Rheumatic Manifestations of Sarcoidosis
Abstract
1. Introduction
Epidemiology
2. Pathogenesis
3. Diagnosis
3.1. Diagnostic Mimics
3.2. Investigation
3.3. Potential Novel Diagnostic Tools
4. Rheumatic Manifestations
4.1. Acute Arthritis Including Lofgren’s Syndrome
4.2. Chronic Sarcoid Arthritis
4.3. Dactylitis
4.4. Jaccoud’s Arthropathy
4.5. Osseous Sarcoidosis
4.6. Axial Disease
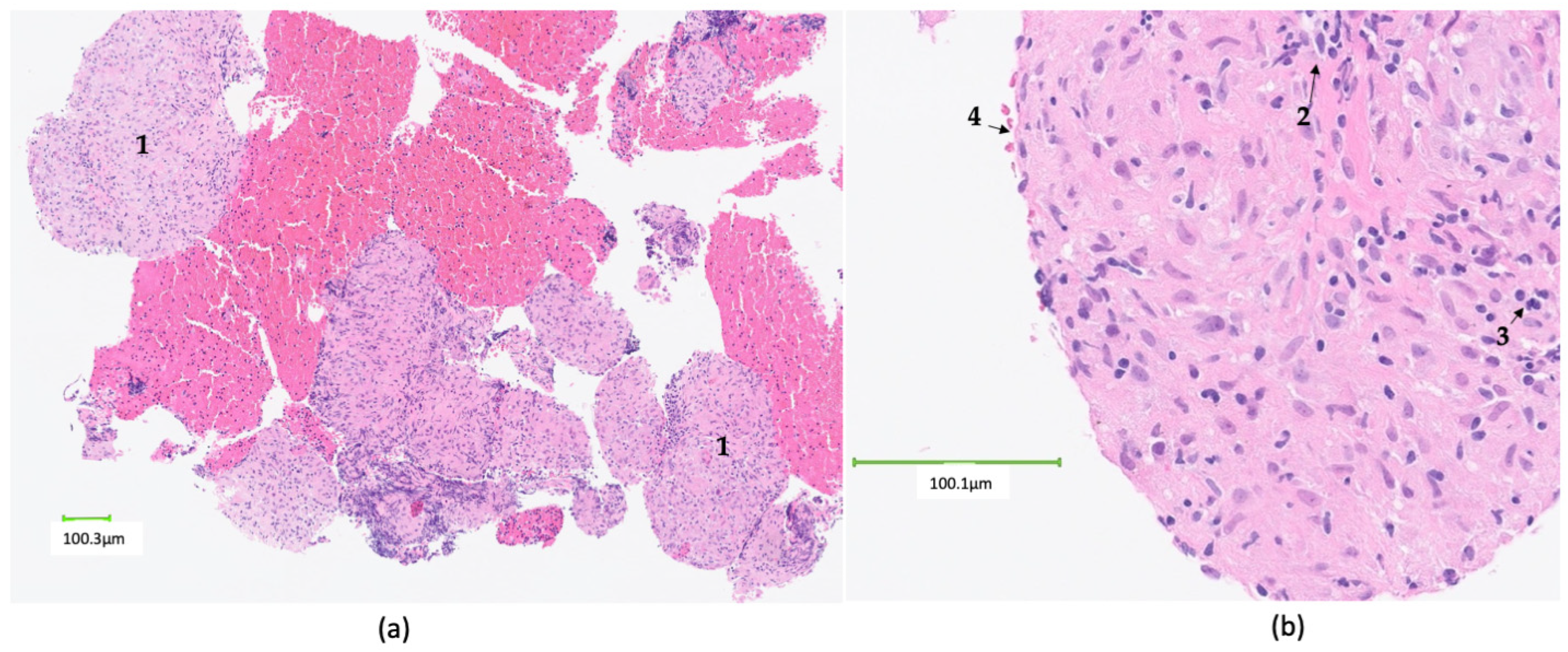
4.7. Sarcoid Myopathy
4.7.1. Chronic Myopathic Form
4.7.2. Acute Myopathic Form
4.7.3. Nodular Form
4.7.4. Other Sarcoid Myopathy Subtypes
4.7.5. Investigation of Sarcoid Myopathy
5. Treatment
6. Future Research Outlook
7. Conclusions
Author Contributions
Funding
Institutional Review Board Statement
Informed Consent Statement
Data Availability Statement
Acknowledgments
Conflicts of Interest
References
- Valeyre, D.; Prasse, A.; Nunes, H.; Uzunhan, Y.; Brillet, P.Y.; Muller-Quernheim, J. Sarcoidosis. Lancet 2014, 383, 1155–1167. [Google Scholar] [CrossRef] [PubMed]
- Arkema, E.V.; Cozier, Y.C. Sarcoidosis epidemiology: Recent estimates of incidence, prevalence and risk factors. Curr. Opin. Pulm. Med. 2020, 26, 527–534. [Google Scholar] [CrossRef] [PubMed]
- Drent, M.; Crouser, E.D.; Grunewald, J. Challenges of Sarcoidosis and Its Management. N. Engl. J. Med. 2021, 385, 1018–1032. [Google Scholar] [CrossRef] [PubMed]
- Yeung, T.; Grebowicz, A.; Nevskaya, T.; Zahid, S.; Pope, J.E. Joint involvement in sarcoidosis: Systematic review and meta-analysis of prevalence, clinical pattern and outcome. Rheumatology 2024, 63, 1803–1814. [Google Scholar] [CrossRef]
- Nardi, A.; Brillet, P.Y.; Letoumelin, P.; Girard, F.; Brauner, M.; Uzunhan, Y.; Naccache, J.M.; Valeyre, D.; Nunes, H. Stage IV sarcoidosis: Comparison of survival with the general population and causes of death. Eur. Respir. J. 2011, 38, 1368–1373. [Google Scholar] [CrossRef] [PubMed]
- Seve, P.; Pacheco, Y.; Durupt, F.; Jamilloux, Y.; Gerfaud-Valentin, M.; Isaac, S.; Boussel, L.; Calender, A.; Androdias, G.; Valeyre, D.; et al. Sarcoidosis: A Clinical Overview from Symptoms to Diagnosis. Cells 2021, 10, 766. [Google Scholar] [CrossRef] [PubMed]
- Sakthivel, P.; Bruder, D. Mechanism of granuloma formation in sarcoidosis. Curr. Opin. Hematol. 2017, 24, 59–65. [Google Scholar] [CrossRef]
- Govender, P.; Berman, J.S. The Diagnosis of Sarcoidosis. Clin. Chest Med. 2015, 36, 585–602. [Google Scholar] [CrossRef] [PubMed]
- Judson, M.A. Granulomatous Sarcoidosis Mimics. Front. Med. 2021, 8, 680989. [Google Scholar] [CrossRef] [PubMed]
