An Artificial Intelligence-Based Automatic Classifier for the Presence of False Lumen Thrombosis After Frozen Elephant Trunk Operation
Abstract
1. Introduction
- Obliteration: Complete closure of the FL with no detectable lumen remaining.
- Fully Thrombosed FL: The FL is entirely filled with thrombus, with no residual blood flow.
- Partially Thrombosed FL: The FL contains both thrombus and residual blood flow, indicating incomplete occlusion.
- Patent FL: No thrombus is present; the FL remains open with continuous blood flow.
2. Materials and Methods
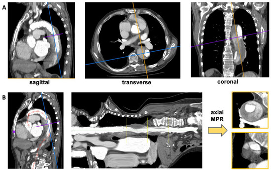
2.1. Patient Image Data
2.2. Image Pre-Processing
2.3. Variational Autoencoder
3. Results
3.1. Image Pre-Processing Evaluation
3.2. Variation Autoencoder Training
3.3. Clinical Assessment
3.4. Calculation of Thrombus Score
4. Discussion
Study Limitation
5. Conclusions
Supplementary Materials
Author Contributions
Funding
Institutional Review Board Statement
Informed Consent Statement
Data Availability Statement
Conflicts of Interest
Abbreviations
| 2D CNN | 2D convolutional neural networks |
| AI | artificial intelligence |
| CTA | computed tomography angiographic |
| FET | Frozen Elephant Trunk |
| FL | false lumen |
| MPR | multi-planar reconstruction |
| TL | true lumen |
| VAE | variational autoencodertraditiona |
References
- Leone, A.; Beckmann, E.; Aandreas, M.; Di Marco, L.; Pantaleo, A.; Reggiani, L.B.; Haverich, A.; Di Bartolomeo, R.; Pacini, D.; Sherestha, M. Total aortic arch replacement with frozen elephant trunk technique: Results from two European institutes. J. Thorac. Cardiovasc. Surg. 2020, 159, 1201–1211. [Google Scholar] [CrossRef] [PubMed]
- Tsagakis, K.; Pacini, D.; Grabenwöger, M.; Borger, M.A.; Goebel, N.; Hemmer, W.; Santos, A.L.; Sioris, T.; Widenka, K.; Risteski, P.; et al. Results of frozen elephant trunk from the international E-vita Open registry. Ann. Cardiothorac. Surg. 2020, 9, 178–188. [Google Scholar] [CrossRef] [PubMed]
- Ruiz-Munoz, A.; Guala, A.; Dux-Santoy, L.; Teixido-Tura, G.; Valente, F.; Garrido-Oliver, J.; Galian-Gay, L.; Gutierrez, L.; Fernandez-Galera, R.; Casas-Masnou, G.; et al. False lumen hemodynamics and partial thrombosis in chronic aortic dissection of the descending aorta. Eur. Radiol. 2024, 34, 5190–5200. [Google Scholar] [CrossRef] [PubMed]
- Dohle, D.S.; Tsagakis, K.; Janosi, R.A.; Benedik, J.; Kuhl, H.; Penkova, L.; Stebner, F.; Wendt, D.; Jakob, H. Aortic remodelling in aortic dissection after frozen elephant trunkdagger. Eur. J. Cardiothorac. Surg. 2016, 49, 111–117. [Google Scholar] [CrossRef]
- Lombardi, J.V.; Hughes, G.C.; Appoo, J.J.; Bavaria, J.E.; Beck, A.W.; Cambria, R.P.; Charlton-Ouw, K.; Eslami, M.H.; Kim, K.M.; Leshnower, B.G.; et al. Society for Vascular Surgery (SVS) and Society of Thoracic Surgeons (STS) Reporting Standards for Type B Aortic Dissections. Ann. Thorac. Surg. 2020, 109, 959–981. [Google Scholar] [CrossRef]
- Kim, J.H.; Lee, S.H.; Lee, S.; Youn, Y.N.; Yoo, K.J.; Joo, H.C. Role of False Lumen Area Ratio in Late Aortic Events After Acute Type I Aortic Dissection Repair. Ann. Thorac. Surg. 2022, 114, 2217–2224. [Google Scholar] [CrossRef]
- Digernes, I.; Nilsen, L.B.; Grovik, E.; Bjornerud, A.; Lovland, G.; Vik-Mo, E.; Meling, T.R.; Saxhaug, C.; Helland, A.; Jacobsen, K.D.; et al. Noise dependency in vascular parameters from combined gradient-echo and spin-echo DSC MRI. Phys. Med. Biol. 2020, 65, 225020. [Google Scholar] [CrossRef]
- Kataoka, Y.; Nishio, H.; Matsukiyo, R.; Kato, R.; Hasegawa, M.; Kenmochi, T.; Shiroki, R.; Toyama, H.; Ichihara, T.; Kobayashi, S. Measurement of effective renal plasma flow using model analysis of dynamic CT in the preoperative evaluation of the renal transplant donors. Fujita Med. J. 2020, 6, 73–80. [Google Scholar] [CrossRef]
