The Role of Endoscopic Ultrasound in Early Chronic Pancreatitis
Abstract
1. Introduction
2. The Evolution of the Definition of Early Chronic Pancreatitis (CP)
3. Risk Factors for Early CP
4. Natural History and Progression
5. The Role of Imaging in ECP: A Diagnostic Conundrum
6. EUS in Early CP
6.1. EUS Features of Early CP
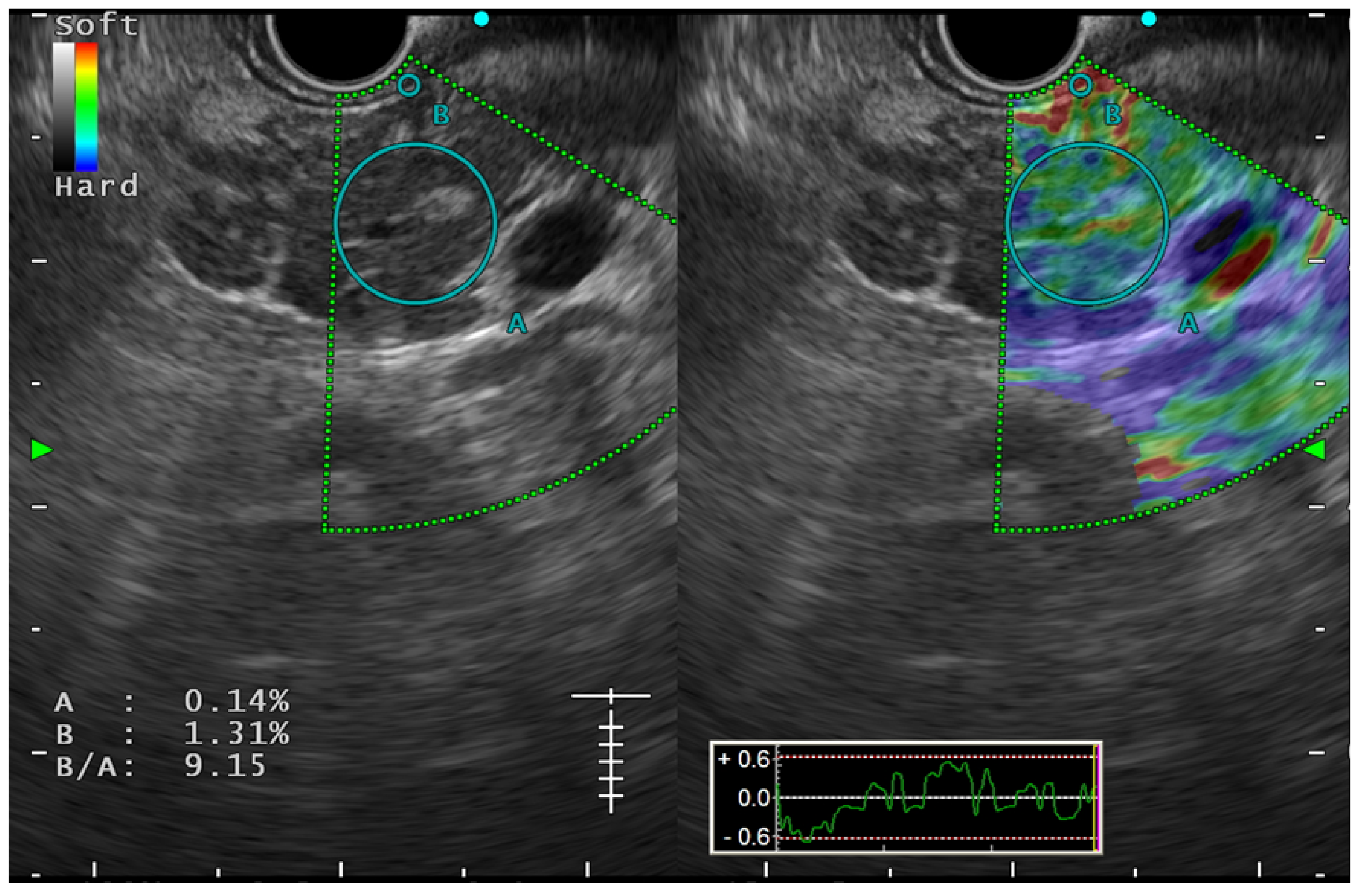
- Lobularity with and without honeycombing: Lobules are described as well-circumscribed reticulated areas ≥5 mm in size, with a relatively hyperechoic rim compared to the adjacent central area. When these lobules are non-contiguous, the EUS pattern is described as ‘lobularity without honeycombing’. When at least three of such lobules are contiguously located in the body or tail region, the pattern is defined as ‘lobularity with honeycombing’ in EUS [30,31]. (Figure 2) The exact histopathological correlation of lobularity is not precisely known. Studies, however, have demonstrated lobularity to correlate with increased fat and collagen in biopsy specimens, and in a recent study, lobularity was demonstrated to be associated with increased disease severity, a higher level of inflammation, and a trend towards a higher grade of fibrosis and atrophy compared to the absence of lobularity in EUS [32,33];
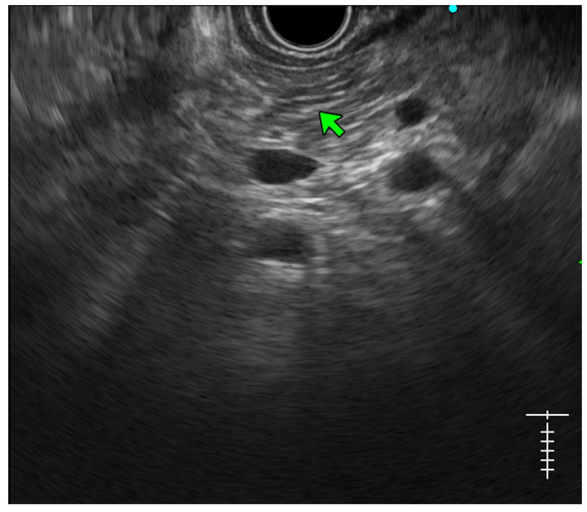
- Hyperechoic foci without shadowing: Echogenic structures of ≥3 mm in length and width without any posterior acoustic shadowing are defined as ‘hyperechoic foci without shadowing’ in the JPS definition. In standard definition, it is included under ‘hyperechoic foci.’ At least three such foci need to be present to be described as abnormal. The presence of acoustic shadowing signifies calcification. Histologically, they correspond to focal fibrosis (Figure 3);