- Crouser, E.D.; Maier, L.A.; Wilson, K.C.; Bonham, C.A.; Morgenthau, A.S.; Patterson, K.C.; Abston, E.; Bernstein, R.C.; Blankstein, R.; Chen, E.S.; et al. Diagnosis and Detection of Sarcoidosis. An Official American Thoracic Society Clinical Practice Guideline. Am. J. Respir. Crit. Care Med. 2020, 201, e26–e51. [Google Scholar] [CrossRef]
- Kiely, P.D.W.; Lloyd, M.E. Ankle arthritis—An important signpost in rheumatologic practice. Rheumatology 2021, 60, 23–33. [Google Scholar] [CrossRef] [PubMed]
- Pettersson, T. Sarcoid and erythema nodosum arthropathies. Baillieres Best. Pract. Res. Clin. Rheumatol. 2000, 14, 461–476. [Google Scholar] [CrossRef]
- Sejdic, A.; Graudal, N.; Baslund, B. Clinical and biochemical presentation of sarcoidosis with high and normal serum angiotensin-converting enzyme. Scand. J. Rheumatol. 2018, 47, 487–490. [Google Scholar] [CrossRef]
- Zhou, Y.; Lower, E.E. Balancing Altered Calcium Metabolism with Bone Health in Sarcoidosis. Semin. Respir. Crit. Care Med. 2020, 41, 618–625. [Google Scholar] [CrossRef]
- Valeyre, D.; Jeny, F.; Rotenberg, C.; Bouvry, D.; Uzunhan, Y.; Seve, P.; Nunes, H.; Bernaudin, J.F. How to Tackle the Diagnosis and Treatment in the Diverse Scenarios of Extrapulmonary Sarcoidosis. Adv. Ther. 2021, 38, 4605–4627. [Google Scholar] [CrossRef]
- Demaria, L.; Borie, R.; Benali, K.; Piekarski, E.; Goossens, J.; Palazzo, E.; Forien, M.; Dieude, P.; Crestani, B.; Ottaviani, S. 18F-FDG PET/CT in bone sarcoidosis: An observational study. Clin. Rheumatol. 2020, 39, 2727–2734. [Google Scholar] [CrossRef]
- Casanova, N.; Zhou, T.; Knox, K.S.; Garcia, J.G.N. Identifying Novel Biomarkers in Sarcoidosis Using Genome-Based Approaches. Clin. Chest Med. 2015, 36, 621–630. [Google Scholar] [CrossRef] [PubMed] [PubMed Central]
- Peng, C.; Talreja, J.; Steinbauer, B.; Shinki, K.; Koth, L.L.; Samavati, L. Discovery of Two Novel Immunoepitopes and Development of a Peptide-based Sarcoidosis Immunoassay. Am. J. Respir. Crit. Care Med. 2024, 210, 908–918. [Google Scholar] [CrossRef] [PubMed]
- Sobic-Saranovic, D.; Artiko, V.; Obradovic, V. FDG PET imaging in sarcoidosis. Semin. Nucl. Med. 2013, 43, 404–411. [Google Scholar] [CrossRef] [PubMed]
- Patil, S.; Hilliard, C.A.; Arakane, M.; Koppisetti Jenigiri, S.; Field, E.H.; Singh, N. Musculoskeletal sarcoidosis: A single center experience over 15 years. Int. J. Rheum. Dis. 2021, 24, 533–541. [Google Scholar] [CrossRef]
- Visser, H.; Vos, K.; Zanelli, E.; Verduyn, W.; Schreuder, G.M.; Speyer, I.; Breedveld, F.C.; Hazes, J.M. Sarcoid arthritis: Clinical characteristics, diagnostic aspects, and risk factors. Ann. Rheum. Dis. 2002, 61, 499–504. [Google Scholar] [CrossRef]
