Oxidative Stress in Aortic Valves Associated with Infective Endocarditis: A Report on Three Cases
Abstract
1. Introduction
2. Materials and Methods
2.1. Recruited Patients with IE and Control Subjects
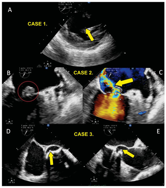
2.2. Echocardiographic Study
2.3. Cardiac Valve Homogenization
2.4. Determination of Malondialdehyde
2.5. Evaluation of TAC
2.6. Carbonylation
2.7. GSH and Thiols
2.8. NO3−/NO2− Ratio Determination
2.9. Determination of Antioxidant Enzymes That Employ GSH
2.10. Determination of Superoxide Dismutase Isoforms and Peroxidase Activity
2.11. Statistical Analysis
3. Results
3.1. General Characteristics of the Patients with IE and the CSs
3.2. Oxidative Markers
3.3. Activity of Antioxidant Enzymes That Employ Glutathione
3.4. Peroxidase and SOD Activity
4. Discussion
5. Conclusions
Supplementary Materials
Author Contributions
Funding
Institutional Review Board Statement
Informed Consent Statement
Data Availability Statement
Acknowledgments
Conflicts of Interest
References
- Alifragki, A.; Kontogianni, A.; Protopapa, I.; Baliou, S.; Ioannou, P. Infective Endocarditis by Pasteurella Species: A Systematic Review. J. Clin. Med. 2022, 11, 5037. [Google Scholar] [CrossRef] [PubMed]
- Østergaard, L.; Lauridsen, T.K.; Iversen, K.; Bundgaard, H.; Søndergaard, L.; Ihlemann, N.; Moser, C.; Fosbøl, E. Infective endocarditis in patients who have undergone transcatheter aortic valve implantation: A review. Clin. Microbiol. Infect. 2020, 26, 999–1007. [Google Scholar] [CrossRef] [PubMed]
- Veve, M.P.; McCurry, E.D.; Cooksey, G.E.; Shorman, M.A. Epidemiología y resultados de la endocarditis infecciosa no relacionada con HACEK en el sureste de los Estados Unidos. PLoS ONE 2020, 15, e0230199. [Google Scholar] [CrossRef]
- Vincent, L.L.; Otto, C.M. Infective Endocarditis: Update on Epidemiology, Outcomes, and Management. Curr. Cardiol. Rep. 2018, 20, 86. [Google Scholar] [CrossRef]
- Tsutsui, H.; Kinugawa, S.; Matsushima, S. Mitochondrial oxidative stress and dysfunction in myocardial remodelling. Cardiovasc. Res. 2009, 81, 449–456. [Google Scholar] [CrossRef]
- Ostrowski, S.; Kasielski, M.; Kordiak, J.; Zwolinska, A.; Wlodarczyk, A.; Nowak, D. Myocardial oxidative stress in patients with active infective endocarditis. Int. J. Cardiol. 2013, 167, 270–276. [Google Scholar] [CrossRef]
- Ide, T.; Tsutsui, H.; Kinugawa, S.; Suematsu, N.; Hayashidani, S.; Ichikawa, K.; Utsumi, H.; Machida, Y.; Egashira, K.; Takeshita, A. Direct evidence for increased hydroxyl radicals originating from superoxide in the failing myocardium. Circ. Res. 2000, 86, 152–157. [Google Scholar] [CrossRef]
- Chen, H.; Zhan, Y.; Zhang, K.; Gao, T.; Chen, L.; Zhan, J.; Chen, Z.; Zeng, Z. The global, regional, and national burden and trends of infective endocarditis from 1990 to 2019: Results from the global burden of disease study 2019. Front. Med. 2022, 9, 774224. [Google Scholar] [CrossRef]
- Borger, M.A.; Delgado, V. The ‘Ten Commandments’ for the 2023 European Society of Cardiology guidelines for the management of endocarditis. Eur. Heart J. 2024, 45, 1697–1698. [Google Scholar] [CrossRef]
- Pecoraro, A.J.K.; Herbst, P.G.; Pienaar, C.; Taljaard, J.; Prozesky, H.; Janson, J.; Doubell, A.F. Modified Duke/European Society of Cardiology 2015 clinical criteria for infective endocarditis: Time for an update? Open Heart 2022, 9, e001856. [Google Scholar] [CrossRef]
