Multimodality Imaging of Primary Hepatic Lymphoma: A Case Report and a Literature Review
Abstract
1. Introduction
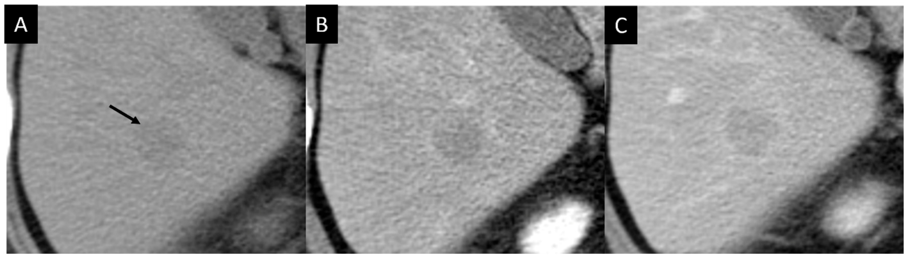
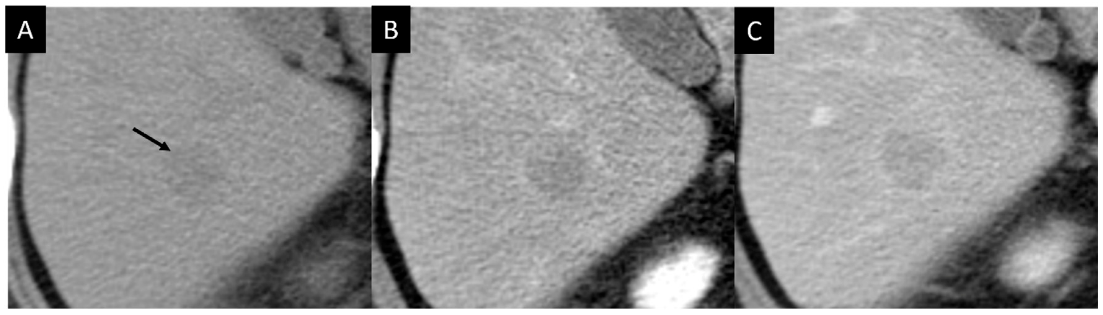
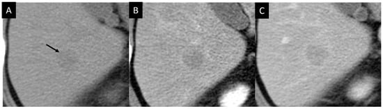
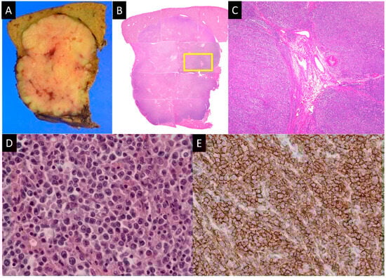
2. Case Presentation
3. Literature Review
4. Discussion
5. Conclusions
Author Contributions
Funding
Institutional Review Board Statement
Informed Consent Statement
Data Availability Statement
Conflicts of Interest
References
- Freeman, C.; Berg, J.W.; Cutler, S.J. Occurrence and prognosis of extranodal lymphomas. Cancer 1972, 29, 252–260. [Google Scholar] [CrossRef] [PubMed]
- Lohana, A.K.; Tariq, M.A.; Abid, S. Hepatic Lymphoma. In StatPearls; StatPearls Publishing: Treasure Island, FL, USA, 2023. [Google Scholar]
- Kikuma, K.; Watanabe, J.; Oshiro, Y.; Shimogama, T.; Honda, Y.; Okamura, S.; Higaki, K.; Uike, N.; Soda, T.; Momosaki, S.; et al. Etiological factors in primary hepatic B-cell lymphoma. Virchows Arch. 2012, 460, 379–387. [Google Scholar] [CrossRef] [PubMed]
- Ohsawa, M.; Aozasa, K.; Horiuchi, K.; Kataoka, M.; Hida, J.-I.; Shimada, H.; Oka, K.; Wakata, Y. Malignant lymphoma of the liver. Dig. Dis. Sci. 1992, 37, 1105–1109. [Google Scholar] [CrossRef] [PubMed]
- Harvey, C.J.; Albrecht, T. Ultrasound of focal liver lesions. Eur. Radiol. 2001, 11, 1578–1593. [Google Scholar] [CrossRef] [PubMed]
- Nino-Murcia, M.; Ralls, P.W.; Jeffrey, R.B.; Johnson, M. Color flow Doppler characterization of focal hepatic lesions. Am. J. Roentgenol. 1992, 159, 1195–1197. [Google Scholar] [CrossRef] [PubMed][Green Version]
- Owen, C.; Meyers, P. Sonographic Evaluation of the Portal and Hepatic Systems. J. Diagn. Med. Sonogr. 2006, 22, 317–328. [Google Scholar] [CrossRef]
- Gazelle, G.S.; Lee, M.J.; Hahn, P.F.; Goldberg, M.A.; Rafaat, N.; Mueller, P.R. US, CT, and MRI of Primary and Secondary Liver Lymphoma. J. Comput. Assist. Tomogr. 1994, 18, 412. [Google Scholar] [CrossRef] [PubMed]