- Pradella, M.; Achermann, R.; Sperl, J.I.; Kargel, R.; Rapaka, S.; Cyriac, J.; Yang, S.; Sommer, G.; Stieltjes, B.; Bremerich, J.; et al. Performance of a deep learning tool to detect missed aortic dilatation in a large chest CT cohort. Front. Cardiovasc. Med. 2022, 9, 972512. [Google Scholar] [CrossRef]
- Xie, H.; Chen, Z.; Deng, J.; Zhang, J.; Duan, H.; Li, Q. Automatic segmentation of the gross target volume in radiotherapy for lung cancer using transresSEUnet 2.5D Network. J. Transl. Med. 2022, 20, 524. [Google Scholar] [CrossRef]
- Ebrahimian, S.; Digumarthy, S.R.; Bizzo, B.; Primak, A.; Zimmermann, M.; Tarbiah, M.M.; Kalra, M.K.; Dreyer, K.J. Artificial Intelligence has Similar Performance to Subjective Assessment of Emphysema Severity on Chest CT. Acad. Radiol. 2022, 29, 1189–1195. [Google Scholar] [CrossRef] [PubMed]
- Ostberg, N.P.; Zafar, M.A.; Elefteriades, J.A. Machine learning: Principles and applications for thoracic surgery. Eur. J. Cardiothorac. Surg. 2021, 60, 213–221. [Google Scholar] [CrossRef] [PubMed]
- Baur, C.; Denner, S.; Wiestler, B.; Navab, N.; Albarqouni, S. Autoencoders for unsupervised anomaly segmentation in brain MR images: A comparative study. Med. Image Anal. 2021, 69, 101952. [Google Scholar] [CrossRef] [PubMed]
- Celard, P.; Iglesias, E.L.; Sorribes-Fdez, J.M.; Romero, R.; Vieira, A.S.; Borrajo, L. A survey on deep learning applied to medical images: From simple artificial neural networks to generative models. Neural Comput. Appl. 2023, 35, 2291–2323. [Google Scholar] [CrossRef] [PubMed]
- Munoz-Ramirez, V.; Kmetzsch, V.; Forbes, F.; Meoni, S.; Moro, E.; Dojat, M. Subtle anomaly detection: Application to brain MRI analysis of de novo Parkinsonian patients. Artif. Intell. Med. 2022, 125, 102251. [Google Scholar] [CrossRef]
- Ogawa, M.; Kisohara, M.; Yamamoto, T.; Shibata, S.; Ojio, Y.; Mochizuki, K.; Tatsuta, A.; Iwasaki, S.; Shibamoto, Y. Utility of unsupervised deep learning using a 3D variational autoencoder in detecting inner ear abnormalities on CT images. Comput. Biol. Med. 2022, 147, 105683. [Google Scholar] [CrossRef]
- Zhou, Q.; Wang, S.; Zhang, X.; Zhang, Y.D. WVALE: Weak variational autoencoder for localisation and enhancement of COVID-19 lung infections. Comput. Methods Programs Biomed. 2022, 221, 106883. [Google Scholar] [CrossRef]
- Kshatri, S.S.; Singh, D. Convolutional Neural Network in Medical Image Analysis: A Review. Arch. Comput. Methods Eng. 2023, 30, 2793–2810. [Google Scholar] [CrossRef]
- Schindelin, J.; Arganda-Carreras, I.; Frise, E.; Kaynig, V.; Longair, M.; Pietzsch, T.; Preibisch, S.; Rueden, C.; Saalfeld, S.; Schmid, B.; et al. Fiji: An open-source platform for biological-image analysis. Nat. Methods 2012, 9, 676–682. [Google Scholar] [CrossRef]
- Kingma, D.P.; Welling, M. An Introduction to Variational Autoencoders. Found. Trends® Mach. Learn. 2019, 12, 307–392. [Google Scholar] [CrossRef]
- Cetin, I.; Stephens, M.; Camara, O.; González Ballester, M.A. Attri-VAE: Attribute-based interpretable representations of medical images with variational autoencoders. Comput. Med. Imaging Graph. 2023, 104, 102158. [Google Scholar] [CrossRef] [PubMed]
- Fukushima, K. Neocognitron: A self-organizing neural network model for a mechanism of pattern recognition unaffected by shift in position. Biol. Cybern. 1980, 36, 193–202. [Google Scholar] [CrossRef] [PubMed]
- Tensorflow-metal 1.10. Available online: https://pypi.org/project/tensorflow-metal/ (accessed on 11 December 2022).