- Lowry, O.H.; Rosebrough, N.J.; Farr, A.L.; Randall, R.J. Protein measurement with the Folin phenol reagent. J. Biol. Chem. 1951, 193, 265–275. [Google Scholar] [CrossRef] [PubMed]
- Soto, M.E.; Pérez-Torres, I.; Manzano-Pech, L.; Soria-Castro, E.; Morales-Marín, A.; Ramírez-Marroquín, E.S.; Martínez-Hernández, H.; Herrera-Alarcón, V.; Guarner-Lans, V. Reduced levels of selenium and thioredoxin reductase in the thoracic aorta could contribute to aneurysm formation in patients with Marfan syndrome. Int. J. Mol. Sci. 2023, 24, 10429. [Google Scholar] [CrossRef] [PubMed]
- Chavarría, A.P.; Vázquez, R.R.V.; Cherit, J.G.D.; Bello, H.H.; Suastegui, H.C.; Moreno-Castañeda, L.; Estrada, A.G.; Hernández, F.; González-Marcos, O.; Saucedo-Orozco, H.; et al. Antioxidants and pentoxifylline as coadjuvant measures to standard therapy to improve prognosis of patients with pneumonia by COVID-19. Comput. Struct. Biotechnol. J. 2021, 19, 1379–1390. [Google Scholar] [CrossRef] [PubMed]
- Erel, O.; Neşelioğlu, S.; Tunçay, M.E.; Oğuz, E.F.; Eren, F.; Akkuş, M.S.; Güner, H.R.; Ateş, İ. A sensitive indicator for the severity of COVID-19: Thiol. Turk. J. Med. Sci. 2021, 51, 921–928. [Google Scholar] [CrossRef] [PubMed]
- Soto, M.E.; Manzano-Pech, L.G.; Guarner-Lans, V.; Díaz-Galindo, J.A.; Vásquez, X.; Castrejón-Tellez, V.; Gamboa, R.; Huesca, C.; Fuentevilla-Alvárez, G.; Pérez-Torres, I. Oxidant/Antioxidant Profile in the Thoracic Aneurysm of Patients with the Loeys-Dietz Syndrome. Oxid. Med. Cell. Longev. 2020, 2020, 5392454. [Google Scholar] [CrossRef]
- Gutiérrez-Venegas, G.; Fernández-Rojas, B.; Rosas-Martínez, M.; Sánchez-Carballido, M.A. Rutin prevents LTA induced oxidative changes in H9c2 cells. Prev. Nutr. Food Sci. 2020, 25, 203–211. [Google Scholar] [CrossRef]
- Cao, Z.; Cheng, G. Recombinant myeloperoxidase as a new class of antimicrobial agents. Microbiol. Spectr. 2022, 10, e0052221. [Google Scholar] [CrossRef]
- Nauseef, W.M. Biological roles for the NOX family NADPH oxidases. J. Biol. Chem. 2008, 283, 16961–16965. [Google Scholar] [CrossRef]
- Baskerville, M.J.; Kovalyova, Y.; Mejías-Luque, R.; Gerhard, M.; Hatzios, S.K. Isotope tracing reveals bacterial catabolism of host-derived glutathione during Helicobacter pylori infection. PLoS Pathog. 2023, 19, e1011526. [Google Scholar] [CrossRef]
- Sadowska-Bartosz, I.; Galiniak, S.; Bartosz, G.; Rachel, M. Oxidative modification of proteins in pediatric cystic fibrosis with bacterial infections. Oxid. Med. Cell. Longev. 2014, 2014, 389629. [Google Scholar] [CrossRef]
- Tisch, C.; Ernst, D.; Falke, M.; Speicher, P.; Ziaka, M. Systemic embolization due to non-bacterial thrombotic endocarditis: An autopsy case report and mini review of the literature. SAGE Open Med. Case Rep. 2024, 12, 2050313X241229576. [Google Scholar] [CrossRef] [PubMed]
- Iyer, I.; Sinha, R.; Kumar, P.; Schaf, B.; Berkowitz, L. A ‘Decrescendo’ in a woman with ascending paralysis: A diagnostic challenge. Cureus 2024, 16, e59479. [Google Scholar] [CrossRef] [PubMed]
- Adedoyin, F.T.; Sridhar, B.B.M.; Rosenzweig, J.A. Impact of metal exposure on environmentally isolated Serratia marcescens’ growth, oxidative-stress resistance, biofilm formation, and proliferation in eukaryotic co-culture models. Ecotoxicol. Environ. Saf. 2023, 253, 114677. [Google Scholar] [CrossRef]