- Rubio-Rivas, M.; Franco, J.; Corbella, X. Sarcoidosis presenting with and without Lofgren’s syndrome: Clinical, radiological and behavioral differences observed in a group of 691 patients. Jt. Bone Spine 2020, 87, 141–147. [Google Scholar] [CrossRef] [PubMed]
- Bechman, K.; Christidis, D.; Walsh, S.; Birring, S.S.; Galloway, J. A review of the musculoskeletal manifestations of sarcoidosis. Rheumatology 2018, 57, 777–783. [Google Scholar] [CrossRef]
- Le Bras, E.; Ehrenstein, B.; Fleck, M.; Hartung, W. Evaluation of ankle swelling due to Lofgren’s syndrome: A pilot study using B-mode and power Doppler ultrasonography. Arthritis Care Res. 2014, 66, 318–322. [Google Scholar] [CrossRef] [PubMed]
- Anandacoomarasamy, A.; Peduto, A.; Howe, G.; Manolios, N.; Spencer, D. Magnetic resonance imaging in Lofgren’s syndrome: Demonstration of periarthritis. Clin. Rheumatol. 2007, 26, 572–575. [Google Scholar] [CrossRef]
- Karabulut, Y.; Oz, N.; Gezer, H.H.; Esen, I.; Duruoz, M.T. Perspective of sarcoidosis in terms of rheumatology: A single-center rheumatology clinic experience. Rheumatol. Int. 2022, 42, 2191–2197. [Google Scholar] [CrossRef]
- Pettersson, T. Rheumatic features of sarcoidosis. Curr. Opin. Rheumatol. 1998, 10, 73–78. [Google Scholar] [CrossRef] [PubMed]
- Hosoda, Y.; Yamaguchi, M.; Hiraga, Y. Global epidemiology of sarcoidosis. What story do prevalence and incidence tell us? Clin. Chest Med. 1997, 18, 681–694. [Google Scholar] [CrossRef] [PubMed]
- Grunewald, J. HLA associations and Lofgren’s syndrome. Expert. Rev. Clin. Immunol. 2012, 8, 55–62. [Google Scholar] [CrossRef] [PubMed]
- Ungprasert, P.; Crowson, C.S.; Matteson, E.L. Clinical Characteristics of Sarcoid Arthropathy: A Population-Based Study. Arthritis Care Res. 2016, 68, 695–699. [Google Scholar] [CrossRef] [PubMed]
- Sweiss, N.J.; Patterson, K.; Sawaqed, R.; Jabbar, U.; Korsten, P.; Hogarth, K.; Wollman, R.; Garcia, J.G.; Niewold, T.B.; Baughman, R.P. Rheumatologic manifestations of sarcoidosis. Semin. Respir. Crit. Care Med. 2010, 31, 463–473. [Google Scholar] [CrossRef] [PubMed]
- Hasbani, G.E.; Uthman, I.; Jawad, A.S. Musculoskeletal Manifestations of Sarcoidosis. Clin. Med. Insights Arthritis Musculoskelet. Disord. 2022, 15, 11795441211072475. [Google Scholar] [CrossRef]
- Arthritis in Sarcoidosis, G.; Agarwal, V.; Agrawal, V.; Aggarwal, A.; Aggarwal, P.; Chowdhury, A.C.; Ghosh, P.; Jain, A.; Lawrence, A.; Misra, D.P.; et al. Arthritis in sarcoidosis: A multicentric study from India. Int. J. Rheum. Dis. 2018, 21, 1728–1733. [Google Scholar] [CrossRef]
