival | 11% |
| Pathological characteristics | |
| pTNM (8th edition) | |
| 1A | 4 |
| 1B | 4 |
| 2A | 1 |
| 2B | 11 |
| 3 | 19 |
| 4 | 1 * |
| Tumor size | median 32 mm, IQR 25–36 mm |
| Lymph node metastasis (pN+) | 31 |
| Residual disease | |
| R0 | 15 |
| R1 | 21 |
| R2 | 4 |
| MRI characteristics | |
| ADC | |
| Mean ADC | 1344 µm2/s (SD = 240) |
| Mean ADC p10 | 1075 µm2/s (SD = 209) |
| Mean volume | 412 voxels (range 34–1235) |
| Kalimuthu | |||||||||
|---|---|---|---|---|---|---|---|---|---|
| Conventional | Tubulopapillary | Composite | |||||||
| Adsay | |||||||||
| WHO | Grade 1 | Grade 2 | Grade 3 | Grade 1 | Grade 2 | Grade 3 | Grade 1 | Grade 2 | Grade 3 |
| Well differentiated | 1 | 0 | 0 | 2 | 0 | 0 | 0 | 0 | 0 |
| Moderately differentiated | 9 | 1 | 1 | 6 | 1 | 0 | 3 | 1 | 3 |
| Poorly differentiated | 0 | 1 | 3 | 0 | 0 | 1 | 1 | 0 | 6 |
Disclaimer/Publisher’s Note: The statements, opinions and data contained in all publications are solely those of the individual author(s) and contributor(s) and not of MDPI and/or the editor(s). MDPI and/or the editor(s) disclaim responsibility for any injury to people or property resulting from any ideas, methods, instructions or products referred to in the content. |
© 2024 by the authors. Licensee MDPI, Basel, Switzerland. This article is an open access article distributed under the terms and conditions of the Creative Commons Attribution (CC BY) license (https://creativecommons.org/licenses/by/4.0/).
Share and Cite
Riviere, D.M.; Maas, M.C.; Brosens, L.A.A.; Stommel, M.W.J.; van Laarhoven, C.J.H.M.; Hermans, J.J. Limited Role of the Apparent Diffusion Coefficient (ADC) for Tumor Grade and Overall Survival in Resectable Pancreatic Ductal Adenocarcinoma. Diagnostics 2024, 14, 573. https://doi.org/10.3390/diagnostics14060573
Riviere DM, Maas MC, Brosens LAA, Stommel MWJ, van Laarhoven CJHM, Hermans JJ. Limited Role of the Apparent Diffusion Coefficient (ADC) for Tumor Grade and Overall Survival in Resectable Pancreatic Ductal Adenocarcinoma. Diagnostics. 2024; 14(6):573. https://doi.org/10.3390/diagnostics14060573
Chicago/Turabian StyleRiviere, Deniece M., Marnix C. Maas, Lodewijk A. A. Brosens, Martijn W. J. Stommel, Cornelis J. H. M. van Laarhoven, and John J. Hermans. 2024. "Limited Role of the Apparent Diffusion Coefficient (ADC) for Tumor Grade and Overall Survival in Resectable Pancreatic Ductal Adenocarcinoma" Diagnostics 14, no. 6: 573. https://doi.org/10.3390/diagnostics14060573
APA StyleRiviere, D. M., Maas, M. C., Brosens, L. A. A., Stommel, M. W. J., van Laarhoven, C. J. H. M., & Hermans, J. J. (2024). Limited Role of the Apparent Diffusion Coefficient (ADC) for Tumor Grade and Overall Survival in Resectable Pancreatic Ductal Adenocarcinoma. Diagnostics, 14(6), 573. https://doi.org/10.3390/diagnostics14060573