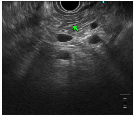
- Stranding: The presence of hyperechoic lines of ≥3 mm length in a minimum of two directions concerning the plane of imaging is described as ‘stranding’ in the JPS criteria (in standard criteria, it is described as hyperechoic foci with stranding). Abnormal stranding is described when at least three such lines are noted. Stranding corresponds to bridging parenchymal fibrosis in histopathology (Figure 4);
- Cysts: In EUS, they are described as anechoic structures, with/without septations, round or elliptical in shape, measuring ≥2 mm in short axis. Histologically, they correspond to pseudocysts or retention cysts;
- Dilatation of the side branches: It is defined as the presence of ≥3 anechoic, tubular structures communicating with the MPD, each ≥1 mm in width, demonstrable in the body and tail region. Histologically, they correspond to the narrowing of the branch ducts due to micro-fibrosis;
- Hyperechoic margin of the MPD: It is described when the hyperechoic ductal wall over at least 50% of the MPD is demonstrated in the body and the tail of the pancreas. In a linear echoendoscope, MPD assessment on a long axis is difficult. Thus, this finding is often subjective and has low interobserver agreement [34]. Histologically, they correspond to periductal fibrosis. In the study by Sekine et al., the hyperechoic MPD wall was described to correlate with the thinning of the ductal wall on surgical specimens [33] (Figure 2).