- Ried, I.D.; Omran, H.; Potratz, M.; Rudolph, T.K.; Scholtz, S.; Bleiziffer, S.; Piper, C. Infective endocarditis after isolated aortic valve replacement: Comparison between catheter-interventional and surgical valve replacement. Clin. Res. Cardiol. 2024, 113, 336–352. [Google Scholar] [CrossRef]
- Cabrucci, F.; Bacchi, B.; Codecasa, R.; Stefàno, P. Case report: Infective endocarditis after transcatheter aortic valve implantation surgically treated with sutureless prosthesis and ascending aorta replacement. Front. Cardiovasc. Med. 2023, 10, 1194304. [Google Scholar] [CrossRef]
- Gilbert, E.F.; Levy, J.M.; Hong, R.; Viseskul, C.; Henshaw, C. Takayasu’s arteriopathy with involvement of aortic valve and bacterial endocarditis. J. Pediatr. 1973, 83, 463. [Google Scholar] [CrossRef]
- Alcelik, A.; Karacay, S.; Hakyemez, I.N.; Akin, B.; Ozturk, S.; Savli, H. Takayasu arteritis initially mimicking infective endocarditis. Mediterr. J. Hematol. Infect. Dis. 2011, 3, e2011040. [Google Scholar] [CrossRef]
- Li, H.; Li, Y.; Jia, Z.; Ren, L.; Nappi, F.; Ma, X.; Jiang, Y.; Han, S. Postoperative follow-up of 221 patients with infective endocarditis from Gaoligong mountain area of Yunnan in China: A retrospective, single-center, observational cohort study. J. Thorac. Dis. 2024, 16, 3325–3337. [Google Scholar] [CrossRef]
- Delgado, V.; Ajmone-Marsan, N.; de Waha, S.; Bonaros, K.; Brida, M.; Burri, H.; Casell, S.; Doenst, T.; Ederhy, S.; Ederhy, S.; et al. 2023 ESC Guidelines for the management of endocarditis. Eur. Heart J. 2023, 44, 3948–4042. [Google Scholar] [CrossRef]
- Yumoto, T.; Ichiba, S.; Umei, N.; Morisada, S.; Tsukahara, K.; Sato, K.; Ujike, Y. Septic shock due to Aeromonas hydrophila bacteremia in a patient with alcoholic liver cirrhosis: A case report. J. Med. Case Rep. 2014, 8, 402. [Google Scholar] [CrossRef]
- Brouqui P, Raoult D: Endocarditis due to rare and fastidious bacteria. Clin. Microbiol. Rev. 2001, 14, 177–207. [CrossRef] [PubMed]
- Benic, C.; Nicol, P.P.; Hannachi, S.; Gilard, M.; Didier, R.; Nasr, B. Vascular complications following transcatheter aortic valve implantation, using MANTA (Collagen Plug-Based) versus PROSTAR (Suture-Based), from a French single-center retrospective registry. J. Clin. Med. 2023, 12, 6697. [Google Scholar] [CrossRef] [PubMed]
- Habib, G. Infective endocarditis after transcatheter aortic valve replacement: The worst that can happen. J. Am. Heart Assoc. 2018, 7, e010287. [Google Scholar] [CrossRef] [PubMed]
- Aisa-Álvarez, A.; Pérez-Torres, I.; Guarner-Lans, V.; Manzano-Pech, L.; Cruz-Soto, R.; Márquez-Velasco, R.; Casarez-Alvarado, S.; Franco-Granillo, J.; Núñez-Martínez, M.E.; Soto, M.E. Randomized clinical trial of antioxidant therapy patients with septic shock and organ dysfunction in the ICU: SOFA score reduction by improvement of the enzymatic and non-Enzymatic antioxidant system. Cells 2023, 12, 1330. [Google Scholar] [CrossRef]




| Endocarditis (n = 3) | Control Subjects (n = 3) | |
|---|---|---|
| Age (years) | 70 (64–83) | 65 (43–67) |
| Body mass index (weight/height2) | 22 (20–25) | 29 (28–33) |
| Comorbidities (n and %) | ||
| Diabetes mellitus | 1 (33) | 1 (33) |
| Systemic arterial hypertension | 2 (66) | 2 (66) |