- Ginaldi, S.; Bernardino, M.E.; Jing, B.S.; Green, B. Ultrasonographic patterns of hepatic lymphoma. Radiology 1980, 136, 427–431. [Google Scholar] [CrossRef]
- Paefgen, V.; Doleschel, D.; Kiessling, F. Evolution of contrast agents for ultrasound imaging and ultrasound-mediated drug delivery. Front. Pharmacol. 2015, 6, 197. [Google Scholar] [CrossRef]
- Jia, W.-R.; Tang, L.; Wang, D.-B.; Chai, W.-M.; Fei, X.-C.; He, J.-R.; Chen, M.; Wang, W.-P. Three-dimensional Contrast-enhanced Ultrasound in Response Assessment for Breast Cancer: A Comparison with Dynamic Contrast-enhanced Magnetic Resonance Imaging and Pathology. Sci. Rep. 2016, 6, 33832. [Google Scholar] [CrossRef]
- Low, G.; Leen, E. Diagnosis of Periportal Hepatic Lymphoma with Contrast-Enhanced Ultrasonography. J. Ultrasound Med. 2006, 25, 1059–1062. [Google Scholar] [CrossRef] [PubMed]
- Foschi, F.G.; Dall’Aglio, A.C.; Marano, G.; Lanzi, A.; Savini, P.; Piscaglia, F.; Serra, C.; Cursaro, C.; Bernardi, M.; Andreone, P.; et al. Role of Contrast-Enhanced Ultrasonography in Primary Hepatic Lymphoma. J. Ultrasound Med. 2010, 29, 1353–1356. [Google Scholar] [CrossRef] [PubMed]
- Trenker, C.; Kunsch, S.; Michl, P.; Wissniowski, T.T.; Goerg, K.; Goerg, C. Contrast-Enhanced Ultrasound (CEUS) in Hepatic Lymphoma: Retrospective Evaluation in 38 Cases. Ultraschall Med. 2014, 35, 142–148. [Google Scholar] [CrossRef] [PubMed]
- Dhamija, E.; Madhusudhan, K.S.; Shalimar Das, P.; Srivastava, D.N.; Gupta, A.K. Primary Hepatic Diffuse Large B-Cell Lymphoma: Unusual Presentation and Imaging Features. Curr. Probl. Diagn. Radiol. 2015, 44, 290–293. [Google Scholar] [CrossRef] [PubMed]
- Nishikawa, K.; Katsuta, K.; Tanaka, S.; Fujibe, K.; Hattori, A.; Shiono, Y.; Oiwa, M.; Matsusaki, S. Primary hepatic lymphoma diagnosed using endoscopic ultrasound-guided liver biopsy: A case report. J. Med. Case Rep. 2021, 15, 199. [Google Scholar] [CrossRef] [PubMed]
- Scucchi. European Review [Internet] 2020 2020/10/15/T09:39:02+00:00. Available online: https://www.europeanreview.org/article/23219 (accessed on 22 July 2023).
