Massive Fetomaternal Hemorrhage Caused by an Intraplacental Choriocarcinoma: Case Report and Review of the Literature
Abstract
1. Introduction
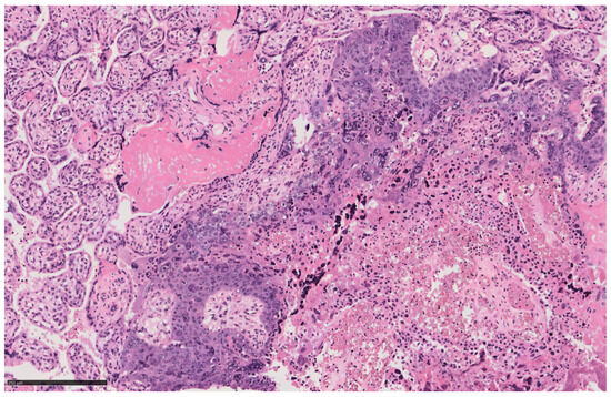
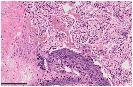
2. Case Description
3. Literature Review
3.1. Materials and Methods
3.2. Information Sources
3.3. Study Selection
4. Results
5. Discussion
6. Conclusions
Supplementary Materials
Author Contributions
Funding
Institutional Review Board Statement
Informed Consent Statement
Data Availability Statement
Conflicts of Interest
References
- Henningsen, A.K.; Maroun, L.L.; Havsteen, H.; Svare, J. Massive fetomaternal hemorrhage caused by an intraplacental choriocarcinoma: A case report. Case Rep. Med. 2010, 2010, 767218. [Google Scholar] [CrossRef] [PubMed][Green Version]
- Jiao, L.; Ghorani, E.; Sebire, N.J.; Seckl, M.J. Intraplacental choriocarcinoma: Systematic review and management guidance. Gynecol. Oncol. 2016, 141, 624–631. [Google Scholar] [CrossRef] [PubMed]
- Simões, M.; Vale, G.; Lacerda, C.; Pais, P.; Pignatelli, D. Fetomaternal hemorrhage: A clue to intraplacental choriocarcinoma and neonatal malignancy. J. Matern. Fetal Neonatal Med. 2022, 35, 6615–6617. [Google Scholar] [CrossRef]
- Aso, K.; Tsukimori, K.; Yumoto, Y.; Hojo, S.; Fukushima, K.; Koga, T.; Sueishi, K.; Takahata, Y.; Hara, T.; Wake, N. Prenatal findings in a case of massive fetomaternal hemorrhage associated with intraplacental choriocarcinoma. Fetal Diagn. Ther. 2009, 25, 158–162. [Google Scholar] [CrossRef]
- She, Q.; Cheng, Z.; El-Chaar, D.; Luo, F.; Guo, X.; Wen, S.W. Intraplacental choriocarcinoma coexisting with fetomaternal hemorrhage: Case report, chemotherapy management, and literature review. Medicine 2018, 97, e9977. [Google Scholar] [CrossRef]
- Tao, E.; Ye, D.; Long, G.; Hu, Y.; Fu, Q.; Yuan, T.; Jiang, M. Severe neonatal anemia affected by massive fetomaternal hemorrhage: A single-center retrospective observational study. J. Matern. Fetal Neonatal Med. 2022, 35, 3972–3978. [Google Scholar] [CrossRef] [PubMed]
- Moreno-Gomez, B.; Castillo-Aznar, J.; Tejedor-Vargas, P.; Delgado-Domingo, J.A.; Millaruelo-Rami, A.; Pérez-Morente, M.; Ramón-Navarro, A. Coriocarcinoma de placenta metastásico en embarazo de 34 semanas. Revisión y manejo. Metastatic placenta choriocarcinoma in a 34 week pregnancy. Revision and management. Cirugía Cir. 2021, 89, 534–537. [Google Scholar] [CrossRef]
- Baethge, C.; Goldbeck-Wood, S.; Mertens, S. SANRA—A scale for the quality assessment of narrative review articles. Res. Integr. Peer Rev. 2019, 4, 5. [Google Scholar] [CrossRef] [PubMed] [PubMed Central]
- Hookins, B.; Vatsayan, A. Case Reports in Women’s Health IntraplacentalChoriocarcinoma and FetomaternalHaemorrhage and Maternal Disseminated Intravascular Coagulopathy in a Term Pregnancy: A Case Report. Case Rep. Women’s Health 2020, 27, e00216. [Google Scholar] [CrossRef]
- Benirschke, K.; Lele, S.M.; Crowder, S.E.; Grafe, M.R. Placental pathology casebook: Asymptomatic intraplacental choriocarcinoma diagnosed on routine placental examination. J. Perinatol. 1999, 19, 244–247. [Google Scholar] [CrossRef][Green Version]
- Wilcock, F.M.; Kadir, R.A. Fetomaternalhaemorrhage—A cause for unexplained neonatal death, presenting with reduced fetal movements and non-reactive fetal heart trace. J. Obstet. Gynaecol. 2004, 24, 456–457. [Google Scholar] [CrossRef] [PubMed]
- Andreitchouk, A.; Takahashi, O.; Kodama, H.; Morita, M.; Sankawa, T.; Saito, K.; Enomoto, K.; Tanaka, T. Choriocarcinoma in Infant and Mother: A Case Report. J. Obstet. Gynaecol. Res. 1996, 22, 585–588. [Google Scholar] [CrossRef]