- Semiz, H.; Kobak, S. Coexistence of Sarcoidosis and Gouty Arthritis. Reumatol. Clin. (Engl. Ed.) 2019, 15, e105–e107. [Google Scholar] [CrossRef]
- Brandao Guimaraes, J.; Nico, M.A.; Omond, A.G.; Silva, F.D.; Aivazoglou, L.U.; Carneiro, B.C.; Fernandes, A.R.C. Radiologic Manifestations of Musculoskeletal Sarcoidosis. Curr. Rheumatol. Rep. 2019, 21, 7. [Google Scholar] [CrossRef] [PubMed]
- Palmer, D.G.; Schumacher, H.R. Synovitis with non-specific histological changes in synovium in chronic sarcoidosis. Ann. Rheum. Dis. 1984, 43, 778–782. [Google Scholar] [CrossRef] [PubMed]
- Torralba, K.D.; Quismorio, F.P., Jr. Sarcoidosis and the rheumatologist. Curr. Opin. Rheumatol. 2009, 21, 62–70. [Google Scholar] [CrossRef]
- Marcoval, J.; Llobera-Ris, C.; Moreno-Vilchez, C.; Torrecilla-Vall-Llossera, C.; Sanchez Sanchez, J.; Molinero Caturla, J. Dactylitis Due to Subcutaneous Sarcoidosis as a Manifestation of Sarcoidosis. Actas Dermosifiliogr. 2023, 114, 147–151. [Google Scholar] [CrossRef]
- Mori, T.; Yamamoto, T. Dactylitis in sarcoidosis. J. Dermatol. 2017, 44, e340–e341. [Google Scholar] [CrossRef] [PubMed]
- Pitt, P.; Hamilton, E.B.; Innes, E.H.; Morley, K.D.; Monk, B.E.; Hughes, G.R. Sarcoid dactylitis. Ann. Rheum. Dis. 1983, 42, 634–639. [Google Scholar] [CrossRef]
- Rothschild, B.M.; Pingitore, C.; Eaton, M. Dactylitis: Implications for clinical practice. Semin. Arthritis Rheum. 1998, 28, 41–47. [Google Scholar] [CrossRef] [PubMed]
- Sukenik, S.; Hendler, N.; Yerushalmi, B.; Buskila, D.; Liberman, N. Jaccoud’s-type arthropathy: An association with sarcoidosis. J. Rheumatol. 1991, 18, 915–917. [Google Scholar] [PubMed]
- Lima, I.; Ribeiro, D.S.; Cesare, A.; Machado, W.G.; Santiago, M.B. Typical Jaccoud’s arthropathy in a patient with sarcoidosis. Rheumatol. Int. 2013, 33, 1615–1617. [Google Scholar] [CrossRef]
- Cacciatore, C.; Belnou, P.; Thietart, S.; Desthieux, C.; Versini, M.; Abisror, N.; Ottaviani, S.; Cormier, G.; Deroux, A.; Dellal, A.; et al. Acute and Chronic Sarcoid Arthropathies: Characteristics and Treatments From a Retrospective Nationwide French Study. Front. Med. 2020, 7, 565420. [Google Scholar] [CrossRef]
- Ben Hassine, I.; Rein, C.; Comarmond, C.; Glanowski, C.; Saidenberg-Kermanac’h, N.; Meunier, B.; Schleinitz, N.; Chanson, N.; Sacre, K.; Scherlinger, M.; et al. Osseous sarcoidosis: A multicenter retrospective case-control study of 48 patients. Jt. Bone Spine 2019, 86, 789–793. [Google Scholar] [CrossRef]
- Zhou, Y.; Lower, E.E.; Li, H.; Farhey, Y.; Baughman, R.P. Clinical characteristics of patients with bone sarcoidosis. Semin. Arthritis Rheum. 2017, 47, 143–148. [Google Scholar] [CrossRef]