| Criteria | Definition | Histopathological Attributes |
|---|---|---|
| Lobularity with honey-combing | Presence of ≥3 EUS-defined lobules (reticulated areas surrounded by ≥5 mm rim-like hyperechoic structures) in the body or tail region | Interlobular fibrosis |
| Lobularity without honey-combing | Presence of non-contiguous lobularity | |
| Hyperechoic foci without shadowing | Echogenic structures ≥3 mm without acoustic shadow | Focal fibrosis |
| Hyperechoic stranding | At least three hyperechoic lines of ≥3 mm in length in different planes of the image | Bridging fibrosis |
| Cysts | Anechoic structures, with/without septations, round or elliptical in shape | Pseudocyst or retention cyst |
| Dilated side branches | Presence of ≥3 tubular anechoic structures arising from the MPD, each ≥1 mm in width, indicative of micro-fibrosis | Ductal ectasia |
| Hyperechoic MPD margin | Echogenic structure involving at least 50% of the MPD | Periductal fibrosis; thickened ductal wall. |
6.2. The Correlation between EUS Findings and Histology
6.3. The Role of EUS Elastography in Early CP
7. Future Directions in the Diagnosis of ECP
Funding
Conflicts of Interest
References
- Talamini, G.; Falconi, M.; Bassi, C.; Sartori, N.; Salvia, R.; Caldiron, E.; Frulloni, L.; Di Francesco, V.; Vaona, B.; Bovo, P.; et al. Incidence of Cancer in The Course of Chronic Pancreatitis. Am. J. Gastroenterol. 1999, 94, 1253–1260. [Google Scholar] [CrossRef] [PubMed]
- Malka, D.; Hammel, P.; Maire, F.; Rufat, P.; Madeira, I.; Pessione, F.; Levy, P.; Ruszniewski, P. Risk of pancreatic adenocarcinoma in chronic pancreatitis. Gut 2002, 51, 849–852. [Google Scholar] [CrossRef] [PubMed]
- Shimosegawa, T.; Kataoka, K.; Kamisawa, T.; Miyakawa, H.; Ohara, H.; Ito, T.; Naruse, S.; Sata, N.; Suda, K.; Hirota, M.; et al. The revised Japanese clinical diagnostic criteria for chronic pancreatitis. J. Gastroenterol. 2010, 45, 584–591. [Google Scholar] [CrossRef] [PubMed]
- Yoshida, M.; Kinoshita, Y.; Watanabe, M.; Sugano, K. JSGE Clinical Practice Guidelines 2014: Standards, methods, and process of developing the guidelines. J. Gastroenterol. 2015, 50, 4–10. [Google Scholar] [CrossRef] [PubMed]
- Ammann, R.W.; Muellhaupt, B.; Meyenberger, C.; Heitz, P.U. Alcoholic nonprogressive chronic pancreatitis: Prospective long-term study of a large cohort with alcoholic acute pancreatitis (1976–1992). Pancreas 1994, 9, 365–373. [Google Scholar] [CrossRef]
- Whitcomb, D.C.; Shimosegawa, T.; Chari, S.T.; Forsmark, C.E.; Frulloni, L.; Garg, P.; Hegyi, P.; Hirooka, Y.; Irisawa, A.; Ishikawa, T.; et al. International consensus statements on early chronic Pancreatitis. Recommendations from the working group for the international consensus guidelines for chronic pancreatitis in collaboration with The International Association of Pancreatology, American Pancreatic Association, Japan Pancreas Society, PancreasFest Working Group and European Pancreatic Club. Pancreatology 2018, 18, 516–527. [Google Scholar]