- Zhang, W.; Liu, B.; Wu, J.; Sun, B. Hemoptysis as primary manifestation in three women with choriocarcinoma with pulmonary metastasis: A case series. J. Med. Case Rep. 2017, 11, 110. [Google Scholar] [CrossRef]
- Stabile, G.; Gentile, R.M.; Carlucci, S.; Stampalija, T.; Biffi, S.; Oletto, G.; Guido, M.; Bruno, M. Maternal and fetal outcomes of intraplacental choriocarcinoma complicated by fetomaternal hemorrhage: A systematic review. J. Matern. -Fetal Neonatal Med. 2023, 36, 2285238. [Google Scholar] [CrossRef] [PubMed]
- Ryu, N.; Ogawa, M.; Matsui, H.; Usui, H.; Shozu, M. The clinical characteristics and early detection of postpartum choriocarcinoma. Int. J. Gynecol. Cancer 2015, 25, 926–930. [Google Scholar] [CrossRef] [PubMed]
- Moise, K.J. Spontaneous Massive Fetomaternal Hemorrhage. UpToDate. 2018. pp. 1–22. Available online: https://www.uptodate.com/contents/spontaneous-massive-fetomaternal-hemorrhage?search=epidemiologyofstillbirth&topicRef=6827&source=see_link (accessed on 16 February 2024).
- Tseng, L.-L.; Didone, A.M.; Cheng, C.-S. Severe Anemia in a Newborn Due to Massive Fetomaternal Hemorrhage: Report of One Case. ActaPaediatricaTaiwanica = Taiwan Er Ke Yi Xue Hui Za Zhi 2005, 46, 305–307. [Google Scholar]
- Vedran, S. Fetomaternal hemorrhage complicated pregnancy: Risks, identification, and management. Curr. Opin. Obstet. Gynecol. 2016, 28, 86–94. [Google Scholar] [CrossRef]
- Takahashi, H.; Matsuda, H.; Mizumoto, Y.; Furuya, K. Intraplacental choriocarcinoma with fetomaternal hemorrhage: A case study and literature review. J. Perinat. Med. 2008, 36, 178–181. [Google Scholar] [CrossRef] [PubMed]
- Solomonia, N.; Playforth, K.; Reynolds, E.W. Fetal-Maternal Hemorrhage: A Case and Literature Review. Am. J. Perinatol. Rep. 2012, 2, 7–14. [Google Scholar] [CrossRef][Green Version]
- Koike, Y.; Wakamatsu, H.; Kuroki, Y.; Isozaki, A.; Ishii, S.; Fujitsuka, S. Fetomaternal hemorrhage caused by intraplacental choriocarcinoma: A case report and review of literature in Japan. Am. J. Perinatol. 2006, 23, 49–52. [Google Scholar] [CrossRef]
- Peng, H.H.; Ng, Z.P.; Tang, Y.H.; Chua, A.A.; Huang, K.G. Term pregnancy with choriocarcinoma presenting as severe fetal anemia and postpartum hemorrhage. Taiwan. J. Obstet. Gynecol. 2016, 55, 430–433. [Google Scholar] [CrossRef] [PubMed]
- Monteiro, S.; Burling, M.; Doyle, H. Late diagnosis of intraplacental choriocarcinoma co-existing with fetomaternalhaemorrhage causing fetal demise: A case report. Case Rep. Women’s Health 2021, 31, e00341. [Google Scholar] [CrossRef] [PubMed]
- Lam, C.M.; Wong, S.F.; Lee, K.W.; Ho, L.C.; Yu, V.S. Massive feto-maternal hemorrhage: An early presentation of women with gestational choriocarcinoma. Acta Obstet. Et Gynecol. Scand. 2002, 81, 573–576. [Google Scholar] [CrossRef] [PubMed]
- Thagard, A.S.; Dubil, E.A.; Lee, A.; Allard, J.; Zelig, C.M. The use of middle cerebral artery Doppler ultrasonography to guide delivery of a viable pregnancy complicated by metastatic gestational chroriocarinoma. Australas. J. Ultrasound Med. 2013, 16, 93–96. [Google Scholar] [CrossRef]
- Nagel, H.T.; Vandenbussche, F.P.; Smit, V.T.; Wasser, M.N.; Peters, A.A. Intraplacental choriocarcinoma as an unexpected cause of intrauterine death at term. Int. J. Gynecol. Cancer 2007, 17, 1337–1339. [Google Scholar] [CrossRef]
- Jacques, S.M.; Qureshi, F.; Doss, B.J.; Munkarah, A. Intraplacental choriocarcinoma associated with viable pregnancy: Pathologic features and implications for the mother and infant. Pediatr. Dev. Pathol. 1998, 1, 380–387. [Google Scholar] [CrossRef]