- Sato, S.-I.; Masuda, T.; Oikawa, H.; Satoh, T.; Suzuki, Y.; Takikawa, Y.; Yamazaki, K.; Suzuki, K.; Sato, S. Primary Hepatic Lymphoma Associated with Primary Biliary Cirrhosis. Am. J. Gastroenterol. 1999, 94, 1669. [Google Scholar] [CrossRef] [PubMed]
- Zafar, M.S.H.; Aggarwal, S.; Bhalla, S. Complete response to chemotherapy in primary hepatic lymphoma. J. Cancer Res. Ther. 2012, 8, 114. [Google Scholar] [CrossRef]
- Iannitto, E.; Ammatuna, E.; Tripodo, C.; Marino, C.; Calvaruso, G.; Florena, A.M.; Montalto, G.; Franco, V. Long-lasting remission of primary hepatic lymphoma and hepatitis C virus infection achieved by the alpha-interferon treatment. Hematol. J. 2004, 5, 530–533. [Google Scholar] [CrossRef]
- Soyer, P.; Van Beers, B.; Teillet-Thiébaud, F.; Grandin, C.; Kazerouni, F.; Barge, J.; Pringot, J.; Levesque, M. Hodgkin’s and non-Hodgkin’s hepatic lymphoma: Sonographic findings. Abdom. Imaging 1993, 18, 339–343. [Google Scholar] [CrossRef]
- Tajiri, H.; Sugimachi, K.; Kinjo, N.; Ikebe, M.; Tanaka, J.; Tanaka, K.; Tsukamoto, S.; Mii, S.; Kajiwara, E.; Shimokama, T.; et al. Repeat hepatectomies for hepatic malignant lymphoma and hepatocellular carcinoma associated with chronic hepatitis C: Report of a case. Surg. Today 2014, 44, 188–191. [Google Scholar] [CrossRef]
- Tsuruta, S.; Enjoji, M.; Nakamuta, M.; Makihata, T.; Kotoh, K.; Sakai, H.; Ando, B.-E.; Nawata, H. Primary hepatic lymphoma in a patient with Sjögren’s syndrome. J. Gastroenterol. 2002, 37, 129–132. [Google Scholar] [CrossRef] [PubMed]
- Maher, M.M.; McDermott, S.; Fenlon, H.M.; Conroy, D.; O’Keane, J.; Carney, D.N.; Stack, J.P. Imaging of Primary Non-Hodgkin’s Lymphoma of the Liver. Clin. Radiol. 2001, 56, 295–301. [Google Scholar] [CrossRef] [PubMed]
- He, M.-N.; Lv, K.; Jiang, Y.-X.; Jiang, T.-A. Application of superb microvascular imaging in focal liver lesions. World J. Gastroenterol. 2017, 23, 7765–7775. [Google Scholar] [CrossRef] [PubMed]
- Appelbaum, L.; Lederman, R.; Agid, R.; Libson, E. Hepatic Lymphoma: An Imaging Approach with Emphasis on Image-Guided Needle Biopsy. Isr. Med. Assoc. J. 2005, 7, 19–22. [Google Scholar] [PubMed]
- Park, J.E.; Lee, K.M.; Choi, H.Y.; Ahn, S.E.; You, M.-W. Methotrexate-associated primary hepatic lymphoma and cranial neuropathy in a patient with rheumatoid arthritis. Medicine 2019, 98, e14997. [Google Scholar] [CrossRef] [PubMed]
- Dantas, E.; Santos, J.; Coelho, M.; Sequeira, C.; Santos, I.; Cardoso, C.; Oliveira, A.P. Primary hepatic lymphoma in a patient with cirrhosis: A case report. J. Med. Case Rep. 2020, 14, 168. [Google Scholar] [CrossRef] [PubMed]
- Ozaki, K.; Ikeno, H.; Koneri, K.; Higuchi, S.; Hosono, N.; Kosaka, N.; Goi, T.; Gabata, T.; Kimura, H. Primary hepatic diffuse large B-cell lymphoma presenting unusual imaging features. Clin. J. Gastroenterol. 2020, 13, 1265–1272. [Google Scholar] [CrossRef]
- Liao, S.-H.; Chen, Y.-K.; Yu, S.-C.; Wu, M.-S.; Wang, H.-P.; Tseng, P.-H. An unusual case of primary hepatic lymphoma with dramatic but unsustained response to bendamustine plus rituximab and literature review. SAGE Open Med. Case Rep. 2017, 5, 2050313X17709190. [Google Scholar] [CrossRef]