| Dyslipidemia | 1 (33) | 1 (33) |
| Smoking | 2 (66) | 2 (66) |
| Laboratory Parameters | ||
| Glucose (mg/dL) | 119 (85–131) | 115 (109–164) |
| Creatinine (mg/dL) | 0.81 (0.7–1.5) | 1.4 (0.98–1.7) |
| Blood urea nitrogen (mg/dL) | 30 (22–41) | 18 (15–23) |
| Uric acid (mg/dL) | 6.7 (3.8–7) | 9.8 (5.3–10.1) |
| Natriuretic peptide NT-Pro-BNP (pg/mL) | 7339 (1971–22,494) | 200 (170–278) |
| Hemoglobin (g/dL) | 11.8 (11.1–14.7) | 14.4 (13.5–15.9) |
| Platelets (103/µL) | 172 (152–200) | 160 (91–230) |
| Leukocytes (103/µL) | 8.4 (5.6–16.1) | 8 (6.5–10) |
| Lymphocytes (103/µL) | 1.1 (1–8.7) | 2.5 (1.2–2.7) |
| Neutrophils (103/µL) | 6.6 (4.5–13.9) | 6.1 (3.1–7) |
| Erythrocyte sedimentation rate (mm/h) | 30 (27–43) | 18 (16–32) |
| C-reactive protein (mg/L) | 47.5 (40–200) | 2.5 (0.7–6.9) |
| Total cholesterol (mg/dL) | 173 (138–325) | 112 (108–186) |
| High-density lipoprotein (mg/dL) | 53.4 (45.5–53.8) | 44 (28.5–44.5) |
| Low-density lipoprotein (mg/dL) | 98 (92–196) | 122 (101–125) |
| Triglycerides (mg/dL) | 131 (130–211) | 2123 (70–221) |
| Aorta Diameters (mm) | ||
| Aortic valve plane | 29 (20–38) | 26 (22–27) |
| Sinus of Valsalva | 37 (20–40) | 28 (21–58) |
| Sino tubular junction | 38 (18–40) | 27 (21–58) |
| Ascending aorta | 37 (16–39) | 30 (20–37) |
| Ejection fraction of the left ventricle (%) | 20 (20–45) | 44 (30–65) |
| Patients with IE | ||||||
|---|---|---|---|---|---|---|
| Case | Age | G | BMI | Diagnosis | Evolution | Death |
| 1 | 55 | F | 20 | 2009 diagnosis of Arteritis de Takayasu plus bicuspid aortic valve SAH 1999 AVR by severe AoI (Medtronic Hall). | Endocarditis in 2016. Univalve prosthetic valve with pannus and abscess with tissue destruction at level of interventricular septum with bacterial growth with Staphylococcus aureus and epidermidis. Surgery AVR and implantation of dual-chamber pacemaker by complete BAV; she had ischemic stroke and left hemiparesis with evolution with reduced heart failure LVEF 25% and died in 2017, one year after surgery. | yes |
| 2 | 78 | F | 24 | DAoI and stenosis AoI, trivalve aortic valve. In March 2019, she received intervention with TAVI. Portico 25 mm plus Boston Scientific DDD pacemaker, tachycardia–bradycardia syndrome. Comorbidities: smoking, systemic arterial hypertension and dyslipidemia. | In 2009, the patient was diagnosed with DAoI with predominant stenosis, which did not require surgery at that time. Four years later, the patient presented tachycardia–bradycardia syndrome and a Boston Scientific DDD permanent pacemaker was placed. In 2019, ten years after the initial DAoI diagnosis, the stenosis worsened and TAVI was considered for AVR. Five days later, the patient presented mitral–aortic endocarditis, which required an explant transcatheter implanted with a prosthetic aortic valve plus resection of the ascending aorta plus MVR with an Edwards Perimount 21 biological prosthesis plus Bentall and Bono surgery with a Woven Dacron 24 tube. In April 2019, the patient underwent TAVI and developed endocarditis with vegetation in the aortic valve. Mitral–aortic junction abscess plus aortitis aortic wall abscess. Valve crop Enterobacter cloacae, Klebsiella oxytoca. She was treated with aortic valve explanation surgery, ascending aorta resection. Bentall and Bo, MVR Edwards Peri mount. Mitroaortic command surgery. As of 2024, she is alive with LVEF 40%. | no |