- Csore, J.; Karmonik, C.; Wilhoit, K.; Buckner, L.; Roy, T.L. Automatic Classification of Magnetic Resonance Histology of Peripheral Arterial Chronic Total Occlusions Using a Variational Autoencoder: A Feasibility Study. Diagnostics 2023, 13, 1925. [Google Scholar] [CrossRef] [PubMed]
- Csore, J.; Roy, T.L.; Wright, G.; Karmonik, C. Unsupervised classification of multi-contrast magnetic resonance histology of peripheral arterial disease lesions using a convolutional variational autoencoder with a Gaussian mixture model in latent space: A technical feasibility study. Comput. Med. Imaging Graph. 2024, 115, 102372. [Google Scholar] [CrossRef]
- Weiss, G.; Santer, D.; Dumfarth, J.; Pisarik, H.; Harrer, M.L.; Folkmann, S.; Mach, M.; Moidl, R.; Grabenwoger, M. Evaluation of the downstream aorta after frozen elephant trunk repair for aortic dissections in terms of diameter and false lumen status. Eur. J. Cardiothorac. Surg. 2016, 49, 118–124. [Google Scholar] [CrossRef]
- Raffort, J.; Adam, C.; Carrier, M.; Ballaith, A.; Coscas, R.; Jean-Baptiste, E.; Hassen-Khodja, R.; Chakfe, N.; Lareyre, F. Artificial intelligence in abdominal aortic aneurysm. J. Vasc. Surg. 2020, 72, 321–333.e1. [Google Scholar] [CrossRef]
- Lareyre, F.; Chaudhuri, A.; Behrendt, C.A.; Pouhin, A.; Teraa, M.; Boyle, J.R.; Tulamo, R.; Raffort, J. Artificial intelligence-based predictive models in vascular diseases. Semin. Vasc. Surg. 2023, 36, 440–447. [Google Scholar] [CrossRef]
- Huang, L.; Lu, J.; Xiao, Y.; Zhang, X.; Li, C.; Yang, G.; Jiao, X.; Wang, Z. Deep learning techniques for imaging diagnosis and treatment of aortic aneurysm. Front. Cardiovasc. Med. 2024, 11, 1354517. [Google Scholar] [CrossRef]




Disclaimer/Publisher’s Note: The statements, opinions and data contained in all publications are solely those of the individual author(s) and contributor(s) and not of MDPI and/or the editor(s). MDPI and/or the editor(s) disclaim responsibility for any injury to people or property resulting from any ideas, methods, instructions or products referred to in the content. |
© 2024 by the authors. Licensee MDPI, Basel, Switzerland. This article is an open access article distributed under the terms and conditions of the Creative Commons Attribution (CC BY) license (https://creativecommons.org/licenses/by/4.0/).
Share and Cite
Osswald, A.; Tsagakis, K.; Thielmann, M.; Lumsden, A.B.; Ruhparwar, A.; Karmonik, C. An Artificial Intelligence-Based Automatic Classifier for the Presence of False Lumen Thrombosis After Frozen Elephant Trunk Operation. Diagnostics 2024, 14, 2853. https://doi.org/10.3390/diagnostics14242853
Osswald A, Tsagakis K, Thielmann M, Lumsden AB, Ruhparwar A, Karmonik C. An Artificial Intelligence-Based Automatic Classifier for the Presence of False Lumen Thrombosis After Frozen Elephant Trunk Operation. Diagnostics. 2024; 14(24):2853. https://doi.org/10.3390/diagnostics14242853
Chicago/Turabian StyleOsswald, Anja, Konstantinos Tsagakis, Matthias Thielmann, Alan B. Lumsden, Arjang Ruhparwar, and Christof Karmonik. 2024. "An Artificial Intelligence-Based Automatic Classifier for the Presence of False Lumen Thrombosis After Frozen Elephant Trunk Operation" Diagnostics 14, no. 24: 2853. https://doi.org/10.3390/diagnostics14242853
APA StyleOsswald, A., Tsagakis, K., Thielmann, M., Lumsden, A. B., Ruhparwar, A., & Karmonik, C. (2024). An Artificial Intelligence-Based Automatic Classifier for the Presence of False Lumen Thrombosis After Frozen Elephant Trunk Operation. Diagnostics, 14(24), 2853. https://doi.org/10.3390/diagnostics14242853