- Mosayebi, Z.; Movahedian, A.H.; Malekzadeh, I. Infantile and Maternal Choriocarcinoma: A Case Report and Review of Literature. Iran. J. Neonatol. 2016, 7, 54–57. [Google Scholar] [CrossRef]
- Takai, N.; Miyazaki, T.; Yoshimatsu, J.; Moriuchi, A.; Miyakawa, I. Intraplacental choriocarcinoma with fetomaternal transfusion. Pathol. Int. 2000, 50, 258–261. [Google Scholar] [CrossRef]
- Imamura, Y.; Tashiro, H.; Saito, F.; Takaishi, K.; Ohba, T.; Fukunaga, M.; Katabuchi, H. Choriocarcinoma coexisting with epithelioid trophoblastic tumor of the uterine horn. Gynecol. Oncol. Rep. 2015, 14, 31–33. [Google Scholar] [CrossRef]
- Joyce, C.M.; Fitzgerald, B.; McCarthy, T.V.; Coulter, J.; O’Donoghue, K. Advances in the diagnosis and early management of gestational trophoblastic disease. BMJ Med. 2022, 1, e000321. [Google Scholar] [CrossRef]
- Kaur, B.; Sebire, N.J. Gestational trophoblastic tumours and non-neoplastic trophoblastic lesions: Morphology and immunocytochemistry to refine the diagnosis. Diagn. Histopathol. 2019, 25, 53–65. [Google Scholar] [CrossRef]
- Duleba, A.J.; Miller, D.; Taylor, G.; Effer, S. Expectant management of choriocarcinoma limited to placenta. Gynecol. Oncol. 1992, 44, 277–280. [Google Scholar] [CrossRef] [PubMed]
- Barghorn, A.; Bannwart, F.; Stallmach, T. Incidental Choriocarcinoma Confined to a Near-Term Placenta. Virchows Archiv 1998, 433, 89–91. [Google Scholar] [CrossRef] [PubMed]
- Suzuki, T. A case of intraplacental choriocarcinoma with fetomaternal hemorrhage. Placenta 2021, 103, 255. [Google Scholar] [CrossRef]




Disclaimer/Publisher’s Note: The statements, opinions and data contained in all publications are solely those of the individual author(s) and contributor(s) and not of MDPI and/or the editor(s). MDPI and/or the editor(s) disclaim responsibility for any injury to people or property resulting from any ideas, methods, instructions or products referred to in the content. |
© 2024 by the authors. Licensee MDPI, Basel, Switzerland. This article is an open access article distributed under the terms and conditions of the Creative Commons Attribution (CC BY) license (https://creativecommons.org/licenses/by/4.0/).
Share and Cite
Sorrentino, F.; Silvestris, T.; Greco, F.; Vasciaveo, L.; Stabile, G.; Falcone, V.; Etrusco, A.; D’Amato, A.; Laganà, A.S.; Nappi, L. Massive Fetomaternal Hemorrhage Caused by an Intraplacental Choriocarcinoma: Case Report and Review of the Literature. Diagnostics 2024, 14, 2454. https://doi.org/10.3390/diagnostics14212454
Sorrentino F, Silvestris T, Greco F, Vasciaveo L, Stabile G, Falcone V, Etrusco A, D’Amato A, Laganà AS, Nappi L. Massive Fetomaternal Hemorrhage Caused by an Intraplacental Choriocarcinoma: Case Report and Review of the Literature. Diagnostics. 2024; 14(21):2454. https://doi.org/10.3390/diagnostics14212454
Chicago/Turabian StyleSorrentino, Felice, Teresa Silvestris, Francesca Greco, Lorenzo Vasciaveo, Guglielmo Stabile, Veronica Falcone, Andrea Etrusco, Antonio D’Amato, Antonio Simone Laganà, and Luigi Nappi. 2024. "Massive Fetomaternal Hemorrhage Caused by an Intraplacental Choriocarcinoma: Case Report and Review of the Literature" Diagnostics 14, no. 21: 2454. https://doi.org/10.3390/diagnostics14212454
APA StyleSorrentino, F., Silvestris, T., Greco, F., Vasciaveo, L., Stabile, G., Falcone, V., Etrusco, A., D’Amato, A., Laganà, A. S., & Nappi, L. (2024). Massive Fetomaternal Hemorrhage Caused by an Intraplacental Choriocarcinoma: Case Report and Review of the Literature. Diagnostics, 14(21), 2454. https://doi.org/10.3390/diagnostics14212454