- Catalano, M.F.; Sahai, A.; Levy, M.; Romagnuolo, J.; Wiersema, M.; Brugge, W.; Freeman, M.; Yamao, K.; Canto, M.; Hernandez, L.V. EUS-based criteria for the diagnosis of chronic pancreatitis: The Rosemont classification. Gastrointest. Endosc. 2009, 69, 1251–1261. [Google Scholar] [CrossRef]
- Albashir, S.; Bronner, M.P.; Parsi, M.A.; Walsh, R.M.; Stevens, T. Endoscopic ultrasound, secretin endoscopic pancreatic function test, and histology: Correlation in chronic pancreatitis. Am. J. Gastroenterol. 2010, 105, 2498–2503. [Google Scholar] [CrossRef]
- Varadarajulu, S.; Eltoum, I.; Tamhane, A.; Eloubeidi, M.A. Histopathologic correlates of noncalcific chronic pancreatitis by EUS: A prospective tissue characterization study. Gastrointest. Endosc. 2007, 66, 501–509. [Google Scholar] [CrossRef]
- Masamune, A.; Kikuta, K.; Kume, K.; Hamada, S.; Tsuji, I.; Takeyama, Y.; Shimosegawa, T.; Okazaki, K.; Miura, S.; Takikawa, T.; et al. Nationwide epidemiological survey of chronic pancreatitis in Japan: Introduction and validation of the new Japanese diagnostic criteria 2019. J. Gastroenterol. 2020, 55, 1062–1071. [Google Scholar] [CrossRef]
- Hegyi, P.J.; Soós, A.; Tóth, E.; Ébert, A.; Venglovecz, V.; Márta, K.; Mátrai, P.; Mikó, A.; Bajor, J.; Sarlós, P.; et al. Evidence for diagnosis of early chronic pancreatitis after three episodes of acute pancreatitis: A cross-sectional multicentre international study with experimental animal model. Sci. Rep. 2021, 11, 1367. [Google Scholar] [CrossRef] [PubMed]
- Lankisch, P.G.; Breuer, N.; Bruns, A.; Weber-Dany, B.; Lowenfels, A.B.; Maisonneuve, P. Natural history of acute pancreatitis: A long-term population-based study. Am. J. Gastroenterol. 2009, 104, 2797–2805. [Google Scholar] [CrossRef] [PubMed]
- Yadav, D. Alcohol Consumption, Cigarette Smoking, and the Risk of Recurrent Acute and Chronic Pancreatitis. Arch. Intern. Med. 2009, 169, 1035. [Google Scholar] [CrossRef] [PubMed]
- Bhutani, M.S.M.; Arantes, V.N.; Verma, D.; Moezzi, J.; Suryaprasad, S.; Kapadia, A.S.; Gopalswamy, N. Histopathologic Correlation of Endoscopic Ultrasound Findings of Chronic Pancreatitis in Human Autopsies. Pancreas 2009, 38, 820–824. [Google Scholar] [CrossRef] [PubMed]
- Yusoff, I.F.; Raymond, G.; Sahai, A.V. A prospective comparison of the yield of EUS in primary vs. recurrent idiopathic acute pancreatitis. Gastrointest. Endosc. 2004, 60, 673–678. [Google Scholar] [CrossRef] [PubMed]
- Takeyama, Y. Long-Term Prognosis of Acute Pancreatitis in Japan. Clin. Gastroenterol. Hepatol. 2009, 7 (Suppl. S11), S15–S17. [Google Scholar] [CrossRef]
- Petrone, M.C.; Arcidiacono, P.G.; Perri, F.; Carrara, S.; Boemo, C.; Testoni, P.A. Chronic pancreatitis-like changes detected by endoscopic ultrasound in subjects without signs of pancreatic disease: Do these indicate age-related changes, effects of xenobiotics, or early chronic pancreatitis? Pancreatology 2010, 10, 597–602. [Google Scholar] [CrossRef] [PubMed]