- Sparks, J.A.; McSparron, J.I.; Shah, N.; Aliabadi, P.; Paulson, V.; Fanta, C.H.; Coblyn, J.S. Osseous sarcoidosis: Clinical characteristics, treatment, and outcomes--experience from a large, academic hospital. Semin. Arthritis Rheum. 2014, 44, 371–379. [Google Scholar] [CrossRef] [PubMed]
- Albers, B.K.; Sluzevich, J.C.; Garner, H.W. Sarcoidosis: Radiographic manifestations in the nails and distal phalanges. Skeletal Radiol. 2016, 45, 717–721. [Google Scholar] [CrossRef] [PubMed]
- Ungprasert, P.; Crowson, C.S.; Matteson, E.L. Risk of fragility fracture among patients with sarcoidosis: A population-based study 1976–2013. Osteoporos. Int. 2017, 28, 1875–1879. [Google Scholar] [CrossRef] [PubMed]
- Kucharz, E.J. Osseous manifestations of sarcoidosis. Reumatologia 2020, 58, 93–100. [Google Scholar] [CrossRef] [PubMed]
- Shorr, A.F.; Murphy, F.T.; Kelly, W.F.; Kaplan, K.J.; Gilliland, W.R.; Shapeero, L.G. Osseous sarcoidosis clinical, radiographic, and therapeutic observations. J. Clin. Rheumatol. 1998, 4, 186–192. [Google Scholar] [CrossRef]
- Kwok, E.W.; Yacyshyn, E.A. Osseous sarcoid. J. Rheumatol. 2015, 42, 723–724. [Google Scholar] [CrossRef]
- Erb, N.; Cushley, M.J.; Kassimos, D.G.; Shave, R.M.; Kitas, G.D. An assessment of back pain and the prevalence of sacroiliitis in sarcoidosis. Chest 2005, 127, 192–196. [Google Scholar] [CrossRef] [PubMed]
- Kobak, S.; Sever, F.; Ince, O.; Orman, M. The prevalence of sacroiliitis and spondyloarthritis in patients with sarcoidosis. Int. J. Rheumatol. 2014, 2014, 289454. [Google Scholar] [CrossRef] [PubMed]
- Sigaux, J.; Semerano, L.; Nasrallah, T.; Nunes, H.; Bouvry, D.; Valeyre, D.; Boissier, M.C.; Saidenberg-Kermanac’h, N. High prevalence of spondyloarthritis in sarcoidosis patients with chronic back pain. Semin. Arthritis Rheum. 2019, 49, 246–250. [Google Scholar] [CrossRef]
- Cadiou, S.; Robin, F.; Guillin, R.; Perdriger, A.; Jouneau, S.; Belhomme, N.; Coiffier, G.; Guggenbuhl, P. Spondyloarthritis and sarcoidosis: Related or fake friends? A systematic literature review. Jt. Bone Spine 2020, 87, 579–587. [Google Scholar] [CrossRef] [PubMed]
- Lefere, M.; Larbi, A.; Malghem, J.; Vande Berg, B.; Dallaudiere, B. Vertebral sarcoidosis: Long-term follow-up with MRI. Skelet. Radiol. 2014, 43, 1185–1190. [Google Scholar] [CrossRef] [PubMed]
- Stjernberg, N.; Cajander, S.; Truedsson, H.; Uddenfeldt, P. Muscle involvement in sarcoidosis. Acta Med. Scand. 1981, 209, 213–216. [Google Scholar] [CrossRef]