- Raimondo, L.; Ferrara, I.; De Stefano, A.; Cella, C.A.; D’armiento, F.P.; Ciancia, G.; Moretto, R.; De Renzo, A.; Carlomagno, C. Primary hepatic lymphoma in a patient with previous rectal adenocarcinoma: A case report and discussion of etiopathogenesis and diagnostic tools. Int. J. Hematol. 2012, 95, 320–323. [Google Scholar] [CrossRef]
- Diehl, K.; Sarwani, N.E.; Tulchinsky, M. PET/CT in Primary Hepatic Lymphoma with Hepatic Vein Thrombus That Extended Into the Inferior Vena Cava. Clin. Nucl. Med. 2013, 38, 153. [Google Scholar] [CrossRef]
- Forghani, F.; Masoodi, M.; Kadivar, M. Primary Hepatic Lymphoma Mimicking Cholangiocarcinoma. Oman Med. J. 2017, 32, 335–338. [Google Scholar] [CrossRef]
- Shiozawa, K.; Watanabe, M.; Ikehara, T.; Matsukiyo, Y.; Kikuchi, Y.; Kaneko, H.; Okubo, Y.; Shibuya, K.; Igarashi, Y.; Sumino, Y. A Case of Contiguous Primary Hepatic Marginal Zone B-Cell Lymphoma and Hemangioma Ultimately Diagnosed Using Contrast-Enhanced Ultrasonography. Case Rep. Oncol. 2015, 8, 50–57. [Google Scholar] [CrossRef] [PubMed]
- Lisker-Melman, M.; Pittaluga, S.; Pluda, J.M.; Kleiner, D.E.; Thompson, P.; Martin, P.; Yarchoan, R.; Di Bisceglie, A.M. Primary lymphoma of the liver in a patient with acquired immune deficiency syndrome chronic hepatitis, B. Am. J. Gastroenterol. 1989, 84, 1445–1448. [Google Scholar] [PubMed]
- Das, A.; Bhusnurmath, S.R.; Sood, G.K.; Chawla, Y.; Bambery, P. Primary hepatic lymphoma mimicking fulminant hepatic failure. Indian. J. Gastroenterol. 1993, 12, 147–148. [Google Scholar] [PubMed]
- Lu, Q.; Zhang, H.; Wang, W.-P.; Jin, Y.-J.; Ji, Z.-B. Primary non-Hodgkin’s lymphoma of the liver: Sonographic and CT findings. Hepatobiliary Pancreat. Dis. International. 2015, 14, 75–81. [Google Scholar] [CrossRef]
- Du, Y.; Li, N.; Long, M. Chapter 6—Liver sinusoid on a chip. In Methods in Cell Biology, Microfluidics in Cell Biology Part A: Microfluidics for Multicellular Systems; Doh, J., Fletcher, D., Piel, M., Eds.; Academic Press: Cambridge, MA, USA, 2018; Volume 146, pp. 105–134. [Google Scholar]
- Edmondson, H.; Craig, J. Neoplasms of the liver. In Diseases of the Liver; Schiff, L., Schiff, E.R., Eds.; Lippincott: London, UK, 1987. [Google Scholar]
- Kit Lei, K.I. Primary Non-Hodgkin’s Lymphoma of the Liver. Leuk. Lymphoma 1998, 29, 293–299. [Google Scholar] [CrossRef] [PubMed]
- Zucca, E.; Conconi, A.; Pedrinis, E.; Cortelazzo, S.; Motta, T.; Gospodarowicz, M.K.; Patterson, B.J.; Ferreri, A.J.M.; Ponzoni, M.; Devizzi, L.; et al. Nongastric marginal zone B-cell lymphoma of mucosa-associated lymphoid tissue. Blood 2003, 101, 2489–2495. [Google Scholar] [CrossRef]
- Caccamo, D.; Pervez, N.K.; Marchevsky, A. Primary lymphoma of the liver in the acquired immunodeficiency syndrome. Arch. Pathol. Lab. Med. 1986, 110, 553–555. [Google Scholar]