- Masamune, A.; Research Committee of Intractable Pancreatic Diseases in Japan; Kikuta, K.; Nabeshima, T.; Nakano, E.; Hirota, M.; Kanno, A.; Kume, K.; Hamada, S.; Ito, T.; et al. Nationwide epidemiological survey of early chronic pancreatitis in Japan. J. Gastroenterol. 2017, 52, 992–1000. [Google Scholar] [CrossRef]
- Sheel, A.R.G.; Baron, R.D.; Sarantitis, I.; Ramesh, J.; Ghaneh, P.; Raraty, M.G.T.; Yip, V.; Sutton, R.; Goulden, M.R.; Campbell, F.; et al. The diagnostic value of Rosemont and Japanese diagnostic criteria for ‘indeterminate’ ‘suggestive’ ‘possible’ and ‘early’ chronic pancreatitis. Pancreatology 2018, 18, 774–784. [Google Scholar] [CrossRef]
- Issa, Y.; Kempeneers, M.A.; van Santvoort, H.C.; Bollen, T.L.; Bipat, S.; Boermeester, M.A. Diagnostic performance of imaging modalities in chronic pancreatitis: A systematic review and meta-analysis. Eur. Radiol. 2017, 27, 3820–3844. [Google Scholar] [CrossRef]
- Frøkjær, J.B.; Akisik, F.; Farooq, A.; Akpinar, B.; Dasyam, A.; Drewes, A.M.; Haldorsen, I.S.; Morana, G.; Neoptolemos, J.P.; Olesen, S.S.; et al. Guidelines for the Diagnostic Cross Sectional Imaging and Severity Scoring of Chronic Pancreatitis. Pancreatology 2018, 18, 764–773. [Google Scholar] [CrossRef] [PubMed]
- Andersen, P.L.; Madzak, A.; Olesen, S.S.; Drewes, A.M.; Frøkjaer, J.B. Quantification of parenchymal calcifications in chronic pancreatitis: Relation to atrophy, ductal changes, fibrosis and clinical parameters. Scand J. Gastroenterol. 2018, 53, 218–224. [Google Scholar] [CrossRef] [PubMed]
- Tirkes, T.; Shah, Z.K.; Takahashi, N.; Grajo, J.R.; Chang, S.T.; Venkatesh, S.K.; Conwell, D.L.; Fogel, E.L.; Park, W.; Topazian, M.; et al. Reporting standards for chronic pancreatitis by using CT, MRI, and MR cholangiopancreatography: The consortium for the study of chronic pancreatitis, diabetes, and pancreatic cancer. Radiology 2019, 290, 207–215. [Google Scholar] [CrossRef] [PubMed]
- Ge, Q.-C.; Dietrich, C.F.; Bhutani, M.S.; Zhang, B.-Z.; Zhang, Y.; Wang, Y.-D.; Zhang, J.-J.; Wu, Y.-F.; Sun, S.-Y.; Guo, J.-T. Comprehensive review of diagnostic modalities for early chronic pancreatitis. World J. Gastroenterol. 2021, 27, 4342–4357. [Google Scholar] [CrossRef] [PubMed]
- Tirkes, T.; Fogel, E.L.; Sherman, S.; Lin, C.; Swensson, J.; Akisik, F.; Sandrasegaran, K. Detection of exocrine dysfunction by MRI in patients with early chronic pancreatitis. Abdom. Radiol. 2017, 42, 544–551. [Google Scholar] [CrossRef] [PubMed]
- Wang, M.; Gao, F.; Wang, X.; Liu, Y.; Ji, R.; Cang, L.; Shi, Y. Magnetic resonance elastography and T1 mapping for early diagnosis and classification of chronic pancreatitis. J. Magn. Reson. Imaging 2018, 48, 837–845. [Google Scholar] [CrossRef]
- Schreyer, A.G.; Jung, M.; Riemann, J.F.; Niessen, C.; Pregler, B.; Grenacher, L.; Hoffmeister, A. S3 guideline for chronic pancreatitis—Diagnosis, classification and therapy for the radiologist. RoFo Fortschritte Geb. Rontgenstrahlen Bildgeb. Verfahr. 2004, 186, 1002–1008. [Google Scholar] [CrossRef]