- Fayad, F.; Liote, F.; Berenbaum, F.; Orcel, P.; Bardin, T. Muscle involvement in sarcoidosis: A retrospective and followup studies. J. Rheumatol. 2006, 33, 98–103. [Google Scholar]
- Silverstein, A.; Siltzbach, L.E. Muscle involvement in sarcoidosis. Trans. Am. Neurol. Assoc. 1968, 93, 280–281. [Google Scholar] [CrossRef] [PubMed]
- Cohen Aubart, F.; Abbara, S.; Maisonobe, T.; Cottin, V.; Papo, T.; Haroche, J.; Mathian, A.; Pha, M.; Gilardin, L.; Hervier, B.; et al. Symptomatic muscular sarcoidosis: Lessons from a nationwide multicenter study. Neurol. Neuroimmunol. Neuroinflamm. 2018, 5, e452. [Google Scholar] [CrossRef]
- Maeshima, S.; Koike, H.; Noda, S.; Noda, T.; Nakanishi, H.; Iijima, M.; Ito, M.; Kimura, S.; Sobue, G. Clinicopathological features of sarcoidosis manifesting as generalized chronic myopathy. J. Neurol. 2015, 262, 1035–1045. [Google Scholar] [CrossRef]
- Jamal, M.M.; Cilursu, A.M.; Hoffman, E.L. Sarcoidosis presenting as acute myositis. Report and review of the literature. J. Rheumatol. 1988, 15, 1868–1871. [Google Scholar] [PubMed]
- Le Roux, K.; Streichenberger, N.; Vial, C.; Petiot, P.; Feasson, L.; Bouhour, F.; Ninet, J.; Lachenal, F.; Broussolle, C.; Seve, P. Granulomatous myositis: A clinical study of thirteen cases. Muscle Nerve 2007, 35, 171–177. [Google Scholar] [CrossRef] [PubMed]
- Tohme-Noun, C.; Le Breton, C.; Sobotka, A.; Boumenir, Z.E.; Milleron, B.; Carette, M.F.; Khalil, A. Imaging findings in three cases of the nodular type of muscular sarcoidosis. AJR Am. J. Roentgenol. 2004, 183, 995–999. [Google Scholar] [CrossRef] [PubMed]
- Ten Dam, L.; Raaphorst, J.; van der Kooi, A.J.; Eftimov, F.; Aronica, E.; van de Beek, D.; Brouwer, M.C. Clinical characteristics and outcome in muscular sarcoidosis: A retrospective cohort study and literature review. Neuromuscul. Disord. 2022, 32, 557–563. [Google Scholar] [CrossRef]
- Dieudonne, Y.; Allenbach, Y.; Benveniste, O.; Leonard-Louis, S.; Hervier, B.; Mariampillai, K.; Nespola, B.; Lannes, B.; Echaniz-Laguna, A.; Wendling, D.; et al. Granulomatosis-associated myositis: High prevalence of sporadic inclusion body myositis. Neurology 2020, 94, e910–e920. [Google Scholar] [CrossRef]
- Chompoopong, P.; Skolka, M.P.; Ernste, F.C.; Milone, M.; Liewluck, T. Symptomatic myopathies in sarcoidosis: Disease spectrum and myxovirus resistance protein A expression. Rheumatology 2023, 62, 2556–2562. [Google Scholar] [CrossRef]
- Garret, M.; Pestronk, A. Sarcoidosis, granulomas and myopathy syndromes: A clinical-pathology review. J. Neuroimmunol. 2022, 373, 577975. [Google Scholar] [CrossRef] [PubMed]