- Wernecke, K.; Peters, P.E.; Krüger, K.-G. Ultrasonographic patterns of focal hepatic and splenic lesions in Hodgkin’s and non-Hodgkin’s lymphoma. Br. J. Radiol. 1987, 60, 655–660. [Google Scholar] [CrossRef]
- Ippolito, D.; Porta, M.; Maino, C.; Pecorelli, A.; Ragusi, M.; Giandola, T.; Querques, G.; Franzesi, C.T.; Sironi, S. Diagnostic approach in hepatic lymphoma: Radiological imaging findings and literature review. J. Cancer Res. Clin. Oncol. 2020, 146, 1545–1558. [Google Scholar] [CrossRef]
- Brannigan, M.; Burns, P.N.; Wilson, S.R. Blood Flow Patterns in Focal Liver Lesions at Microbubble-enhanced US. RadioGraphics 2004, 24, 921–935. [Google Scholar] [CrossRef]
- Colagrande, S.; Calistri, L.; Grazzini, G.; Nardi, C.; Busoni, S.; Morana, G.; Grazioli, L. MRI features of primary hepatic lymphoma. Abdom. Radiol. 2018, 43, 2277–2287. [Google Scholar] [CrossRef]







| Complete Blood Count | Patient Value | Reference Range |
|---|---|---|
| White blood cell count (×103/μL) | 7.7 | 4–10 |
| Hemoglobin (g/dL) | 15.9 | 13–17 |
| Platelet count (×103/μL) | 178 | 150–400 |
| Blood biochemical test | ||
| AST (U/L) | 20 | 5–30 |
| ALT (U/L) | 18 | 5–30 |
| Alkaline phosphatase (U/L) | 290 | 50–100 |
| γ-GT (U/L) | 18 | 6–50 |
| Total bilirubin (mg/dL) | 0.7 | 2–20 |
| Glucose (mg/dL) | 143 | 70–100 |
| Hemoglobin A1c (HbA1c, NGSP, %) | 7.3 | <5.5 |
| Viral marker | ||
| HBs Ag | (-) | |
| Anti-HBc | (-) | |
| Anti-HCV | (-) | |
| Tumor marker | ||
| Alpha-fetoprotein (AFP, ng/mL) | 3.5 | 0–44 |
| Des-gamma-carboxy prothrombin (DCP, mAU/mL) | 34 | <40 |
| Carcinoembryonic antigen (CEA, ng/mL) | 2.2 | <4 |
| Cancer antigen 19–9 (U/mL) | 12 | <40 |
| Soluble interleukin-2 receptor (sIL-2R, U/mL) | 599 | 122–496 |
| Reference # | Case Report | Age | Gender | Phenotype | Maximum Size (cm) | B-Mode | Color Doppler US | CEUS |
|---|---|---|---|---|---|---|---|---|
| [12] | Low et al., 2006 | 67 | M | Solitary | N/A | Hypoechoic | Vessel displacement | Homogeneous enhancement followed by enhancement |
| [13] | Foschi et al., 2010 | 58, 62 | 2 males | Solitary, solitary | 3, 4 | 2 hypoechoic | N/A | 2 Inhomogeneous enhancement |
| [15] | Dhamija et al., 2015 | 22 | F | Solitary | 11 | Heteroechoic | N/A | N/A |
| [16] | Nishikawa et al., 2021 | 85 | M | Nodules | N/A | Hypoechoic | N/A | N/A |
| [17] | Scucchi et al., 2020 | 86 | M | Solitary | 5 | Heteroechoic | N/A | N/A |
| [18] | Sato et al., 1999 | 41 | F | Solitary | 1.5 | Hypoechoic | N/A | N/A |
| [19] | Zafar et al., 2012 | 68 | F | Solitary | 17 | Hypoechoic | N/A | N/A |
| [20] | Iannitto et al., 2004 | 62 | M | Solitary | 13 | Hypoechoic | N/A | N/A |
| [21] | Soyer et al., 1993 | 27–78 (n = 4) | N/A | 4 Solitary cases | 5–10 | 4 Hypoechoic | N/A | N/A |
| [22] | Tajiri et al., 2014 | 75 | M | Solitary | 2.5 | Hypoechoic | N/A | N/A |
| [23] | Tsuruta et al., 2002 | 62 | F | Solitary | 5 | Hypoechoic | N/A | N/A |
| [24] | Mahler et al., 2001 | 29, 34, 42, 49, 61, 61, 71 | 7 males | 4 Solitary cases, 3 nodules | N/A | 6 Hypoechoic and anechoic | N/A | N/A |
| [25] | He et al., 2017 | 71 | M | Solitary | N/A | Hypoechoic | N/A | Thick rim enhancement in the arterial phase |