- DeWitt, J.; McGreevy, K.; LeBlanc, J.; McHenry, L.; Cummings, O.; Sherman, S. EUS-guided Trucut biopsy of suspected nonfocal chronic pancreatitis. Gastrointest. Endosc. 2005, 62, 76–84. [Google Scholar] [CrossRef]
- Wallace, M.B.; Hawes, R.H.; Durkalski, V.; Chak, A.; Mallery, S.; Catalano, M.F.; Wiersema, M.J.; Bhutani, M.S.; Ciaccia, D.; Kochman, M.L.; et al. The reliability of EUS for the diagnosis of chronic pancreatitis: Interobserver agreement among experienced endosonographers. Gastrointest. Endosc. 2001, 53, 294–299. [Google Scholar] [CrossRef]
- Yamamiya, A.; Irisawa, A.; Abe, Y.; Arisaka, T.; Ohnishi, T.; Hoshi, K.; Suzuki, T.; Nagashima, K.; Kashima, K.; Kunogi, Y.; et al. Diagnosing chronic pancreatitis by endoscopic ultrasound assessing the association between ultrasound and pathological findings: A narrative review. DEN Open 2023, 3, e164. [Google Scholar] [CrossRef]
- Iglesias-García, J.; Lariño-Noia, J.; Lindkvist, B.; Domínguez-Muñoz, J.E. Endoscopic ultrasound in the diagnosis of chronic pancreatitis. Rev. Esp. Enfermedades Dig. 2015, 107, 221–228. [Google Scholar]
- Inomata, N.; Masuda, A.; Yamakawa, K.; Takenaka, M.; Tsujimae, M.; Toyama, H.; Sofue, K.; Sakai, A.; Kobayashi, T.; Tanaka, T.; et al. Lobularity rather than hyperechoic foci/stranding on endoscopic ultrasonography is associated with more severe histological features in chronic pancreatitis. J. Gastroenterol. Hepatol. 2023, 38, 103–111. [Google Scholar] [CrossRef]
- Sekine, M.; Tanaka, A.; Akimoto, M.; Miura, T.; Fujiwara, J.; Noda, H.; Rikiyama, T.; Ohnishi, H.; Mashima, H. A Comparative Study of Endoscopic Ultrasonography and Histopathology Images for the Diagnosis of Early Chronic Pancreatitis. Pancreas 2021, 50, 1173–1179. [Google Scholar] [CrossRef] [PubMed]
- Koh, C.J.; Lakhtakia, S.; Kida, M.; Lesmana, C.R.A.; Ang, T.L.; Vu, C.K.F.; Aye, T.T.; Park, S.H.; Almadi, M.A.; Chong, C.C.N.; et al. Defining the endoscopic ultrasound features of chronic pancreatitis in Asians: A multicenter validation study. Endoscopy 2021, 53, 595–602. [Google Scholar] [CrossRef] [PubMed]
- Wiersema, M.J.; Hawes, R.H.; Lehman, G.A.; Kochman, M.L.; Sherman, S.; Kopecky, K.K. Prospective Evaluation of Endoscopic Ultrasonography and Endoscopic Retrograde Cholangiopancreatography in Patients with Chronic Abdominal Pain of Suspected Pancreatic Origin. Endoscopy 1993, 25, 555–564. [Google Scholar] [CrossRef] [PubMed]
- LeBlanc, J.K.; Chen, J.-H.; Al-Haddad, M.; Juan, M.; Okumu, W.; McHenry, L.; Cote, G.; Sherman, S.; DeWitt, J.M. Endoscopic Ultrasound and Histology in Chronic Pancreatitis. Pancreas 2014, 43, 440–444. [Google Scholar] [CrossRef]
- Yamabe, A.; Irisawa, A.; Bhutani, M.S.; Sato, A.; Maki, T.; Takasaki, Y.; Yoshida, Y.; Yamamoto, S.; Shibukawa, G. Validity of Endoscopic Ultrasound Findings of Chronic Pancreatitis: Evaluation from the Viewpoint of Disease Risk Factors. Digestion 2019, 102, 289–297. [Google Scholar] [CrossRef] [PubMed]