- Chompoopong, P.; Liewluck, T. Granulomatous myopathy: Sarcoidosis and beyond. Muscle Nerve 2023, 67, 193–203. [Google Scholar] [CrossRef]
- Otake, S.; Ishigaki, T. Muscular sarcoidosis. Semin. Musculoskelet. Radiol. 2001, 5, 167–170. [Google Scholar] [CrossRef] [PubMed]
- Gerke, A.K. Treatment of Sarcoidosis: A Multidisciplinary Approach. Front. Immunol. 2020, 11, 545413. [Google Scholar] [CrossRef]
- Rahaghi, F.F.; Baughman, R.P.; Saketkoo, L.A.; Sweiss, N.J.; Barney, J.B.; Birring, S.S.; Costabel, U.; Crouser, E.D.; Drent, M.; Gerke, A.K.; et al. Delphi consensus recommendations for a treatment algorithm in pulmonary sarcoidosis. Eur. Respir. Rev. 2020, 29, 190146. [Google Scholar] [CrossRef]
- Baughman, R.P.; Valeyre, D.; Korsten, P.; Mathioudakis, A.G.; Wuyts, W.A.; Wells, A.; Rottoli, P.; Nunes, H.; Lower, E.E.; Judson, M.A.; et al. ERS clinical practice guidelines on treatment of sarcoidosis. Eur. Respir. J. 2021, 58, 2004079. [Google Scholar] [CrossRef]
- Johns, C.J.; Michele, T.M. The clinical management of sarcoidosis. A 50-year experience at the Johns Hopkins Hospital. Medicine 1999, 78, 65–111. [Google Scholar] [CrossRef]
- Fujita, H.; Ishimatsu, Y.; Motomura, M.; Kakugawa, T.; Sakamoto, N.; Hayashi, T.; Kohno, S. A case of acute sarcoid myositis treated with weekly low-dose methotrexate. Muscle Nerve 2011, 44, 994–999. [Google Scholar] [CrossRef]
- Sweiss, N.J.; Baughman, R. Sarcoidosis: Can tofacitinib slay the dragon? Nat. Rev. Rheumatol. 2022, 18, 557–558. [Google Scholar] [CrossRef] [PubMed]
- Scheinberg, M.; Maluf, F.; Wagner, J. Steroid-resistant sarcoidosis treated with baricitinib. Ann. Rheum. Dis. 2020, 79, 1259–1260. [Google Scholar] [CrossRef]
- Hammam, N.; Evans, M.; Morgan, E.; Reimold, A.; Anastasiou, C.; Kay, J.L.; Yazdany, J.; Schmajuk, G. Treatment of Sarcoidosis in US Rheumatology Practices: Data From the American College of Rheumatology’s Rheumatology Informatics System for Effectiveness (RISE) Registry. Arthritis Care Res. 2022, 74, 371–376. [Google Scholar] [CrossRef]
- Theunssens, X.; Bricman, L.; Dierckx, S.; Sapart, E.; Sokolova, T.; Avramovska, A.; Durez, P. Anti-TNF Induced Sarcoidosis-Like Disease in Rheumatoid Arthritis Patients: Review Cases from the RA UCLouvain Brussels Cohort. Rheumatol. Ther. 2022, 9, 763–770. [Google Scholar] [CrossRef] [PubMed]
- Kobak, S.; Semiz, H. Ustekinumab-induced Sarcoidosis in a Patient with Psoriatic Arthritis. Curr. Drug Saf. 2020, 15, 163–166. [Google Scholar] [CrossRef] [PubMed]