| [26] | Appelbaum et al., 2005 | 23–59 (n = 7) | 6 males and 1 female | 7 solitary cases | N/A | 5 Hypoechoic and 2 anechoic | N/A | N/A |
| [27] | Park et al., 2019 | 73 | F | Solitary | 3.3 | Hypoechoic | N/A | N/A |
| [28] | Dantas et al., 2020 | 65 | M | Solitary | 7 | Hypoechoic | N/A | N/A |
| [29] | Ozaki et al., 2020 | 73 | F | Solitary | 4.5 | Hypoechoic | No obvious intratumoral blood flow | N/A |
| [30] | Liao et al., 2017 | 73 | M | Nodules | 2 | Hypoechoic | N/A | N/A |
| [31] | Raimondo et al., 2012 | 52 | F | Solitary | 2.8 | Hypoechoic | High perinodular and low intranodular vascularization | N/A |
| [32] | Diehl et al., 2013 | 64 | F | Solitary | N/A | Hypoechoic | N/A | N/A |
| [33] | Forghani et al., 2017 | 67 | M | Solitary | 1.9 | Hypoechoic | N/A | N/A |
| [34] | Shiozawa et al., 2015 | 60 | F | Solitary | 1.5 | Heteroechoic | N/A | Gradually enhanced from the margin toward the central region |
| [35] | Lisker-Melman et al., 1989 | 41 | M | Nodules | 3 | Hypoechoic | N/A | N/A |
| [36] | Das et al., 1993 | 52 | M | Diffuse | N/A | Heteroechoic | N/A | N/A |
Disclaimer/Publisher’s Note: The statements, opinions and data contained in all publications are solely those of the individual author(s) and contributor(s) and not of MDPI and/or the editor(s). MDPI and/or the editor(s) disclaim responsibility for any injury to people or property resulting from any ideas, methods, instructions or products referred to in the content. |
© 2024 by the authors. Licensee MDPI, Basel, Switzerland. This article is an open access article distributed under the terms and conditions of the Creative Commons Attribution (CC BY) license (https://creativecommons.org/licenses/by/4.0/).
Share and Cite
Taiji, R.; Marugami, N.; Marugami, A.; Itoh, T.; Shimizu, S.; Nakano, R.; Hoda, Y.; Kunichika, H.; Tachiiri, T.; Minamiguchi, K.; et al. Multimodality Imaging of Primary Hepatic Lymphoma: A Case Report and a Literature Review. Diagnostics 2024, 14, 306. https://doi.org/10.3390/diagnostics14030306
Taiji R, Marugami N, Marugami A, Itoh T, Shimizu S, Nakano R, Hoda Y, Kunichika H, Tachiiri T, Minamiguchi K, et al. Multimodality Imaging of Primary Hepatic Lymphoma: A Case Report and a Literature Review. Diagnostics. 2024; 14(3):306. https://doi.org/10.3390/diagnostics14030306
Chicago/Turabian StyleTaiji, Ryosuke, Nagaaki Marugami, Aki Marugami, Takahiro Itoh, Sho Shimizu, Ryota Nakano, Yuki Hoda, Hideki Kunichika, Tetsuya Tachiiri, Kiyoyuki Minamiguchi, and et al. 2024. "Multimodality Imaging of Primary Hepatic Lymphoma: A Case Report and a Literature Review" Diagnostics 14, no. 3: 306. https://doi.org/10.3390/diagnostics14030306
APA StyleTaiji, R., Marugami, N., Marugami, A., Itoh, T., Shimizu, S., Nakano, R., Hoda, Y., Kunichika, H., Tachiiri, T., Minamiguchi, K., Yamauchi, S., & Tanaka, T. (2024). Multimodality Imaging of Primary Hepatic Lymphoma: A Case Report and a Literature Review. Diagnostics, 14(3), 306. https://doi.org/10.3390/diagnostics14030306