- Yamashita, Y.; Tanioka, K.; Kawaji, Y.; Tamura, T.; Nuta, J.; Hatamaru, K.; Itonaga, M.; Yoshida, T.; Ida, Y.; Maekita, T.; et al. Utility of elastography with endoscopic ultrasonography shear-wave measurement for diagnosing chronic pancreatitis. Gut Liver 2020, 14, 659–664. [Google Scholar] [CrossRef]
- Iglesias-Garcia, J.; Domínguez-Muñoz, J.E.; Castiñeira-Alvariño, M.; Luaces-Regueira, M.; Lariño-Noia, J. Quantitative elastography associated with endoscopic ultrasound for the diagnosis of chronic pancreatitis. Endoscopy 2013, 45, 781–788. [Google Scholar]
- Kuwahara, T.; Hirooka, Y.; Kawashima, H.; Ohno, E.; Ishikawa, T.; Kawai, M.; Suhara, H.; Takeyama, T.; Hashizume, K.; Koya, T.; et al. Quantitative diagnosis of chronic pancreatitis using EUS elastography. J. Gastroenterol. 2017, 52, 868–874. [Google Scholar] [CrossRef]
- Yamashita, Y.; Tanioka, K.; Kawaji, Y.; Tamura, T.; Nuta, J.; Hatamaru, K.; Itonaga, M.; Ida, Y.; Maekita, T.; Iguchi, M.; et al. Endoscopic ultrasonography shear wave as a predictive factor of endocrine/exocrine dysfunction in chronic pancreatitis. J. Gastroenterol. Hepatol. 2020, 36, 391–396. [Google Scholar] [CrossRef] [PubMed]
- Domínguez-Muñoz, J.E.; Lariño-Noia, J.; Alvarez-Castro, A.; Nieto, L.; Lojo, S.; Leal, S.; de la Iglesia-Garcia, D.; Iglesias-Garcia, J. Endoscopic ultrasound-based multimodal evaluation of the pancreas in patients with suspected early chronic pancreatitis. United Eur. Gastroenterol. J. 2020, 8, 790–797. [Google Scholar] [CrossRef] [PubMed]





Clinical signs
|
Imaging findings (Either a or b)
|
Clinical features
|
Imaging findings of early chronic pancreatitis (either a or b)
|
Disclaimer/Publisher’s Note: The statements, opinions and data contained in all publications are solely those of the individual author(s) and contributor(s) and not of MDPI and/or the editor(s). MDPI and/or the editor(s) disclaim responsibility for any injury to people or property resulting from any ideas, methods, instructions or products referred to in the content. |
© 2024 by the authors. Licensee MDPI, Basel, Switzerland. This article is an open access article distributed under the terms and conditions of the Creative Commons Attribution (CC BY) license (https://creativecommons.org/licenses/by/4.0/).
Share and Cite
Shah, J.; Chatterjee, A.; Kothari, T.H. The Role of Endoscopic Ultrasound in Early Chronic Pancreatitis. Diagnostics 2024, 14, 298. https://doi.org/10.3390/diagnostics14030298
Shah J, Chatterjee A, Kothari TH. The Role of Endoscopic Ultrasound in Early Chronic Pancreatitis. Diagnostics. 2024; 14(3):298. https://doi.org/10.3390/diagnostics14030298
Chicago/Turabian StyleShah, Jimil, Abhirup Chatterjee, and Truptesh H. Kothari. 2024. "The Role of Endoscopic Ultrasound in Early Chronic Pancreatitis" Diagnostics 14, no. 3: 298. https://doi.org/10.3390/diagnostics14030298
APA StyleShah, J., Chatterjee, A., & Kothari, T. H. (2024). The Role of Endoscopic Ultrasound in Early Chronic Pancreatitis. Diagnostics, 14(3), 298. https://doi.org/10.3390/diagnostics14030298