- Donzella, D.; Bellis, E.; Campisi, P.; Crepaldi, G.; Data, V.; Dapavo, P.; Lomater, C.; Marucco, E.; Saracco, M.; Gatto, M.; et al. New onset sarcoidosis following biologic treatment in patients with seronegative inflammatory arthritis: A case series and systematic literature review. Autoimmun. Rev. 2024, 23, 103481. [Google Scholar] [CrossRef]
- Baughman, R.P.; Barriuso, R.; Beyer, K.; Boyd, J.; Hochreiter, J.; Knoet, C.; Martone, F.; Quadder, B.; Richardson, J.; Spitzer, G.; et al. Sarcoidosis: Patient treatment priorities. ERJ Open Res. 2018, 4, 00141-2018. [Google Scholar] [CrossRef] [PubMed]
- Atkins, C.; Jones, A.; Clark, A.B.; Stockl, A.; Fordham, R.; Wilson, A.M. Feasibility of investigating methylphenidate for the treatment of sarcoidosis-associated fatigue (the FaST-MP study): A double-blind, parallel-arm randomised feasibility trial. BMJ Open Respir. Res. 2021, 8, e000814. [Google Scholar] [CrossRef] [PubMed]
- Grongstad, A.; Vollestad, N.K.; Oldervoll, L.M.; Spruit, M.A.; Edvardsen, A. The acute impact of resistance training on fatigue in patients with pulmonary sarcoidosis. Chron. Respir. Dis. 2020, 17, 1479973120967024. [Google Scholar] [CrossRef] [PubMed]
- Kahlmann, V.; Moor, C.C.; van Helmondt, S.J.; Mostard, R.L.; van der Lee, M.L.; Grutters, J.C.; Wijsenbeek, M.S.; Veltkamp, M. Online mindfulness-based cognitive therapy for fatigue in patients with sarcoidosis (TIRED): A randomised controlled trial. Lancet Respir. Med. 2023, 11, 265–272. [Google Scholar] [CrossRef] [PubMed]



Disclaimer/Publisher’s Note: The statements, opinions and data contained in all publications are solely those of the individual author(s) and contributor(s) and not of MDPI and/or the editor(s). MDPI and/or the editor(s) disclaim responsibility for any injury to people or property resulting from any ideas, methods, instructions or products referred to in the content. |
© 2024 by the authors. Licensee MDPI, Basel, Switzerland. This article is an open access article distributed under the terms and conditions of the Creative Commons Attribution (CC BY) license (https://creativecommons.org/licenses/by/4.0/).
Share and Cite
Day, J.; Hamann, P.D.H. Rheumatic Manifestations of Sarcoidosis. Diagnostics 2024, 14, 2842. https://doi.org/10.3390/diagnostics14242842
Day J, Hamann PDH. Rheumatic Manifestations of Sarcoidosis. Diagnostics. 2024; 14(24):2842. https://doi.org/10.3390/diagnostics14242842
Chicago/Turabian StyleDay, Julia, and Philip D. H. Hamann. 2024. "Rheumatic Manifestations of Sarcoidosis" Diagnostics 14, no. 24: 2842. https://doi.org/10.3390/diagnostics14242842
APA StyleDay, J., & Hamann, P. D. H. (2024). Rheumatic Manifestations of Sarcoidosis. Diagnostics, 14(24), 2842. https://doi.org/10.3390/diagnostics14242842