| 3 | 67 | M | 30 | In 2019, DAoI and AoI severe bicuspid aortic valve, LV systolic and diastolic dysfunction LVEF 20%, smoking. | In 2020, native valve endocarditis with mobile vegetation of left non-coronary valve plus ascending aortic aneurysm, surgery AVR Medtronic Hall with bacterial growth with Streptococcus viridans. In 2024, normal functioning of prosthesis, LVEF 57%. | no |
| Control Subjects | ||||||
| 4 | 60 | F | 30 | Ischemic heart disease, tri-valvular disease; 2014, angioplasty in right coronary artery; 2017, aortic stenosis, AVR with mechanical prosthesis St Jude Masters HP 21, LVEF 52%. Comorbidities: diabetes mellitus. | 2024, asymptomatic LVEF 58%. | no |
| 5 | 37 | M | 28 | 2018, ascending aortic aneurysm with aortic insufficiency, 4-cavity dilatation eccentric hypertrophy LV, severe mild mitral insufficiency, PAP 74 mmHg, surgery AVR, DM, systolic. Arterial hypertension, dyslipidemia, hyperuricemia, positive smoking. LVEF 44%. | 2019, gout, asymptomatic cardiovascular LVEF 50%, systolic dysfunction GLS 14.5. | no |
| 6 | 62 | M | 34 | Ventricular dysfunction, severe aortic and mitral insufficiency, generalized hypokinesia, LVEF 30%. 2014, surgery due to aortic dissection, Stanford A, DeBakey 1 plus severe tricuspid regurgitation and mechanical AVR St. Jude. SAH, smoking. | 2017, asymptomatic, controlled high blood pressure, stopped attending after this date. | no |
Disclaimer/Publisher’s Note: The statements, opinions and data contained in all publications are solely those of the individual author(s) and contributor(s) and not of MDPI and/or the editor(s). MDPI and/or the editor(s) disclaim responsibility for any injury to people or property resulting from any ideas, methods, instructions or products referred to in the content. |
© 2024 by the authors. Licensee MDPI, Basel, Switzerland. This article is an open access article distributed under the terms and conditions of the Creative Commons Attribution (CC BY) license (https://creativecommons.org/licenses/by/4.0/).
Share and Cite
Soto, M.E.; Manzano-Pech, L.; Guarner-Lans, V.; Rodríguez-Zanella, H.; Pérez-Torres, I.; Soria-Castro, E. Oxidative Stress in Aortic Valves Associated with Infective Endocarditis: A Report on Three Cases. Diagnostics 2024, 14, 2807. https://doi.org/10.3390/diagnostics14242807
Soto ME, Manzano-Pech L, Guarner-Lans V, Rodríguez-Zanella H, Pérez-Torres I, Soria-Castro E. Oxidative Stress in Aortic Valves Associated with Infective Endocarditis: A Report on Three Cases. Diagnostics. 2024; 14(24):2807. https://doi.org/10.3390/diagnostics14242807
Chicago/Turabian StyleSoto, María Elena, Linaloe Manzano-Pech, Verónica Guarner-Lans, Hugo Rodríguez-Zanella, Israel Pérez-Torres, and Elizabeth Soria-Castro. 2024. "Oxidative Stress in Aortic Valves Associated with Infective Endocarditis: A Report on Three Cases" Diagnostics 14, no. 24: 2807. https://doi.org/10.3390/diagnostics14242807
APA StyleSoto, M. E., Manzano-Pech, L., Guarner-Lans, V., Rodríguez-Zanella, H., Pérez-Torres, I., & Soria-Castro, E. (2024). Oxidative Stress in Aortic Valves Associated with Infective Endocarditis: A Report on Three Cases. Diagnostics, 14(24), 2807. https://doi.org/10.3390/diagnostics14242807

